JavaScript is disabled in your browser. Please enable JavaScript to view this website.
AB246696

重组Anti-IFNGR1抗体[EPR7866] - Low endotoxin,Azide free

Anti-IFNGR1 antibody [EPR7866] - Low endotoxin, Azide free

Be the first to review this product! Submit a review

|

(1 Publication)

Rabbit Recombinant Monoclonal IFNGR1 antibody. Carrier free. Suitable for IHC-P, WB, ICC/IF, Flow Cyt (Intra) and reacts with Human samples. Cited in 1 publication.

查看别名

CD119, Interferon gamma receptor 1, IFN-gamma receptor 1, IFN-gamma-R1, CDw119, Interferon gamma receptor alpha-chain, IFN-gamma-R-alpha, IFNGR1

6 Images
Flow Cytometry (Intracellular) - Anti-IFNGR1 antibody [EPR7866] - Low endotoxin, Azide free (AB246696)
  • Flow Cyt (Intra)

Unknown

Flow Cytometry (Intracellular) - Anti-IFNGR1 antibody [EPR7866] - Low endotoxin, Azide free (AB246696)

Intracellular Flow Cytometry analysis of HeLa (human cervix adenocarcinoma) cells labeling IFNGR1 (red) with ab134070 at a 1/1000 dilution. Cells were fixed with 80% methanol and permeabilized with 0.1% Tween-20. A goat anti-rabbit IgG (Alexa Fluor® 488) (ab150077) was used as the secondary antibody at a 1/2000 dilution. Black - Rabbit monoclonal IgG (ab172730). Blue (unlabeled control) - Cells without incubation with the primary and secondary antibodies.

This data was developed using the same antibody clone in a different buffer formulation containing PBS, BSA, glycerol, and sodium azide (ab134070).

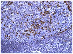
Immunohistochemistry (Formalin/PFA-fixed paraffin-embedded sections) - Anti-IFNGR1 antibody [EPR7866] - Low endotoxin, Azide free (AB246696)
  • IHC-P

Unknown

Immunohistochemistry (Formalin/PFA-fixed paraffin-embedded sections) - Anti-IFNGR1 antibody [EPR7866] - Low endotoxin, Azide free (AB246696)

Immunohistochemical analysis of paraffin-embedded Human tonsil tissue labelling IFNGR1 with ab134070 at 1/100 dilution.

This data was developed using the same antibody clone in a different buffer formulation containing PBS, BSA, glycerol, and sodium azide (ab134070).

Perform heat mediated antigen retrieval before commencing with IHC staining protocol.

Immunocytochemistry/ Immunofluorescence - Anti-IFNGR1 antibody [EPR7866] - Low endotoxin, Azide free (AB246696)
  • ICC/IF

Lab

Immunocytochemistry/ Immunofluorescence - Anti-IFNGR1 antibody [EPR7866] - Low endotoxin, Azide free (AB246696)

Immunocytochemistry/ Immunofluorescence analysis of MCF7 (human breast adenocarcinoma epithelial cell) cells labeling IFNGR1 with purified ab134070 at 1/100 dilution (10 μg/mL). Cells were fixed in 4% Paraformaldehyde and permeabilized with 0.1% tritonX-100. Cells were counterstained with ab195889 Anti-alpha Tubulin antibody [DM1A] - Microtubule Marker (Alexa Fluor® 594) 1/200 (2.5 μg/mL). Goat anti rabbit IgG (Alexa Fluor® 488, ab150077) was used as the secondary antibody at 1/1000 (2 μg/mL) dilution. DAPI (blue) was used as nuclear counterstain. ab195889 Anti-alpha Tubulin antibody [DM1A] - Microtubule Marker (Alexa Fluor® 594) 1/200 (2.5 μg/mL) was used as the secondary antibody only control.

This data was developed using the same antibody clone in a different buffer formulation containing PBS, BSA, glycerol, and sodium azide (ab134070).

Western blot - Anti-IFNGR1 antibody [EPR7866] - Low endotoxin, Azide free (AB246696)
  • WB

Lab

Western blot - Anti-IFNGR1 antibody [EPR7866] - Low endotoxin, Azide free (AB246696)

This data was developed using the same antibody clone in a different buffer formulation (ab134070).

