JavaScript is disabled in your browser. Please enable JavaScript to view this website.
AB283818

重组Anti-IL-1 beta抗体[RM1009]

Anti-IL-1 beta antibody [RM1009]

  • BOND RX™ Validated
  • KO Validated
  • RabMAb
  • Recombinant
  • Lab Essentials
  • 20ul selling size
  • 了解详情

Be the first to review this product! Submit a review

|

(135 Publications)

Anti-IL-1 beta antibody [RM1009] (ab283818) is a rabbit recombinant multiclonal antibody detecting IL-1 beta in Western Blot, Flow Cytometry, IP, IHC-P. Suitable for Human, Mouse, Rat.

- KO validated for confirmed specificity
- Biophysical QC for unrivalled batch-batch consistency
- Over 30 publications

查看别名

IL1F2, IL1B, Interleukin-1 beta, IL-1 beta, Catabolin

14 Images
Immunocytochemistry - Anti-IL-1 beta antibody [RM1009] (AB283818)
  • ICC

Supplier Data

Immunocytochemistry - Anti-IL-1 beta antibody [RM1009] (AB283818)

Immunofluorescent analysis of 4% Paraformaldehyde-fixed, 0.1% TritonX-100 permeabilized J774A.1 cells labelling IL-1 beta with ab283818 at 1/50 (10.58 ug/ml) dilution, followed by ab150081 Goat Anti-Rabbit IgG H&L (Alexa Fluor® 488) preadsorbed antibody at 1/1000 (2 ug/ml) dilution (Green). Confocal image showing cytoplasmic staining in J774A.1 cells treated with Lipopolysaccharides (100 ng/ml) for 4h, with the addition of brefeldin A (1 ug/ml) for the last 3 hours. ab195889 Anti-alpha Tubulin mouse monoclonal antibody - Microtubule Marker (Alexa Fluor® 594) was used to counterstain tubulin at 1/200 (2.5 ug/ml) dilution (Red). The Nuclear counterstain was DAPI (Blue).

Secondary antibody only control : Secondary antibody is ab150081 Goat Anti-Rabbit IgG H&L (Alexa Fluor® 488) preadsorbed at 1/1000 (2 ug/ml) dilution.

Flow Cytometry - Anti-IL-1 beta antibody [RM1009] (AB283818)
  • Flow Cyt

Supplier Data

Flow Cytometry - Anti-IL-1 beta antibody [RM1009] (AB283818)

Flow cytometric analysis of 4% paraformaldehyde fixed 90% methanol permeabilized U-937 (Human histiocytic lymphoma monocyte) treated with 100nM PMA for 2days then 1μg/ml LPS treated for 13h and add 5μg/ml BFA for another 4h (Red) / U-937 treated with 100nM PMA for 2days (Green) cells labelling IL-1 beta with ab283818 at 1/500 dilution (0.1ug) compared with a Rabbit monoclonal IgG (ab172730) (Black) isotype control and an unlabelled control (cells without incubation with primary antibody and secondary antibody) (Blue). A Goat Anti-Rabbit IgG (Alexa Fluor® 488, ab150081) at 1/2000 dilution was used as the secondary antibody.

Immunoprecipitation - Anti-IL-1 beta antibody [RM1009] (AB283818)
  • IP

Supplier Data

Immunoprecipitation - Anti-IL-1 beta antibody [RM1009] (AB283818)

This data was developed using ab283818, the same antibody clone in a different buffer formulation.IL-1 beta was immunoprecipitated from 0.35 mg U-937 (Human histiocytic lymphoma monocyte) treated with 100nM PMA for 2 days, then 1�g/ml LPS for 13h and add 5�g/ml BFA for another 4 h, whole cell lysate 10ug with ab283818 at 1/30 dilution (2ug in 0.35mg lysates). Western blot was performed on the immunoprecipitate using ab283818 at 1/1000 dilution. VeriBlot for IP secondary antibody(HRP)(ab131366) was used at 1/5000 dilution.

Lane 1 : U-937 (Human histiocytic lymphoma monocyte) treated with 100nM PMA for 2 days, then 1�g/ml LPS for 13h and add 5�g/ml BFA for another 4 h, whole cell lysate 10ug

Lane 2 : ab283818 IP in U-937 treated with 100nM PMA for 2 days, then 1�g/ml LPS for 13h and add 5�g/ml BFA for another 4 h, whole cell lysate

Lane 3 : Rabbit monoclonal IgG (ab172730) instead of ab283818 in U-937 treated with 100nM PMA for 2 days, then 1�g/ml LPS for 13h and add 5�g/ml BFA for another 4 h, whole cell lysate

Blocking and dilution buffer and concentration : 5% NFDM/TBST.

