JavaScript is disabled in your browser. Please enable JavaScript to view this website.
AB176916

重组Anti-Histone H3 (tri methyl K9)抗体[EPR16601] - ChIP Grade

Anti-Histone H3 (tri methyl K9) antibody [EPR16601] - ChIP Grade

4

(14 Reviews)

|

(106 Publications)

Anti-Histone H3 (tri methyl K9) antibody [EPR16601] - ChIP Grade (ab176916) is a rabbit monoclonal antibody detecting Histone H3 in Western Blot, IP, IHC-P, ICC/IF, ChIP, Dot Blot, PepArr. Suitable for Human, Mouse, Rat.

- Biophysical QC for unrivalled batch-batch consistency
- Over 50 publications

查看别名

H3FA, HIST1H3A, H3C2, H3FL, HIST1H3B, H3C3, H3FC HIST1H3C, H3C4, H3FB, HIST1H3D, H3C6, H3FD, HIST1H3E, H3C7, H3FI, HIST1H3F, H3C8, H3FH, HIST1H3G, H3C10, H3FK, HIST1H3H, H3C11, H3FF, HIST1H3I, H3C12, H3FJ, HIST1H3J, H3C1, H3FC, HIST1H3C, Histone H3.1, Histone H3/a, Histone H3/b, Histone H3/c, Histone H3/d, Histone H3/f, Histone H3/h, Histone H3/i, Histone H3/j, Histone H3/k, Histone H3/l, H3K9me3, H3K9me, H3K9

16 Images
ChIC/CUT&RUN sequencing - Anti-Histone H3 (tri methyl K9) antibody [EPR16601] - ChIP Grade (AB176916)
  • ChIC/CUT&RUN-seq

Supplier Data

ChIC/CUT&RUN sequencing - Anti-Histone H3 (tri methyl K9) antibody [EPR16601] - ChIP Grade (AB176916)

CUT&RUN was performed using the ChIC/CUT&RUN pAG-MNAse ab285373, 105 HeLa cells and 2μg of ab176916 [EPR16601]. The resulting DNA was sequenced on the NovaSeq 6000 (PE150). Additional screenshots of mapped reads can be downloaded here.

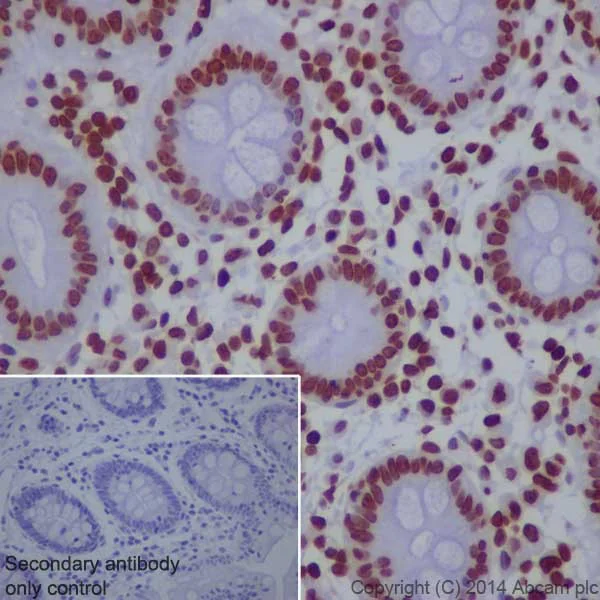
Immunohistochemistry (Formalin/PFA-fixed paraffin-embedded sections) - Anti-Histone H3 (tri methyl K9) antibody [EPR16601] - ChIP Grade (AB176916)
  • IHC-P

Supplier Data

Immunohistochemistry (Formalin/PFA-fixed paraffin-embedded sections) - Anti-Histone H3 (tri methyl K9) antibody [EPR16601] - ChIP Grade (AB176916)

Immunohistochemical analysis of paraffin-embedded human colon tissue labeling Histone H3 (tri methyl K9) with ab176916 at 1/500 dilution, followed by Goat Anti-Rabbit IgG H&L (HRP) (ab97051) at 1/500 dilution. Nuclear staining on human colon is observed. Counter stained with Hematoxylin.

Secondary antibody only control : Used PBS instead of primary antibody, secondary antibody is Goat Anti-Rabbit IgG H&L (HRP) (ab97051) at 1/500 dilution.

Perform heat mediated antigen retrieval with Tris/EDTA buffer pH 9.0 before commencing with IHC staining protocol.

Immunocytochemistry/ Immunofluorescence - Anti-Histone H3 (tri methyl K9) antibody [EPR16601] - ChIP Grade (AB176916)
  • ICC/IF

Supplier Data

Immunocytochemistry/ Immunofluorescence - Anti-Histone H3 (tri methyl K9) antibody [EPR16601] - ChIP Grade (AB176916)

Immunofluorescent analysis of 4% paraformaldehyde-fixed, 0.1% Triton X-100 permeabilized HeLa (Human epithelial cell line from cervix adenocarcinoma) cells labeling Histone H3 (tri methyl K9) with ab176916 at 1/2000 dilution, followed by Goat Anti-Rabbit IgG H&L (Alexa Fluor® 488) (ab150077) secondary antibody at 1/1000 dilution (green). Confocal image showing nuclear staining on HeLa cell line. The nuclear counter stain is DAPI (blue).

