JavaScript is disabled in your browser. Please enable JavaScript to view this website.
AB248533

重组Anti-HPD抗体[EPR5297] - BSA and Azide free

Anti-HPD antibody [EPR5297] - BSA and Azide free

Be the first to review this product! Submit a review

|

(1 Publication)

Rabbit Recombinant Monoclonal HPD antibody. Carrier free. Suitable for IHC-P, WB and reacts with Human, Rat samples. Cited in 1 publication.

查看别名

PPD, HPD, 4-hydroxyphenylpyruvate dioxygenase, 4-hydroxyphenylpyruvic acid oxidase, 4HPPD, HPPDase

6 Images
Immunohistochemistry (Formalin/PFA-fixed paraffin-embedded sections) - Anti-HPD antibody [EPR5297] - BSA and Azide free (AB248533)
  • IHC-P

Unknown

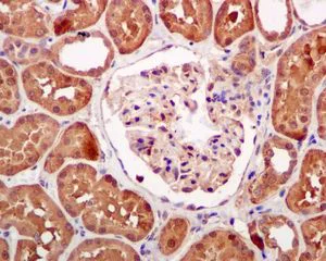
Immunohistochemistry (Formalin/PFA-fixed paraffin-embedded sections) - Anti-HPD antibody [EPR5297] - BSA and Azide free (AB248533)

This data was developed using ab133515, the same antibody clone in a different buffer formulation.

Immunohistochemical analysis of paraffin-embedded Human kidney tissue labelling HPD with unpurified ab133515 at 1/250 dilution.

Heat mediated antigen retrieval was performed with citrate buffer pH 6 before commencing with IHC staining protocol.

Immunohistochemistry (Formalin/PFA-fixed paraffin-embedded sections) - Anti-HPD antibody [EPR5297] - BSA and Azide free (AB248533)
  • IHC-P

Lab

Immunohistochemistry (Formalin/PFA-fixed paraffin-embedded sections) - Anti-HPD antibody [EPR5297] - BSA and Azide free (AB248533)

This data was developed using ab133515, the same antibody clone in a different buffer formulation.

Immunohistochemistry (Formalin/PFA-fixed paraffin-embedded sections) analysis of Human liver tissue sections labeling HPD with purified ab133515 at 1 : 2000 dilution (0.76 μg/ml). Heat mediated antigen retrieval was performed using EDTA Buffer, pH9.0. Tissue was counterstained with Hematoxylin. ImmunoHistoProbe one step HRP Polymer (ready to use) secondary antibody was used at 1 : 0 dilution. PBS instead of the primary antibody was used as the negative control.

Western blot - Anti-HPD antibody [EPR5297] - BSA and Azide free (AB248533)
  • WB

Lab

Western blot - Anti-HPD antibody [EPR5297] - BSA and Azide free (AB248533)

This data was developed using ab133515, the same antibody clone in a different buffer formulation.

Blocking and dilution buffer : 5% NFDM/TBST.

All lanes:

Western blot - Anti-HPD antibody [EPR5297] (<a href='/products/primary-antibodies/hpd-antibody-epr5297-ab133515'>ab133515</a>) at 1/1000 dilution

All lanes:

HepG2 (Human hepatocellular carcinoma epithelial cell) whole cell lysates at 20 µg

Secondary

All lanes:

Western blot - Goat Anti-Rabbit IgG H&L (HRP) (<a href='/products/secondary-antibodies/goat-rabbit-igg-h-l-hrp-ab97051'>ab97051</a>) at 1/20000 dilution

Predicted band size: 45 kDa

Observed band size: 45 kDa

false

Western blot - Anti-HPD antibody [EPR5297] - BSA and Azide free (AB248533)
  • WB

Lab

Western blot - Anti-HPD antibody [EPR5297] - BSA and Azide free (AB248533)

This data was developed using ab133515, the same antibody clone in a different buffer formulation.

Blocking and dilution buffer : 5% NFDM/TBST.

