JavaScript is disabled in your browser. Please enable JavaScript to view this website.
AB282018

重组Anti-hnRNP D/AUF1抗体[EPR24001-12] - BSA and Azide free

Anti-hnRNP D/AUF1 antibody [EPR24001-12] - BSA and Azide free

  • BOND RX™ Validated
  • RabMAb
  • Recombinant
  • KO Validated
  • 了解详情

Be the first to review this product! Submit a review

|

(0 Publication)

Rabbit Recombinant Monoclonal hnRNP D/AUF1 antibody. Carrier free. Suitable for ICC/IF, IP, Flow Cyt (Intra), WB, IHC-P and reacts with Mouse, Human, Rat samples.

查看别名

AUF1, HNRPD, HNRNPD, Heterogeneous nuclear ribonucleoprotein D0, hnRNP D0, AU-rich element RNA-binding protein 1

12 Images
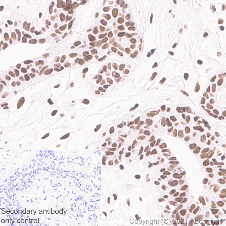
Immunohistochemistry (Formalin/PFA-fixed paraffin-embedded sections) - Anti-hnRNP D/AUF1 antibody [EPR24001-12] - BSA and Azide free (AB282018)
  • IHC-P

Supplier Data

Immunohistochemistry (Formalin/PFA-fixed paraffin-embedded sections) - Anti-hnRNP D/AUF1 antibody [EPR24001-12] - BSA and Azide free (AB282018)

This data was developed using ab259895, the same antibody clone in a different buffer formulation.

Immunohistochemical analysis of paraffin-embedded Human lung carcinoma tissue labelling hnRNP D/AUF1 with ab259895 at 1/100 (5.59 ug/ml) dilution followed by a ready to use LeicaDS9800 (Bond™ Polymer Refine Detection). Nuclear staining on human lung carcinoma. The section was incubated with ab259895 for 30 mins at room temperature. The immunostaining was performed on a Leica Biosystems BOND® RX instrument Counterstained with Hematoxylin.

Secondary antibody only control : Secondary antibody is a ready to use LeicaDS9800 (Bond™ Polymer Refine Detection).

Heat mediated antigen retrieval with Tris-EDTA buffer (pH 9.0, epitope retrieval solution2) for 20 mins

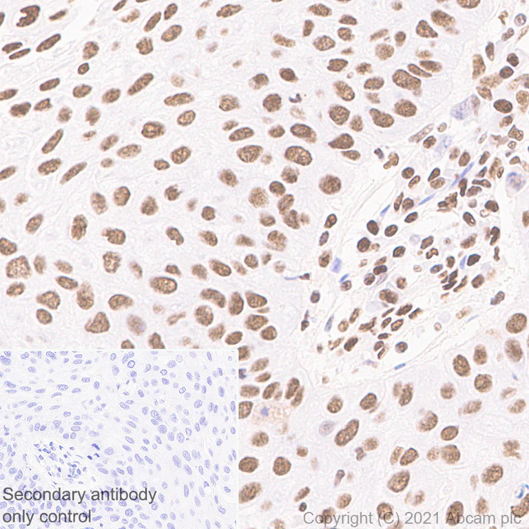
Immunohistochemistry (Formalin/PFA-fixed paraffin-embedded sections) - Anti-hnRNP D/AUF1 antibody [EPR24001-12] - BSA and Azide free (AB282018)
  • IHC-P

Supplier Data

Immunohistochemistry (Formalin/PFA-fixed paraffin-embedded sections) - Anti-hnRNP D/AUF1 antibody [EPR24001-12] - BSA and Azide free (AB282018)

This data was developed using ab259895, the same antibody clone in a different buffer formulation.

Immunohistochemical analysis of paraffin-embedded Human breast tissue labelling hnRNP D/AUF1 with ab259895 at 1/100 (5.59 ug/ml) dilution followed by a ready to use LeicaDS9800 (Bond™ Polymer Refine Detection). Nuclear staining on human breast. The section was incubated with ab259895 for 30 mins at room temperature. The immunostaining was performed on a Leica Biosystems BOND® RX instrument Counterstained with Hematoxylin.

