JavaScript is disabled in your browser. Please enable JavaScript to view this website.
AB255273

重组Anti-IFITM1抗体[EPR22620-12] - BSA and Azide free

Anti-IFITM1 antibody [EPR22620-12] - BSA and Azide free

Be the first to review this product! Submit a review

|

(1 Publication)

Rabbit Recombinant Monoclonal IFITM1 antibody. Carrier free. Suitable for IP, WB, ICC/IF, Flow Cyt (Intra), IHC-P and reacts with Human samples. Cited in 1 publication.

查看别名

CD225, IFI17, IFITM1, Interferon-induced transmembrane protein 1, Dispanin subfamily A member 2a, Interferon-induced protein 17, Interferon-inducible protein 9-27, Leu-13 antigen, DSPA2a

5 Images
Immunohistochemistry (Formalin/PFA-fixed paraffin-embedded sections) - Anti-IFITM1 antibody [EPR22620-12] - BSA and Azide free (AB255273)
  • IHC-P

Unknown

Immunohistochemistry (Formalin/PFA-fixed paraffin-embedded sections) - Anti-IFITM1 antibody [EPR22620-12] - BSA and Azide free (AB255273)

Immunohistochemical analysis of paraffin-embedded human cerebrum tissue labeling IFITM1 with ab233545 at 1/2000 dilution, followed by Rabbit specific IHC polymer detection kit HRP/DAB (ab209101). Positive staining on blood vessels of human cerebrum (PMID : 24603679). Counter stained with hematoxylin.

Secondary antibody only control : Used PBS instead of primary antibody, secondary antibody is Rabbit specific IHC polymer detection kit HRP/DAB (ab209101).

Heat mediated antigen retrieval with Tris-EDTA buffer (pH 9.0, epitope retrieval solution 2) for 20 mins.

The section was incubated with ab233545 for 10 mins at room temperature.

The immunostaining was performed on a Leica Biosystems BOND® RX instrument.

This data was developed using the same antibody clone in a different buffer formulation containing PBS, BSA, glycerol, and sodium azide (ab233545).

Immunocytochemistry/ Immunofluorescence - Anti-IFITM1 antibody [EPR22620-12] - BSA and Azide free (AB255273)
  • ICC/IF

Unknown

Immunocytochemistry/ Immunofluorescence - Anti-IFITM1 antibody [EPR22620-12] - BSA and Azide free (AB255273)

Immunofluorescent analysis of 4% paraformaldehyde-fixed, 0.1% Triton X-100 permeabilized K562 (human chronic myelogenous leukemia cell line from bone marrow) or A549 (human lung carcinoma cell line) cells labeling IFITM1 with ab233545 at 1/500 dilution, followed by Goat Anti-Rabbit IgG H&L (Alexa Fluor® 488) (ab150077) secondary antibody at 1/1000 dilution (green). Confocal image showing membranous staining in K-562 cells. Negative control : A549 (PMID : 25105503). The nuclear cpounter stain is DAPI (blue). Tubulin is detected with Anti-alpha Tubulin antibody [DM1A] - Microtubule Marker (Alexa Fluor® 594) (ab195889) at 1/200 dilution (red).

PBS only control : Use PBS instead of primary antibody, followed by Goat Anti-Rabbit IgG H&L (Alexa Fluor® 488) (ab150077) secondary antibody at 1/1000 dilution.

This data was developed using the same antibody clone in a different buffer formulation containing PBS, BSA, glycerol, and sodium azide (ab233545).

