JavaScript is disabled in your browser. Please enable JavaScript to view this website.
AB109489

Anti-Human IgG 抗体 [EPR4421]

Anti-Human IgG antibody [EPR4421]

  • RabMAb
  • Recombinant
  • Lab Essentials
  • 20ul selling size
  • 了解详情

4

(3 Reviews)

|

(361 Publications)

Anti-Human IgG antibody [EPR4421] (ab109489) is a rabbit monoclonal antibody detecting Human IgG in Western Blot, IHC-P. Suitable for Human.

- Biophysical QC for unrivalled batch-batch consistency
- Over 310 publications

查看别名

Immunoglobulin heavy constant gamma 1, Ig gamma-1 chain C region, Ig gamma-1 chain C region EU, Ig gamma-1 chain C region KOL, Ig gamma-1 chain C region NIE, IGHG1

8 Images
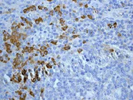
Immunohistochemistry (Formalin/PFA-fixed paraffin-embedded sections) - Anti-Human IgG antibody [EPR4421] (AB109489)
  • IHC-P

Lab

Immunohistochemistry (Formalin/PFA-fixed paraffin-embedded sections) - Anti-Human IgG antibody [EPR4421] (AB109489)

Immunohistochemistry (Formalin/PFA-fixed paraffin-embedded sections) analysis of human tonsil tissue labeling Human IgG with purified ab109489 at 1/300. Heat mediated antigen retrieval was performed using Tris/EDTA buffer pH 9. ab97051, a HRP-conjugated goat anti-rabbit IgG (H+L) was used as the secondary antibody (1/500). Negative control using PBS instead of primary antibody. Counterstained with hematoxylin.

Immunohistochemistry (Formalin/PFA-fixed paraffin-embedded sections) - Anti-Human IgG antibody [EPR4421] (AB109489)
  • IHC-P

Unknown

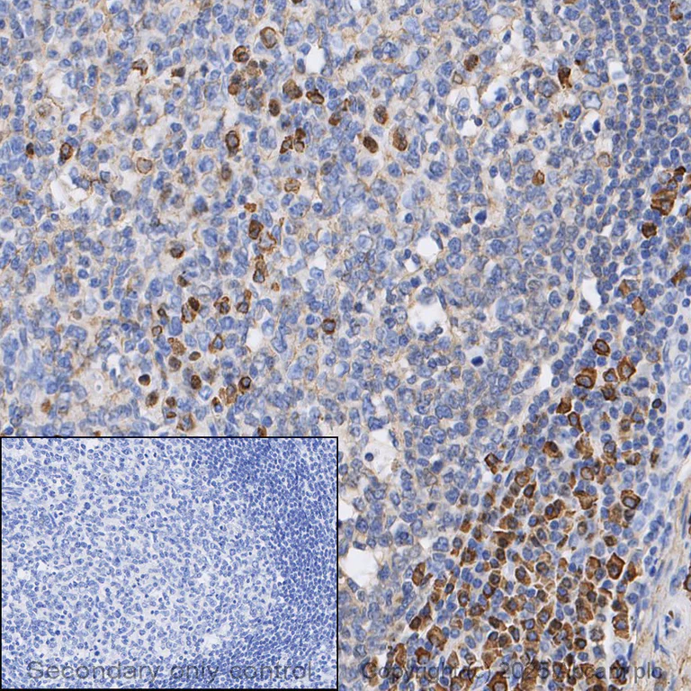
Immunohistochemistry (Formalin/PFA-fixed paraffin-embedded sections) - Anti-Human IgG antibody [EPR4421] (AB109489)

Immunohistochemistry (Formalin/PFA-fixed paraffin-embedded sections) analysis of human tonsil tissue labelling IgG with unpurified ab109489 at a dilution of 1/500.

Perform heat mediated antigen retrieval before commencing with IHC staining protocol.

