JavaScript is disabled in your browser. Please enable JavaScript to view this website.
AB109117

Anti-Hsp47 抗体 [EPR4217]

Anti-Hsp47 antibody [EPR4217]

5

(8 Reviews)

|

(49 Publications)

Anti-Hsp47 antibody [EPR4217] (ab109117) is a rabbit monoclonal antibody detecting Hsp47 in Western Blot, IHC-P. Suitable for Human, Mouse.

- KO validated for confirmed specificity
- Biophysical QC for unrivalled batch-batch consistency
- Over 40 publications

查看别名

CBP1, CBP2, HSP47, SERPINH2, PIG14, SERPINH1, Serpin H1, 47 kDa heat shock protein, Arsenic-transactivated protein 3, Cell proliferation-inducing gene 14 protein, Collagen-binding protein, Rheumatoid arthritis-related antigen RA-A47, AsTP3, Colligin

6 Images
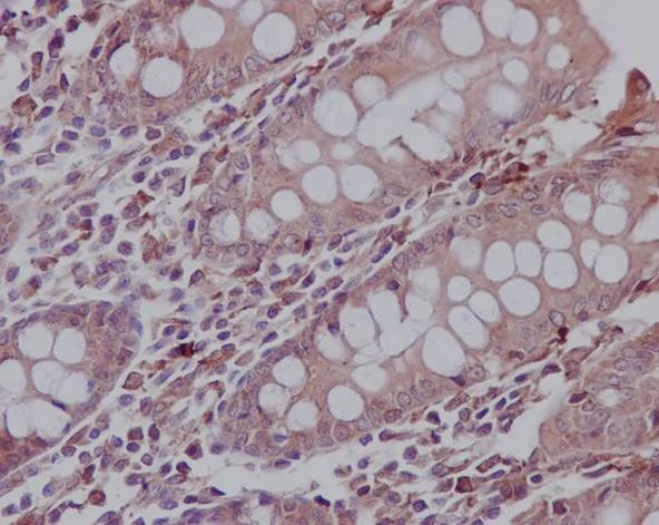
Immunohistochemistry (Formalin/PFA-fixed paraffin-embedded sections) - Anti-Hsp47 antibody [EPR4217] (AB109117)
  • IHC-P

Supplier Data

Immunohistochemistry (Formalin/PFA-fixed paraffin-embedded sections) - Anti-Hsp47 antibody [EPR4217] (AB109117)

ab109117 staining Hsp47 in Human colon tissue sections by Immunohistochemistry (IHC-P - paraformaldehyde-fixed, paraffin-embedded sections). Tissue was fixed and paraffin-embedded, antigen retrieval was by heat mediation in Tris/EDTA buffer pH9. Samples were incubated with primary antibody (1/300). An undiluted HRP-conjugated mouse anti-rabbit IgG was used as the secondary antibody. Tissue counterstained with Hematoxylin.

Immunohistochemistry (Formalin/PFA-fixed paraffin-embedded sections) - Anti-Hsp47 antibody [EPR4217] (AB109117)
  • IHC-P

Unknown

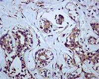
Immunohistochemistry (Formalin/PFA-fixed paraffin-embedded sections) - Anti-Hsp47 antibody [EPR4217] (AB109117)

ab109117, unpurified, at 1/100 dilution, staining Hsp47 in Human breast tissue by Immunohistochemistry.

Perform heat mediated antigen retrieval with citrate buffer pH 6 before commencing with IHC staining protocol.

