JavaScript is disabled in your browser. Please enable JavaScript to view this website.
AB225636

重组Anti-HLA Class 1 ABC抗体[EPR22172]

Anti-HLA Class 1 ABC antibody [EPR22172]

  • BOND RX™ Validated
  • RabMAb
  • Recombinant
  • 20ul selling size
  • 了解详情

4

(1 Review)

|

(9 Publications)

Anti-HLA Class 1 ABC antibody [EPR22172] (ab225636) is a rabbit monoclonal antibody detecting HLA Class 1 ABC in Western Blot, Flow Cytometry, IP, IHC-P, IHC-Fr, ICC/IF. Suitable for Human.

- Biophysical QC for unrivalled batch-batch consistency

查看别名

HLAB, HLA-B, Human leukocyte antigen B

12 Images
Immunohistochemistry (Frozen sections) - Anti-HLA Class 1 ABC antibody [EPR22172] (AB225636)
  • IHC-Fr

Lab

Immunohistochemistry (Frozen sections) - Anti-HLA Class 1 ABC antibody [EPR22172] (AB225636)

IHC image of HLA Class 1 ABC staining in a section of human normal frozen spleen* performed on a Leica Biosystems BOND® RX instrument using the standard protocol. The section was fixed in 10% paraformaldehyde (10 min) prior to staining. The section was incubated with ab225636, 0.05ugml, for 15 mins at room temperature and detected using an HRP conjugated compact polymer system. DAB was used as the chromogen. The section was then counterstained with haematoxylin and mounted with DPX. The inset secondary-only control image is taken from an identical assay without primary antibody. For other IHC staining systems (automated and non-automated) customers should optimize variable parameters such as antigen retrieval conditions, primary antibody concentration and antibody incubation times. *Tissue obtained from the Human Research Tissue Bank, supported by the NIHR Cambridge Biomedical Research Centre

Immunohistochemistry (Formalin/PFA-fixed paraffin-embedded sections) - Anti-HLA Class 1 ABC antibody [EPR22172] (AB225636)
  • IHC-P

Supplier Data

Immunohistochemistry (Formalin/PFA-fixed paraffin-embedded sections) - Anti-HLA Class 1 ABC antibody [EPR22172] (AB225636)

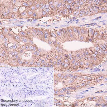
Immunohistochemical analysis of paraffin-embedded human colonic carcinoma tissue labeling HLAB with ab225636 at 1/4000 dilution, followed by a ready to use Goat Anti-Rabbit IgG H&L (HRP). Membranous and cytoplasmic staining on tumor cells of human colonic carcinoma (PMID : 26310568, PMID : 17014712) is observed. Counter stained with hematoxylin.
Secondary antibody only control : Used PBS instead of primary antibody, secondary antibody is a ready to use Goat Anti-Rabbit IgG H&L (HRP).
Perform heat mediated antigen retrieval using ab93684 (Tris/EDTA buffer, pH 9.0).

Immunohistochemistry (Formalin/PFA-fixed paraffin-embedded sections) - Anti-HLA Class 1 ABC antibody [EPR22172] (AB225636)
  • IHC-P

Supplier Data

Immunohistochemistry (Formalin/PFA-fixed paraffin-embedded sections) - Anti-HLA Class 1 ABC antibody [EPR22172] (AB225636)

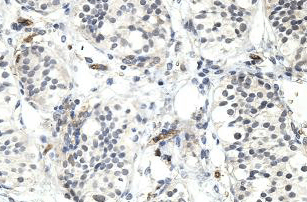
Immunohistochemical analysis of paraffin-embedded human stomach tissue labeling HLAB with ab225636 at 1/4000 dilution, followed by a ready to use Goat Anti-Rabbit IgG H&L (HRP). Membranous and cytoplasmic staining on lymph nodule of human stomach (PMID : 25294906) is observed. Counter stained with hematoxylin.
Secondary antibody only control : Used PBS instead of primary antibody, secondary antibody is a ready to use Goat Anti-Rabbit IgG H&L (HRP).
Perform heat mediated antigen retrieval using ab93684 (Tris/EDTA buffer, pH 9.0).

