JavaScript is disabled in your browser. Please enable JavaScript to view this website.
AB109509

重组Anti-IKB beta抗体[EPR5037]

Anti-IKB beta antibody [EPR5037]

4

(2 Reviews)

|

(10 Publications)

Rabbit Recombinant Monoclonal IKB beta antibody. Suitable for IHC-P, IP, WB, ICC/IF, Flow Cyt (Intra) and reacts with Human samples. Cited in 10 publications.

查看别名

IKBB, TRIP9, NFKBIB, NF-kappa-B inhibitor beta, NF-kappa-BIB, I-kappa-B-beta, Thyroid receptor-interacting protein 9, IkB-B, IkB-beta, IkappaBbeta, TR-interacting protein 9, TRIP-9

8 Images
Immunohistochemistry (Formalin/PFA-fixed paraffin-embedded sections) - Anti-IKB beta antibody [EPR5037] (AB109509)
  • IHC-P

Unknown

Immunohistochemistry (Formalin/PFA-fixed paraffin-embedded sections) - Anti-IKB beta antibody [EPR5037] (AB109509)

Immunohistochemical analysis of paraffin-embedded Human kidney tissue using unpurified ab109509 at a dilution of 1/100.

Heat mediated antigen retrieval was performed with citrate buffer pH 6 before commencing with IHC staining protocol.

Immunohistochemistry (Formalin/PFA-fixed paraffin-embedded sections) - Anti-IKB beta antibody [EPR5037] (AB109509)
  • IHC-P

Unknown

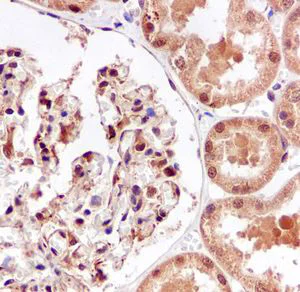
Immunohistochemistry (Formalin/PFA-fixed paraffin-embedded sections) - Anti-IKB beta antibody [EPR5037] (AB109509)

Immunohistochemistry (Formalin/PFA-fixed paraffin-embedded sections) analysis of human kidney tissue sections labeling IKB beta with purified ab109509 at 1 : 500 dilution (0.20 μg/ml). Heat mediated antigen retrieval was performed using ab93684 (Tris/EDTA buffer, pH 9.0). ImmunoHistoProbe one step HRP Polymer (ready to use) was used as the secondary antibody. Negative control : PBS instead of the primary antibody. Hematoxylin was used as a counterstain.

Flow Cytometry (Intracellular) - Anti-IKB beta antibody [EPR5037] (AB109509)
  • Flow Cyt (Intra)

Unknown

Flow Cytometry (Intracellular) - Anti-IKB beta antibody [EPR5037] (AB109509)

Intracellular Flow Cytometry analysis of Jurkat (Human T cell leukemia T lymphocyte) cells labeling IKB beta with purified ab109509 at 1/20 dilution (10 μg/ml) (Red). Cells were fixed with 4% Paraformaldehyde and permeabilised with 90% Methanol. A Goat anti rabbit IgG (Alexa Fluor® 488, ab150077) secondary antibody was used at 1/2000. Isotype control - Rabbit monoclonal IgG (Black). Unlabeled control - Cell without incubation with primary antibody and secondary antibody (Blue).

Immunocytochemistry/ Immunofluorescence - Anti-IKB beta antibody [EPR5037] (AB109509)
  • ICC/IF

Unknown

Immunocytochemistry/ Immunofluorescence - Anti-IKB beta antibody [EPR5037] (AB109509)

Immunocytochemistry/ Immunofluorescence analysis of Jurkat (Human T cell leukemia T lymphocyte) cells labeling IKB beta with purified ab109509 at 1 : 50 dilution (2.0 μg/ml). Cells were fixed in 4% Paraformaldehyde and permeabilized with 0.1% tritonX-100. Cells were counterstained with ab195889 Anti-alpha Tubulin antibody [DM1A] - Microtubule Marker (Alexa Fluor® 594) 1 : 200 (2.5 μg/ml). Goat anti rabbit IgG (Alexa Fluor® 488, ab150077) was used as the secondary antibody at 1 : 1000 (2 μg/ml) dilution. DAPI (blue) was used as nuclear counterstain. PBS instead of the primary antibody was used as the secondary antibody only control.