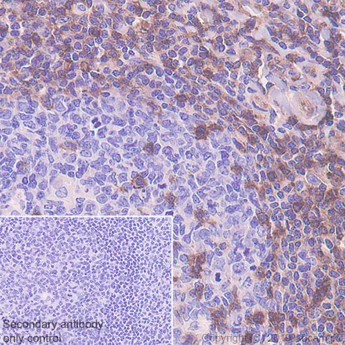
Immunohistochemistry (Formalin/PFA-fixed paraffin-embedded sections) - Anti-IFITM1 antibody [EPR22620-12] - BSA and Azide free (AB255273)
  • IHC-P

Unknown

Immunohistochemistry (Formalin/PFA-fixed paraffin-embedded sections) - Anti-IFITM1 antibody [EPR22620-12] - BSA and Azide free (AB255273)

Immunohistochemical analysis of paraffin-embedded human tonsil tissue labeling IFITM1 with ab233545 at 1/2000 dilution, followed by Rabbit specific IHC polymer detection kit HRP/DAB (ab209101). Positive staining on lymphocytes of human tonsil is observed. Counter stained with hematoxylin.

Secondary antibody only control : Used PBS instead of primary antibody, secondary antibody is Rabbit specific IHC polymer detection kit HRP/DAB (ab209101).

Heat mediated antigen retrieval with Tris-EDTA buffer (pH 9.0, epitope retrieval solution 2) for 20 mins.

The section was incubated with ab233545 for 10 mins at room temperature.

The immunostaining was performed on a Leica Biosystems BOND® RX instrument.

This data was developed using the same antibody clone in a different buffer formulation containing PBS, BSA, glycerol, and sodium azide (ab233545).

Flow Cytometry (Intracellular) - Anti-IFITM1 antibody [EPR22620-12] - BSA and Azide free (AB255273)
  • Flow Cyt (Intra)

Unknown

Flow Cytometry (Intracellular) - Anti-IFITM1 antibody [EPR22620-12] - BSA and Azide free (AB255273)

Intracellular flow cytometric analysis of 4% paraformaldehyde-fixed, 90% methanol-fixed K562 (human chronic myelogenous leukemia cell line from bone marrow) (Right) or A549 (human lung carcinoma cell line) (Left) cells labeling IFITM1 with ab233545 at 1/500 (red) compared with a Recombinant Rabbit IgG, monoclonal [EPR25A] - Isotype Control (ab172730) (black) and an unlabelled control (cells without incubation with primary antibody and secondary antibody) (blue).

Goat Anti-Rabbit IgG H&L (Alexa Fluor® 488) (ab150077), at 1/2000 dilution was used as the secondary antibody.

Negative control : A549 (PMID : 25105503).

This data was developed using the same antibody clone in a different buffer formulation containing PBS, BSA, glycerol, and sodium azide (ab233545).

Immunoprecipitation - Anti-IFITM1 antibody [EPR22620-12] - BSA and Azide free (AB255273)
  • IP

Unknown

Immunoprecipitation - Anti-IFITM1 antibody [EPR22620-12] - BSA and Azide free (AB255273)

IFITM1 was immunoprecipitated from 0.35 mg of K562 (human chronic myelogenous leukemia cell line from bone marrow) whole cell lysate with ab233545 at 1/30 dilution. Western blot was performed from the immunoprecipitate using ab233545 at 1/1000 dilution. VeriBlot for IP Detection Reagent (HRP) (ab131366), was used as secondary antibody at 1/5000 dilution.

Lane 1 : K562 whole cell lysate 10 μg (Input).
Lane 2 : ab233545 IP in K562 whole cell lysate.
Lane 3 : Rabbit monoclonal IgG (ab172730) instead of ab233545 in K562 whole cell lysate.

Blocking and dilution buffer and concentration : 5% NFDM/TBST.
Exposure time : 3 seconds.

This data was developed using the same antibody clone in a different buffer formulation containing PBS, BSA, glycerol, and sodium azide (ab233545).

All lanes:

Immunoprecipitation - Anti-IFITM1 antibody [EPR22620-12] (<a href='/products/primary-antibodies/ifitm1-antibody-epr22620-12-ab233545'>ab233545</a>)

Predicted band size: 13 kDa

Observed band size: 17 kDa

false

关键信息

宿主种属

Rabbit

克隆

Monoclonal

克隆号

EPR22620-12

亚型

IgG

不含载体蛋白

Yes

反应种属

Human

应用

WB, IP, IHC-P, Flow Cyt (Intra), ICC/IF

applications

免疫原

The exact immunogen used to generate this antibody is proprietary information.

