JavaScript is disabled in your browser. Please enable JavaScript to view this website.
AB272162

Anti-Histone H3 (tri methyl K56)抗体

Anti-Histone H3 (tri methyl K56) antibody

Be the first to review this product! Submit a review

|

(0 Publication)

Rabbit Polyclonal H3 tri methyl K56 antibody. Suitable for Dot, WB, IF and reacts with Synthetic peptide - Human, Caenorhabditis elegans, Human samples. Immunogen corresponding to Synthetic Peptide within Human H3C1 tri methyl K56.

查看别名

H3FA, HIST1H3A, H3C2, H3FL, HIST1H3B, H3C3, H3FC HIST1H3C, H3C4, H3FB, HIST1H3D, H3C6, H3FD, HIST1H3E, H3C7, H3FI, HIST1H3F, H3C8, H3FH, HIST1H3G, H3C10, H3FK, HIST1H3H, H3C11, H3FF, HIST1H3I, H3C12, H3FJ, HIST1H3J, H3C1, HIST1H3C, H3FC, Histone H3.1, Histone H3/a, Histone H3/b, Histone H3/c, Histone H3/d, Histone H3/f, Histone H3/h, Histone H3/i, Histone H3/j, Histone H3/k, Histone H3/l, H3K56me3, H3K56me, H3K56

4 Images
Immunofluorescence - Anti-Histone H3 (tri methyl K56) antibody (AB272162)
  • IF

Supplier Data

Immunofluorescence - Anti-Histone H3 (tri methyl K56) antibody (AB272162)

Immunofluorescence analysis of ab272162. HeLa (Human epithelial cell line from cervix adenocarcinoma) cells are shown during prophase. Primary antibody ab272162 was used at 1 : 100 dilution for 1 hour at room temperature. Secondary antibody, Dylight 488 antibody at 1 : 10,000 for 45 minutes at room temperature. Histone H3 [Trimethyl Lys56] localization is nuclear and chromosomal and it is expressed in green, nuclei and alpha-tubulin are counterstained with DAPI (blue) and Dylight 550 (red). Fixation was 0.5% PFA. Antigen retrieval was not required.

Immunofluorescence - Anti-Histone H3 (tri methyl K56) antibody (AB272162)
  • IF

Supplier Data

Immunofluorescence - Anti-Histone H3 (tri methyl K56) antibody (AB272162)

Immunofluorescence of ab272162. HeLa (Human epithelial cell line from cervix adenocarcinoma) cells are shown during telophase. Primary antibody ab272162 was at a 1 : 100 dilution for 1 hour at room temperature. Dylight 488 secondary antibody followed at 1 : 10,000 for 45 minutes at toom temperature. Histone H3 [Trimethyl Lys56] localization is nuclear and chromosomal. Histone H3 [Trimethyl Lys56] staining is expressed in green, nuclei and alpha-tubulin are counterstained with DAPI (blue) and Dylight 550 (red). Fixation was 0.5% PFA and antigen retrieval was not required.

Western blot - Anti-Histone H3 (tri methyl K56) antibody (AB272162)
  • WB

Unknown

Western blot - Anti-Histone H3 (tri methyl K56) antibody (AB272162)

Block : 5% BLOTTO overnight at 4°C.

Predicted/Observed size : ~15 kDa.

Other band(s) : None.

All lanes:

Western blot - Anti-Histone H3 (tri methyl K56) antibody (ab272162) at 1 µg/mL

All lanes:

Caenorhabditis elegans embryo lysate at 30 µg

Secondary

All lanes:

IRDye800™ rabbit secondary antibody at 1/10000 dilution

Predicted band size: 15 kDa

false

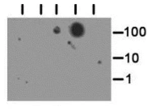
Dot Blot - Anti-Histone H3 (tri methyl K56) antibody (AB272162)
  • Dot

Unknown

Dot Blot - Anti-Histone H3 (tri methyl K56) antibody (AB272162)

Dot Blot analysis of ab272162.

Lane 1 : Ac.

Lane 2 : me1.

Lane 3 : me2.

Lane 4 : me3.

Lane 5 : unmodified.

Load : 1, 10, and 100 picomoles of peptide. Primary antibody ab272162 was used at 1 : 40 for 45 minutes at 4°C. Secondary antibody Dylight™488 rabbit antibody at 1 : 10,000 for 45 minutes at room temperature. Block : 5% BLOTTO overnight at 4°C.