Immunohistochemistry (Formalin/PFA-fixed paraffin-embedded sections) - Anti-Human IgG antibody [EPR4421] (AB109489)
  • IHC-P

Unknown

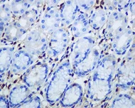
Immunohistochemistry (Formalin/PFA-fixed paraffin-embedded sections) - Anti-Human IgG antibody [EPR4421] (AB109489)

Immunohistochemistry (Formalin/PFA-fixed paraffin-embedded sections) analysis of human stomach tissue labelling IgG with unpurified ab109489 at a dilution of 1/500.

Perform heat mediated antigen retrieval before commencing with IHC staining protocol.

Immunohistochemistry (Formalin/PFA-fixed paraffin-embedded sections) - Anti-Human IgG antibody [EPR4421] (AB109489)
  • IHC-P

Lab

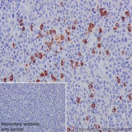
Immunohistochemistry (Formalin/PFA-fixed paraffin-embedded sections) - Anti-Human IgG antibody [EPR4421] (AB109489)

Immunohistochemical analysis of formalin fixed paraffin embedded human tonsil labelling human IgG with ab109489 at a concentration of 0.01µg/ml. The immunostaining was performed on a Ventana DISCOVERY ULTRA (Roche Tissue Diagnostics) instrument with a OptiView DAB IHC Detection Kit. Heat mediated antigen retrieval was performed with DISCOVERY cell conditioning solution (CC1) 100°C, pH8.5 for 32mins. ab109489 anti-Human IgG antibody [EPR4421] was incubated for 16mins at 37°C. Sections were counterstained with Hematoxylin II. Image inset shows absence of staining in secondary antibody only control.

Customers are encouraged to optimise antigen retrieval conditions, antibody concentration, incubation times and temperature for best results in their own IHC assay workflow (automated and manual).

Western blot - Anti-Human IgG antibody [EPR4421] (AB109489)
  • WB

Lab

Western blot - Anti-Human IgG antibody [EPR4421] (AB109489)

Blocking and dilution buffer : 5% NFDM/TBST.

All lanes:

Western blot - Anti-Human IgG antibody [EPR4421] (ab109489) at 1/20000 dilution

Lane 1:

Human fetal thymus tissue lysate at 20 µg

Lane 2:

Human fetal tonsil tissue lysate at 20 µg

Lane 3:

Human fetal spleen tissue lysate at 20 µg

Secondary

All lanes:

Western blot - Goat Anti-Rabbit IgG H&L (HRP) (<a href='/products/secondary-antibodies/goat-rabbit-igg-h-l-hrp-ab97051'>ab97051</a>) at 1/50000 dilution

Predicted band size: 36 kDa

Observed band size: 50 kDa

false

Western blot - Anti-Human IgG antibody [EPR4421] (AB109489)
  • WB

Unknown

Western blot - Anti-Human IgG antibody [EPR4421] (AB109489)

All lanes:

Western blot - Anti-Human IgG antibody [EPR4421] (ab109489) at 1/1000 dilution

Lane 1:

IgG2 recombinant protein (10 ng protein loaded)

Lane 2:

IgG1 recombinant protein (10 ng protein loaded)

Lane 3:

IgG3 recombinant protein (10 ng protein loaded)

Lane 4:

IgG4 recombinant protein (10 ng protein loaded)

Predicted band size: 36 kDa

false

Western blot - Anti-Human IgG antibody [EPR4421] (AB109489)
  • WB

Lab

Western blot - Anti-Human IgG antibody [EPR4421] (AB109489)

Blocking and dilution buffer : 5% NFDM/TBST.

All lanes:

Western blot - Anti-Human IgG antibody [EPR4421] (ab109489) at 1/1000 dilution

All lanes:

IgG3 recombinant protein at 0.01 µg

Secondary

All lanes:

Western blot - Goat Anti-Rabbit IgG H&L (HRP) (<a href='/products/secondary-antibodies/goat-rabbit-igg-h-l-hrp-ab97051'>ab97051</a>) at 1/50000 dilution

Predicted band size: 36 kDa

Observed band size: 50 kDa

false

Western blot - Anti-Human IgG antibody [EPR4421] (AB109489)
  • WB

Lab

Western blot - Anti-Human IgG antibody [EPR4421] (AB109489)

Blocking and dilution buffer : 5% NFDM/TBST.

