JavaScript is disabled in your browser. Please enable JavaScript to view this website.
AB109624

重组Anti-Hsp105/HSP110抗体[EPR4576]

Anti-Hsp105/HSP110 antibody [EPR4576]

4

(4 Reviews)

|

(19 Publications)

Rabbit Recombinant Monoclonal Hsp105/HSP110 antibody. Suitable for IHC-P, IP, WB, ICC/IF and reacts with Human, Mouse, Rat samples. Cited in 19 publications.

查看别名

HSP105, HSP110, KIAA0201, HSPH1, Heat shock protein 105 kDa, Antigen NY-CO-25, Heat shock 110 kDa protein, Heat shock protein family H member 1

9 Images
Immunocytochemistry/ Immunofluorescence - Anti-Hsp105/HSP110 antibody [EPR4576] (AB109624)
  • ICC/IF

Unknown

Immunocytochemistry/ Immunofluorescence - Anti-Hsp105/HSP110 antibody [EPR4576] (AB109624)

Immunocytochemistry/Immunofluorescence analysis of HeLa cells labelling Hsp105/HSP110 with unpurified ab109624 at a dilution of 1/100.

Immunohistochemistry (Formalin/PFA-fixed paraffin-embedded sections) - Anti-Hsp105/HSP110 antibody [EPR4576] (AB109624)
  • IHC-P

Unknown

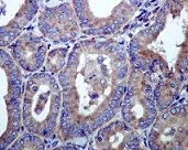
Immunohistochemistry (Formalin/PFA-fixed paraffin-embedded sections) - Anti-Hsp105/HSP110 antibody [EPR4576] (AB109624)

Immunohistochemistry (Formalin/PFA-fixed paraffin-embedded sections) analysis of human thyroid gland carcinoma tissue labelling Hsp105/HSP110 with unpurified ab109624 at a dilution of 1/50.

Perform heat mediated antigen retrieval before commencing with IHC staining protocol.

Immunohistochemistry (Formalin/PFA-fixed paraffin-embedded sections) - Anti-Hsp105/HSP110 antibody [EPR4576] (AB109624)
  • IHC-P

Lab

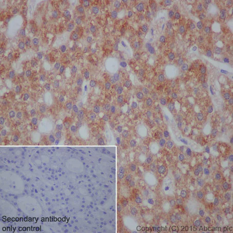
Immunohistochemistry (Formalin/PFA-fixed paraffin-embedded sections) - Anti-Hsp105/HSP110 antibody [EPR4576] (AB109624)

Immunohistochemistry (Formalin/PFA-fixed paraffin-embedded sections) analysis of human liver carcinoma tissue labelling Hsp105/HSP110 with purified ab109624 at a dilution of 1/500. Heat mediated antigen retrieval was performed using EDTA buffer pH 9. ab97051 a HRP-conjugated goat anti-rabbit IgG (H+L) was used as the secondary antibody (1/500). Negative control using PBS instead of primary antibody. Counterstained with hematoxylin.

Immunocytochemistry/ Immunofluorescence - Anti-Hsp105/HSP110 antibody [EPR4576] (AB109624)
  • ICC/IF

Lab

Immunocytochemistry/ Immunofluorescence - Anti-Hsp105/HSP110 antibody [EPR4576] (AB109624)

Immunocytochemistry/Immunofluorescence analysis of HeLa cells labelling Hsp105/HSP110 with purified ab109624 at a dilution of 1/250. Cells were fixed with 4% paraformaldehyde and permeabilized with 0.1% Triton X-100. ab150077 an Alexa Fluor® 488-conjugated goat anti-rabbit IgG (1/1000) was used as the secondary antibody. DAPI (blue) was used as the nuclear counterstain. ab7291 a mouse anti-tubulin (1/1000) and ab150120 an Alexa Fluor® 594-conjugated goat anti-mouse IgG (1/1000) were also used.

Control 1 : primary antibody (1/250) and secondary antibody ab150120 an Alexa Fluor® 594-conjugated goat anti-mouse IgG (1/1000).

Control 2 : ab7291 (1/1000) and secondary antibody ab150077 an Alexa Fluor® 488-conjugated goat anti-rabbit IgG (1/1000).