Tubulin is detected with Anti-alpha Tubulin mouse MAb (ab7291) at 1/1000 dilution, followed by Goat Anti-Mouse IgG H&L (Alexa Fluor® 594) (ab150120) secondary antibody at 1/1000 dilution (red).

The negative controls are as follows :
-ve control 1 : ab176916 at 1/2000 dilution followed by Goat Anti-Mouse IgG H&L (Alexa Fluor® 594) (ab150120) secondary antibody at 1/1000 dilution.
-ve control 2 : Anti-alpha Tubulin mouse MAb (ab7291) at 1/1000 dilution followed by Goat Anti-Rabbit IgG H&L (Alexa Fluor® 488) (ab150077) secondary antibody at 1/1000 dilution.

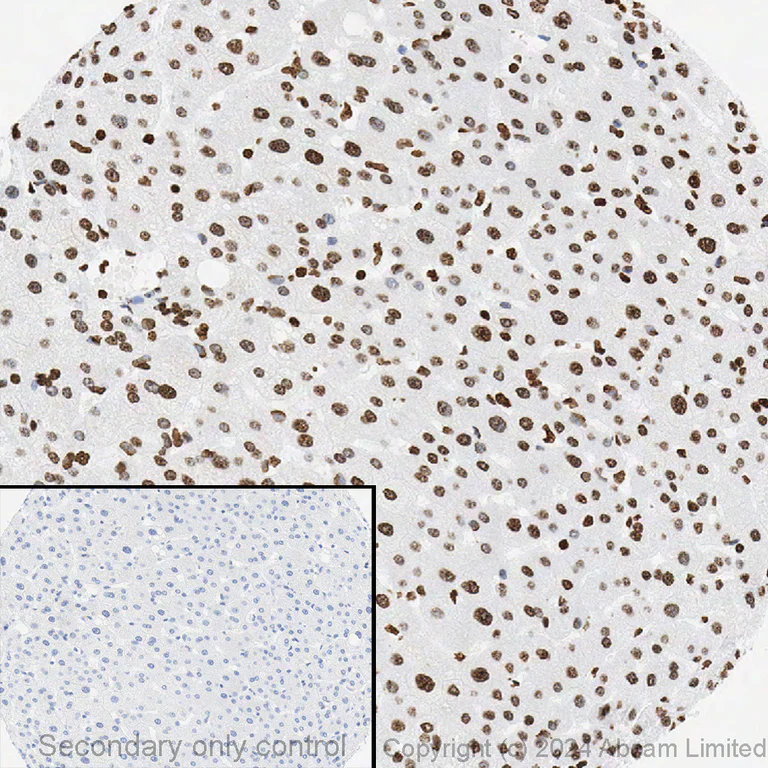
Immunohistochemistry - Anti-Histone H3 (tri methyl K9) antibody [EPR16601] - ChIP Grade (AB176916)
  • IHC

Lab

Immunohistochemistry - Anti-Histone H3 (tri methyl K9) antibody [EPR16601] - ChIP Grade (AB176916)

Immunohistochemical analysis of formalin fixed paraffin embedded human liver labelling Histone H3 (tri methyl K9) with ab176916 at a concentration of 0.07 µg/ml. The immunostaining was performed on a Ventana DISCOVERY ULTRA (Roche Tissue Diagnostics) instrument with a OptiView DAB IHC Detection Kit. Heat mediated antigen retrieval was performed with DISCOVERY cell conditioning solution (CC1) 100°C, pH8.5 for 32mins.

ab176916 Anti-Histone H3 (tri methyl K9) antibody [EPR16601] was incubated for 16mins at 37°C. Sections were counterstained with Hematoxylin II. Image inset shows absence of staining in secondary antibody only control.

Customers are encouraged to optimise antigen retrieval conditions, antibody concentration, incubation times and temperature for best results in their own IHC assay workflow (automated and manual).

ChIP - Anti-Histone H3 (tri methyl K9) antibody [EPR16601] - ChIP Grade (AB176916)
  • ChIP

Lab

ChIP - Anti-Histone H3 (tri methyl K9) antibody [EPR16601] - ChIP Grade (AB176916)

Chromatin was prepared from HeLa cells according to the Abcam X-ChIP protocol. Cells were fixed with formaldehyde for 10 minutes. The ChIP was performed with 25μg of chromatin, 2μg of ab176916 (blue), and 20μl of Protein A/G sepharose beads. No antibody was added to the beads control (yellow). The immunoprecipitated DNA was quantified by real time PCR (Taqman approach for active and inactive loci, Sybr green approach for heterochromatic loci). Primers and probes are located in the first kb of the transcribed region.

