JavaScript is disabled in your browser. Please enable JavaScript to view this website.
AB53013

Anti-ICAM1 抗体 [EP1442Y]

Anti-ICAM1 antibody [EP1442Y]

Be the first to review this product! Submit a review

|

(59 Publications)

Rabbit Recombinant Monoclonal ICAM1 antibody. Suitable for WB, IHC-P and reacts with Human samples. Cited in 59 publications.

查看别名

CD54, Intercellular adhesion molecule 1, ICAM-1, Major group rhinovirus receptor, ICAM1

6 Images
Western blot - Anti-ICAM1 antibody [EP1442Y] (AB53013)
  • WB

Unknown

Western blot - Anti-ICAM1 antibody [EP1442Y] (AB53013)

The molecular mass observed is consistent with what has been described in the literatures (PMID : 29777158, 30082828, 31244919).

All lanes:

Western blot - Anti-ICAM1 antibody [EP1442Y] (ab53013) at 1/1000 dilution

Lane 1:

Untreated HUVEC (Human umbilical vein endothelial cell) whole cell lysate at 20 µg

Lane 2:

HUVEC (Human umbilical vein endothelial cell) treated with 50ng/ml TNF-α for 24 hours whole cell lysate at 20 µg

Lane 3:

Raji (Human Burkitt's lymphoma B lymphocyte) whole cell lysate at 20 µg

Secondary

All lanes:

Western blot - Goat Anti-Rabbit IgG H&L (HRP) (<a href='/products/secondary-antibodies/goat-rabbit-igg-h-l-hrp-ab97051'>ab97051</a>) at 1/20000 dilution

Predicted band size: 57 kDa

false

Immunohistochemistry (Formalin/PFA-fixed paraffin-embedded sections) - Anti-ICAM1 antibody [EP1442Y] (AB53013)
  • IHC-P

Lab

Immunohistochemistry (Formalin/PFA-fixed paraffin-embedded sections) - Anti-ICAM1 antibody [EP1442Y] (AB53013)

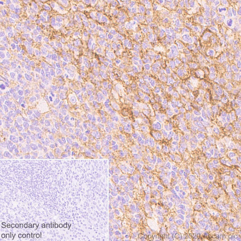
Immunohistochemistry (Formalin/PFA-fixed paraffin-embedded sections) analysis of Human tonsil tissue sections labeling ICAM1 with purified ab53013 at 1/500 dilution (0.22 µg/mL). Heat mediated antigen retrieval using Bond™ Epitope Retrieval Solution 2 (pH 9.0). The immunostaining was performed on a Leica Biosystems BOND® RX instrument. Rabbit specific IHC polymer detection kit HRP/DAB (ab209101) was used as the secondary antibody. Negative control : PBS instead of the primary antibody. Hematoxylin was used as a counterstain.

Immunohistochemistry (Formalin/PFA-fixed paraffin-embedded sections) - Anti-ICAM1 antibody [EP1442Y] (AB53013)
  • IHC-P

Lab

Immunohistochemistry (Formalin/PFA-fixed paraffin-embedded sections) - Anti-ICAM1 antibody [EP1442Y] (AB53013)

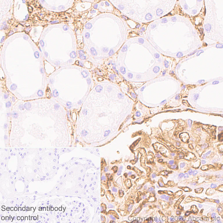
Immunohistochemistry (Formalin/PFA-fixed paraffin-embedded sections) analysis of Human kidney tissue sections labeling ICAM1 with purified ab53013 at 1/500 dilution (0.22 µg/mL). Heat mediated antigen retrieval using Bond™ Epitope Retrieval Solution 2 (pH 9.0). The immunostaining was performed on a Leica Biosystems BOND® RX instrument. Rabbit specific IHC polymer detection kit HRP/DAB (ab209101) was used as the secondary antibody. Negative control : PBS instead of the primary antibody. Hematoxylin was used as a counterstain.

