JavaScript is disabled in your browser. Please enable JavaScript to view this website.
AB108416

重组Anti-HSPA2抗体[EPR4596]

Anti-HSPA2 antibody [EPR4596]

5

(1 Review)

|

(16 Publications)

Rabbit Recombinant Monoclonal HSPA2 antibody. Suitable for IHC-P, WB and reacts with Mouse, Rat, Human samples. Cited in 16 publications.

查看别名

Heat shock-related 70 kDa protein 2, Heat shock 70 kDa protein 2, Heat shock protein family A member 2, HSPA2

4 Images
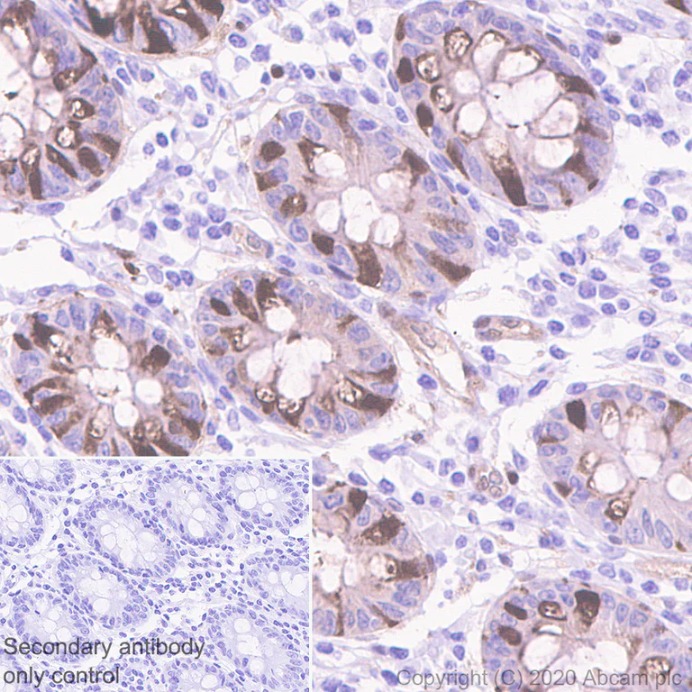
Immunohistochemistry (Formalin/PFA-fixed paraffin-embedded sections) - Anti-HSPA2 antibody [EPR4596] (AB108416)
  • IHC-P

Lab

Immunohistochemistry (Formalin/PFA-fixed paraffin-embedded sections) - Anti-HSPA2 antibody [EPR4596] (AB108416)

Immunohistochemistry (Formalin/PFA-fixed paraffin-embedded sections) analysis of human colon tissue sections labeling HSPA2 with purified ab108416 at 1/32000 dilution (0.03 µg/mL). Heat mediated antigen retrieval was performed using Perform heat mediated antigen retrieval using ab93684 (Tris/EDTA buffer, pH 9.0). Tissue was counterstained with Hematoxylin. ImmunoHistoProbe one step HRP Polymer (ready to use) secondary antibody was used at 1/0 dilution. PBS instead of the primary antibody was used as the negative control.

Immunohistochemistry (Formalin/PFA-fixed paraffin-embedded sections) - Anti-HSPA2 antibody [EPR4596] (AB108416)
  • IHC-P

Lab

Immunohistochemistry (Formalin/PFA-fixed paraffin-embedded sections) - Anti-HSPA2 antibody [EPR4596] (AB108416)

Immunohistochemistry (Formalin/PFA-fixed paraffin-embedded sections) analysis of mouse testis tissue sections labeling HSPA2 with purified ab108416 at 1/32000 dilution (0.03 µg/mL). Heat mediated antigen retrieval was performed using Perform heat mediated antigen retrieval using ab93684 (Tris/EDTA buffer, pH 9.0). Tissue was counterstained with Hematoxylin. ImmunoHistoProbe one step HRP Polymer (ready to use) secondary antibody was used at 1/0 dilution. PBS instead of the primary antibody was used as the negative control.

