JavaScript is disabled in your browser. Please enable JavaScript to view this website.
AB232785

Anti-ICAM5抗体

Anti-ICAM5 antibody

Be the first to review this product! Submit a review

|

(2 Publications)

Rabbit Polyclonal ICAM5 antibody. Suitable for WB, IHC-P and reacts with Mouse, Pig, Human samples. Cited in 2 publications. Immunogen corresponding to Recombinant Fragment Protein within Human ICAM5 aa 400-700.

查看别名

TLCN, TLN, ICAM5, Intercellular adhesion molecule 5, ICAM-5, Telencephalin

4 Images
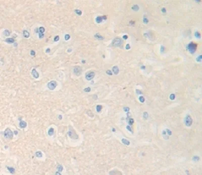
Immunohistochemistry (Formalin/PFA-fixed paraffin-embedded sections) - Anti-ICAM5 antibody (AB232785)
  • IHC-P

Supplier Data

Immunohistochemistry (Formalin/PFA-fixed paraffin-embedded sections) - Anti-ICAM5 antibody (AB232785)

Formalin-fixed, paraffin-embedded human brain tissue stained for ICAM5 with ab232785 at 20 μg/ml in immunohistochemical analysis. DAB staining.

Western blot - Anti-ICAM5 antibody (AB232785)
  • WB

Supplier Data

Western blot - Anti-ICAM5 antibody (AB232785)

All lanes:

Western blot - Anti-ICAM5 antibody (ab232785) at 2 µg/mL

All lanes:

Recombinant human ICAM5 protein

Predicted band size: 97 kDa

false

Western blot - Anti-ICAM5 antibody (AB232785)
  • WB

Supplier Data

Western blot - Anti-ICAM5 antibody (AB232785)

All lanes:

Western blot - Anti-ICAM5 antibody (ab232785) at 1 µg/mL

All lanes:

Mouse cerebrum lysate

Predicted band size: 97 kDa

false

Western blot - Anti-ICAM5 antibody (AB232785)
  • WB

Supplier Data

Western blot - Anti-ICAM5 antibody (AB232785)

All lanes:

Western blot - Anti-ICAM5 antibody (ab232785) at 1 µg/mL

All lanes:

Pig cerebrum lysate

Predicted band size: 97 kDa

false

关键信息

宿主种属

Rabbit

克隆

Polyclonal

亚型

IgG

不含载体蛋白

No

反应种属

Mouse, Human, Pig

应用

WB, IHC-P

applications

免疫原

Recombinant Fragment Protein within Human ICAM5 aa 400-700. The exact immunogen used to generate this antibody is proprietary information.

Q9UMF0

反应性数据

{ "title": "Reactivity Data", "filters": { "stats": ["", "Species", "Dilution Info", "Notes"], "tabs": { "all-applications": {"fullname" : "All Applications", "shortname": "All Applications"}, "WB" : {"fullname" : "Western blot", "shortname":"WB"}, "IHCP" : {"fullname" : "Immunohistochemistry (Formalin/PFA-fixed paraffin-embedded sections)", "shortname":"IHC-P"} }, "product-promise": { "all": "all", "testedAndGuaranteed": "tested", "guaranteed": "expected", "predicted": "predicted", "notRecommended": "not-recommended" } }, "values": { "Human": { "WB-species-checked": "testedAndGuaranteed", "WB-species-dilution-info": "0.2-2 µg/mL", "WB-species-notes": "<p></p>", "IHCP-species-checked": "testedAndGuaranteed", "IHCP-species-dilution-info": "5-20 µg/mL", "IHCP-species-notes": "<p></p>" }, "Mouse": { "WB-species-checked": "testedAndGuaranteed", "WB-species-dilution-info": "0.2-2 µg/mL", "WB-species-notes": "<p></p>", "IHCP-species-checked": "guaranteed", "IHCP-species-dilution-info": "", "IHCP-species-notes": "" }, "Pig": { "WB-species-checked": "testedAndGuaranteed", "WB-species-dilution-info": "0.2-2 µg/mL", "WB-species-notes": "<p></p>", "IHCP-species-checked": "guaranteed", "IHCP-species-dilution-info": "", "IHCP-species-notes": "" } } }

性能和储存信息

形式
Liquid
纯化工艺
Affinity purification Immunogen
纯化说明
Antigen-specific affinity chromatography followed by Protein A affinity chromatography.
存储溶液
pH: 7.4 Preservative: 0.02% Sodium azide Constituents: PBS, 55.77% Glycerol (glycerin, glycerine)
运输条件
Blue Ice
推荐的短期储存时间
1-2 weeks
推荐的短期储存条件
+4°C
推荐的长期储存条件
-20°C
分装信息
Upon delivery aliquot
储存信息
Avoid freeze / thaw cycle

补充信息

This supplementary information is collated from multiple sources and compiled automatically.