Exposure time :

All lanes:

Immunoprecipitation - Anti-IL-1 beta antibody [RM1009] (ab283818)

Predicted band size: 30 kDa

Observed band size: 17.5 kDa,28 kDa,31 kDa

false

Immunohistochemistry (Formalin/PFA-fixed paraffin-embedded sections) - Anti-IL-1 beta antibody [RM1009] (AB283818)
  • IHC-P

Supplier Data

Immunohistochemistry (Formalin/PFA-fixed paraffin-embedded sections) - Anti-IL-1 beta antibody [RM1009] (AB283818)

Immunohistochemical analysis of paraffin-embedded RAW 264.7 cells labelling IL-1 beta with ab283818 at 1/500 (1.058 ug/ml) followed by a ready to use LeicaDS9800 (Bond™, Polymer Refine Detection). Positive staining on RAW 264.7 cells treated with LPS (100ng/ml for 4+3 hours) added BFA (1μg/ml for 3 hours) (Image A) and no staining on control RAW 264.7 (Image B). The section was incubated with ab283818 for 30 mins at room temperature. The immunostaining was performed on a Leica Biosystems BOND® RX instrument Counterstained with Hematoxylin.

Secondary antibody only control : Secondary antibody is a ready to use LeicaDS9800 (Bond™, Polymer Refine Detection).

Heat mediated antigen retrieval with Citrate buffer (pH 6.0, epitope retrieval solution 1) for 20 mins

Immunocytochemistry - Anti-IL-1 beta antibody [RM1009] (AB283818)
  • ICC

Supplier Data

Immunocytochemistry - Anti-IL-1 beta antibody [RM1009] (AB283818)

Immunofluorescent analysis of 4% Paraformaldehyde-fixed, 0.1% TritonX-100 permeabilized RAW 264.7 cells labelling IL-1 beta with ab283818 at 1/50 (10.58 ug/ml) dilution, followed by ab150081 Goat Anti-Rabbit IgG H&L (Alexa Fluor® 488) preadsorbed antibody at 1/1000 (2 ug/ml) dilution (Green). Confocal image showing cytoplasmic and nuclear staining in RAW 264.7 cells transfected with Lipopolysaccharides (100 ng/ml) for 4h, with the addition of brefeldin A (1 ug/ml) for the last 3 hours. (PMID : 18490713, PMID : 18939951). ab195889 Anti-alpha Tubulin mouse monoclonal antibody - Microtubule Marker (Alexa Fluor® 594) was used to counterstain tubulin at 1/200 (2.5ug/ml) dilution (Red). The Nuclear counterstain was DAPI (Blue).

Secondary antibody only control : Secondary antibody is ab150081 Goat Anti-Rabbit IgG H&L (Alexa Fluor® 488) preadsorbed at 1/1000 (2 ug/ml) dilution.

Immunohistochemistry (Formalin/PFA-fixed paraffin-embedded sections) - Anti-IL-1 beta antibody [RM1009] (AB283818)
  • IHC-P

Supplier Data

Immunohistochemistry (Formalin/PFA-fixed paraffin-embedded sections) - Anti-IL-1 beta antibody [RM1009] (AB283818)

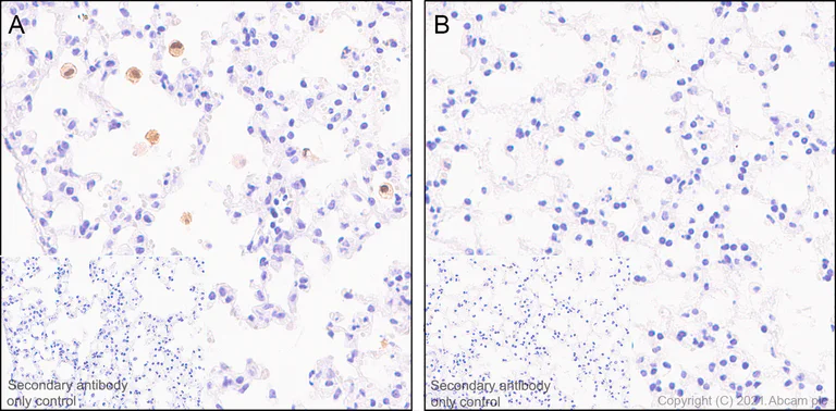
Immunohistochemical analysis of paraffin-embedded Mouse lung tissue labelling IL-1 beta with ab283818 at 1/500 (1.058 ug/ml) followed by a ready to use LeicaDS9800 (Bond™, Polymer Refine Detection). Positive staining on mouse lung treated with LPS (1ug/ml for 16 hours) and BFA (1ug/ml for 16h hours) (Image A) and no staining on control mouse lung was observed (Image B). The section was incubated with ab283818 for 30 mins at room temperature. The immunostaining was performed on a Leica Biosystems BOND® RX instrument Counterstained with Hematoxylin.

Secondary antibody only control : Secondary antibody is a ready to use LeicaDS9800 (Bond™, Polymer Refine Detection).

