JavaScript is disabled in your browser. Please enable JavaScript to view this website.
AB247912

重组Anti-Hsp105/HSP110抗体[EPR4576] - BSA and Azide free

Anti-Hsp105/HSP110 antibody [EPR4576] - BSA and Azide free

Be the first to review this product! Submit a review

|

(1 Publication)

Rabbit Recombinant Monoclonal Hsp105/HSP110 antibody. Carrier free. Suitable for IHC-P, ICC/IF, IP, WB and reacts with Human, Mouse, Rat samples. Cited in 1 publication.

查看别名

HSP105, HSP110, KIAA0201, HSPH1, Heat shock protein 105 kDa, Antigen NY-CO-25, Heat shock 110 kDa protein, Heat shock protein family H member 1

8 Images
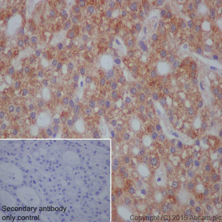
Immunohistochemistry (Formalin/PFA-fixed paraffin-embedded sections) - Anti-Hsp105/HSP110 antibody [EPR4576] - BSA and Azide free (AB247912)
  • IHC-P

Lab

Immunohistochemistry (Formalin/PFA-fixed paraffin-embedded sections) - Anti-Hsp105/HSP110 antibody [EPR4576] - BSA and Azide free (AB247912)

This data was developed using ab109624, the same antibody clone in a different buffer formulation.

Immunohistochemistry (Formalin/PFA-fixed paraffin-embedded sections) analysis of human liver carcinoma tissue labelling Hsp105/HSP110 with purified ab109624 at a dilution of 1/500. Heat mediated antigen retrieval was performed using EDTA buffer pH 9. ab97051, a HRP-conjugated goat anti-rabbit IgG (H+L) was used as the secondary antibody (1/500). Negative control using PBS instead of primary antibody. Counterstained with hematoxylin.

Immunocytochemistry/ Immunofluorescence - Anti-Hsp105/HSP110 antibody [EPR4576] - BSA and Azide free (AB247912)
  • ICC/IF

Lab

Immunocytochemistry/ Immunofluorescence - Anti-Hsp105/HSP110 antibody [EPR4576] - BSA and Azide free (AB247912)

This data was developed using ab109624, the same antibody clone in a different buffer formulation.

Immunocytochemistry/Immunofluorescence analysis of HeLa cells labelling Hsp105/HSP110 with purified ab109624 at a dilution of 1/250. Cells were fixed with 4% paraformaldehyde and permeabilized with 0.1% Triton X-100. ab150077, an Alexa Fluor® 488-conjugated goat anti-rabbit IgG (1/1000) was used as the secondary antibody. DAPI (blue) was used as the nuclear counterstain. ab7291, a mouse anti-tubulin (1/1000) and ab150120, an Alexa Fluor® 594-conjugated goat anti-mouse IgG (1/1000) were also used.

Control 1 : primary antibody (1/250) and secondary antibody, ab150120, an Alexa Fluor® 594-conjugated goat anti-mouse IgG (1/1000).

Control 2 : ab7291 (1/1000) and secondary antibody, ab150077, an Alexa Fluor® 488-conjugated goat anti-rabbit IgG (1/1000).

Immunocytochemistry/ Immunofluorescence - Anti-Hsp105/HSP110 antibody [EPR4576] - BSA and Azide free (AB247912)
  • ICC/IF

Unknown

Immunocytochemistry/ Immunofluorescence - Anti-Hsp105/HSP110 antibody [EPR4576] - BSA and Azide free (AB247912)

This data was developed using ab109624, the same antibody clone in a different buffer formulation.

Immunocytochemistry/Immunofluorescence analysis of HeLa cells labelling Hsp105/HSP110 with unpurified ab109624 at a dilution of 1/100.

Immunohistochemistry (Formalin/PFA-fixed paraffin-embedded sections) - Anti-Hsp105/HSP110 antibody [EPR4576] - BSA and Azide free (AB247912)
  • IHC-P

Unknown

Immunohistochemistry (Formalin/PFA-fixed paraffin-embedded sections) - Anti-Hsp105/HSP110 antibody [EPR4576] - BSA and Azide free (AB247912)

This data was developed using ab109624, the same antibody clone in a different buffer formulation.