ChIP-sequencing - Anti-Histone H3 (tri methyl K9) antibody [EPR16601] - ChIP Grade (AB176916)
  • ChIP-seq

Lab

ChIP-sequencing - Anti-Histone H3 (tri methyl K9) antibody [EPR16601] - ChIP Grade (AB176916)

Chromatin was prepared from HeLa cells. Cells were fixed with 1% formaldehyde for 10 minutes. ChIP was performed with 107 HeLa cells and 4 μg of ab176916 [EPR16601]. ChIP DNA was sequenced on the Illumina NovaSeq 6000 to a depth of 30 million reads. Additional screenshots of mapped reads can be downloaded here.

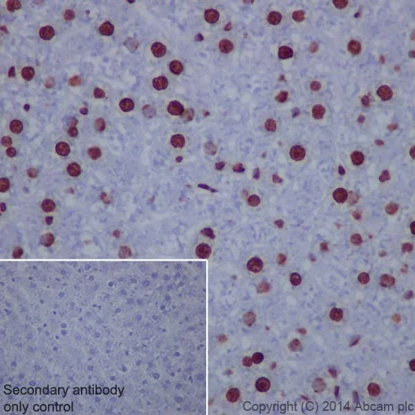
Immunohistochemistry (Formalin/PFA-fixed paraffin-embedded sections) - Anti-Histone H3 (tri methyl K9) antibody [EPR16601] - ChIP Grade (AB176916)
  • IHC-P

Supplier Data

Immunohistochemistry (Formalin/PFA-fixed paraffin-embedded sections) - Anti-Histone H3 (tri methyl K9) antibody [EPR16601] - ChIP Grade (AB176916)

Immunohistochemical analysis of paraffin-embedded mouse liver tissue labeling Histone H3 (tri methyl K9) with ab176916 at 1/500 dilution, followed by Goat Anti-Rabbit IgG H&L (HRP) (ab97051) at 1/500 dilution. Nuclear staining on mouse liver is observed. Counter stained with Hematoxylin.

Secondary antibody only control : Used PBS instead of primary antibody, secondary antibody is Goat Anti-Rabbit IgG H&L (HRP) (ab97051) at 1/500 dilution.

Perform heat mediated antigen retrieval with Tris/EDTA buffer pH 9.0 before commencing with IHC staining protocol.

Immunohistochemistry (Formalin/PFA-fixed paraffin-embedded sections) - Anti-Histone H3 (tri methyl K9) antibody [EPR16601] - ChIP Grade (AB176916)
  • IHC-P

Supplier Data

Immunohistochemistry (Formalin/PFA-fixed paraffin-embedded sections) - Anti-Histone H3 (tri methyl K9) antibody [EPR16601] - ChIP Grade (AB176916)

Immunohistochemical analysis of paraffin-embedded rat liver tissue labeling Histone H3 (tri methyl K9) with ab176916 at 1/500 dilution, followed by Goat Anti-Rabbit IgG H&L (HRP) (ab97051) at 1/500 dilution. Nuclear staining on rat liver is observed. Counter stained with Hematoxylin.

Secondary antibody only control : Used PBS instead of primary antibody, secondary antibody is Goat Anti-Rabbit IgG H&L (HRP) (ab97051) at 1/500 dilution.

Perform heat mediated antigen retrieval with Tris/EDTA buffer pH 9.0 before commencing with IHC staining protocol.

Immunocytochemistry/ Immunofluorescence - Anti-Histone H3 (tri methyl K9) antibody [EPR16601] - ChIP Grade (AB176916)
  • ICC/IF

Supplier Data

Immunocytochemistry/ Immunofluorescence - Anti-Histone H3 (tri methyl K9) antibody [EPR16601] - ChIP Grade (AB176916)

Immunofluorescent analysis of 4% paraformaldehyde-fixed, 0.1% Triton X-100 permeabilized NIH/3T3 (Mouse embryonic fibroblast cell line) cells labeling Histone H3 (tri methyl K9) with ab176916 at 1/2000 dilution, followed by Goat Anti-Rabbit IgG H&L (Alexa Fluor® 488) (ab150077) secondary antibody at 1/1000 dilution (green). Confocal image showing nuclear staining on NIH/3T3 cell line. The nuclear counter stain is DAPI (blue).

Tubulin is detected with Anti-alpha Tubulin mouse MAb (ab7291) at 1/1000 dilution, followed by Goat Anti-Mouse IgG H&L (Alexa Fluor® 594) (ab150120) secondary antibody at 1/1000 dilution (red).

The negative controls are as follows :
-ve control 1 : ab176916 at 1/2000 dilution followed by Goat Anti-Mouse IgG H&L (Alexa Fluor® 594) (ab150120) secondary antibody at 1/1000 dilution.
-ve control 2 : Anti-alpha Tubulin mouse MAb (ab7291) at 1/1000 dilution followed by Goat Anti-Rabbit IgG H&L (Alexa Fluor® 488) (ab150077) secondary antibody at 1/1000 dilution.

