JavaScript is disabled in your browser. Please enable JavaScript to view this website.
AB9053

Anti-Histone H4 (tri methyl K20) 抗体 - ChIP Grade

Anti-Histone H4 (tri methyl K20) antibody - ChIP Grade

4

(19 Reviews)

|

(201 Publications)

Anti-Histone H4 (tri methyl K20) antibody - ChIP Grade (ab9053) is a rabbit polyclonal antibody detecting Histone H4 in Western Blot, IP, IHC-P, ChIP. Suitable for Cow, Human,.

- Over 200 publications
- Trusted since 2002

查看别名

H4/A, H4FA, HIST1H4A, H4C2, H4/I, H4FI, HIST1H4B, H4C3, H4/G, H4FG, HIST1H4C, H4C4, H4/B, H4FB, HIST1H4D, H4C5, H4/J, H4FJ, HIST1H4E, H4C6, H4/C, H4FC, HIST1H4F, H4C8, H4/H, H4FH, HIST1H4H, H4C9, H4/M, H4FM, HIST1H4I, H4C11, H4/E, H4FE, HIST1H4J, H4C12, H4/D, H4FD, HIST1H4K, H4C13, H4/K, H4FK, HIST1H4L, H4C14, H4/N, H4F2, H4FN, HIST2H4, HIST2H4A, H4C15, H4/O, H4FO, HIST2H4B, H4C16, H4-16, HIST4H4, H4C1, Histone H4, H4K20me3, H4K20me, H4K20

6 Images
Western blot - Anti-Histone H4 (tri methyl K20) antibody - ChIP Grade (AB9053)
  • WB

Project

Western blot - Anti-Histone H4 (tri methyl K20) antibody - ChIP Grade (AB9053)

ab9053 is specific for Histone H4 (tri-methyl K20). This is illustrated in lane 5 where the activity of ab9053 is specifically blocked by the addition of the immunizing peptide (ab17567).

All lanes:

Western blot - Anti-Histone H4 (tri methyl K20) antibody - ChIP Grade (ab9053) at 1 µg/mL

Lanes 1, 5, 6 and 7:

Calf thymus histone lysate

Lane 2:

Calf thymus histone lysate with Human Histone H4 peptide (<a href='/products/unavailable/human-histone-h4-peptide-ab2622'>ab2622</a>)

Lane 3:

Calf thymus histone lysate with Human Histone H4 (mono methyl K20) peptide (<a href='/products/unavailable/human-histone-h4-mono-methyl-k20-peptide-ab17043'>ab17043</a>)

Lane 4:

Calf thymus histone lysate with Human Histone H4 (di methyl K20) peptide (<a href='/products/unavailable/human-histone-h4-di-methyl-k20-peptide-ab14964'>ab14964</a>)

Secondary

All lanes:

Western blot - Goat Anti-Rabbit IgG H&L (HRP) (<a href='/products/secondary-antibodies/goat-rabbit-igg-h-l-hrp-ab6721'>ab6721</a>) at 1/5000 dilution

Predicted band size: 11 kDa

Observed band size: 13 kDa

false

Immunohistochemistry (Formalin/PFA-fixed paraffin-embedded sections) - Anti-Histone H4 (tri methyl K20) antibody - ChIP Grade (AB9053)
  • IHC-P

AbReview45378****

Immunohistochemistry (Formalin/PFA-fixed paraffin-embedded sections) - Anti-Histone H4 (tri methyl K20) antibody - ChIP Grade (AB9053)

Immunohistochemical staining of paraffin embedded, PFA fixed, mouse liver using ab9053 at 1/100. Heat mediated antigen retrieval was performed using sodium citrate buffer, pH 6, and the sample was permeabilized with 0.05% Triton X 100. The sample was blocked in 5% BSA for 1 hour at room temperature and was then incubated with primary antibody for 3 hours in PBS/0.05% Triton X 100 at room temperature. An Alexa Fluor® 555 donkey anyti-rabbit was used as the secondary at 1/250.

This image is courtesy of an anonymous Abreview.