All lanes:

Western blot - Anti-HPD antibody [EPR5297] (<a href='/products/primary-antibodies/hpd-antibody-epr5297-ab133515'>ab133515</a>) at 1/5000 dilution

All lanes:

Rat liver tissue lysate at 20 µg

Secondary

All lanes:

Western blot - Goat Anti-Rabbit IgG H&L (HRP) (<a href='/products/secondary-antibodies/goat-rabbit-igg-h-l-hrp-ab97051'>ab97051</a>) at 1/20000 dilution

Predicted band size: 22 kDa,25 kDa,45 kDa

Observed band size: 35 kDa

false

Western blot - Anti-HPD antibody [EPR5297] - BSA and Azide free (AB248533)
  • WB

Unknown

Western blot - Anti-HPD antibody [EPR5297] - BSA and Azide free (AB248533)

This data was developed using ab133515, the same antibody clone in a different buffer formulation.

All lanes:

Western blot - Anti-HPD antibody [EPR5297] (<a href='/products/primary-antibodies/hpd-antibody-epr5297-ab133515'>ab133515</a>) at 1/1000 dilution

Lane 1:

HepG2 cell lysate at 10 µg

Lane 2:

Fetal liver tissue lysate at 10 µg

Lane 3:

Human kidney lysate at 10 µg

Secondary

All lanes:

Goat-anti-rabbit HRP at 1/2000 dilution

Predicted band size: 45 kDa

true

OI-RD Scanning - Anti-HPD antibody [EPR5297] - BSA and Azide free (AB248533)
  • OI-RD Scanning

Unknown

OI-RD Scanning - Anti-HPD antibody [EPR5297] - BSA and Azide free (AB248533)

We have systematically measured KD (the equilibrium dissociation constant between the antibody and its antigen), of more than 840 recombinant antibodies to assess not only their individual KD values but also to see the average affinity of antibody. Based on the comparison with published literature values for mouse monoclonal antibodies, Recombinant antibodies appear to be on average 1-2 order of magnitude higher affinity.

不同偶联物与剂型 (1)

关键信息

宿主种属

Rabbit

克隆

Monoclonal

克隆号

EPR5297

亚型

IgG

不含载体蛋白

Yes

反应种属

Rat, Human

应用

IHC-P, WB

applications

免疫原

The exact immunogen used to generate this antibody is proprietary information.

反应性数据

{ "title": "Reactivity Data", "filters": { "stats": ["", "Species", "Dilution Info", "Notes"], "tabs": { "all-applications": {"fullname" : "All Applications", "shortname": "All Applications"}, "IHCP" : {"fullname" : "Immunohistochemistry (Formalin/PFA-fixed paraffin-embedded sections)", "shortname":"IHC-P"}, "IP" : {"fullname" : "Immunoprecipitation", "shortname":"IP"}, "FlowCyt" : {"fullname" : "Flow Cytometry", "shortname":"Flow Cyt"}, "WB" : {"fullname" : "Western blot", "shortname":"WB"}, "ICCIF" : {"fullname" : "Immunocytochemistry/ Immunofluorescence", "shortname":"ICC/IF"} }, "product-promise": { "all": "all", "testedAndGuaranteed": "tested", "guaranteed": "expected", "predicted": "predicted", "notRecommended": "not-recommended" } }, "values": { "Human": { "IHCP-species-checked": "testedAndGuaranteed", "IHCP-species-dilution-info": "", "IHCP-species-notes": "<p>The rat recommendation is based on the WB results. This antibody may not be suitable for IHC with rat samples.</p>", "IP-species-checked": "notRecommended", "IP-species-dilution-info": "", "IP-species-notes": "<p></p>", "FlowCyt-species-checked": "notRecommended", "FlowCyt-species-dilution-info": "", "FlowCyt-species-notes": "<p></p>", "WB-species-checked": "testedAndGuaranteed", "WB-species-dilution-info": "", "WB-species-notes": "<p></p>", "ICCIF-species-checked": "notRecommended", "ICCIF-species-dilution-info": "", "ICCIF-species-notes": "<p></p>" }, "Rat": { "IHCP-species-checked": "guaranteed", "IHCP-species-dilution-info": "", "IHCP-species-notes": "", "IP-species-checked": "notRecommended", "IP-species-dilution-info": "", "IP-species-notes": "<p></p>", "FlowCyt-species-checked": "notRecommended", "FlowCyt-species-dilution-info": "", "FlowCyt-species-notes": "<p></p>", "WB-species-checked": "testedAndGuaranteed", "WB-species-dilution-info": "", "WB-species-notes": "<p></p>", "ICCIF-species-checked": "notRecommended", "ICCIF-species-dilution-info": "", "ICCIF-species-notes": "<p></p>" } } }

产品详情

ab248533 is the carrier-free version of ab133515.