Secondary antibody only control : Secondary antibody is a ready to use LeicaDS9800 (Bond™ Polymer Refine Detection).

Heat mediated antigen retrieval with Tris-EDTA buffer (pH 9.0, epitope retrieval solution2) for 20 mins

Immunocytochemistry/ Immunofluorescence - Anti-hnRNP D/AUF1 antibody [EPR24001-12] - BSA and Azide free (AB282018)
  • ICC/IF

Supplier Data

Immunocytochemistry/ Immunofluorescence - Anti-hnRNP D/AUF1 antibody [EPR24001-12] - BSA and Azide free (AB282018)

This data was developed using ab259895, the same antibody clone in a different buffer formulation.

Immunofluorescent analysis of 4% Paraformaldehyde-fixed, 0.1% TritonX-100 permeabilized HeLa cells labelling hnRNP D/AUF1 with ab259895 at 1/50 (11.18 ug/ml) dilution, followed by ab150077 Goat Anti-Rabbit IgG H&L (Alexa Fluor® 488) antibody at 1/1000 dilution (Green) Confocal image showing nuclear staining in HeLa cells is observed. ab195889 Anti-alpha Tubulin mouse monoclonal antibody - Microtubule Marker (Alexa Fluor® 594) was used to counterstain tubulin at 1/200 dilution (Red). The Nuclear counterstain was DAPI (Blue).

Secondary antibody only control : Secondary antibody is ab150077 Goat Anti-Rabbit IgG H&L (Alexa Fluor® 488) at 1/1000 dilution.

Flow Cytometry (Intracellular) - Anti-hnRNP D/AUF1 antibody [EPR24001-12] - BSA and Azide free (AB282018)
  • Flow Cyt (Intra)

Supplier Data

Flow Cytometry (Intracellular) - Anti-hnRNP D/AUF1 antibody [EPR24001-12] - BSA and Azide free (AB282018)

This data was developed using ab259895, the same antibody clone in a different buffer formulation.

Flow cytometric analysis of 4% paraformaldehyde fixed 90% methanol permeabilized HeLa (Human cervix adenocarcinoma cell) cells labelling hnRNP D/AUF1 with ab259895 at 1/500 dilution (0.1ug)/ (Red) compared with a Rabbit monoclonal IgG (ab172730) (Black) isotype control and an unlabelled control (cells without incubation with primary antibody and secondary antibody) (Blue). A Goat anti rabbit IgG (Alexa Fluor® 488, ab150077) at 1/2000 dilution was used as the secondary antibody.

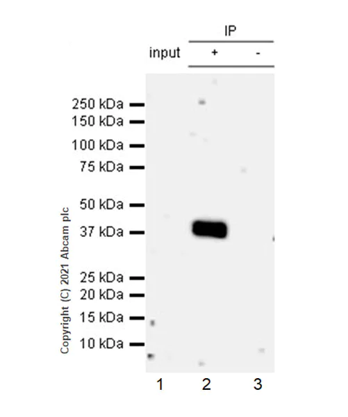
Immunoprecipitation - Anti-hnRNP D/AUF1 antibody [EPR24001-12] - BSA and Azide free (AB282018)
  • IP

Supplier Data

Immunoprecipitation - Anti-hnRNP D/AUF1 antibody [EPR24001-12] - BSA and Azide free (AB282018)

This data was developed using ab259895, the same antibody clone in a different buffer formulation.

hnRNP D/AUF1 was immunoprecipitated from 0.35 mg HeLa (human cervix adenocarcinoma epithelial cell) whole cell lysate 10 ug with ab259895 at 1/30 dilution (2ug in 0.35mg lysates). Western blot was performed on the immunoprecipitate using ab259895 at 1/1000 dilution. VeriBlot for IP secondary antibody(HRP)(ab131366) was used at 1/5000 dilution.

Lane 1 : HeLa (human cervix adenocarcinoma epithelial cell) whole cell lysate 10 ug

Lane 2 : ab259895 IP in HeLa (human cervix adenocarcinoma epithelial cell) whole cell lysate

Lane 3 : Rabbit monoclonal IgG (ab172730) instead of ab259895 in HeLa whole cell lysate

Blocking and dilution buffer and concentration : 5% NFDM/TBST.

