JavaScript is disabled in your browser. Please enable JavaScript to view this website.
AB109463

重组Anti-Histone H4 (acetyl K16)抗体[EPR1004]

Anti-Histone H4 (acetyl K16) antibody [EPR1004]

5

(14 Reviews)

|

(117 Publications)

Anti-Histone H4 (acetyl K16) antibody [EPR1004] (ab109463) is a rabbit monoclonal antibody detecting Histone H4 in Western Blot, Flow Cytometry (Intra), Flow Cytometry, IHC-P, ICC/IF. Suitable for Human, Mouse, Rat.

- Biophysical QC for unrivalled batch-batch consistency
- Over 80 publications

查看别名

H4/A, H4FA, HIST1H4A, H4C2, H4/I, H4FI, HIST1H4B, H4C3, H4/G, H4FG, HIST1H4C, H4C4, H4/B, H4FB, HIST1H4D, H4C5, H4/J, H4FJ, HIST1H4E, H4C6, H4/C, H4FC, HIST1H4F, H4C8, H4/H, H4FH, HIST1H4H, H4C9, H4/M, H4FM, HIST1H4I, H4C11, H4/E, H4FE, HIST1H4J, H4C12, H4/D, H4FD, HIST1H4K, H4C13, H4/K, H4FK, HIST1H4L, H4C14, H4/N, H4F2, H4FN, HIST2H4, HIST2H4A, H4C15, H4/O, H4FO, HIST2H4B, H4C16, H4-16, HIST4H4, H4C1, Histone H4, H4K16ac

22 Images
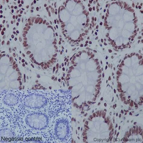
Immunohistochemistry (Formalin/PFA-fixed paraffin-embedded sections) - Anti-Histone H4 (acetyl K16) antibody [EPR1004] (AB109463)
  • IHC-P

Lab

Immunohistochemistry (Formalin/PFA-fixed paraffin-embedded sections) - Anti-Histone H4 (acetyl K16) antibody [EPR1004] (AB109463)

Immunohistochemistry (Formalin/PFA-fixed paraffin-embedded sections) analysis of human colon tissue labelling Histone H4 (acetyl K16) with purified ab109463 at 1/150. Heat mediated antigen retrieval was performed using Tris/EDTA buffer pH 9. A prediluted HRP-polymer conjugated anti-rabbit IgG was used as the secondary antibody. Negative control using PBS instead of primary antibody. Counterstained with hematoxylin.

Immunocytochemistry/ Immunofluorescence - Anti-Histone H4 (acetyl K16) antibody [EPR1004] (AB109463)
  • ICC/IF

Lab

Immunocytochemistry/ Immunofluorescence - Anti-Histone H4 (acetyl K16) antibody [EPR1004] (AB109463)

Immunocytochemistry/ Immunofluorescence analysis of untreated HeLa cells (top row) and HeLa+ TSA(500ng/ml, 4h) cells (middle row) labeling Histone H4 (acetyl K16) with ab109463 at 1/500. Goat anti rabbit IgG(Alexa Fluor® 488); ab150077 at 1/1000 dilution was used as the secondary antibody. Cells were fixed with 4% paraformaldehyde and permeabilised with 0.1% tritonX-100. DAPI (blue) was used as a nuclear counterstain.

Flow Cytometry (Intracellular) - Anti-Histone H4 (acetyl K16) antibody [EPR1004] (AB109463)
  • Flow Cyt (Intra)

Lab

Flow Cytometry (Intracellular) - Anti-Histone H4 (acetyl K16) antibody [EPR1004] (AB109463)

Intracellular Flow Cytometry analysis of HeLa cells labelling Histone H4 (acetyl K16)with unpurified ab109463 (red) at 1/130. Cells were fixed with 80% methanol. A FITC-conjugated goat anti-rabbit IgG was used as the secondary antibody (1/150). A rabbit monoclonal IgG was used as the isotype control (green).