Western blot - Anti-Hsp47 antibody [EPR4217] (AB109117)
  • WB

Supplier Data

Western blot - Anti-Hsp47 antibody [EPR4217] (AB109117)

Lane 1 : Wild-type HAP1 whole cell lysate (20 μg)
Lane 2 : Hsp47 knockout HAP1 whole cell lysate (20 μg)
Lane 3 : HeLa whole cell lysate (20 μg)
Lane 4 : HepG2 whole cell lysate (20 μg)

Lanes 1 - 4 : Merged signal (red and green). Green - ab109117 observed at 46 kDa. Red - loading control, ab9484, observed at 37 kDa.

ab109117 was shown to recognize Hsp47 in wild-type HAP1 cells as signal was lost at the expected MW in Hsp47 knockout cells. Additional cross-reactive bands were observed in the wild-type and knockout cells. Wild-type and Hsp47 knockout samples were subjected to SDS-PAGE. ab109117 and ab9484 (Mouse anti-GAPDH loading control) were incubated overnight at 4°C at 1/1000 dilution and 1/20000 dilution respectively. Blots were developed with Goat anti-Rabbit IgG H&L (IRDye® 800CW) preabsorbed ab216773 and Goat anti-Mouse IgG H&L (IRDye® 680RD) preabsorbed ab216776 secondary antibodies at 1/20000 dilution for 1 hour at room temperature before imaging.

All lanes:

Western blot - Anti-Hsp47 antibody [EPR4217] (ab109117)

Predicted band size: 46 kDa

false

Western blot - Anti-Hsp47 antibody [EPR4217] (AB109117)
  • WB

Unknown

Western blot - Anti-Hsp47 antibody [EPR4217] (AB109117)

All lanes:

Western blot - Anti-Hsp47 antibody [EPR4217] (ab109117) at 1/1000 dilution

Lane 1:

HeLa cell lysate at 10 µg

Lane 2:

A431 cell lysate at 10 µg

Lane 3:

NIH/3T3 cell lysate at 10 µg

Predicted band size: 46 kDa

false

Western blot - Anti-Hsp47 antibody [EPR4217] (AB109117)
  • WB

Supplier Data

Western blot - Anti-Hsp47 antibody [EPR4217] (AB109117)

All lanes:

Western blot - Anti-Hsp47 antibody [EPR4217] (ab109117) at 1/2000 dilution

Lane 1:

A431 Cell Lysate at 20 µg

Lane 2:

NIH/3T3 Cell Lysate at 20 µg

Secondary

All lanes:

Goat Anti-Rabbit IgG, (H+L), HRP- conjugated at 1/1000 dilution

Predicted band size: 46 kDa

false

Western blot - Anti-Hsp47 antibody [EPR4217] (AB109117)
  • WB

CiteAb

Western blot - Anti-Hsp47 antibody [EPR4217] (AB109117)

Hsp47 western blot using anti-Hsp47 antibody [EPR4217] ab109117. Publication image and figure legend from Tian, S., Peng, P., et al., 2020, Aging (Albany NY), PubMed 32091407.

ab109117 was used in this publication in western blot. This may not be the same as the application(s) guaranteed by Abcam. For a full list of applications guaranteed by Abcam for ab109117 please see the product overview.

SERPINH1 regulates EMT markers and Wnt/β-catenin signaling pathway in GC. (A) Western blot analysis shows reduced N-cadherin and increased E-cadherin expression in SERPINH1-silenced SGC-7901 cells compared with controls. Conversely, SERPINH1-overexpressing MGC-803 cells show increased N-cadherin and reduced E-cadherin expression compared with the controls. (B) Western blot analysis shows increased levels of β-catenin, Wnt2, GSK-3β, p-GSK-3β, NF-κB p65, Snail1, Slug, and TWIST in the SERPINH1-overexpressing MGC-803 cells compared with the controls, whereas SERPINH1-silenced SGC-7901 cells show reduced levels of β-catenin, Wnt2, GSK-3β, p-GSK-3β, NF-κB p65, Snail1, Slug, and TWIST compared with the controls. (C) Immunofluorescence staining of E-cadherin, N-cadherin and SERPINH1 proteins in the control and SERPINH1-silenced SGC-7901 cells, as well as, control and SERPINH1-overexpressing MGC-803 cells. (D, E) Gene expression analysis of the TCGA-STAD dataset shows (D) negative correlation of CDH1 (r=-0.12, P=0.019) or E-cadherin mRNA levels and (E) positive association of CDH2 (r=0.40, p<0.0001) or N-cadherin mRNA levels with the SERPINH1 mRNA levels.

false

不同偶联物与剂型 (8)

关键信息

宿主种属

Rabbit

克隆

Monoclonal

克隆号

EPR4217

亚型

IgG

不含载体蛋白

No

反应种属

Mouse, Human

应用

IHC-P, WB

applications

免疫原

The exact immunogen used to generate this antibody is proprietary information.