Lanes 1 - 4 : Merged signal (red and green). Green - ab134070 observed at 60-80 kDa. Red - loading control ab7291 (Mouse anti-Alpha Tubulin [DM1A] observed at 55kDa.

ab134070 was shown to react with IFNGR1 in wild-type HEK-293 cells in western blot with loss of signal observed in IFNGR1 knockout sample. Wild-type and IFNGR1 knockout HEK-293 cell lysates were subjected to SDS-PAGE. Membranes were blocked in 3% milk in TBS-T (0.1% Tween®) before incubation with ab134070 and ab7291 (Mouse anti-Alpha Tubulin [DM1A] overnight at 4°C at a 1 in 1000 Dilution and a 1 in 20000 dilution respectively. Blots were incubated with Goat anti-Rabbit IgG H&L (IRDye® 800CW) preabsorbed (ab216773) and Goat anti-Mouse IgG H&L (IRDye® 680RD) preabsorbed (ab216776) secondary antibodies at 1 in 20000 dilution for 1 hour at room temperature before imaging.

All lanes:

Western blot - Anti-IFNGR1 antibody [EPR7866] (<a href='/products/primary-antibodies/ifngr1-antibody-epr7866-ab134070'>ab134070</a>) at 1/1000 dilution

Lane 1:

Wild-type HEK-293 (Human epithelial cell line from embryonic kidney) whole cell lysate at 20 µg

Lane 2:

IFNGR1 knockout HEK-293 (Human epithelial cell line from embryonic kidney) whole cell lysate at 20 µg

Lane 2:

Western blot - Human IFNGR1 knockout HEK-293 cell line (<a href='/products/cell-lines/human-ifngr1-knockout-hek-293-cell-line-ab269471'>ab269471</a>)

Lane 3:

Hep G2 (Human liver hepatocellular carcinoma cell line) whole cell lysate at 20 µg

Lane 4:

MCF7 (Human breast adenocarcinoma cell line) whole cell lysate at 20 µg

Predicted band size: 54 kDa

Observed band size: 60-80 kDa

false

Western blot - Anti-IFNGR1 antibody [EPR7866] - Low endotoxin, Azide free (AB246696)
  • WB

Lab

Western blot - Anti-IFNGR1 antibody [EPR7866] - Low endotoxin, Azide free (AB246696)

This data was developed using the same antibody clone in a different buffer formulation (ab134070 ).

Western blot : Anti-IFNGR1 antibody [EPR7866] (ab134070) staining at 1/1000 dilution, shown in green; Mouse anti-Alpha Tubulin [DM1A] (ab7291) loading control staining at 1/20000 dilution, shown in magenta. In Western blot, ab134070 was shown to bind specifically to IFNGR1. A band was observed at 70-75 kDa in wild-type A549 cell lysates with no signal observed at this size in IFNGR1 knockout cell line. To generate this image, wild-type and IFNGR1 knockout A549 cell lysates were analysed. First, samples were run on an SDS-PAGE gel then transferred onto a nitrocellulose membrane. Membranes were blocked in 3 % milk in TBS-0.1 % Tween® 20 (TBS-T) before incubation with primary antibodies overnight at 4 °C. Blots were washed four times in TBS-T, incubated with secondary antibodies for 1 h at room temperature, washed again four times then imaged. Secondary antibodies used were Goat anti-Rabbit IgG H&L 800CW and Goat anti-Mouse IgG H&L 680RD at 1/20000 dilution.

All lanes:

Western blot - Anti-IFNGR1 antibody [EPR7866] (<a href='/products/primary-antibodies/ifngr1-antibody-epr7866-ab134070'>ab134070</a>) at 1/1000 dilution

Lane 1:

Wild-type A549 cell lysate at 20 µg

Lane 2:

IFNGR1 knockout A549 cell lysate at 20 µg

Lane 2:

Western blot - Human IFNGR1 knockout A549 cell line (<a href='/products/cell-lines/human-ifngr1-knockout-a549-cell-line-ab287503'>ab287503</a>)

Lane 3:

Wild-type HEK-293 ab259780 cell lysate at 20 µg

Lane 4:

IGNGR1 knockout HEK-293 <a href='/products/cell-lines/human-ifngr1-knockout-hek-293-cell-line-ab269471'>ab269471</a> cell lysate at 20 µg

Secondary

All lanes:

Goat anti-Rabbit IgG H&L 800CW and Goat anti-Mouse IgG H&L 680RD at 1/20000 dilution

