JavaScript is disabled in your browser. Please enable JavaScript to view this website.
AB92511

Anti-HLA-DR 抗体 [EPR3692]

Anti-HLA-DR antibody [EPR3692]

  • BOND RX™ Validated
  • RabMAb
  • Recombinant
  • Lab Essentials
  • 20ul selling size
  • Advanced Validation
  • 了解详情

4

(7 Reviews)

|

(87 Publications)

Anti-HLA-DR antibody [EPR3692] (ab92511) is a rabbit monoclonal antibody detecting HLA-DR in Western Blot, IHC-P, ICC/IF, mIHC. Suitable for Human.

- Multiplex IHC validated on the Leica BOND® MAX using Opal reagents
- Biophysical QC for unrivalled batch-batch consistency
- Over 40 publications
- Trusted since 2010

查看别名

HLA-DRA1, HLA-DRA, MHC class II antigen DRA

16 Images
Immunohistochemistry (Formalin/PFA-fixed paraffin-embedded sections) - Anti-HLA-DR antibody [EPR3692] (AB92511)
  • IHC-P

Supplier Data

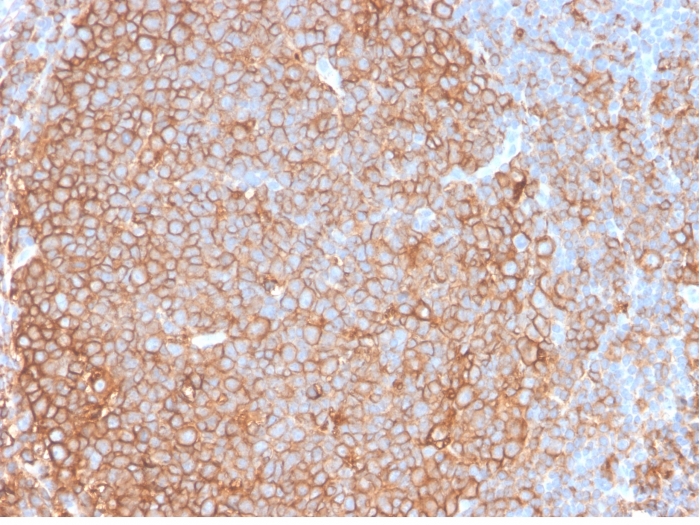
Immunohistochemistry (Formalin/PFA-fixed paraffin-embedded sections) - Anti-HLA-DR antibody [EPR3692] (AB92511)

ab92511 staining HLA-DR in human spleen tissue sections by Immunohistochemistry (IHC-P - paraformaldehyde-fixed, paraffin-embedded sections). Tissue was fixed with paraformaldehyde and antigen retrieval was by heat mediation in a EDTA buffer. Samples were incubated with primary antibody at a dilution of 1/700. A goat anti-rabbit IgG H&L (HRP) ab97051 was used as the secondary antibody at a dilution of 1/500.

Negative control 1 : PBS in place of primary antibody.

Immunohistochemistry (Formalin/PFA-fixed paraffin-embedded sections) - Anti-HLA-DR antibody [EPR3692] (AB92511)
  • IHC-P

Lab

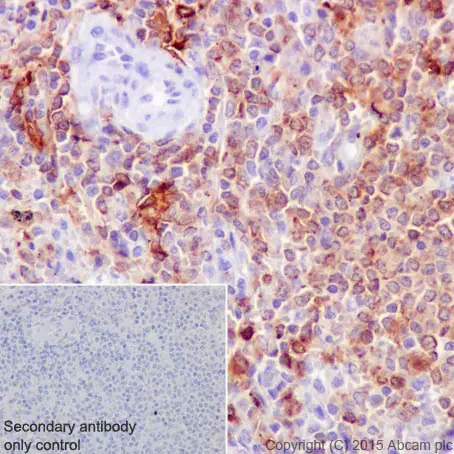
Immunohistochemistry (Formalin/PFA-fixed paraffin-embedded sections) - Anti-HLA-DR antibody [EPR3692] (AB92511)

Immunohistochemical analysis of formalin fixed paraffin embedded human tonsil labelling HLA-DR with ab92511 at a concentration of 0.5µg/ml. The immunostaining was performed on a Ventana DISCOVERY ULTRA (Roche Tissue Diagnostics) instrument with a OptiView DAB IHC Detection Kit. Heat mediated antigen retrieval was performed with DISCOVERY cell conditioning solution (CC1) 100°C, pH8.5 for 32 mins. ab209968 Anti-HLA-DR antibody [EPR3692] was incubated for 16 mins at 37°C. Sections were counterstained with Hematoxylin II. Image inset shows absence of staining in secondary antibody only control.