反应性数据

{ "title": "Reactivity Data", "filters": { "stats": ["", "Species", "Dilution Info", "Notes"], "tabs": { "all-applications": {"fullname" : "All Applications", "shortname": "All Applications"}, "IHCP" : {"fullname" : "Immunohistochemistry (Formalin/PFA-fixed paraffin-embedded sections)", "shortname":"IHC-P"}, "WB" : {"fullname" : "Western blot", "shortname":"WB"} }, "product-promise": { "all": "all", "testedAndGuaranteed": "tested", "guaranteed": "expected", "predicted": "predicted", "notRecommended": "not-recommended" } }, "values": { "Human": { "IHCP-species-checked": "testedAndGuaranteed", "IHCP-species-dilution-info": "1/300", "IHCP-species-notes": "<p><strong>For unpurified use at 1/100 - 1/250.</strong></p> Perform heat-mediated antigen retrieval with citrate buffer pH 6 before commencing with IHC staining protocol.", "WB-species-checked": "testedAndGuaranteed", "WB-species-dilution-info": "1/1000 - 1/10000", "WB-species-notes": "<p><strong>For unpurified use at 1/100.</strong></p>" }, "Mouse": { "IHCP-species-checked": "guaranteed", "IHCP-species-dilution-info": "", "IHCP-species-notes": "", "WB-species-checked": "testedAndGuaranteed", "WB-species-dilution-info": "1/1000 - 1/10000", "WB-species-notes": "<p><strong>For unpurified use at 1/100.</strong></p>" }, "Rat": { "IHCP-species-checked": "predicted", "IHCP-species-dilution-info": "", "IHCP-species-notes": "", "WB-species-checked": "predicted", "WB-species-dilution-info": "", "WB-species-notes": "" } } }

产品详情

What is this antibody validated in?
Anti-Hsp47 antibody [EPR4217] (ab109117) is a rabbit recombinant monoclonal antibody and is validated for use in Western Blot (WB), Immunohistochemistry (IHC-P) in Human, Mouse samples.

What is the molecular weight of Hsp47?
Anti-Hsp47 [EPR4217] (ab109117) specifically detects a band for Hsp47 (UniProt: P50454) at a molecular weight of 46kDa.

Trusted by the scientific community
Anti-Hsp47 [EPR4217] (ab109117) was first used in a scientific publication in 2011 and has been cited over 40 times in peer-reviewed journals.

Reviewed by scientists
Anti-Hsp47 [EPR4217] (ab109117) has over 5 independent reviews from customers.

Trial sizes available!
Test your antibody or perform pre-screening before committing to a larger quantity. Sold in 10µl. Discover our selection of trial-size antibodies.

Specificity confirmed
The specificity of Anti-Hsp47 antibody [EPR4217] (ab109117) has been confirmed by Western blot testing in SERPINH1 Knockout HAP1 cells.

Other related products
We have a range of other formats of antibody clone [EPR4217] also available for your convenience: ab109117, HRP - ab193242, Carrier free - ab226052, Alexa Fluor® 488 - ab320342, Alexa Fluor® 647 - ab320343, Alexa Fluor® 555 - ab320344, Alexa Fluor® 594 - ab320345, PE - ab320346, APC - ab320347, Alexa Fluor® 750 - ab320927

Patented technology
Our RabMAb® technology is a patented hybridoma-based technology for making rabbit monoclonal antibodies. For details on our patents, please refer to RabMAb® patents.