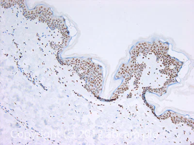
Immunohistochemistry (Formalin/PFA-fixed paraffin-embedded sections) - Anti-Histone H4 (tri methyl K20) antibody - ChIP Grade (AB9053)
  • IHC-P

Lab

Immunohistochemistry (Formalin/PFA-fixed paraffin-embedded sections) - Anti-Histone H4 (tri methyl K20) antibody - ChIP Grade (AB9053)

IHC image of Histone H4 (tri methyl K20) staining in Human normal skin formalin fixed paraffin embedded tissue section, performed on a Leica BondTM system using the standard protocol F. The section was pre-treated using heat mediated antigen retrieval with sodium citrate buffer (pH6, epitope retrieval solution 1) for 20 mins. The section was then incubated with ab9053, 0.2μg/ml, for 15 mins at room temperature and detected using an HRP conjugated compact polymer system. DAB was used as the chromogen. The section was then counterstained with haematoxylin and mounted with DPX.

For other IHC staining systems (automated and non-automated) customers should optimize variable parameters such as antigen retrieval conditions, primary antibody concentration and antibody incubation times.

ChIP - Anti-Histone H4 (tri methyl K20) antibody - ChIP Grade (AB9053)
  • ChIP

Unknown

ChIP - Anti-Histone H4 (tri methyl K20) antibody - ChIP Grade (AB9053)

Chromatin was prepared from U2OS cells according to the Abcam X-ChIP protocol. Cells were fixed with formaldehyde for 10 min. The ChIP was performed with 25 μg of chromatin, 6 μl of ab9053 (blue), and 20 μl of protein A/G sepharose beads. No antibody was added to the beads control (yellow). The immunoprecipitated DNA was quantified by real time PCR (Taqman approach). Primers and probes are located in the first kb of the transcribed region.

Western blot - Anti-Histone H4 (tri methyl K20) antibody - ChIP Grade (AB9053)
  • WB

Unknown

Western blot - Anti-Histone H4 (tri methyl K20) antibody - ChIP Grade (AB9053)

Left panel : a fission yeast whole cell extract and recombinant (r) fission yeast histone H4.

Right panel : fission yeast whole cell extracts from strains with only a single wt (h4) or mutant (h4K20R) gene were immunoblotted.

Review by Steven Sanders submitted 13 August 2004

All lanes:

Western blot - Anti-Histone H4 (tri methyl K20) antibody - ChIP Grade (ab9053)

Predicted band size: 11 kDa

false

Western blot - Anti-Histone H4 (tri methyl K20) antibody - ChIP Grade (AB9053)
  • WB

Project

Western blot - Anti-Histone H4 (tri methyl K20) antibody - ChIP Grade (AB9053)

ab9053 is specific for Histone H4 (tri-methyl K20). This is illustrated in lane 5 where the activity of ab9053 is specifically blocked by the addition of the immunizing peptide (ab17567).

All lanes:

Western blot - Anti-Histone H4 (tri methyl K20) antibody - ChIP Grade (ab9053) at 1 µg/mL

Lanes 1, 5, 6 and 7:

Calf thymus histone lysate

Lane 2:

Calf thymus histone lysate with Human Histone H4 peptide (<a href='/products/unavailable/human-histone-h4-peptide-ab2622'>ab2622</a>)

Lane 3:

Calf thymus histone lysate with Human Histone H4 (mono methyl K20) peptide (<a href='/products/unavailable/human-histone-h4-mono-methyl-k20-peptide-ab17043'>ab17043</a>)

Lane 4:

Calf thymus histone lysate with Human Histone H4 (di methyl K20) peptide (<a href='/products/unavailable/human-histone-h4-di-methyl-k20-peptide-ab14964'>ab14964</a>)

Secondary

All lanes:

Western blot - Goat Anti-Rabbit IgG H&L (HRP) (<a href='/products/secondary-antibodies/goat-rabbit-igg-h-l-hrp-ab6721'>ab6721</a>) at 1/5000 dilution

Predicted band size: 11 kDa

Observed band size: 13 kDa

false

关键信息

宿主种属

Rabbit

克隆

Polyclonal

亚型

IgG

不含载体蛋白

No

反应种属

Cow, Human

应用

WB, IHC-P, ChIP

applications

免疫原

The exact immunogen used to generate this antibody is proprietary information.

特异性

Histone H4 tri-methylated at Lys 20.