Customers are encouraged to optimise antigen retrieval conditions, antibody concentration, incubation times and temperature for best results in their own IHC assay workflow (automated and manual).

Immunohistochemistry (Formalin/PFA-fixed paraffin-embedded sections) - Anti-HLA-DR antibody [EPR3692] (AB92511)
  • IHC-P

Lab

Immunohistochemistry (Formalin/PFA-fixed paraffin-embedded sections) - Anti-HLA-DR antibody [EPR3692] (AB92511)

ab92511, at a 1/100 dilution, staining HLA-DRA in paraffin embedded Human tonsil (A) and Human kidney (B) tissue by Immunohistochemistry. Detection : by DAB staining

Immunohistochemistry (Formalin/PFA-fixed paraffin-embedded sections) - Anti-HLA-DR antibody [EPR3692] (AB92511)
  • IHC-P

Lab

Immunohistochemistry (Formalin/PFA-fixed paraffin-embedded sections) - Anti-HLA-DR antibody [EPR3692] (AB92511)

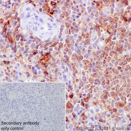
Immunohistochemical analysis of paraffin-embedded human tonsil tissue labelling HLA-DR with ab92511 at 1/10000 dilution (0.07 μg/ml) followed by a ready to use LeicaDS9800 (Bond™ Polymer Refine Detection) secondary antibody. Positive staining on human tonsil tissue. The section was incubated with ab92511 for 30 mins at room temperature. The immunostaining was performed on a Leica Biosystems BOND® RX instrument. Counterstained with Hematoxylin.

Secondary antibody only control.

Heat mediated antigen retrieval with Bond™ Epitope Retrieval Solution 2 (pH 9.0) for 30 minutes.

Immunohistochemistry (Formalin/PFA-fixed paraffin-embedded sections) - Anti-HLA-DR antibody [EPR3692] (AB92511)
  • IHC-P

Lab

Immunohistochemistry (Formalin/PFA-fixed paraffin-embedded sections) - Anti-HLA-DR antibody [EPR3692] (AB92511)

ab92511 staining HLA-DR in human spleen tissue sections by Immunohistochemistry (IHC-P - paraformaldehyde-fixed, paraffin-embedded sections). Tissue was fixed with paraformaldehyde and antigen retrieval was by heat mediation in a EDTA buffer. Samples were incubated with primary antibody at a dilution of 1/700. A goat anti-rabbit IgG H&L (HRP) ab97051 was used as the secondary antibody at a dilution of 1/500. Negative control 1 : PBS in place of primary antibody.

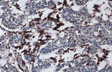
Multiplex immunohistochemistry - Anti-HLA-DR antibody [EPR3692] (AB92511)
  • mIHC

Lab

Multiplex immunohistochemistry - Anti-HLA-DR antibody [EPR3692] (AB92511)