What are the advantages of a recombinant monoclonal antibody?
This product is a recombinant monoclonal antibody, which offers several advantages including:

  • - High batch-to-batch consistency and reproducibility
  • - Improved sensitivity and specificity
  • - Long-term security of supply
  • - Animal-free batch production

For more information, read more on recombinant antibodies.

性能和储存信息

形式
Liquid
纯化工艺
Affinity purification Protein A
存储溶液
pH: 7.2 - 7.4 Preservative: 0.01% Sodium azide Constituents: PBS, 40% Glycerol (glycerin, glycerine), 0.05% BSA
运输条件
Blue Ice
推荐的短期储存时间
1-2 weeks
推荐的短期储存条件
+4°C
推荐的长期储存条件
-20°C
分装信息
Upon delivery aliquot
储存信息
Stable for 12 months at -20°C

补充信息

This supplementary information is collated from multiple sources and compiled automatically.

Hsp47 also known as the heat shock protein 47 is a molecular chaperone with a molecular weight of approximately 47 kDa. It mainly resides in the endoplasmic reticulum and participates in collagen synthesis. Hsp47 binds specifically to unfolded procollagen chains ensures their proper folding and prevents premature aggregation. Due to its specialized function Hsp47 is highly expressed in collagen-producing cells like fibroblasts. Researchers commonly study this protein using techniques like Hsp47 ELISA to measure its expression or activity levels.
Biological function summary

Hsp47 ensures the quality control of collagen within the secretory pathway. It does not form part of any large protein complexes but operates closely with collagen molecules. By stabilizing procollagen's triple-helix structure Hsp47 plays an important role in collagen biosynthesis. Dysfunctional collagen processes can arise without this protein's presence potentially leading to cellular stress or structural weaknesses within tissues rich in collagen.

Pathways

Hsp47's activity integrates into the collagen synthesis and secretion pathways. This protein is related to other molecular chaperones such as Hsp70 that assist in maintaining protein homeostasis within the cell. Hsp47's function links to fibrosis pathways because of its role in collagen maturation. In terms of fibrotic pathologies this involvement makes the chaperoning of procollagen a critical control point.

Disrupted Hsp47 function frequently associates with fibrotic conditions and osteogenesis imperfecta. Fibrosis results from excessive collagen deposition in which Hsp47 is deeply implicated. Additionally certain cancer types have shown altered Hsp47 expression correlating with increased cancer cell invasiveness due to extracellular matrix remodeling. Studies have noted interactions between Hsp47 and TGF-beta signaling in fibrotic tissues reinforcing its role in pathological collagen turnover.

产品实验方案

For this product, it's our understanding that no specific protocols are required. You can visit:

靶点信息

Binds specifically to collagen. Could be involved as a chaperone in the biosynthetic pathway of collagen.
See full target information SERPINH1

文献 (49)

Recent publications for all applications. Explore the full list and refine your search

Materials today. Bio 35:102287 PubMed40989834

2025

Photothermal-triggered NO-releasing nanofiber membrane mitigates intervertebral disc degeneration via inflammation inhibition and matrix stabilization.

Applications

Unspecified application

Species

Unspecified reactive species

Guanfeng Huang,Jiajun Xie,Jialan Chen,Jiangminghao Zhao,Pinkai Wang,Jian Zhang,Peichuan Xu,Yang Li,Xiaolong Chen,Xinxin Miao,Wei Xiong,Xigao Cheng

World journal of gastrointestinal oncology 17:98703 PubMed40092920

2025

promotes the proliferation and migration of gastric cancer cells by inducing microRNA-125a-5p methylation to promote SERPINE1 protein.

