JavaScript is disabled in your browser. Please enable JavaScript to view this website.
AB246343

重组Anti-IDH2抗体[EPR7576] - BSA and Azide free

Anti-IDH2 antibody [EPR7576] - BSA and Azide free

Be the first to review this product! Submit a review

|

(1 Publication)

Knockout Tested Rabbit Recombinant Monoclonal IDH2 antibody. Carrier free. Suitable for IHC-P, WB, ICC/IF, Flow Cyt (Intra) and reacts with Human, Mouse samples. Cited in 1 publication.

查看别名

IDH, ICD-M, IDP, NADP(+)-specific ICDH, Oxalosuccinate decarboxylase, IDH2

7 Images
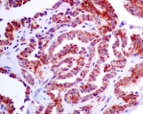
Immunohistochemistry (Formalin/PFA-fixed paraffin-embedded sections) - Anti-IDH2 antibody [EPR7576] - BSA and Azide free (AB246343)
  • IHC-P

Unknown

Immunohistochemistry (Formalin/PFA-fixed paraffin-embedded sections) - Anti-IDH2 antibody [EPR7576] - BSA and Azide free (AB246343)

ab129180, at 1/250 dilution, staining IDH2 in Formalin-fixed, Paraffin-embedded Human thyroid gland carcinoma by Immunohistochemistry.

This data was developed using the same antibody clone in a different buffer formulation containing PBS, BSA, glycerol, and sodium azide (ab129180).

Perform heat mediated antigen retrieval before commencing with IHC staining protocol.

Immunocytochemistry/ Immunofluorescence - Anti-IDH2 antibody [EPR7576] - BSA and Azide free (AB246343)
  • ICC/IF

Supplier Data

Immunocytochemistry/ Immunofluorescence - Anti-IDH2 antibody [EPR7576] - BSA and Azide free (AB246343)

Immunofluorescent analysis of 4% Paraformaldehyde-fixed, 0.1% Triton X-100 permeabilized Jurkat IDH2 knockout cells labeling IDH2 with ab129180 at 0.2 μg/ml. Cells were counterstained with ab7291 Anti-alpha Tubulin antibody [DM1A] at 1 : 1000 (1 μg/ml). Goat anti rabbit IgG (Alexa Fluor® 488 ab150081, green) and goat anti mouse IgG (Alexa Fluor® 594 ab150120, magenta) were used as the secondary antibodies at 1 : 1000 (2 μg/ml) dilution. The nuclear counterstain was DAPI (Blue).

Flow Cytometry (Intracellular) - Anti-IDH2 antibody [EPR7576] - BSA and Azide free (AB246343)
  • Flow Cyt (Intra)

Unknown

Flow Cytometry (Intracellular) - Anti-IDH2 antibody [EPR7576] - BSA and Azide free (AB246343)

Overlay histogram showing MCF7 cells stained with ab129180 (red line). The cells were fixed with 4% paraformaldehyde (10 min) and then permeabilized with 0.1% PBS-Tween for 20 min. The cells were then incubated in 1x PBS / 10% normal goat serum / 0.3M glycine to block non-specific protein-protein interactions followed by the antibody (ab129180, 1/10000 dilution) for 30 min at 22°C. The secondary antibody used was Alexa Fluor® 488 goat anti-rabbit IgG (H&L) (ab150077) at 1/2000 dilution for 30 min at 22°C. Isotype control antibody (black line) was rabbit IgG (monoclonal) (0.1μg/1x106 cells) used under the same conditions. Unlabelled sample (blue line) was also used as a control. Acquisition of >5,000 events were collected using a 20mW Argon ion laser (488nm) and 525/30 bandpass filter. This antibody gave a positive signal in MCF7 cells fixed with 80% methanol (5 min)/permeabilized with 0.1% PBS-Tween for 20 min used under the same conditions.

This data was developed using the same antibody clone in a different buffer formulation containing PBS, BSA, glycerol, and sodium azide (ab129180).