关键信息

宿主种属

Rabbit

克隆

Polyclonal

亚型

IgG

不含载体蛋白

No

反应种属

Human, Caenorhabditis elegans

应用

WB, Dot, IF

applications

免疫原

Synthetic Peptide within Human H3C1 tri methyl K56. The exact immunogen used to generate this antibody is proprietary information.

P68431

特异性

A BLAST analysis was used to suggest cross-reactivity with Human, mouse, and C. elegans. Predicted to react with many species including rat, chicken, Xenopus, Drosophila, and plant based on 100% sequence homology. Cross-reactivity with Histone H3 from other sources has not been determined.

反应性数据

{ "title": "Reactivity Data", "filters": { "stats": ["", "Species", "Dilution Info", "Notes"], "tabs": { "all-applications": {"fullname" : "All Applications", "shortname": "All Applications"}, "Dot" : {"fullname" : "Dot Blot", "shortname":"Dot"}, "WB" : {"fullname" : "Western blot", "shortname":"WB"}, "IF" : {"fullname" : "Immunofluorescence", "shortname":"IF"} }, "product-promise": { "all": "all", "testedAndGuaranteed": "tested", "guaranteed": "expected", "predicted": "predicted", "notRecommended": "not-recommended" } }, "values": { "Human": { "Dot-species-checked": "guaranteed", "Dot-species-dilution-info": "", "Dot-species-notes": "", "WB-species-checked": "guaranteed", "WB-species-dilution-info": "", "WB-species-notes": "", "IF-species-checked": "testedAndGuaranteed", "IF-species-dilution-info": "1/40", "IF-species-notes": "<p></p>" }, "Caenorhabditis elegans": { "Dot-species-checked": "guaranteed", "Dot-species-dilution-info": "", "Dot-species-notes": "", "WB-species-checked": "testedAndGuaranteed", "WB-species-dilution-info": "1/1000", "WB-species-notes": "<p></p>", "IF-species-checked": "guaranteed", "IF-species-dilution-info": "", "IF-species-notes": "" }, "Synthetic peptide - Human": { "Dot-species-checked": "testedAndGuaranteed", "Dot-species-dilution-info": "", "Dot-species-notes": "<p></p>", "WB-species-checked": "notRecommended", "WB-species-dilution-info": "", "WB-species-notes": "", "IF-species-checked": "notRecommended", "IF-species-dilution-info": "", "IF-species-notes": "" } } }

性能和储存信息

形式
Liquid
纯化工艺
Affinity purification Immunogen
纯化说明
Anti-Histone H3 [Trimethyl Lys56] was affinity purified from monospecific antiserum by immunoaffinity chromatography.
存储溶液
pH: 7.2 Preservative: 0.01% Sodium azide Constituents: 30% Glycerol (glycerin, glycerine), 0.88% Sodium chloride, 0.424% Potassium phosphate solution
运输条件
Blue Ice
推荐的短期储存时间
1-2 weeks
推荐的短期储存条件
+4°C
推荐的长期储存条件
-20°C
分装信息
Upon delivery aliquot
储存信息
Avoid freeze / thaw cycle

产品实验方案

For this product, it's our understanding that no specific protocols are required. You can visit:

靶点信息

The protein expressed by gene H3C1 is a core component of the nucleosome, which is essential for wrapping and compacting DNA into chromatin. This process restricts DNA accessibility to cellular machineries that use DNA as a template. Consequently, histones are central to transcription regulation, DNA repair, DNA replication, and chromosomal stability. DNA accessibility is regulated through a complex set of post-translational modifications of histones, known as the histone code, and through nucleosome remodeling. This supplementary information is collated from multiple sources and compiled automatically.
See full target information H3C1 tri methyl K56

Abcam Product Promise

我们致力于为您的研究提供高质量的试剂,为您科研的每一步提供支持。若我们的产品未能达到预期性能,我们向您提供 Abcam Product Promise 保障。
详情请参阅我们的条款与条件。

Please note: All products are 'FOR RESEARCH USE ONLY. NOT FOR USE IN DIAGNOSTIC OR THERAPEUTIC PROCEDURES'.

For licensing inquiries, please contact partnerships@abcam.com