JavaScript is disabled in your browser. Please enable JavaScript to view this website.
AB97276

Anti-HMGA2 抗体

Anti-HMGA2 antibody

4

(3 Reviews)

|

(61 Publications)

Anti-HMGA2 antibody (ab97276) is a rabbit polyclonal antibody detecting HMGA2 in Western Blot, IP, IHC-P, ICC/IF. Suitable for Human, Mouse, Rat.

- Over 40 publications
- Trusted since 2010

查看别名

HMGIC, HMGA2, High mobility group protein HMGI-C, High mobility group AT-hook protein 2

21 Images
Western blot - Anti-HMGA2 antibody (AB97276)
  • WB

Supplier Data

Western blot - Anti-HMGA2 antibody (AB97276)

15% SDS-PAGE

All lanes:

Western blot - Anti-HMGA2 antibody (ab97276) at 1/1000 dilution

Lane 1:

NIH/3T3 whole cell extract at 30 µg

Lane 2:

Raw264.7 whole cell extract at 30 µg

Lane 3:

C2C12 whole cell extract at 30 µg

Predicted band size: 12 kDa

false

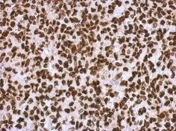
Immunohistochemistry (Formalin/PFA-fixed paraffin-embedded sections) - Anti-HMGA2 antibody (AB97276)
  • IHC-P

Lab

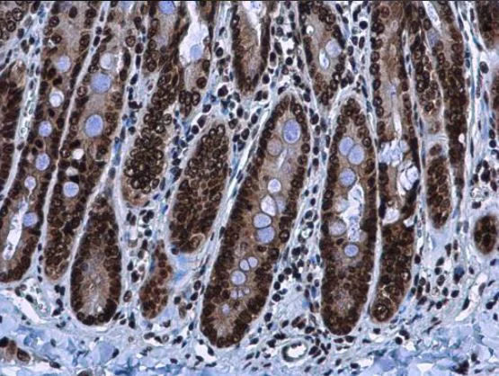
Immunohistochemistry (Formalin/PFA-fixed paraffin-embedded sections) - Anti-HMGA2 antibody (AB97276)

Paraffin-embedded rat duodenum and rat brain tissue stained for HMGA2 - ChIP grade protein with ab97276 at a 1/500 dilution in immunohistochemical analysis.

Antigen Retrieval : Citrate buffer, pH 6.0, 15 min.

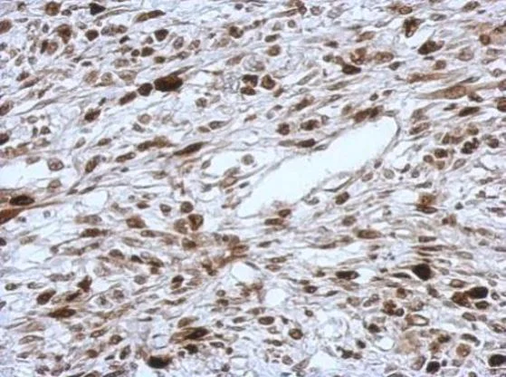
Immunohistochemistry (Formalin/PFA-fixed paraffin-embedded sections) - Anti-HMGA2 antibody (AB97276)
  • IHC-P

Supplier Data

Immunohistochemistry (Formalin/PFA-fixed paraffin-embedded sections) - Anti-HMGA2 antibody (AB97276)

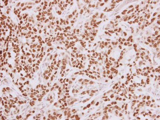
Paraffin-embedded H1299 xenograft tissue stained for HMGA2 with ab97276 at a 1/500 dilution in immunohistochemical analysis.

Antigen Retrieval : (EDTA based, pH 8.0) buffer, 15min.