10-color fluorescence multiplex immunohistochemical analysis of human lung cancer tissue (formalin-fixed paraffin-embedded section). Merged staining of anti-FOXP3 (ab215206; Cyan; TG540N), anti-PD1 (ab52587; Red; TG700N), anti-CD163 (ab182422; Brown; TG650N), anti-HLA-DR (ab92511; Yellow; TG570N), anti-CD4 (ab133616; Violet; TG620N), anti-CD8 alpha (ab101500; Purple; TG540S), anti-CD20 (ab9475; Grey; TG660S), anti-CD68 (ab192847; Green; TG520N), anti-Cytokeratin 19 (ab52625; Light blue; TG440N). TG470SN (dark blue) was used as a nuclear counter stain. The inset image shows the separate CD68 signal. The section was incubated in nine rounds of staining; in the order of ab215206 (1/100 dilution), ab52587 (1/200 dilution), ab182422 (1/300 dilution), ab92511 (1/200 dilution), ab133616 (1/600 dilution), ab101500 (1/300 dilution), ab9475 (1/100 dilution), ab192847 (1/300 dilution), ab52625 (1/400 dilution); each using a separate fluorescent tyramide signal amplification system. Sodium citrate antigen retrieval (pH6.0) was used in between rounds of tyramide signal amplification to remove the antibody from the previous round, to avoid any cross-reactivity. Image acquisition was performed with TissueFAXS Spectra (TissueGnostics).

Immunocytochemistry/ Immunofluorescence - Anti-HLA-DR antibody [EPR3692] (AB92511)
  • ICC/IF

Supplier Data

Immunocytochemistry/ Immunofluorescence - Anti-HLA-DR antibody [EPR3692] (AB92511)

ab92511 staining HLA-DR in HuT-78 (human Sezary syndrome) cells by ICC/IF (Immunocytochemistry/immunofluorescence). Cells were fixed with 4% Paraformaldehyde and permeabilized with 0.1% Triton X-100. Samples were incubated with primary antibody at a dilution of 1/250. A goat anti rabbit IgG (Alexa Fluor® 488) (ab150077) was used as the secondary antibody at a dilution of 1/1000. ab7291 and ab150120 were used as counterstains for primary antibody ab92511 and secondary antibody ab150077 respectively and DAPI was used as a nuclear counterstain.

Negative control 1 : Rabbit primary antibody and anti-mouse secondary antibody (ab150120)
Negative control 2 : Mouse primary antibody (ab7291) and anti-rabbit secondary antibody (ab150077)

Immunohistochemistry (Formalin/PFA-fixed paraffin-embedded sections) - Anti-HLA-DR antibody [EPR3692] (AB92511)
  • IHC-P

Supplier Data

Immunohistochemistry (Formalin/PFA-fixed paraffin-embedded sections) - Anti-HLA-DR antibody [EPR3692] (AB92511)

ab92511 showing positive staining in Normal liver vessels tissue.

Perform heat mediated antigen retrieval before commencing with IHC staining protocol.

Immunohistochemistry (Formalin/PFA-fixed paraffin-embedded sections) - Anti-HLA-DR antibody [EPR3692] (AB92511)
  • IHC-P

Supplier Data

Immunohistochemistry (Formalin/PFA-fixed paraffin-embedded sections) - Anti-HLA-DR antibody [EPR3692] (AB92511)

ab92511 showing positive staining in Normal skin vessels tissue.

Perform heat mediated antigen retrieval before commencing with IHC staining protocol.

Immunohistochemistry (Formalin/PFA-fixed paraffin-embedded sections) - Anti-HLA-DR antibody [EPR3692] (AB92511)
  • IHC-P

Supplier Data

Immunohistochemistry (Formalin/PFA-fixed paraffin-embedded sections) - Anti-HLA-DR antibody [EPR3692] (AB92511)

ab92511 showing positive staining in Endometrial carcinoma vessels tissue.

Perform heat mediated antigen retrieval before commencing with IHC staining protocol.

Immunohistochemistry (Formalin/PFA-fixed paraffin-embedded sections) - Anti-HLA-DR antibody [EPR3692] (AB92511)
  • IHC-P

Lab

Immunohistochemistry (Formalin/PFA-fixed paraffin-embedded sections) - Anti-HLA-DR antibody [EPR3692] (AB92511)

Tissue Microarrays stained for "Anti-HLA-DR antibody [EPR3692]" using "ab92511"in immunohistochemical analysis. This table provides a detailed overview of positive (tick mark) and negative (cross mark) staining per sample type tested. The sections were pre-treated using Heat mediated antigen retrieval using Bond™ Epitope Retrieval Solution 2 (pH 9.0) for 20 minutes. The sections were incubated with ab92511 for 30 mins at room temperature followed by a ready to use Rabbit specific IHC polymer detection kit HRP/DAB (ab209101). The immunostaining was performed on a Leica Biosystems BOND® RX instrument.