Immunohistochemistry (Formalin/PFA-fixed paraffin-embedded sections) - Anti-HSPA2 antibody [EPR4596] (AB108416)
  • IHC-P

Lab

Immunohistochemistry (Formalin/PFA-fixed paraffin-embedded sections) - Anti-HSPA2 antibody [EPR4596] (AB108416)

Immunohistochemistry (Formalin/PFA-fixed paraffin-embedded sections) analysis of rat lung tissue sections labeling HSPA2 with purified ab108416 at 1/32000 dilution (0.03 µg/mL). Heat mediated antigen retrieval was performed using Perform heat mediated antigen retrieval using ab93684 (Tris/EDTA buffer, pH 9.0). Tissue was counterstained with Hematoxylin. ImmunoHistoProbe one step HRP Polymer (ready to use) secondary antibody was used at 1/0 dilution. PBS instead of the primary antibody was used as the negative control.

Western blot - Anti-HSPA2 antibody [EPR4596] (AB108416)
  • WB

Unknown

Western blot - Anti-HSPA2 antibody [EPR4596] (AB108416)

All lanes:

Western blot - Anti-HSPA2 antibody [EPR4596] (ab108416) at 1/5000 dilution

Lane 1:

HeLa (Human cervix adenocarcinoma epithelial cell) whole cell lysate at 15 µg

Lane 2:

C6 (Rat glial tumor glial cell) whole cell lysate at 15 µg

Lane 3:

NIH/3T3 (Mouse embryonic fibroblast) whole cell lysate at 15 µg

Secondary

All lanes:

Western blot - Goat Anti-Rabbit IgG H&L (HRP) (<a href='/products/secondary-antibodies/goat-rabbit-igg-h-l-hrp-ab97051'>ab97051</a>) at 1/20000 dilution

Predicted band size: 70 kDa

false

不同偶联物与剂型 (1)

  • Carrier free

    Anti-HSPA2 antibody [EPR4596] - BSA and Azide free

关键信息

宿主种属

Rabbit

克隆

Monoclonal

克隆号

EPR4596

亚型

IgG

不含载体蛋白

No

反应种属

Mouse, Rat, Human

应用

WB, IHC-P

applications

免疫原

The exact immunogen used to generate this antibody is proprietary information.

反应性数据

{ "title": "Reactivity Data", "filters": { "stats": ["", "Species", "Dilution Info", "Notes"], "tabs": { "all-applications": {"fullname" : "All Applications", "shortname": "All Applications"}, "IHCP" : {"fullname" : "Immunohistochemistry (Formalin/PFA-fixed paraffin-embedded sections)", "shortname":"IHC-P"}, "WB" : {"fullname" : "Western blot", "shortname":"WB"} }, "product-promise": { "all": "all", "testedAndGuaranteed": "tested", "guaranteed": "expected", "predicted": "predicted", "notRecommended": "not-recommended" } }, "values": { "Human": { "IHCP-species-checked": "testedAndGuaranteed", "IHCP-species-dilution-info": "1/32000", "IHCP-species-notes": "<p><strong>For unpurified use at 1/100 - 1/250.</strong></p> Perform heat-mediated antigen retrieval with citrate buffer pH 6 before commencing with IHC staining protocol.", "WB-species-checked": "testedAndGuaranteed", "WB-species-dilution-info": "1/1000 - 1/10000", "WB-species-notes": "<p></p>" }, "Mouse": { "IHCP-species-checked": "testedAndGuaranteed", "IHCP-species-dilution-info": "1/32000", "IHCP-species-notes": "<p><strong>For unpurified use at 1/100 - 1/250.</strong></p> Perform heat-mediated antigen retrieval with citrate buffer pH 6 before commencing with IHC staining protocol.", "WB-species-checked": "testedAndGuaranteed", "WB-species-dilution-info": "1/1000 - 1/10000", "WB-species-notes": "<p></p>" }, "Rat": { "IHCP-species-checked": "testedAndGuaranteed", "IHCP-species-dilution-info": "1/32000", "IHCP-species-notes": "<p><strong>For unpurified use at 1/100 - 1/250.</strong></p> Perform heat-mediated antigen retrieval with citrate buffer pH 6 before commencing with IHC staining protocol.", "WB-species-checked": "testedAndGuaranteed", "WB-species-dilution-info": "1/1000 - 1/10000", "WB-species-notes": "<p></p>" } } }

产品详情

Patented technology
Our RabMAb® technology is a patented hybridoma-based technology for making rabbit monoclonal antibodies. For details on our patents, please refer to RabMAb® patents.

What are the advantages of a recombinant monoclonal antibody?
This product is a recombinant monoclonal antibody, which offers several advantages including:

  • - High batch-to-batch consistency and reproducibility
  • - Improved sensitivity and specificity
  • - Long-term security of supply
  • - Animal-free batch production

For more information, read more on recombinant antibodies.