ChIP-sequencing - Anti-Histone H3 (tri methyl K9) antibody [EPR16601] - ChIP Grade (AB176916)
  • ChIP-seq

Supplier Data

ChIP-sequencing - Anti-Histone H3 (tri methyl K9) antibody [EPR16601] - ChIP Grade (AB176916)

Chromatin was prepared from Mouse Embryonic Fibroblasts cells. Cells were fixed with 1% formaldehyde for 10 minutes. ChIP was performed with 10^7 cells and 4 µg of Anti-Histone H3 (tri methyl K9) antibody (ab176916). ChIP DNA was sequenced on the Illumina NovaSeq 6000 to a depth of 30 million reads. The Input control is also shown. Additional screenshots of mapped reads can be found in the Protocol booklet in the Product Protocol section.

Western blot - Anti-Histone H3 (tri methyl K9) antibody [EPR16601] - ChIP Grade (AB176916)
  • WB

Supplier Data

Western blot - Anti-Histone H3 (tri methyl K9) antibody [EPR16601] - ChIP Grade (AB176916)

Blocking/Dilution buffer : 5% NFDM/TBST.

Exposure time : Lane 1 : 1 second; Lane 2 : 4 seconds.

All lanes:

Western blot - Anti-Histone H3 (tri methyl K9) antibody [EPR16601] - ChIP Grade (ab176916) at 1/1000 dilution

Lane 1:

HeLa (Human epithelial cell line from cervix adenocarcinoma) whole cell lysate at 10 µg

Lane 2:

NIH/3T3 (Mouse embryonic fibroblast cell line) whole cell lysate at 10 µg

Secondary

All lanes:

Western blot - Goat Anti-Rabbit IgG H&L (HRP) (<a href='/products/secondary-antibodies/goat-rabbit-igg-h-l-hrp-ab97051'>ab97051</a>) at 1/100000 dilution

Predicted band size: 15 kDa

Observed band size: 15 kDa

false

ChIC/CUT&RUN sequencing - Anti-Histone H3 (tri methyl K9) antibody [EPR16601] - ChIP Grade (AB176916)
  • ChIC/CUT&RUN-seq

Supplier Data

ChIC/CUT&RUN sequencing - Anti-Histone H3 (tri methyl K9) antibody [EPR16601] - ChIP Grade (AB176916)

ChIC/CUT&RUN was performed using a pAG-MNAse at a final concentration of 700 ng/mL, 2.5 x 10^5 HeLa (Human cervix adenocarcinoma epithelial cell line) cells and 2 µg of ab176916 [EPR16601]. The resulting DNA was sequenced on the Illumina NovaSeq 6000 to a depth of 10 million reads. The negative IgG control ab172730 is also shown. The ChIP data was conducted on chromatin prepared from HeLa cells. Cells were fixed with 1% formaldehyde for 10 minutes. ChIP was performed with 10^7 HeLa cells and 4 µg of ab176916. ChIP DNA was sequenced on the Illumina NovaSeq 6000 to a depth of 30 million reads. The University of Geneva owns patents relevant to ChIC (Chromatin Immuno-Cleavage) methods. Additional screenshots of mapped reads can be found in the Protocol booklet in the Product Protocol section. The University of Geneva owns patents relevant to ChIC (Chromatin Immuno-Cleavage) methods.

CUT&Tag - Anti-Histone H3 (tri methyl K9) antibody [EPR16601] - ChIP Grade (AB176916)
  • CUT&Tag

Supplier Data

CUT&Tag - Anti-Histone H3 (tri methyl K9) antibody [EPR16601] - ChIP Grade (AB176916)

CUT&Tag-seq was performed using 200,000 Oli-neu (Oligodendrocyte progenitor) cells. Cells were permeabilized with 0.05% Digitonin and 0.01% NP-40 for 3 minutes. A 1 : 100 dilution of Recombinant Anti-Histone H3 (tri methyl K9) antibody [EPR16601] - ChIP Grade (ab176916) was used, along with a Guinea pig anti-rabbit Secondary. DNA was seg using Illumina NovaSeq S Prime to a depth of 19 million reads. This image is courtesy of Dr Marek Bartosovic, Gonçalo Castelo-Branco Group, Karolinska Institutet. The University of Geneva owns patents relevant to ChIC (Chromatin Immuno-Cleavage) methods.

This experiment and image is courtesy of Dr Marek Bartosovic, Gonçalo Castelo-Branco Group, Karolinska Institutet.

Peptide Array - Anti-Histone H3 (tri methyl K9) antibody [EPR16601] - ChIP Grade (AB176916)
  • PepArr

Unknown

Peptide Array - Anti-Histone H3 (tri methyl K9) antibody [EPR16601] - ChIP Grade (AB176916)

ab176916 was tested in Peptide array against 501 different modified and unmodified histone peptides; each peptide is printed on the array at six concentrations (each in triplicate).
Circle area represents affinity between the antibody and a peptide : all antigen-containing peptides are displayed as red circles, all other peptides as blue circles. The affinity is calculated as area under curve when antibody binding values are plotted against the corresponding peptide concentration. Each circle area is normalized to the peptide with the strongest affinity.
The complete dataset, including full list of all peptides and information on the position of each peptide in the diagram, is available under the Product Protocol section.

