JavaScript is disabled in your browser. Please enable JavaScript to view this website.
AB177790

Anti-Histone H4 (acetyl K5 + K8 + K12 + K16) 抗体 [EPR16606]

Anti-Histone H4 (acetyl K5 + K8 + K12 + K16) antibody [EPR16606]

5

(2 Reviews)

|

(40 Publications)

Rabbit Recombinant Monoclonal antibody. Suitable for WB, PepArr, ICC/IF, IHC-P and reacts with Mouse, Human, Rat samples. Cited in 40 publications.
7 Images
Immunohistochemistry (Formalin/PFA-fixed paraffin-embedded sections) - Anti-Histone H4 (acetyl K5 + K8 + K12 + K16) antibody [EPR16606] (AB177790)
  • IHC-P

Supplier Data

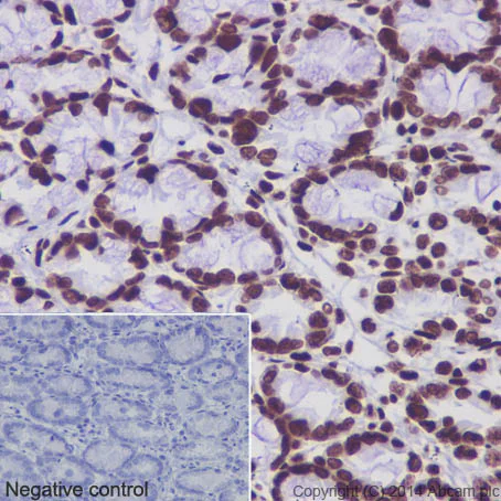
Immunohistochemistry (Formalin/PFA-fixed paraffin-embedded sections) - Anti-Histone H4 (acetyl K5 + K8 + K12 + K16) antibody [EPR16606] (AB177790)

Immunohistochemical analysis of paraffin-embedded Human colon tissue labeling Histone H4 (acetyl K5 + K8 + K12 + K16) with ab177790 at 1/1000 dilution, followed by prediluted Goat Anti-Rabbit IgG H&L (HRP). Nucleus staining on glandular epithelium of Human colon tissue is observed. Counter stained with Hematoxylin.

Negative control : Using PBS instead of primary ab, secondary ab is prediluted Goat Anti-Rabbit IgG H&L (HRP).

Perform heat mediated antigen retrieval with Tris/EDTA buffer pH 9.0 before commencing with IHC staining protocol.

Immunocytochemistry/ Immunofluorescence - Anti-Histone H4 (acetyl K5 + K8 + K12 + K16) antibody [EPR16606] (AB177790)
  • ICC/IF

Lab

Immunocytochemistry/ Immunofluorescence - Anti-Histone H4 (acetyl K5 + K8 + K12 + K16) antibody [EPR16606] (AB177790)

Immunofluorescent analysis of 4% paraformaldehyde-fixed, 0.1% Triton X-100 permeabilized HeLa cells labeling Histone H4 (acetyl K5 + K8 + K12 + K16) with ab177790 at 1/5000 dilution, followed by Goat anti-rabbit IgG (Alexa Fluor® 488) (ab150077) secondary antibody at 1/400 dilution (green). Nuclear staining on HeLa cell line is observed. The expression increased after treatment with TSA (50 μg/ml) for 4 hours. The nuclear counter stain is DAPI (blue). Tubulin is detected with ab7291 (anti-Tubulin mouse mAb) at 1/500 dilution and ab150120 (AlexaFluor®594 Goat anti-Mouse secondary) at 1/500 dilution (red).
The negative controls are as follows :
1. ab177790 at 1/15000 dilution followed by ab150120 (AlexaFluor®594 Goat anti-Mouse secondary) at 1/500 dilution.
2. ab7291 (anti-Tubulin mouse mAb) at 1/500 dilution followed by ab150077 (Alexa Fluor®488 Goat Anti-Rabbit IgG H&L) at 1/400 dilution.