ICAM5 also known as Telencephalin is an intercellular adhesion molecule with a molecular mass of approximately 130 kDa. This protein is mainly expressed in the brain specifically in neurons of the telencephalon region. ICAM5 belongs to the immunoglobulin superfamily and plays a role in cell-cell adhesion. It does not demonstrate tight adherence like other ICAMs which suggests its specific function might differ from other ICAM family members.
Biological function summary

ICAM5 participates in neuron-neuron adhesion processes. It plays a significant role in the development and maintenance of synaptic structures in the nervous system. ICAM5 does not form a complex with other proteins in its functioning. It contributes to the organization and stabilization of dendritic spines which are important for synaptic plasticity and neural communication. This involvement highlights the importance of ICAM5 in neural development and synaptic function.

Pathways

ICAM5 integrates into signaling pathways related to neuronal development and synaptic plasticity. It is a part of the adhesion and cell recognition processes in neural systems. Through its involvement ICAM5 associates with pathways like the glutamatergic synapse pathway. Additionally ICAM5 shows a connection with proteins involved in membrane transport and neuronal signaling such as NMDARs (N-methyl-D-aspartate receptors) emphasizing its role in synaptic modulation.

ICAM5 relates to conditions affecting the nervous system such as schizophrenia and Alzheimer's disease. Studies indicate alterations in ICAM5 expression levels in patients with these diseases suggesting a potential impact on synaptic integrity and function. In Alzheimer's disease ICAM5 interacts with pathways involving beta-amyloid peptide accumulation indicating a possible connection with oxidative stress and neurodegenerative processes. In schizophrenia disruptions in ICAM5 associations with neural adhesion molecules could affect synaptic signaling and stability contributing to cognitive deficits.

产品实验方案

For this product, it's our understanding that no specific protocols are required. You can visit:

靶点信息

ICAM proteins are ligands for the leukocyte adhesion protein LFA-1 (integrin alpha-L/beta-2).
See full target information ICAM5

文献 (2)

Recent publications for all applications. Explore the full list and refine your search

Molecular medicine reports 31: PubMed39886972

2025

Triptolide reverses cis‑diamminedichloroplatinum resistance in esophageal squamous cell carcinoma by suppressing glycolysis and causing mitochondrial malfunction.

Applications

Unspecified application

Species

Unspecified reactive species

Kuiyuan Liu,Jia Liu,Tiebao Meng,Nan Wu,Juntao Liu,Mingxu Qiao,Liangyi Dong,Jingeng Liu

The Journal of neuroscience : the official journal of the Society for Neuroscience 40:1355-1365 PubMed31882402

2019

ICAM5 as a Novel Target for Treating Cognitive Impairment in Fragile X Syndrome.

Applications

Unspecified application

Species

Unspecified reactive species

Ya-Ping Pei,Yue-Yi Wang,Dan Liu,Hui-Yang Lei,Zhi-Hao Yang,Zi-Wei Zhang,Man Han,Ke Cheng,Yu-Shan Chen,Jin-Quan Li,Gui-Rong Cheng,Lang Xu,Qing-Ming Wu,Shawn M McClintock,Ying Yang,Yong Zhang,Yan Zeng
View all publications

Abcam Product Promise

我们致力于为您的研究提供高质量的试剂,为您科研的每一步提供支持。若我们的产品未能达到预期性能,我们向您提供 Abcam Product Promise 保障。
详情请参阅我们的条款与条件。

Please note: All products are 'FOR RESEARCH USE ONLY. NOT FOR USE IN DIAGNOSTIC OR THERAPEUTIC PROCEDURES'.

For licensing inquiries, please contact partnerships@abcam.com