All lanes:

Western blot - Anti-Human IgG antibody [EPR4421] (ab109489) at 1/5000 dilution

Lane 1:

IgG1 recombinant protein at 0.01 µg

Lane 2:

IgG2 recombinant protein at 0.01 µg

Lane 3:

IgG4 recombinant protein at 0.01 µg

Secondary

All lanes:

Western blot - Goat Anti-Rabbit IgG H&L (HRP) (<a href='/products/secondary-antibodies/goat-rabbit-igg-h-l-hrp-ab97051'>ab97051</a>) at 1/50000 dilution

Predicted band size: 36 kDa

Observed band size: 50 kDa

false

不同偶联物与剂型 (5)

  • Carrier free

    Anti-Human IgG antibody [EPR4421] - BSA and Azide free

  • Biotin

    Biotin Anti-Human IgG antibody [EPR4421]

  • Carrier free

    Anti-Human IgG antibody [EPR4421] - Low endotoxin, Azide free

  • 665 Alexa Fluor® 647

    Alexa Fluor® 647 Anti-Human IgG antibody [EPR4421]

  • 519 Alexa Fluor® 488

    Alexa Fluor® 488 Anti-Human IgG antibody [EPR4421]

关键信息

宿主种属

Rabbit

克隆

Monoclonal

克隆号

EPR4421

亚型

IgG

不含载体蛋白

No

反应种属

Human

应用

WB, IHC-P

applications

免疫原

The exact immunogen used to generate this antibody is proprietary information.

特异性

This antibody recognizes all four Human IgG isotypes (IgG1, IgG2, IgG3, and IgG4).

反应性数据

{ "title": "Reactivity Data", "filters": { "stats": ["", "Species", "Dilution Info", "Notes"], "tabs": { "all-applications": {"fullname" : "All Applications", "shortname": "All Applications"}, "IHCP" : {"fullname" : "Immunohistochemistry (Formalin/PFA-fixed paraffin-embedded sections)", "shortname":"IHC-P"}, "WB" : {"fullname" : "Western blot", "shortname":"WB"} }, "product-promise": { "all": "all", "testedAndGuaranteed": "tested", "guaranteed": "expected", "predicted": "predicted", "notRecommended": "not-recommended" } }, "values": { "Human": { "IHCP-species-checked": "testedAndGuaranteed", "IHCP-species-dilution-info": "1/300 - 1/1000", "IHCP-species-notes": "<p></p> Perform heat-mediated antigen retrieval before commencing with IHC staining protocol.", "WB-species-checked": "testedAndGuaranteed", "WB-species-dilution-info": "1/1000 - 1/10000", "WB-species-notes": "<p></p>" }, "Recombinant full length protein - Human": { "IHCP-species-checked": "notRecommended", "IHCP-species-dilution-info": "", "IHCP-species-notes": "", "WB-species-checked": "testedAndGuaranteed", "WB-species-dilution-info": "1/1000 - 1/10000", "WB-species-notes": "<p></p>" } } }

产品详情

Product Specifications

Anti-Human IgG antibody [EPR4421] (ab109489) was developed by Abcam using patented rabbit monoclonal antibody technology and is validated for use in IHC-P, WB in human samples.
Anti-Human IgG antibody [EPR4421] (ab109489) specifically detects Human IgG (UniProt ID: P01857; Molecular weight: 44kDa) and is sold in 100 µL and 1 mL selling sizes.

Quality and Validation

Abcam's high quality manufacturing and validation processes ensure Anti-Human IgG antibody [EPR4421] (ab109489) has high sensitivity and specificity alongside high lot-to-lot consistency and reproducibility.
Anti-Human IgG antibody [EPR4421] (ab109489) has been cited over 311 times in peer reviewed journals and is trusted by the scientific community.