Immunohistochemistry (Formalin/PFA-fixed paraffin-embedded sections) - Anti-HLA-DR antibody [EPR3692] (AB92511)
  • IHC-P

Lab

Immunohistochemistry (Formalin/PFA-fixed paraffin-embedded sections) - Anti-HLA-DR antibody [EPR3692] (AB92511)

Immunohistochemical analysis of paraffin-embedded human skin tissue labelling HLA-DR with ab92511 at 1/10000 dilution (0.07 μg/ml) followed by a ready to use LeicaDS9800 (Bond™ Polymer Refine Detection) secondary antibody. Positive staining on human skin tissue. The section was incubated with ab92511 for 30 mins at room temperature. The immunostaining was performed on a Leica Biosystems BOND® RX instrument. Counterstained with Hematoxylin.

Secondary antibody only control.

Heat mediated antigen retrieval with Bond™ Epitope Retrieval Solution 2 (pH 9.0) for 30 minutes.

Western blot - Anti-HLA-DR antibody [EPR3692] (AB92511)
  • WB

Lab

Western blot - Anti-HLA-DR antibody [EPR3692] (AB92511)

Blocking buffer : 5% NFDM/TBST

Diluting buffer : 5% NFDM/TBST

All lanes:

Western blot - Anti-HLA-DR antibody [EPR3692] (ab92511) at 1/10000 dilution

Lane 1:

Raji (human Burkitt's lymphoma) whole cell lysate at 20 µg

Lane 2:

Ramos (human Burkitt's lymphoma) whole cell lysate at 20 µg

Lane 3:

Human tonsil tissue at 20 µg

Secondary

All lanes:

Western blot - Goat Anti-Rabbit IgG H&L (HRP) (<a href='/products/secondary-antibodies/goat-rabbit-igg-h-l-hrp-ab97051'>ab97051</a>) at 1/1000 dilution

Predicted band size: 29 kDa

false

Western blot - Anti-HLA-DR antibody [EPR3692] (AB92511)
  • WB

Unknown

Western blot - Anti-HLA-DR antibody [EPR3692] (AB92511)

All lanes:

Western blot - Anti-HLA-DR antibody [EPR3692] (ab92511) at 1/5000 dilution

Lane 1:

Raji cell lysate at 10 µg

Lane 2:

Human spleen lysate at 10 µg

Lane 3:

Hu T-78 cell lysate at 10 µg

Secondary

All lanes:

HRP labelled goat anti-rabbit at 1/2000 dilution

Predicted band size: 29 kDa

false

Western blot - Anti-HLA-DR antibody [EPR3692] (AB92511)
  • WB

Lab

Western blot - Anti-HLA-DR antibody [EPR3692] (AB92511)

Blocking buffer and concentration : 5% NFDM/TBST Diluting buffer and concentration : 5% NFDM/TBST This antibody does not cross-react with human HLA-DOA.

Lanes 1 - 2:

Western blot - Anti-HLA-DR antibody [EPR3692] - Low endotoxin, Azide free (<a href='/products/primary-antibodies/hla-dr-antibody-epr3692-low-endotoxin-azide-free-ab215985'>ab215985</a>) at 1/1000 dilution

Lanes 1 - 2:

Western blot - Anti-HLA-DR antibody [EPR3692] - BSA and Azide free (<a href='/products/primary-antibodies/hla-dr-antibody-epr3692-bsa-and-azide-free-ab209968'>ab209968</a>) at 1/1000 dilution

Lanes 1 - 2:

Western blot - Anti-HLA-DR antibody [EPR3692] (ab92511) at 1/1000 dilution

Lane 1:

HEK-293T (human epithelial cell line from embryonic kidney transformed with large T antigen) cells transfected with a human HLA-DR expression vector containing a his-tag, whole cell lysate at 20 µg

Lane 2:

HEK-293T (human epithelial cell line from embryonic kidney transformed with large T antigen) cells transfected with a human HLA-DOA expression vector containing a his-tag, whole cell lysate at 20 µg

