JavaScript is disabled in your browser. Please enable JavaScript to view this website.
AB282572

重组Anti-Histone H3 (tri methyl K36)抗体[EPR23525-232] - ChIP Grade

Anti-Histone H3 (tri methyl K36) antibody [EPR23525-232] - ChIP Grade

  • BOND RX™ Validated
  • 20ul selling size
  • RabMAb
  • Advanced Validation
  • Recombinant
  • 了解详情

5

(1 Review)

|

(6 Publications)

Anti-Histone H3 (tri methyl K36) antibody [EPR23525-232] - ChIP Grade (ab282572) is a rabbit monoclonal antibody detecting Histone H3 in Western Blot, Flow Cytometry, IP, IHC-P, ICC/IF, ChIP, PepArr. Suitable for Human, Mouse, Rat.

- Biophysical QC for unrivalled batch-batch consistency

查看别名

H3FA, HIST1H3A, H3C2, H3FL, HIST1H3B, H3C3, H3FC HIST1H3C, H3C4, H3FB, HIST1H3D, H3C6, H3FD, HIST1H3E, H3C7, H3FI, HIST1H3F, H3C8, H3FH, HIST1H3G, H3C10, H3FK, HIST1H3H, H3C11, H3FF, HIST1H3I, H3C12, H3FJ, HIST1H3J, H3C1, H3FC, HIST1H3C, Histone H3.1, Histone H3/a, Histone H3/b, Histone H3/c, Histone H3/d, Histone H3/f, Histone H3/h, Histone H3/i, Histone H3/j, Histone H3/k, Histone H3/l, H3K36me3, H3K36me, H3K36

11 Images
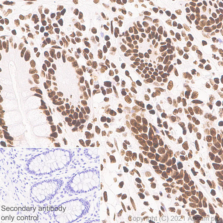
Immunohistochemistry (Formalin/PFA-fixed paraffin-embedded sections) - Anti-Histone H3 (tri methyl K36) antibody [EPR23525-232] - ChIP Grade (AB282572)
  • IHC-P

Supplier Data

Immunohistochemistry (Formalin/PFA-fixed paraffin-embedded sections) - Anti-Histone H3 (tri methyl K36) antibody [EPR23525-232] - ChIP Grade (AB282572)

Immunohistochemical analysis of paraffin-embedded Human colon tissue labelling Histone H3 (tri methyl K36) with ab282572 at 1/500 (0.964 ug/ml) followed by a ready to use LeicaDS9800 (Bond™ Polymer Refine Detection). Nuclear staining in human colon. The section was incubated with ab282572 for 30 mins at room temperature. The immunostaining was performed on a Leica Biosystems BOND® RX instrument Counterstained with Hematoxylin.

Secondary antibody only control : Secondary antibody is a ready to use LeicaDS9800 (Bond™ Polymer Refine Detection).

Heat mediated antigen retrieval with Tris-EDTA buffer (pH 9.0, epitope retrieval solution2) for 20 mins

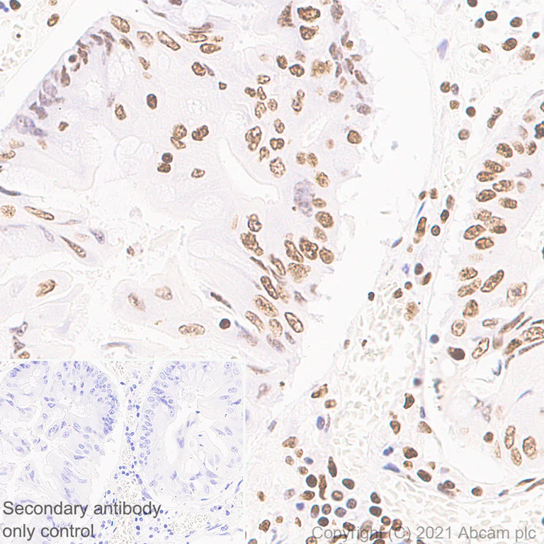
Immunohistochemistry (Formalin/PFA-fixed paraffin-embedded sections) - Anti-Histone H3 (tri methyl K36) antibody [EPR23525-232] - ChIP Grade (AB282572)
  • IHC-P

Supplier Data

Immunohistochemistry (Formalin/PFA-fixed paraffin-embedded sections) - Anti-Histone H3 (tri methyl K36) antibody [EPR23525-232] - ChIP Grade (AB282572)

Immunohistochemical analysis of paraffin-embedded Human colon carcinoma tissue labelling Histone H3 (tri methyl K36) with ab282572 at 1/500 (0.964 ug/ml) followed by a ready to use LeicaDS9800 (Bond™ Polymer Refine Detection). Nuclear staining in human colon carcinoma. The section was incubated with ab282572 for 30 mins at room temperature. The immunostaining was performed on a Leica Biosystems BOND® RX instrument Counterstained with Hematoxylin.