Immunohistochemistry (Formalin/PFA-fixed paraffin-embedded sections) - Anti-Histone H4 (acetyl K5 + K8 + K12 + K16) antibody [EPR16606] (AB177790)
  • IHC-P

Supplier Data

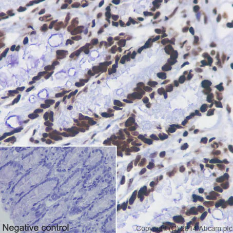
Immunohistochemistry (Formalin/PFA-fixed paraffin-embedded sections) - Anti-Histone H4 (acetyl K5 + K8 + K12 + K16) antibody [EPR16606] (AB177790)

Immunohistochemical analysis of paraffin-embedded Rat colon tissue labeling Histone H4 (acetyl K5 + K8 + K12 + K16) with ab177790 at 1/1000 dilution, followed by prediluted Goat Anti-Rabbit IgG H&L (HRP). Nucleus staining on glandular epithelium of rat colon tissue is observed. Counter stained with Hematoxylin.

Negative control : Using PBS instead of primary ab, secondary ab is prediluted Goat Anti-Rabbit IgG H&L (HRP).

Perform heat mediated antigen retrieval with Tris/EDTA buffer pH 9.0 before commencing with IHC staining protocol.

Immunohistochemistry (Formalin/PFA-fixed paraffin-embedded sections) - Anti-Histone H4 (acetyl K5 + K8 + K12 + K16) antibody [EPR16606] (AB177790)
  • IHC-P

Supplier Data

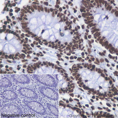
Immunohistochemistry (Formalin/PFA-fixed paraffin-embedded sections) - Anti-Histone H4 (acetyl K5 + K8 + K12 + K16) antibody [EPR16606] (AB177790)

Immunohistochemical analysis of paraffin-embedded Mouse colon tissue labeling Histone H4 (acetyl K5 + K8 + K12 + K16) with ab177790 at 1/1000 dilution, followed by prediluted Goat Anti-Rabbit IgG H&L (HRP). Nucleus staining on glandular epithelium of mouse colon tissue is observed. Counter stained with Hematoxylin.

Negative control : Using PBS instead of primary ab, secondary ab is prediluted Goat Anti-Rabbit IgG H&L (HRP).

Perform heat mediated antigen retrieval with Tris/EDTA buffer pH 9.0 before commencing with IHC staining protocol.

Western blot - Anti-Histone H4 (acetyl K5 + K8 + K12 + K16) antibody [EPR16606] (AB177790)
  • WB

Supplier Data

Western blot - Anti-Histone H4 (acetyl K5 + K8 + K12 + K16) antibody [EPR16606] (AB177790)

Blocking/Dilution buffer : 5% NFDM/TBST.

All lanes:

Western blot - Anti-Histone H4 (acetyl K5 + K8 + K12 + K16) antibody [EPR16606] (ab177790) at 1/20000 dilution

Lane 1:

HeLa treated with Sodium butyrate extract lysates at 10 µg

Lane 2:

Untreated HeLa extract lysates at 10 µg

Secondary

All lanes:

Goat Anti-Rabbit IgG, (H+L),Peroxidase conjugated at 1/1000 dilution

Predicted band size: 11 kDa

Observed band size: 11 kDa

false

Western blot - Anti-Histone H4 (acetyl K5 + K8 + K12 + K16) antibody [EPR16606] (AB177790)
  • WB

Supplier Data

Western blot - Anti-Histone H4 (acetyl K5 + K8 + K12 + K16) antibody [EPR16606] (AB177790)

Blocking/Dilution buffer : 5% NFDM/TBST.