Immunohistochemistry (Formalin/PFA-fixed paraffin-embedded sections) - Anti-HLA Class 1 ABC antibody [EPR22172] (AB225636)
  • IHC-P

Supplier Data

Immunohistochemistry (Formalin/PFA-fixed paraffin-embedded sections) - Anti-HLA Class 1 ABC antibody [EPR22172] (AB225636)

Immunohistochemical analysis of paraffin-embedded human liver tissue labeling HLAB with ab225636 at 1/4000 dilution, followed by a ready to use Goat Anti-Rabbit IgG H&L (HRP). Positive staining on hepatic sinus endothelium of human liver (PMID : 26963506) is observed. Counter stained with hematoxylin.
Secondary antibody only control : Used PBS instead of primary antibody, secondary antibody is a ready to use Goat Anti-Rabbit IgG H&L (HRP).
Perform heat mediated antigen retrieval using ab93684 (Tris/EDTA buffer, pH 9.0).

Immunocytochemistry/ Immunofluorescence - Anti-HLA Class 1 ABC antibody [EPR22172] (AB225636)
  • ICC/IF

Supplier Data

Immunocytochemistry/ Immunofluorescence - Anti-HLA Class 1 ABC antibody [EPR22172] (AB225636)

Immunofluorescent analysis of 100% methanol-fixed THP-1 (human monocytic leukemia cell line) cells labeling HLAB with ab225636 at 1/250 dilution, followed by Goat Anti-Rabbit IgG H&L (Alexa Fluor® 488) (ab150077) secondary antibody at 1/1000 dilution (green). Confocal image showing membranous staining in THP-1 cells. The nuclear counterstain is DAPI (blue).
Tubulin is detected with ab195889 Anti-alpha Tubulin antibody [DM1A] - Microtubule Marker (Alexa Fluor® 594) at 1/200 dilution (red).
The negative control is the secondary antibody only.

Methanol is recommended for fixation as weak signal was observed using 4% PFA.

Immunohistochemistry (Frozen sections) - Anti-HLA Class 1 ABC antibody [EPR22172] (AB225636)
  • IHC-Fr

Lab

Immunohistochemistry (Frozen sections) - Anti-HLA Class 1 ABC antibody [EPR22172] (AB225636)

IHC image of HLA Class 1 ABC staining in a section of human normal frozen liver* performed on a Leica Biosystems BOND® RX instrument using the standard protocol. The section was fixed in 10% paraformaldehyde (10 min) prior to staining. The section was incubated with ab225636, 0.05ugml, for 15 mins at room temperature and detected using an HRP conjugated compact polymer system. DAB was used as the chromogen. The section was then counterstained with haematoxylin and mounted with DPX. The inset secondary-only control image is taken from an identical assay without primary antibody. For other IHC staining systems (automated and non-automated) customers should optimize variable parameters such as antigen retrieval conditions, primary antibody concentration and antibody incubation times. *Tissue obtained from the Human Research Tissue Bank, supported by the NIHR Cambridge Biomedical Research Centre

Flow Cytometry - Anti-HLA Class 1 ABC antibody [EPR22172] (AB225636)
  • Flow Cyt

Supplier Data

Flow Cytometry - Anti-HLA Class 1 ABC antibody [EPR22172] (AB225636)

Flow cytometric analysis of THP-1 (human monocytic leukemia cell line) cell line labeling HLAB with ab225636 at 1/600 (red) compared with a Rabbit monoclonal IgG (ab172730) (black) and an unlabeled control (cells without incubation with primary antibody and secondary antibody) (blue). Goat anti rabbit IgG (Alexa Fluor® 488, ab150077), at 1/2000 dilution was used as the secondary antibody.

Gated on viable cells.

