JavaScript is disabled in your browser. Please enable JavaScript to view this website.
AB134070

重组Anti-IFNGR1抗体[EPR7866]

Anti-IFNGR1 antibody [EPR7866]

  • RabMAb
  • Recombinant
  • KO Validated
  • 20ul selling size
  • 了解详情

5

(1 Review)

|

(12 Publications)

Rabbit Recombinant Monoclonal IFNGR1 antibody. Suitable for IHC-P, WB, ICC/IF, Flow Cyt (Intra) and reacts with Human samples. Cited in 12 publications.

查看别名

CD119, Interferon gamma receptor 1, IFN-gamma receptor 1, IFN-gamma-R1, CDw119, Interferon gamma receptor alpha-chain, IFN-gamma-R-alpha, IFNGR1

9 Images
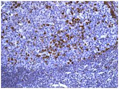
Immunohistochemistry (Formalin/PFA-fixed paraffin-embedded sections) - Anti-IFNGR1 antibody [EPR7866] (AB134070)
  • IHC-P

Unknown

Immunohistochemistry (Formalin/PFA-fixed paraffin-embedded sections) - Anti-IFNGR1 antibody [EPR7866] (AB134070)

Immunohistochemical analysis of paraffin-embedded Human tonsil tissue labelling IFNGR1 with ab134070 at 1/100 dilution.

Perform heat mediated antigen retrieval before commencing with IHC staining protocol.

Immunocytochemistry/ Immunofluorescence - Anti-IFNGR1 antibody [EPR7866] (AB134070)
  • ICC/IF

Lab

Immunocytochemistry/ Immunofluorescence - Anti-IFNGR1 antibody [EPR7866] (AB134070)

Immunocytochemistry/ Immunofluorescence analysis of MCF7 (human breast adenocarcinoma epithelial cell) cells labeling IFNGR1 with purified ab134070 at 1/100 dilution (10 μg/mL). Cells were fixed in 4% Paraformaldehyde and permeabilized with 0.1% tritonX-100. Cells were counterstained with ab195889 Anti-alpha Tubulin antibody [DM1A] - Microtubule Marker (Alexa Fluor® 594) 1/200 (2.5 μg/mL). Goat anti rabbit IgG (Alexa Fluor® 488, ab150077) was used as the secondary antibody at 1/1000 (2 μg/mL) dilution. DAPI (blue) was used as nuclear counterstain. ab195889 Anti-alpha Tubulin antibody [DM1A] - Microtubule Marker (Alexa Fluor® 594) 1/200 (2.5 μg/mL) was used as the secondary antibody only control.

Flow Cytometry (Intracellular) - Anti-IFNGR1 antibody [EPR7866] (AB134070)
  • Flow Cyt (Intra)

Lab

Flow Cytometry (Intracellular) - Anti-IFNGR1 antibody [EPR7866] (AB134070)

Flow cytometry overlay histogram showing wild-type HEK293 (green line) and IFNGR1 knockout HEK293 stained with ab134070 (red line). The cells were fixed with 4% formaldehyde (10 min) and then permeabilised with 0.1% PBS-Triton X-100 for 15 min. The cells were then incubated in 1x PBS containing 10% normal goat serum to block non-specific protein-protein interaction followed by the antibody (ab134070) (1x 106 in 100μl at 0.2 μg/ml (1/10000)) for 30min at 22°C.

The secondary antibody Goat Anti-Rabbit IgG H&L (Alexa Fluor® 488) preadsorbed was incubated at 1/4000 for 30min at 22°C

Isotype control antibody Recombinant Rabbit IgG, monoclonal [EPR25A] - Isotype Control was used at the same concentration and conditions as the primary antibody (wild-type HEK293 - black line, IFNGR1 knockout HEK293 - grey line). Unlabelled sample was also used as a control (this line is not shown for the purpose of simplicity).

Acquisition of >5000 events were collected using a 50 mW Blue laser (488nm) and 525/40 bandpass filter.

This antibody gave a positive signal in HEK293 Fixed with 80% methanol (5 min) / permeabilised with 0.1% PBS-Triton X-100 for 15 min under the same conditions.