Flow Cytometry (Intracellular) - Anti-Histone H4 (acetyl K16) antibody [EPR1004] (AB109463)
  • Flow Cyt (Intra)

Lab

Flow Cytometry (Intracellular) - Anti-Histone H4 (acetyl K16) antibody [EPR1004] (AB109463)

Intracellular Flow Cytometry analysis of HeLa cells labelling Histone H4 (acetyl K16) with purified ab109463 (red) at 1/200. Cells were fixed with 80% methanol. A FITC-conjugated goat anti-rabbit IgG was used as the secondary antibody (1/150). A rabbit monoclonal IgG was used as the isotype control (green).

Immunocytochemistry/ Immunofluorescence - Anti-Histone H4 (acetyl K16) antibody [EPR1004] (AB109463)
  • ICC/IF

Lab

Immunocytochemistry/ Immunofluorescence - Anti-Histone H4 (acetyl K16) antibody [EPR1004] (AB109463)

Immunocytochemistry/Immunofluorescence analysis of HeLa cells treated with TSA labelling Histone H4 (acetyl K16) with unpurified ab109463 (red) at 1/100. Cells were fixed with 4% paraformaldehyde. An Alexa Fluor® 555-conjugated goat anti-rabbit IgG (1/500) was used as the secondary antibody. DAPI (blue) was used as the nuclear counterstain.

Control : primary antibody (1/100) and secondary antibody ab150120, an Alexa Fluor® 594-conjugated goat anti-mouse IgG (1/500).

Immunohistochemistry (Formalin/PFA-fixed paraffin-embedded sections) - Anti-Histone H4 (acetyl K16) antibody [EPR1004] (AB109463)
  • IHC-P

Unknown

Immunohistochemistry (Formalin/PFA-fixed paraffin-embedded sections) - Anti-Histone H4 (acetyl K16) antibody [EPR1004] (AB109463)

Immunohistochemistry (Formalin/PFA-fixed paraffin-embedded sections) analysis of human testis tissue labelling Histone H4 with unpurified ab109463 at 1/100.

Perform heat mediated antigen retrieval with Tris/EDTA buffer pH 9.0 before commencing with IHC staining protocol.

Immunocytochemistry/ Immunofluorescence - Anti-Histone H4 (acetyl K16) antibody [EPR1004] (AB109463)
  • ICC/IF

Lab

Immunocytochemistry/ Immunofluorescence - Anti-Histone H4 (acetyl K16) antibody [EPR1004] (AB109463)

Immunocytochemistry/Immunofluorescence analysis of HeLa cells labelling Histone H4 (acetyl K16) with unpurified ab109463 (red) at 1/100. Cells were fixed with 4% paraformaldehyde. An Alexa Fluor® 555-conjugated goat anti-rabbit IgG (1/500) was used as the secondary antibody. DAPI (blue) was used as the nuclear counterstain.

Control : primary antibody (1/100) and secondary antibody ab150120, an Alexa Fluor® 594-conjugated goat anti-mouse IgG (1/500).

Immunohistochemistry (Formalin/PFA-fixed paraffin-embedded sections) - Anti-Histone H4 (acetyl K16) antibody [EPR1004] (AB109463)
  • IHC-P

Unknown

Immunohistochemistry (Formalin/PFA-fixed paraffin-embedded sections) - Anti-Histone H4 (acetyl K16) antibody [EPR1004] (AB109463)

Immunohistochemistry (Formalin/PFA-fixed paraffin-embedded sections) analysis of human transitional cell carcinoma labelling Histone H4 (acetly K16) with unpurified ab109463 at 1/100.

Perform heat mediated antigen retrieval with Tris/EDTA buffer pH 9.0 before commencing with IHC staining protocol.