Secondary

All lanes:

Western blot - Goat Anti-Rabbit IgG H&L (HRP) (<a href='/products/secondary-antibodies/goat-rabbit-igg-h-l-hrp-ab97051'>ab97051</a>) at 1/100000 dilution

Predicted band size: 29 kDa

Observed band size: 37 kDa

false

Exposure time: 3min

OI-RD Scanning - Anti-HLA-DR antibody [EPR3692] (AB92511)
  • OI-RD Scanning

Unknown

OI-RD Scanning - Anti-HLA-DR antibody [EPR3692] (AB92511)

We have systematically measured KD (the equilibrium dissociation constant between the antibody and its antigen), of more than 840 recombinant antibodies to assess not only their individual KD values but also to see the average affinity of antibody. Based on the comparison with published literature values for mouse monoclonal antibodies, Recombinant antibodies appear to be on average 1-2 order of magnitude higher affinity.

不同偶联物与剂型 (5)

关键信息

宿主种属

Rabbit

克隆

Monoclonal

克隆号

EPR3692

亚型

IgG

不含载体蛋白

No

反应种属

Human

应用

IHC-P, WB, mIHC, ICC/IF

applications

免疫原

The exact immunogen used to generate this antibody is proprietary information.

反应性数据

{ "title": "Reactivity Data", "filters": { "stats": ["", "Species", "Dilution Info", "Notes"], "tabs": { "all-applications": {"fullname" : "All Applications", "shortname": "All Applications"}, "mIHC" : {"fullname" : "Multiplex immunohistochemistry", "shortname":"mIHC"}, "FlowCytIntra" : {"fullname" : "Flow Cytometry (Intracellular)", "shortname":"Flow Cyt (Intra)"}, "IP" : {"fullname" : "Immunoprecipitation", "shortname":"IP"}, "WB" : {"fullname" : "Western blot", "shortname":"WB"}, "IHCP" : {"fullname" : "Immunohistochemistry (Formalin/PFA-fixed paraffin-embedded sections)", "shortname":"IHC-P"}, "ICCIF" : {"fullname" : "Immunocytochemistry/ Immunofluorescence", "shortname":"ICC/IF"} }, "product-promise": { "all": "all", "testedAndGuaranteed": "tested", "guaranteed": "expected", "predicted": "predicted", "notRecommended": "not-recommended" } }, "values": { "Human": { "mIHC-species-checked": "testedAndGuaranteed", "mIHC-species-dilution-info": "1/200", "mIHC-species-notes": "<p></p>", "FlowCytIntra-species-checked": "notRecommended", "FlowCytIntra-species-dilution-info": "", "FlowCytIntra-species-notes": "<p></p>", "IP-species-checked": "notRecommended", "IP-species-dilution-info": "1/50000", "IP-species-notes": "<p></p>", "WB-species-checked": "testedAndGuaranteed", "WB-species-dilution-info": "1/1000 - 1/10000", "WB-species-notes": "<p></p>", "IHCP-species-checked": "testedAndGuaranteed", "IHCP-species-dilution-info": "1/100 - 1/10000", "IHCP-species-notes": "<p></p>", "ICCIF-species-checked": "testedAndGuaranteed", "ICCIF-species-dilution-info": "1/250 - 1/500", "ICCIF-species-notes": "<p></p>" }, "Mouse": { "mIHC-species-checked": "notRecommended", "mIHC-species-dilution-info": "", "mIHC-species-notes": "", "FlowCytIntra-species-checked": "notRecommended", "FlowCytIntra-species-dilution-info": "", "FlowCytIntra-species-notes": "", "IP-species-checked": "notRecommended", "IP-species-dilution-info": "", "IP-species-notes": "", "WB-species-checked": "notRecommended", "WB-species-dilution-info": "1/1000 - 1/10000", "WB-species-notes": "<p></p>", "IHCP-species-checked": "notRecommended", "IHCP-species-dilution-info": "1/100 - 1/10000", "IHCP-species-notes": "<p></p>", "ICCIF-species-checked": "notRecommended", "ICCIF-species-dilution-info": "1/250 - 1/500", "ICCIF-species-notes": "<p></p>" }, "Rat": { "mIHC-species-checked": "notRecommended", "mIHC-species-dilution-info": "", "mIHC-species-notes": "", "FlowCytIntra-species-checked": "notRecommended", "FlowCytIntra-species-dilution-info": "", "FlowCytIntra-species-notes": "", "IP-species-checked": "notRecommended", "IP-species-dilution-info": "1/50000", "IP-species-notes": "<p></p>", "WB-species-checked": "notRecommended", "WB-species-dilution-info": "", "WB-species-notes": "", "IHCP-species-checked": "notRecommended", "IHCP-species-dilution-info": "", "IHCP-species-notes": "", "ICCIF-species-checked": "notRecommended", "ICCIF-species-dilution-info": "", "ICCIF-species-notes": "" }, "Transfected cell line - Human": { "mIHC-species-checked": "notRecommended", "mIHC-species-dilution-info": "", "mIHC-species-notes": "", "FlowCytIntra-species-checked": "notRecommended", "FlowCytIntra-species-dilution-info": "", "FlowCytIntra-species-notes": "", "IP-species-checked": "notRecommended", "IP-species-dilution-info": "", "IP-species-notes": "", "WB-species-checked": "testedAndGuaranteed", "WB-species-dilution-info": "1/1000 - 1/10000", "WB-species-notes": "<p></p>", "IHCP-species-checked": "notRecommended", "IHCP-species-dilution-info": "", "IHCP-species-notes": "", "ICCIF-species-checked": "notRecommended", "ICCIF-species-dilution-info": "", "ICCIF-species-notes": "" } } }