Flow Cytometry (Intracellular) - Anti-IDH2 antibody [EPR7576] - BSA and Azide free (AB246343)
  • Flow Cyt (Intra)

Lab

Flow Cytometry (Intracellular) - Anti-IDH2 antibody [EPR7576] - BSA and Azide free (AB246343)

This data was developed using ab129180, the same antibody clone in a different buffer formulation.

Flow cytometry overlay histogram showing wild-type Jurkat (green line) and IDH2 knockout Jurkat stained with ab129180 (magenta line). The cells were fixed with 80% methanol (5 min) and then permeabilised with 0.1% PBS-Triton X-100 for 15 min. The cells were then incubated in 1x PBS containing 10% normal goat serum to block non-specific protein-protein interaction followed by the antibody (ab129180) (1x 106 in 100μl at 0.008 μg/ml (1/111625)) for 30min at 22°C.

The secondary antibody Goat Anti-Rabbit IgG H&L (Alexa Fluor® 488) preadsorbed was incubated at 1/4000 for 30min at 22°C.

Isotype control antibody was Recombinant Rabbit IgG, monoclonal [EPR25A] - Isotype Control in Jurkat WT cells (black line) and Jurkat-IDH2 KO cells (grey line), used at the same concentration and conditions as the primary antibody.

Acquisition of >5000 events were collected using a 50 mW Blue laser (488nm) and 525/40 bandpass filter.

Western blot - Anti-IDH2 antibody [EPR7576] - BSA and Azide free (AB246343)
  • WB

Lab

Western blot - Anti-IDH2 antibody [EPR7576] - BSA and Azide free (AB246343)

Lane 1 : Wild-type HAP1 cell lysate (20 μg)
Lane 2 : IDH2 knockout HAP1 cell lysate (20 μg)
Lane 3 : K562 cell lysate (20 μg)
Lane 4 : HepG2 cell lysate (20 μg)
Lanes 1 - 4 : Merged signal (red and green). Green - ab129180 observed at 47 kDa. Red - loading control, ab8245, observed at 37 kDa.
ab129180 was shown to recognize IDH2 when IDH2 knockout samples were used, along with additional cross-reactive bands. Wild-type and IDH2 knockout samples were subjected to SDS-PAGE. ab129180 and ab8245 (loading control to GAPDH) were diluted 1/1000 and 1/2000 respectively and incubated overnight at 4°C. Blots were developed with Goat anti-Rabbit IgG H&L (IRDye® 800CW) preadsorbed (ab216773) and Goat anti-Mouse IgG H&L (IRDye® 680RD) preadsorbed (ab216776) secondary antibodies at 1/10000 dilution for 1 h at room temperature before imaging.

This data was developed using the same antibody clone in a different buffer formulation containing PBS, BSA, glycerol, and sodium azide (ab129180).

All lanes:

Western blot - Anti-IDH2 antibody [EPR7576] (<a href='/products/primary-antibodies/idh2-antibody-epr7576-ab129180'>ab129180</a>)

Predicted band size: 50 kDa

false

Western blot - Anti-IDH2 antibody [EPR7576] - BSA and Azide free (AB246343)
  • WB

Lab

Western blot - Anti-IDH2 antibody [EPR7576] - BSA and Azide free (AB246343)

This data was developed using the same antibody clone in a different buffer formulation (ab129180).

Western blot : Anti-IDH2 antibody [EPR7576] (ab129180) staining at 1/1000 dilution, shown in green; Mouse anti-GAPDH antibody [6C5] (ab8245) loading control staining at 1/20000 dilution, shown in magenta. In Western blot, ab129180 was shown to bind specifically to IDH2. A band was observed at 51 kDa in wild-type A549 cell lysates with no signal observed at this size in IDH2 knockout cell line. To generate this image, wild-type and IDH2 knockout A549 cell lysates were analysed. First, samples were run on an SDS-PAGE gel then transferred onto a nitrocellulose membrane. Membranes were blocked in 3 % milk in TBS-0.1 % Tween® 20 (TBS-T) before incubation with primary antibodies overnight at 4 °C. Blots were washed four times in TBS-T, incubated with secondary antibodies for 1 h at room temperature, washed again four times then imaged. Secondary antibodies used were Goat anti-Rabbit IgG H&L 800CW and Goat anti-Mouse IgG H&L 680RD at 1/20000 dilution.