性能和储存信息

形式
Liquid
纯化工艺
Affinity purification Protein A
存储溶液
pH: 7.2 - 7.4 Preservative: 0.01% Sodium azide Constituents: PBS, 40% Glycerol (glycerin, glycerine), 0.05% BSA
运输条件
Blue Ice
推荐的短期储存时间
1-2 weeks
推荐的短期储存条件
+4°C
推荐的长期储存条件
-20°C
分装信息
Upon delivery aliquot
储存信息
Avoid freeze / thaw cycle

补充信息

This supplementary information is collated from multiple sources and compiled automatically.

HSPA2 also known as Heat Shock Protein Family A (Hsp70) Member 2 serves as a molecular chaperone. It assists in the folding of nascent polypeptides and protection of proteins under stress. The protein has a mass of approximately 70 kilodaltons (kDa). You can find HSPA2 expressed in various tissues including the testes which suggests a role in sperm maturation and fertilization. Its expression is also notable in other tissues under stress conditions.
Biological function summary

This chaperone protein plays a role in spermatogenesis by ensuring the proper folding and functioning of sperm proteins. HSPA2 is not part of a larger protein complex but acts in coordination with co-chaperones to exert its functions. Its activities contribute to sperm development and viability impacting male fertility. HSPA2 also provides cellular protection in response to different stress stimuli such as increased temperature and toxic substances.

Pathways

HSPA2 participates in the protein folding pathway and stress response pathway. Its precise chaperone action is important for maintaining protein homeostasis; thereby it influences cellular health. In the stress response pathway HSPA2 interacts with other heat shock proteins such as HSP90AA1 coordinating to mitigate damage from cytotoxic stressors. This interaction helps to stabilize and refold misfolded proteins while facilitating their repair or degradation.

HSPA2's role in fertility and cell protection connects it to infertility and cancer. Research indicates abnormalities in HSPA2 function are associated with male infertility due to improper protein folding critical for sperm function. Similarly alterations in HSPA2 expression link to cancer progression where its regulation could impact cell survival and proliferation. Within these diseases HSPA2 interacts with proteins like tumor suppressors p53 highlighting its complex involvement in cellular responses.

产品实验方案

For this product, it's our understanding that no specific protocols are required. You can visit:

靶点信息

Molecular chaperone implicated in a wide variety of cellular processes, including protection of the proteome from stress, folding and transport of newly synthesized polypeptides, activation of proteolysis of misfolded proteins and the formation and dissociation of protein complexes. Plays a pivotal role in the protein quality control system, ensuring the correct folding of proteins, the re-folding of misfolded proteins and controlling the targeting of proteins for subsequent degradation. This is achieved through cycles of ATP binding, ATP hydrolysis and ADP release, mediated by co-chaperones. The affinity for polypeptides is regulated by its nucleotide bound state. In the ATP-bound form, it has a low affinity for substrate proteins. However, upon hydrolysis of the ATP to ADP, it undergoes a conformational change that increases its affinity for substrate proteins. It goes through repeated cycles of ATP hydrolysis and nucleotide exchange, which permits cycles of substrate binding and release (PubMed : 26865365). Plays a role in spermatogenesis. In association with SHCBP1L may participate in the maintenance of spindle integrity during meiosis in male germ cells (By similarity).
See full target information Heat shock-related 70 kDa protein 2

文献 (16)

Recent publications for all applications. Explore the full list and refine your search

eLife 13: PubMed40063400

2025

The asymmetric expression of HSPA2 in blastomeres governs the first embryonic cell-fate decision.

Applications

Unspecified application

Species

Unspecified reactive species

Jiayin Gao,Jiawei Wang,Shiyu Liu,Jinzhu Song,Chuanxin Zhang,Boyang Liu,Keliang Wu

International dental journal 75:992-1002 PubMed39523188

2024

Heat Shock Protein 70-2 is Overexpressed in Oral Leukoplakia and Oral Squamous Cell Carcinoma.

Applications

Unspecified application

Species

Unspecified reactive species

Ran Li,Xiaofeng Jiao,Yixuan Gu,Xiaotong Shi,Yi Liang,Yanwei Li,Zijian Song,Bing Li

Journal for immunotherapy of cancer 12: PubMed39209452

2024

Tumor microenvironment biomarkers predicting pathological response to neoadjuvant chemoimmunotherapy in locally advanced esophageal squamous cell carcinoma: post-hoc analysis of a single center, phase 2 study.