Exposure time : 10 seconds

All lanes:

Immunoprecipitation - Anti-hnRNP D/AUF1 antibody [EPR24001-12] (<a href='/products/primary-antibodies/hnrnp-d-auf1-antibody-epr24001-12-ab259895'>ab259895</a>)

Predicted band size: 38 kDa

Observed band size: 42 kDa

false

Immunohistochemistry (Formalin/PFA-fixed paraffin-embedded sections) - Anti-hnRNP D/AUF1 antibody [EPR24001-12] - BSA and Azide free (AB282018)
  • IHC-P

Supplier Data

Immunohistochemistry (Formalin/PFA-fixed paraffin-embedded sections) - Anti-hnRNP D/AUF1 antibody [EPR24001-12] - BSA and Azide free (AB282018)

This data was developed using ab259895, the same antibody clone in a different buffer formulation.

Immunohistochemical analysis of paraffin-embedded Mouse cerebrum tissue labelling hnRNP D/AUF1 with ab259895 at 1/100 (5.59 ug/ml) dilution followed by a ready to use LeicaDS9800 (Bond™ Polymer Refine Detection). Nuclear staining on mouse cerebrum. The section was incubated with ab259895 for 30 mins at room temperature. The immunostaining was performed on a Leica Biosystems BOND® RX instrument Counterstained with Hematoxylin.

Secondary antibody only control : Secondary antibody is a ready to use LeicaDS9800 (Bond™ Polymer Refine Detection).

Heat mediated antigen retrieval with Tris-EDTA buffer (pH 9.0, epitope retrieval solution2) for 20 mins

Immunocytochemistry/ Immunofluorescence - Anti-hnRNP D/AUF1 antibody [EPR24001-12] - BSA and Azide free (AB282018)
  • ICC/IF

Supplier Data

Immunocytochemistry/ Immunofluorescence - Anti-hnRNP D/AUF1 antibody [EPR24001-12] - BSA and Azide free (AB282018)

This data was developed using ab259895, the same antibody clone in a different buffer formulation.

Immunofluorescent analysis of 4% Paraformaldehyde-fixed, 0.1% TritonX-100 permeabilized NIH/3T3 cells labelling hnRNP D/AUF1 with ab259895 at 1/50 (11.18 ug/ml) dilution, followed by ab150077 Goat Anti-Rabbit IgG H&L (Alexa Fluor® 488) antibody at 1/1000 dilution (Green) Confocal image showing nuclear staining in NIH/3T3 cells is observed. ab195889 Anti-alpha Tubulin mouse monoclonal antibody - Microtubule Marker (Alexa Fluor® 594) was used to counterstain tubulin at 1/200 dilution (Red). The Nuclear counterstain was DAPI (Blue).

Secondary antibody only control : Secondary antibody is ab150077 Goat Anti-Rabbit IgG H&L (Alexa Fluor® 488) at 1/1000 dilution.

Flow Cytometry (Intracellular) - Anti-hnRNP D/AUF1 antibody [EPR24001-12] - BSA and Azide free (AB282018)
  • Flow Cyt (Intra)

Supplier Data

Flow Cytometry (Intracellular) - Anti-hnRNP D/AUF1 antibody [EPR24001-12] - BSA and Azide free (AB282018)

This data was developed using ab259895, the same antibody clone in a different buffer formulation.

Flow cytometric analysis of 4% paraformaldehyde fixed 90% methanol permeabilized NIH/3T3 (Mouse embryonic fibroblast) cells labelling hnRNP D/AUF1 with ab259895 at 1/500 dilution (0.1ug)/(Red) compared with a Rabbit monoclonal IgG (ab172730) (Black) isotype control and an unlabelled control (cells without incubation with primary antibody and secondary antibody) (Blue). A Goat anti rabbit IgG (Alexa Fluor® 488, ab150077) at 1/2000 dilution was used as the secondary antibody.