Heat mediated antigen retrieval with Citrate buffer (pH 6.0, epitope retrieval solution 1) for 20 mins

Flow Cytometry (Intracellular) - Anti-IL-1 beta antibody [RM1009] (AB283818)
  • Flow Cyt (Intra)

Supplier Data

Flow Cytometry (Intracellular) - Anti-IL-1 beta antibody [RM1009] (AB283818)

Flow cytometric analysis of 4% paraformaldehyde fixed 90% methanol permeabilized J774A.1 (Mouse reticulum cell sarcoma monocyte macrophage) treated with 100ng/ml LPS treated for 4h and add 1μg/ml BFA for another 3h (Red) / Untreated control (Green) cells labelling IL-1 beta with ab283818 at 1/500 dilution (0.1ug) compared with a Rabbit monoclonal IgG (ab172730) (Black) isotype control and an unlabelled control (cells without incubation with primary antibody and secondary antibody) (Blue). A Goat Anti-Rabbit IgG (Alexa Fluor® 488, ab150081) at 1/2000 dilution was used as the secondary antibody.

Immunohistochemistry (Formalin/PFA-fixed paraffin-embedded sections) - Anti-IL-1 beta antibody [RM1009] (AB283818)
  • IHC-P

Supplier Data

Immunohistochemistry (Formalin/PFA-fixed paraffin-embedded sections) - Anti-IL-1 beta antibody [RM1009] (AB283818)

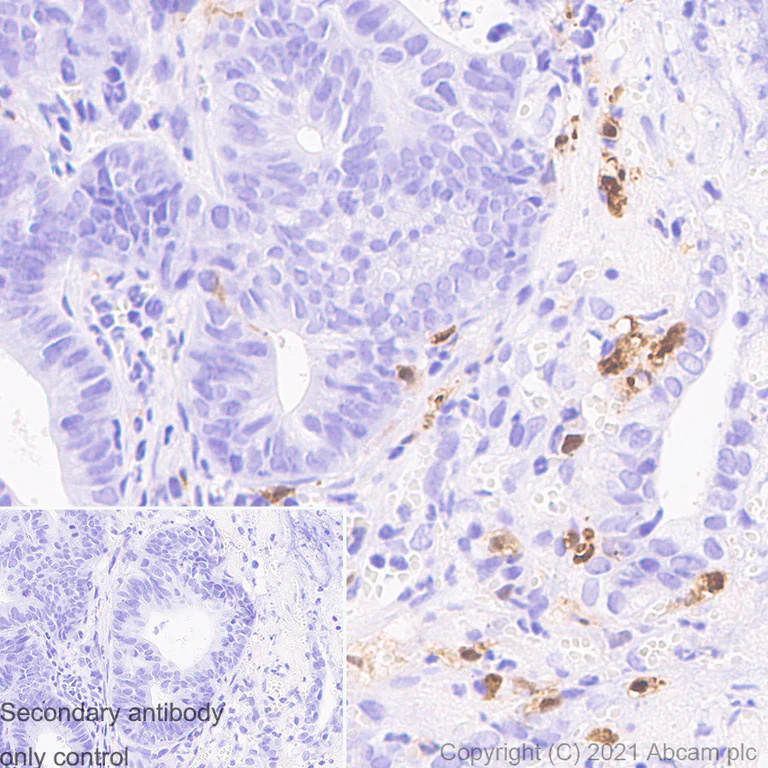
Immunohistochemical analysis of paraffin-embedded Mouse colon carcinom tissue labelling IL-1 beta with ab283818 at 1/500 (1.058 ug/ml) followed by a ready to use LeicaDS9800 (Bond™, Polymer Refine Detection). Positive staining on the lamina propria in mouse colon carcinoma. The section was incubated with ab283818 for 30 mins at room temperature. The immunostaining was performed on a Leica Biosystems BOND® RX instrument Counterstained with Hematoxylin.

Secondary antibody only control : Secondary antibody is a ready to use LeicaDS9800 (Bond™, Polymer Refine Detection).

Heat mediated antigen retrieval with Citrate buffer (pH 6.0, epitope retrieval solution 1) for 20 mins.

Immunohistochemistry (Formalin/PFA-fixed paraffin-embedded sections) - Anti-IL-1 beta antibody [RM1009] (AB283818)
  • IHC-P

Supplier Data

Immunohistochemistry (Formalin/PFA-fixed paraffin-embedded sections) - Anti-IL-1 beta antibody [RM1009] (AB283818)

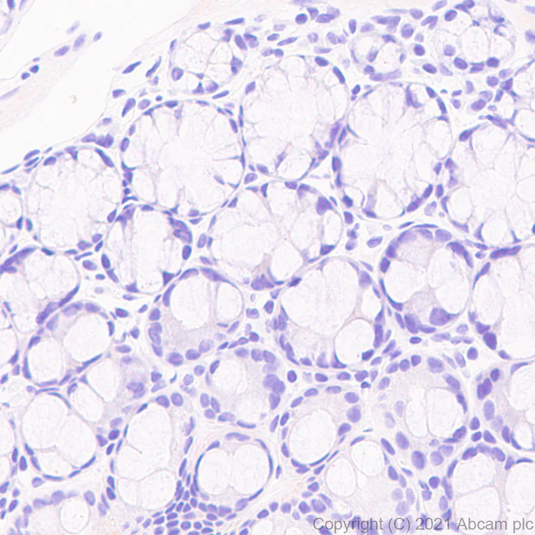
Immunohistochemical analysis of paraffin-embedded Mouse colon tissue labelling IL-1 beta with ab283818 at 1/500 (1.058 ug/ml) followed by a ready to use LeicaDS9800 (Bond™, Polymer Refine Detection). The section was incubated with ab283818 for 30 mins at room temperature. The immunostaining was performed on a Leica Biosystems BOND® RX instrument Counterstained with Hematoxylin.