Immunohistochemistry (Formalin/PFA-fixed paraffin-embedded sections) analysis of human thyroid gland carcinoma tissue labelling Hsp105/HSP110 with unpurified ab109624 at a dilution of 1/50.

Perform heat mediated antigen retrieval before commencing with IHC staining protocol.

Immunoprecipitation - Anti-Hsp105/HSP110 antibody [EPR4576] - BSA and Azide free (AB247912)
  • IP

Lab

Immunoprecipitation - Anti-Hsp105/HSP110 antibody [EPR4576] - BSA and Azide free (AB247912)

This data was developed using ab109624&44; the same antibody clone in a different buffer formulation.

ab109624 (purified) at 1/40 immunoprecipitating Hsp105/HSP110 in NIH/3T3 whole cell lysate.

Lane 1 (input) : NIH/3T3 whole cell lysate (10μg)

Lane 2 (+) : ab109624 + NIH/3T3 whole cell lysate.

Lane 3 (-) : Rabbit monoclonal IgG (ab172730) instead of ab109624 in NIH/3T3 whole cell lysate.

For western blotting, VeriBlot for IP Detection Reagent (HRP) (ab131366), was used for detection at 1/10,000 dilution.

Blocking and dilution buffer : 5% NFDM/TBST.

All lanes:

Immunoprecipitation - Anti-Hsp105/HSP110 antibody [EPR4576] (<a href='/products/primary-antibodies/hsp105-hsp110-antibody-epr4576-ab109624'>ab109624</a>)

Predicted band size: 96 kDa

Observed band size: 105 kDa

false

Western blot - Anti-Hsp105/HSP110 antibody [EPR4576] - BSA and Azide free (AB247912)
  • WB

Unknown

Western blot - Anti-Hsp105/HSP110 antibody [EPR4576] - BSA and Azide free (AB247912)

This data was developed using ab109624, the same antibody clone in a different buffer formulation.

All lanes:

Western blot - Anti-Hsp105/HSP110 antibody [EPR4576] (<a href='/products/primary-antibodies/hsp105-hsp110-antibody-epr4576-ab109624'>ab109624</a>) at 1/1000 dilution

Lane 1:

HeLa cell lysate at 10 µg

Lane 2:

HepG2 cell lysate at 10 µg

Lane 3:

Human cerebellum lysate at 10 µg

Lane 4:

MCF-7 cell lysate at 10 µg

Secondary

All lanes:

HRP-conjugated goat anti-rabbit IgG at 1/2000 dilution

Predicted band size: 96 kDa

false

Western blot - Anti-Hsp105/HSP110 antibody [EPR4576] - BSA and Azide free (AB247912)
  • WB

Lab

Western blot - Anti-Hsp105/HSP110 antibody [EPR4576] - BSA and Azide free (AB247912)

This data was developed using ab109624, the same antibody clone in a different buffer formulation.

Blocking and dilution buffer : 5% NFDM/TBST.

All lanes:

Western blot - Anti-Hsp105/HSP110 antibody [EPR4576] (<a href='/products/primary-antibodies/hsp105-hsp110-antibody-epr4576-ab109624'>ab109624</a>) at 1/5000 dilution

Lane 1:

HeLa whole cell lysate at 20 µg

Lane 2:

HepG2 whole cell lysate at 20 µg

Secondary

All lanes:

HRP-conjugated anti-rabbit IgG, specific to the non-reduced form of IgG at 1/1000 dilution

Predicted band size: 83 kDa,96 kDa

Observed band size: 105 kDa

false

Western blot - Anti-Hsp105/HSP110 antibody [EPR4576] - BSA and Azide free (AB247912)
  • WB

Lab

Western blot - Anti-Hsp105/HSP110 antibody [EPR4576] - BSA and Azide free (AB247912)

This data was developed using ab109624, the same antibody clone in a different buffer formulation.

Blocking and dilution buffer : 5% NFDM/TBST.

