JavaScript is disabled in your browser. Please enable JavaScript to view this website.
AB178429

重组Anti-hnRNP G-T抗体[EPR12593-14]

Anti-hnRNP G-T antibody [EPR12593-14]

Be the first to review this product! Submit a review

|

(1 Publication)

Rabbit Recombinant Monoclonal hnRNP G-T antibody. Suitable for IHC-P, WB and reacts with Human samples. Cited in 1 publication.

查看别名

HNRNPGT, RBMXL2, Testis-specific heterogeneous nuclear ribonucleoprotein G-T, hnRNP G-T

2 Images
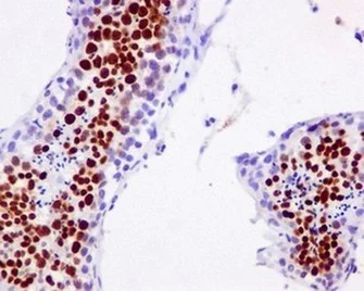
Immunohistochemistry (Formalin/PFA-fixed paraffin-embedded sections) - Anti-hnRNP G-T antibody [EPR12593-14] (AB178429)
  • IHC-P

Supplier Data

Immunohistochemistry (Formalin/PFA-fixed paraffin-embedded sections) - Anti-hnRNP G-T antibody [EPR12593-14] (AB178429)

Immunohistochemical analysis of paraffin-embedded Human testis tissue labeling hnRNP G-T with ab178429 at 1/100 dilution.

Perform heat mediated antigen retrieval before commencing with IHC staining protocol.

Western blot - Anti-hnRNP G-T antibody [EPR12593-14] (AB178429)
  • WB

Supplier Data

Western blot - Anti-hnRNP G-T antibody [EPR12593-14] (AB178429)

All lanes:

Western blot - Anti-hnRNP G-T antibody [EPR12593-14] (ab178429) at 1/1000 dilution

Lane 1:

Human testis tissue lysate at 10 µg

Lane 2:

Human seminoma lysate at 10 µg

Secondary

All lanes:

Goat anti-rabbit HRP conjugated antibody

Predicted band size: 43 kDa

true

不同偶联物与剂型 (1)

  • Carrier free

    Anti-hnRNP G-T antibody [EPR12593-14] - BSA and Azide free

关键信息

宿主种属

Rabbit

克隆

Monoclonal

克隆号

EPR12593-14

亚型

IgG

不含载体蛋白

No

反应种属

Human

应用

WB, IHC-P

applications

免疫原

The exact immunogen used to generate this antibody is proprietary information.

反应性数据

{ "title": "Reactivity Data", "filters": { "stats": ["", "Species", "Dilution Info", "Notes"], "tabs": { "all-applications": {"fullname" : "All Applications", "shortname": "All Applications"}, "IHCP" : {"fullname" : "Immunohistochemistry (Formalin/PFA-fixed paraffin-embedded sections)", "shortname":"IHC-P"}, "ICCIF" : {"fullname" : "Immunocytochemistry/ Immunofluorescence", "shortname":"ICC/IF"}, "IP" : {"fullname" : "Immunoprecipitation", "shortname":"IP"}, "WB" : {"fullname" : "Western blot", "shortname":"WB"} }, "product-promise": { "all": "all", "testedAndGuaranteed": "tested", "guaranteed": "expected", "predicted": "predicted", "notRecommended": "not-recommended" } }, "values": { "Human": { "IHCP-species-checked": "testedAndGuaranteed", "IHCP-species-dilution-info": "1/100 - 1/250", "IHCP-species-notes": "<p></p> Perform heat-mediated antigen retrieval before commencing with IHC staining protocol.", "ICCIF-species-checked": "notRecommended", "ICCIF-species-dilution-info": "", "ICCIF-species-notes": "<p></p>", "IP-species-checked": "notRecommended", "IP-species-dilution-info": "", "IP-species-notes": "<p></p>", "WB-species-checked": "testedAndGuaranteed", "WB-species-dilution-info": "1/1000 - 1/5000", "WB-species-notes": "<p></p>" }, "Mouse": { "IHCP-species-checked": "notRecommended", "IHCP-species-dilution-info": "1/100 - 1/250", "IHCP-species-notes": "<p></p> Perform heat-mediated antigen retrieval before commencing with IHC staining protocol.", "ICCIF-species-checked": "notRecommended", "ICCIF-species-dilution-info": "", "ICCIF-species-notes": "<p></p>", "IP-species-checked": "notRecommended", "IP-species-dilution-info": "", "IP-species-notes": "<p></p>", "WB-species-checked": "notRecommended", "WB-species-dilution-info": "1/1000 - 1/5000", "WB-species-notes": "<p></p>" }, "Rat": { "IHCP-species-checked": "notRecommended", "IHCP-species-dilution-info": "1/100 - 1/250", "IHCP-species-notes": "<p></p> Perform heat-mediated antigen retrieval before commencing with IHC staining protocol.", "ICCIF-species-checked": "notRecommended", "ICCIF-species-dilution-info": "", "ICCIF-species-notes": "<p></p>", "IP-species-checked": "notRecommended", "IP-species-dilution-info": "", "IP-species-notes": "<p></p>", "WB-species-checked": "notRecommended", "WB-species-dilution-info": "1/1000 - 1/5000", "WB-species-notes": "<p></p>" } } }