Negative control : no staining on mouse colon.

Secondary antibody only control : Secondary antibody is a ready to use LeicaDS9800 (Bond™, Polymer Refine Detection).

Heat mediated antigen retrieval with Citrate buffer (pH 6.0, epitope retrieval solution 1) for 20 mins.

Immunohistochemistry (Formalin/PFA-fixed paraffin-embedded sections) - Anti-IL-1 beta antibody [RM1009] (AB283818)
  • IHC-P

Supplier Data

Immunohistochemistry (Formalin/PFA-fixed paraffin-embedded sections) - Anti-IL-1 beta antibody [RM1009] (AB283818)

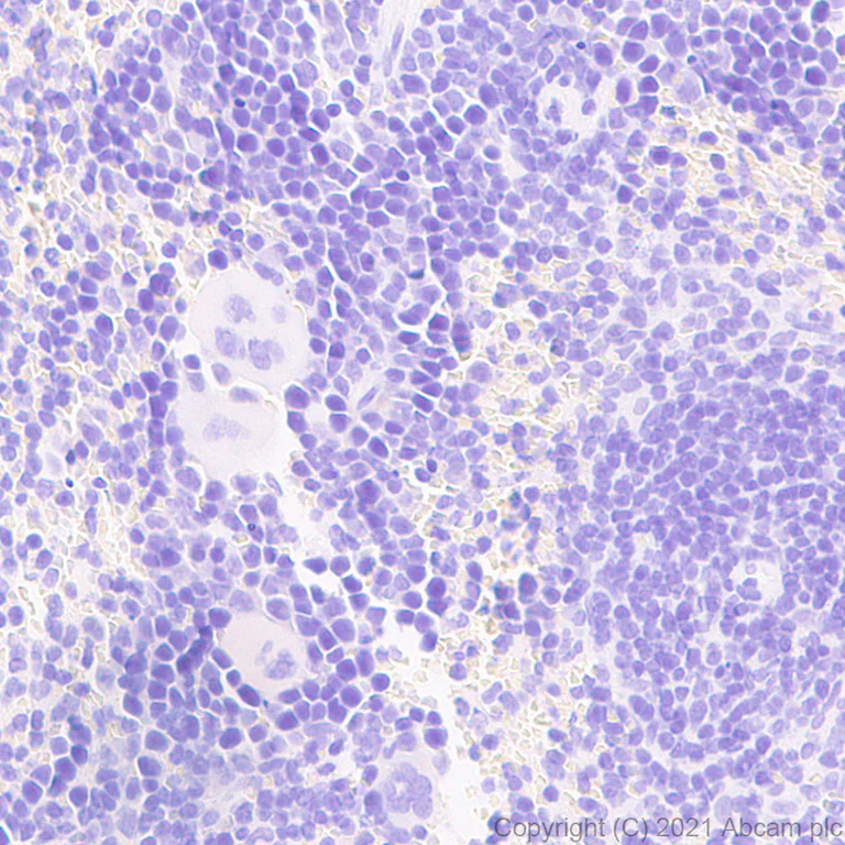
Immunohistochemical analysis of paraffin-embedded Mouse spleen tissue labelling IL-1 beta with ab283818 at 1/500 (1.058 ug/ml) followed by a ready to use LeicaDS9800 (Bond™, Polymer Refine Detection). The section was incubated with ab283818 for 30 mins at room temperature. The immunostaining was performed on a Leica Biosystems BOND® RX instrument Counterstained with Hematoxylin.

Negative control : no staining on mouse spleen.

Secondary antibody only control : Secondary antibody is a ready to use LeicaDS9800 (Bond™, Polymer Refine Detection).

Heat mediated antigen retrieval with Citrate buffer (pH 6.0, epitope retrieval solution 1) for 20 mins.

Immunoprecipitation - Anti-IL-1 beta antibody [RM1009] (AB283818)
  • IP

Supplier Data

Immunoprecipitation - Anti-IL-1 beta antibody [RM1009] (AB283818)

This data was developed using ab283818, the same antibody clone in a different buffer formulation.IL-1 beta was immunoprecipitated from 0.35 mg RAW 264.7 (Mouse Abelson murine leukemia virus-induced tumor macrophage) treated with 100ng/ml LPS for 4h and add 1ug/ml BFA for another 3 h whole cell lysate 10ug with ab283818 at 1/30 dilution (2ug in 0.35mg lysates). Western blot was performed on the immunoprecipitate using ab283818 at 1/1000 dilution. VeriBlot for IP secondary antibody(HRP)(ab131366) was used at 1/5000 dilution.

