JavaScript is disabled in your browser. Please enable JavaScript to view this website.
AB201813

重组HRP Anti-GABARAP+GABARAPL1+GABARAPL2抗体[EPR4805]

HRP Anti-GABARAP+GABARAPL1+GABARAPL2 antibody [EPR4805]

Be the first to review this product! Submit a review

|

(1 Publication)

Rabbit Recombinant Monoclonal GABARAP antibody - conjugated to HRP. Suitable for WB, IHC-P and reacts with Human samples. Cited in 1 publication.

查看别名

FLC3B, HT004, GABARAP, Gamma-aminobutyric acid receptor-associated protein, GABA(A) receptor-associated protein, MM46

2 Images
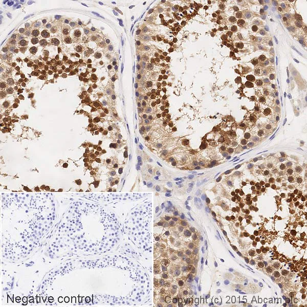
Immunohistochemistry (Formalin/PFA-fixed paraffin-embedded sections) - HRP Anti-GABARAP+GABARAPL1+GABARAPL2 antibody [EPR4805] (AB201813)
  • IHC-P

Unknown

Immunohistochemistry (Formalin/PFA-fixed paraffin-embedded sections) - HRP Anti-GABARAP+GABARAPL1+GABARAPL2 antibody [EPR4805] (AB201813)

IHC image of SENP1 staining in a section of formalin-fixed paraffin-embedded human normal testis*, performed on a Leica BOND. The section was pre-treated using heat mediated antigen retrieval with sodium citrate buffer (pH6, epitope retrieval solution 1) for 20mins. The section was then incubated with ab201813, 1/100 dilution, for 15 mins at room temperature. DAB was used as the chromogen. The section was then counterstained with haematoxylin and mounted with DPX. The inset negative control image is taken from an identical assay without primary antibody.

For other IHC staining systems (automated and non-automated) customers should optimize variable parameters such as antigen retrieval conditions, primary antibody concentration and antibody incubation times.

*Tissue obtained from the Human Research Tissue Bank, supported by the NIHR Cambridge Biomedical Research Centre

Western blot - HRP Anti-GABARAP+GABARAPL1+GABARAPL2 antibody [EPR4805] (AB201813)
  • WB

Lab

Western blot - HRP Anti-GABARAP+GABARAPL1+GABARAPL2 antibody [EPR4805] (AB201813)

This blot was produced using a 4-12% Bis-tris gel under the MES buffer system. The gel was run at 200V for 35 minutes before being transferred onto a Nitrocellulose membrane at 30V for 70 minutes. The membrane was then blocked for an hour using 3% milk before being incubated with ab201813 overnight at 4°C. Antibody binding was visualised using ECL development solution ab133406.

All lanes:

Western blot - HRP Anti-GABARAP+GABARAPL1+GABARAPL2 antibody [EPR4805] (ab201813) at 1/5000 dilution

Lane 1:

SHSY-5Y (Human neuroblastoma cell line) Whole Cell Lysate at 10 µg

Lane 2:

Brain (Human) Tissue Lysate - fetal normal tissue at 10 µg

Predicted band size: 14 kDa

Observed band size: 15 kDa

true

Exposure time: 20min

不同偶联物与剂型 (9)

  • 578 PE

    PE Anti-GABARAP+GABARAPL1+GABARAPL2 antibody [EPR4805]

  • 660 APC

    APC Anti-GABARAP+GABARAPL1+GABARAPL2 antibody [EPR4805]

  • 519 Alexa Fluor® 488

    Alexa Fluor® 488 Anti-GABARAP+GABARAPL1+GABARAPL2 antibody [EPR4805]

  • 665 Alexa Fluor® 647

    Alexa Fluor® 647 Anti-GABARAP+GABARAPL1+GABARAPL2 antibody [EPR4805]

  • 617 Alexa Fluor® 594

    Alexa Fluor® 594 Anti-GABARAP+GABARAPL1+GABARAPL2 antibody [EPR4805]

  • 565 Alexa Fluor® 555

    Alexa Fluor® 555 Anti-GABARAP+GABARAPL1+GABARAPL2 antibody [EPR4805]

  • 775 Alexa Fluor® 750

    Alexa Fluor® 750 Anti-GABARAP+GABARAPL1+GABARAPL2 antibody [EPR4805]

  • Unconjugated

    Anti-GABARAP+GABARAPL1+GABARAPL2 antibody [EPR4805]

  • Carrier free

    Anti-GABARAP+GABARAPL1+GABARAPL2 antibody [EPR4805] - BSA and Azide free

关键信息

宿主种属

Rabbit

克隆

Monoclonal

克隆号

EPR4805

亚型

IgG

偶联物

HRP

激发波长/发射波长
不含载体蛋白

No

反应种属

Human

应用

IHC-P, WB

applications

免疫原

The exact immunogen used to generate this antibody is proprietary information.