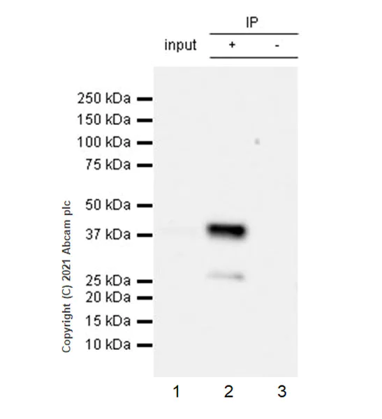
Immunoprecipitation - Anti-hnRNP D/AUF1 antibody [EPR24001-12] - BSA and Azide free (AB282018)
  • IP

Supplier Data

Immunoprecipitation - Anti-hnRNP D/AUF1 antibody [EPR24001-12] - BSA and Azide free (AB282018)

This data was developed using ab259895, the same antibody clone in a different buffer formulation.

hnRNP D/AUF1 was immunoprecipitated from 0.35 mg NIH/3T3 (mouse embryonic fibroblast) whole cell lysate 10 ug with ab259895 at 1/30 dilution (2ug in 0.35mg lysates). Western blot was performed on the immunoprecipitate using ab259895 at 1/1000 dilution. VeriBlot for IP secondary antibody(HRP)(ab131366) was used at 1/5000 dilution.

Lane 1 : NIH/3T3 (mouse embryonic fibroblast) whole cell lysate 10 ug

Lane 2 : ab259895 IP in NIH/3T3 (mouse embryonic fibroblast) whole cell lysate

Lane 3 : Rabbit monoclonal IgG (ab172730) instead of ab259895 in NIH/3T3 whole cell lysate

Blocking and dilution buffer and concentration : 5% NFDM/TBST.

Exposure time : 3 minutes

All lanes:

Immunoprecipitation - Anti-hnRNP D/AUF1 antibody [EPR24001-12] (<a href='/products/primary-antibodies/hnrnp-d-auf1-antibody-epr24001-12-ab259895'>ab259895</a>)

Predicted band size: 38 kDa

Observed band size: 42 kDa

false

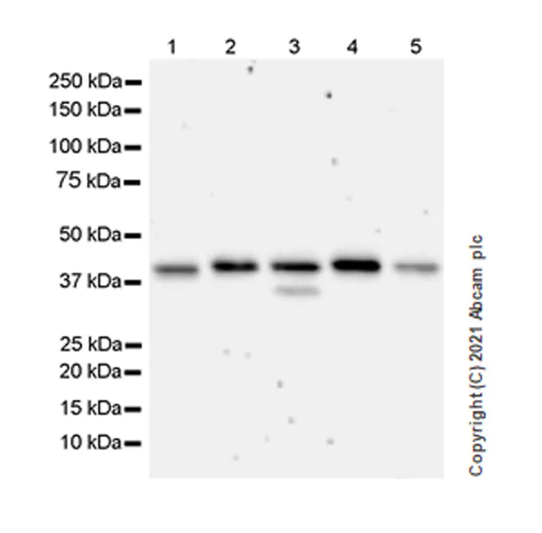
Western blot - Anti-hnRNP D/AUF1 antibody [EPR24001-12] - BSA and Azide free (AB282018)
  • WB

Lab

Western blot - Anti-hnRNP D/AUF1 antibody [EPR24001-12] - BSA and Azide free (AB282018)

This data was developed using ab259895, the same antibody clone in a different buffer formulation.

Blocking and diluting buffer and concentration : 5% NFDM/TBST

Exposure time : 3 minutes

All lanes:

Western blot - Anti-hnRNP D/AUF1 antibody [EPR24001-12] (<a href='/products/primary-antibodies/hnrnp-d-auf1-antibody-epr24001-12-ab259895'>ab259895</a>) at 1/1000 dilution

Lane 1:

HeLa (human cervix adenocarcinoma epithelial cell) whole cell lysate at 20 µg

Lane 2:

293T (human embryonic kidney epithelial cell) whole cell lysate at 20 µg

Lane 3:

Jurkat (human T cell leukemia cell line from peripheral blood) whole cell lysate at 20 µg

Lane 4:

K-562 (human chronic myelogenous leukemia lymphoblast) whole cell lysate at 20 µg

Lane 5:

U-2 OS (human bone osteosarcoma epithelial cell) whole cell lysate at 20 µg

Secondary

All lanes:

Western blot - Goat Anti-Rabbit IgG H&L (HRP) (<a href='/products/secondary-antibodies/goat-rabbit-igg-h-l-hrp-ab97051'>ab97051</a>) at 1/20000 dilution

Predicted band size: 38 kDa

Observed band size: 37 kDa,42 kDa

false

Western blot - Anti-hnRNP D/AUF1 antibody [EPR24001-12] - BSA and Azide free (AB282018)
  • WB

Lab

Western blot - Anti-hnRNP D/AUF1 antibody [EPR24001-12] - BSA and Azide free (AB282018)

This data was developed using ab259895, the same antibody clone in a different buffer formulation.

False colour image of Western blot : Anti-hnRNP D/AUF1 antibody [EPR24001-12] staining at 1/1000 dilution, shown in green; loading control ab7291 (Mouse anti-Alpha Tubulin [DM1A]) staining at 1/20000 dilution, shown in red. In Western blot, ab259895 was shown to bind specifically to hnRNP D/AUF1. A band was observed at 40 kDa in wild-type U-2 OS cell lysates with no signal observed at this size in HNRNPD knockout cell line ab273860 (knockout cell lysate ab273814). To generate this image, wild-type and HNRNPD knockout U-2 OS cell lysates were analysed. First, samples were run on an SDS-PAGE gel then transferred onto a nitrocellulose membrane. Membranes were blocked in 3 % milk in TBS-0.1 % Tween® 20 (TBS-T) before incubation with primary antibodies overnight at 4 °C. Blots were washed four times in TBS-T, incubated with secondary antibodies for 1 h at room temperature, washed again four times then imaged. Secondary antibodies used were Goat anti-Rabbit IgG H&L (IRDye® 800CW) preabsorbed (ab216773) and Goat anti-Mouse IgG H&L (IRDye® 680RD) preabsorbed (ab216776) at 1/20000 dilution.

All lanes:

Western blot - Anti-hnRNP D/AUF1 antibody [EPR24001-12] (<a href='/products/primary-antibodies/hnrnp-d-auf1-antibody-epr24001-12-ab259895'>ab259895</a>) at 1/1000 dilution

Lane 1:

Wild-type U-2 OS cell lysate at 20 µg

Lane 2:

HNRNPD knockout U-2 OS cell lysate at 20 µg

Lane 2:

Western blot - Human HNRNPD knockout U-2 OS cell line (<a href='/products/cell-lines/human-hnrnpd-knockout-u-2-os-cell-line-ab273860'>ab273860</a>)

Predicted band size: 38 kDa

Observed band size: 40 kDa

false

Western blot - Anti-hnRNP D/AUF1 antibody [EPR24001-12] - BSA and Azide free (AB282018)
  • WB

Lab

Western blot - Anti-hnRNP D/AUF1 antibody [EPR24001-12] - BSA and Azide free (AB282018)

This data was developed using ab259895, the same antibody clone in a different buffer formulation.

Blocking and diluting buffer and concentration : 5% NFDM/TBST

Exposure time : 81 seconds

All lanes:

Western blot - Anti-hnRNP D/AUF1 antibody [EPR24001-12] (<a href='/products/primary-antibodies/hnrnp-d-auf1-antibody-epr24001-12-ab259895'>ab259895</a>) at 1/1000 dilution

Lane 1:

NIH/3T3 (mouse embryonic fibroblast) whole cell lysate at 40 µg

Lane 2:

C6 (rat glial tumor glial cell) whole cell lysate at 40 µg

Secondary

All lanes:

Western blot - Goat Anti-Rabbit IgG H&L (HRP) (<a href='/products/secondary-antibodies/goat-rabbit-igg-h-l-hrp-ab97051'>ab97051</a>) at 1/20000 dilution

Predicted band size: 38 kDa

Observed band size: 42 kDa

false

不同偶联物与剂型 (1)

关键信息

宿主种属

Rabbit

克隆

Monoclonal

克隆号

EPR24001-12

亚型

IgG

不含载体蛋白

Yes

反应种属

Mouse, Rat, Human

应用

ICC/IF, Flow Cyt (Intra), WB, IHC-P, IP

applications

免疫原

The exact immunogen used to generate this antibody is proprietary information.