Immunocytochemistry/ Immunofluorescence - Anti-HMGA2 antibody (AB97276)
  • ICC/IF

Unknown

Immunocytochemistry/ Immunofluorescence - Anti-HMGA2 antibody (AB97276)

ICC/IF image of ab97276 stained MCF7 cells. The cells were 4% formaldehyde fixed (10 min) and then incubated in 1%BSA / 10% normal goat serum / 0.3M glycine in 0.1% PBS-Tween for 1h to permeabilise the cells and block non-specific protein-protein interactions. The cells were then incubated with the antibody (ab97276, 1μg/ml) overnight at +4°C. The secondary antibody (green) was ab96899, DyLight® 488 goat anti-rabbit IgG (H+L) used at a 1/250 dilution for 1h. Alexa Fluor® 594 WGA was used to label plasma membranes (red) at a 1/200 dilution for 1h. DAPI was used to stain the cell nuclei (blue) at a concentration of 1.43μM.

Immunohistochemistry (Formalin/PFA-fixed paraffin-embedded sections) - Anti-HMGA2 antibody (AB97276)
  • IHC-P

Supplier Data

Immunohistochemistry (Formalin/PFA-fixed paraffin-embedded sections) - Anti-HMGA2 antibody (AB97276)

Paraffin embedded human HuCCT1 xenograft tissue stained for HMGA2 using ab97276 at 1/250 dilution in immunohistochemical analysis.

Immunocytochemistry/ Immunofluorescence - Anti-HMGA2 antibody (AB97276)
  • ICC/IF

Supplier Data

Immunocytochemistry/ Immunofluorescence - Anti-HMGA2 antibody (AB97276)

Immunofluorescent analysis of 4% Paraformaldehyde-fixed, 0.1% TritonX-100 permeabilized HepG2 (human hepatocellular carcinoma epithelial cell) cells labelling HMGA2 with ab320849 at 1/5000 (0.10 ug/ml) dilution, followed by ab150081 Goat Anti-Rabbit IgG H&L (Alexa Fluor® 488) preadsorbed antibody at 1/1000 2 ug/ml dilution (Green).

Confocal image showing nuclear staining in HepG2 cell line
(shown in green). The counterstain was observed in magenta. Nuclear DNA was labelled with DAPI (shown in blue).
Low expression : HT-29 (PMID : 26964871).
Image was taken with a confocal microscope (Leica-Microsystems, TCS SP8).
Left Panel is applied with Anti-HMGA2 antibody [RM1215] (ab320849) at 1/5000 dilution (0.10 ug/ml);
Right panel is applied with Anti-HMGA2 antibody (ab97276) at 1/1000 dilution (0.08 ug/ml).

ab195889 Anti-alpha Tubulin mouse monoclonal antibody - Microtubule Marker (Alexa Fluor® 594) was used to counterstain tubulin at 1/200 2.5ug/ml dilution (Magenta). The Nuclear counterstain was DAPI (Blue).

Secondary antibody only control : Secondary antibody is ab150081 Goat Anti-Rabbit IgG H&L (Alexa Fluor® 488) preadsorbed at 1/1000 2 ug/ml dilution.

Immunocytochemistry/ Immunofluorescence - Anti-HMGA2 antibody (AB97276)
  • ICC/IF

Supplier Data

Immunocytochemistry/ Immunofluorescence - Anti-HMGA2 antibody (AB97276)

Immunofluorescence analysis of 4% paraformaldehyde fixed at RT for 15 mins HeLa cells labelling HMGA2 protein at nucleus using ab97276 at a 1/500 dilution (Green). Alpha tubulin, a cytoskeleton marker stained by anti-alpha tubulin antibody at a 1/1000 dilution (Red).

Immunoprecipitation - Anti-HMGA2 antibody (AB97276)
  • IP

Supplier Data

Immunoprecipitation - Anti-HMGA2 antibody (AB97276)

Paraffin-embedded mouse duodenum and mouse brain tissue stained for HMGA2 - ChIP grade protein with ab97276 at a 1/500 dilution in immunohistochemical analysis.

Antigen Retrieval : Citrate buffer, pH 6.0, 15 min.

