JavaScript is disabled in your browser. Please enable JavaScript to view this website.
AB314235

重组Anti-HSV1 gH抗体[BBH1] - BSA and Azide free

Anti-HSV1 gH antibody [BBH1] - BSA and Azide free

Be the first to review this product! Submit a review

|

(0 Publication)

Mouse Recombinant Monoclonal GH antibody. Carrier free. Suitable for WB, IHC-P, ICC/IF, IP and reacts with Transfected cell lysate - Herpes simplex virus, Transfected cell line - Herpes simplex virus samples.

查看别名

UL22, gH, Envelope glycoprotein H

5 Images
Immunohistochemistry (Formalin/PFA-fixed paraffin-embedded sections) - Anti-HSV1 gH antibody [BBH1] - BSA and Azide free (AB314235)
  • IHC-P

Supplier Data

Immunohistochemistry (Formalin/PFA-fixed paraffin-embedded sections) - Anti-HSV1 gH antibody [BBH1] - BSA and Azide free (AB314235)

This data was developed using ab110227, the same antibody clone in a different buffer formulation.

Immunohistochemical analysis of paraffin-embedded Human cerebrum tissue staning HSV1 gH with ab110227 at 1/1000 dilution (0.894 µg/ml), followed by ready to use LeicaDS9800 (Bond™ Polymer Refine Detection). Counter stained with hematoxylin.

Secondary antibody only control : Used PBS instead of primary antibody, secondary antibody is ready to use LeicaDS9800 (Bond™ Polymer Refine Detection).

Heat mediated antigen retrieval was performed with Citrate buffer (pH 6.0, Epitope Retrieval Solution 1) for 20 mins.

Negative control : no staining on human cerebrum.

The section was incubated with ab110227 for 30 mins at room temperature, followed by anti-mouse IgG2a antibody for 8 mins during the LeicaDS9800 kit staining procedure.

The immunostaining was performed on a Leica Biosystems BOND® RX instrument.

Immunohistochemistry (Formalin/PFA-fixed paraffin-embedded sections) - Anti-HSV1 gH antibody [BBH1] - BSA and Azide free (AB314235)
  • IHC-P

Supplier Data

Immunohistochemistry (Formalin/PFA-fixed paraffin-embedded sections) - Anti-HSV1 gH antibody [BBH1] - BSA and Azide free (AB314235)

This data was developed using ab110227, the same antibody clone in a different buffer formulation.

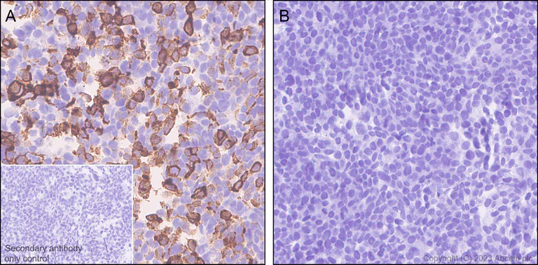
Immunohistochemical analysis of paraffin-embedded (A) HEK-293T (human embryonic kidney epithelial cell) transfected with a Herpes simplex virus 1 gH expression vector containing a myc-his tag. (B) HEK-293T cells transfected with empty vector containing a myc-his tag staning HSV1 gH with ab110227 at 1/1000 dilution (0.894 µg/ml), followed by ready to use LeicaDS9800 (Bond™ Polymer Refine Detection). Counter stained with hematoxylin.

Secondary antibody only control : Used PBS instead of primary antibody, secondary antibody is ready to use LeicaDS9800 (Bond™ Polymer Refine Detection).

Heat mediated antigen retrieval was performed with Citrate buffer (pH 6.0, Epitope Retrieval Solution 1) for 20 mins.

Positive staining on (A) HEK-293T transfected with a Herpes simplex virus 1 gH expression vector containing a myc-his tag. No staining on (B) HEK-293T cells transfected with empty vector containing a myc-his tag.

The section was incubated with ab110227 for 30 mins at room temperature, followed by anti-mouse IgG2a antibody for 8 mins during the LeicaDS9800 kit staining procedure.