Western blot - Anti-ICAM1 antibody [EP1442Y] (AB53013)
  • WB

Lab

Western blot - Anti-ICAM1 antibody [EP1442Y] (AB53013)

False colour image of Western blot : Anti-ICAM1 antibody [EP1442Y] staining at 1/1000 dilution, shown in green; Mouse anti-Alpha Tubulin [DM1A] (ab7291) loading control staining at 1/20000 dilution, shown in red. In Western blot, ab53013 was shown to bind specifically to ICAM1. A band was observed at 90 kDa in wild-type HeLa cell lysates with no signal observed at this size in Icam1 CRISPR-Cas9 edited cell line ab261742 (CRISPR-Cas9 edited cell lysate ab256947). The band observed in the CRISPR-Cas9 edited lysate lane below 90 kDa (not observed by this antibody) is likely to represent a truncated form of ICAM1. This has not been investigated further and the functional properties of the gene product have not been determined. To generate this image, wild-type and Icam1 CRISPR-Cas9 edited HeLa cell lysates were analysed. First, samples were run on an SDS-PAGE gel then transferred onto a nitrocellulose membrane. Membranes were blocked in 3 % milk in TBS-0.1 % Tween® 20 (TBS-T) before incubation with primary antibodies overnight at 4 °C. Blots were washed four times in TBS-T, incubated with secondary antibodies for 1 h at room temperature, washed again four times then imaged. Secondary antibodies used were Goat anti-Rabbit IgG H&L (IRDye® 800CW) preabsorbed (ab216773) and Goat anti-Mouse IgG H&L (IRDye® 680RD) preabsorbed (ab216776) at 1/20000 dilution.

All lanes:

Western blot - Anti-ICAM1 antibody [EP1442Y] (ab53013) at 1/1000 dilution

Lane 1:

Wild-type HeLa cell lysate at 20 µg

Lane 2:

ICAM1 CRISPR-Cas9 edited HeLa cell lysate at 20 µg

Lane 3:

A549 cell lysate at 20 µg

Lane 4:

Ramos cell lysate at 20 µg

Predicted band size: 57 kDa

Observed band size: 90 kDa

false

Western blot - Anti-ICAM1 antibody [EP1442Y] (AB53013)
  • WB

Lab

Western blot - Anti-ICAM1 antibody [EP1442Y] (AB53013)

False colour image of Western blot : Anti-ICAM1 antibody [EP1442Y] staining at 1/1000 dilution, shown in green; Mouse anti-Alpha Tubulin [DM1A] (ab7291) loading control staining at 1/20000 dilution, shown in red. In Western blot, ab53013 was shown to bind specifically to ICAM1. A band was observed at 90 kDa in wild-type HeLa cell lysates with no signal observed at this size in Icam1 knockout cell line ab261742 (knockout cell lysate ab256947). The band observed in the knockout lysate lane below 90 kDa (not observed by this antibody) is likely to represent a truncated form of ICAM1. This has not been investigated further and the functional properties of the gene product have not been determined. To generate this image, wild-type and Icam1 knockout HeLa cell lysates were analysed.First, samples were run on an SDS-PAGE gel then transferred onto a nitrocellulose membrane. Membranes were blocked in 3 % milk in TBS-0.1 % Tween® 20 (TBS-T) before incubation with primary antibodies overnight at 4 °C. Blots were washed four times in TBS-T, incubated with secondary antibodies for 1 h at room temperature, washed again four times then imaged. Secondary antibodies used were Goat anti-Rabbit IgG H&L (IRDye® 800CW) preabsorbed (ab216773) and Goat anti-Mouse IgG H&L (IRDye® 680RD) preabsorbed (ab216776) at 1/20000 dilution.

All lanes:

Western blot - Anti-ICAM1 antibody [EP1442Y] (ab53013) at 1/1000 dilution

Lane 1:

Wild-type HeLa cell lysate at 20 µg

Lane 2:

ICAM1 knockout HeLa cell lysate at 20 µg

Lane 3:

A549 cell lysate at 20 µg

Lane 4:

Ramos cell lysate at 20 µg

Predicted band size: 57 kDa

Observed band size: 90 kDa

false

Western blot - Anti-ICAM1 antibody [EP1442Y] (AB53013)
  • WB

Lab

Western blot - Anti-ICAM1 antibody [EP1442Y] (AB53013)

Lanes 1-4 : Merged signal (red and green). Green - ab53013 observed at 90 kDa. Red - loading control ab8245 observed at 36 kDa.

ab53013 Anti-ICAM1 antibody [EP1442Y] was shown to specifically react with ICAM1 in wild-type HeLa cells. Loss of signal was observed when knockout cell line ab261742 (knockout cell lysate ab256947) was used. Wild-type and ICAM1 knockout samples were subjected to SDS-PAGE. ab53013 and Anti-GAPDH antibody [6C5] - Loading Control (ab8245) were incubated overnight at 4°C at 1 in 1000 dilution and 1 in 20000 dilution respectively. Blots were developed with Goat anti-Rabbit IgG H&L (IRDye® 800CW) preadsorbed (ab216773) and Goat anti-Mouse IgG H&L (IRDye® 680RD) preadsorbed (ab216776) secondary antibodies at 1 in 20000 dilution for 1 hour at room temperature before imaging.