Related Products
Conjugation-ready, carrier free format available for antibody clone EPR4421 - ab226069.
Antibody clone EPR4421 is also available pre-conjugated to a variety of labels for your convenience - Alexa Fluor® 647, Alexa Fluor® 488, Biotin (ab307521, ab307524, ab314397).

Species reactivity
Mouse, Rat: We have preliminary internal testing data to indicate this antibody may not react with these species.
Please contact us for more information.

Patented technology
Our RabMAb® technology is a patented hybridoma-based technology for making rabbit monoclonal antibodies. For details on our patents, please refer to RabMAb® patents.

What are the advantages of a recombinant monoclonal antibody?
This product is a recombinant monoclonal antibody, which offers several advantages including:

  • - High batch-to-batch consistency and reproducibility
  • - Improved sensitivity and specificity
  • - Long-term security of supply
  • - Animal-free batch production

For more information, read more on recombinant antibodies.

性能和储存信息

形式
Liquid
纯化工艺
Affinity purification Protein A
存储溶液
pH: 7.2 - 7.4 Preservative: 0.01% Sodium azide Constituents: PBS, 40% Glycerol (glycerin, glycerine), 0.05% BSA
运输条件
Blue Ice
推荐的短期储存时间
1-2 weeks
推荐的短期储存条件
+4°C
推荐的长期储存条件
-20°C
分装信息
Upon delivery aliquot
储存信息
Stable for 12 months at -20°C

产品实验方案

For this product, it's our understanding that no specific protocols are required. You can visit:

靶点信息

Constant region of immunoglobulin heavy chains. Immunoglobulins, also known as antibodies, are membrane-bound or secreted glycoproteins produced by B lymphocytes. In the recognition phase of humoral immunity, the membrane-bound immunoglobulins serve as receptors which, upon binding of a specific antigen, trigger the clonal expansion and differentiation of B lymphocytes into immunoglobulins-secreting plasma cells. Secreted immunoglobulins mediate the effector phase of humoral immunity, which results in the elimination of bound antigens (PubMed : 20176268, PubMed : 22158414). The antigen binding site is formed by the variable domain of one heavy chain, together with that of its associated light chain. Thus, each immunoglobulin has two antigen binding sites with remarkable affinity for a particular antigen. The variable domains are assembled by a process called V-(D)-J rearrangement and can then be subjected to somatic hypermutations which, after exposure to antigen and selection, allow affinity maturation for a particular antigen (PubMed : 17576170, PubMed : 20176268). Mediates IgG effector functions on monocytes triggering ADCC of virus-infected cells.
See full target information IGHG1

文献 (361)

Recent publications for all applications. Explore the full list and refine your search

Frontiers in oncology 15:1568367 PubMed40666104

2025

Hsa_circ_0001859 promotes NSCLC progression through the miRNA-101-3p/MMP1 axis.

Applications

Unspecified application

Species

Unspecified reactive species

Jianxin Tan,Zhenyu Fan,Rongguo Lu,Shugao Ye

Biosensors 15: PubMed40422008

2025

Unraveling Charge Transfer Mechanisms in Graphene-Quantum Dot Hybrids for High-Sensitivity Biosensing.

Applications

Unspecified application

Species

Unspecified reactive species

Shinto Mundackal Francis,Hugo Sanabria,Ramakrishna Podila

Cellular and molecular life sciences : CMLS 82:211 PubMed40418321

2025

LncRNA SNHG15 promotes angiogenesis and improves cardiac repair after myocardial infarction through MiR-665-mediated KDR expression.

Applications

Unspecified application

Species

Unspecified reactive species

Xiaoyun Liang,Shangyu Liu,Gang Liu,Qiankun Fan,Fangfang Ma,Yajuan Yin,ZhaoMing Li,Yuming Wu,Mingqi Zheng

Discover oncology 16:640 PubMed40301147

2025

LINC00704 facilitates cell proliferation, migration, and invasion via miR-323a-3p/SLC44A1 axis in epithelial ovarian cancer.