The immunostaining was performed on a Leica Biosystems BOND® RX instrument.

Immunocytochemistry/ Immunofluorescence - Anti-HSV1 gH antibody [BBH1] - BSA and Azide free (AB314235)
  • ICC/IF

Supplier Data

Immunocytochemistry/ Immunofluorescence - Anti-HSV1 gH antibody [BBH1] - BSA and Azide free (AB314235)

This data was developed using ab110227, the same antibody clone in a different buffer formulation.

Immunofluorescent analysis of 4% Paraformaldehyde-fixed, 0.1% TritonX-100 permeabilized HEK-293T (human epithelial cell line from embryonic kidney) transfected with myc-tagged Herpes simplex virus 1 gH expression vector cells labelling HSV1 gH with ab110227 at 1/200 (4.47 ug/ml) dilution, followed by ab150117 Goat Anti-Mouse IgG H&L (Alexa Fluor® 488) preadsorbed antibody at 1/1000 (2 ug/ml) dilution (Green). Confocal image showing cytoplasmic and membranous staining in 293T cells transfected with a Herpes simplex virus 1 gH expression vector containing a myc-His-tag.

Image was taken with a confocal microscope(Leica-Microsystems, TCS SP8). Anti-Myc Rabbit polyclonal antibody (ab9106) was used to counterstain tubulin at 1/200 (2.5 ug/ml) dilution (Red). The Nuclear counterstain was DAPI (Blue).

Immunoprecipitation - Anti-HSV1 gH antibody [BBH1] - BSA and Azide free (AB314235)
  • IP

Supplier Data

Immunoprecipitation - Anti-HSV1 gH antibody [BBH1] - BSA and Azide free (AB314235)

This data was developed using ab110227, the same antibody clone in a different buffer formulation.

HSV1 gH was immunoprecipitated from 0.35 mg of 293T cells transfected with a Herpes simplex virus 1 gH expression vector containing a myc-His- tag whole cell lysate with ab110227 at 1/50 dilution (2μg in 0.35mg lysates). Western blot was performed from the immunoprecipitate using ab110227 at 1/1000 dilution. ab131366, VeriBlot for IP secondary antibody(HRP) was used as secondary antibody at 1/5000 dilution.

Lane 1(Input) : 293T cells transfected with a Herpes simplex virus 1 gH expression vector containing a myc-His-tag whole cell lysate, 10 μg

Lane 2(+) : 293T cells transfected with a Herpes simplex virus 1 gH expression vector containing a myc-His-tag whole cell lysate

Lane 3(-) : Mouse IgG2a kppa monoclonal isotype control (ab18413) instead of ab110227 in 293T cells transfected with a Herpes simplex virus 1 gH expression vector containing a myc-His-tag whole cell lysate

Observed MW(KDa) : 100

Blocking and diluting buffer and concentration : 5% NFDM/TBST

All lanes:

Immunoprecipitation - Anti-HSV1 gH antibody [BBH1] (<a href='/products/primary-antibodies/hsv1-gh-antibody-bbh1-ab110227'>ab110227</a>) at 1/50 dilution

All lanes:

293T cells transfected with a Herpes simplex virus 1 gH expression vector containing a myc-His-tag whole cell lysate

Secondary

All lanes:

Immunoprecipitation - VeriBlot for IP Detection Reagent (HRP) (<a href='/products/reagents/veriblot-for-ip-detection-reagent-hrp-ab131366'>ab131366</a>) at 1/5000 dilution

Observed band size: 100 kDa

false

Exposure time: 180s

Western blot - Anti-HSV1 gH antibody [BBH1] - BSA and Azide free (AB314235)
  • WB

Supplier Data

Western blot - Anti-HSV1 gH antibody [BBH1] - BSA and Azide free (AB314235)

This data was developed using ab110227, the same antibody clone in a different buffer formulation.

Blocking and diluting buffer and concentration : 5% NFDM/TBST.

ab213204 was used as a total protein control at 1/5000 dilution.

ab181602 was used as a GAPDH loading control at 1/200000 dilution.

