JavaScript is disabled in your browser. Please enable JavaScript to view this website.
AB197954

HRP Anti-UQCRC2抗体[13G12AF12BB11]

HRP Anti-UQCRC2 antibody [13G12AF12BB11]

Be the first to review this product! Submit a review

|

(0 Publication)

Mouse Monoclonal UQCRC2 antibody - conjugated to HRP. Suitable for IHC-P, WB and reacts with Human samples.

查看别名

Complex III subunit 2, Core protein II, Ubiquinol-cytochrome-c reductase complex core protein 2, UQCRC2

2 Images
Western blot - HRP Anti-UQCRC2 antibody [13G12AF12BB11] (AB197954)
  • WB

Lab

Western blot - HRP Anti-UQCRC2 antibody [13G12AF12BB11] (AB197954)

This blot was produced using a 4-12% Bis-tris gel under the MOPS buffer system. The gel was run at 200V for 50 minutes before being transferred onto a Nitrocellulose membrane at 30V for 70 minutes. The membrane was then blocked for an hour using 3% milk before being incubated with ab197954 overnight at 4°C. Antibody binding was visualised using ECL development solution ab133406

All lanes:

Western blot - HRP Anti-UQCRC2 antibody [13G12AF12BB11] (ab197954) at 1/5000 dilution

Lane 1:

Human skeletal muscle tissue lysate - total protein (<a href='/products/unavailable/human-skeletal-muscle-tissue-lysate-total-protein-ab29330'>ab29330</a>) at 10 µg

Lane 2:

Ramos (Human Burkitt's lymphoma cell line) Whole Cell Lysate at 10 µg

Predicted band size: 48 kDa

Observed band size: 48 kDa

true

Exposure time: 20min

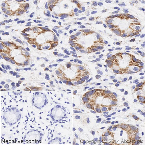
Immunohistochemistry (Formalin/PFA-fixed paraffin-embedded sections) - HRP Anti-UQCRC2 antibody [13G12AF12BB11] (AB197954)
  • IHC-P

Lab

Immunohistochemistry (Formalin/PFA-fixed paraffin-embedded sections) - HRP Anti-UQCRC2 antibody [13G12AF12BB11] (AB197954)

IHC image of UQCRC2 staining in a section of formalin-fixed paraffin-embedded normal human colon*, performed on a Leica BOND. The section was pre-treated using heat mediated antigen retrieval with sodium citrate buffer (pH6, epitope retrieval solution 1) for 20mins. The section was then incubated with ab197954, 1/500 dilution, for 15 mins at room temperature. DAB was used as the chromogen. The section was then counterstained with haematoxylin and mounted with DPX. The inset negative control image is taken from an identical assay without primary antibody.

For other IHC staining systems (automated and non-automated) customers should optimize variable parameters such as antigen retrieval conditions, primary antibody concentration and antibody incubation times.

*Tissue obtained from the Human Research Tissue Bank, supported by the NIHR Cambridge Biomedical Research Centre

不同偶联物与剂型 (2)

关键信息

宿主种属

Mouse

克隆

Monoclonal

克隆号

13G12AF12BB11

亚型

IgG1

轻链类型

kappa

偶联物

HRP

激发波长/发射波长
不含载体蛋白

No

反应种属

Human

应用

WB, IHC-P

applications

反应性数据

{ "title": "Reactivity Data", "filters": { "stats": ["", "Species", "Dilution Info", "Notes"], "tabs": { "all-applications": {"fullname" : "All Applications", "shortname": "All Applications"}, "IHCP" : {"fullname" : "Immunohistochemistry (Formalin/PFA-fixed paraffin-embedded sections)", "shortname":"IHC-P"}, "WB" : {"fullname" : "Western blot", "shortname":"WB"} }, "product-promise": { "all": "all", "testedAndGuaranteed": "tested", "guaranteed": "expected", "predicted": "predicted", "notRecommended": "not-recommended" } }, "values": { "Human": { "IHCP-species-checked": "testedAndGuaranteed", "IHCP-species-dilution-info": "1/500", "IHCP-species-notes": "<p></p>", "WB-species-checked": "testedAndGuaranteed", "WB-species-dilution-info": "1/5000", "WB-species-notes": "<p></p>" }, "Mouse": { "IHCP-species-checked": "predicted", "IHCP-species-dilution-info": "", "IHCP-species-notes": "", "WB-species-checked": "predicted", "WB-species-dilution-info": "", "WB-species-notes": "" }, "Rat": { "IHCP-species-checked": "predicted", "IHCP-species-dilution-info": "", "IHCP-species-notes": "", "WB-species-checked": "predicted", "WB-species-dilution-info": "", "WB-species-notes": "" }, "Cow": { "IHCP-species-checked": "predicted", "IHCP-species-dilution-info": "", "IHCP-species-notes": "", "WB-species-checked": "predicted", "WB-species-dilution-info": "", "WB-species-notes": "" } } }

您可能对以下产品感兴趣:

AB239711

Cytochrome C Oxidase Assay Kit

0

0 Reviews

查看产品
为什么推荐这个?

