JavaScript is disabled in your browser. Please enable JavaScript to view this website.
AB117519

Anti-IFITM1抗体

Anti-IFITM1 antibody

Be the first to review this product! Submit a review

|

(1 Publication)

Rabbit Polyclonal IFITM1 antibody. Suitable for IHC-P and reacts with Human samples. Cited in 1 publication. Immunogen corresponding to Synthetic Peptide within Human IFITM1 conjugated to Keyhole Limpet Haemocyanin.

查看别名

CD225, IFI17, IFITM1, Interferon-induced transmembrane protein 1, Dispanin subfamily A member 2a, Interferon-induced protein 17, Interferon-inducible protein 9-27, Leu-13 antigen, DSPA2a

2 Images
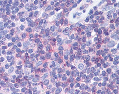
Immunohistochemistry (Formalin/PFA-fixed paraffin-embedded sections) - Anti-IFITM1 antibody (AB117519)
  • IHC-P

Unknown

Immunohistochemistry (Formalin/PFA-fixed paraffin-embedded sections) - Anti-IFITM1 antibody (AB117519)

ab117519, at 10 µg/ml, staining IFITM1 in in Formalin-fixed, Paraffin-embedded Human thymus tissue by Immunohistochemistry.

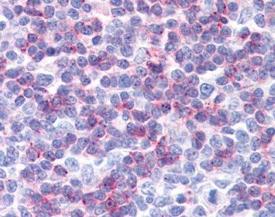
Immunohistochemistry (Formalin/PFA-fixed paraffin-embedded sections) - Anti-IFITM1 antibody (AB117519)
  • IHC-P

Unknown

Immunohistochemistry (Formalin/PFA-fixed paraffin-embedded sections) - Anti-IFITM1 antibody (AB117519)

ab117519, at 10 µg/ml, staining IFITM1 in in Formalin-fixed, Paraffin-embedded Human tonsil tissue by Immunohistochemistry.

关键信息

宿主种属

Rabbit

克隆

Polyclonal

亚型

IgG

不含载体蛋白

No

反应种属

Human

应用

IHC-P

applications

免疫原

Synthetic Peptide within Human IFITM1 conjugated to Keyhole Limpet Haemocyanin. The exact immunogen used to generate this antibody is proprietary information.

P13164

反应性数据

{ "title": "Reactivity Data", "filters": { "stats": ["", "Species", "Dilution Info", "Notes"], "tabs": { "all-applications": {"fullname" : "All Applications", "shortname": "All Applications"}, "IHCP" : {"fullname" : "Immunohistochemistry (Formalin/PFA-fixed paraffin-embedded sections)", "shortname":"IHC-P"} }, "product-promise": { "all": "all", "testedAndGuaranteed": "tested", "guaranteed": "expected", "predicted": "predicted", "notRecommended": "not-recommended" } }, "values": { "Human": { "IHCP-species-checked": "testedAndGuaranteed", "IHCP-species-dilution-info": "10 µg/mL", "IHCP-species-notes": "<p></p>" } } }

性能和储存信息

形式
Liquid
纯化工艺
Affinity purification Protein A
存储溶液
pH: 7.4 Preservative: 0.02% Sodium azide Constituents: PBS
运输条件
Blue Ice
推荐的短期储存时间
1-2 weeks
推荐的短期储存条件
+4°C
推荐的长期储存条件
-20°C
储存信息
Avoid freeze / thaw cycle

补充信息

This supplementary information is collated from multiple sources and compiled automatically.

IFITM1 also known as Interferon-Induced Transmembrane Protein 1 has a molecular weight of approximately 14 kDa. It is a transmembrane protein that plays an important role in host defense mechanisms. IFITM1 is expressed in various tissues including the respiratory tract gastrointestinal tract and the immune system where it serves in defending against pathogenic infections. The protein is usually found on the cell membrane and becomes highly expressed in response to interferon signaling.
Biological function summary

This protein inhibits viral entry by restricting the fusion of viral membranes with host cell membranes. IFITM1 does not function alone; it is part of the IFITM family which includes IFITM2 and IFITM3 each contributing to antiviral defense. The protein is strategically positioned to prevent the spread of viruses by blocking them from entering new cells which is important for managing viral propagation.