反应性数据

{ "title": "Reactivity Data", "filters": { "stats": ["", "Species", "Dilution Info", "Notes"], "tabs": { "all-applications": {"fullname" : "All Applications", "shortname": "All Applications"}, "ChIP" : {"fullname" : "ChIP", "shortname":"ChIP"}, "WB" : {"fullname" : "Western blot", "shortname":"WB"}, "IHCP" : {"fullname" : "Immunohistochemistry (Formalin/PFA-fixed paraffin-embedded sections)", "shortname":"IHC-P"} }, "product-promise": { "all": "all", "testedAndGuaranteed": "tested", "guaranteed": "expected", "predicted": "predicted", "notRecommended": "not-recommended" } }, "values": { "Human": { "ChIP-species-checked": "testedAndGuaranteed", "ChIP-species-dilution-info": "4-5 µg/cells for 6 µg/cells", "ChIP-species-notes": "<p></p>", "WB-species-checked": "guaranteed", "WB-species-dilution-info": "", "WB-species-notes": "", "IHCP-species-checked": "testedAndGuaranteed", "IHCP-species-dilution-info": "", "IHCP-species-notes": "<p></p>" }, "Mouse": { "ChIP-species-checked": "predicted", "ChIP-species-dilution-info": "", "ChIP-species-notes": "", "WB-species-checked": "predicted", "WB-species-dilution-info": "", "WB-species-notes": "", "IHCP-species-checked": "predicted", "IHCP-species-dilution-info": "", "IHCP-species-notes": "" }, "Rat": { "ChIP-species-checked": "predicted", "ChIP-species-dilution-info": "", "ChIP-species-notes": "", "WB-species-checked": "predicted", "WB-species-dilution-info": "", "WB-species-notes": "", "IHCP-species-checked": "predicted", "IHCP-species-dilution-info": "", "IHCP-species-notes": "" }, "Cow": { "ChIP-species-checked": "guaranteed", "ChIP-species-dilution-info": "", "ChIP-species-notes": "", "WB-species-checked": "testedAndGuaranteed", "WB-species-dilution-info": "1 µg/mL", "WB-species-notes": "<p></p>", "IHCP-species-checked": "guaranteed", "IHCP-species-dilution-info": "", "IHCP-species-notes": "" }, "Mammals": { "ChIP-species-checked": "predicted", "ChIP-species-dilution-info": "", "ChIP-species-notes": "", "WB-species-checked": "predicted", "WB-species-dilution-info": "", "WB-species-notes": "", "IHCP-species-checked": "predicted", "IHCP-species-dilution-info": "", "IHCP-species-notes": "" }, "Recombinant full length protein - Saccharomyces cerevisiae": { "ChIP-species-checked": "notRecommended", "ChIP-species-dilution-info": "", "ChIP-species-notes": "", "WB-species-checked": "testedAndGuaranteed", "WB-species-dilution-info": "1 µg/mL", "WB-species-notes": "<p></p>", "IHCP-species-checked": "notRecommended", "IHCP-species-dilution-info": "", "IHCP-species-notes": "" }, "Saccharomyces cerevisiae": { "ChIP-species-checked": "predicted", "ChIP-species-dilution-info": "", "ChIP-species-notes": "", "WB-species-checked": "predicted", "WB-species-dilution-info": "", "WB-species-notes": "", "IHCP-species-checked": "predicted", "IHCP-species-dilution-info": "", "IHCP-species-notes": "" }, "Schizosaccharomyces pombe": { "ChIP-species-checked": "predicted", "ChIP-species-dilution-info": "", "ChIP-species-notes": "", "WB-species-checked": "predicted", "WB-species-dilution-info": "", "WB-species-notes": "", "IHCP-species-checked": "predicted", "IHCP-species-dilution-info": "", "IHCP-species-notes": "" }, "Toxoplasma gondii": { "ChIP-species-checked": "predicted", "ChIP-species-dilution-info": "", "ChIP-species-notes": "", "WB-species-checked": "predicted", "WB-species-dilution-info": "", "WB-species-notes": "", "IHCP-species-checked": "predicted", "IHCP-species-dilution-info": "", "IHCP-species-notes": "" }, "Xenopus tropicalis": { "ChIP-species-checked": "predicted", "ChIP-species-dilution-info": "", "ChIP-species-notes": "", "WB-species-checked": "predicted", "WB-species-dilution-info": "", "WB-species-notes": "", "IHCP-species-checked": "predicted", "IHCP-species-dilution-info": "", "IHCP-species-notes": "" } } }

您是否考虑以下替代产品?

AB177190

Anti-Histone H4 (tri methyl K20) antibody [EPR17001(2)] - ChIP Grade

5
5 Reviews
查看产品
为什么推荐这个?