反应性数据

{ "title": "Reactivity Data", "filters": { "stats": ["", "Species", "Dilution Info", "Notes"], "tabs": { "all-applications": {"fullname" : "All Applications", "shortname": "All Applications"}, "ICCIF" : {"fullname" : "Immunocytochemistry/ Immunofluorescence", "shortname":"ICC/IF"}, "IP" : {"fullname" : "Immunoprecipitation", "shortname":"IP"}, "FlowCytIntra" : {"fullname" : "Flow Cytometry (Intracellular)", "shortname":"Flow Cyt (Intra)"}, "WB" : {"fullname" : "Western blot", "shortname":"WB"}, "IHCP" : {"fullname" : "Immunohistochemistry (Formalin/PFA-fixed paraffin-embedded sections)", "shortname":"IHC-P"} }, "product-promise": { "all": "all", "testedAndGuaranteed": "tested", "guaranteed": "expected", "predicted": "predicted", "notRecommended": "not-recommended" } }, "values": { "Human": { "ICCIF-species-checked": "testedAndGuaranteed", "ICCIF-species-dilution-info": "", "ICCIF-species-notes": "<p></p>", "IP-species-checked": "testedAndGuaranteed", "IP-species-dilution-info": "", "IP-species-notes": "<p></p>", "FlowCytIntra-species-checked": "testedAndGuaranteed", "FlowCytIntra-species-dilution-info": "", "FlowCytIntra-species-notes": "<p></p>", "WB-species-checked": "testedAndGuaranteed", "WB-species-dilution-info": "", "WB-species-notes": "<p></p>", "IHCP-species-checked": "testedAndGuaranteed", "IHCP-species-dilution-info": "", "IHCP-species-notes": "<p></p>" }, "Mouse": { "ICCIF-species-checked": "testedAndGuaranteed", "ICCIF-species-dilution-info": "", "ICCIF-species-notes": "<p></p>", "IP-species-checked": "testedAndGuaranteed", "IP-species-dilution-info": "", "IP-species-notes": "<p></p>", "FlowCytIntra-species-checked": "testedAndGuaranteed", "FlowCytIntra-species-dilution-info": "", "FlowCytIntra-species-notes": "<p></p>", "WB-species-checked": "testedAndGuaranteed", "WB-species-dilution-info": "", "WB-species-notes": "<p></p>", "IHCP-species-checked": "testedAndGuaranteed", "IHCP-species-dilution-info": "", "IHCP-species-notes": "<p></p>" }, "Rat": { "ICCIF-species-checked": "guaranteed", "ICCIF-species-dilution-info": "", "ICCIF-species-notes": "", "IP-species-checked": "guaranteed", "IP-species-dilution-info": "", "IP-species-notes": "", "FlowCytIntra-species-checked": "guaranteed", "FlowCytIntra-species-dilution-info": "", "FlowCytIntra-species-notes": "", "WB-species-checked": "testedAndGuaranteed", "WB-species-dilution-info": "", "WB-species-notes": "<p></p>", "IHCP-species-checked": "notRecommended", "IHCP-species-dilution-info": "", "IHCP-species-notes": "<p></p>" } } }

产品详情

ab282018 is the carrier-free version of ab259895.

Patented technology
Our RabMAb® technology is a patented hybridoma-based technology for making rabbit monoclonal antibodies. For details on our patents, please refer to RabMAb® patents.

What are the advantages of a recombinant monoclonal antibody?
This product is a recombinant monoclonal antibody, which offers several advantages including:

  • - High batch-to-batch consistency and reproducibility
  • - Improved sensitivity and specificity
  • - Long-term security of supply
  • - Animal-free batch production

For more information, read more on recombinant antibodies.

Conjugation ready
Our carrier-free antibodies are typically supplied in a PBS-only formulation, purified and free of BSA, sodium azide and glycerol. This conjugation-ready format is designed for use with fluorochromes, metal isotopes, oligonucleotides, and enzymes, which makes them ideal for antibody labelling, functional and cell-based assays, flow-based assays (e.g. mass cytometry) and Multiplex Imaging applications.