Secondary antibody only control : Secondary antibody is a ready to use LeicaDS9800 (Bond™ Polymer Refine Detection).

Heat mediated antigen retrieval with Tris-EDTA buffer (pH 9.0, epitope retrieval solution2) for 20 mins

Flow Cytometry (Intracellular) - Anti-Histone H3 (tri methyl K36) antibody [EPR23525-232] - ChIP Grade (AB282572)
  • Flow Cyt (Intra)

Supplier Data

Flow Cytometry (Intracellular) - Anti-Histone H3 (tri methyl K36) antibody [EPR23525-232] - ChIP Grade (AB282572)

Flow cytometric analysis of 4% paraformaldehyde fixed 90% methanol permeabilized HeLa (Human cervix adenocarcinoma epithelial cell) cells labelling Histone H3 (tri methyl K36) with ab282572 at 1/500 dilution (0.1ug)/ (Red) compared with a Rabbit monoclonal IgG (ab172730) (Black) isotype control and an unlabelled control (cells without incubation with primary antibody and secondary antibody) (Blue). A Goat anti rabbit IgG (Alexa Fluor® 488, ab150077) at 1/2000 dilution was used as the secondary antibody.

Immunocytochemistry/ Immunofluorescence - Anti-Histone H3 (tri methyl K36) antibody [EPR23525-232] - ChIP Grade (AB282572)
  • ICC/IF

Supplier Data

Immunocytochemistry/ Immunofluorescence - Anti-Histone H3 (tri methyl K36) antibody [EPR23525-232] - ChIP Grade (AB282572)

Immunofluorescent analysis of 100% methanol-fixed, 0.1% TritonX-100 permeabilized HeLa cells labelling Histone H3 (tri methyl K36) with ab282572 at 1/500 (0.964 ug/ml) dilution, followed by ab150081 Goat Anti-Rabbit IgG H&L (Alexa Fluor® 488) preadsorbed antibody at 1/1000 dilution (Green). Confocal image showing nuclear staining in HeLa cell line is observed.

ab195889 Anti-alpha Tubulin mouse monoclonal antibody - Microtubule Marker (Alexa Fluor® 594) was used to counterstain tubulin at 1/200 dilution (Red). The Nuclear counterstain was DAPI (Blue).

Secondary antibody only control : Secondary antibody is ab150081 Goat Anti-Rabbit IgG H&L (Alexa Fluor® 488) preadsorbed at 1/1000 dilution.

ChIP-sequencing - Anti-Histone H3 (tri methyl K36) antibody [EPR23525-232] - ChIP Grade (AB282572)
  • ChIP-seq

Supplier Data

ChIP-sequencing - Anti-Histone H3 (tri methyl K36) antibody [EPR23525-232] - ChIP Grade (AB282572)

Chromatin was prepared from HeLa cells. Cells were fixed with 1% formaldehyde for 10 minutes. ChIP was performed with 10^7 HeLa cells and 4 μg ab282572 [EPR23525-232]. ChIP DNA was sequenced on the Illumnia NovaSeqn 6000 to a depth of 30 million reads. Additional screenshots and mapped reads can be downloaded here.

Flow Cytometry (Intracellular) - Anti-Histone H3 (tri methyl K36) antibody [EPR23525-232] - ChIP Grade (AB282572)
  • Flow Cyt (Intra)

Supplier Data

Flow Cytometry (Intracellular) - Anti-Histone H3 (tri methyl K36) antibody [EPR23525-232] - ChIP Grade (AB282572)

Flow cytometric analysis of 4% paraformaldehyde fixed 90% methanol permeabilized NIH/3T3 (Mouse embryonic fibroblast) cells labelling Histone H3 (tri methyl K36) with ab282572 at 1/500 dilution (0.1ug)/ (Red) compared with a Rabbit monoclonal IgG (ab172730) (Black) isotype control and an unlabelled control (cells without incubation with primary antibody and secondary antibody) (Blue). A Goat anti rabbit IgG (Alexa Fluor® 488, ab150077) at 1/2000 dilution was used as the secondary antibody.