Applications

Unspecified application

Species

Unspecified reactive species

Xiaojuan Kong,Lei Lei,Zhengjiao Ma

Nature communications 16:3516 PubMed40229254

2025

Parallel comparison of T cell and B cell subpopulations of adenoid hypertrophy and tonsil hypertrophy of children.

Applications

Unspecified application

Species

Unspecified reactive species

Zihui Yu,Ziying Xu,Tongtong Fu,Shiyu Liu,Jinghua Cui,Bing Zhang,Jieqiong Liang,Chong Pang,Yuehua Ke,Ruikun Wang,Zhijie Tang,Yagang Gao,Bing Du,Yanling Feng,Hanqing Zhao,Guanhua Xue,Chao Yan,Lin Gan,Junxia Feng,Zheng Fan,Yang Yang,Lijuan Huang,Shuo Zhao,Sun Ying,Qinglong Gu,Jing Yuan

Theranostics 15:4785-4807 PubMed40225569

2025

Deciphering single-cell landscape unravels cell-type-specific functional roles of RNA mA modification in atherosclerosis.

Applications

Unspecified application

Species

Unspecified reactive species

Xiaorui Ping,Xiaoyun Liang,Wenlu Xing,Saiqi Wang,Fengcongzhe Gong,Yaqi Cheng,Songqi Duan,Xueqi Lv,Xueying Li,Tianli Zhang,Chunxiao Chen,Yuxin Zhang,Chengzhu Yuan,Shangyu Liu,Gang Liu,Baofa Sun

Epigenetics 20:2482382 PubMed40145872

2025

CircMYH9 promotes the mRNA stability of SPAG6 by recruiting EIF4A3 to facilitate the progression of breast cancer.

Applications

Unspecified application

Species

Unspecified reactive species

Shanji Fan,Ying Cui,Yingjie Liu,Yuehua Li,Hong Huang,Zecheng Hu

Communications biology 8:457 PubMed40102597

2025

Peli1, regulated by mA modification, suppresses NLRP3 inflammasome activation in atherosclerosis by inhibiting YB-1.

Applications

Unspecified application

Species

Unspecified reactive species

Qiang Liu,Lu Yan,Tao Wu,Qinghua Wu,Ben Ke,Wen Shen

Cell death & disease 16:138 PubMed40016186

2025

Deubiquitination enzyme USP35 negatively regulates MAVS signaling to inhibit anti-tumor immunity.

Applications

Unspecified application

Species

Unspecified reactive species

Heping Zhang,Jiali Zhu,Rong He,Lin Xu,Yunfei Chen,Haihong Yu,Xuejiao Sun,Shengpeng Wan,Xiaolan Yin,Yu'e Liu,Jie Gao,Yue Li,Zhixiong Li,Yi Lu,Qing Xu

The Journal of clinical investigation 135: PubMed40014401

2025

Identification of potent biparatopic antibodies targeting FGFR2 fusion-driven cholangiocarcinoma.

Applications

Unspecified application

Species

Unspecified reactive species

Saireudee Chaturantabut,Sydney Oliver,Dennie T Frederick,Jiwan J Kim,Foxy P Robinson,Alessandro Sinopoli,Tian-Yu Song,Yao He,Yuan-Chen Chang,Diego J Rodriguez,Liang Chang,Devishi Kesar,Meilani Ching,Ruvimbo Dzvurumi,Adel Atari,Yuen-Yi Tseng,Nabeel Bardeesy,William R Sellers
View all publications

Abcam Product Promise

我们致力于为您的研究提供高质量的试剂,为您科研的每一步提供支持。若我们的产品未能达到预期性能,我们向您提供 Abcam Product Promise 保障。
详情请参阅我们的条款与条件。

Please note: All products are 'FOR RESEARCH USE ONLY. NOT FOR USE IN DIAGNOSTIC OR THERAPEUTIC PROCEDURES'.

For licensing inquiries, please contact partnerships@abcam.com