Flow Cytometry (Intracellular) - Anti-Histone H4 (acetyl K16) antibody [EPR1004] (AB109463)
  • Flow Cyt (Intra)

Unknown

Flow Cytometry (Intracellular) - Anti-Histone H4 (acetyl K16) antibody [EPR1004] (AB109463)

Overlay histogram showing HeLa cells stained with unpurified ab109463 (red line). The cells were fixed with 80% methanol (5 min) and then permeabilized with 0.1% PBS-Tween for 20 min. The cells were then incubated in 1x PBS / 10% normal goat serum / 0.3M glycine to block non-specific protein-protein interactions followed by the antibody (ab109463, 1/1000 dilution) for 30 min at 22°C. The secondary antibody used was Alexa Fluorr® 488 goat anti-rabbit IgG (H+L) (ab150077) at 1/2000 dilution for 30 min at 22°C. Isotype control antibody (black line) was rabbit IgG (monoclonal) (0.1μg/1x106 cells) used under the same conditions. Unlabelled sample (blue line) was also used as a control. Acquisition of >5,000 events were collected using a 20mW Argon ion laser (488nm) and 525/30 bandpass filter.

Immunocytochemistry/ Immunofluorescence - Anti-Histone H4 (acetyl K16) antibody [EPR1004] (AB109463)
  • ICC/IF

Lab

Immunocytochemistry/ Immunofluorescence - Anti-Histone H4 (acetyl K16) antibody [EPR1004] (AB109463)

Immunocytochemistry/Immunofluorescence analysis of HeLa cells treated with TSA labelling Histone H4 (acetyl K16) with purified ab109463 (red) at 1/150. Cells were fixed with 4% paraformaldehyde. An Alexa Fluor® 555-conjugated goat anti-rabbit IgG (1/500) was used as the secondary antibody. DAPI (blue) was used as the nuclear counterstain.

Control : primary antibody (1/150) and secondary antibody ab150120, an Alexa Fluor® 594-conjugated goat anti-mouse IgG (1/500).

Immunocytochemistry/ Immunofluorescence - Anti-Histone H4 (acetyl K16) antibody [EPR1004] (AB109463)
  • ICC/IF

Lab

Immunocytochemistry/ Immunofluorescence - Anti-Histone H4 (acetyl K16) antibody [EPR1004] (AB109463)

Immunocytochemistry/Immunofluorescence analysis of HeLa cells labelling Histone H4 (acetyl K16) with purified ab109463 (red) at 1/150. Cells were fixed with 4% paraformaldehyde. An Alexa Fluor® 555-conjugated goat anti-rabbit IgG (1/500) was used as the secondary antibody. DAPI (blue) was used as the nuclear counterstain.

Control : primary antibody (1/150) and secondary antibody ab150120, an Alexa Fluor® 594-conjugated goat anti-mouse IgG (1/500).

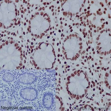
Immunohistochemistry (Formalin/PFA-fixed paraffin-embedded sections) - Anti-Histone H4 (acetyl K16) antibody [EPR1004] (AB109463)
  • IHC-P

Lab

Immunohistochemistry (Formalin/PFA-fixed paraffin-embedded sections) - Anti-Histone H4 (acetyl K16) antibody [EPR1004] (AB109463)

Immunohistochemistry (Formalin/PFA-fixed paraffin-embedded sections) analysis of human colon tissue labelling Histone H4 (acetyl K16) with unpurified ab109463 at 1/100. Heat mediated antigen retrieval was performed using Tris/EDTA buffer pH 9. A prediluted HRP-polymer conjugated anti-rabbit IgG was used as the secondary antibody. Negative control using PBS instead of primary antibody. Counterstained with hematoxylin.

Western blot - Anti-Histone H4 (acetyl K16) antibody [EPR1004] (AB109463)
  • WB

Lab

Western blot - Anti-Histone H4 (acetyl K16) antibody [EPR1004] (AB109463)

Blocking buffer and concentration : 5% NFDM/TBST.

Diluting buffer and concentration : 5% NFDM /TBST.

All lanes:

Western blot - Anti-Histone H4 (acetyl K16) antibody [EPR1004] (ab109463) at 1/1500 dilution

All lanes:

HeLa cell lysate - treated with TSA at 10 µg

Secondary

All lanes:

Peroxidase-conjugated goat anti-rabbit IgG (H+L) at 1/1000 dilution

Predicted band size: 11 kDa

Observed band size: 11 kDa

false

Western blot - Anti-Histone H4 (acetyl K16) antibody [EPR1004] (AB109463)
  • WB

Lab

Western blot - Anti-Histone H4 (acetyl K16) antibody [EPR1004] (AB109463)

Blocking buffer and concentration : 5% NFDM/TBST.