产品详情

Anti-HLA-DR antibody [EPR3692] (ab92511) was developed by Abcam using patented rabbit monoclonal antibody technology and is validated for use in ICC/IF, IHC-P, WB, mIHC in human samples.

Anti-HLA-DR antibody [EPR3692] (ab92511) has been cited over 49 times in peer reviewed journals and is trusted by the scientific community.

Abcams high quality manufacturing and validation processes ensure Anti-HLA-DR antibody [EPR3692] (ab92511) has high sensitivity and specificity alongside high lot-to-lot consistency and reproducibility.

Anti-HLA-DR antibody [EPR3692] (ab92511) has 7 independent reviews from customers.

Anti-HLA-DR antibody [EPR3692] (ab92511) specifically detects HLA-DR (UniProt ID: P01903; Molecular weight: 26kDa) and is sold in a convenient trial size to enable initial testing (20 uL) and larger sizes for subsequent scaling up experiments (100 uL and 1 mL).

Conjugation-ready, carrier free format available for antibody clone EPR3692 - ab29968.

Antibody clone EPR3692 is also available pre-conjugated to a variety of labels for your convenience - Alexa Fluor® 555, Alexa Fluor® 488, Alexa Fluor® 647 (ab215312, ab37775, ab37776).

HLA-DR is a major histocompatibility complex (MHC) class II receptor involved in presenting antigens to T cells, playing a crucial role in the immune response to tumors. High HLA-DR expression on tumor-infiltrating lymphocytes is associated with better clinical outcomes in certain cancers.

Species reactivity
Mouse: We have preliminary internal testing data to indicate this antibody may not react with this species.
Please contact us for more information.

Patented technology
Our RabMAb® technology is a patented hybridoma-based technology for making rabbit monoclonal antibodies. For details on our patents, please refer to RabMAb® patents.

What are the advantages of a recombinant monoclonal antibody?
This product is a recombinant monoclonal antibody, which offers several advantages including:

  • - High batch-to-batch consistency and reproducibility
  • - Improved sensitivity and specificity
  • - Long-term security of supply
  • - Animal-free batch production

For more information, read more on recombinant antibodies.