All lanes:

Western blot - Anti-Histone H4 (acetyl K5 + K8 + K12 + K16) antibody [EPR16606] (ab177790) at 1/100000 dilution

Lane 1:

NIH/3T3 treated with Trichostatin A whole cell lysates at 10 µg

Lane 2:

Untreated NIH/3T3 whole cell lysates at 10 µg

Secondary

All lanes:

Goat Anti-Rabbit IgG, (H+L),Peroxidase conjugated at 1/1000 dilution

Predicted band size: 11 kDa

Observed band size: 11 kDa

false

Peptide Array - Anti-Histone H4 (acetyl K5 + K8 + K12 + K16) antibody [EPR16606] (AB177790)
  • PepArr

Supplier Data

Peptide Array - Anti-Histone H4 (acetyl K5 + K8 + K12 + K16) antibody [EPR16606] (AB177790)

ab177790 was tested in Peptide Array against 501 different modified and unmodified histone peptides; each peptide is printed on the array at six concentrations (each in triplicate).
Circle area represents affinity between the antibody and a peptide : all antigen-containing peptides are displayed as red circles, all other peptides as blue circles. The affinity is calculated as area under curve when antibody binding values are plotted against the corresponding peptide concentration. Each circle area is normalized to the peptide with the strongest affinity.
The complete dataset, including full list of all peptides and information on the position of each peptide in the diagram, is available under the Product Protocol section.

不同偶联物与剂型 (8)

  • Carrier free

    Anti-Histone H4 (acetyl K5 + K8 + K12 + K16) antibody [EPR16606] - BSA and Azide free

  • 519 Alexa Fluor® 488

    Alexa Fluor® 488 Anti-Histone H4 (acetyl K5 + K8 + K12 + K16) antibody [EPR16606]

  • 665 Alexa Fluor® 647

    Alexa Fluor® 647 Anti-Histone H4 (acetyl K5 + K8 + K12 + K16) antibody [EPR16606]

  • 578 PE

    PE Anti-Histone H4 (acetyl K5 + K8 + K12 + K16) antibody [EPR16606]

  • 565 Alexa Fluor® 555

    Alexa Fluor® 555 Anti-Histone H4 (acetyl K5 + K8 + K12 + K16) antibody [EPR16606]

  • 617 Alexa Fluor® 594

    Alexa Fluor® 594 Anti-Histone H4 (acetyl K5 + K8 + K12 + K16) antibody [EPR16606]

  • 660 APC

    APC Anti-Histone H4 (acetyl K5 + K8 + K12 + K16) antibody [EPR16606]

  • 775 Alexa Fluor® 750

    Alexa Fluor® 750 Anti-Histone H4 (acetyl K5 + K8 + K12 + K16) antibody [EPR16606]

关键信息

宿主种属

Rabbit

克隆

Monoclonal

克隆号

EPR16606

亚型

IgG

不含载体蛋白

No

反应种属

Mouse, Rat, Human

应用

PepArr, ICC/IF, WB, IHC-P

applications

免疫原

The exact immunogen used to generate this antibody is proprietary information.

反应性数据

{ "title": "Reactivity Data", "filters": { "stats": ["", "Species", "Dilution Info", "Notes"], "tabs": { "all-applications": {"fullname" : "All Applications", "shortname": "All Applications"}, "WB" : {"fullname" : "Western blot", "shortname":"WB"}, "PepArr" : {"fullname" : "Peptide Array", "shortname":"PepArr"}, "ICCIF" : {"fullname" : "Immunocytochemistry/ Immunofluorescence", "shortname":"ICC/IF"}, "IHCP" : {"fullname" : "Immunohistochemistry (Formalin/PFA-fixed paraffin-embedded sections)", "shortname":"IHC-P"} }, "product-promise": { "all": "all", "testedAndGuaranteed": "tested", "guaranteed": "expected", "predicted": "predicted", "notRecommended": "not-recommended" } }, "values": { "Human": { "WB-species-checked": "testedAndGuaranteed", "WB-species-dilution-info": "1/20000", "WB-species-notes": "<p></p>", "PepArr-species-checked": "testedAndGuaranteed", "PepArr-species-dilution-info": "", "PepArr-species-notes": "<p></p>", "ICCIF-species-checked": "testedAndGuaranteed", "ICCIF-species-dilution-info": "1/5000", "ICCIF-species-notes": "<p></p>", "IHCP-species-checked": "testedAndGuaranteed", "IHCP-species-dilution-info": "1/1000", "IHCP-species-notes": "<p></p> Perform heat-mediated antigen retrieval with Tris/EDTA buffer pH 9.0 before commencing with IHC staining protocol." }, "Mouse": { "WB-species-checked": "testedAndGuaranteed", "WB-species-dilution-info": "1/20000", "WB-species-notes": "<p></p>", "PepArr-species-checked": "guaranteed", "PepArr-species-dilution-info": "", "PepArr-species-notes": "", "ICCIF-species-checked": "guaranteed", "ICCIF-species-dilution-info": "", "ICCIF-species-notes": "", "IHCP-species-checked": "testedAndGuaranteed", "IHCP-species-dilution-info": "1/1000", "IHCP-species-notes": "<p></p> Perform heat-mediated antigen retrieval with Tris/EDTA buffer pH 9.0 before commencing with IHC staining protocol." }, "Rat": { "WB-species-checked": "guaranteed", "WB-species-dilution-info": "", "WB-species-notes": "", "PepArr-species-checked": "guaranteed", "PepArr-species-dilution-info": "", "PepArr-species-notes": "", "ICCIF-species-checked": "guaranteed", "ICCIF-species-dilution-info": "", "ICCIF-species-notes": "", "IHCP-species-checked": "testedAndGuaranteed", "IHCP-species-dilution-info": "1/1000", "IHCP-species-notes": "<p></p> Perform heat-mediated antigen retrieval with Tris/EDTA buffer pH 9.0 before commencing with IHC staining protocol." } } }