Diluting buffer and concentration : 5% NFDM /TBST.

All lanes:

Western blot - Anti-Histone H4 (acetyl K16) antibody [EPR1004] (ab109463) at 1/1000 dilution

All lanes:

HeLa cell lysate - treated with TSA at 10 µg

Secondary

All lanes:

Peroxidase-conjugated goat anti-rabbit IgG (H+L) at 1/1000 dilution

Predicted band size: 11 kDa

Observed band size: 11 kDa

false

Western blot - Anti-Histone H4 (acetyl K16) antibody [EPR1004] (AB109463)
  • WB

Unknown

Western blot - Anti-Histone H4 (acetyl K16) antibody [EPR1004] (AB109463)

All lanes:

Western blot - Anti-Histone H4 (acetyl K16) antibody [EPR1004] (ab109463) at 1/1000 dilution

Lane 1:

HeLa cell lysates, untreated at 10 µg

Lane 2:

HeLa cell lysates treated with TSA at 10 µg

Secondary

All lanes:

HRP-labelled goat anti-rabbit at 1/2000 dilution

Predicted band size: 11 kDa

Observed band size: 11 kDa

false

ChIC/CUT&RUN sequencing - Anti-Histone H4 (acetyl K16) antibody [EPR1004] (AB109463)
  • ChIC/CUT&RUN-seq

Supplier Data

ChIC/CUT&RUN sequencing - Anti-Histone H4 (acetyl K16) antibody [EPR1004] (AB109463)

ChIC/CUT&RUN was performed using a pAG-MNAse at a final concentration of 700 ng/mL, 2.5 x 10^5 HeLa (Human cervix adenocarcinoma epithelial cell line) cells and 2 µg of ab109463 [EPR1004]. The resulting DNA was sequenced on the Illumina NovaSeq 6000 to a depth of 10 million reads. The negative IgG control ab172730 is also shown. Additional screenshots of mapped reads can be found in the Protocol booklet in the Product Protocol section. The University of Geneva owns patents relevant to ChIC (Chromatin Immuno-Cleavage) methods.

ChIC/CUT&RUN sequencing - Anti-Histone H4 (acetyl K16) antibody [EPR1004] (AB109463)
  • ChIC/CUT&RUN-seq

Supplier Data

ChIC/CUT&RUN sequencing - Anti-Histone H4 (acetyl K16) antibody [EPR1004] (AB109463)

CUT&RUN was performed using the ChIC/CUT&RUN pAG-MNAse ab285373 105 HeLa cells and 2μg of ab109463 [EPR1004]. The resulting DNA was sequenced on the Illumina NovaSeq 6000 to a depth of 10 million reads. Additional screenshots of mapped reads can be downloaded here.

Western blot - Anti-Histone H4 (acetyl K16) antibody [EPR1004] (AB109463)
  • WB

Lab

Western blot - Anti-Histone H4 (acetyl K16) antibody [EPR1004] (AB109463)

Blocking buffer and concentration : 5% NFDM/TBST.

Diluting buffer and concentration : 5% NFDM /TBST.

All lanes:

Western blot - Anti-Histone H4 (acetyl K16) antibody [EPR1004] (ab109463) at 1/1000 dilution

All lanes:

Mouse spleen tissue lysate at 10 µg

Secondary

All lanes:

Peroxidase-conjugated goat anti-rabbit IgG (H+L)

Predicted band size: 11 kDa

Observed band size: 11 kDa

false

Western blot - Anti-Histone H4 (acetyl K16) antibody [EPR1004] (AB109463)
  • WB

Lab

Western blot - Anti-Histone H4 (acetyl K16) antibody [EPR1004] (AB109463)

Blocking/Diluting buffer and concentration 5% NFDM/TBST

Lanes 1 - 2:

Western blot - Anti-Histone H4 (acetyl K16) antibody [EPR1004] (ab109463) at 1/6000 dilution

Lanes 3 - 4:

Western blot - Anti-Histone H4 (acetyl K16) antibody [EPR1004] (ab109463) at 1/24000 dilution

Lanes 1 and 3:

Untreated C6 (Rat glial tumor glial cell) whole cell lysate at 20 µg

Lanes 2 and 4:

C6 (Rat glial tumor glial cell) treated with Trichostatin A (final concentration is 500ng/ml) for 4 hours whole cell lysate at 20 µg

Secondary

All lanes:

Western blot - Goat Anti-Rabbit IgG H&L (HRP) (<a href='/products/secondary-antibodies/goat-rabbit-igg-h-l-hrp-ab97051'>ab97051</a>) at 1/20000 dilution

Predicted band size: 11 kDa

false

Exposure time: 3min

Western blot - Anti-Histone H4 (acetyl K16) antibody [EPR1004] (AB109463)
  • WB

Lab

Western blot - Anti-Histone H4 (acetyl K16) antibody [EPR1004] (AB109463)

Blocking buffer and concentration : 5% NFDM/TBST.

Diluting buffer and concentration : 5% NFDM /TBST.

All lanes:

Western blot - Anti-Histone H4 (acetyl K16) antibody [EPR1004] (ab109463) at 1/1500 dilution

All lanes:

C6 cell lysate - treated with TSA at 10 µg

Secondary

All lanes:

Peroxidase-conjugated goat anti-rabbit IgG (H+L) at 1/1000 dilution

Predicted band size: 11 kDa

Observed band size: 11 kDa

false

Western blot - Anti-Histone H4 (acetyl K16) antibody [EPR1004] (AB109463)
  • WB

Lab

Western blot - Anti-Histone H4 (acetyl K16) antibody [EPR1004] (AB109463)

Blocking buffer and concentration : 5% NFDM/TBST.

Diluting buffer and concentration : 5% NFDM /TBST.

All lanes:

Western blot - Anti-Histone H4 (acetyl K16) antibody [EPR1004] (ab109463) at 1/1500 dilution

All lanes:

Mouse spleen tissue lysate at 10 µg

Secondary

All lanes:

Peroxidase-conjugated goat anti-rabbit IgG (H+L) at 1/1000 dilution

Predicted band size: 11 kDa

Observed band size: 11 kDa

false

Western blot - Anti-Histone H4 (acetyl K16) antibody [EPR1004] (AB109463)
  • WB

Lab

Western blot - Anti-Histone H4 (acetyl K16) antibody [EPR1004] (AB109463)

Blocking buffer and concentration : 5% NFDM/TBST.

Diluting buffer and concentration : 5% NFDM /TBST.

All lanes:

Western blot - Anti-Histone H4 (acetyl K16) antibody [EPR1004] (ab109463) at 1/1000 dilution

All lanes:

C6 cell lysate - treated with TSA at 10 µg

Secondary

All lanes:

Peroxidase-conjugated goat anti-rabbit IgG (H+L) at 1/1000 dilution

Predicted band size: 11 kDa

Observed band size: 11 kDa

false

不同偶联物与剂型 (4)

  • HRP

    HRP Anti-Histone H4 (acetyl K16) antibody [EPR1004]

  • 519 Alexa Fluor® 488

    Alexa Fluor® 488 Anti-Histone H4 (acetyl K16) antibody [EPR1004]

  • Carrier free

    Anti-Histone H4 (acetyl K16) antibody [EPR1004] - BSA and Azide free

  • 665 Alexa Fluor® 647

    Alexa Fluor® 647 Anti-Histone H4 (acetyl K16) antibody [EPR1004]

关键信息

宿主种属

Rabbit

克隆

Monoclonal

克隆号

EPR1004

亚型

IgG

不含载体蛋白

No

反应种属

Mouse, Rat, Human

应用

Flow Cyt (Intra), ChIC/CUT&RUN-seq, ICC/IF, WB, IHC-P

applications

免疫原

The exact immunogen used to generate this antibody is proprietary information.

特异性

This antibody only detects Histone H4 acetylated on Lysine 16.