Immunoprecipitation - Anti-HLA Class 1 ABC antibody [EPR22172] (AB225636)
  • IP

Supplier Data

Immunoprecipitation - Anti-HLA Class 1 ABC antibody [EPR22172] (AB225636)

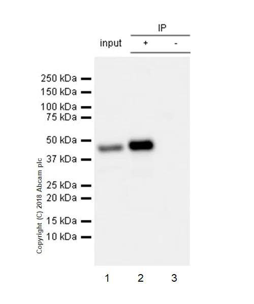
HLAB was immunoprecipitated from 0.35 mg THP-1 (human monocytic leukemia cell line) whole cell lysate with ab225636 at 1/30 dilution. Western blot was performed from the immunoprecipitate using ab225636 at 1/500 dilution. VeriBlot for IP Detection Reagent (HRP) (ab131366), was used for detection at 1/1000 dilution.
Lane 1 : THP-1 whole cell lysate 10 μg (Input).
Lane 2 : ab225636 IP in THP-1 whole cell lysate.
Lane 3 : Rabbit monoclonal IgG (ab172730) instead of ab225636 in THP-1 whole cell lysate.
Blocking/Dilution buffer : 5% NFDM/TBST.
Exposure time : 3 seconds.

All lanes:

Immunoprecipitation - Anti-HLA Class 1 ABC antibody [EPR22172] (ab225636)

Predicted band size: 44 kDa

Observed band size: 40 kDa,43 kDa

false

Western blot - Anti-HLA Class 1 ABC antibody [EPR22172] (AB225636)
  • WB

Unknown

Western blot - Anti-HLA Class 1 ABC antibody [EPR22172] (AB225636)

This antibody has cross reaction with human HLA-A and HLA-C.# Recombinant human HLA-A protein was purchased from abnova company (H00003105-P01).

Recombinant human HLA-C protein was purchased from novusbio company (NBP2-23210).

All lanes:

Western blot - Anti-HLA Class 1 ABC antibody [EPR22172] (ab225636) at 1/1000 dilution

Lane 1:

Recombinant human HLA-A protein (aa24-aa365) 10ng

Lane 3:

Recombinant human HLA-C protein (aa25-aa308) 10ng

Secondary

All lanes:

Goat Anti-Rabbit IgG, (H+L), Peroxidase conjugated (<a href='/products/secondary-antibodies/goat-rabbit-igg-h-l-hrp-ab97051'>ab97051</a>) at 1/20000 dilution

false

Western blot - Anti-HLA Class 1 ABC antibody [EPR22172] (AB225636)
  • WB

Supplier Data

Western blot - Anti-HLA Class 1 ABC antibody [EPR22172] (AB225636)

Blocking/Dilution buffer : 5% NFDM/TBST.

Weak reactive bands of undetermined proteins are observed in addition to the target band.

All lanes:

Western blot - Anti-HLA Class 1 ABC antibody [EPR22172] (ab225636) at 1/1000 dilution

Lane 1:

Raji (human Burkitt's lymphoma cell line), whole cell lysate at 20 µg

Lane 2:

THP-1 (human monocytic leukemia cell line), whole cell lysate at 20 µg

Lane 3:

HL-60 (human promyelocytic leukemia cell line), whole cell lysate at 20 µg

Lane 4:

Jurkat (human T cell leukemia cell line from peripheral blood), whole cell lysate at 20 µg

Lane 5:

HepG2 (human liver hepatocellular carcinoma cell line), whole cell lysate at 20 µg

Lane 6:

TF-1 (human bone marrow erythroleukemia cell line), whole cell lysate at 20 µg

Lane 7:

Ramos (human Burkitt's lymphoma cell line), whole cell lysate at 20 µg

Lane 8:

Human tonsil at 20 µg

Secondary

All lanes:

Western blot - Goat Anti-Rabbit IgG H&L (HRP) (<a href='/products/secondary-antibodies/goat-rabbit-igg-h-l-hrp-ab97051'>ab97051</a>) at 1/50000 dilution

Predicted band size: 40 kDa

Observed band size: 40 kDa

false

Exposure time: 26s

Immunocytochemistry/ Immunofluorescence - Anti-HLA Class 1 ABC antibody [EPR22172] (AB225636)
  • ICC/IF