Immunoprecipitation - Anti-Hsp105/HSP110 antibody [EPR4576] (AB109624)
  • IP

Lab

Immunoprecipitation - Anti-Hsp105/HSP110 antibody [EPR4576] (AB109624)

ab109624 (purified) at 1/40 immunoprecipitating Hsp105/HSP110 in NIH/3T3 whole cell lysate.

Lane 1 (input) : NIH/3T3 whole cell lysate (10μg)

Lane 2 (+) : ab109624 + NIH/3T3 whole cell lysate.

Lane 3 (-) : Rabbit monoclonal IgG (ab172730) instead of ab109624 in NIH/3T3 whole cell lysate.

For western blotting, VeriBlot for IP Detection Reagent (HRP) (ab131366), was used for detection at 1/10,000 dilution.

Blocking buffer and concentration : 5% NFDM/TBST.

Diluting buffer and concentration : 5% NFDM /TBST.

All lanes:

Immunoprecipitation - Anti-Hsp105/HSP110 antibody [EPR4576] (ab109624)

Predicted band size: 96 kDa

Observed band size: 105 kDa

false

Western blot - Anti-Hsp105/HSP110 antibody [EPR4576] (AB109624)
  • WB

Unknown

Western blot - Anti-Hsp105/HSP110 antibody [EPR4576] (AB109624)

All lanes:

Western blot - Anti-Hsp105/HSP110 antibody [EPR4576] (ab109624) at 1/1000 dilution

Lane 1:

HeLa cell lysate at 10 µg

Lane 2:

HepG2 cell lysate at 10 µg

Lane 3:

Human cerebellum lysate at 10 µg

Lane 4:

MCF-7 cell lysate at 10 µg

Secondary

All lanes:

HRP-conjugated goat anti-rabbit IgG at 1/2000 dilution

Predicted band size: 96 kDa

false

Western blot - Anti-Hsp105/HSP110 antibody [EPR4576] (AB109624)
  • WB

Lab

Western blot - Anti-Hsp105/HSP110 antibody [EPR4576] (AB109624)

Blocking and dilution buffer : 5% NFDM/TBST.

All lanes:

Western blot - Anti-Hsp105/HSP110 antibody [EPR4576] (ab109624) at 1/5000 dilution

Lane 1:

HeLa whole cell lysate at 20 µg

Lane 2:

HepG2 whole cell lysate at 20 µg

Secondary

All lanes:

HRP-conjugated anti-rabbit IgG, specific to the non-reduced form of IgG at 1/1000 dilution

Predicted band size: 83 kDa,96 kDa

Observed band size: 105 kDa

false

Western blot - Anti-Hsp105/HSP110 antibody [EPR4576] (AB109624)
  • WB

Lab

Western blot - Anti-Hsp105/HSP110 antibody [EPR4576] (AB109624)

Blocking and dilution buffer : 5% NFDM/TBST.

All lanes:

Western blot - Anti-Hsp105/HSP110 antibody [EPR4576] (ab109624) at 1/5000 dilution

Lane 1:

C6 whole cell lysate at 20 µg

Lane 2:

PC-12 whole cell lysate at 20 µg

Lane 3:

NIH/3T3 whole cell lysate at 20 µg

Secondary

All lanes:

HRP-conjugated anti-rabbit IgG, specific to the non-reduced form of IgG at 1/1000 dilution

Predicted band size: 96 kDa

Observed band size: 105 kDa

false

Western blot - Anti-Hsp105/HSP110 antibody [EPR4576] (AB109624)
  • WB

CiteAb

Western blot - Anti-Hsp105/HSP110 antibody [EPR4576] (AB109624)

Hsp105/HSP110 western blot using anti-Hsp105/HSP110 antibody [EPR4576] ab109624. Publication image and figure legend from Kim, M. J., Serwa, R. A., et al., 2023, Nat Commun, PubMed 37433777.

ab109624 was used in this publication in western blot. This may not be the same as the application(s) guaranteed by Abcam. For a full list of applications guaranteed by Abcam for ab109624 please see the product overview.