Observed band size: 70-75 kDa

false

OI-RD Scanning - Anti-IFNGR1 antibody [EPR7866] - Low endotoxin, Azide free (AB246696)
  • OI-RD Scanning

Unknown

OI-RD Scanning - Anti-IFNGR1 antibody [EPR7866] - Low endotoxin, Azide free (AB246696)

We have systematically measured KD (the equilibrium dissociation constant between the antibody and its antigen), of more than 840 recombinant antibodies to assess not only their individual KD values but also to see the average affinity of antibody. Based on the comparison with published literature values for mouse monoclonal antibodies, Recombinant antibodies appear to be on average 1-2 order of magnitude higher affinity.

关键信息

宿主种属

Rabbit

克隆

Monoclonal

克隆号

EPR7866

亚型

IgG

不含载体蛋白

Yes

反应种属

Human

应用

IHC-P, Flow Cyt (Intra), WB, ICC/IF

applications

免疫原

The exact immunogen used to generate this antibody is proprietary information.

反应性数据

{ "title": "Reactivity Data", "filters": { "stats": ["", "Species", "Dilution Info", "Notes"], "tabs": { "all-applications": {"fullname" : "All Applications", "shortname": "All Applications"}, "IHCP" : {"fullname" : "Immunohistochemistry (Formalin/PFA-fixed paraffin-embedded sections)", "shortname":"IHC-P"}, "IP" : {"fullname" : "Immunoprecipitation", "shortname":"IP"}, "WB" : {"fullname" : "Western blot", "shortname":"WB"}, "ICCIF" : {"fullname" : "Immunocytochemistry/ Immunofluorescence", "shortname":"ICC/IF"}, "FlowCytIntra" : {"fullname" : "Flow Cytometry (Intracellular)", "shortname":"Flow Cyt (Intra)"} }, "product-promise": { "all": "all", "testedAndGuaranteed": "tested", "guaranteed": "expected", "predicted": "predicted", "notRecommended": "not-recommended" } }, "values": { "Human": { "IHCP-species-checked": "testedAndGuaranteed", "IHCP-species-dilution-info": "", "IHCP-species-notes": "<p></p>", "IP-species-checked": "notRecommended", "IP-species-dilution-info": "", "IP-species-notes": "<p></p>", "WB-species-checked": "testedAndGuaranteed", "WB-species-dilution-info": "", "WB-species-notes": "<p></p>", "ICCIF-species-checked": "testedAndGuaranteed", "ICCIF-species-dilution-info": "", "ICCIF-species-notes": "<p></p>", "FlowCytIntra-species-checked": "testedAndGuaranteed", "FlowCytIntra-species-dilution-info": "", "FlowCytIntra-species-notes": "<p><a href='/products/primary-antibodies/rabbit-igg-monoclonal-epr25a-isotype-control-low-endotoxin-azide-free-ab199376'>ab199376</a> - Rabbit monoclonal IgG (Low endotoxin, Azide free), is suitable for use as an isotype control with this antibody.</p>" } } }

产品详情

ab246696 is the carrier-free version of ab134070.

Patented technology
Our RabMAb® technology is a patented hybridoma-based technology for making rabbit monoclonal antibodies. For details on our patents, please refer to RabMAb® patents.

What are the advantages of a recombinant monoclonal antibody?
This product is a recombinant monoclonal antibody, which offers several advantages including:

  • - High batch-to-batch consistency and reproducibility
  • - Improved sensitivity and specificity
  • - Long-term security of supply
  • - Animal-free batch production

For more information, read more on recombinant antibodies.

Conjugation ready
Our carrier-free antibodies are typically supplied in a PBS-only formulation, purified and free of BSA, sodium azide and glycerol. This conjugation-ready format is designed for use with fluorochromes, metal isotopes, oligonucleotides, and enzymes, which makes them ideal for antibody labelling, functional and cell-based assays, flow-based assays (e.g. mass cytometry) and Multiplex Imaging applications.

Use our conjugation kits for antibody conjugates that are ready-to-use in as little as 20 minutes with 1 minute hands-on-time and 100% antibody recovery: available for fluorescent dyes, HRP, biotin and gold.

Compatibility
This product is compatible with the Maxpar® Antibody Labeling Kit from Fluidigm, without the need for antibody preparation. Maxpar® is a trademark of Fluidigm Canada Inc.