All lanes:

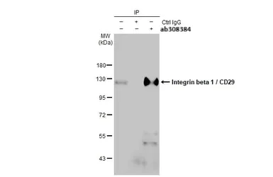
Immunoprecipitation - Anti-Integrin beta 1/CD29 antibody [HL1255] (<a href='/products/primary-antibodies/integrin-beta-1-cd29-antibody-hl1255-ab308384'>ab308384</a>)

All lanes:

A431 whole cell extracts

Secondary

All lanes:

HRP-conjugated anti rabbit IgG antibody

Predicted band size: 88 kDa

false

Immunohistochemistry (Formalin/PFA-fixed paraffin-embedded sections) - Anti-HMGA2 antibody (AB97276)
  • IHC-P

Supplier Data

Immunohistochemistry (Formalin/PFA-fixed paraffin-embedded sections) - Anti-HMGA2 antibody (AB97276)

Paraffin embedded rat brain tissue stained for HMGA2 using ab97276 at 1/500 dilution in immunohistochemical analysis.

Immunohistochemistry (Formalin/PFA-fixed paraffin-embedded sections) - Anti-HMGA2 antibody (AB97276)
  • IHC-P

Supplier Data

Immunohistochemistry (Formalin/PFA-fixed paraffin-embedded sections) - Anti-HMGA2 antibody (AB97276)

Paraffin-embedded mouse duodenum and mouse brain tissue stained for HMGA2 - ChIP grade protein with ab97276 at a 1/500 dilution in immunohistochemical analysis.

Antigen Retrieval : Citrate buffer, pH 6.0, 15 min.

Immunohistochemistry (Formalin/PFA-fixed paraffin-embedded sections) - Anti-HMGA2 antibody (AB97276)
  • IHC-P

Supplier Data

Immunohistochemistry (Formalin/PFA-fixed paraffin-embedded sections) - Anti-HMGA2 antibody (AB97276)

Paraffin-embedded rat duodenum and rat brain tissue stained for HMGA2 - ChIP grade protein with ab97276 at a 1/500 dilution in immunohistochemical analysis.

Antigen Retrieval : Citrate buffer, pH 6.0, 15 min.

Immunohistochemistry (Formalin/PFA-fixed paraffin-embedded sections) - Anti-HMGA2 antibody (AB97276)
  • IHC-P

Supplier Data

Immunohistochemistry (Formalin/PFA-fixed paraffin-embedded sections) - Anti-HMGA2 antibody (AB97276)

Paraffin embedded rat duodenum tissue stained for HMGA2 using ab97276 at 1/500 dilution in immunohistochemical analysis.

Immunohistochemistry (Formalin/PFA-fixed paraffin-embedded sections) - Anti-HMGA2 antibody (AB97276)
  • IHC-P

Supplier Data

Immunohistochemistry (Formalin/PFA-fixed paraffin-embedded sections) - Anti-HMGA2 antibody (AB97276)

Paraffin embedded C2C12 xenograft tissue stained for HMGA2 using ab97276 at 1/500 dilution in immunohistochemical analysis.

Western blot - Anti-HMGA2 antibody (AB97276)
  • WB

Supplier Data

Western blot - Anti-HMGA2 antibody (AB97276)

Samples were separated by 15% SDS-PAGE.

All lanes:

Western blot - Anti-HMGA2 antibody (ab97276) at 1/10000 dilution

All lanes:

HepG2 Whole cell extract at 30 µg

Secondary

All lanes:

HRP-conjugated anti-rabbit IgG antibody

Predicted band size: 12 kDa

true

Western blot - Anti-HMGA2 antibody (AB97276)
  • WB

Supplier Data

Western blot - Anti-HMGA2 antibody (AB97276)

15% SDS-PAGE

All lanes:

Western blot - Anti-HMGA2 antibody (ab97276) at 1/10000 dilution

All lanes:

HCT116 whole cell extract at 30 µg

Predicted band size: 12 kDa

false

Western blot - Anti-HMGA2 antibody (AB97276)
  • WB

Supplier Data

Western blot - Anti-HMGA2 antibody (AB97276)

15% SDS-PAGE

All lanes:

Western blot - Anti-HMGA2 antibody (ab97276) at 1/10000 dilution

Lane 1:

A431 whole cell extract at 30 µg

Lane 2:

HeLa whole cell extract at 30 µg

Lane 3:

HepG2 whole cell extract at 30 µg

Predicted band size: 12 kDa

false

Western blot - Anti-HMGA2 antibody (AB97276)
  • WB

AbReview28009****

Western blot - Anti-HMGA2 antibody (AB97276)

All lanes:

Western blot - Anti-HMGA2 antibody (ab97276) at 1/1000 dilution

All lanes:

HeLa whole cell lysate at 25 µg

Secondary

All lanes:

Goat anti rabbit secondary IRDye 800CW at 1/1000 dilution

Predicted band size: 12 kDa

Observed band size: 18 kDa

false

Exposure time: 10min

This image is courtesy of an anonymous abreview.