Small HSP and HSP110 families have a tendency to be increased under mitochondrial stress.a RNA-seq analysis of HSPs gene expression log2 fold changes (log2FC) in NDUFA11 KO and NDUFA13 KO compared to WT HEK293T cells (n = 4). Up- and down-regulated genes (q-value < 0.05) are shown in green and pink, respectively. The intensity of the color shades depends on the level of expression change. Gray indicates genes with not statistically significant expression changes. b mRNA expression patterns of selected transcripts validated by RT-qPCR. The mRNA levels are presented as fold changes relative to WT. Data shown are mean ± SD (n = 3 biological replicates with two technical replicates). p-value from an ordinary one-way ANOVA with Dunnett's multiple comparisons test using GraphPad Prism. c Western blot analysis of HSPs expression performed in whole cell lysates of NDUFA11 KO, NDUFA13 KO and WT HEK293T cells. ACTB was used as a loading control. Data shown are representative of three independent experiments. d Quantification of HSPs in western blot analysis normalized to ACTB using ImageJ. The protein levels are presented as fold changes relative to WT. Data shown are mean ± SD (n = 3). p-value from two-sided, unpaired t-test using GraphPad Prism. Source data are provided as a Source Data file.

false

不同偶联物与剂型 (8)

  • Carrier free

    Anti-Hsp105/HSP110 antibody [EPR4576] - BSA and Azide free

  • 519 Alexa Fluor® 488

    Alexa Fluor® 488 Anti-Hsp105/HSP110 antibody [EPR4576]

  • 665 Alexa Fluor® 647

    Alexa Fluor® 647 Anti-Hsp105/HSP110 antibody [EPR4576]

  • 565 Alexa Fluor® 555

    Alexa Fluor® 555 Anti-Hsp105/HSP110 antibody [EPR4576]

  • 617 Alexa Fluor® 594

    Alexa Fluor® 594 Anti-Hsp105/HSP110 antibody [EPR4576]

  • 578 PE

    PE Anti-Hsp105/HSP110 antibody [EPR4576]

  • 660 APC

    APC Anti-Hsp105/HSP110 antibody [EPR4576]

  • 775 Alexa Fluor® 750

    Alexa Fluor® 750 Anti-Hsp105/HSP110 antibody [EPR4576]

关键信息

宿主种属

Rabbit

克隆

Monoclonal

克隆号

EPR4576

亚型

IgG

不含载体蛋白

No

反应种属

Mouse, Rat, Human

应用

WB, IP, ICC/IF, IHC-P

applications

免疫原

The exact immunogen used to generate this antibody is proprietary information.

反应性数据

{ "title": "Reactivity Data", "filters": { "stats": ["", "Species", "Dilution Info", "Notes"], "tabs": { "all-applications": {"fullname" : "All Applications", "shortname": "All Applications"}, "IHCP" : {"fullname" : "Immunohistochemistry (Formalin/PFA-fixed paraffin-embedded sections)", "shortname":"IHC-P"}, "IP" : {"fullname" : "Immunoprecipitation", "shortname":"IP"}, "WB" : {"fullname" : "Western blot", "shortname":"WB"}, "ICCIF" : {"fullname" : "Immunocytochemistry/ Immunofluorescence", "shortname":"ICC/IF"} }, "product-promise": { "all": "all", "testedAndGuaranteed": "tested", "guaranteed": "expected", "predicted": "predicted", "notRecommended": "not-recommended" } }, "values": { "Human": { "IHCP-species-checked": "testedAndGuaranteed", "IHCP-species-dilution-info": "1/50 - 1/500", "IHCP-species-notes": "<p></p>", "IP-species-checked": "guaranteed", "IP-species-dilution-info": "", "IP-species-notes": "", "WB-species-checked": "testedAndGuaranteed", "WB-species-dilution-info": "1/1000 - 1/10000", "WB-species-notes": "<p></p>", "ICCIF-species-checked": "testedAndGuaranteed", "ICCIF-species-dilution-info": "1/100 - 1/250", "ICCIF-species-notes": "<p></p>" }, "Mouse": { "IHCP-species-checked": "guaranteed", "IHCP-species-dilution-info": "", "IHCP-species-notes": "", "IP-species-checked": "testedAndGuaranteed", "IP-species-dilution-info": "1/10 - 1/100", "IP-species-notes": "<p></p>", "WB-species-checked": "guaranteed", "WB-species-dilution-info": "", "WB-species-notes": "", "ICCIF-species-checked": "guaranteed", "ICCIF-species-dilution-info": "", "ICCIF-species-notes": "" }, "Rat": { "IHCP-species-checked": "guaranteed", "IHCP-species-dilution-info": "", "IHCP-species-notes": "", "IP-species-checked": "guaranteed", "IP-species-dilution-info": "", "IP-species-notes": "", "WB-species-checked": "testedAndGuaranteed", "WB-species-dilution-info": "1/1000 - 1/10000", "WB-species-notes": "<p></p>", "ICCIF-species-checked": "guaranteed", "ICCIF-species-dilution-info": "", "ICCIF-species-notes": "" } } }

产品详情

Patented technology
Our RabMAb® technology is a patented hybridoma-based technology for making rabbit monoclonal antibodies. For details on our patents, please refer to RabMAb® patents.