反应性数据

{ "title": "Reactivity Data", "filters": { "stats": ["", "Species", "Dilution Info", "Notes"], "tabs": { "all-applications": {"fullname" : "All Applications", "shortname": "All Applications"}, "ChICCUTRUNseq" : {"fullname" : "ChIC/CUT&RUN sequencing", "shortname":"ChIC/CUT&RUN-seq"}, "IP" : {"fullname" : "Immunoprecipitation", "shortname":"IP"}, "WB" : {"fullname" : "Western blot", "shortname":"WB"}, "ICCIF" : {"fullname" : "Immunocytochemistry/ Immunofluorescence", "shortname":"ICC/IF"}, "FlowCytIntra" : {"fullname" : "Flow Cytometry (Intracellular)", "shortname":"Flow Cyt (Intra)"}, "IHCP" : {"fullname" : "Immunohistochemistry (Formalin/PFA-fixed paraffin-embedded sections)", "shortname":"IHC-P"} }, "product-promise": { "all": "all", "testedAndGuaranteed": "tested", "guaranteed": "expected", "predicted": "predicted", "notRecommended": "not-recommended" } }, "values": { "Human": { "ChICCUTRUNseq-species-checked": "testedAndGuaranteed", "ChICCUTRUNseq-species-dilution-info": "2 µg", "ChICCUTRUNseq-species-notes": "<p></p>", "IP-species-checked": "notRecommended", "IP-species-dilution-info": "", "IP-species-notes": "<p></p>", "WB-species-checked": "testedAndGuaranteed", "WB-species-dilution-info": "1/1000 - 1/2000", "WB-species-notes": "<p></p>", "ICCIF-species-checked": "testedAndGuaranteed", "ICCIF-species-dilution-info": "1/100 - 1/200", "ICCIF-species-notes": "<p></p>", "FlowCytIntra-species-checked": "testedAndGuaranteed", "FlowCytIntra-species-dilution-info": "1/100 - 1/200", "FlowCytIntra-species-notes": "<p><a href='/products/primary-antibodies/rabbit-igg-monoclonal-epr25a-isotype-control-ab172730'>ab172730</a> - Rabbit monoclonal IgG, is suitable for use as an isotype control with this antibody.</p>", "IHCP-species-checked": "testedAndGuaranteed", "IHCP-species-dilution-info": "1/100 - 1/200", "IHCP-species-notes": "<p></p>" }, "Mouse": { "ChICCUTRUNseq-species-checked": "guaranteed", "ChICCUTRUNseq-species-dilution-info": "", "ChICCUTRUNseq-species-notes": "", "IP-species-checked": "notRecommended", "IP-species-dilution-info": "", "IP-species-notes": "<p></p>", "WB-species-checked": "testedAndGuaranteed", "WB-species-dilution-info": "1/1000 - 1/2000", "WB-species-notes": "<p></p>", "ICCIF-species-checked": "guaranteed", "ICCIF-species-dilution-info": "", "ICCIF-species-notes": "", "FlowCytIntra-species-checked": "guaranteed", "FlowCytIntra-species-dilution-info": "", "FlowCytIntra-species-notes": "", "IHCP-species-checked": "guaranteed", "IHCP-species-dilution-info": "", "IHCP-species-notes": "" }, "Rat": { "ChICCUTRUNseq-species-checked": "guaranteed", "ChICCUTRUNseq-species-dilution-info": "", "ChICCUTRUNseq-species-notes": "", "IP-species-checked": "notRecommended", "IP-species-dilution-info": "", "IP-species-notes": "<p></p>", "WB-species-checked": "testedAndGuaranteed", "WB-species-dilution-info": "1/1000 - 1/2000", "WB-species-notes": "<p></p>", "ICCIF-species-checked": "guaranteed", "ICCIF-species-dilution-info": "", "ICCIF-species-notes": "", "FlowCytIntra-species-checked": "guaranteed", "FlowCytIntra-species-dilution-info": "", "FlowCytIntra-species-notes": "", "IHCP-species-checked": "guaranteed", "IHCP-species-dilution-info": "", "IHCP-species-notes": "" } } }

产品详情

What is this antibody validated in?
Anti-Histone H4 (acetyl K16) antibody [EPR1004] (ab109463) is a rabbit recombinant monoclonal antibody and is validated for use in Western Blot (WB), Flow Cytometry (Intra), Flow Cytometry (Flow Cyt), Immunohistochemistry (IHC-P), Immunocytochemistry/immunofluorescence (ICC/IF) in Human, Mouse, Rat samples.