Dot Blot - Anti-Histone H3 (tri methyl K9) antibody [EPR16601] - ChIP Grade (AB176916)
  • Dot

Supplier Data

Dot Blot - Anti-Histone H3 (tri methyl K9) antibody [EPR16601] - ChIP Grade (AB176916)

Dot blot analysis of Histone H3 (tri methyl K9) peptide (Lane 1), Histone H3K9 unmodified peptide (Lane 2), Histone H3 (crotonyl K4) peptide (Lane 3) and Histone H3K4 unmodified peptide (Lane 4) labeled using ab176916 at 1/1000 dilution, followed by Goat Anti-Rabbit IgG H&L (HRP) (ab97051) secondary antibody at 1/1000 dilution.

Blocking/Dilution buffer : 5% NFDM/TBST.

Exposure time : 3 minutes.

CUT&Tag sequencing - Anti-Histone H3 (tri methyl K9) antibody [EPR16601] - ChIP Grade (AB176916)
  • CUT&Tag-seq

Supplier Data

CUT&Tag sequencing - Anti-Histone H3 (tri methyl K9) antibody [EPR16601] - ChIP Grade (AB176916)

CUT&Tag-seq was performed using 200,000 Oli-neu (Oligodendrocyte progenitor) cells. Cells were permeabilized with 0.05% Digitonin and 0.01% NP-40 for 3 minutes. A 1 : 100 dilution of Recombinant Anti-Histone H3 (tri methyl K9) antibody [EPR16601] - ChIP Grade (ab176916) was used, along with a Guinea pig anti-rabbit Secondary. DNA was seg using Illumina NovaSeq S Prime to a depth of 19 million reads.

This image is courtesy of Dr Marek Bartosovic, Gonçalo Castelo-Branco Group, Karolinska Institutet.

This experiment and image is courtesy of Dr Marek Bartosovic, Gonçalo Castelo-Branco Group, Karolinska Institutet.

不同偶联物与剂型 (9)

  • Carrier free

    Anti-Histone H3 (tri methyl K9) antibody [EPR16601] - ChIP Grade - BSA and Azide free

  • 665 Alexa Fluor® 647

    Alexa Fluor® 647 Anti-Histone H3 (tri methyl K9) antibody [EPR16601] - ChIP Grade

  • 519 Alexa Fluor® 488

    Alexa Fluor® 488 Anti-Histone H3 (tri methyl K9) antibody [EPR16601] - ChIP Grade

  • Carrier free

    Anti-Histone H3 (tri methyl K9) antibody [EPR16601] – Mouse IgG1 (Chimeric) – BSA and Azide Free

  • 565 Alexa Fluor® 555

    Alexa Fluor® 555 Anti-Histone H3 (tri methyl K9) antibody [EPR16601] - ChIP Grade

  • 617 Alexa Fluor® 594

    Alexa Fluor® 594 Anti-Histone H3 (tri methyl K9) antibody [EPR16601] - ChIP Grade

  • 578 PE

    PE Anti-Histone H3 (tri methyl K9) antibody [EPR16601] - ChIP Grade

  • 660 APC

    APC Anti-Histone H3 (tri methyl K9) antibody [EPR16601] - ChIP Grade

  • 775 Alexa Fluor® 750

    Alexa Fluor® 750 Anti-Histone H3 (tri methyl K9) antibody [EPR16601] - ChIP Grade

关键信息

宿主种属

Rabbit

克隆

Monoclonal

克隆号

EPR16601

亚型

IgG

不含载体蛋白

No

反应种属

Mouse, Rat, Human

应用

WB, Dot, PepArr, ChIP-seq, ICC/IF, ChIP, IHC-P, ChIC/CUT&RUN-seq, CUT&Tag

applications

免疫原

The exact immunogen used to generate this antibody is proprietary information.