Flow Cytometry (Intracellular) - Anti-IFNGR1 antibody [EPR7866] (AB134070)
  • Flow Cyt (Intra)

Unknown

Flow Cytometry (Intracellular) - Anti-IFNGR1 antibody [EPR7866] (AB134070)

Intracellular Flow Cytometry analysis of HeLa (human cervix adenocarcinoma) cells labeling IFNGR1 (red) with ab134070 at a 1/1000 dilution. Cells were fixed with 80% methanol and permeabilized with 0.1% Tween-20. A goat anti-rabbit IgG (Alexa Fluor® 488) (ab150077) was used as the secondary antibody at a 1/2000 dilution. Black - Rabbit monoclonal IgG (ab172730). Blue (unlabeled control) - Cells without incubation with the primary and secondary antibodies.

Western blot - Anti-IFNGR1 antibody [EPR7866] (AB134070)
  • WB

Lab

Western blot - Anti-IFNGR1 antibody [EPR7866] (AB134070)

Western blot : Anti-IFNGR1 antibody [EPR7866] (ab134070) staining at 1/1000 dilution, shown in green; Mouse anti-Alpha Tubulin [DM1A] (ab7291) loading control staining at 1/20000 dilution, shown in magenta. In Western blot, ab134070 was shown to bind specifically to IFNGR1. A band was observed at 70-75 kDa in wild-type A549 cell lysates with no signal observed at this size in IFNGR1 knockout cell line. To generate this image, wild-type and IFNGR1 knockout A549 cell lysates were analysed. First, samples were run on an SDS-PAGE gel then transferred onto a nitrocellulose membrane. Membranes were blocked in 3 % milk in TBS-0.1 % Tween® 20 (TBS-T) before incubation with primary antibodies overnight at 4 °C. Blots were washed four times in TBS-T, incubated with secondary antibodies for 1 h at room temperature, washed again four times then imaged. Secondary antibodies used were Goat anti-Rabbit IgG H&L 800CW and Goat anti-Mouse IgG H&L 680RD at 1/20000 dilution.

All lanes:

Western blot - Anti-IFNGR1 antibody [EPR7866] (ab134070) at 1/1000 dilution

Lane 1:

Wild-type A549 cell lysate at 20 µg

Lane 2:

IFNGR1 knockout A549 cell lysate at 20 µg

Lane 2:

Western blot - Human IFNGR1 knockout A549 cell line (<a href='/products/cell-lines/human-ifngr1-knockout-a549-cell-line-ab287503'>ab287503</a>)

Lane 3:

Wild-type HEK-293 ab259780 cell lysate at 20 µg

Lane 4:

IGNGR1 knockout HEK-293 <a href='/products/cell-lines/human-ifngr1-knockout-hek-293-cell-line-ab269471'>ab269471</a> cell lysate at 20 µg

Secondary

All lanes:

Goat anti-Rabbit IgG H&L 800CW and Goat anti-Mouse IgG H&L 680RD at 1/20000 dilution

Observed band size: 70-75 kDa

false

Western blot - Anti-IFNGR1 antibody [EPR7866] (AB134070)
  • WB

Unknown

Western blot - Anti-IFNGR1 antibody [EPR7866] (AB134070)

Lanes 1-3 : Merged signal (red and green). Green - ab134070 observed at 70-95 kDa. Red - loading control ab8245 observed at 36 kDa.

ab134070 Anti-IFNGR1 antibody [EPR7866] was shown to specifically react with IFNGR1 in wild-type HeLa cells. Loss of signal was observed when knockout cell line ab265111 (knockout cell lysate ab257477) was used. Wild-type and IFNGR1 knockout samples were subjected to SDS-PAGE. ab134070 and Anti-GAPDH antibody [6C5] - Loading Control (ab8245) were incubated overnight at 4°C at 1 in 1000 dilution and 1 in 20000 dilution respectively. Blots were developed with Goat anti-Rabbit IgG H&L (IRDye® 800CW) preadsorbed (ab216773) and Goat anti-Mouse IgG H&L (IRDye® 680RD) preadsorbed (ab216776) secondary antibodies at 1 in 20000 dilution for 1 hour at room temperature before imaging.