产品详情

Patented technology
Our RabMAb® technology is a patented hybridoma-based technology for making rabbit monoclonal antibodies. For details on our patents, please refer to RabMAb® patents.

What are the advantages of a recombinant monoclonal antibody?
This product is a recombinant monoclonal antibody, which offers several advantages including:

  • - High batch-to-batch consistency and reproducibility
  • - Improved sensitivity and specificity
  • - Long-term security of supply
  • - Animal-free batch production

For more information, read more on recombinant antibodies.

性能和储存信息

形式
Liquid
纯化工艺
Affinity purification Protein A
存储溶液
Preservative: 0.01% Sodium azide Constituents: PBS, 40% Glycerol (glycerin, glycerine), 0.05% BSA
运输条件
Blue Ice
推荐的短期储存时间
1-2 weeks
推荐的短期储存条件
+4°C
推荐的长期储存条件
-20°C
分装信息
Upon delivery aliquot
储存信息
Avoid freeze / thaw cycle

产品实验方案

For this product, it's our understanding that no specific protocols are required. You can visit:

靶点信息

文献 (40)

Recent publications for all applications. Explore the full list and refine your search

Nature communications 16:8190 PubMed40897722

2025

SOX2 drives esophageal squamous carcinoma by reprogramming lipid metabolism and histone acetylation landscape.

Applications

Unspecified application

Species

Unspecified reactive species

Zhen Wang,Ruofei Dai,Li Kang,Huan Yang,Zhaosu Chen,Jianzhong He,Lei Shu,Yiting Zhong,Yunfeng Zhang,Zhengyi Hua,Yuanyong Huang,Yuhan Jiang,Jiwen Li,Liyan Xu,Fei Lan,Shu-Hai Lin,Jiemin Wong

Virology journal 22:189 PubMed40500754

2025

Lamin A/C promotes HBV transcription by modulating histone modification associated with cccDNA minichromosome in an HBx-dependent manner.

Applications

Unspecified application

Species

Unspecified reactive species

Linshan Jiang,Lanlang Peng,Hong Chen,Fangli Liao,Liping Yang,Yuanyuan Ye,Gaoli Zhang,Hua Sun,Qin Hu,Weixian Chen

PeerJ 13:e19215 PubMed40183048

2025

Temporal and spatial distribution of histone acetylation in mouse molar development.

Applications

Unspecified application

Species

Unspecified reactive species

Wen Du,Wanyi Luo,Liwei Zheng,Xuedong Zhou,Wei Du

World journal of gastroenterology 31:103449 PubMed40124272

2025

Trichostatin A augments cell migration and epithelial-mesenchymal transition in esophageal squamous cell carcinoma through / endoplasmic reticulum-stress pathway.