Species reactivity
Mouse: We have preliminary internal testing data to indicate this antibody may not react with this species.
Please contact us for more information.

Patented technology
Our RabMAb® technology is a patented hybridoma-based technology for making rabbit monoclonal antibodies. For details on our patents, please refer to RabMAb® patents.

What are the advantages of a recombinant monoclonal antibody?
This product is a recombinant monoclonal antibody, which offers several advantages including:

  • - High batch-to-batch consistency and reproducibility
  • - Improved sensitivity and specificity
  • - Long-term security of supply
  • - Animal-free batch production

For more information, read more on recombinant antibodies.

Conjugation ready
Our carrier-free antibodies are typically supplied in a PBS-only formulation, purified and free of BSA, sodium azide and glycerol. This conjugation-ready format is designed for use with fluorochromes, metal isotopes, oligonucleotides, and enzymes, which makes them ideal for antibody labelling, functional and cell-based assays, flow-based assays (e.g. mass cytometry) and Multiplex Imaging applications.

Use our conjugation kits for antibody conjugates that are ready-to-use in as little as 20 minutes with 1 minute hands-on-time and 100% antibody recovery: available for fluorescent dyes, HRP, biotin and gold.

Compatibility
This product is compatible with the Maxpar® Antibody Labeling Kit from Fluidigm, without the need for antibody preparation. Maxpar® is a trademark of Fluidigm Canada Inc.

性能和储存信息

形式
Liquid
纯化工艺
Affinity purification Protein A
存储溶液
pH: 7.2 - 7.4 Constituents: PBS
运输条件
Blue Ice
推荐的短期储存条件
+4°C
推荐的长期储存条件
+4°C
储存信息
Do Not Freeze

产品实验方案

For this product, it's our understanding that no specific protocols are required. You can visit:

靶点信息

Catalyzes the conversion of 4-hydroxyphenylpyruvic acid to homogentisic acid, one of the steps in tyrosine catabolism.
See full target information HPD

文献 (1)

Recent publications for all applications. Explore the full list and refine your search

Psychiatry investigation 22:699-713 PubMed40566894

2025

Transcriptional Landscape and Biomarker Discovery for Endoplasmic Reticulum Stress in Alzheimer's Disease: An Ex Vivo Study Using Patients-Derived Dermal Fibroblasts.

Applications

Unspecified application

Species

Unspecified reactive species

Yeojin Kim,You Jin Nam,Sunwoo Yoon,Young Joon Cho,Ho Min Song,Seongmin Kim,Donghyuk Shin,Jin Young Noh,Sun Min Lee,So Young Moon,Eun-Joo Kim,Soo Hyun Cho,Byeong C Kim,Seong Hye Choi,Sang Won Seo,Jin Wook Choi,Young-Sil An,Bumhee Park,Young Joon Park,Hee Young Kang,Hyun Goo Woo,Yong Hyuk Cho,Sunhwa Hong,Sang Joon Son,Sang-Rae Lee,Chang Hyung Hong,Hyun Woong Roh
View all publications

Abcam Product Promise

我们致力于为您的研究提供高质量的试剂,为您科研的每一步提供支持。若我们的产品未能达到预期性能,我们向您提供 Abcam Product Promise 保障。
详情请参阅我们的条款与条件。

Please note: All products are 'FOR RESEARCH USE ONLY. NOT FOR USE IN DIAGNOSTIC OR THERAPEUTIC PROCEDURES'.

For licensing inquiries, please contact partnerships@abcam.com