Immunoprecipitation - Anti-IKB beta antibody [EPR5037] (AB109509)
  • IP

Unknown

Immunoprecipitation - Anti-IKB beta antibody [EPR5037] (AB109509)

ab109509 (purified) at 1 : 20 dilution (1 μg) immunoprecipitating IKB beta in HeLa whole cell lysate.

Lane 1 (input) : HeLa (Human cervix adenocarcinoma epithelial cell) whole cell lysate 10ug
Lane 2 (+) : ab109509 & HeLa whole cell lysate
Lane 3 (-) : Rabbit monoclonal IgG (ab172730) instead of ab109509 in HeLa whole cell lysate

For western blotting, VeriBlot for IP Detection Reagent (HRP) (ab131366) was used at 1 : 1000 dilution.

Blocking and diluting buffer : 5% NFDM/TBST.

All lanes:

Immunoprecipitation - Anti-IKB beta antibody [EPR5037] (ab109509)

Predicted band size: 37 kDa

false

Western blot - Anti-IKB beta antibody [EPR5037] (AB109509)
  • WB

Lab

Western blot - Anti-IKB beta antibody [EPR5037] (AB109509)

Lane 1 : Wild type HAP1 whole cell lysate (20 μg)
Lane 2 : IKB beta knockout HAP1 whole cell lysate (20 μg)
Lane 3 : HeLa whole cell lysate (20 μg)

Lanes 1 - 3 : Merged signal (red and green). Green - unpurified ab109509 observed at 45 kDa. Red - loading control, ab18058, observed at 130 kDa.

ab109509 was shown to specifically react with IKB beta in wild type cells as signal was lost in IKB beta knockout cells. Wild-type and IKB beta knockout samples were subjected to SDS-PAGE. ab109509 and ab18058 (Mouse anti-Vinculin loading control) were incubated overnight at 4°C at 1/1000 dilution and 1/20000 dilution respectively. Blots were developed with Goat anti-Rabbit IgG H&L (IRDye® 800CW) preabsorbed ab216773 and Goat anti-Mouse IgG H&L (IRDye® 680RD) preabsorbed ab216776 secondary antibodies at 1/20000 dilution for 1 hour at room temperature before imaging.

All lanes:

Western blot - Anti-IKB beta antibody [EPR5037] (ab109509)

Predicted band size: 37 kDa

false

Western blot - Anti-IKB beta antibody [EPR5037] (AB109509)
  • WB

Unknown

Western blot - Anti-IKB beta antibody [EPR5037] (AB109509)

All lanes:

Western blot - Anti-IKB beta antibody [EPR5037] (ab109509) at 1/1000 dilution

Lane 1:

Jurkat cell lysate at 10 µg

Lane 2:

HeLa cell lysate at 10 µg

Lane 3:

THP-1 cell lysate at 10 µg

Lane 4:

MCF7 cell lysate at 10 µg

Predicted band size: 37 kDa

Observed band size: 48 kDa

false

Western blot - Anti-IKB beta antibody [EPR5037] (AB109509)
  • WB

Lab

Western blot - Anti-IKB beta antibody [EPR5037] (AB109509)

All lanes:

Western blot - Anti-IKB beta antibody [EPR5037] (ab109509) at 1/1000 dilution

All lanes:

HeLa (Human cervix adenocarcinoma epithelial cell) whole cell lysates at 15 µg

Secondary

All lanes:

Western blot - Goat Anti-Rabbit IgG H&L (HRP) (<a href='/products/secondary-antibodies/goat-rabbit-igg-h-l-hrp-ab97051'>ab97051</a>) at 1/20000 dilution

Predicted band size: 37 kDa

Observed band size: 48 kDa

false

不同偶联物与剂型 (1)

  • Carrier free

    Anti-IKB beta antibody [EPR5037] - BSA and Azide free

关键信息

宿主种属

Rabbit

克隆

Monoclonal

克隆号

EPR5037

亚型

IgG

不含载体蛋白

No

反应种属

Human

应用

WB, IP, IHC-P, Flow Cyt (Intra), ICC/IF

applications

免疫原

The exact immunogen used to generate this antibody is proprietary information.