Pathways

IFITM1 engages the innate immune response pathway responding to viral infections by acting as a barrier to viral entry. It works alongside related proteins such as IFITM2 and IFITM3 within this pathway. IFITM1 is also part of the interferon pathway where its expression is upregulated in response to interferon signals. This relationship highlights its role in the immune response acting as a frontline protector against the invasion of viruses like influenza and others.

IFITM1 has a significant role in the context of viral infections and certain cancers. It is linked to resistance to viral infections such as influenza showing its importance in antiviral defense. In cancer aberrant expression of IFITM1 is observed in various types including breast and colorectal cancers impacting tumor progression and metastasis. The relationship of IFITM1 with interferon signaling highlights potential therapeutic targets where modulating its activity could influence disease outcomes.

产品实验方案

For this product, it's our understanding that no specific protocols are required. You can visit:

靶点信息

IFN-induced antiviral protein which inhibits the entry of viruses to the host cell cytoplasm, permitting endocytosis, but preventing subsequent viral fusion and release of viral contents into the cytosol. Active against multiple viruses, including influenza A virus, SARS coronaviruses (SARS-CoV and SARS-CoV-2), Marburg virus (MARV), Ebola virus (EBOV), Dengue virus (DNV), West Nile virus (WNV), human immunodeficiency virus type 1 (HIV-1) and hepatitis C virus (HCV) (PubMed : 26354436, PubMed : 33270927). Can inhibit : influenza virus hemagglutinin protein-mediated viral entry, MARV and EBOV GP1,2-mediated viral entry and SARS-CoV and SARS-CoV-2 S protein-mediated viral entry. Also implicated in cell adhesion and control of cell growth and migration (PubMed : 33270927). Inhibits SARS-CoV-2 S protein-mediated syncytia formation (PubMed : 33051876). Plays a key role in the antiproliferative action of IFN-gamma either by inhibiting the ERK activation or by arresting cell growth in G1 phase in a p53-dependent manner. Acts as a positive regulator of osteoblast differentiation. In hepatocytes, IFITM proteins act in a coordinated manner to restrict HCV infection by targeting the endocytosed HCV virion for lysosomal degradation (PubMed : 26354436). IFITM2 and IFITM3 display anti-HCV activity that may complement the anti-HCV activity of IFITM1 by inhibiting the late stages of HCV entry, possibly in a coordinated manner by trapping the virion in the endosomal pathway and targeting it for degradation at the lysosome (PubMed : 26354436).
See full target information IFITM1

文献 (1)

Recent publications for all applications. Explore the full list and refine your search

Cancer biology & therapy 22:66-78 PubMed33356802

2020

JAK-STAT inhibitor as a potential therapeutic opportunity in AML patients resistant to cytarabine and epigenetic therapy.

Applications

Unspecified application

Species

Unspecified reactive species

Govind Babu,Padmaparna Chaudhuri,Manoj Rajappa,Manjusha Biswas,Bipinesh Sansar,Chethan Rajegowda,Aneesha Radhakrishnan,Jayshree Advani,Biplab Tewary,Padhma Radhakrishnan,Saravanan Thiyagarajan,Aditi Chatterjee,Ram Shankar Upadhayaya,Pradip K Majumder
View all publications

Abcam Product Promise

我们致力于为您的研究提供高质量的试剂,为您科研的每一步提供支持。若我们的产品未能达到预期性能,我们向您提供 Abcam Product Promise 保障。
详情请参阅我们的条款与条件。

Please note: All products are 'FOR RESEARCH USE ONLY. NOT FOR USE IN DIAGNOSTIC OR THERAPEUTIC PROCEDURES'.

For licensing inquiries, please contact partnerships@abcam.com