反应性数据

{ "title": "Reactivity Data", "filters": { "stats": ["", "Species", "Dilution Info", "Notes"], "tabs": { "all-applications": {"fullname" : "All Applications", "shortname": "All Applications"}, "CUTTag" : {"fullname" : "CUT&Tag", "shortname":"CUT&Tag"}, "ChICCUTRUNseq" : {"fullname" : "ChIC/CUT&RUN sequencing", "shortname":"ChIC/CUT&RUN-seq"}, "ChIP" : {"fullname" : "ChIP", "shortname":"ChIP"}, "Dot" : {"fullname" : "Dot Blot", "shortname":"Dot"}, "WB" : {"fullname" : "Western blot", "shortname":"WB"}, "PepArr" : {"fullname" : "Peptide Array", "shortname":"PepArr"}, "ICCIF" : {"fullname" : "Immunocytochemistry/ Immunofluorescence", "shortname":"ICC/IF"}, "ChIPseq" : {"fullname" : "ChIP-sequencing", "shortname":"ChIP-seq"}, "IHCP" : {"fullname" : "Immunohistochemistry (Formalin/PFA-fixed paraffin-embedded sections)", "shortname":"IHC-P"} }, "product-promise": { "all": "all", "testedAndGuaranteed": "tested", "guaranteed": "expected", "predicted": "predicted", "notRecommended": "not-recommended" } }, "values": { "Human": { "CUTTag-species-checked": "guaranteed", "CUTTag-species-dilution-info": "", "CUTTag-species-notes": "", "ChICCUTRUNseq-species-checked": "testedAndGuaranteed", "ChICCUTRUNseq-species-dilution-info": "2 µg", "ChICCUTRUNseq-species-notes": "<p></p>", "ChIP-species-checked": "testedAndGuaranteed", "ChIP-species-dilution-info": "2 µg for 25 µg chromatin", "ChIP-species-notes": "<p>Use SAT-alpha ChIP primer pair <a href='/products/reagents/sat-alpha-positive-control-chip-primer-pair-ab269263'>ab269263</a> as positive control.</p>", "Dot-species-checked": "guaranteed", "Dot-species-dilution-info": "", "Dot-species-notes": "", "WB-species-checked": "testedAndGuaranteed", "WB-species-dilution-info": "1/1000", "WB-species-notes": "<p></p>", "PepArr-species-checked": "guaranteed", "PepArr-species-dilution-info": "", "PepArr-species-notes": "", "ICCIF-species-checked": "testedAndGuaranteed", "ICCIF-species-dilution-info": "1/2000", "ICCIF-species-notes": "<p></p>", "ChIPseq-species-checked": "testedAndGuaranteed", "ChIPseq-species-dilution-info": "4 µg for 10^7 Cells", "ChIPseq-species-notes": "<p></p>", "IHCP-species-checked": "testedAndGuaranteed", "IHCP-species-dilution-info": "1/500", "IHCP-species-notes": "<p></p>" }, "Mouse": { "CUTTag-species-checked": "testedAndGuaranteed", "CUTTag-species-dilution-info": "1/100", "CUTTag-species-notes": "<p></p>", "ChICCUTRUNseq-species-checked": "guaranteed", "ChICCUTRUNseq-species-dilution-info": "", "ChICCUTRUNseq-species-notes": "", "ChIP-species-checked": "guaranteed", "ChIP-species-dilution-info": "", "ChIP-species-notes": "", "Dot-species-checked": "testedAndGuaranteed", "Dot-species-dilution-info": "1/1000", "Dot-species-notes": "<p></p>", "WB-species-checked": "testedAndGuaranteed", "WB-species-dilution-info": "1/1000", "WB-species-notes": "<p></p>", "PepArr-species-checked": "guaranteed", "PepArr-species-dilution-info": "", "PepArr-species-notes": "", "ICCIF-species-checked": "testedAndGuaranteed", "ICCIF-species-dilution-info": "1/2000", "ICCIF-species-notes": "<p></p>", "ChIPseq-species-checked": "testedAndGuaranteed", "ChIPseq-species-dilution-info": "4 µg for 10^7 Cells", "ChIPseq-species-notes": "<p></p>", "IHCP-species-checked": "testedAndGuaranteed", "IHCP-species-dilution-info": "1/500", "IHCP-species-notes": "<p></p>" }, "Rat": { "CUTTag-species-checked": "predicted", "CUTTag-species-dilution-info": "", "CUTTag-species-notes": "", "ChICCUTRUNseq-species-checked": "predicted", "ChICCUTRUNseq-species-dilution-info": "", "ChICCUTRUNseq-species-notes": "", "ChIP-species-checked": "predicted", "ChIP-species-dilution-info": "", "ChIP-species-notes": "", "Dot-species-checked": "predicted", "Dot-species-dilution-info": "", "Dot-species-notes": "", "WB-species-checked": "predicted", "WB-species-dilution-info": "", "WB-species-notes": "", "PepArr-species-checked": "predicted", "PepArr-species-dilution-info": "", "PepArr-species-notes": "", "ICCIF-species-checked": "predicted", "ICCIF-species-dilution-info": "", "ICCIF-species-notes": "", "ChIPseq-species-checked": "predicted", "ChIPseq-species-dilution-info": "", "ChIPseq-species-notes": "", "IHCP-species-checked": "predicted", "IHCP-species-dilution-info": "", "IHCP-species-notes": "" }, "Synthetic peptide": { "CUTTag-species-checked": "notRecommended", "CUTTag-species-dilution-info": "", "CUTTag-species-notes": "", "ChICCUTRUNseq-species-checked": "notRecommended", "ChICCUTRUNseq-species-dilution-info": "", "ChICCUTRUNseq-species-notes": "", "ChIP-species-checked": "notRecommended", "ChIP-species-dilution-info": "", "ChIP-species-notes": "", "Dot-species-checked": "notRecommended", "Dot-species-dilution-info": "", "Dot-species-notes": "", "WB-species-checked": "notRecommended", "WB-species-dilution-info": "", "WB-species-notes": "", "PepArr-species-checked": "testedAndGuaranteed", "PepArr-species-dilution-info": "", "PepArr-species-notes": "<p></p>", "ICCIF-species-checked": "notRecommended", "ICCIF-species-dilution-info": "", "ICCIF-species-notes": "", "ChIPseq-species-checked": "notRecommended", "ChIPseq-species-dilution-info": "", "ChIPseq-species-notes": "", "IHCP-species-checked": "notRecommended", "IHCP-species-dilution-info": "", "IHCP-species-notes": "" } } }

产品详情

Anti-Histone H3 (tri methyl K9) antibody [EPR16601] - ChIP Grade (ab176916) was developed by Abcam using patented rabbit monoclonal antibody technology and is validated for use in CUT&Tag, ChIC/CUT&RUN-seq, ChIP, ChIP-seq, Dot, ICC/IF, IHC-P, PepArr, WB in human, mouse, rat samples.