Supplier Data

Immunocytochemistry/ Immunofluorescence - Anti-HLA Class 1 ABC antibody [EPR22172] (AB225636)

Immunofluorescent analysis of 100% methanol-fixed Raji (human Burkitt's lymphoma cell line) cells labeling HLAB with ab225636 at 1/250 dilution, followed by Goat Anti-Rabbit IgG H&L (Alexa Fluor® 488) (ab150077) secondary antibody at 1/1000 dilution (green). Confocal image showing membranous staining in Raji cells. The nuclear counterstain is DAPI (blue).
Tubulin is detected with ab195889 Anti-alpha Tubulin antibody [DM1A] - Microtubule Marker (Alexa Fluor® 594) at 1/200 dilution (red).
The negative control is the secondary antibody only.

Methanol is recommended for fixation as weak signal was observed using 4% PFA.

Flow Cytometry - Anti-HLA Class 1 ABC antibody [EPR22172] (AB225636)
  • Flow Cyt

Supplier Data

Flow Cytometry - Anti-HLA Class 1 ABC antibody [EPR22172] (AB225636)

Flow cytometric analysis of Raji (human Burkitt's lymphoma cell line) cells labeling HLAB with ab225636 at 1/600 (red) compared with a Rabbit monoclonal IgG (ab172730) (black) and an unlabeled control (cells without incubation with primary antibody and secondary antibody) (blue). Goat anti-rabbit IgG (Alexa Fluor® 488, ab150077), at 1/2000 dilution was used as the secondary antibody.

Gated on viable cells.

不同偶联物与剂型 (4)

  • Carrier free

    Anti-HLA Class 1 ABC antibody [EPR22172] - BSA and Azide free

  • 565 Alexa Fluor® 555

    Alexa Fluor® 555 Anti-HLA Class 1 ABC antibody [EPR22172]

  • 665 Alexa Fluor® 647

    Alexa Fluor® 647 Anti-HLA Class 1 ABC antibody [EPR22172]

  • 519 Alexa Fluor® 488

    Alexa Fluor® 488 Anti-HLA Class 1 ABC antibody [EPR22172]

关键信息

宿主种属

Rabbit

克隆

Monoclonal

克隆号

EPR22172

亚型

IgG

不含载体蛋白

No

反应种属

Human

应用

IHC-Fr, Flow Cyt, ICC/IF, IHC-P, WB, IP

applications

免疫原

The exact immunogen used to generate this antibody is proprietary information.

反应性数据

{ "title": "Reactivity Data", "filters": { "stats": ["", "Species", "Dilution Info", "Notes"], "tabs": { "all-applications": {"fullname" : "All Applications", "shortname": "All Applications"}, "IHCFr" : {"fullname" : "Immunohistochemistry (Frozen sections)", "shortname":"IHC-Fr"}, "IP" : {"fullname" : "Immunoprecipitation", "shortname":"IP"}, "FlowCyt" : {"fullname" : "Flow Cytometry", "shortname":"Flow Cyt"}, "WB" : {"fullname" : "Western blot", "shortname":"WB"}, "ICCIF" : {"fullname" : "Immunocytochemistry/ Immunofluorescence", "shortname":"ICC/IF"}, "IHCP" : {"fullname" : "Immunohistochemistry (Formalin/PFA-fixed paraffin-embedded sections)", "shortname":"IHC-P"} }, "product-promise": { "all": "all", "testedAndGuaranteed": "tested", "guaranteed": "expected", "predicted": "predicted", "notRecommended": "not-recommended" } }, "values": { "Human": { "IHCFr-species-checked": "testedAndGuaranteed", "IHCFr-species-dilution-info": "0.05 µg/mL", "IHCFr-species-notes": "<p></p>", "IP-species-checked": "testedAndGuaranteed", "IP-species-dilution-info": "1/30", "IP-species-notes": "<p></p>", "FlowCyt-species-checked": "testedAndGuaranteed", "FlowCyt-species-dilution-info": "1/600", "FlowCyt-species-notes": "<p></p>", "WB-species-checked": "testedAndGuaranteed", "WB-species-dilution-info": "1/1000", "WB-species-notes": "<p></p>", "ICCIF-species-checked": "testedAndGuaranteed", "ICCIF-species-dilution-info": "1/250", "ICCIF-species-notes": "<p></p>", "IHCP-species-checked": "testedAndGuaranteed", "IHCP-species-dilution-info": "1/4000", "IHCP-species-notes": "<p></p> Perform heat-mediated antigen retrieval with Tris/EDTA buffer pH 9.0 before commencing with IHC staining protocol." } } }