All lanes:

Western blot - Anti-IDH2 antibody [EPR7576] (<a href='/products/primary-antibodies/idh2-antibody-epr7576-ab129180'>ab129180</a>) at 1/1000 dilution

Lane 1:

Wild-type A549 cell lysate at 20 µg

Lane 2:

IDH2 knockout A549 cell lysate at 20 µg

Lane 3:

Wild-type Jurkat cell lysate at 20 µg

Lane 4:

IDH2 knockout Jurkat <a href='/products/cell-lines/human-idh2-knockout-jurkat-cell-line-ab282331'>ab282331</a> cell lysate at 20 µg

Secondary

All lanes:

Goat anti-Rabbit IgG H&L 800CW and Goat anti-Mouse IgG H&L 680RD at 1/20000 dilution

Observed band size: 51 kDa

false

Western blot - Anti-IDH2 antibody [EPR7576] - BSA and Azide free (AB246343)
  • WB

Lab

Western blot - Anti-IDH2 antibody [EPR7576] - BSA and Azide free (AB246343)

False colour image of Western blot : Anti-IDH2 antibody [EPR7576] staining at 1/1000 dilution, shown in green; Mouse anti-GAPDH antibody [6C5] (ab8245) loading control staining at 1/20000 dilution, shown in red. In Western blot, ab129180 was shown to bind specifically to IDH2. A band was observed at 48 kDa in wild-type Jurkat cell lysates with no signal observed at this size in IDH2 knockout cell line ab282331 (knockout cell lysate ab283148). To generate this image, wild-type and IDH2 knockout Jurkat cell lysates were analysed. First, samples were run on an SDS-PAGE gel then transferred onto a nitrocellulose membrane. Membranes were blocked in 3 % milk in TBS-0.1 % Tween® 20 (TBS-T) before incubation with primary antibodies overnight at 4 °C. Blots were washed four times in TBS-T, incubated with secondary antibodies for 1 h at room temperature, washed again four times then imaged. Secondary antibodies used were Goat anti-Rabbit IgG H&L (IRDye® 800CW) preabsorbed (ab216773) and Goat anti-Mouse IgG H&L (IRDye® 680RD) preabsorbed (ab216776) at 1/20000 dilution.

All lanes:

Western blot - Anti-IDH2 antibody [EPR7576] (<a href='/products/primary-antibodies/idh2-antibody-epr7576-ab129180'>ab129180</a>) at 1/1000 dilution

Lane 1:

Wild-type Jurkat cell lysate at 20 µg

Lane 2:

IDH2 knockout Jurkat cell lysate at 20 µg

Lane 2:

Western blot - Human IDH2 knockout Jurkat cell line (<a href='/products/cell-lines/human-idh2-knockout-jurkat-cell-line-ab282331'>ab282331</a>)

Lane 3:

MOLT-4 cell lysate at 20 µg

Lane 4:

HEK-293 cell lysate at 20 µg

Predicted band size: 50 kDa

Observed band size: 48 kDa

false

不同偶联物与剂型 (1)

关键信息

宿主种属

Rabbit

克隆

Monoclonal

克隆号

EPR7576

亚型

IgG

不含载体蛋白

Yes

反应种属

Mouse, Human

应用

WB, IHC-P, ICC/IF, Flow Cyt (Intra)

applications

免疫原

The exact immunogen used to generate this antibody is proprietary information.