性能和储存信息

形式
Liquid
纯化工艺
Affinity purification Protein A
存储溶液
pH: 7.2 - 7.4 Preservative: 0.01% Sodium azide Constituents: PBS, 40% Glycerol (glycerin, glycerine), 0.05% BSA
运输条件
Blue Ice
推荐的短期储存时间
1-2 weeks
推荐的短期储存条件
+4°C
推荐的长期储存条件
-20°C
分装信息
Upon delivery aliquot
储存信息
Avoid freeze / thaw cycle

产品实验方案

For this product, it's our understanding that no specific protocols are required. You can visit:

靶点信息

An alpha chain of antigen-presenting major histocompatibility complex class II (MHCII) molecule. In complex with the beta chain HLA-DRB, displays antigenic peptides on professional antigen presenting cells (APCs) for recognition by alpha-beta T cell receptor (TCR) on HLA-DR-restricted CD4-positive T cells. This guides antigen-specific T-helper effector functions, both antibody-mediated immune response and macrophage activation, to ultimately eliminate the infectious agents and transformed cells (PubMed : 15265931, PubMed : 15322540, PubMed : 17334368, PubMed : 22327072, PubMed : 24190431, PubMed : 27591323, PubMed : 29884618, PubMed : 31495665, PubMed : 8145819, PubMed : 9075930). Typically presents extracellular peptide antigens of 10 to 30 amino acids that arise from proteolysis of endocytosed antigens in lysosomes (PubMed : 8145819). In the tumor microenvironment, presents antigenic peptides that are primarily generated in tumor-resident APCs likely via phagocytosis of apoptotic tumor cells or macropinocytosis of secreted tumor proteins (PubMed : 31495665). Presents peptides derived from intracellular proteins that are trapped in autolysosomes after macroautophagy, a mechanism especially relevant for T cell selection in the thymus and central immune tolerance (PubMed : 17182262, PubMed : 23783831). The selection of the immunodominant epitopes follows two processing modes : 'bind first, cut/trim later' for pathogen-derived antigenic peptides and 'cut first, bind later' for autoantigens/self-peptides (PubMed : 25413013). The anchor residue at position 1 of the peptide N-terminus, usually a large hydrophobic residue, is essential for high affinity interaction with MHCII molecules (PubMed : 8145819).
See full target information HLA-DRA

文献 (87)

Recent publications for all applications. Explore the full list and refine your search

JID innovations : skin science from molecules to population health 5:100401 PubMed40927131

2025

Immunoregulatory Microenvironment in the Elderly Skin.

Applications

Unspecified application

Species

Unspecified reactive species

Yuri Shimizu,Hanako Koguchi-Yoshioka,Toshiki Kubo,Yutaka Matsumura,Shoichi Matsuda,Atsushi Tanemura,Michiko Nomori,Naoya Otani,Mifue Taminato,Koichi Tomita,Tateki Kubo,Manabu Fujimoto,Rei Watanabe

Oncology letters 30:456 PubMed40762017

2025

Acute myeloid leukemia with plasmacytoid dendritic cell proliferation: A case report and literature review.

Applications

Unspecified application

Species

Unspecified reactive species

Zhixin Pei,Yi Zhang,Han Xu,Pei Pei,Zhengyang Zhang,Hongxia Wang,Bei Zhang,Junjun Bai,Yingxin Zhao,Jingjing Gu,Zhiyu Fang,Miaomiao Liu,Qinglin Song

Journal of experimental & clinical cancer research : CR 44:193 PubMed40616124

2025

M2 macrophage-secreted KYNU promotes stemness remodeling and malignant behavior in endometrial cancer via the SOD2-mtROS-ERO1α-UPR axis.

Applications

Unspecified application

Species

Unspecified reactive species

Xin Pan,Wantong Wang,Yuting Wang,JiaHui Gu,Xiaoxin Ma

Molecular brain 18:53 PubMed40545530

2025

Distinct composition of different types of Abeta plaques in the pathogenesis of Alzheimer's disease and the role of neutrophil-derived myeloperoxidase.

Applications

Unspecified application

Species

Unspecified reactive species

Jianru Sun,Xiangqi Shao,Xue Wang,Xiang-Sha Yin,Wenying Qiu,Xiaojing Qian,Fan Liu,Yongmei Chen,Chao Ma

Nature communications 16:3177 PubMed40180922

2025

Cholangiocarcinoma PDHA1 succinylation suppresses macrophage antigen presentation via alpha-ketoglutaric acid accumulation.