What are the advantages of a recombinant monoclonal antibody?
This product is a recombinant monoclonal antibody, which offers several advantages including:

  • - High batch-to-batch consistency and reproducibility
  • - Improved sensitivity and specificity
  • - Long-term security of supply
  • - Animal-free batch production

For more information, read more on recombinant antibodies.

性能和储存信息

形式
Liquid
纯化工艺
Affinity purification Protein A
存储溶液
pH: 7.2 - 7.4 Preservative: 0.01% Sodium azide Constituents: PBS, 40% Glycerol (glycerin, glycerine), 0.05% BSA
运输条件
Blue Ice
推荐的短期储存时间
1-2 weeks
推荐的短期储存条件
+4°C
推荐的长期储存条件
-20°C
分装信息
Upon delivery aliquot
储存信息
Stable for 12 months at -20°C

补充信息

This supplementary information is collated from multiple sources and compiled automatically.

Hsp105 also known as HSP110 is a member of the heat shock protein family. With a molecular mass of approximately 105 kDa this protein functions as a molecular chaperone. It assists in the proper folding of proteins and prevents aggregation especially under stress conditions. Hsp105 is expressed in various tissues including the brain heart and skeletal muscles indicating its widespread roles in maintaining cellular protein homeostasis.
Biological function summary

Hsp105 plays an essential role in protein folding and stress responses. It forms part of a cellular complex that includes other chaperones like Hsp70 and Hsp40. This interaction is critical in refolding denatured proteins and preventing the accumulation of misfolded proteins. In the cell the chaperone activity of Hsp105 helps in managing protein quality control particularly during heat shock and other stress conditions.

Pathways

This protein integrates within signaling cascades associated with stress responses and apoptosis. It is an important player in the HSF1-mediated heat shock response pathway which regulates the expression of various heat shock proteins. Additionally Hsp105 interacts with proteins like Hsp70 within this pathway coordinating cellular mechanisms that protect against protein-damaging conditions. Another pathway in which Hsp105 is involved might be the ubiquitin-proteasome pathway facilitating the degradation of damaged proteins.

Hsp105 has connections to neurodegenerative disorders and cancer. Studies show that its overexpression may link to tumor resistance against chemotherapy by stabilizing proteins involved in cell survival pathways. In neurodegenerative diseases like Alzheimer's Hsp105 binds to tau proteins potentially impacting their normal function and aggregation. It works alongside related proteins such as Hsp70 in these contexts highlighting its role in the pathogenesis and progression of these diseases.

产品实验方案

For this product, it's our understanding that no specific protocols are required. You can visit:

靶点信息

Acts as a nucleotide-exchange factor (NEF) for chaperone proteins HSPA1A and HSPA1B, promoting the release of ADP from HSPA1A/B thereby triggering client/substrate protein release (PubMed : 24318877). Prevents the aggregation of denatured proteins in cells under severe stress, on which the ATP levels decrease markedly. Inhibits HSPA8/HSC70 ATPase and chaperone activities (By similarity).
See full target information HSPH1

文献 (19)

Recent publications for all applications. Explore the full list and refine your search

Cells 14: PubMed40498025

2025

HSP110 Regulates the Assembly of the SWI/SNF Complex.

Applications

Unspecified application

Species

Unspecified reactive species

Océane Pointeau,Manon Paccagnini,Natalia Borges-Bonan,Léo Biziorek,Sébastien Causse,Carmen Garrido,Laurence Dubrez

Redox biology 72:103150 PubMed38599016

2024

S-Adenosyl-l-methionine restores brain mitochondrial membrane fluidity and GSH content improving Niemann-Pick type C disease.