All lanes:

Western blot - Anti-IFNGR1 antibody [EPR7866] (ab134070) at 1/1000 dilution

Lane 1:

Wild-type HeLa cell lysate at 20 µg

Lane 2:

IFNGR1 knockout HeLa cell lysate at 20 µg

Lane 2:

Western blot - Human IFNGR1 knockout HeLa cell line (<a href='/products/cell-lines/human-ifngr1-knockout-hela-cell-line-ab265111'>ab265111</a>)

Lane 3:

HepG2 cell lysate at 20 µg

Secondary

All lanes:

Western blot - Goat anti-Rabbit IgG H&L (IRDye® 800CW) preadsorbed (<a href='/products/secondary-antibodies/goat-rabbit-igg-h-l-irdye-800cw-preadsorbed-ab216773'>ab216773</a>) at 1/10000 dilution

Predicted band size: 54 kDa

Observed band size: 70-95 kDa

false

Western blot - Anti-IFNGR1 antibody [EPR7866] (AB134070)
  • WB

Lab

Western blot - Anti-IFNGR1 antibody [EPR7866] (AB134070)

Lanes 1 - 4 : Merged signal (red and green). Green - ab134070 observed at 60-80 kDa. Red - loading control ab7291 (Mouse anti-Alpha Tubulin [DM1A] observed at 55kDa.

ab134070 was shown to react with IFNGR1 in wild-type HEK-293 cells in western blot with loss of signal observed in IFNGR1 knockout sample. Wild-type and IFNGR1 knockout HEK-293 cell lysates were subjected to SDS-PAGE. Membranes were blocked in 3% milk in TBS-T (0.1% Tween®) before incubation with ab134070 and ab7291 (Mouse anti-Alpha Tubulin [DM1A] overnight at 4°C at a 1 in 1000 Dilution and a 1 in 20000 dilution respectively. Blots were incubated with Goat anti-Rabbit IgG H&L (IRDye® 800CW) preabsorbed (ab216773) and Goat anti-Mouse IgG H&L (IRDye® 680RD) preabsorbed (ab216776) secondary antibodies at 1 in 20000 dilution for 1 hour at room temperature before imaging.

All lanes:

Western blot - Anti-IFNGR1 antibody [EPR7866] (ab134070) at 1/1000 dilution

Lane 1:

Wild-type HEK-293 (Human epithelial cell line from embryonic kidney) whole cell lysate at 20 µg

Lane 2:

IFNGR1 knockout HEK-293 (Human epithelial cell line from embryonic kidney) whole cell lysate at 20 µg

Lane 2:

Western blot - Human IFNGR1 knockout HEK-293 cell line (<a href='/products/cell-lines/human-ifngr1-knockout-hek-293-cell-line-ab269471'>ab269471</a>)

Lane 3:

Hep G2 (Human liver hepatocellular carcinoma cell line) whole cell lysate at 20 µg

Lane 4:

MCF7 (Human breast adenocarcinoma cell line) whole cell lysate at 20 µg

Predicted band size: 54 kDa

Observed band size: 60-80 kDa

false

Western blot - Anti-IFNGR1 antibody [EPR7866] (AB134070)
  • WB

Lab

Western blot - Anti-IFNGR1 antibody [EPR7866] (AB134070)

Blocking/Diluting buffer and concentration : 5% NFDM/TBST

All lanes:

Western blot - Anti-IFNGR1 antibody [EPR7866] (ab134070) at 1/1000 dilution

All lanes:

HepG2 (Human hepatocellular carcinoma epithelial cell) whole cell lysate at 20 µg

Secondary

All lanes:

Western blot - Goat Anti-Rabbit IgG H&L (HRP) (<a href='/products/secondary-antibodies/goat-rabbit-igg-h-l-hrp-ab97051'>ab97051</a>) at 1/20000 dilution

Predicted band size: 54 kDa

Observed band size: 55 kDa,75-90 kDa

false

Exposure time: 60s

OI-RD Scanning - Anti-IFNGR1 antibody [EPR7866] (AB134070)
  • OI-RD Scanning

Unknown

OI-RD Scanning - Anti-IFNGR1 antibody [EPR7866] (AB134070)

We have systematically measured KD (the equilibrium dissociation constant between the antibody and its antigen), of more than 840 recombinant antibodies to assess not only their individual KD values but also to see the average affinity of antibody. Based on the comparison with published literature values for mouse monoclonal antibodies, Recombinant antibodies appear to be on average 1-2 order of magnitude higher affinity.