All lanes:

Western blot - Anti-ICAM1 antibody [EP1442Y] (ab53013) at 1/1000 dilution

Lane 1:

Wild-type HeLa cell lysate at 20 µg

Lane 2:

ICAM1 knockout HeLa cell lysate at 20 µg

Lane 2:

Western blot - Human ICAM1 knockout HeLa cell line (<a href='/products/cell-lines/human-icam1-knockout-hela-cell-line-ab261742'>ab261742</a>)

Lane 3:

Raji cell lysate at 20 µg

Lane 4:

Ramos cell lysate at 20 µg

Secondary

All lanes:

Western blot - Goat anti-Rabbit IgG H&L (IRDye® 800CW) preadsorbed (<a href='/products/secondary-antibodies/goat-rabbit-igg-h-l-irdye-800cw-preadsorbed-ab216773'>ab216773</a>) at 1/10000 dilution

Predicted band size: 57 kDa

Observed band size: 90 kDa

false

不同偶联物与剂型 (7)

关键信息

宿主种属

Rabbit

克隆

Monoclonal

克隆号

EP1442Y

亚型

IgG

不含载体蛋白

No

反应种属

Human

应用

IHC-P, WB

applications

免疫原

The exact immunogen used to generate this antibody is proprietary information.

反应性数据

{ "title": "Reactivity Data", "filters": { "stats": ["", "Species", "Dilution Info", "Notes"], "tabs": { "all-applications": {"fullname" : "All Applications", "shortname": "All Applications"}, "WB" : {"fullname" : "Western blot", "shortname":"WB"}, "IHCP" : {"fullname" : "Immunohistochemistry (Formalin/PFA-fixed paraffin-embedded sections)", "shortname":"IHC-P"} }, "product-promise": { "all": "all", "testedAndGuaranteed": "tested", "guaranteed": "expected", "predicted": "predicted", "notRecommended": "not-recommended" } }, "values": { "Human": { "WB-species-checked": "testedAndGuaranteed", "WB-species-dilution-info": "1/1000", "WB-species-notes": "<p></p>", "IHCP-species-checked": "testedAndGuaranteed", "IHCP-species-dilution-info": "1/500", "IHCP-species-notes": "<p></p> Perform heat-mediated antigen retrieval with Tris/EDTA buffer pH 9.0 before commencing with IHC staining protocol." } } }

您可能对以下产品感兴趣:

AB314891

Anti-DAP12 (phospho Y91) antibody [EPR25630-43]

0

0 Reviews

查看产品
为什么推荐这个?

我们推荐这个产品,因为它经常被用于相同的实验或相关的研究。

我们建议您务必查阅产品说明书,以确认其是否符合您的实验需求;若有疑问,也可联系我们的技术团队获取协助。

产品详情

性能和储存信息

形式
Liquid
纯化工艺
Affinity purification Protein A
存储溶液
pH: 7.2 - 7.4 Preservative: 0.01% Sodium azide Constituents: 59% PBS, 40% Glycerol (glycerin, glycerine), 0.05% BSA
运输条件
Blue Ice
推荐的短期储存条件
+4°C
推荐的长期储存条件
-20°C
储存信息
Stable for 12 months at -20°C

产品实验方案

For this product, it's our understanding that no specific protocols are required. You can visit:

靶点信息

ICAM proteins are ligands for the leukocyte adhesion protein LFA-1 (integrin alpha-L/beta-2). During leukocyte trans-endothelial migration, ICAM1 engagement promotes the assembly of endothelial apical cups through ARHGEF26/SGEF and RHOG activation.. (Microbial infection) Acts as a receptor for major receptor group rhinovirus A-B capsid proteins.. (Microbial infection) Acts as a receptor for Coxsackievirus A21 capsid proteins.. (Microbial infection) Upon Kaposi's sarcoma-associated herpesvirus/HHV-8 infection, is degraded by viral E3 ubiquitin ligase MIR2, presumably to prevent lysis of infected cells by cytotoxic T-lymphocytes and NK cell.
See full target information ICAM1

文献 (59)

Recent publications for all applications. Explore the full list and refine your search

Clinical and translational medicine 13:e1377 PubMed37598403

2023

SIRT6 deficiency in endothelial cells exacerbates oxidative stress by enhancing HIF1α accumulation and H3K9 acetylation at the Ero1α promoter.