What does low endotoxin mean?
Our low endotoxin, azide-free formats have low endotoxin level (1 EU/mg, determined by the TAL assay) and are free from azide, to achieve consistent experimental results in functional assays.

性能和储存信息

形式
Liquid
纯化工艺
Affinity purification Protein A
纯化说明
Endotoxin level is less than 1 EU/ml as determined by the TAL test.
存储溶液
pH: 7.2 - 7.4 Constituents: PBS
运输条件
Blue Ice
推荐的短期储存条件
+4°C
推荐的长期储存条件
+4°C
储存信息
Do Not Freeze

补充信息

This supplementary information is collated from multiple sources and compiled automatically.

The IFNGR1 protein also known as Interferon Gamma Receptor 1 is an integral component of the cell surface receptor for interferon-gamma (IFN-γ). It possesses a mass of approximately 53 kDa. IFNGR1 is expressed in various cell types including immune cells such as T cells and macrophages and is also present in other cell lines like HEK 293. This receptor binds to its specific ligand IFN-γ initiating a series of intracellular events that are essential for immune response modulation.
Biological function summary

IFNGR1 functions as part of the interferon-gamma receptor complex working alongside the IFNGR2 subunit. This interaction with IFNGR2 is important for the receptor to properly transmit signals inside the cell. The binding of interferon-gamma to this receptor complex activates the JAK-STAT signaling pathway promoting the transcription of genes that enhance the antimicrobial activity of immune cells and regulate cellular immunity.

Pathways

The IFNGR1 protein plays an important role in the JAK-STAT signaling pathway which is critical for mediating responses to interferon-gamma. Upon activation by IFN-γ IFNGR1 recruits JAK kinases leading to the phosphorylation of STAT1 a significant transcription factor. STAT1 then dimerizes and translocates to the nucleus where it induces the expression of genes involved in immune defense and inflammation. This process is vital for the body's ability to handle infections and other immunological challenges.

IFNGR1 is associated with susceptibility to infections and certain immune-related disorders. Mutations or deficiencies in IFNGR1 can lead to Mendelian Susceptibility to Mycobacterial Disease (MSMD) where individuals show increased vulnerability to mycobacterial infections. Additionally improper signaling through IFNGR1 is linked to chronic granulomatous disease which can involve defective functioning of the NADPH oxidase complex. Understanding IFNGR1's function and interactions is important for exploring new therapeutic strategies for these disorders.

产品实验方案

For this product, it's our understanding that no specific protocols are required. You can visit:

靶点信息

Receptor subunit for interferon gamma/INFG that plays crucial roles in antimicrobial, antiviral, and antitumor responses by activating effector immune cells and enhancing antigen presentation (PubMed : 20015550). Associates with transmembrane accessory factor IFNGR2 to form a functional receptor (PubMed : 10986460, PubMed : 2971451, PubMed : 7615558, PubMed : 7617032, PubMed : 7673114). Upon ligand binding, the intracellular domain of IFNGR1 opens out to allow association of downstream signaling components JAK1 and JAK2. In turn, activated JAK1 phosphorylates IFNGR1 to form a docking site for STAT1. Subsequent phosphorylation of STAT1 leads to dimerization, translocation to the nucleus, and stimulation of target gene transcription (PubMed : 28883123). STAT3 can also be activated in a similar manner although activation seems weaker. IFNGR1 intracellular domain phosphorylation also provides a docking site for SOCS1 that regulates the JAK-STAT pathway by competing with STAT1 binding to IFNGR1 (By similarity).
See full target information IFNGR1

文献 (1)

Recent publications for all applications. Explore the full list and refine your search

Discover. Oncology 14:28 PubMed36853387

2023

Estrogen-dependent activation of NCOA3 couples with p300 and NF-κB to mediate antiapoptotic genes in ER-positive breast cancer cells.

Applications

Unspecified application

Species

Unspecified reactive species

Jun Wang,Zhiyong Zhou
View all publications

Abcam Product Promise

我们致力于为您的研究提供高质量的试剂,为您科研的每一步提供支持。若我们的产品未能达到预期性能,我们向您提供 Abcam Product Promise 保障。
详情请参阅我们的条款与条件。

Please note: All products are 'FOR RESEARCH USE ONLY. NOT FOR USE IN DIAGNOSTIC OR THERAPEUTIC PROCEDURES'.

For licensing inquiries, please contact partnerships@abcam.com