不同偶联物与剂型 (3)

关键信息

宿主种属

Rabbit

克隆

Monoclonal

克隆号

EPR7866

亚型

IgG

不含载体蛋白

No

反应种属

Human

应用

IHC-P, ICC/IF, Flow Cyt (Intra), WB

applications

免疫原

The exact immunogen used to generate this antibody is proprietary information.

反应性数据

{ "title": "Reactivity Data", "filters": { "stats": ["", "Species", "Dilution Info", "Notes"], "tabs": { "all-applications": {"fullname" : "All Applications", "shortname": "All Applications"}, "IHCP" : {"fullname" : "Immunohistochemistry (Formalin/PFA-fixed paraffin-embedded sections)", "shortname":"IHC-P"}, "IP" : {"fullname" : "Immunoprecipitation", "shortname":"IP"}, "WB" : {"fullname" : "Western blot", "shortname":"WB"}, "ICCIF" : {"fullname" : "Immunocytochemistry/ Immunofluorescence", "shortname":"ICC/IF"}, "FlowCytIntra" : {"fullname" : "Flow Cytometry (Intracellular)", "shortname":"Flow Cyt (Intra)"} }, "product-promise": { "all": "all", "testedAndGuaranteed": "tested", "guaranteed": "expected", "predicted": "predicted", "notRecommended": "not-recommended" } }, "values": { "Human": { "IHCP-species-checked": "testedAndGuaranteed", "IHCP-species-dilution-info": "1/100 - 1/250", "IHCP-species-notes": "<p></p>", "IP-species-checked": "notRecommended", "IP-species-dilution-info": "", "IP-species-notes": "<p></p>", "WB-species-checked": "testedAndGuaranteed", "WB-species-dilution-info": "1/1000 - 1/10000", "WB-species-notes": "<p></p>", "ICCIF-species-checked": "testedAndGuaranteed", "ICCIF-species-dilution-info": "1/100", "ICCIF-species-notes": "<p></p>", "FlowCytIntra-species-checked": "testedAndGuaranteed", "FlowCytIntra-species-dilution-info": "1/1000", "FlowCytIntra-species-notes": "<p><a href='/products/primary-antibodies/rabbit-igg-monoclonal-epr25a-isotype-control-ab172730'>ab172730</a> - Rabbit monoclonal IgG, is suitable for use as an isotype control with this antibody.</p>" }, "Mouse": { "IHCP-species-checked": "notRecommended", "IHCP-species-dilution-info": "1/100 - 1/250", "IHCP-species-notes": "<p></p>", "IP-species-checked": "notRecommended", "IP-species-dilution-info": "", "IP-species-notes": "", "WB-species-checked": "notRecommended", "WB-species-dilution-info": "", "WB-species-notes": "", "ICCIF-species-checked": "notRecommended", "ICCIF-species-dilution-info": "", "ICCIF-species-notes": "", "FlowCytIntra-species-checked": "notRecommended", "FlowCytIntra-species-dilution-info": "", "FlowCytIntra-species-notes": "" } } }

产品详情

Patented technology
Our RabMAb® technology is a patented hybridoma-based technology for making rabbit monoclonal antibodies. For details on our patents, please refer to RabMAb® patents.

What are the advantages of a recombinant monoclonal antibody?
This product is a recombinant monoclonal antibody, which offers several advantages including:

  • - High batch-to-batch consistency and reproducibility
  • - Improved sensitivity and specificity
  • - Long-term security of supply
  • - Animal-free batch production

For more information, read more on recombinant antibodies.

性能和储存信息

形式
Liquid
纯化工艺
Affinity purification Protein A
存储溶液
pH: 7.2 - 7.4 Preservative: 0.01% Sodium azide Constituents: PBS, 50% Tissue culture supernatant, 40% Glycerol (glycerin, glycerine), 0.05% BSA
运输条件
Blue Ice
推荐的短期储存条件
+4°C
推荐的长期储存条件
-20°C
储存信息
Stable for 12 months at -20°C

补充信息

This supplementary information is collated from multiple sources and compiled automatically.

