JavaScript is disabled in your browser. Please enable JavaScript to view this website.
AB307424

重组Anti-HORMAD1抗体[EPR27316-24]

Anti-HORMAD1 antibody [EPR27316-24]

  • BOND RX™ Validated
  • 20ul selling size
  • RabMAb
  • Recombinant
  • 了解详情

Be the first to review this product! Submit a review

|

(0 Publication)

Rabbit Recombinant Monoclonal HORMAD1 antibody. Suitable for IHC-P, WB and reacts with Rat, Mouse samples.

查看别名

Nohma, Hormad1, HORMA domain-containing protein 1, Newborn ovary HORMA protein

5 Images
Immunohistochemistry (Formalin/PFA-fixed paraffin-embedded sections) - Anti-HORMAD1 antibody [EPR27316-24] (AB307424)
  • IHC-P

Supplier Data

Immunohistochemistry (Formalin/PFA-fixed paraffin-embedded sections) - Anti-HORMAD1 antibody [EPR27316-24] (AB307424)

Immunohistochemical analysis of paraffin-embedded Mouse cerebrum tissue lABeling HORMAD1 with ab307424 at 1/500 (0.984 ug/ml) followed by a ready to use LeicaDS9800 (Bond? Polymer Refine Detection) was used. Negative control : no staining on mouse cerebrum.The section was incubated with ab307424 for 30 mins at room temperature.The immunostaining was performed on a Leica Biosystems BOND? RX instrument Counterstained with Hematoxylin. Secondary antibody only control : Secondary antibody is a ready to use LeicaDS9800 (Bond? Polymer Refine Detection) was used. Heat mediated antigen retrieval was performed with Tris-EDTA buffer (pH 9.0, Epitope Retrieval Solution2) for 20 mins

Immunohistochemistry (Formalin/PFA-fixed paraffin-embedded sections) - Anti-HORMAD1 antibody [EPR27316-24] (AB307424)
  • IHC-P

Supplier Data

Immunohistochemistry (Formalin/PFA-fixed paraffin-embedded sections) - Anti-HORMAD1 antibody [EPR27316-24] (AB307424)

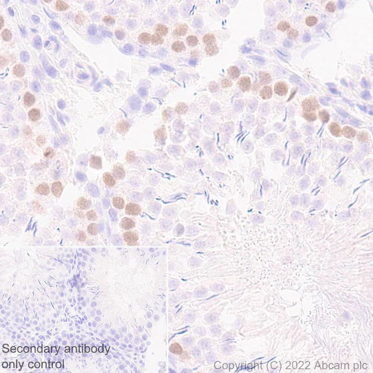
Immunohistochemical analysis of paraffin-embedded Rat testis tissue lABeling HORMAD1 with ab307424 at 1/500 (0.984 ug/ml) followed by a ready to use LeicaDS9800 (Bond? Polymer Refine Detection) was used. Positive staining on rat testis.The section was incubated with ab307424 for 30 mins at room temperature.The immunostaining was performed on a Leica Biosystems BOND? RX instrument Counterstained with Hematoxylin. Secondary antibody only control : Secondary antibody is a ready to use LeicaDS9800 (Bond? Polymer Refine Detection) was used. Heat mediated antigen retrieval was performed with Tris-EDTA buffer (pH 9.0, Epitope Retrieval Solution2) for 20 mins

Immunohistochemistry (Formalin/PFA-fixed paraffin-embedded sections) - Anti-HORMAD1 antibody [EPR27316-24] (AB307424)
  • IHC-P

Supplier Data

Immunohistochemistry (Formalin/PFA-fixed paraffin-embedded sections) - Anti-HORMAD1 antibody [EPR27316-24] (AB307424)

Immunohistochemical analysis of paraffin-embedded Rat cerebrum tissue lABeling HORMAD1 with ab307424 at 1/500 (0.984 ug/ml) followed by a ready to use LeicaDS9800 (Bond? Polymer Refine Detection) was used. Negative control : no staining on rat cerebrum.The section was incubated with ab307424 for 30 mins at room temperature.The immunostaining was performed on a Leica Biosystems BOND? RX instrument Counterstained with Hematoxylin. Secondary antibody only control : Secondary antibody is a ready to use LeicaDS9800 (Bond? Polymer Refine Detection) was used. Heat mediated antigen retrieval was performed with Tris-EDTA buffer (pH 9.0, Epitope Retrieval Solution2) for 20 mins

Immunohistochemistry (Formalin/PFA-fixed paraffin-embedded sections) - Anti-HORMAD1 antibody [EPR27316-24] (AB307424)
  • IHC-P

Supplier Data

Immunohistochemistry (Formalin/PFA-fixed paraffin-embedded sections) - Anti-HORMAD1 antibody [EPR27316-24] (AB307424)