Applications

Unspecified application

Species

Unspecified reactive species

Leire Goicoechea,Sandra Torres,Laura Fàbrega,Mónica Barrios,Susana Núñez,Josefina Casas,Gemma Fabrias,Carmen García-Ruiz,José C Fernández-Checa

Cell proliferation 57:e13619 PubMed38444279

2024

YTHDF1 mediates N-methyl-N-nitrosourea-induced gastric carcinogenesis by controlling HSPH1 translation.

Applications

Unspecified application

Species

Unspecified reactive species

Peng Song,Xiang Li,Shuai Chen,Yu Gong,Jie Zhao,Yuwen Jiao,Yi Dai,Haojun Yang,Jun Qian,Yuan Li,Jian He,Liming Tang

Journal of the science of food and agriculture 104:2059-2072 PubMed37917744

2023

L-Theanine alleviates heat stress through modulation of gut microbiota and immunity.

Applications

Unspecified application

Species

Unspecified reactive species

Sha Liu,Bin Wang,Ling Lin,Wei Xu,Zhi-Hua Gong,Wen-Jun Xiao

iScience 26:108370 PubMed38034348

2023

Molecular subtyping and characterization of clear cell renal cell carcinoma by tumor differentiation trajectories.

Applications

Unspecified application

Species

Unspecified reactive species

Xiu-Wu Pan,Wen-Jin Chen,Da Xu,Wen-Bin Guan,Lin Li,Jia-Xin Chen,Wei-Jie Chen,Ke-Qin Dong,Jian-Qing Ye,Si-Shun Gan,Wang Zhou,Xin-Gang Cui

Nature communications 14:4092 PubMed37433777

2023

Immunoproteasome-specific subunit PSMB9 induction is required to regulate cellular proteostasis upon mitochondrial dysfunction.

Applications

Unspecified application

Species

Unspecified reactive species

Minji Kim,Remigiusz A Serwa,Lukasz Samluk,Ida Suppanz,Agata Kodroń,Tomasz M Stępkowski,Praveenraj Elancheliyan,Biniyam Tsegaye,Silke Oeljeklaus,Michal Wasilewski,Bettina Warscheid,Agnieszka Chacinska

Life (Basel, Switzerland) 13: PubMed37240849

2023

Aerobic Exercise Delays Alzheimer's Disease by Regulating Mitochondrial Proteostasis in the Cerebral Cortex and Hippocampus.

Applications

Unspecified application

Species

Unspecified reactive species

Kaiyin Cui,Chaoyang Li,Guoliang Fang

International journal of molecular sciences 24: PubMed36614058

2022

Ribosomal Stress Couples with the Hypoxia Response in Dec1-Dependent Orthodontic Tooth Movement.

Applications

Unspecified application

Species

Unspecified reactive species

Shigeru Nakamura,Keiji Tanimoto,Ujjal K Bhawal

Redox biology 59:102564 PubMed36473315

2022

Increased ATF2 expression predicts poor prognosis and inhibits sorafenib-induced ferroptosis in gastric cancer.

Applications

Unspecified application

Species

Unspecified reactive species

Xin Xu,Yaxian Li,Youliang Wu,Mingliang Wang,Yida Lu,Ziqing Fang,Huizhen Wang,Yongxiang Li

Cells 11: PubMed35053410

2022

RNA Molecular Signature Profiling in PBMCs of Sporadic ALS Patients: HSP70 Overexpression Is Associated with Nuclear SOD1.

Applications

Unspecified application

Species

Unspecified reactive species

Maria Garofalo,Cecilia Pandini,Matteo Bordoni,Emanuela Jacchetti,Luca Diamanti,Stephana Carelli,Manuela Teresa Raimondi,Daisy Sproviero,Valeria Crippa,Serena Carra,Angelo Poletti,Orietta Pansarasa,Stella Gagliardi,Cristina Cereda
View all publications

Abcam Product Promise

我们致力于为您的研究提供高质量的试剂,为您科研的每一步提供支持。若我们的产品未能达到预期性能,我们向您提供 Abcam Product Promise 保障。
详情请参阅我们的条款与条件。

Please note: All products are 'FOR RESEARCH USE ONLY. NOT FOR USE IN DIAGNOSTIC OR THERAPEUTIC PROCEDURES'.

For licensing inquiries, please contact partnerships@abcam.com