Lane 1 : RAW 264.7 (Mouse Abelson murine leukemia virus-induced tumor macrophage) treated with 100ng/ml LPS for 4h and add 1ug/ml BFA for another 3 h whole cell lysate 10ug

Lane 2 : ab283818 IP in RAW 264.7 treated with 100ng/ml LPS for 4h and add 1ug/ml BFA for another 3 h whole cell lysate

Lane 3 : Rabbit monoclonal IgG (ab172730) instead of ab283818 in RAW 264.7 treated with 100ng/ml LPS for 4h and add 1ug/ml BFA for another 3 h whole cell lysate

Blocking and dilution buffer and concentration : 5% NFDM/TBST.

Exposure time :

All lanes:

Immunoprecipitation - Anti-IL-1 beta antibody [RM1009] (ab283818)

Predicted band size: 30 kDa

false

Western blot - Anti-IL-1 beta antibody [RM1009] (AB283818)
  • WB

Lab

Western blot - Anti-IL-1 beta antibody [RM1009] (AB283818)

Expression of IL-1 beta is induced by LPS treatment. 31-kDa precursor IL-1 beta, 28- and 17.5-kDa proteolytically cleaved IL-1 beta are observed. The expresssion pattern and molecular weight observed is consistent with what has been described in the literature (PMID : 8446594, 19559631).

Compared with ab254360, ab283818 has higher affinity. For better using ab254360, we recommend loading higher amount of human/rat lysate or using lower antibody dilution.

Lanes 1 - 6:

Western blot - Anti-IL-1 beta antibody [EPR23851-127] (<a href='/products/primary-antibodies/il-1-beta-antibody-epr23851-127-ab254360'>ab254360</a>) at 1/1000 dilution

Lanes 7 - 12:

Western blot - Anti-IL-1 beta antibody [RM1009] (ab283818)

Lanes 1 and 7:

Untreated THP-1 (human monocytic leukemia monocyte) whole cell lysate at 20 µg

Lanes 2 and 8:

THP-1 treated with 100ng/ml lipopolysaccharide (LPS) for 3h whole cell lysate at 20 µg

Lanes 3 and 9:

Untreated RAW 264.7 (mouse abelson murine leukemia virus-induced tumor macrophage) whole cell lysate at 20 µg

Lanes 4 and 10:

RAW 264.7 treated with 100 ng/ml LPS and 300 ng/ml Brefeldin A (<a href='/products/sample-preparation-kits/brefeldin-a-solution-1000x-ab193369'>ab193369</a>) for 4 hours, whole cell lysate at 20 µg

Lanes 5 and 11:

Untreated NR8383 (rat lung macrophage (alveolar)) whole cell lysate at 20 µg

Lanes 6 and 12:

NR8383 treated with 100 ng/ml LPS for 7 hours and 1 µg/ml Brefeldin A (<a href='/products/sample-preparation-kits/brefeldin-a-solution-1000x-ab193369'>ab193369</a>) for the last 3 hours, whole cell lysate at 20 µg

Observed band size: 17.5 kDa,28 kDa,31 kDa

false

Exposure time: 102s

Western blot - Anti-IL-1 beta antibody [RM1009] (AB283818)
  • WB

Lab

Western blot - Anti-IL-1 beta antibody [RM1009] (AB283818)

Western blot : Anti-IL1B antibody [RM1009] (ab283818) staining at 1/1000 dilution, shown in green; Mouse anti-Alpha Tubulin [DM1A] (ab7291) loading control staining at 1/20000 dilution, shown in magenta. In Western blot, ab283818 was shown to bind specifically to IL1B. A band was observed at 34 kDa in wild-type THP-1 cell lysates with no signal observed at this size in IL1B knockout cell line. To generate this image, wild-type and IL1B knockout THP-1 cell lysates were analysed. First, samples were run on an SDS-PAGE gel then transferred onto a nitrocellulose membrane. Membranes were blocked in 3 % milk in TBS-0.1 % Tween® 20 (TBS-T) before incubation with primary antibodies overnight at 4 °C. Blots were washed four times in TBS-T, incubated with secondary antibodies for 1 h at room temperature, washed again four times then imaged. Secondary antibodies used were Goat anti-Rabbit IgG H&L 800CW and Goat anti-Mouse IgG H&L 680RD at 1/20000 dilution.