Western blot - Anti-HMGA2 antibody (AB97276)
  • WB

Supplier Data

Western blot - Anti-HMGA2 antibody (AB97276)

Samples were separated by 15% SDS-PAGE.

All lanes:

Western blot - Anti-HMGA2 antibody (ab97276) at 1/50000 dilution

Lane 1:

Non-transfected (-) HeLa whole cell extracts at 30 µg

Lane 2:

Transfected (+) HeLa whole cell extracts at 30 µg

Secondary

All lanes:

HRP-conjugated anti-rabbit IgG antibody

Predicted band size: 12 kDa

false

Western blot - Anti-HMGA2 antibody (AB97276)
  • WB

Supplier Data

Western blot - Anti-HMGA2 antibody (AB97276)

Samples were separated by 15% SDS-PAGE.

All lanes:

Western blot - Anti-HMGA2 antibody (ab97276) at 1/10000 dilution

All lanes:

Rat2 Whole cell extract at 30 µg

Secondary

All lanes:

HRP-conjugated anti-rabbit IgG antibody

Predicted band size: 12 kDa

false

Western blot - Anti-HMGA2 antibody (AB97276)
  • WB

Supplier Data

Western blot - Anti-HMGA2 antibody (AB97276)

15% SDS-PAGE

All lanes:

Western blot - Anti-HMGA2 antibody (ab97276) at 1/1000 dilution

Lane 1:

PC-12 whole cell extract at 30 µg

Lane 2:

Rat2 whole cell extract at 30 µg

Predicted band size: 12 kDa

false

Immunoprecipitation - Anti-HMGA2 antibody (AB97276)
  • IP

Supplier Data

Immunoprecipitation - Anti-HMGA2 antibody (AB97276)

Immunoprecipitation of HMGA2 protein from HepG2 nuclear extracts using 5 μg of HMGA2 antibody. Western blot analysis was performed using HMGA2 antibody at 1/500 dilution. EasyBlot anti-Rabbit IgG was used as a secondary reagent.

Lane 1 : Input

Lane 2 : Immunoprecipitation using control IgG

Lane 3 : Immunoprecipitation using 5 μg ab97276

All lanes:

Immunoprecipitation - Anti-HMGA2 antibody (ab97276)

Predicted band size: 12 kDa

false

关键信息

宿主种属

Rabbit

克隆

Polyclonal

亚型

IgG

不含载体蛋白

No

反应种属

Mouse, Rat, Human

应用

IHC-P, IP, ICC/IF, WB

applications

免疫原

Recombinant Fragment Protein within Human HMGA2 aa 1-100. The exact immunogen used to generate this antibody is proprietary information.