我们推荐这个产品,因为它经常被用于相同的实验或相关的研究。

我们建议您务必查阅产品说明书,以确认其是否符合您的实验需求;若有疑问,也可联系我们的技术团队获取协助。

性能和储存信息

形式
Liquid
纯化工艺
Affinity purification
存储溶液
pH: 7.4 Preservative: 0.1% Proclin 300 Solution Constituents: PBS, 30% Glycerol (glycerin, glycerine), 1% BSA
运输条件
Blue Ice
推荐的短期储存时间
1-2 weeks
推荐的短期储存条件
+4°C
推荐的长期储存条件
-20°C
分装信息
Upon delivery aliquot
储存信息
Avoid freeze / thaw cycle|Store in the dark

补充信息

This supplementary information is collated from multiple sources and compiled automatically.

UQCRC2 also known as QCR2 is a subunit of the mitochondrial complex III also referred to as cytochrome bc1 complex. It has a molecular weight of approximately 48 kDa. This protein is located in the inner mitochondrial membrane across various tissue types playing an essential role in the mitochondrial electron transport chain. UQCRC2 facilitates the transfer of electrons from ubiquinol to cytochrome c which is an important step in cellular energy production.
Biological function summary

UQCRC2 participates in producing ATP which is the primary energy currency in cells. It forms part of the mitochondrial complex III a multi-subunit enzyme complex essential for efficient electron transfer and proton pumping. UQCRC2 contributes to establishing the proton gradient across the mitochondrial membrane which drives ATP synthesis through chemiosmotic processes. This function is critical for maintaining cellular energy homeostasis.

Pathways

The functionality of UQCRC2 links significantly to the oxidative phosphorylation and respiratory chain pathways. It ensures proper function in the oxidative phosphorylation pathway which generates the majority of ATP in aerobic organisms. UQCRC2 is associated with proteins such as cytochrome b and cytochrome c1 which collaborate in the electron transport chain ensuring the efficiency of the process and integrity of energy conversion.

The aberrant function of UQCRC2 associates with mitochondrial disorders and certain cancers. Mutations affecting UQCRC2 function can lead to mitochondrial diseases characterized by energy production deficits resulting in neuromuscular and metabolic complications. Additionally studies have linked altered UQCRC2 expression to cancer where it may interact with proteins like p53 playing roles in metabolic reprogramming of cells.

产品实验方案

For this product, it's our understanding that no specific protocols are required. You can visit:

靶点信息

Component of the ubiquinol-cytochrome c oxidoreductase, a multisubunit transmembrane complex that is part of the mitochondrial electron transport chain which drives oxidative phosphorylation. The respiratory chain contains 3 multisubunit complexes succinate dehydrogenase (complex II, CII), ubiquinol-cytochrome c oxidoreductase (cytochrome b-c1 complex, complex III, CIII) and cytochrome c oxidase (complex IV, CIV), that cooperate to transfer electrons derived from NADH and succinate to molecular oxygen, creating an electrochemical gradient over the inner membrane that drives transmembrane transport and the ATP synthase. The cytochrome b-c1 complex catalyzes electron transfer from ubiquinol to cytochrome c, linking this redox reaction to translocation of protons across the mitochondrial inner membrane, with protons being carried across the membrane as hydrogens on the quinol. In the process called Q cycle, 2 protons are consumed from the matrix, 4 protons are released into the intermembrane space and 2 electrons are passed to cytochrome c (By similarity). The 2 core subunits UQCRC1/QCR1 and UQCRC2/QCR2 are homologous to the 2 mitochondrial-processing peptidase (MPP) subunits beta-MPP and alpha-MPP respectively, and they seem to have preserved their MPP processing properties (By similarity). May be involved in the in situ processing of UQCRFS1 into the mature Rieske protein and its mitochondrial targeting sequence (MTS)/subunit 9 when incorporated into complex III (Probable).
See full target information UQCRC2

Abcam Product Promise

我们致力于为您的研究提供高质量的试剂,为您科研的每一步提供支持。若我们的产品未能达到预期性能,我们向您提供 Abcam Product Promise 保障。
详情请参阅我们的条款与条件。

关联产品

Select an associated product type
Alternative Product
Primary Antibodies

AB240368

Anti-UQCRC2 antibody [EPR13051] - BSA and Azide free

primary-antibodies

uqcrc2-antibody-epr13051-bsa-and-azide-free-ab240368

0

(0 reviews)

Alternative Product
Primary Antibodies

AB203832

Anti-UQCRC2 antibody [EPR13051]

primary-antibodies

uqcrc2-antibody-epr13051-ab203832

5

(1 reviews)

Alternative Version
Primary Antibodies

AB197652

Alexa Fluor® 647 Anti-UQCRC2 antibody [13G12AF12BB11]

primary-antibodies

alexa-fluor-647-uqcrc2-antibody-13g12af12bb11-ab197652

0

(0 reviews)

Please note: All products are 'FOR RESEARCH USE ONLY. NOT FOR USE IN DIAGNOSTIC OR THERAPEUTIC PROCEDURES'.

For licensing inquiries, please contact partnerships@abcam.com