Applications

Unspecified application

Species

Unspecified reactive species

Hui Xie,Hui Wang,Ru-Hong Li,Yue-Wen Zhang,Xi-Rui Fan,Xiao-Xue He,Ao-Ran Guan

PNAS nexus 3:pgae496 PubMed39660059

2024

Choroid plexus extracellular vesicle transport of blood-borne insulin-like growth factor 1 to the hippocampus of the immature brain.

Applications

Unspecified application

Species

Unspecified reactive species

Niklas Ortenlöf,Suvi Vallius,Helena Karlsson,Claes Ekström,Amanda Kristiansson,Bo Holmqvist,Stanislava Pankratova,Norman Barton,David Ley,Magnus Gram

Molecular & cellular proteomics : MCP 23:100843 PubMed39305996

2024

Proteomic Heterogeneity of the Extracellular Matrix Identifies Histologic Subtype-Specific Fibroblast in Gastric Cancer.

Applications

Unspecified application

Species

Unspecified reactive species

Hyun Jin Lee,Yoonjin Kwak,Yun Suk Na,Hyejin Kim,Mi Ree Park,Jeong Yeon Jo,Jin Young Kim,Soo-Jeong Cho,Pilnam Kim

eLife 13: PubMed38963323

2024

Hsp47 promotes biogenesis of multi-subunit neuroreceptors in the endoplasmic reticulum.

Applications

Unspecified application

Species

Unspecified reactive species

Ya-Juan Wang,Xiao-Jing Di,Pei-Pei Zhang,Xi Chen,Marnie P Williams,Dong-Yun Han,Raad Nashmi,Brandon J Henderson,Fraser J Moss,Ting-Wei Mu

Cellular and molecular gastroenterology and hepatology 17:639-656 PubMed38199279

2024

Extracellular Matrix Orchestration of Tissue Remodeling in the Chronically Inflamed Mouse Colon.

Applications

Unspecified application

Species

Unspecified reactive species

Elisa B Moutin,Joanna Bons,Giada Giavara,Filipe Lourenco,Deng Pan,Jordan B Burton,Samah Shah,Mathilde Colombé,Philippe Gascard,Thea Tlsty,Birgit Schilling,Douglas J Winton

Aging 15:13840-13853 PubMed38054821

2023

Prognostic significance and immune characteristics of APOE in gastric cancer.

Applications

Unspecified application

Species

Unspecified reactive species

Xiulan Peng,Zhen Cai,Duansi Chen,Fei Ye,Lifeng Hong

Translational oncology 39:101802 PubMed37839175

2023

SERPINH1 enhances the malignancy of osteosarcoma via PI3K-Akt signaling pathway.

Applications

Unspecified application

Species

Unspecified reactive species

Kezhou Xia,Xinghan Huang,Yingchun Zhao,Isabelle Yang,Weichun Guo

iScience 26:107113 PubMed37416477

2023

Restoration of mitochondrial function by polysaccharide via upregulated SOD2 in aging fibroblasts.

Applications

Unspecified application

Species

Unspecified reactive species

Kayo Machihara,Shoma Oki,Yuka Maejima,Sou Kageyama,Ayumu Onda,Yurino Koseki,Yasuyuki Imai,Takushi Namba

Cell reports 41:111706 PubMed36417854

2022

Defining the spatial-molecular map of fibrotic tendon healing and the drivers of Scleraxis-lineage cell fate and function.

Applications

Unspecified application

Species

Unspecified reactive species

Jessica E Ackerman,Katherine T Best,Samantha N Muscat,Elizabeth M Pritchett,Anne E C Nichols,Chia-Lung Wu,Alayna E Loiselle
View all publications

Abcam Product Promise

我们致力于为您的研究提供高质量的试剂,为您科研的每一步提供支持。若我们的产品未能达到预期性能,我们向您提供 Abcam Product Promise 保障。
详情请参阅我们的条款与条件。

Please note: All products are 'FOR RESEARCH USE ONLY. NOT FOR USE IN DIAGNOSTIC OR THERAPEUTIC PROCEDURES'.

For licensing inquiries, please contact partnerships@abcam.com