P52926

反应性数据

{ "title": "Reactivity Data", "filters": { "stats": ["", "Species", "Dilution Info", "Notes"], "tabs": { "all-applications": {"fullname" : "All Applications", "shortname": "All Applications"}, "IP" : {"fullname" : "Immunoprecipitation", "shortname":"IP"}, "WB" : {"fullname" : "Western blot", "shortname":"WB"}, "IHCP" : {"fullname" : "Immunohistochemistry (Formalin/PFA-fixed paraffin-embedded sections)", "shortname":"IHC-P"}, "ICCIF" : {"fullname" : "Immunocytochemistry/ Immunofluorescence", "shortname":"ICC/IF"} }, "product-promise": { "all": "all", "testedAndGuaranteed": "tested", "guaranteed": "expected", "predicted": "predicted", "notRecommended": "not-recommended" } }, "values": { "Human": { "IP-species-checked": "testedAndGuaranteed", "IP-species-dilution-info": "1/100 - 1/500", "IP-species-notes": "<p></p>", "WB-species-checked": "testedAndGuaranteed", "WB-species-dilution-info": "1/500 - 1/50000", "WB-species-notes": "<p></p>", "IHCP-species-checked": "testedAndGuaranteed", "IHCP-species-dilution-info": "1/100 - 1/1000", "IHCP-species-notes": "<p></p>", "ICCIF-species-checked": "testedAndGuaranteed", "ICCIF-species-dilution-info": "1/100 - 1/1000", "ICCIF-species-notes": "<p></p>" }, "Mouse": { "IP-species-checked": "guaranteed", "IP-species-dilution-info": "", "IP-species-notes": "", "WB-species-checked": "testedAndGuaranteed", "WB-species-dilution-info": "1/500 - 1/50000", "WB-species-notes": "<p></p>", "IHCP-species-checked": "testedAndGuaranteed", "IHCP-species-dilution-info": "1/100 - 1/1000", "IHCP-species-notes": "<p></p>", "ICCIF-species-checked": "guaranteed", "ICCIF-species-dilution-info": "", "ICCIF-species-notes": "" }, "Rat": { "IP-species-checked": "guaranteed", "IP-species-dilution-info": "", "IP-species-notes": "", "WB-species-checked": "testedAndGuaranteed", "WB-species-dilution-info": "1/500 - 1/50000", "WB-species-notes": "<p></p>", "IHCP-species-checked": "testedAndGuaranteed", "IHCP-species-dilution-info": "1/100 - 1/1000", "IHCP-species-notes": "<p></p>", "ICCIF-species-checked": "guaranteed", "ICCIF-species-dilution-info": "", "ICCIF-species-notes": "" } } }

产品详情

What is this antibody validated in?
Anti-HMGA2 antibody (ab97276) is a rabbit polyclonal antibody and is validated for use in Western Blot (WB), Immunoprecipitation (IP), Immunohistochemistry (IHC-P), Immunocytochemistry/immunofluorescence (ICC/IF) in Human, Mouse, Rat samples.

What is the molecular weight of HMGA2?
Anti-HMGA2 (ab97276) specifically detects a band for HMGA2 (UniProt: P52926) at a molecular weight of 12kDa.

Trusted by the scientific community
Anti-HMGA2 (ab97276) was first used in a scientific publication in 2010 and has been cited over 40 times in peer-reviewed journals.

性能和储存信息

形式
Liquid
纯化工艺
Affinity purification Immunogen
存储溶液
pH: 7 Preservative: 0.025% Proclin 300 Constituents: PBS, 20% Glycerol (glycerin, glycerine)
运输条件
Blue Ice
推荐的短期储存时间
1-2 weeks
推荐的短期储存条件
+4°C
推荐的长期储存条件
-20°C
分装信息
Upon delivery aliquot
储存信息
Avoid freeze / thaw cycle

产品实验方案

For this product, it's our understanding that no specific protocols are required. You can visit:

靶点信息

Functions as a transcriptional regulator. Functions in cell cycle regulation through CCNA2. Plays an important role in chromosome condensation during the meiotic G2/M transition of spermatocytes. Plays a role in postnatal myogenesis, is involved in satellite cell activation (By similarity). Positively regulates IGF2 expression through PLAG1 and in a PLAG1-independent manner (PubMed : 28796236).
See full target information HMGA2

文献 (61)

Recent publications for all applications. Explore the full list and refine your search

Frontiers in immunology 16:1559278 PubMed40703517

2025

Prognostic significance and immune infiltration analysis of HMGA2 in endometrial cancer.

Applications

Unspecified application

Species

Unspecified reactive species

Peng Jiang,Jiaxin Yu,Yunfeng Zheng,Chenfan Tian,Yuan Tu,Chunxia Gong,Hangkun Yu,Yi Luo,Zhuoying Hu

Clinics (Sao Paulo, Brazil) 79:100400 PubMed39089097

2024

LncRNA HCG18 affects aortic dissection through the miR-103a-3p/HMGA2 axis by modulating proliferation and apoptosis of vascular smoothing muscle cells.

Applications

Unspecified application

Species

Unspecified reactive species

ZhiHong Yang,YuanSheng Cui,ShuGuo Xu,LongBiao Li

Neoplasma 71:22-36 PubMed38506034

2024

The role of HMGA2 in activating the IGFBP2 expression to promote angiogenesis and LUAD metastasis via the PI3K/AKT/VEGFA signaling pathway.