What is the molecular weight of Histone H4?
Anti-Histone H4 (acetyl K16) [EPR1004] (ab109463) specifically detects a band for Histone H4 (UniProt: P62805) at a molecular weight of 11kDa.

Trusted by the scientific community
Anti-Histone H4 (acetyl K16) [EPR1004] (ab109463) was first used in a scientific publication in 2011 and has been cited over 80 times in peer-reviewed journals.

Reviewed by scientists
Anti-Histone H4 (acetyl K16) [EPR1004] (ab109463) has over 10 independent reviews from customers.

Trial sizes available!
Test your antibody or perform pre-screening before committing to a larger quantity. Sold in 10µl. Discover our selection of trial-size antibodies.

Other related products
We have a range of other formats of antibody clone [EPR1004] also available for your convenience: ab109463, Carrier free - ab194352, HRP - ab200859, Alexa Fluor® 488 - ab246771, Alexa Fluor® 647 - ab246772

Patented technology
Our RabMAb® technology is a patented hybridoma-based technology for making rabbit monoclonal antibodies. For details on our patents, please refer to RabMAb® patents.

What are the advantages of a recombinant monoclonal antibody?
This product is a recombinant monoclonal antibody, which offers several advantages including:

  • - High batch-to-batch consistency and reproducibility
  • - Improved sensitivity and specificity
  • - Long-term security of supply
  • - Animal-free batch production

For more information, read more on recombinant antibodies.

性能和储存信息

形式
Liquid
纯化工艺
Affinity purification Protein A
存储溶液
pH: 7.2 - 7.4 Preservative: 0.01% Sodium azide Constituents: PBS, 40% Glycerol (glycerin, glycerine), 0.05% BSA
运输条件
Blue Ice
推荐的短期储存时间
1-2 weeks
推荐的短期储存条件
+4°C
推荐的长期储存条件
-20°C
分装信息
Upon delivery aliquot
储存信息
Stable for 12 months at -20°C

产品实验方案

For this product, it's our understanding that no specific protocols are required. You can visit:

靶点信息

Core component of nucleosome. Nucleosomes wrap and compact DNA into chromatin, limiting DNA accessibility to the cellular machineries which require DNA as a template. Histones thereby play a central role in transcription regulation, DNA repair, DNA replication and chromosomal stability. DNA accessibility is regulated via a complex set of post-translational modifications of histones, also called histone code, and nucleosome remodeling.
See full target information H4C1 acetyl K16

文献 (117)

Recent publications for all applications. Explore the full list and refine your search

aBIOTECH 6:411-423 PubMed40994437

2025

Epigenetically poised chromatin states regulate and genes in soybean.

Applications

Unspecified application

Species

Unspecified reactive species

Linzhe Jin,Yihan Zhang,Jiayuan Guo,Xuexia Liu,Yanling Lai,Xinfang Huang,Yuhan Zou,Shichuang Yan,Xianzhe Dai,Zhenhui Zhong

Nucleic acids research 53: PubMed40985775

2025

Mammalian H4K16ac regulates the spatiotemporal order of genome replication rather than gene expression.

Applications

Unspecified application

Species

Unspecified reactive species

Marta Milan,Valeria Runfola,Manthan Patel,Lucia Falbo,Roberta Noberini,Chiara Soriani,Simona Rodighiero,Tiziana Bonaldi,Vincenzo Costanzo,Madapura M Pradeepa,Paola Scaffidi

Nature cell biology 27:1482-1495 PubMed40921734

2025

Hbo1 and Msl complexes preserve differential compaction and H3K27me3 marking of active and inactive X chromosomes during mitosis.