反应性数据

{ "title": "Reactivity Data", "filters": { "stats": ["", "Species", "Dilution Info", "Notes"], "tabs": { "all-applications": {"fullname" : "All Applications", "shortname": "All Applications"}, "IHCP" : {"fullname" : "Immunohistochemistry (Formalin/PFA-fixed paraffin-embedded sections)", "shortname":"IHC-P"}, "IP" : {"fullname" : "Immunoprecipitation", "shortname":"IP"}, "WB" : {"fullname" : "Western blot", "shortname":"WB"}, "ICCIF" : {"fullname" : "Immunocytochemistry/ Immunofluorescence", "shortname":"ICC/IF"}, "FlowCytIntra" : {"fullname" : "Flow Cytometry (Intracellular)", "shortname":"Flow Cyt (Intra)"} }, "product-promise": { "all": "all", "testedAndGuaranteed": "tested", "guaranteed": "expected", "predicted": "predicted", "notRecommended": "not-recommended" } }, "values": { "Human": { "IHCP-species-checked": "testedAndGuaranteed", "IHCP-species-dilution-info": "1/500", "IHCP-species-notes": "<p><strong>For unpurified use at 1/100 - 1/250.</strong></p>", "IP-species-checked": "testedAndGuaranteed", "IP-species-dilution-info": "1/10 - 1/100", "IP-species-notes": "<p></p>", "WB-species-checked": "testedAndGuaranteed", "WB-species-dilution-info": "1/1000 - 1/10000", "WB-species-notes": "<p></p>", "ICCIF-species-checked": "testedAndGuaranteed", "ICCIF-species-dilution-info": "1/50", "ICCIF-species-notes": "<p><strong>For unpurified use at 1/100 - 1/250.</strong></p>", "FlowCytIntra-species-checked": "testedAndGuaranteed", "FlowCytIntra-species-dilution-info": "1/20", "FlowCytIntra-species-notes": "<p></p>" } } }

产品详情

Species reactivity
Mouse, Rat: We have preliminary internal testing data to indicate this antibody may not react with these species.
Please contact us for more information.

Patented technology
Our RabMAb® technology is a patented hybridoma-based technology for making rabbit monoclonal antibodies. For details on our patents, please refer to RabMAb® patents.

What are the advantages of a recombinant monoclonal antibody?
This product is a recombinant monoclonal antibody, which offers several advantages including:

  • - High batch-to-batch consistency and reproducibility
  • - Improved sensitivity and specificity
  • - Long-term security of supply
  • - Animal-free batch production

For more information, read more on recombinant antibodies.

性能和储存信息

形式
Liquid
纯化工艺
Affinity purification Protein A
存储溶液
pH: 7.2 - 7.4 Preservative: 0.01% Sodium azide Constituents: PBS, 40% Glycerol (glycerin, glycerine), 0.05% BSA
运输条件
Blue Ice
推荐的短期储存条件
+4°C
推荐的长期储存条件
-20°C
储存信息
Stable for 12 months at -20°C

产品实验方案

For this product, it's our understanding that no specific protocols are required. You can visit:

靶点信息

Inhibits NF-kappa-B by complexing with and trapping it in the cytoplasm. However, the unphosphorylated form resynthesized after cell stimulation is able to bind NF-kappa-B allowing its transport to the nucleus and protecting it to further NFKBIA-dependent inactivation. Association with inhibitor kappa B-interacting NKIRAS1 and NKIRAS2 prevent its phosphorylation rendering it more resistant to degradation, explaining its slower degradation.
See full target information NFKBIB

文献 (10)

Recent publications for all applications. Explore the full list and refine your search

Redox biology 55:102398 PubMed35841628

2022

Fast regulation of the NF-κB signalling pathway in human skeletal muscle revealed by high-intensity exercise and ischaemia at exhaustion: Role of oxygenation and metabolite accumulation.

Applications

Unspecified application

Species

Unspecified reactive species

Angel Gallego-Selles,Victor Galvan-Alvarez,Miriam Martinez-Canton,Eduardo Garcia-Gonzalez,David Morales-Alamo,Alfredo Santana,Juan Jose Gonzalez-Henriquez,Cecilia Dorado,Jose A L Calbet,Marcos Martin-Rincon

Frontiers in pharmacology 13:830532 PubMed35370722

2022

Extracts of Maxim Ameliorate Acute Alcoholic Liver Disease Regulating Transcription Factors in Mice.