Anti-Histone H3 (tri methyl K9) antibody [EPR16601] - ChIP Grade (ab176916) has been cited over 54 times in peer reviewed journals and is trusted by the scientific community.

Abcams high quality manufacturing and validation processes ensure Anti-Histone H3 (tri methyl K9) antibody [EPR16601] - ChIP Grade (ab176916) has high sensitivity and specificity alongside high lot-to-lot consistency and reproducibility.

Anti-Histone H3 (tri methyl K9) antibody [EPR16601] - ChIP Grade (ab176916) has 9 independent reviews from customers.

Anti-Histone H3 (tri methyl K9) antibody [EPR16601] - ChIP Grade (ab176916) specifically detects Histone H3 Tri Methyl-K9 (UniProt ID: P68431; Molecular weight: 15kDa) and is sold in 100 uL and 1 mL selling sizes.

Conjugation-ready, carrier free format available for antibody clone EPR16601 - ab232324.

Antibody clone EPR16601 is also available pre-conjugated to a variety of labels for your convenience - Alexa Fluor® 488, Alexa Fluor® 647, Alexa Fluor® 555, Alexa Fluor® 594, PE, APC, Alexa Fluor® 75 (ab284635, ab288339, ab32226, ab32227, ab32228, ab32229, ab32119).

Histone H3 (tri methyl K9), also known as H3K9me3, is an important epigenetic modification associated with heterochromatin formation and gene silencing. This antibody is crucial in cancer research, particularly in understanding H3K9me3's role in gene silencing and heterochromatin formation, and is widely used in studies of transcriptional repression and histone modifications involving histone methyltransferases. Key histone marker that has been implicated in both transcriptional activation and silencing. The tri methyl K9 antibody is essential for studying this modification's role in transcription regulation, DNA repair, and chromosomal stability. Abnormal H3K9me3 levels are linked to various diseases, including cancer and neurological disorders. Monitoring H3K9me3 can provide valuable insights into disease mechanisms and potential therapeutic targets. Validated for CUT&Tag, CUT&RUN and ChIP-seq, which are key applications to map protein-DNA interactions on a genome-wide scale using NGS.

Patented technology
Our RabMAb® technology is a patented hybridoma-based technology for making rabbit monoclonal antibodies. For details on our patents, please refer to RabMAb® patents.

What are the advantages of a recombinant monoclonal antibody?
This product is a recombinant monoclonal antibody, which offers several advantages including:

  • - High batch-to-batch consistency and reproducibility
  • - Improved sensitivity and specificity
  • - Long-term security of supply
  • - Animal-free batch production

For more information, read more on recombinant antibodies.

性能和储存信息

形式
Liquid
纯化工艺
Affinity purification Protein A
存储溶液
Preservative: 0.01% Sodium azide Constituents: PBS, 40% Glycerol (glycerin, glycerine), 0.05% BSA
运输条件
Blue Ice
推荐的短期储存时间
1-2 weeks
推荐的短期储存条件
+4°C
推荐的长期储存条件
-20°C
分装信息
Upon delivery aliquot
储存信息
Avoid freeze / thaw cycle

产品实验方案

For this product, it's our understanding that no specific protocols are required. You can visit:

靶点信息

The protein expressed by gene H3C1 is a core component of the nucleosome, which is essential for wrapping and compacting DNA into chromatin. This process restricts DNA accessibility to cellular machineries that use DNA as a template. Consequently, histones are central to transcription regulation, DNA repair, DNA replication, and chromosomal stability. DNA accessibility is regulated through a complex set of post-translational modifications of histones, known as the histone code, and through nucleosome remodeling. This supplementary information is collated from multiple sources and compiled automatically.
See full target information H3C1 tri methyl K9

文献 (106)

Recent publications for all applications. Explore the full list and refine your search

Nature communications 16:8898 PubMed41057304

2025

Fate mapping of peripherally-derived macrophages after traumatic brain injury in mice reveals a long-lasting population with a distinct transcriptomic signature.

Applications

Unspecified application

Species

Unspecified reactive species

Maria Serena Paladini,Benjamin A Yang,Kristof A Torkenczy,Elma S Frias,Xi Feng,Karen Krukowski,Rene Sit,Maurizio Morri,Wendy Lam,Valentina Pedoia,Stefka Tyanova,Marco Colonna,Amber L Nolan,Susanna Rosi

Nucleic acids research 53: PubMed40985775

2025

Mammalian H4K16ac regulates the spatiotemporal order of genome replication rather than gene expression.

Applications

Unspecified application

Species

Unspecified reactive species

Marta Milan,Valeria Runfola,Manthan Patel,Lucia Falbo,Roberta Noberini,Chiara Soriani,Simona Rodighiero,Tiziana Bonaldi,Vincenzo Costanzo,Madapura M Pradeepa,Paola Scaffidi

Nature genetics 57:2509-2521 PubMed40908343

2025

DNA methylation influences human centromere positioning and function.