Applications

Unspecified application

Species

Unspecified reactive species

Dounia Djeghloul,Sherry Cheriyamkunnel,Bhavik Patel,Holger Kramer,Alex Montoya,Karen E Brown,Chad Whilding,Tatyana B Nesterova,Guifeng Wei,Neil Brockdorff,Iga Grządzielewska,Remzi Karayol,Asifa Akhtar,Matthias Merkenschlager,Amanda G Fisher

Nature genetics 57:2264-2275 PubMed40890361

2025

Chromatin dynamics of a large-sized genome provides insights into polyphenism and X0 dosage compensation of locusts.

Applications

Unspecified application

Species

Unspecified reactive species

Qing Liu,Feng Jiang,Ran Li,Shanlin Liu,Wenjing Fang,Xiao Li,Ting Hu,Lianyun Feng,Jie Zhang,Zhikang Liu,Jing He,Wei Guo,Xianhui Wang,Zongyi Sun,Jingjing Li,Yunan Gao,Jiacheng Yi,Qiye Li,Xiaoxiao Wang,Liya Wei,Le Kang

PeerJ 13:e19215 PubMed40183048

2025

Temporal and spatial distribution of histone acetylation in mouse molar development.

Applications

Unspecified application

Species

Unspecified reactive species

Wen Du,Wanyi Luo,Liwei Zheng,Xuedong Zhou,Wei Du

Nature communications 16:2379 PubMed40064919

2025

Competitive antagonism of KAT7 crotonylation against acetylation affects procentriole formation and colorectal tumorigenesis.

Applications

Unspecified application

Species

Unspecified reactive species

Meng Wang,Guanqun Mu,Bingquan Qiu,Shuo Wang,Changyu Tao,Yutong Mao,Xinhui Zhao,Jiansong Liu,Keyu Chen,Ziyu Li,Weibin Wang,Ence Yang,Yang Yang

Cellular and molecular neurobiology 45:19 PubMed39923205

2025

Organochlorine Pesticides and Epigenetic Alterations in Brain Cancer.

Applications

Unspecified application

Species

Unspecified reactive species

Fatemeh Yousefi,Gholamreza Asadikaram,Saeid Karamouzian,Moslem Abolhassani,Hossein Pourghadamyari,Vahid Moazed

Clinical epigenetics 17:20 PubMed39920865

2025

Vitrification affects the post-implantation development of mouse embryos by inducing DNA damage and epigenetic modifications.

Applications

Unspecified application

Species

Unspecified reactive species

Yurong Chen,Haibo Zhu,Fucheng Guo,Luyao Wang,Wenli Zhang,Ruizhi Liu,Xiaoling Zhang,Xiangpeng Dai

PloS one 19:e0314329 PubMed39637191

2024

LARP7 is required for sex chromosome silencing during meiosis in mice.

Applications

Unspecified application

Species

Unspecified reactive species

Yukiko Tando,Atsuto Nonomura,Yumi Ito-Matsuoka,Asuka Takehara,Daiji Okamura,Yohei Hayashi,Yasuhisa Matsui

Scientific reports 14:21598 PubMed39285243

2024

Dynamics and necessity of SIRT1 for maternal-zygotic transition.

Applications

Unspecified application

Species

Unspecified reactive species

Jan Nevoral,David Drutovic,Michaela Vaskovicova,Michal Benc,Frantisek Liska,Iveta Valentova,Sara Stachovicova,Jan Kubovciak,Jirina Havrankova,Miki Shavit,Ladan Monsef,Maria Iniesta-Cuerda,Tereza Zalmanova,Petr Hosek,Frantisek Strejcek,Milena Kralickova,Jaroslav Petr
View all publications
chicCutRunSequencingBooklet
en

Abcam Product Promise

我们致力于为您的研究提供高质量的试剂,为您科研的每一步提供支持。若我们的产品未能达到预期性能,我们向您提供 Abcam Product Promise 保障。
详情请参阅我们的条款与条件。

Please note: All products are 'FOR RESEARCH USE ONLY. NOT FOR USE IN DIAGNOSTIC OR THERAPEUTIC PROCEDURES'.

For licensing inquiries, please contact partnerships@abcam.com