All lanes:

Western blot - Anti-IL-1 beta antibody [RM1009] (ab283818) at 1/1000 dilution

Lane 1:

Wild-type THP-1 Vehicle control: TPA (80 nM overnight) then LPS (0 ng/mL, 6 h) cell lysate at 20 µg

Lane 2:

Wild-type THP-1 TPA (80 nM overnight) then LPS (100 ng/mL, 6 h) cell lysate at 20 µg

Lane 3:

IL-1b knockout THP-1 Vehicle control: TPA (80 nM overnight) then LPS (0 ng/mL, 6 h) cell lysate at 20 µg

Lanes 3 - 4:

Western blot - Human IL1B knockout THP-1 cell line (<a href='/products/cell-lines/human-il1b-knockout-thp-1-cell-line-ab273762'>ab273762</a>)

Lane 4:

IL-1b knockout THP-1 TPA (80 nM overnight) then LPS (100 ng/mL, 6 h) cell lysate at 20 µg

false

Western blot - Anti-IL-1 beta antibody [RM1009] (AB283818)
  • WB

Lab

Western blot - Anti-IL-1 beta antibody [RM1009] (AB283818)

Blocking and diluting buffer and concentration : 5% NFDM/TBST

Expression of IL-1 beta is induced by LPS treatment. 31-kDa precursor IL-1 beta, 28- and 17.5-kDa proteolytically cleaved IL-1 beta are observed.

The expression pattern and molecular weight observed is consistent with what has been described in the literature (PMID : 8446594, 19559631)

Exposure time : Lane 1-3 : 3 min ; Lane 4-7 : 70 seconds

All lanes:

Western blot - Anti-IL-1 beta antibody [RM1009] (ab283818) at 1/1000 dilution

Lane 1:

U-87 MG (Human glioblastoma-astrocytoma epithelial cell) whole cell lysate at 20 µg

Lane 2:

U-937 (Human histiocytic lymphoma monocyte) whole cell lysate at 20 µg

Lane 3:

U-937 treated with 100nM PMA for 2 days, then 1µg/ml LPS for 13h and add 5µg/ml BFA for another 4 h whole cell lysate at 20 µg

Lane 4:

RAW 264.7 (Mouse Abelson murine leukemia virus-induced tumor macrophage) whole cell lysate at 20 µg

Lane 5:

RAW 264.7 treated with 100ng/ml LPS for 4h and add 1µg/ml BFA for another 3 h whole cell lysate at 20 µg

Lane 6:

NR8383 (Rat lung macrophage (alveolar)) whole cell lysate at 20 µg

Lane 7:

NR8383 treated with 100ng/ml LPS for 4h and add 1µg/ml BFA for another 3 h whole cell lysate at 20 µg

Secondary

All lanes:

Western blot - Goat Anti-Rabbit IgG H&L (HRP) (<a href='/products/secondary-antibodies/goat-rabbit-igg-h-l-hrp-ab97051'>ab97051</a>) at 1/100000 dilution

Predicted band size: 30 kDa

Observed band size: 17.5 kDa,28 kDa,31 kDa

false

不同偶联物与剂型 (1)

  • Carrier free

    Anti-IL-1 beta antibody [RM1009] - BSA and Azide free

关键信息

宿主种属

Rabbit

克隆

Multiclonal

克隆号

RM1009

亚型

IgG

不含载体蛋白

No

反应种属

Mouse, Rat, Human

应用

IHC-P, ICC, Flow Cyt, IP, WB

applications

免疫原

The exact immunogen used to generate this antibody is proprietary information.

特异性

IL-1 beta is not present under homeostatic conditions, and it is induced and secreted only upon inflammatory signals. Stimulation may be required for the detection of IL-1β, no matter in precursor or mature form (PMID: 22019906). IL-1β is a secreted protein, it is recommended to treat cells with anti-secretion reagents (e.g. Brefeldin A) when test IL-1β using whole cell lysate in WB.

Please navigate to the Product Protocol section for specificity details in Chinese.

反应性数据

{ "title": "Reactivity Data", "filters": { "stats": ["", "Species", "Dilution Info", "Notes"], "tabs": { "all-applications": {"fullname" : "All Applications", "shortname": "All Applications"}, "ICC" : {"fullname" : "Immunocytochemistry", "shortname":"ICC"}, "IP" : {"fullname" : "Immunoprecipitation", "shortname":"IP"}, "FlowCyt" : {"fullname" : "Flow Cytometry", "shortname":"Flow Cyt"}, "WB" : {"fullname" : "Western blot", "shortname":"WB"}, "IHCP" : {"fullname" : "Immunohistochemistry (Formalin/PFA-fixed paraffin-embedded sections)", "shortname":"IHC-P"} }, "product-promise": { "all": "all", "testedAndGuaranteed": "tested", "guaranteed": "expected", "predicted": "predicted", "notRecommended": "not-recommended" } }, "values": { "Human": { "ICC-species-checked": "testedAndGuaranteed", "ICC-species-dilution-info": "1/50", "ICC-species-notes": "<p></p>", "IP-species-checked": "testedAndGuaranteed", "IP-species-dilution-info": "1/30", "IP-species-notes": "<p></p>", "FlowCyt-species-checked": "testedAndGuaranteed", "FlowCyt-species-dilution-info": "1/500", "FlowCyt-species-notes": "<p></p>", "WB-species-checked": "testedAndGuaranteed", "WB-species-dilution-info": "1/1000", "WB-species-notes": "<p></p>", "IHCP-species-checked": "notRecommended", "IHCP-species-dilution-info": "", "IHCP-species-notes": "<p></p>" }, "Mouse": { "ICC-species-checked": "testedAndGuaranteed", "ICC-species-dilution-info": "1/50", "ICC-species-notes": "<p></p>", "IP-species-checked": "testedAndGuaranteed", "IP-species-dilution-info": "1/30", "IP-species-notes": "<p></p>", "FlowCyt-species-checked": "testedAndGuaranteed", "FlowCyt-species-dilution-info": "1/500", "FlowCyt-species-notes": "<p></p>", "WB-species-checked": "testedAndGuaranteed", "WB-species-dilution-info": "1/1000", "WB-species-notes": "<p></p>", "IHCP-species-checked": "testedAndGuaranteed", "IHCP-species-dilution-info": "1/500", "IHCP-species-notes": "<p></p>" }, "Rat": { "ICC-species-checked": "guaranteed", "ICC-species-dilution-info": "", "ICC-species-notes": "", "IP-species-checked": "guaranteed", "IP-species-dilution-info": "", "IP-species-notes": "", "FlowCyt-species-checked": "guaranteed", "FlowCyt-species-dilution-info": "", "FlowCyt-species-notes": "", "WB-species-checked": "testedAndGuaranteed", "WB-species-dilution-info": "1/1000", "WB-species-notes": "<p></p>", "IHCP-species-checked": "notRecommended", "IHCP-species-dilution-info": "", "IHCP-species-notes": "<p></p>" } } }