为向您提供最高品质的产品,我们在不断升级产品范围。我们选择了这个替代产品供您参考,因为它提供了更好的性能,更容易和更方便的使用,或交期更快。

产品详情

What is this antibody validated in?
Anti-Histone H4 (tri methyl K20) antibody - ChIP Grade (ab9053) is a rabbit polyclonal antibody and is validated for use in Western Blot (WB), Immunoprecipitation (IP), Immunohistochemistry (IHC-P), ChIP in Cow, Human, samples.

What is the molecular weight of Histone H4?
Anti-Histone H4 (tri methyl K20) - ChIP Grade (ab9053) specifically detects a band for Histone H4 (UniProt: P62805) at a molecular weight of 11kDa.

Trusted by the scientific community
Anti-Histone H4 (tri methyl K20) - ChIP Grade (ab9053) was first used in a scientific publication in 2002 and has been cited over 200 times in peer-reviewed journals.

Reviewed by scientists
Anti-Histone H4 (tri methyl K20) - ChIP Grade (ab9053) has over 15 independent reviews from customers.

性能和储存信息

形式
Liquid
纯化工艺
Affinity purification Immunogen
纯化说明
Purified using Sulpholink column with specific peptide linked via its cysteine residue
存储溶液
pH: 7.4 Preservative: 0.02% Sodium azide Constituents: 98.98% PBS, 1% BSA
运输条件
Blue Ice
推荐的短期储存时间
1-2 weeks
推荐的短期储存条件
+4°C
推荐的长期储存条件
-20°C
分装信息
Upon delivery aliquot
储存信息
Avoid freeze / thaw cycle

产品实验方案

For this product, it's our understanding that no specific protocols are required. You can visit:

靶点信息

Core component of nucleosome. Nucleosomes wrap and compact DNA into chromatin, limiting DNA accessibility to the cellular machineries which require DNA as a template. Histones thereby play a central role in transcription regulation, DNA repair, DNA replication and chromosomal stability. DNA accessibility is regulated via a complex set of post-translational modifications of histones, also called histone code, and nucleosome remodeling.
See full target information H4C1 tri methyl K20

文献 (201)

Recent publications for all applications. Explore the full list and refine your search

Cell discovery 9:120 PubMed38052811

2023

Structural basis of nucleosomal H4K20 recognition and methylation by SUV420H1 methyltransferase.

Applications

Unspecified application

Species

Unspecified reactive species

Folan Lin,Ruxin Zhang,Weihan Shao,Cong Lei,Mingxi Ma,Ying Zhang,Zengqi Wen,Wanqiu Li

Frontiers in cell and developmental biology 11:1293122 PubMed38020886

2023

A complex interplay between H2A.Z and HP1 isoforms regulates pericentric heterochromatin.

Applications

Unspecified application

Species

Unspecified reactive species

Jessica González,Laia Bosch-Presegué,Anna Marazuela-Duque,Anna Guitart-Solanes,María Espinosa-Alcantud,Agustín F Fernandez,Jeremy P Brown,Juan Ausió,Berta N Vazquez,Prim B Singh,Mario F Fraga,Alejandro Vaquero

Pharmaceutics 15: PubMed37896200

2023

Epidrugs as Promising Tools to Eliminate Artemisinin-Resistant and Quiescent Parasites.

Applications

Unspecified application

Species

Unspecified reactive species

Thibaud Reyser,Lucie Paloque,Michel Nguyen,Jean-Michel Augereau,Matthew John Fuchter,Marie Lopez,Paola B Arimondo,Storm Hassell-Hart,John Spencer,Luisa Di Stefano,Françoise Benoit-Vical

Nature 622:619-626 PubMed37758950

2023

Inhibition of fatty acid oxidation enables heart regeneration in adult mice.

Applications

Unspecified application

Species

Unspecified reactive species

Xiang Li,Fan Wu,Stefan Günther,Mario Looso,Carsten Kuenne,Ting Zhang,Marion Wiesnet,Stephan Klatt,Sven Zukunft,Ingrid Fleming,Gernot Poschet,Astrid Wietelmann,Ann Atzberger,Michael Potente,Xuejun Yuan,Thomas Braun

Nature communications 14:4081 PubMed37429872

2023

Histone H1 facilitates restoration of H3K27me3 during DNA replication by chromatin compaction.