Applications

Unspecified application

Species

Unspecified reactive species

Shuai Qian,Fengping Wang,Wenliang Liao,Jun Liu

Journal of diabetes investigation 15:711-724 PubMed38483136

2024

High glucose promotes atherosclerosis by regulating miRNA let7d-5p level.

Applications

Unspecified application

Species

Unspecified reactive species

Hua Wang,Fentao Liu,Wenyu Zhao,Yiting Guo,Peipei Mai,Songfeng Zhao,Zhiguo Wen,Jie Su,Xuan Li,Yunlong Wang,Yanfang Zhang

Journal of orthopaedic research : official publication of the Orthopaedic Research Society 42:1244-1253 PubMed38151824

2023

Exosomal circFAM63Bsuppresses bone regeneration of postmenopausal osteoporosis via regulating miR-578/HMGA2 axis.

Applications

Unspecified application

Species

Unspecified reactive species

Feng Li,Xiaodong Zhao,Yang Zhang,Qingshan Zhuang,Song Wang,Xichi Fang,Tao Xu,Xiaopeng Li,Gaoyang Chen

Journal of biochemical and molecular toxicology 38:e23530 PubMed37822284

2023

CircDLGAP4 overexpression ameliorates neuronal injury in Parkinson's disease by binding to EIF4A3 and increasing HMGA2 expression.

Applications

Unspecified application

Species

Unspecified reactive species

Haiping Bao,Qiang Zhang,Yu Li,Chen Nie

Nature communications 14:5904 PubMed37737269

2023

A branching model of lineage differentiation underpinning the neurogenic potential of enteric glia.

Applications

Unspecified application

Species

Unspecified reactive species

Anna Laddach,Song Hui Chng,Reena Lasrado,Fränze Progatzky,Michael Shapiro,Alek Erickson,Marisol Sampedro Castaneda,Artem V Artemov,Ana Carina Bon-Frauches,Eleni-Maria Amaniti,Jens Kleinjung,Stefan Boeing,Sila Ultanir,Igor Adameyko,Vassilis Pachnis

Heliyon 9:e17120 PubMed37360090

2023

Circular RNA circBNC2 facilitates glycolysis and stemness of hepatocellular carcinoma through the miR-217/high mobility group AT-hook 2 (HMGA2) axis.

Applications

Unspecified application

Species

Unspecified reactive species

Yan Feng,Shufeng Xia,Junlan Hui,Yan Xu

Clinical epigenetics 15:92 PubMed37237385

2023

Histone lysine methyltransferase SMYD3 promotes oral squamous cell carcinoma tumorigenesis via H3K4me3-mediated HMGA2 transcription.

Applications

Unspecified application

Species

Unspecified reactive species

Zongcheng Yang,Fen Liu,Zongkai Li,Nianping Liu,Xinfeng Yao,Yu Zhou,Liyu Zhang,Pan Jiang,Honghong Liu,Lingming Kong,Chuandong Lang,Xin Xu,Jihui Jia,Takahito Nakajima,Wenchao Gu,Lixin Zheng,Zhihong Zhang

Biomolecules 13: PubMed36830563

2023

Pivotal Role of Ubiquitin Carboxyl-Terminal Hydrolase L1 (UCHL1) in Uterine Leiomyoma.

Applications

Unspecified application

Species

Unspecified reactive species

Tomoo Suzuki,Yidan Dai,Masanori Ono,Junya Kojima,Toru Sasaki,Hiroshi Fujiwara,Naoaki Kuji,Hirotaka Nishi
View all publications

Abcam Product Promise

我们致力于为您的研究提供高质量的试剂,为您科研的每一步提供支持。若我们的产品未能达到预期性能,我们向您提供 Abcam Product Promise 保障。
详情请参阅我们的条款与条件。

Please note: All products are 'FOR RESEARCH USE ONLY. NOT FOR USE IN DIAGNOSTIC OR THERAPEUTIC PROCEDURES'.

For licensing inquiries, please contact partnerships@abcam.com