产品详情

What is this antibody validated in?
Anti-HLA Class 1 ABC antibody [EPR22172] (ab225636) is a rabbit recombinant monoclonal antibody and is validated for use in Western Blot (WB), Flow Cytometry (Flow Cyt), Immunoprecipitation (IP), Immunohistochemistry (IHC-P), Immunohistochemistry (IHC-Fr), Immunocytochemistry/immunofluorescence (ICC/IF) in Human samples.

What is the molecular weight of HLA Class 1 ABC?
Anti-HLA Class 1 ABC [EPR22172] (ab225636) specifically detects a band for HLA Class 1 ABC (UniProt: P01889) at a molecular weight of 40kDa.

Trial sizes available!
Test your antibody or perform pre-screening before committing to a larger quantity. Sold in 10µl. Discover our selection of trial-size antibodies.

Other related products
We have a range of other formats of antibody clone [EPR22172] also available for your convenience: ab225636, Carrier free - ab239788, Alexa Fluor® 555 - ab314336, Alexa Fluor® 488 - ab314926, Alexa Fluor® 647 - ab315134

Patented technology
Our RabMAb® technology is a patented hybridoma-based technology for making rabbit monoclonal antibodies. For details on our patents, please refer to RabMAb® patents.

What are the advantages of a recombinant monoclonal antibody?
This product is a recombinant monoclonal antibody, which offers several advantages including:

  • - High batch-to-batch consistency and reproducibility
  • - Improved sensitivity and specificity
  • - Long-term security of supply
  • - Animal-free batch production

For more information, read more on recombinant antibodies.

性能和储存信息

形式
Liquid
纯化工艺
Affinity purification Protein A
存储溶液
pH: 7.2 - 7.4 Preservative: 0.01% Sodium azide Constituents: PBS, 40% Glycerol (glycerin, glycerine), 0.05% BSA
运输条件
Blue Ice
推荐的短期储存时间
1-2 weeks
推荐的短期储存条件
+4°C
推荐的长期储存条件
-20°C
分装信息
Upon delivery aliquot
储存信息
Avoid freeze / thaw cycle

产品实验方案

For this product, it's our understanding that no specific protocols are required. You can visit:

靶点信息

Antigen-presenting major histocompatibility complex class I (MHCI) molecule. In complex with B2M/beta 2 microglobulin displays primarily viral and tumor-derived peptides on antigen-presenting cells for recognition by alpha-beta T cell receptor (TCR) on HLA-B-restricted CD8-positive T cells, guiding antigen-specific T cell immune response to eliminate infected or transformed cells (PubMed : 23209413, PubMed : 25808313, PubMed : 29531227, PubMed : 9620674). May also present self-peptides derived from the signal sequence of secreted or membrane proteins, although T cells specific for these peptides are usually inactivated to prevent autoreactivity (PubMed : 18991276, PubMed : 7743181). Both the peptide and the MHC molecule are recognized by TCR, the peptide is responsible for the fine specificity of antigen recognition and MHC residues account for the MHC restriction of T cells (PubMed : 24600035, PubMed : 29531227, PubMed : 9620674). Typically presents intracellular peptide antigens of 8 to 13 amino acids that arise from cytosolic proteolysis via constitutive proteasome and IFNG-induced immunoproteasome (PubMed : 23209413). Can bind different peptides containing allele-specific binding motifs, which are mainly defined by anchor residues at position 2 and 9 (PubMed : 25808313, PubMed : 29531227).. Allele B*07 : 02 : Displays peptides sharing a common signature motif, namely a Pro residue at position 2 and mainly a Leu anchor residue at the C-terminus (PubMed : 7743181). Presents a long peptide (APRGPHGGAASGL) derived from the cancer-testis antigen CTAG1A/NY-ESO-1, eliciting a polyclonal CD8-positive T cell response against tumor cells (PubMed : 29531227). Presents viral epitopes derived from HIV-1 gag-pol (TPQDLNTML) and Nef (RPQVPLRPM) (PubMed : 25808313). Presents an immunodominant epitope derived from SARS-CoV-2 N/nucleoprotein (SPRWYFYYL) (PubMed : 32887977). Displays self-peptides including a peptide derived from the signal sequence of HLA-DPB1 (APRTVALTA) (PubMed : 7743181).. Allele B*08 : 01 : Presents to CD8-positive T cells viral epitopes derived from EBV/HHV-4 EBNA3 (QAKWRLQTL), eliciting cytotoxic T cell response.. Allele B*13 : 02 : Presents multiple HIV-1 epitopes derived from gag (RQANFLGKI, GQMREPRGSDI), nef (RQDILDLWI), gag-pol (RQYDQILIE, GQGQWTYQI) and rev (LQLPPLERL), all having in common a Gln residue at position 2 and mainly hydrophobic amino acids Leu, Ile or Val at the C-terminus. Associated with succesful control of HIV-1 infection.. Allele B*18 : 01 : Preferentially presents octomeric and nonameric peptides sharing a common motif, namely a Glu at position 2 and Phe or Tyr anchor residues at the C-terminus (PubMed : 14978097, PubMed : 18991276, PubMed : 23749632). Presents an EBV/HHV-4 epitope derived from BZLF1 (SELEIKRY) (PubMed : 23749632). May present to CD8-positive T cells an antigenic peptide derived from MAGEA3 (MEVDPIGHLY), triggering an anti-tumor immune response (PubMed : 12366779). May display a broad repertoire of self-peptides with a preference for peptides derived from RNA-binding proteins (PubMed : 14978097).. Allele B*27 : 05 : Presents to CD8-positive T cells immunodominant viral epitopes derived from HCV POLG (ARMILMTHF), HIV-1 gag (KRWIILGLNK), IAV NP (SRYWAIRTR), SARS-CoV-2 N/nucleoprotein (QRNAPRITF), EBV/HHV-4 EBNA4 (HRCQAIRKK) and EBV/HHV-4 EBNA6 (RRIYDLIEL), conferring longterm protection against viral infection (PubMed : 15113903, PubMed : 18385228, PubMed : 19139562, PubMed : 32887977, PubMed : 9620674). Can present self-peptides derived from cytosolic and nuclear proteins. All peptides carry an Arg at position 2 (PubMed : 1922338). The peptide-bound form interacts with NK cell inhibitory receptor KIR3DL1 and inhibits NK cell activation in a peptide-specific way, being particularly sensitive to the nature of the amino acid side chain at position 8 of the antigenic peptide (PubMed : 15657948, PubMed : 8879234). KIR3DL1 fails to recognize HLA-B*27 : 05 in complex with B2M and EBV/HHV-4 EBNA6 (RRIYDLIEL) peptide, which can lead to increased activation of NK cells during infection (PubMed : 15657948). May present an altered repertoire of peptides in the absence of TAP1-TAP2 and TAPBPL (PubMed : 9620674).. Allele B*40 : 01 : Presents immunodominant viral epitopes derived from EBV/HHV-4 LMP2 (IEDPPFNSL) and SARS-CoV-2 N/nucleoprotein (MEVTPSGTWL), triggering memory CD8-positive T cell response (PubMed : 18991276, PubMed : 32887977). Displays self-peptides sharing a signature motif, namely a Glu at position 2 and a Leu anchor residue at the C-terminus (PubMed : 18991276).. Allele B*41 : 01 : Displays self-peptides sharing a signature motif, namely a Glu at position 2 and Ala or Pro anchor residues at the C-terminus.. Allele B*44 : 02 : Presents immunodominant viral epitopes derived from EBV/HHV-4 EBNA4 (VEITPYKPTW) and EBNA6 (AEGGVGWRHW, EENLLDFVRF), triggering memory CD8-positive T cell response (PubMed : 18991276, PubMed : 9620674). Displays self-peptides sharing a signature motif, namely a Glu at position 2 and Phe, Tyr or Trp anchor residues at the C-terminus (PubMed : 18991276).. Allele B*45 : 01 : Displays self-peptides sharing a signature motif, namely a Glu at position 2 and Ala or Pro anchor residues at the C-terminus.. Allele B*46 : 01 : Preferentially presents nonameric peptides sharing a signature motif, namely Ala and Leu at position 2 and Tyr, Phe, Leu, or Met anchor residues at the C-terminus. The peptide-bound form interacts with KIR2DL3 and inhibits NK cell cytotoxic response in a peptide-specific way.. Allele B*47 : 01 : Displays self-peptides sharing a signature motif, namely an Asp at position 2 and Leu or Met anchor residues at the C-terminus.. Allele B*49 : 01 : Displays self-peptides sharing a signature motif, namely a Glu at position 2 and Ile or Val anchor residues at the C-terminus.. Allele B*50 : 01 : Displays self-peptides sharing a signature motif, namely a Glu at position 2 and Ala or Pro anchor residues at the C-terminus.. Allele B*51 : 01 : Presents an octomeric HIV-1 epitope derived from gag-pol (TAFTIPSI) to the public TRAV17/TRBV7-3 TCR clonotype, strongly suppressing HIV-1 replication.. Allele B*54 : 01 : Displays peptides sharing a common signature motif, namely a Pro residue at position 2 and Ala anchor residue at the C-terminus.. Allele B*55 : 01 : Displays peptides sharing a common signature motif, namely a Pro residue at position 2 and Ala anchor residue at the C-terminus.. Allele B*56 : 01 : Displays peptides sharing a common signature motif, namely a Pro residue at position 2 and Ala anchor residue at the C-terminus.. Allele B*57 : 01 : The peptide-bound form recognizes KIR3DL1 and inhibits NK cell cytotoxic response. Presents HIV gag peptides (immunodominant KAFSPEVIPMF and subdominant KALGPAATL epitopes) predominantly to CD8-positive T cell clones expressing a TRAV41-containing TCR, triggering HLA-B-restricted T cell responses.. Allele B*67 : 01 : Displays peptides sharing a common signature motif, namely a Pro residue at position 2 and Leu anchor residue at the C-terminus.
See full target information HLA-B