Use our conjugation kits for antibody conjugates that are ready-to-use in as little as 20 minutes with 1 minute hands-on-time and 100% antibody recovery: available for fluorescent dyes, HRP, biotin and gold.

Compatibility
This product is compatible with the Maxpar® Antibody Labeling Kit from Fluidigm, without the need for antibody preparation. Maxpar® is a trademark of Fluidigm Canada Inc.

性能和储存信息

形式
Liquid
纯化工艺
Affinity purification Protein A
存储溶液
pH: 7.2 - 7.4 Constituents: PBS
运输条件
Blue Ice
推荐的短期储存条件
+4°C
推荐的长期储存条件
+4°C

补充信息

This supplementary information is collated from multiple sources and compiled automatically.

The hnRNP D/AUF1 protein also known as heterogeneous nuclear ribonucleoprotein D has a molecular mass of approximately 37-40 kDa. It plays a significant role in the cellular machinery by binding to RNA molecules mainly impacting mRNA stability and turnover. The protein is expressed ubiquitously in various tissues throughout the body indicating its importance in numerous cellular functions. It is one of the hnRNP family members involved in the post-transcriptional regulation of gene expression.
Biological function summary

HnRNP D/AUF1 regulates the degradation of mRNA by binding to AU-rich elements (AREs) found in the 3' untranslated region of many genes. It is an integral part of RNA-protein complexes that are important for controlling the half-life of mRNAs. Besides mRNA decay hnRNP D/AUF1 participates in other processes like mRNA splicing and transport. Its interactions within the ribonucleoprotein complexes highlight its versatile role in RNA metabolism.

Pathways

HnRNP D/AUF1 operates within important biological processes such as the mRNA decay pathway and the stress response pathway. It interacts closely with other proteins involved in mRNA decay such as tristetraprolin and members of the poly-A binding protein family. hnRNP D/AUF1 influences the decay rate of different transcripts contributing to cellular responses to environmental stimuli and maintaining homeostasis.

HnRNP D/AUF1 links to inflammatory conditions and some types of cancer. Altered expression levels of AUF1 have been associated with chronic inflammation where its role in mRNA stability impacts the expression of cytokines. In cancer dysregulation of AUF1 can lead to incorrect mRNA turnover of tumor suppressors or oncogenes linking it to proteins like p53 in the context of tumorigenesis. These associations make hnRNP D/AUF1 a potential target for therapeutic interventions in related diseases.

产品实验方案

For this product, it's our understanding that no specific protocols are required. You can visit:

靶点信息

Binds with high affinity to RNA molecules that contain AU-rich elements (AREs) found within the 3'-UTR of many proto-oncogenes and cytokine mRNAs. Also binds to double- and single-stranded DNA sequences in a specific manner and functions a transcription factor. Each of the RNA-binding domains specifically can bind solely to a single-stranded non-monotonous 5'-UUAG-3' sequence and also weaker to the single-stranded 5'-TTAGGG-3' telomeric DNA repeat. Binds RNA oligonucleotides with 5'-UUAGGG-3' repeats more tightly than the telomeric single-stranded DNA 5'-TTAGGG-3' repeats. Binding of RRM1 to DNA inhibits the formation of DNA quadruplex structure which may play a role in telomere elongation. May be involved in translationally coupled mRNA turnover. Implicated with other RNA-binding proteins in the cytoplasmic deadenylation/translational and decay interplay of the FOS mRNA mediated by the major coding-region determinant of instability (mCRD) domain. May play a role in the regulation of the rhythmic expression of circadian clock core genes. Directly binds to the 3'UTR of CRY1 mRNA and induces CRY1 rhythmic translation. May also be involved in the regulation of PER2 translation.
See full target information HNRNPD

Abcam Product Promise

我们致力于为您的研究提供高质量的试剂,为您科研的每一步提供支持。若我们的产品未能达到预期性能,我们向您提供 Abcam Product Promise 保障。
详情请参阅我们的条款与条件。

Please note: All products are 'FOR RESEARCH USE ONLY. NOT FOR USE IN DIAGNOSTIC OR THERAPEUTIC PROCEDURES'.

For licensing inquiries, please contact partnerships@abcam.com