反应性数据

{ "title": "Reactivity Data", "filters": { "stats": ["", "Species", "Dilution Info", "Notes"], "tabs": { "all-applications": {"fullname" : "All Applications", "shortname": "All Applications"}, "IHCP" : {"fullname" : "Immunohistochemistry (Formalin/PFA-fixed paraffin-embedded sections)", "shortname":"IHC-P"}, "IP" : {"fullname" : "Immunoprecipitation", "shortname":"IP"}, "WB" : {"fullname" : "Western blot", "shortname":"WB"}, "ICCIF" : {"fullname" : "Immunocytochemistry/ Immunofluorescence", "shortname":"ICC/IF"}, "FlowCytIntra" : {"fullname" : "Flow Cytometry (Intracellular)", "shortname":"Flow Cyt (Intra)"} }, "product-promise": { "all": "all", "testedAndGuaranteed": "tested", "guaranteed": "expected", "predicted": "predicted", "notRecommended": "not-recommended" } }, "values": { "Human": { "IHCP-species-checked": "testedAndGuaranteed", "IHCP-species-dilution-info": "", "IHCP-species-notes": "<p></p> Perform heat-mediated antigen retrieval before commencing with IHC staining protocol.", "IP-species-checked": "notRecommended", "IP-species-dilution-info": "", "IP-species-notes": "<p></p>", "WB-species-checked": "testedAndGuaranteed", "WB-species-dilution-info": "", "WB-species-notes": "<p></p>", "ICCIF-species-checked": "testedAndGuaranteed", "ICCIF-species-dilution-info": "", "ICCIF-species-notes": "<p></p>", "FlowCytIntra-species-checked": "testedAndGuaranteed", "FlowCytIntra-species-dilution-info": "", "FlowCytIntra-species-notes": "<p></p>" }, "Mouse": { "IHCP-species-checked": "guaranteed", "IHCP-species-dilution-info": "", "IHCP-species-notes": "<p></p> Perform heat-mediated antigen retrieval before commencing with IHC staining protocol.", "IP-species-checked": "notRecommended", "IP-species-dilution-info": "", "IP-species-notes": "<p></p>", "WB-species-checked": "guaranteed", "WB-species-dilution-info": "", "WB-species-notes": "<p></p>", "ICCIF-species-checked": "notRecommended", "ICCIF-species-dilution-info": "", "ICCIF-species-notes": "<p></p>", "FlowCytIntra-species-checked": "predicted", "FlowCytIntra-species-dilution-info": "", "FlowCytIntra-species-notes": "" }, "Rat": { "IHCP-species-checked": "predicted", "IHCP-species-dilution-info": "", "IHCP-species-notes": "", "IP-species-checked": "notRecommended", "IP-species-dilution-info": "", "IP-species-notes": "", "WB-species-checked": "predicted", "WB-species-dilution-info": "", "WB-species-notes": "", "ICCIF-species-checked": "notRecommended", "ICCIF-species-dilution-info": "", "ICCIF-species-notes": "", "FlowCytIntra-species-checked": "predicted", "FlowCytIntra-species-dilution-info": "", "FlowCytIntra-species-notes": "" } } }

产品详情

ab246343 is the carrier-free version of ab129180.

Patented technology
Our RabMAb® technology is a patented hybridoma-based technology for making rabbit monoclonal antibodies. For details on our patents, please refer to RabMAb® patents.

What are the advantages of a recombinant monoclonal antibody?
This product is a recombinant monoclonal antibody, which offers several advantages including:

  • - High batch-to-batch consistency and reproducibility
  • - Improved sensitivity and specificity
  • - Long-term security of supply
  • - Animal-free batch production

For more information, read more on recombinant antibodies.

Conjugation ready
Our carrier-free antibodies are typically supplied in a PBS-only formulation, purified and free of BSA, sodium azide and glycerol. This conjugation-ready format is designed for use with fluorochromes, metal isotopes, oligonucleotides, and enzymes, which makes them ideal for antibody labelling, functional and cell-based assays, flow-based assays (e.g. mass cytometry) and Multiplex Imaging applications.