其他靶点

HLA-A,HLA-C

文献 (9)

Recent publications for all applications. Explore the full list and refine your search

Journal of experimental & clinical cancer research : CR 44:170 PubMed40462177

2025

PSMB10 maintains the stemness of chemotherapeutic drug-resistant leukemia cells by inhibiting senescence and cytotoxic T lymphocyte-mediated killing in a ubiquitinated degradation manner.

Applications

Unspecified application

Species

Unspecified reactive species

Xiao Ma,Yingnan Li,Di Wang,Jialan Niu,Qian Li,Ying Chen,Mengyuan Wang,Jin Wen,Chenxi Liao,Nan Wang,Xiaolan Zhang,Jiwei Chang,Jiayi Yang,Lei Li,Jing Zou,Danyue Peng,Lingbo Liu

Genome medicine 17:37 PubMed40217315

2025

A single-cell atlas of Schwannoma across genetic backgrounds and anatomic locations.

Applications

Unspecified application

Species

Unspecified reactive species

L Nicolas Gonzalez Castro,Avishai Gavish,Lillian Bussema,Christopher W Mount,Cyril Neftel,Masashi Nomura,E Antonio Chiocca,Wenya Linda Bi,Omar Arnaout,Fred G Barker,Justin M Brown,Justin T Jordan,Tracy T Batchelor,Anat Stemmer-Rachamimov,Scott R Plotkin,Itay Tirosh,Mario L Suvà

Stem cell research & therapy 15:425 PubMed39538338

2024

B2M or CIITA knockdown decreased the alloimmune response of dental pulp stem cells: an in vitro study.