Applications

Unspecified application

Species

Unspecified reactive species

Cuifang Liu,Juan Yu,Aoqun Song,Min Wang,Jiansen Hu,Ping Chen,Jicheng Zhao,Guohong Li

Nature communications 13:6907 PubMed36376321

2022

Replication collisions induced by de-repressed S-phase transcription are connected with malignant transformation of adult stem cells.

Applications

Unspecified application

Species

Unspecified reactive species

Ting Zhang,Carsten Künne,Dong Ding,Stefan Günther,Xinyue Guo,Yonggang Zhou,Xuejun Yuan,Thomas Braun

Nucleic acids research 50:9212-9225 PubMed36039761

2022

Lysine 27 dimethylation of Drosophila linker histone dH1 contributes to heterochromatin organization independently of H3K9 methylation.

Applications

Unspecified application

Species

Unspecified reactive species

Jordi Bernués,Andrea Izquierdo-Boulstridge,Oscar Reina,Lucía Castejón,Elena Fernández-Castañer,Núria Leal,Nancy Guerrero-Pepinosa,Carles Bonet-Costa,Olivera Vujatovic,Paula Climent-Cantó,Fernando Azorín

Toxicology in vitro : an international journal published in association with BIBRA 84:105452 PubMed35931286

2022

Characterization of primary canine Sertoli cells as a model to test male reproductive toxicant.

Applications

Unspecified application

Species

Unspecified reactive species

Zoey Hsuan Hsiao,Lu Li,Xiaozhong Yu,Lei Yin

Cells 11: PubMed35954237

2022

Endogenous Retroviral Sequences Behave as Putative Enhancers Controlling Gene Expression through HP1-Regulated Long-Range Chromatin Interactions.

Applications

Unspecified application

Species

Unspecified reactive species

Sébastien Calvet,Séphora Sallis,Nehmé Saksouk,Cosette Rebouissou,Catherine Teyssier,Annick Lesne,Florence Cammas,Thierry Forné

iScience 25:104354 PubMed35601919

2022

Nde1 is required for heterochromatin compaction and stability in neocortical neurons.

Applications

Unspecified application

Species

Unspecified reactive species

Alison A Chomiak,Yan Guo,Caroline A Kopsidas,Dennis P McDaniel,Clara C Lowe,Hongna Pan,Xiaoming Zhou,Qiong Zhou,Martin L Doughty,Yuanyi Feng
View all publications

Abcam Product Promise

我们致力于为您的研究提供高质量的试剂,为您科研的每一步提供支持。若我们的产品未能达到预期性能,我们向您提供 Abcam Product Promise 保障。
详情请参阅我们的条款与条件。

关联产品

Select an associated product type
Alternative Product
Primary Antibodies

AB177840

Anti-Histone H4 antibody [EPR16599] - ChIP Grade

primary-antibodies

histone-h4-antibody-epr16599-chip-grade-ab177840

4

(4 reviews)

Alternative Product
Primary Antibodies

AB45166

Anti-Histone H4 (acetyl K8) antibody [EP1002Y] - ChIP Grade

primary-antibodies

histone-h4-acetyl-k8-antibody-ep1002y-chip-grade-ab45166

5

(4 reviews)

Alternative Product
Primary Antibodies

AB177790

Anti-Histone H4 (acetyl K5 + K8 + K12 + K16) antibody [EPR16606]

primary-antibodies

histone-h4-acetyl-k5-k8-k12-k16-antibody-epr16606-ab177790

5

(2 reviews)

Alternative Product
Primary Antibodies

AB177793

Anti-Histone H4 (acetyl K12) antibody [EPR17906]

primary-antibodies

histone-h4-acetyl-k12-antibody-epr17906-ab177793

5

(1 reviews)

Alternative Product
Primary Antibodies

AB51997

Anti-Histone H4 (acetyl K5) antibody [EP1000Y] - ChIP Grade

primary-antibodies

histone-h4-acetyl-k5-antibody-ep1000y-chip-grade-ab51997

5

(9 reviews)

Alternative Product
Primary Antibodies

AB109463

Anti-Histone H4 (acetyl K16) antibody [EPR1004]

primary-antibodies

histone-h4-acetyl-k16-antibody-epr1004-ab109463

5

(14 reviews)

Please note: All products are 'FOR RESEARCH USE ONLY. NOT FOR USE IN DIAGNOSTIC OR THERAPEUTIC PROCEDURES'.

For licensing inquiries, please contact partnerships@abcam.com