产品详情

Product Specifications
Anti-IL-1 beta antibody [RM1009] (ab283818) is a recombinant rabbit multiclonal antibody which is comprised of multiple monoclonal antibodies targeting different epitopes and recapitulating the performance of a polyclonal. Each component clone was developed by Abcam using patented rabbit monoclonal antibody technology.
Anti-IL-1 beta antibody [RM1009] (ab283818) is validated for use in Flow Cyt, ICC, IHC-P, IP and WB in human, mouse and rat samples.
Anti-IL-1 beta antibody [RM1009] (ab283818) specifically detects IL-1 beta/ Interleukin-1 beta (UniProt ID: P01584; Molecular weight: 31kDa) and is sold in a convenient trial size to enable initial testing (20 µL) and larger sizes for subsequent scaling up experiments (100 µL and 1 mL).

Quality and Validation
Abcams high quality manufacturing and validation processes ensure anti-IL-1 beta antibody [RM1009] (ab283818) has high sensitivity and specificity alongside high lot-to-lot consistency and reproducibility.
The specificity of anti-IL-1 beta antibody [RM1009] (ab283818) has been confirmed by testing in knockout samples.

Related Products
Conjugation-ready, carrier free format available for antibody clone RM1009 - ab283822.

What are recombinant multiclonals?
Recombinant multiclonals are a mixture of recombinant antibodies co-expressed from a library of heavy and light chains. They offer several advantages including:

  • - The sensitivity of polyclonal antibodies by recognising multiple epitopes
  • - High batch-to-batch consistency and reproducibility
  • - Improved sensitivity and specificity
  • - Long-term security of supply
  • - Animal-free batch production

View our range of recombinant multiclonal antibodies.

Patented technology
Our RabMAb® technology is a patented hybridoma-based technology for making rabbit monoclonal antibodies. For details on our patents, please refer to RabMAb® patents.

性能和储存信息

形式
Liquid
存储溶液
pH: 7.2 - 7.4 Preservative: 0.01% Sodium azide Constituents: PBS, 40% Glycerol (glycerin, glycerine), 0.05% BSA
运输条件
Blue Ice
推荐的短期储存时间
1-2 weeks
推荐的短期储存条件
+4°C
推荐的长期储存条件
-20°C
分装信息
Upon delivery aliquot
储存信息
Avoid freeze / thaw cycle

产品实验方案

For this product, it's our understanding that no specific protocols are required. You can visit:

靶点信息

Potent pro-inflammatory cytokine (PubMed : 10653850, PubMed : 12794819, PubMed : 28331908, PubMed : 3920526). Initially discovered as the major endogenous pyrogen, induces prostaglandin synthesis, neutrophil influx and activation, T-cell activation and cytokine production, B-cell activation and antibody production, and fibroblast proliferation and collagen production (PubMed : 3920526). Promotes Th17 differentiation of T-cells. Synergizes with IL12/interleukin-12 to induce IFNG synthesis from T-helper 1 (Th1) cells (PubMed : 10653850). Plays a role in angiogenesis by inducing VEGF production synergistically with TNF and IL6 (PubMed : 12794819). Involved in transduction of inflammation downstream of pyroptosis : its mature form is specifically released in the extracellular milieu by passing through the gasdermin-D (GSDMD) pore (PubMed : 33377178, PubMed : 33883744). Acts as a sensor of S.pyogenes infection in skin : cleaved and activated by pyogenes SpeB protease, leading to an inflammatory response that prevents bacterial growth during invasive skin infection (PubMed : 28331908).
See full target information IL1B

文献 (135)

Recent publications for all applications. Explore the full list and refine your search

Global spine journal :21925682251383489 PubMed41001708

2025

Intervention of Rutin and Ochnaflavone in the Attenuation of Neuroinflammation and Neuronal Apoptosis in Spinal Cord Injury.