Applications

Unspecified application

Species

Unspecified reactive species

Mingxin Hu,Yuchen Zhang,Junqing Liu,Yihan Chen,Jun Kang,Jialin Zhong,Shulan Lin,Ye Liang,Rong Cen,Xiaofei Zhu,Chengfei Zhang

Cell reports 43:113810 PubMed38377004

2024

Proteogenomic characterization of primary colorectal cancer and metastatic progression identifies proteome-based subtypes and signatures.

Applications

Unspecified application

Species

Unspecified reactive species

Atsushi Tanaka,Makiko Ogawa,Yihua Zhou,Kei Namba,Ronald C Hendrickson,Matthew M Miele,Zhuoning Li,David S Klimstra,Patrick G Buckley,Jeffrey Gulcher,Julia Y Wang,Michael H A Roehrl

Cancer gene therapy 30:1007-1017 PubMed36973424

2023

E2F1-mediated KDM4A-AS1 up-regulation promotes EMT of hepatocellular carcinoma cells by recruiting ILF3 to stabilize AURKA mRNA.

Applications

Unspecified application

Species

Unspecified reactive species

Hao-Ming Shen,Di Zhang,Ping Xiao,Bin Qu,Yi-Fan Sun

Frontiers in endocrinology 14:1069395 PubMed37008954

2023

The immune checkpoint molecule, VTCN1/B7-H4, guides differentiation and suppresses proinflammatory responses and MHC class I expression in an embryonic stem cell-derived model of human trophoblast.

Applications

Unspecified application

Species

Unspecified reactive species

Jie Zhou,Yuchen Tian,Ying Qu,Madyson Williams,Ye Yuan,Rowan M Karvas,Megan A Sheridan,Laura C Schulz,Toshihiko Ezashi,Michael R Roberts,Danny J Schust

Cancer science 113:3698-3709 PubMed36018546

2022

Identification and validation of a poor clinical outcome subtype of primary prostate cancer with Midkine abundance.

Applications

Unspecified application

Species

Unspecified reactive species

Quan Zhou,Chen Yang,Zezhong Mou,Siqi Wu,Xiyu Dai,Xinan Chen,Yuxi Ou,Limin Zhang,Jianjun Sha,Haowen Jiang

Journal of immunology research 2022:3129765 PubMed36033394

2022

FABP6 Expression Correlates with Immune Infiltration and Immunogenicity in Colorectal Cancer Cells.

Applications

Unspecified application

Species

Unspecified reactive species

Wenping Lian,Zhongquan Wang,Yajie Ma,Yalin Tong,Xinyu Zhang,Huifang Jin,Shuai Zhao,Ruijing Yu,Shaotan Ju,Xinyun Zhang,Xiaona Guo,Tao Huang,Xianfei Ding,Mengle Peng

Clinical and translational medicine 10:e221 PubMed33252851

2020

Influence of oncogenic mutations and tumor microenvironment alterations on extranodal invasion in diffuse large B-cell lymphoma.

Applications

Unspecified application

Species

Unspecified reactive species

Rong Shen,Peng-Peng Xu,Nan Wang,Hong-Mei Yi,Lei Dong,Di Fu,Jin-Yan Huang,Heng-Ye Huang,Anne Janin,Shu Cheng,Li Wang,Wei-Li Zhao
View all publications

Abcam Product Promise

我们致力于为您的研究提供高质量的试剂,为您科研的每一步提供支持。若我们的产品未能达到预期性能,我们向您提供 Abcam Product Promise 保障。
详情请参阅我们的条款与条件。

Please note: All products are 'FOR RESEARCH USE ONLY. NOT FOR USE IN DIAGNOSTIC OR THERAPEUTIC PROCEDURES'.

For licensing inquiries, please contact partnerships@abcam.com