反应性数据

{ "title": "Reactivity Data", "filters": { "stats": ["", "Species", "Dilution Info", "Notes"], "tabs": { "all-applications": {"fullname" : "All Applications", "shortname": "All Applications"}, "WB" : {"fullname" : "Western blot", "shortname":"WB"}, "IHCP" : {"fullname" : "Immunohistochemistry (Formalin/PFA-fixed paraffin-embedded sections)", "shortname":"IHC-P"} }, "product-promise": { "all": "all", "testedAndGuaranteed": "tested", "guaranteed": "expected", "predicted": "predicted", "notRecommended": "not-recommended" } }, "values": { "Human": { "WB-species-checked": "testedAndGuaranteed", "WB-species-dilution-info": "1/5000", "WB-species-notes": "<p></p>", "IHCP-species-checked": "testedAndGuaranteed", "IHCP-species-dilution-info": "1/100 - 1/250", "IHCP-species-notes": "<p>Perform antigen retrieval</p>" } } }

产品详情

Patented technology
Our RabMAb® technology is a patented hybridoma-based technology for making rabbit monoclonal antibodies. For details on our patents, please refer to RabMAb® patents.

What are the advantages of a recombinant monoclonal antibody?
This product is a recombinant monoclonal antibody, which offers several advantages including:

  • - High batch-to-batch consistency and reproducibility
  • - Improved sensitivity and specificity
  • - Long-term security of supply
  • - Animal-free batch production

For more information, read more on recombinant antibodies.

性能和储存信息

形式
Liquid
纯化工艺
Affinity purification Protein A
存储溶液
pH: 7.4 Preservative: 0.1% Proclin 300 Solution Constituents: PBS, 30% Glycerol (glycerin, glycerine), 1% BSA
运输条件
Blue Ice
推荐的短期储存时间
1-2 weeks
推荐的短期储存条件
+4°C
推荐的长期储存条件
-20°C
分装信息
Upon delivery aliquot
储存信息
Avoid freeze / thaw cycle|Store in the dark

产品实验方案

For this product, it's our understanding that no specific protocols are required. You can visit:

靶点信息

Ubiquitin-like modifier that plays a role in intracellular transport of GABA(A) receptors and its interaction with the cytoskeleton (PubMed : 9892355). Involved in autophagy : while LC3s are involved in elongation of the phagophore membrane, the GABARAP/GATE-16 subfamily is essential for a later stage in autophagosome maturation (PubMed : 15169837, PubMed : 20562859, PubMed : 22948227). Through its interaction with the reticulophagy receptor TEX264, participates in the remodeling of subdomains of the endoplasmic reticulum into autophagosomes upon nutrient stress, which then fuse with lysosomes for endoplasmic reticulum turnover (PubMed : 31006538). Also required for the local activation of the CUL3(KBTBD6/7) E3 ubiquitin ligase complex, regulating ubiquitination and degradation of TIAM1, a guanyl-nucleotide exchange factor (GEF) that activates RAC1 and downstream signal transduction (PubMed : 25684205). Thereby, regulates different biological processes including the organization of the cytoskeleton, cell migration and proliferation (PubMed : 25684205). Involved in apoptosis (PubMed : 15977068).
See full target information GABARAP

其他靶点

GABARAPL1,GABARAPL2

文献 (1)

Recent publications for all applications. Explore the full list and refine your search

Cell metabolism 35:1209-1226.e13 PubMed37172577

2023

Extracellular vesicles in fatty liver promote a metastatic tumor microenvironment.

Applications

Unspecified application

Species

Unspecified reactive species

Zhijun Wang,So Yeon Kim,Wei Tu,Jieun Kim,Alexander Xu,Yoon Mee Yang,Michitaka Matsuda,Lien Reolizo,Takashi Tsuchiya,Sandrine Billet,Alexandra Gangi,Mazen Noureddin,Ben A Falk,Sungjin Kim,Wei Fan,Mourad Tighiouart,Sungyong You,Michael S Lewis,Stephen J Pandol,Dolores Di Vizio,Akil Merchant,Edwin M Posadas,Neil A Bhowmick,Shelly C Lu,Ekihiro Seki
View all publications

Abcam Product Promise

我们致力于为您的研究提供高质量的试剂,为您科研的每一步提供支持。若我们的产品未能达到预期性能,我们向您提供 Abcam Product Promise 保障。
详情请参阅我们的条款与条件。

Please note: All products are 'FOR RESEARCH USE ONLY. NOT FOR USE IN DIAGNOSTIC OR THERAPEUTIC PROCEDURES'.

For licensing inquiries, please contact partnerships@abcam.com