Cross-reactivity has not been checked and this antibody might cross with HSV-2 gH.

All lanes:

Western blot - Anti-HSV1 gH antibody [BBH1] (<a href='/products/primary-antibodies/hsv1-gh-antibody-bbh1-ab110227'>ab110227</a>) at 1/1000 dilution

Lane 1:

293T cells transfected with an empty vector containing a myc-His-tag whole cell lysate at 20 µg

Lane 2:

293T cells transfected with a Herpes simplex virus 1 gH expression vector containing a myc-His-tag whole cell lysate at 20 µg

Secondary

All lanes:

Peroxidase-Conjugated Goat anti-Mouse IgG (H+L) at 1/10000 dilution

Observed band size: 100 kDa,36 kDa

false

Exposure time: 48s

不同偶联物与剂型 (1)

关键信息

宿主种属

Mouse

克隆

Monoclonal

克隆号

BBH1

亚型

IgG2a

不含载体蛋白

Yes

反应种属

Herpes simplex virus

应用

IP, WB, IHC-P, ICC/IF

applications

免疫原

The exact immunogen used to generate this antibody is proprietary information.

特异性

Cross-reactivity has not been checked and this antibody might cross with HSV-2 gH.

反应性数据

{ "title": "Reactivity Data", "filters": { "stats": ["", "Species", "Dilution Info", "Notes"], "tabs": { "all-applications": {"fullname" : "All Applications", "shortname": "All Applications"}, "WB" : {"fullname" : "Western blot", "shortname":"WB"}, "IHCP" : {"fullname" : "Immunohistochemistry (Formalin/PFA-fixed paraffin-embedded sections)", "shortname":"IHC-P"}, "ICCIF" : {"fullname" : "Immunocytochemistry/ Immunofluorescence", "shortname":"ICC/IF"}, "IP" : {"fullname" : "Immunoprecipitation", "shortname":"IP"} }, "product-promise": { "all": "all", "testedAndGuaranteed": "tested", "guaranteed": "expected", "predicted": "predicted", "notRecommended": "not-recommended" } }, "values": { "Herpes simplex virus": { "WB-species-checked": "predicted", "WB-species-dilution-info": "", "WB-species-notes": "", "IHCP-species-checked": "predicted", "IHCP-species-dilution-info": "", "IHCP-species-notes": "", "ICCIF-species-checked": "predicted", "ICCIF-species-dilution-info": "", "ICCIF-species-notes": "", "IP-species-checked": "predicted", "IP-species-dilution-info": "", "IP-species-notes": "" }, "Transfected cell line - Herpes simplex virus": { "WB-species-checked": "notRecommended", "WB-species-dilution-info": "", "WB-species-notes": "", "IHCP-species-checked": "testedAndGuaranteed", "IHCP-species-dilution-info": "", "IHCP-species-notes": "<p></p>", "ICCIF-species-checked": "testedAndGuaranteed", "ICCIF-species-dilution-info": "", "ICCIF-species-notes": "<p></p>", "IP-species-checked": "notRecommended", "IP-species-dilution-info": "", "IP-species-notes": "" }, "Transfected cell lysate - Herpes simplex virus": { "WB-species-checked": "testedAndGuaranteed", "WB-species-dilution-info": "", "WB-species-notes": "<p></p>", "IHCP-species-checked": "notRecommended", "IHCP-species-dilution-info": "", "IHCP-species-notes": "", "ICCIF-species-checked": "notRecommended", "ICCIF-species-dilution-info": "", "ICCIF-species-notes": "", "IP-species-checked": "testedAndGuaranteed", "IP-species-dilution-info": "", "IP-species-notes": "<p></p>" } } }

产品详情

ab314235 is the carrier-free version of ab110227.

What are the advantages of a recombinant monoclonal antibody?
This product is a recombinant monoclonal antibody, which offers several advantages including:

  • - High batch-to-batch consistency and reproducibility
  • - Improved sensitivity and specificity
  • - Long-term security of supply
  • - Animal-free batch production

For more information, read more on recombinant antibodies.