Applications

Unspecified application

Species

Unspecified reactive species

Zhenyang Guo,Xueting Yu,Shuang Zhao,Xin Zhong,Dong Huang,Runyang Feng,Peng Li,Zheyan Fang,Yiqing Hu,Zhentao Zhang,Mukaddas Abdurahman,Lei Huang,Yun Zhao,Xiangdong Wang,Junbo Ge,Hua Li

Frontiers in oncology 13:973871 PubMed37124539

2023

miR-1246 in tumor extracellular vesicles promotes metastasis increased tumor cell adhesion and endothelial cell barrier destruction.

Applications

Unspecified application

Species

Unspecified reactive species

Masahiro Morimoto,Nako Maishi,Takuya Tsumita,Mohammad Towfik Alam,Hiroshi Kikuchi,Yasuhiro Hida,Yusuke Yoshioka,Takahiro Ochiya,Dorcas A Annan,Ryo Takeda,Yoshimasa Kitagawa,Kyoko Hida

Frontiers in cardiovascular medicine 9:1059124 PubMed36794234

2023

Pro-inflammatory role of Wnt/β-catenin signaling in endothelial dysfunction.

Applications

Unspecified application

Species

Unspecified reactive species

Kerry S Wadey,Alexandros Somos,Genevieve Leyden,Hazel Blythe,Jeremy Chan,Lawrence Hutchinson,Alastair Poole,Aleksandra Frankow,Jason L Johnson,Sarah J George

Anticancer research 42:4715-4725 PubMed36192016

2022

Micro RNA miR-1303 Promotion of Proliferation, Migration and Invasion of Human Liver Cancer Cells Is Enhanced by Low Talin 1 (TLN1) Expression.

Applications

Unspecified application

Species

Unspecified reactive species

Jun Huang,Qingyuan Xi,Jie Xiong,Hao Peng,Haitao Yang,Y U Sun,Robert M Hoffman

International journal of molecular sciences 23: PubMed36142143

2022

TNF-α and IL-1β Modulate Blood-Brain Barrier Permeability and Decrease Amyloid-β Peptide Efflux in a Human Blood-Brain Barrier Model.

Applications

Unspecified application

Species

Unspecified reactive species

Romain Versele,Emmanuel Sevin,Fabien Gosselet,Laurence Fenart,Pietra Candela

Communications biology 5:309 PubMed35379867

2022

A functional SNP rs895819 on pre-miR-27a is associated with bipolar disorder by targeting NCAM1.

Applications

Unspecified application

Species

Unspecified reactive species

Yifeng Yang,Wenwen Lu,Mei Ning,Xianhao Zhou,Xinyao Wan,Qianglong Mi,Xiaoyan Yang,Di Zhang,Yuanyuan Zhang,Biao Jiang,Lin He,Jia Liu,Yan Zou

International neurourology journal 26:S57-67 PubMed35073671

2022

Improved Urothelial Cell Proliferation, Cytoskeleton and Barrier Function Protein Expression in the Patients With Interstitial Cystitis/Bladder Pain Syndrome After Intravesical Platelet-Rich Plasma Injection.

Applications

Unspecified application

Species

Unspecified reactive species

Jia-Fong Jhang,Yuan-Hong Jiang,Yung-Hsiang Hsu,Han-Chen Ho,Lori A Birder,Teng-Yi Lin,Hann-Chorng Kuo

eLife 11: PubMed35014606

2022

Stable flow-induced expression of KLK10 inhibits endothelial inflammation and atherosclerosis.

Applications

Unspecified application

Species

Unspecified reactive species

Darian Williams,Marwa Mahmoud,Renfa Liu,Aitor Andueza,Sandeep Kumar,Dong-Won Kang,Jiahui Zhang,Ian Tamargo,Nicolas Villa-Roel,Kyung-In Baek,Hwakyoung Lee,Yongjin An,Leran Zhang,Edward W Tate,Pritha Bagchi,Jan Pohl,Laurent O Mosnier,Eleftherios P Diamandis,Koichiro Mihara,Morley D Hollenberg,Zhifei Dai,Hanjoong Jo

Frontiers in pharmacology 12:730525 PubMed34867337

2021

Danlou Tablet Activates Autophagy of Vascular Adventitial Fibroblasts Through PI3K/Akt/mTOR to Protect Cells From Damage Caused by Atherosclerosis.