Applications

Unspecified application

Species

Unspecified reactive species

Min Guo,Liwei Gu,Heping Hui,Xiaodong Li,Ling Jin

Experimental and therapeutic medicine 21:568 PubMed33850540

2021

TNF-α promotes insulin resistance in obstructive sleep apnea-hypopnea syndrome.

Applications

Unspecified application

Species

Unspecified reactive species

Lin Zhao,Yang Liu,Xiangrong Wang

Journal of ethnopharmacology 274:114070 PubMed33785356

2021

Egg yolk oils exert anti-inflammatory effect via regulating Nrf2/NF-κB pathway.

Applications

Unspecified application

Species

Unspecified reactive species

Nanhai Xiao,Yan Zhao,Wen He,Yao Yao,Na Wu,Mingsheng Xu,Huaying Du,Yonggang Tu

The American journal of pathology 191:838-856 PubMed33705752

2021

Gut-Lung Dysbiosis Accompanied by Diabetes Mellitus Leads to Pulmonary Fibrotic Change through the NF-κB Signaling Pathway.

Applications

Unspecified application

Species

Unspecified reactive species

Guang Wang,Yu-Xuan Hu,Mei-Yao He,Yun-Hai Xie,Wei Su,Denglu Long,Ran Zhao,Jingyun Wang,Chenyang Dai,Haiyang Li,Zhen-Peng Si,Xin Cheng,Rui-Man Li,Zhijie Li,Xuesong Yang

American journal of translational research 13:24-37 PubMed33527006

2021

A naturally derived small molecule NDSM253 inhibits IKK1 to suppress inflammation response and promote bone healing after fracture.

Applications

Unspecified application

Species

Unspecified reactive species

Liqi Shen,Yun Xiao,Hui Xie,Hongbin Zhao,Tao Luo,Lin Liu,Xuekun Pan

Molecular oncology 14:3211-3233 PubMed33040438

2020

Long noncoding RNA LINC01578 drives colon cancer metastasis through a positive feedback loop with the NF-κB/YY1 axis.

Applications

Unspecified application

Species

Unspecified reactive species

Jia Liu,Yang Zhan,Jiefu Wang,Junfeng Wang,Jiansheng Guo,Dalu Kong

Oncogene 38:6550-6565 PubMed31363162

2019

Nuclear KIT induces a NFKBIB-RELA-KIT autoregulatory loop in imatinib-resistant gastrointestinal stromal tumors.

Applications

Unspecified application

Species

Unspecified reactive species

Yuan-Shuo Hsueh,Hui Hua Chang,Yan-Shen Shan,H Sunny Sun,Jonathan Alfred Fletcher,Chien-Feng Li,Li-Tzong Chen

Nature medicine 24:154-164 PubMed29291352

2018

Recurrent ECSIT mutation encoding V140A triggers hyperinflammation and promotes hemophagocytic syndrome in extranodal NK/T cell lymphoma.

Applications

WB

Species

Unspecified reactive species

Haijun Wen,Huajuan Ma,Qichun Cai,Suxia Lin,Xinxing Lei,Bin He,Sijin Wu,Zifeng Wang,Yan Gao,Wensheng Liu,Weiping Liu,Qian Tao,Zijie Long,Min Yan,Dali Li,Keith W Kelley,Yongliang Yang,Huiqiang Huang,Quentin Liu

Scientific reports 7:7953 PubMed28801561

2017

Inflammation-mediated SOD-2 upregulation contributes to epithelial-mesenchymal transition and migration of tumor cells in aflatoxin G-induced lung adenocarcinoma.

Applications

Unspecified application

Species

Unspecified reactive species

Li Yi,Haitao Shen,Mei Zhao,Peilu Shao,Chunping Liu,Jinfeng Cui,Juan Wang,Can Wang,Ningfei Guo,Lifei Kang,Ping Lv,Lingxiao Xing,Xianghong Zhang
View all publications

Abcam Product Promise

我们致力于为您的研究提供高质量的试剂,为您科研的每一步提供支持。若我们的产品未能达到预期性能,我们向您提供 Abcam Product Promise 保障。
详情请参阅我们的条款与条件。

Please note: All products are 'FOR RESEARCH USE ONLY. NOT FOR USE IN DIAGNOSTIC OR THERAPEUTIC PROCEDURES'.

For licensing inquiries, please contact partnerships@abcam.com