反应性数据

{ "title": "Reactivity Data", "filters": { "stats": ["", "Species", "Dilution Info", "Notes"], "tabs": { "all-applications": {"fullname" : "All Applications", "shortname": "All Applications"}, "IP" : {"fullname" : "Immunoprecipitation", "shortname":"IP"}, "WB" : {"fullname" : "Western blot", "shortname":"WB"}, "ICCIF" : {"fullname" : "Immunocytochemistry/ Immunofluorescence", "shortname":"ICC/IF"}, "FlowCytIntra" : {"fullname" : "Flow Cytometry (Intracellular)", "shortname":"Flow Cyt (Intra)"}, "IHCP" : {"fullname" : "Immunohistochemistry (Formalin/PFA-fixed paraffin-embedded sections)", "shortname":"IHC-P"} }, "product-promise": { "all": "all", "testedAndGuaranteed": "tested", "guaranteed": "expected", "predicted": "predicted", "notRecommended": "not-recommended" } }, "values": { "Human": { "IP-species-checked": "testedAndGuaranteed", "IP-species-dilution-info": "", "IP-species-notes": "<p></p>", "WB-species-checked": "guaranteed", "WB-species-dilution-info": "", "WB-species-notes": "<p></p>", "ICCIF-species-checked": "testedAndGuaranteed", "ICCIF-species-dilution-info": "", "ICCIF-species-notes": "<p></p>", "FlowCytIntra-species-checked": "testedAndGuaranteed", "FlowCytIntra-species-dilution-info": "", "FlowCytIntra-species-notes": "<p></p>", "IHCP-species-checked": "testedAndGuaranteed", "IHCP-species-dilution-info": "", "IHCP-species-notes": "<p></p> Perform heat-mediated antigen retrieval with Tris/EDTA buffer pH 9.0 before commencing with IHC staining protocol." } } }

产品详情

ab255273 is the carrier-free version of ab233545.

Patented technology
Our RabMAb® technology is a patented hybridoma-based technology for making rabbit monoclonal antibodies. For details on our patents, please refer to RabMAb® patents.

What are the advantages of a recombinant monoclonal antibody?
This product is a recombinant monoclonal antibody, which offers several advantages including:

  • - High batch-to-batch consistency and reproducibility
  • - Improved sensitivity and specificity
  • - Long-term security of supply
  • - Animal-free batch production

For more information, read more on recombinant antibodies.

Conjugation ready
Our carrier-free antibodies are typically supplied in a PBS-only formulation, purified and free of BSA, sodium azide and glycerol. This conjugation-ready format is designed for use with fluorochromes, metal isotopes, oligonucleotides, and enzymes, which makes them ideal for antibody labelling, functional and cell-based assays, flow-based assays (e.g. mass cytometry) and Multiplex Imaging applications.

Use our conjugation kits for antibody conjugates that are ready-to-use in as little as 20 minutes with 1 minute hands-on-time and 100% antibody recovery: available for fluorescent dyes, HRP, biotin and gold.

Compatibility
This product is compatible with the Maxpar® Antibody Labeling Kit from Fluidigm, without the need for antibody preparation. Maxpar® is a trademark of Fluidigm Canada Inc.

性能和储存信息

形式
Liquid
纯化工艺
Affinity purification Protein A
存储溶液
pH: 7.2 - 7.4 Constituents: PBS
运输条件
Blue Ice
推荐的短期储存条件
+4°C
推荐的长期储存条件
+4°C
储存信息
Do Not Freeze

补充信息

This supplementary information is collated from multiple sources and compiled automatically.