Applications

Unspecified application

Species

Unspecified reactive species

Li Wang,Tong Wu,Chunying Si,He Wang,Ke Yue,Shasha Shang,Xiaohui Li,Yushan Chen,Huaimin Guan

Cellular and molecular life sciences : CMLS 78:8229-8242 PubMed34741187

2021

Carbon dioxide inhibits COVID-19-type proinflammatory responses through extracellular signal-regulated kinases 1 and 2, novel carbon dioxide sensors.

Applications

Unspecified application

Species

Unspecified reactive species

Hanna Galganska,Wieslawa Jarmuszkiewicz,Lukasz Galganski
View all publications

Abcam Product Promise

我们致力于为您的研究提供高质量的试剂,为您科研的每一步提供支持。若我们的产品未能达到预期性能,我们向您提供 Abcam Product Promise 保障。
详情请参阅我们的条款与条件。

关联产品

Select an associated product type
Alternative Product
Primary Antibodies

AB2213

Anti-ICAM1 antibody [MEM-111]

primary-antibodies

icam1-antibody-mem-111-ab2213

4

(12 reviews)

Alternative Product
Primary Antibodies

AB7815

Biotin Anti-ICAM1 antibody

primary-antibodies

biotin-icam1-antibody-ab7815

4

(3 reviews)

Alternative Product
Primary Antibodies

AB119871

Anti-ICAM1 antibody [YN1/1.7.4]

primary-antibodies

icam1-antibody-yn1-174-ab119871

5

(1 reviews)

Alternative Product
Primary Antibodies

AB25007

Biotin Anti-ICAM1 antibody [YN1/1.7.4]

primary-antibodies

biotin-icam1-antibody-yn1-174-ab25007

0

(0 reviews)

Alternative Product
Primary Antibodies

AB25553

PE Anti-ICAM1 antibody [YN1/1.7.4]

primary-antibodies

pe-icam1-antibody-yn1-174-ab25553

5

(1 reviews)

Alternative Product
Primary Antibodies

AB20

Anti-ICAM1 antibody [15.2]

primary-antibodies

icam1-antibody-152-ab20

1

(1 reviews)

Alternative Product
Primary Antibodies

AB24869

FITC Anti-ICAM1 antibody [YN1/1.7.4]

primary-antibodies

fitc-icam1-antibody-yn1-174-ab24869

0

(0 reviews)

Alternative Product
Primary Antibodies

AB171123

Anti-ICAM1 antibody [1A29]

primary-antibodies

icam1-antibody-1a29-ab171123

0

(0 reviews)

Alternative Product
Primary Antibodies

AB217075

Biotin Anti-ICAM1 antibody [EPR4776]

primary-antibodies

biotin-icam1-antibody-epr4776-ab217075

0

(0 reviews)

Alternative Product
Primary Antibodies

AB179707

Anti-ICAM1 antibody [EPR16608]

primary-antibodies

icam1-antibody-epr16608-ab179707

5

(5 reviews)

Alternative Product
Primary Antibodies

AB271933

Anti-ICAM1 antibody [EPR16608] - BSA and Azide free

primary-antibodies

icam1-antibody-epr16608-bsa-and-azide-free-ab271933

0

(0 reviews)

Alternative Product
Primary Antibodies

AB239401

Anti-ICAM1 antibody [EPR22161-284] - BSA and Azide free

primary-antibodies

icam1-antibody-epr22161-284-bsa-and-azide-free-ab239401

0

(0 reviews)

Alternative Product
Primary Antibodies

AB222498

Anti-ICAM1 antibody [EPR16608] - Low endotoxin, Azide free

primary-antibodies

icam1-antibody-epr16608-low-endotoxin-azide-free-ab222498

0

(0 reviews)

Alternative Product
Primary Antibodies

AB87026

APC Anti-ICAM1 antibody [YN1/1.7.4]

primary-antibodies

apc-icam1-antibody-yn1-174-ab87026

0

(0 reviews)

Alternative Product
Primary Antibodies

AB23835

FITC Anti-ICAM1 antibody [1A29]

primary-antibodies

fitc-icam1-antibody-1a29-ab23835

5

(1 reviews)

Alternative Version
Primary Antibodies

AB221777

Anti-ICAM1 antibody [EP1442Y] - Low endotoxin, Azide free

primary-antibodies

icam1-antibody-ep1442y-low-endotoxin-azide-free-ab221777

0

(0 reviews)

Please note: All products are 'FOR RESEARCH USE ONLY. NOT FOR USE IN DIAGNOSTIC OR THERAPEUTIC PROCEDURES'.

For licensing inquiries, please contact partnerships@abcam.com