Conjugation ready
Our carrier-free antibodies are typically supplied in a PBS-only formulation, purified and free of BSA, sodium azide and glycerol. This conjugation-ready format is designed for use with fluorochromes, metal isotopes, oligonucleotides, and enzymes, which makes them ideal for antibody labelling, functional and cell-based assays, flow-based assays (e.g. mass cytometry) and Multiplex Imaging applications.

Use our conjugation kits for antibody conjugates that are ready-to-use in as little as 20 minutes with 1 minute hands-on-time and 100% antibody recovery: available for fluorescent dyes, HRP, biotin and gold.

Compatibility
This product is compatible with the Maxpar® Antibody Labeling Kit from Fluidigm, without the need for antibody preparation. Maxpar® is a trademark of Fluidigm Canada Inc.

Want a custom formulation?
This antibody clone is manufactured by Abcam. If you require a custom buffer formulation or conjugation for your experiments, please contact orders@abcam.com

性能和储存信息

形式
Liquid
纯化工艺
Affinity purification Protein A
存储溶液
pH: 7.2 - 7.4 Constituents: PBS
运输条件
Blue Ice
推荐的短期储存条件
+4°C
推荐的长期储存条件
+4°C

补充信息

This supplementary information is collated from multiple sources and compiled automatically.

HSV1 gH also known as glycoprotein H is a significant component of the Herpes Simplex Virus type 1 (HSV-1). The glycoprotein has a molecular mass of approximately 93 kDa and is expressed on the viral envelope. It plays a vital role in the virus's ability to infect host cells. Glycoprotein H functions by facilitating the fusion of the viral envelope with the host cell membrane a critical step for viral entry. Besides its primary expression in HSV-1 this protein shares similarities with entry proteins in other herpesviruses indicating its conserved role across different species.
Biological function summary

Glycoprotein H functions as part of the glycoprotein H-L complex which includes glycoproteins H L and D. This complex orchestrates the fusion process necessary for the virus to penetrate and infect host cells. The glycoprotein H is vital for the stabilization of the complex and contributes to the proper implementation of viral infection processes. Distribution of this protein in the host organism occurs predominantly in epithelial cells which often serve as the initial site of infection. This distribution aids in the rapid spread of the virus within the host.

Pathways

Glycoprotein H is important for the viral entry pathway. The entry involves interactions with host cell surface receptors that mediate viral attachment and fusion. This process places glycoprotein H within the larger context of viral lifecycle pathways interlinked with proteins such as glycoprotein B and glycoprotein D which assist in initial viral attachment and binding to host cells. The coordination among these proteins ensures efficient viral penetration and subsequent replication within the host.

HSV1 gH has a direct connection to herpes simplex infections particularly oral and genital herpes. Its role in viral entry makes it a target for therapeutic interventions aimed at preventing herpesvirus infections. Antibodies targeting glycoprotein H and related viral components can serve as potential treatments by inhibiting virus attachment and entry. Given its role in immune recognition interactions between glycoprotein H and immune cells provide insights into the development of strategies against viral persistence and reactivation particularly in individuals with compromised immune systems.

产品实验方案

For this product, it's our understanding that no specific protocols are required. You can visit:

靶点信息

The heterodimer glycoprotein H-glycoprotein L is required for the fusion of viral and plasma membranes leading to virus entry into the host cell. Following initial binding to host receptor, membrane fusion is mediated by the fusion machinery composed of gB and the heterodimer gH/gL. May also be involved in the fusion between the virion envelope and the outer nuclear membrane during virion morphogenesis.
See full target information gH

Abcam Product Promise

我们致力于为您的研究提供高质量的试剂,为您科研的每一步提供支持。若我们的产品未能达到预期性能,我们向您提供 Abcam Product Promise 保障。
详情请参阅我们的条款与条件。

Please note: All products are 'FOR RESEARCH USE ONLY. NOT FOR USE IN DIAGNOSTIC OR THERAPEUTIC PROCEDURES'.

For licensing inquiries, please contact partnerships@abcam.com