Applications

Unspecified application

Species

Unspecified reactive species

Ning Zhang,Linmao Sun,Shuo Zhou,Changyong Ji,Tianming Cui,Qi Chu,Jiareng Ye,Shuhang Liang,Kun Ma,Yufeng Liu,Xianying Li,Xinyu Guo,Weizhi Zhang,Xuetian Gu,Cheng Cheng,Qingrui Zha,Shengwei Tao,Yunguang Zhang,Junhui Chu,Chenghui Wu,Yuchen Zhang,Jiabei Wang,Yao Liu,Lianxin Liu

Journal of translational medicine 23:217 PubMed39985072

2025

Monocytic myeloid-derived suppressor cells contribute to the exacerbation of bone destruction in periodontitis.

Applications

Unspecified application

Species

Unspecified reactive species

Zhaocai Zhou,Chi Zhan,Wenchuan Li,Wenji Luo,Yufeng Liu,Feng He,Yaguang Tian,Zhengmei Lin,Zhi Song

The Journal of clinical investigation 135: PubMed39589824

2024

A large-scale population-based study reveals that gp42-IgG antibody is protective against EBV-associated nasopharyngeal carcinoma.

Applications

Unspecified application

Species

Unspecified reactive species

Xiang-Wei Kong,Guo-Long Bu,Hua Chen,Yu-Hua Huang,Zhiwei Liu,Yin-Feng Kang,Yan-Cheng Li,Xia Yu,Biao-Hua Wu,Zi-Qian Li,Xin-Chun Chen,Shang-Hang Xie,Dong-Feng Lin,Tong Li,Shu-Mei Yan,Run-Kun Han,Nan Huang,Qian-Yu Wang,Yan Li,Ao Zhang,Qian Zhong,Xiao-Ming Huang,Weimin Ye,Ming-Fang Ji,Yong-Lin Cai,Su-Mei Cao,Mu-Sheng Zeng

Cancer cell international 24:380 PubMed39548546

2024

Expression of HECTD2 predicts peritoneal metastasis of gastric cancer and reconstructs immune microenvironment.

Applications

Unspecified application

Species

Unspecified reactive species

Libao Gong,Jiayi Huang,Xue Bai,Lin Song,Junjie Hang,Jinfeng Guo

Molecular oncology 19:682-697 PubMed39535369

2024

Adenoviral delivery of the CIITA transgene induces T-cell-mediated killing in glioblastoma organoids.

Applications

Unspecified application

Species

Unspecified reactive species

Ilaria Salvato,Eliane Klein,Aurélie Poli,Mahsa Rezaeipour,Luca Ermini,Bakhtiyor Nosirov,Anuja Lipsa,Anaïs Oudin,Virginie Baus,Gian Mario Dore,Antonio Cosma,Anna Golebiewska,Antonio Marchini,Simone P Niclou

Cancer diagnosis & prognosis 4:789-796 PubMed39502617

2024

Prediction of Treatment Response Based on Nutritional Status and Tumor Immunity in Oropharyngeal Cancer Patients Treated With Chemoradiotherapy.

Applications

Unspecified application

Species

Unspecified reactive species

Mio Kitagawa,Juno Kaguchi,Masanori Someya,Yuki Fukushima,Tomokazu Hasegawa,Takaaki Tsuchiya,Toshio Gocho,Shoh Mafune,Yutaro Ikeuchi,Ryu Okuda,Atsuya Ohguro,Ryo Kamiyama,Ayato Ashina,Yuka Toshima,Yoshihiko Hirohashi,Toshihiko Torigoe,Koh-Ichi Sakata
View all publications

Abcam Product Promise

我们致力于为您的研究提供高质量的试剂,为您科研的每一步提供支持。若我们的产品未能达到预期性能,我们向您提供 Abcam Product Promise 保障。
详情请参阅我们的条款与条件。

Please note: All products are 'FOR RESEARCH USE ONLY. NOT FOR USE IN DIAGNOSTIC OR THERAPEUTIC PROCEDURES'.

For licensing inquiries, please contact partnerships@abcam.com