Applications

Unspecified application

Species

Unspecified reactive species

Catalina Salinas-Luypaert,Danilo Dubocanin,Rosa Jooyoung Lee,Lorena Andrade Ruiz,Riccardo Gamba,Marine Grison,Leonid Velikovsky,Annapaola Angrisani,Andrea Scelfo,Yuan Xu,Marie Dumont,Viviana Barra,Therese Wilhelm,Guillaume Velasco,Marialucrezia Losito,René Wardenaar,Claire Francastel,Floris Foijer,Geert J P L Kops,Karen H Miga,Nicolas Altemose,Daniele Fachinetti

Nucleus (Austin, Tex.) 16:2534242 PubMed40745906

2025

Oncogenic lncRNA transgene transcription modulates epigenetic memory at a naïve chromosomal locus.

Applications

Unspecified application

Species

Unspecified reactive species

Sweta Sikder,Songjoon Baek,Yamini Dalal,Ganesan Arunkumar

Bioactive materials 53:58-71 PubMed40688017

2025

Delivering LINE1 antisense oligonucleotides via endothelial targeting extracellular vesicles to ameliorate myocardial infarction-induced cardiac senescence.

Applications

Unspecified application

Species

Unspecified reactive species

Enze Fu,Kai Pan,Benjamin Hinnant,Shang Chen,Zhibo Han,Zhikun Guo,Zhong-Chao Han,Qiong Li,Zongjin Li

MedComm 6:e70205 PubMed40636284

2025

Depletion of Fat Mass and Obesity-Associated Protein (FTO) Drives Heterochromatin Loss via Lysine Acetyltransferase 8 (KAT8)-Mediated Remodeling and Spacing Factor 1 (RSF1) Acetylation in Skin Aging.

Applications

Unspecified application

Species

Unspecified reactive species

Fan Wang,Lei Zhou,Yun Zhong,Yisheng Cai,Xin Meng,Mengting Chen,Rui Mao,Xin Xiao,Caitan Yi,Yi Guo,Hongfu Xie,Yiya Zhang,Ji Li

Nature genetics 57:1754-1765 PubMed40588507

2025

Disruption of TAD hierarchy promotes LTR co-option in cancer.

Applications

Unspecified application

Species

Unspecified reactive species

Elissa W P Wong,Merve Sahin,Rui Yang,UkJin Lee,Dan Li,Yingqian A Zhan,Rohan Misra,Fanny Tomas,Nawaf Alomran,Alexander Polyzos,Cindy J Lee,Tuan Trieu,Alexander Martinez-Fundichely,Thomas Wiesner,Andrew Rosowicz,Shuyuan Cheng,Christina Liu,Morgan Lallo,Alexander N Shoushtari,Taha Merghoub,Pierre-Jacques Hamard,Richard Koche,Ekta Khurana,Effie Apostolou,Deyou Zheng,Yu Chen,Christina S Leslie,Ping Chi

Communications biology 8:951 PubMed40550933

2025

Super-enhancers orchestrate transcriptional dysregulation and metabolic reprogramming in uveal melanoma.

Applications

Unspecified application

Species

Unspecified reactive species

Hui Pan,Weihuan Shao,Huixue Wang,Shengfang Ge,Lingyu Zhang,Xiaofang Xu,Yefei Wang,Ai Zhuang

Virology journal 22:189 PubMed40500754

2025

Lamin A/C promotes HBV transcription by modulating histone modification associated with cccDNA minichromosome in an HBx-dependent manner.

Applications

Unspecified application

Species

Unspecified reactive species

Linshan Jiang,Lanlang Peng,Hong Chen,Fangli Liao,Liping Yang,Yuanyuan Ye,Gaoli Zhang,Hua Sun,Qin Hu,Weixian Chen

Journal of nanobiotechnology 23:422 PubMed40481499

2025

Remote ischemia precondition protects against renal IRI through apoptosis associated vesicles carrying MIF protein via modulating DUSP6/JNK signaling axis.

Applications

Unspecified application

Species

Unspecified reactive species

Nieke Zhang,Zhicong Huang,Yi Xia,Shuchun Tao,Tiange Wu,Si Sun,Yongkun Zhu,Guiya Jiang,Xun Lu,Yue Gao,Fangfang Guo,Rui Cao,Shuqiu Chen,Lei Zhang,Xiangyu Zou,Ming Chen,Guangyuan Zhang
View all publications
chicCutRunSequencingBooklet
en
chipSequencingBooklet
en
peptideArrayWebsite
en

Abcam Product Promise

我们致力于为您的研究提供高质量的试剂,为您科研的每一步提供支持。若我们的产品未能达到预期性能,我们向您提供 Abcam Product Promise 保障。
详情请参阅我们的条款与条件。

Please note: All products are 'FOR RESEARCH USE ONLY. NOT FOR USE IN DIAGNOSTIC OR THERAPEUTIC PROCEDURES'.

For licensing inquiries, please contact partnerships@abcam.com