The IFNGR1 protein also known as Interferon Gamma Receptor 1 is an integral component of the cell surface receptor for interferon-gamma (IFN-γ). It possesses a mass of approximately 53 kDa. IFNGR1 is expressed in various cell types including immune cells such as T cells and macrophages and is also present in other cell lines like HEK 293. This receptor binds to its specific ligand IFN-γ initiating a series of intracellular events that are essential for immune response modulation.
Biological function summary

IFNGR1 functions as part of the interferon-gamma receptor complex working alongside the IFNGR2 subunit. This interaction with IFNGR2 is important for the receptor to properly transmit signals inside the cell. The binding of interferon-gamma to this receptor complex activates the JAK-STAT signaling pathway promoting the transcription of genes that enhance the antimicrobial activity of immune cells and regulate cellular immunity.

Pathways

The IFNGR1 protein plays an important role in the JAK-STAT signaling pathway which is critical for mediating responses to interferon-gamma. Upon activation by IFN-γ IFNGR1 recruits JAK kinases leading to the phosphorylation of STAT1 a significant transcription factor. STAT1 then dimerizes and translocates to the nucleus where it induces the expression of genes involved in immune defense and inflammation. This process is vital for the body's ability to handle infections and other immunological challenges.

IFNGR1 is associated with susceptibility to infections and certain immune-related disorders. Mutations or deficiencies in IFNGR1 can lead to Mendelian Susceptibility to Mycobacterial Disease (MSMD) where individuals show increased vulnerability to mycobacterial infections. Additionally improper signaling through IFNGR1 is linked to chronic granulomatous disease which can involve defective functioning of the NADPH oxidase complex. Understanding IFNGR1's function and interactions is important for exploring new therapeutic strategies for these disorders.

产品实验方案

For this product, it's our understanding that no specific protocols are required. You can visit:

靶点信息

Receptor subunit for interferon gamma/INFG that plays crucial roles in antimicrobial, antiviral, and antitumor responses by activating effector immune cells and enhancing antigen presentation (PubMed : 20015550). Associates with transmembrane accessory factor IFNGR2 to form a functional receptor (PubMed : 10986460, PubMed : 2971451, PubMed : 7615558, PubMed : 7617032, PubMed : 7673114). Upon ligand binding, the intracellular domain of IFNGR1 opens out to allow association of downstream signaling components JAK1 and JAK2. In turn, activated JAK1 phosphorylates IFNGR1 to form a docking site for STAT1. Subsequent phosphorylation of STAT1 leads to dimerization, translocation to the nucleus, and stimulation of target gene transcription (PubMed : 28883123). STAT3 can also be activated in a similar manner although activation seems weaker. IFNGR1 intracellular domain phosphorylation also provides a docking site for SOCS1 that regulates the JAK-STAT pathway by competing with STAT1 binding to IFNGR1 (By similarity).
See full target information IFNGR1

文献 (12)

Recent publications for all applications. Explore the full list and refine your search

Molecular oncology 19:151-172 PubMed39258533

2024

Enhancing immunotherapy through PD-L1 upregulation: the promising combination of anti-PD-L1 plus mTOR inhibitors.

Applications

Unspecified application

Species

Unspecified reactive species

Anna Hernández-Prat,Alejo Rodriguez-Vida,Laura Cardona,Mengjuan Qin,Oriol Arpí-Llucià,Luis Soria-Jiménez,Sílvia Menendez,Fabricio Gerel Quimis,Miguel Galindo,Edurne Arriola,Marta Salido,Nuria Juanpere-Rodero,Federico Rojo,Aura Muntasell,Joan Albanell,Ana Rovira,Joaquim Bellmunt

Emerging microbes & infections 13:2366359 PubMed38855910

2024

Deciphering lung granulomas in HIV & TB co-infection: unveiling macrophages aggregation with IL6R/STAT3 activation.

Applications

Unspecified application

Species

Unspecified reactive species

Qian Li,Cheng Wang,Jizhou Gou,Simo Kitanovski,XiangYi Tang,Yixuan Cai,Chenxia Zhang,Xiling Zhang,Zhenfeng Zhang,Yuanwang Qiu,Fang Zhao,Mengji Lu,Yun He,Jun Wang,Hongzhou Lu

The Journal of cell biology 223: PubMed38319288

2024

TNF and IFNγ-induced cell death requires IRF1 and ELAVL1 to promote CASP8 expression.