All lanes:

Western blot - Anti-Hsp105/HSP110 antibody [EPR4576] (<a href='/products/primary-antibodies/hsp105-hsp110-antibody-epr4576-ab109624'>ab109624</a>) at 1/5000 dilution

Lane 1:

C6 whole cell lysate at 20 µg

Lane 2:

PC-12 whole cell lysate at 20 µg

Lane 3:

NIH/3T3 whole cell lysate at 20 µg

Secondary

All lanes:

HRP-conjugated anti-rabbit IgG, specific to the non-reduced form of IgG at 1/1000 dilution

Predicted band size: 96 kDa

Observed band size: 105 kDa

false

不同偶联物与剂型 (8)

  • Unconjugated

    Anti-Hsp105/HSP110 antibody [EPR4576]

  • 519 Alexa Fluor® 488

    Alexa Fluor® 488 Anti-Hsp105/HSP110 antibody [EPR4576]

  • 665 Alexa Fluor® 647

    Alexa Fluor® 647 Anti-Hsp105/HSP110 antibody [EPR4576]

  • 565 Alexa Fluor® 555

    Alexa Fluor® 555 Anti-Hsp105/HSP110 antibody [EPR4576]

  • 617 Alexa Fluor® 594

    Alexa Fluor® 594 Anti-Hsp105/HSP110 antibody [EPR4576]

  • 578 PE

    PE Anti-Hsp105/HSP110 antibody [EPR4576]

  • 660 APC

    APC Anti-Hsp105/HSP110 antibody [EPR4576]

  • 775 Alexa Fluor® 750

    Alexa Fluor® 750 Anti-Hsp105/HSP110 antibody [EPR4576]

关键信息

宿主种属

Rabbit

克隆

Monoclonal

克隆号

EPR4576

亚型

IgG

不含载体蛋白

Yes

反应种属

Mouse, Rat, Human

应用

WB, ICC/IF, IHC-P, IP

applications

免疫原

The exact immunogen used to generate this antibody is proprietary information.

反应性数据

{ "title": "Reactivity Data", "filters": { "stats": ["", "Species", "Dilution Info", "Notes"], "tabs": { "all-applications": {"fullname" : "All Applications", "shortname": "All Applications"}, "IHCP" : {"fullname" : "Immunohistochemistry (Formalin/PFA-fixed paraffin-embedded sections)", "shortname":"IHC-P"}, "ICCIF" : {"fullname" : "Immunocytochemistry/ Immunofluorescence", "shortname":"ICC/IF"}, "IP" : {"fullname" : "Immunoprecipitation", "shortname":"IP"}, "WB" : {"fullname" : "Western blot", "shortname":"WB"} }, "product-promise": { "all": "all", "testedAndGuaranteed": "tested", "guaranteed": "expected", "predicted": "predicted", "notRecommended": "not-recommended" } }, "values": { "Human": { "IHCP-species-checked": "testedAndGuaranteed", "IHCP-species-dilution-info": "", "IHCP-species-notes": "<p></p>", "ICCIF-species-checked": "testedAndGuaranteed", "ICCIF-species-dilution-info": "", "ICCIF-species-notes": "<p></p>", "IP-species-checked": "guaranteed", "IP-species-dilution-info": "", "IP-species-notes": "", "WB-species-checked": "testedAndGuaranteed", "WB-species-dilution-info": "", "WB-species-notes": "<p></p>" }, "Mouse": { "IHCP-species-checked": "guaranteed", "IHCP-species-dilution-info": "", "IHCP-species-notes": "", "ICCIF-species-checked": "guaranteed", "ICCIF-species-dilution-info": "", "ICCIF-species-notes": "", "IP-species-checked": "testedAndGuaranteed", "IP-species-dilution-info": "", "IP-species-notes": "<p></p>", "WB-species-checked": "guaranteed", "WB-species-dilution-info": "", "WB-species-notes": "" }, "Rat": { "IHCP-species-checked": "guaranteed", "IHCP-species-dilution-info": "", "IHCP-species-notes": "", "ICCIF-species-checked": "guaranteed", "ICCIF-species-dilution-info": "", "ICCIF-species-notes": "", "IP-species-checked": "guaranteed", "IP-species-dilution-info": "", "IP-species-notes": "", "WB-species-checked": "testedAndGuaranteed", "WB-species-dilution-info": "", "WB-species-notes": "<p></p>" } } }

产品详情

ab247912 is the carrier-free version of ab109624.

Patented technology
Our RabMAb® technology is a patented hybridoma-based technology for making rabbit monoclonal antibodies. For details on our patents, please refer to RabMAb® patents.

What are the advantages of a recombinant monoclonal antibody?
This product is a recombinant monoclonal antibody, which offers several advantages including:

  • - High batch-to-batch consistency and reproducibility
  • - Improved sensitivity and specificity
  • - Long-term security of supply
  • - Animal-free batch production

For more information, read more on recombinant antibodies.