Applications

Unspecified application

Species

Unspecified reactive species

Yan-Min Chen,Wen-Qian Yang,Ying-Ying Fan,Zhi Chen,Yu-Zhen Liu,Bao-Sheng Zhao

Scientific reports 15:978 PubMed39762325

2025

Trichostatin A promotes de novo shoot regeneration from Arabidopsis root explants via a cytokinin related pathway.

Applications

Unspecified application

Species

Unspecified reactive species

Su Hyun Park,Yu Jeong Jeong,Soyoung Kim,Jiyoung Lee,Cha Young Kim,Jae Cheol Jeong

Journal of medicinal chemistry 67:14016-14039 PubMed39089850

2024

Exploration of Hydrazide-Based HDAC8 PROTACs for the Treatment of Hematological Malignancies and Solid Tumors.

Applications

Unspecified application

Species

Unspecified reactive species

Chunlong Zhao,Jianqiu Zhang,Hangyu Zhou,Rita Setroikromo,Gerrit J Poelarends,Frank J Dekker

iScience 27:108689 PubMed38226157

2024

High glucose impairs cognitive function through inducing mitochondrial calcium overload in Treg cells.

Applications

Unspecified application

Species

Unspecified reactive species

Ya Hui,Liuyu Kuang,Yuanmei Zhong,Yunyun Tang,Zhiqiang Xu,Tianpeng Zheng

Science advances 9:eadj1397 PubMed38117877

2023

NET formation is a default epigenetic program controlled by PAD4 in apoptotic neutrophils.

Applications

Unspecified application

Species

Unspecified reactive species

Yanfang Peipei Zhu,Mary Speir,ZheHao Tan,Jamie Casey Lee,Cameron J Nowell,Alyce A Chen,Hajera Amatullah,Ari J Salinger,Carolyn J Huang,Gio Wu,Weiqi Peng,Kasra Askari,Eric Griffis,Majid Ghassemian,Jennifer Santini,Motti Gerlic,William B Kiosses,Sergio D Catz,Hal M Hoffman,Kimberly F Greco,Edie Weller,Paul R Thompson,Lai Ping Wong,Ruslan Sadreyev,Kate L Jeffrey,Ben A Croker

Nature cell biology 25:1821-1832 PubMed38049604

2023

Prostate lineage-specific metabolism governs luminal differentiation and response to antiandrogen treatment.

Applications

Unspecified application

Species

Unspecified reactive species

Jenna M Giafaglione,Preston D Crowell,Amelie M L Delcourt,Takao Hashimoto,Sung Min Ha,Aishwarya Atmakuri,Nicholas M Nunley,Rachel M A Dang,Mao Tian,Johnny A Diaz,Elisavet Tika,Marie C Payne,Deborah L Burkhart,Dapei Li,Nora M Navone,Eva Corey,Peter S Nelson,Neil Y C Lin,Cedric Blanpain,Leigh Ellis,Paul C Boutros,Andrew S Goldstein

ChemMedChem 19:e202300467 PubMed38031642

2023

Exploring Derivatives of Quinolizidine Alkaloid Sophoridine in the Design and Biological Mechanistic Evaluation of Histone Deacetylase Inhibitors against Triple-Negative Breast Cancer.

Applications

Unspecified application

Species

Unspecified reactive species

Linlin Dai,Cheng Tan,Hui Wang,Luyao Wang,Ting Zhang,Shuang Zhi,Zibo Yang,Xiumei Zhao,Dongdong Li
View all publications
peptideArrayWebsite
en

Abcam Product Promise

我们致力于为您的研究提供高质量的试剂,为您科研的每一步提供支持。若我们的产品未能达到预期性能,我们向您提供 Abcam Product Promise 保障。
详情请参阅我们的条款与条件。

Please note: All products are 'FOR RESEARCH USE ONLY. NOT FOR USE IN DIAGNOSTIC OR THERAPEUTIC PROCEDURES'.

For licensing inquiries, please contact partnerships@abcam.com