Applications

Unspecified application

Species

Unspecified reactive species

Tao Yu,Xuhao Yang,Anyuan Dai,Zhihe Yun,Wu Xue,Tianyang Yuan,Xinyu Nie,Inbo Han,Yanting Liu,A O Wang,Qinyi Liu

Materials today. Bio 34:102242 PubMed40917511

2025

Intelligent hyaluronidase-responsive supramolecular nanoassemblies for programmable dual-drug delivery and NIR-II photothermal therapy of atherosclerosis.

Applications

Unspecified application

Species

Unspecified reactive species

Huixian Liang,Yanan Ma,Miao Wang,Chenxiao Zhao,Hao Pang,Heng Liu,Fabiao Yu,Ziyi Cheng,Linlu Zhao

Microorganisms 13: PubMed40871428

2025

miR-7a-5p Contributes to Suppressing NLRP3/Caspase-1 Signaling Pathway in Response to Type 2 Infection.

Applications

Unspecified application

Species

Unspecified reactive species

Ziteng Deng,Qian Sun,Shun Li,Yibo Wang,Yuxin Che,Yunfei Huang,Jiedan Liao,Honglin Xie,Xiaoshu Zhan,Qinqin Sun,Qiang Fu

Journal of traditional Chinese medicine = Chung i tsa chih ying wen pan 45:777-785 PubMed40810223

2025

An's anorectal fumigation lotion for nuclear factor kappa-B pathway-targeted treatment of inflammatory mixed hemorrhoids.

Applications

Unspecified application

Species

Unspecified reactive species

Feng Dayong,A N Ayue,Feng Yuening,Wang Chunhui,Bai Zhiyong,Wang Qian

Journal of traditional Chinese medicine = Chung i tsa chih ying wen pan 45:806-816 PubMed40810226

2025

Exploration of the mechanism of Danggui Buxue decoction for the treatment of gastric ulcer based on network pharmacology, molecular docking, and experiment.

Applications

Unspecified application

Species

Unspecified reactive species

Song Mingming,Men Bo,Chen Mei,Liu Rui,M O Hongping,Zhang Da,Pan Tao,Wen Xudong

Inflammation : PubMed40764471

2025

WFS1 Gene Mutation (c.2389G > A) Induces Immune Disorders by Promoting DC Maturation through Inhibition of TMEM176A.

Applications

Unspecified application

Species

Unspecified reactive species

Wei Lin,Yuanhui Qiu,Chenyinuo Tan,Ziyu Liu,Yi Yang,Yijie He,Jiarui Zhao,Jing Cheng,Zhaopeng Wang,Minghao Li,Lijie Wang,Mengqi Wang,Min Zhang

Science advances 11:eadv4238 PubMed40712009

2025

Genetically engineered chondrocyte-mimetic nanoplatform attenuates osteoarthritis by blocking IL-1β and restoring sirtuin-3.

Applications

Unspecified application

Species

Unspecified reactive species

Caifeng Deng,Liukang Yu,Xuan Zhao,Yuxiao Chen,Jiabin Mei,Jie Wei,Xiaoyuan Chen,Guanghua Lei,Chao Zeng

Frontiers in pharmacology 16:1530655 PubMed40697655

2025

Luteolin delays the progression of IgA nephropathy by attenuating inflammation, oxidative stress and reducing extracellular matrix accumulation through activating the Nrf-2/HO-1 pathway.

Applications

Unspecified application

Species

Unspecified reactive species

Dong-Yu Liang,Shao-Hua Cong,Lin-Hui Li,Qing-Qing Yi,Li-Ping Tang,Li-Ou Cao

Allergologia et immunopathologia 53:14-20 PubMed40682224

2025

Knockdown of ITIH4 reduces inflammatory damage and apoptosis of A549 cells induced by through NLRP3 inflammation.

Applications

Unspecified application

Species

Unspecified reactive species

Zhinan Zhang,Yixian Zhang,Bihe Zeng

iScience 28:112395 PubMed40641560

2025

Pyroptosis of periodontal ligament stem cells aggravates periodontitis via Piezo1 channel.

Applications

Unspecified application

Species

Unspecified reactive species

Peng Chen,Duo Liu,Yi-Kun Zhou,Jiu-Hui Jiang,Rui-Li Yang
View all publications
websiteProtocolBooklet
zh

Abcam Product Promise

我们致力于为您的研究提供高质量的试剂,为您科研的每一步提供支持。若我们的产品未能达到预期性能,我们向您提供 Abcam Product Promise 保障。
详情请参阅我们的条款与条件。

Please note: All products are 'FOR RESEARCH USE ONLY. NOT FOR USE IN DIAGNOSTIC OR THERAPEUTIC PROCEDURES'.

For licensing inquiries, please contact partnerships@abcam.com