Immunohistochemical analysis of paraffin-embedded Mouse testis tissue lABeling HORMAD1 with ab307424 at 1/500 (0.984 ug/ml) followed by a ready to use LeicaDS9800 (Bond? Polymer Refine Detection) was used. Positive staining on mouse testis (PMID : 21079677).The section was incubated with ab307424 for 30 mins at room temperature.The immunostaining was performed on a Leica Biosystems BOND? RX instrument Counterstained with Hematoxylin. Secondary antibody only control : Secondary antibody is a ready to use LeicaDS9800 (Bond? Polymer Refine Detection) was used. Heat mediated antigen retrieval was performed with Tris-EDTA buffer (pH 9.0, Epitope Retrieval Solution2) for 20 mins

Western blot - Anti-HORMAD1 antibody [EPR27316-24] (AB307424)
  • WB

Supplier Data

Western blot - Anti-HORMAD1 antibody [EPR27316-24] (AB307424)

Blocking and diluting buffer and concentration : 5% NFDM/TBSTNegative control : mouse cerebral cortex (PMID : 15567723). Exposure time : 114 seconds

All lanes:

Western blot - Anti-HORMAD1 antibody [EPR27316-24] (ab307424) at 1/1000 dilution

Lane 1:

Mouse testis tissue lysate 20 μg

Lane 2:

Mouse cerebral cortex tissue lysate 20 μg

Lane 3:

Rat testis tissue lysate 20 μg

Secondary

All lanes:

Western blot - Goat Anti-Rabbit IgG H&L (HRP) (<a href='/products/secondary-antibodies/goat-rabbit-igg-h-l-hrp-ab97051'>ab97051</a>) at 1/20000 dilution

Observed band size: 45 kDa

false

Exposure time: 114s

关键信息

宿主种属

Rabbit

克隆

Monoclonal

克隆号

EPR27316-24

亚型

IgG

不含载体蛋白

No

反应种属

Mouse, Rat

应用

IHC-P, WB

applications

免疫原

The exact immunogen used to generate this antibody is proprietary information.

反应性数据

{ "title": "Reactivity Data", "filters": { "stats": ["", "Species", "Dilution Info", "Notes"], "tabs": { "all-applications": {"fullname" : "All Applications", "shortname": "All Applications"}, "IP" : {"fullname" : "Immunoprecipitation", "shortname":"IP"}, "IHCFr" : {"fullname" : "Immunohistochemistry (Frozen sections)", "shortname":"IHC-Fr"}, "IHCP" : {"fullname" : "Immunohistochemistry (Formalin/PFA-fixed paraffin-embedded sections)", "shortname":"IHC-P"}, "WB" : {"fullname" : "Western blot", "shortname":"WB"}, "ICCIF" : {"fullname" : "Immunocytochemistry/ Immunofluorescence", "shortname":"ICC/IF"}, "FlowCytIntra" : {"fullname" : "Flow Cytometry (Intracellular)", "shortname":"Flow Cyt (Intra)"} }, "product-promise": { "all": "all", "testedAndGuaranteed": "tested", "guaranteed": "expected", "predicted": "predicted", "notRecommended": "not-recommended" } }, "values": { "Human": { "IP-species-checked": "notRecommended", "IP-species-dilution-info": "", "IP-species-notes": "<p></p>", "IHCFr-species-checked": "notRecommended", "IHCFr-species-dilution-info": "", "IHCFr-species-notes": "", "IHCP-species-checked": "notRecommended", "IHCP-species-dilution-info": "1/500", "IHCP-species-notes": "<p></p>", "WB-species-checked": "notRecommended", "WB-species-dilution-info": "1/1000", "WB-species-notes": "<p></p>", "ICCIF-species-checked": "notRecommended", "ICCIF-species-dilution-info": "", "ICCIF-species-notes": "<p></p>", "FlowCytIntra-species-checked": "notRecommended", "FlowCytIntra-species-dilution-info": "", "FlowCytIntra-species-notes": "<p></p>" }, "Mouse": { "IP-species-checked": "notRecommended", "IP-species-dilution-info": "", "IP-species-notes": "<p></p>", "IHCFr-species-checked": "notRecommended", "IHCFr-species-dilution-info": "", "IHCFr-species-notes": "<p></p>", "IHCP-species-checked": "testedAndGuaranteed", "IHCP-species-dilution-info": "1/500", "IHCP-species-notes": "<p></p>", "WB-species-checked": "testedAndGuaranteed", "WB-species-dilution-info": "1/1000", "WB-species-notes": "<p></p>", "ICCIF-species-checked": "notRecommended", "ICCIF-species-dilution-info": "", "ICCIF-species-notes": "", "FlowCytIntra-species-checked": "notRecommended", "FlowCytIntra-species-dilution-info": "", "FlowCytIntra-species-notes": "" }, "Rat": { "IP-species-checked": "notRecommended", "IP-species-dilution-info": "", "IP-species-notes": "<p></p>", "IHCFr-species-checked": "notRecommended", "IHCFr-species-dilution-info": "", "IHCFr-species-notes": "<p></p>", "IHCP-species-checked": "testedAndGuaranteed", "IHCP-species-dilution-info": "1/500", "IHCP-species-notes": "<p></p>", "WB-species-checked": "testedAndGuaranteed", "WB-species-dilution-info": "1/1000", "WB-species-notes": "<p></p>", "ICCIF-species-checked": "notRecommended", "ICCIF-species-dilution-info": "", "ICCIF-species-notes": "", "FlowCytIntra-species-checked": "notRecommended", "FlowCytIntra-species-dilution-info": "", "FlowCytIntra-species-notes": "" } } }