IFITM1 also known as Interferon-Induced Transmembrane Protein 1 has a molecular weight of approximately 14 kDa. It is a transmembrane protein that plays an important role in host defense mechanisms. IFITM1 is expressed in various tissues including the respiratory tract gastrointestinal tract and the immune system where it serves in defending against pathogenic infections. The protein is usually found on the cell membrane and becomes highly expressed in response to interferon signaling.
Biological function summary

This protein inhibits viral entry by restricting the fusion of viral membranes with host cell membranes. IFITM1 does not function alone; it is part of the IFITM family which includes IFITM2 and IFITM3 each contributing to antiviral defense. The protein is strategically positioned to prevent the spread of viruses by blocking them from entering new cells which is important for managing viral propagation.

Pathways

IFITM1 engages the innate immune response pathway responding to viral infections by acting as a barrier to viral entry. It works alongside related proteins such as IFITM2 and IFITM3 within this pathway. IFITM1 is also part of the interferon pathway where its expression is upregulated in response to interferon signals. This relationship highlights its role in the immune response acting as a frontline protector against the invasion of viruses like influenza and others.

IFITM1 has a significant role in the context of viral infections and certain cancers. It is linked to resistance to viral infections such as influenza showing its importance in antiviral defense. In cancer aberrant expression of IFITM1 is observed in various types including breast and colorectal cancers impacting tumor progression and metastasis. The relationship of IFITM1 with interferon signaling highlights potential therapeutic targets where modulating its activity could influence disease outcomes.

产品实验方案

For this product, it's our understanding that no specific protocols are required. You can visit:

靶点信息

IFN-induced antiviral protein which inhibits the entry of viruses to the host cell cytoplasm, permitting endocytosis, but preventing subsequent viral fusion and release of viral contents into the cytosol. Active against multiple viruses, including influenza A virus, SARS coronaviruses (SARS-CoV and SARS-CoV-2), Marburg virus (MARV), Ebola virus (EBOV), Dengue virus (DNV), West Nile virus (WNV), human immunodeficiency virus type 1 (HIV-1) and hepatitis C virus (HCV) (PubMed : 26354436, PubMed : 33270927). Can inhibit : influenza virus hemagglutinin protein-mediated viral entry, MARV and EBOV GP1,2-mediated viral entry and SARS-CoV and SARS-CoV-2 S protein-mediated viral entry. Also implicated in cell adhesion and control of cell growth and migration (PubMed : 33270927). Inhibits SARS-CoV-2 S protein-mediated syncytia formation (PubMed : 33051876). Plays a key role in the antiproliferative action of IFN-gamma either by inhibiting the ERK activation or by arresting cell growth in G1 phase in a p53-dependent manner. Acts as a positive regulator of osteoblast differentiation. In hepatocytes, IFITM proteins act in a coordinated manner to restrict HCV infection by targeting the endocytosed HCV virion for lysosomal degradation (PubMed : 26354436). IFITM2 and IFITM3 display anti-HCV activity that may complement the anti-HCV activity of IFITM1 by inhibiting the late stages of HCV entry, possibly in a coordinated manner by trapping the virion in the endosomal pathway and targeting it for degradation at the lysosome (PubMed : 26354436).
See full target information IFITM1

文献 (1)

Recent publications for all applications. Explore the full list and refine your search

Frontiers in microbiology 13:861734 PubMed35359726

2022

Vitamin D3 Suppresses Human Cytomegalovirus-Induced Vascular Endothelial Apoptosis Rectification of Paradoxical m6A Modification of Mitochondrial Calcium Uniporter mRNA, Which Is Regulated by METTL3 and YTHDF3.

Applications

Unspecified application

Species

Unspecified reactive species

Wenbo Zhu,Hongbo Zhang,Shao Wang
View all publications

Abcam Product Promise

我们致力于为您的研究提供高质量的试剂,为您科研的每一步提供支持。若我们的产品未能达到预期性能,我们向您提供 Abcam Product Promise 保障。
详情请参阅我们的条款与条件。

Please note: All products are 'FOR RESEARCH USE ONLY. NOT FOR USE IN DIAGNOSTIC OR THERAPEUTIC PROCEDURES'.

For licensing inquiries, please contact partnerships@abcam.com