Conjugation ready
Our carrier-free antibodies are typically supplied in a PBS-only formulation, purified and free of BSA, sodium azide and glycerol. This conjugation-ready format is designed for use with fluorochromes, metal isotopes, oligonucleotides, and enzymes, which makes them ideal for antibody labelling, functional and cell-based assays, flow-based assays (e.g. mass cytometry) and Multiplex Imaging applications.

Use our conjugation kits for antibody conjugates that are ready-to-use in as little as 20 minutes with 1 minute hands-on-time and 100% antibody recovery: available for fluorescent dyes, HRP, biotin and gold.

Compatibility
This product is compatible with the Maxpar® Antibody Labeling Kit from Fluidigm, without the need for antibody preparation. Maxpar® is a trademark of Fluidigm Canada Inc.

性能和储存信息

形式
Liquid
纯化工艺
Affinity purification Protein A
存储溶液
pH: 7.2 - 7.4 Constituents: PBS
运输条件
Blue Ice
推荐的短期储存条件
+4°C
推荐的长期储存条件
+4°C
储存信息
Do Not Freeze

补充信息

This supplementary information is collated from multiple sources and compiled automatically.

Hsp105 also known as HSP110 is a member of the heat shock protein family. With a molecular mass of approximately 105 kDa this protein functions as a molecular chaperone. It assists in the proper folding of proteins and prevents aggregation especially under stress conditions. Hsp105 is expressed in various tissues including the brain heart and skeletal muscles indicating its widespread roles in maintaining cellular protein homeostasis.
Biological function summary

Hsp105 plays an essential role in protein folding and stress responses. It forms part of a cellular complex that includes other chaperones like Hsp70 and Hsp40. This interaction is critical in refolding denatured proteins and preventing the accumulation of misfolded proteins. In the cell the chaperone activity of Hsp105 helps in managing protein quality control particularly during heat shock and other stress conditions.

Pathways

This protein integrates within signaling cascades associated with stress responses and apoptosis. It is an important player in the HSF1-mediated heat shock response pathway which regulates the expression of various heat shock proteins. Additionally Hsp105 interacts with proteins like Hsp70 within this pathway coordinating cellular mechanisms that protect against protein-damaging conditions. Another pathway in which Hsp105 is involved might be the ubiquitin-proteasome pathway facilitating the degradation of damaged proteins.

Hsp105 has connections to neurodegenerative disorders and cancer. Studies show that its overexpression may link to tumor resistance against chemotherapy by stabilizing proteins involved in cell survival pathways. In neurodegenerative diseases like Alzheimer's Hsp105 binds to tau proteins potentially impacting their normal function and aggregation. It works alongside related proteins such as Hsp70 in these contexts highlighting its role in the pathogenesis and progression of these diseases.

产品实验方案

For this product, it's our understanding that no specific protocols are required. You can visit:

靶点信息

Acts as a nucleotide-exchange factor (NEF) for chaperone proteins HSPA1A and HSPA1B, promoting the release of ADP from HSPA1A/B thereby triggering client/substrate protein release (PubMed : 24318877). Prevents the aggregation of denatured proteins in cells under severe stress, on which the ATP levels decrease markedly. Inhibits HSPA8/HSC70 ATPase and chaperone activities (By similarity).
See full target information HSPH1

文献 (1)

Recent publications for all applications. Explore the full list and refine your search

Phytotherapy research : PTR 37:4236-4250 PubMed37329155

2023

Anti-inflammatory effect of dictamnine on allergic rhinitis via suppression of the LYN kinase-mediated molecular signaling pathway during mast cell activation.

Applications

Unspecified application

Species

Unspecified reactive species

Rui Liu,Yonghui Zhang,Yuejin Wang,Yihan Huang,Jiapan Gao,Xi Tian,Tianyou Ma,Tao Zhang
View all publications

Abcam Product Promise

我们致力于为您的研究提供高质量的试剂,为您科研的每一步提供支持。若我们的产品未能达到预期性能,我们向您提供 Abcam Product Promise 保障。
详情请参阅我们的条款与条件。

Please note: All products are 'FOR RESEARCH USE ONLY. NOT FOR USE IN DIAGNOSTIC OR THERAPEUTIC PROCEDURES'.

For licensing inquiries, please contact partnerships@abcam.com