产品详情

Patented technology
Our RabMAb® technology is a patented hybridoma-based technology for making rabbit monoclonal antibodies. For details on our patents, please refer to RabMAb® patents.

What are the advantages of a recombinant monoclonal antibody?
This product is a recombinant monoclonal antibody, which offers several advantages including:

  • - High batch-to-batch consistency and reproducibility
  • - Improved sensitivity and specificity
  • - Long-term security of supply
  • - Animal-free batch production

For more information, read more on recombinant antibodies.

性能和储存信息

形式
Liquid
纯化工艺
Affinity purification Protein A
存储溶液
pH: 7.2 - 7.4 Preservative: 0.01% Sodium azide Constituents: PBS, 40% Glycerol (glycerin, glycerine), 0.05% BSA
运输条件
Blue Ice
推荐的短期储存时间
1-2 weeks
推荐的短期储存条件
+4°C
推荐的长期储存条件
-20°C
分装信息
Upon delivery aliquot
储存信息
Avoid freeze / thaw cycle

补充信息

This supplementary information is collated from multiple sources and compiled automatically.

HORMAD1 also known as Hormad Homolog 1 serves as an important player in the meiotic process. It has a molecular weight of approximately 38 kDa. HORMAD1 expression is largely restricted to the testis and ovary specifically during meiosis where it plays an essential role. This protein assists in homologous chromosome pairing and alignment thereby contributing to the stabilization of the synaptonemal complex during prophase I of meiosis.
Biological function summary

HORMAD1 ensures the proper progression of meiosis by facilitating homologous recombination and synapsis. It acts in concert with other meiosis-specific proteins such as HORMAD2 forming a complex that ensures genetic material is evenly exchanged and segregated. This process is important for gametogenesis impacting fertility and genetic diversity.

Pathways

HORMAD1 plays a significant role in the regulatory pathways involved in meiotic checkpoints. It ensures that errors in meiotic processes get detected and corrected by interacting with proteins like ATM and ATR which are important for DNA damage repair. These pathways sustain genome stability during the transmission of genetic information.

Improper function or regulation of HORMAD1 relates to reproductive issues notably infertility due to defective gametogenesis. Additionally studies suggest HORMAD1 overexpression in certain cancers such as breast cancer potentially affecting homologous recombination processes. This is often associated with the BRCA1 and BRCA2 proteins highlighting its connection to DNA repair pathways and cancer progression.

产品实验方案

For this product, it's our understanding that no specific protocols are required. You can visit:

靶点信息

Plays a key role in meiotic progression (PubMed : 19686734, PubMed : 21079677, PubMed : 21478856). Regulates 3 different functions during meiosis : ensures that sufficient numbers of processed DNA double-strand breaks (DSBs) are available for successful homology search by increasing the steady-state numbers of single-stranded DSB ends (PubMed : 19686734, PubMed : 21079677). Promotes synaptonemal-complex formation independently of its role in homology search (PubMed : 19686734, PubMed : 21079677). Plays a key role in the male mid-pachytene checkpoint and the female meiotic prophase checkpoint : required for efficient build-up of ATR activity on unsynapsed chromosome regions, a process believed to form the basis of meiotic silencing of unsynapsed chromatin (MSUC) and meiotic prophase quality control in both sexes (PubMed : 21478856).
See full target information Hormad1

Abcam Product Promise

我们致力于为您的研究提供高质量的试剂,为您科研的每一步提供支持。若我们的产品未能达到预期性能,我们向您提供 Abcam Product Promise 保障。
详情请参阅我们的条款与条件。

Please note: All products are 'FOR RESEARCH USE ONLY. NOT FOR USE IN DIAGNOSTIC OR THERAPEUTIC PROCEDURES'.

For licensing inquiries, please contact partnerships@abcam.com