产品详情

Patented technology
Our RabMAb® technology is a patented hybridoma-based technology for making rabbit monoclonal antibodies. For details on our patents, please refer to RabMAb® patents.

What are the advantages of a recombinant monoclonal antibody?
This product is a recombinant monoclonal antibody, which offers several advantages including:

  • - High batch-to-batch consistency and reproducibility
  • - Improved sensitivity and specificity
  • - Long-term security of supply
  • - Animal-free batch production

For more information, read more on recombinant antibodies.

性能和储存信息

形式
Liquid
纯化工艺
Affinity purification Protein A
存储溶液
pH: 7.2 - 7.4 Constituents: 59% PBS, 40% Glycerol (glycerin, glycerine), 0.35% Sodium citrate, 0.17% Sodium chloride, 0.05% BSA, 0.03% EDTA
运输条件
Blue Ice
推荐的短期储存时间
1-2 weeks
推荐的短期储存条件
+4°C
推荐的长期储存条件
-20°C
分装信息
Upon delivery aliquot
储存信息
Avoid freeze / thaw cycle

补充信息

This supplementary information is collated from multiple sources and compiled automatically.

Heterogeneous nuclear ribonucleoprotein G-T (hnRNP G-T) also known as RBMX2 is a member of the hnRNP family. This protein has a molecular mass of approximately 41 kDa. Mechanically hnRNP G-T functions in RNA binding and splicing playing roles in the regulation of mRNA metabolism. Expression of hnRNP G-T is found in various human tissues with notable presence in the testis implicating potential roles in testicular functions and spermatogenesis.
Biological function summary

HnRNP G-T participates in post-transcriptional gene regulation. It forms complexes with RNA molecules affecting the outcome of splicing events. Such involvement influences the diversity and stability of mRNA which can impact protein translation. In addition to its RNA-binding capacity hnRNP G-T's function extends to modulating mRNA export from the nucleus to the cytoplasm affecting protein synthesis.

Pathways

HnRNP G-T integrates within the splicing machinery affecting the spliceosome pathway. It ensures accurate splicing decisions that are essential for producing functional proteins. hnRNP G-T shows interactions with other splicing-related proteins like SR proteins which enhance or repress splicing decisions based on cellular context. Its involvement also extends to the mRNA surveillance pathway maintaining RNA quality control processes that detect and degrade faulty mRNA transcripts.

Deficiencies or aberrations in hnRNP G-T activity have associations with male infertility and certain cancers such as testicular and prostate cancer. Its interaction with proteins like BRCA1 highlights its potential impacts on genomic stability and cell-cycle regulation pathways. Differences in hnRNP G-T function or expression contribute to improper splicing events leading to pathological conditions that disrupt normal cellular functions and enhance disease progression.

产品实验方案

For this product, it's our understanding that no specific protocols are required. You can visit:

文献 (1)

Recent publications for all applications. Explore the full list and refine your search

Frontiers in endocrinology 12:703167 PubMed34925225

2021

The miR-4739/DLX3 Axis Modulates Bone Marrow-Derived Mesenchymal Stem Cell (BMSC) Osteogenesis Affecting Osteoporosis Progression.

Applications

Unspecified application

Species

Unspecified reactive species

Ding Li,Qi Yuan,Liang Xiong,Aoyu Li,Yu Xia
View all publications

Abcam Product Promise

我们致力于为您的研究提供高质量的试剂,为您科研的每一步提供支持。若我们的产品未能达到预期性能,我们向您提供 Abcam Product Promise 保障。
详情请参阅我们的条款与条件。

Please note: All products are 'FOR RESEARCH USE ONLY. NOT FOR USE IN DIAGNOSTIC OR THERAPEUTIC PROCEDURES'.

For licensing inquiries, please contact partnerships@abcam.com