Applications

Unspecified application

Species

Unspecified reactive species

Buhao Deng,Jingyi Wang,Tingyun Yang,Zhao Deng,Jiafan Yuan,Bohan Zhang,Zhen Zhou,Fang Chen,Lu Fang,Chengzhi Liang,Bo Yan,Youwei Ai

Cell and tissue research 391:523-544 PubMed36543895

2022

Tumour necrosis factor alpha, interleukin 1 beta and interferon gamma have detrimental effects on equine tenocytes that cannot be rescued by IL-1RA or mesenchymal stromal cell-derived factors.

Applications

Unspecified application

Species

Unspecified reactive species

Emily J Smith,Ross E Beaumont,Alyce McClellan,Cheryl Sze,Esther Palomino Lago,Liberty Hazelgrove,Jayesh Dudhia,Roger K W Smith,Deborah J Guest

iScience 25:105249 PubMed36274954

2022

XDec-CHI reveals immunosuppressive interactions in pancreatic ductal adenocarcinoma.

Applications

Unspecified application

Species

Unspecified reactive species

Emily L LaPlante,Dongliang Liu,Varduhi Petrosyan,Qizhi Yao,Aleksandar Milosavljevic

Frontiers in immunology 13:960667 PubMed36045687

2022

Comprehensive transcriptome profiling of urothelial cells following TNFα stimulation in an interstitial cystitis/bladder pain syndrome model.

Applications

Unspecified application

Species

Unspecified reactive species

Tadeja Kuret,Dominika Peskar,Mateja Erdani Kreft,Andreja Erman,Peter Veranič

Cell death discovery 8:110 PubMed35277472

2022

New AKT-dependent mechanisms of anti-COVID-19 action of high-CBD Cannabis sativa extracts.

Applications

Unspecified application

Species

Unspecified reactive species

Bo Wang,Dongping Li,Anna Fiselier,Igor Kovalchuk,Olga Kovalchuk

Frontiers in immunology 13:773001 PubMed35154100

2022

Purine-Induced IFN-γ Promotes Uric Acid Production by Upregulating Xanthine Oxidoreductase Expression.

Applications

Unspecified application

Species

Unspecified reactive species

Huanhuan Wang,Lingzhu Xie,Xuhong Song,Jing Wang,Xinyan Li,Zhike Lin,Ting Su,Bin Liang,Dongyang Huang

Blood cancer discovery 3:136-153 PubMed35015685

2022

Blockade or Deletion of IFNγ Reduces Macrophage Activation without Compromising CAR T-cell Function in Hematologic Malignancies.

Applications

Unspecified application

Species

Unspecified reactive species

Stefanie R Bailey,Sonika Vatsa,Rebecca C Larson,Amanda A Bouffard,Irene Scarfò,Michael C Kann,Trisha R Berger,Mark B Leick,Marc Wehrli,Andrea Schmidts,Harrison Silva,Kevin A Lindell,Ashley Demato,Kathleen M E Gallagher,Matthew J Frigault,Marcela V Maus

Cellular and molecular gastroenterology and hepatology 12:465-487 PubMed33667716

2021

Paraspeckle Promotes Hepatocellular Carcinoma Immune Escape by Sequestering IFNGR1 mRNA.

Applications

Unspecified application

Species

Unspecified reactive species

Jie Zan,Xuya Zhao,Xiya Deng,Hongda Ding,Bi Wang,Minyi Lu,Zijing Wei,Zhi Huang,Shuai Wang
View all publications

Abcam Product Promise

我们致力于为您的研究提供高质量的试剂,为您科研的每一步提供支持。若我们的产品未能达到预期性能,我们向您提供 Abcam Product Promise 保障。
详情请参阅我们的条款与条件。

Please note: All products are 'FOR RESEARCH USE ONLY. NOT FOR USE IN DIAGNOSTIC OR THERAPEUTIC PROCEDURES'.

For licensing inquiries, please contact partnerships@abcam.com