Applications

Unspecified application

Species

Unspecified reactive species

Tingting Feng,Qian Li,Rui Zhu,Chang Yu,Liwei Xu,Lisha Ying,Canming Wang,Weiming Xu,Jinchao Wang,Jing Zhu,Minran Huang,Chenyang Xu,Jiaoyue Jin,Xiaotian Zhang,Tingting Lu,Ying Yang,Changbin Zhu,Qixun Chen,Dan Su

Cancer medicine 12:15704-15719 PubMed37306188

2023

Construction of a prognostic model for triple-negative breast cancer based on immune-related genes, and associations between the tumor immune microenvironment and immunological therapy.

Applications

Unspecified application

Species

Unspecified reactive species

Yue Zhu,Lin-Feng Tao,Jin-Yan Liu,Yi-Xuan Wang,Hai Huang,Yan-Nan Jiang,Wei-Feng Qian

Frontiers in neurology 12:750908 PubMed34975719

2021

Preconditioning With Intermittent Hypobaric Hypoxia Attenuates Stroke Damage and Modulates Endocytosis in Residual Neurons.

Applications

Unspecified application

Species

Unspecified reactive species

Yaqi Wan,Lu Huang,Yanmin Liu,Weizhong Ji,Changxing Li,Ri-Li Ge

Cancers 12: PubMed32987811

2020

HSPA2 Chaperone Contributes to the Maintenance of Epithelial Phenotype of Human Bronchial Epithelial Cells but Has Non-Essential Role in Supporting Malignant Features of Non-Small Cell Lung Carcinoma, MCF7, and HeLa Cancer Cells.

Applications

Unspecified application

Species

Unspecified reactive species

Damian Robert Sojka,Agnieszka Gogler-Pigłowska,Katarzyna Klarzyńska,Marta Klimczak,Alicja Zylicz,Magdalena Głowala-Kosińska,Zdzisław Krawczyk,Dorota Scieglinska

Journal of structural biology 212:107629 PubMed32976998

2020

Genetic background dependent modifiers of craniosynostosis severity.

Applications

Unspecified application

Species

Unspecified reactive species

Amel Dudakovic,Hwa Kyung Nam,Andre J van Wijnen,Nan E Hatch

International journal of molecular sciences 21: PubMed32560263

2020

Various Anti-HSPA2 Antibodies Yield Different Results in Studies on Cancer-Related Functions of Heat Shock Protein A2.

Applications

Unspecified application

Species

Unspecified reactive species

Dorota Scieglinska,Damian Robert Sojka,Agnieszka Gogler-Pigłowska,Vira Chumak,Zdzisław Krawczyk

Scientific reports 9:14394 PubMed31591429

2019

Functional redundancy of HSPA1, HSPA2 and other HSPA proteins in non-small cell lung carcinoma (NSCLC); an implication for NSCLC treatment.

Applications

Unspecified application

Species

Unspecified reactive species

Damian Robert Sojka,Agnieszka Gogler-Pigłowska,Natalia Vydra,Alexander Jorge Cortez,Piotr Teodor Filipczak,Zdzisław Krawczyk,Dorota Scieglinska

Stem cell reports 13:380-393 PubMed31378672

2019

A Human Stem Cell Model of Fabry Disease Implicates LIMP-2 Accumulation in Cardiomyocyte Pathology.

Applications

Unspecified application

Species

Unspecified reactive species

Matthew J Birket,Sophie Raibaud,Miriam Lettieri,Antony D Adamson,Valerie Letang,Pauline Cervello,Nicolas Redon,Gwenaelle Ret,Sandra Viale,Bing Wang,Bruno Biton,Jean-Claude Guillemot,Vincent Mikol,John P Leonard,Neil A Hanley,Cecile Orsini,Jean-Michel Itier
View all publications

Abcam Product Promise

我们致力于为您的研究提供高质量的试剂,为您科研的每一步提供支持。若我们的产品未能达到预期性能,我们向您提供 Abcam Product Promise 保障。
详情请参阅我们的条款与条件。

Please note: All products are 'FOR RESEARCH USE ONLY. NOT FOR USE IN DIAGNOSTIC OR THERAPEUTIC PROCEDURES'.

For licensing inquiries, please contact partnerships@abcam.com