Use our conjugation kits for antibody conjugates that are ready-to-use in as little as 20 minutes with 1 minute hands-on-time and 100% antibody recovery: available for fluorescent dyes, HRP, biotin and gold.

Compatibility
This product is compatible with the Maxpar® Antibody Labeling Kit from Fluidigm, without the need for antibody preparation. Maxpar® is a trademark of Fluidigm Canada Inc.

性能和储存信息

形式
Liquid
纯化工艺
Affinity purification Protein A
存储溶液
pH: 7.2 - 7.4 Constituents: PBS
运输条件
Blue Ice
推荐的短期储存条件
+4°C
推荐的长期储存条件
+4°C
储存信息
Do Not Freeze

补充信息

This supplementary information is collated from multiple sources and compiled automatically.

Isocitrate dehydrogenase 2 (IDH2) is an enzyme that converts isocitrate to alpha-ketoglutarate in the citric acid cycle through oxidative decarboxylation. IDH2 also known as NADP-dependent isocitrate dehydrogenase has a molecular weight of about 51 kDa. This protein expresses in the mitochondria serving an important role in cellular energy production and intermediary metabolism. By facilitating this conversion IDH2 impacts cellular respiration and energy balance.
Biological function summary

The IDH2 enzyme facilitates cellular metabolism by producing NADPH critical for biosynthesis and antioxidant defense. It functions within the oxidative decarboxylation of isocitrate providing reducing equivalents to keep cellular redox balance. Although not part of a larger enzymatic complex IDH2 acts synergistically with other metabolic enzymes to maintain cellular biochemical pathways.

Pathways

The IDH2 protein participates in the citric acid cycle and redox homeostasis. IDH2 contributes to the tricarboxylic acid (TCA) pathway coupling with other TCA components such as citrate synthase and aconitase. Within the redox pathway it influences glucose metabolism via its link with enzymes like NADPH oxidase ensuring a steady supply of NADPH for biosynthetic reactions.

The IDH2 protein links to certain cancers like acute myeloid leukemia (AML) due to mutations such as IDH2 R140Q and IDH2 R172K which lead to the production of oncometabolite 2-hydroxyglutarate. This oncometabolite influences epigenetic regulation and cellular differentiation. IDH2 mutations often associate with altered tumor suppressor pathways involving proteins like TP53 contributing to tumorigenesis and impaired cellular differentiation.

产品实验方案

For this product, it's our understanding that no specific protocols are required. You can visit:

靶点信息

Plays a role in intermediary metabolism and energy production (PubMed : 19228619, PubMed : 22416140). It may tightly associate or interact with the pyruvate dehydrogenase complex (PubMed : 19228619, PubMed : 22416140).
See full target information IDH2

文献 (1)

Recent publications for all applications. Explore the full list and refine your search

Molecular therapy. Nucleic acids 33:698-712 PubMed37662970

2023

Selection of a novel cell-internalizing RNA aptamer specific for CD22 antigen in B cell acute lymphoblastic leukemia.

Applications

Unspecified application

Species

Unspecified reactive species

Dario Ruiz-Ciancio,Li-Hsien Lin,Suresh Veeramani,Maya N Barros,Diego Sanchez,Ary Lautaro Di Bartolo,Diego Masone,Paloma H Giangrande,María Belén Mestre,William H Thiel
View all publications

Abcam Product Promise

我们致力于为您的研究提供高质量的试剂,为您科研的每一步提供支持。若我们的产品未能达到预期性能,我们向您提供 Abcam Product Promise 保障。
详情请参阅我们的条款与条件。

Please note: All products are 'FOR RESEARCH USE ONLY. NOT FOR USE IN DIAGNOSTIC OR THERAPEUTIC PROCEDURES'.

For licensing inquiries, please contact partnerships@abcam.com