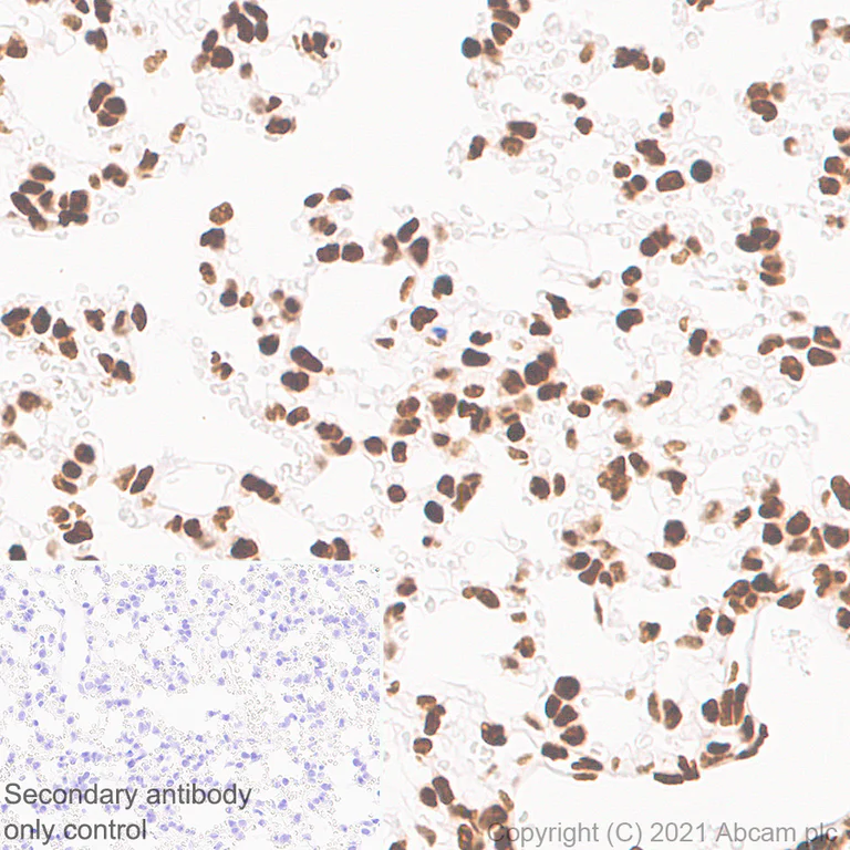
Immunohistochemistry (Formalin/PFA-fixed paraffin-embedded sections) - Anti-Histone H3 (tri methyl K36) antibody [EPR23525-232] - ChIP Grade (AB282572)
  • IHC-P

Supplier Data

Immunohistochemistry (Formalin/PFA-fixed paraffin-embedded sections) - Anti-Histone H3 (tri methyl K36) antibody [EPR23525-232] - ChIP Grade (AB282572)

Immunohistochemical analysis of paraffin-embedded Rat lung tissue labelling Histone H3 (tri methyl K36) with ab282572 at 1/500 (0.964 ug/ml) followed by a ready to use LeicaDS9800 (Bond™ Polymer Refine Detection). Nuclear staining in rat lung. The section was incubated with ab282572 for 30 mins at room temperature. The immunostaining was performed on a Leica Biosystems BOND® RX instrument Counterstained with Hematoxylin.

Secondary antibody only control : Secondary antibody is a ready to use LeicaDS9800 (Bond™ Polymer Refine Detection).

Heat mediated antigen retrieval with Tris-EDTA buffer (pH 9.0, epitope retrieval solution2) for 20 mins

Immunohistochemistry (Formalin/PFA-fixed paraffin-embedded sections) - Anti-Histone H3 (tri methyl K36) antibody [EPR23525-232] - ChIP Grade (AB282572)
  • IHC-P

Supplier Data

Immunohistochemistry (Formalin/PFA-fixed paraffin-embedded sections) - Anti-Histone H3 (tri methyl K36) antibody [EPR23525-232] - ChIP Grade (AB282572)

Immunohistochemical analysis of paraffin-embedded Mouse lung tissue labelling Histone H3 (tri methyl K36) with ab282572 at 1/500 (0.964 ug/ml) followed by a ready to use LeicaDS9800 (Bond™ Polymer Refine Detection). Nuclear staining in mouse lung. The section was incubated with ab282572 for 30 mins at room temperature. The immunostaining was performed on a Leica Biosystems BOND® RX instrument Counterstained with Hematoxylin.

Secondary antibody only control : Secondary antibody is a ready to use LeicaDS9800 (Bond™ Polymer Refine Detection).

Heat mediated antigen retrieval with Tris-EDTA buffer (pH 9.0, epitope retrieval solution2) for 20 mins

Immunocytochemistry/ Immunofluorescence - Anti-Histone H3 (tri methyl K36) antibody [EPR23525-232] - ChIP Grade (AB282572)
  • ICC/IF

Supplier Data

Immunocytochemistry/ Immunofluorescence - Anti-Histone H3 (tri methyl K36) antibody [EPR23525-232] - ChIP Grade (AB282572)

Immunofluorescent analysis of 4% Paraformaldehyde-fixed, 0.1% TritonX-100 permeabilized NIH/3T3 cells labelling Histone H3 (tri methyl K36) with ab282572 at 1/500 (0.964 ug/ml) dilution, followed by ab150081 Goat Anti-Rabbit IgG H&L (Alexa Fluor® 488) preadsorbed antibody at 1/1000 dilution (Green). Confocal image showing nuclear staining in NIH/3T3 cell line is observed.

ab195889 Anti-alpha Tubulin mouse monoclonal antibody - Microtubule Marker (Alexa Fluor® 594) was used to counterstain tubulin at 1/200 dilution (Red). The Nuclear counterstain was DAPI (Blue).

Secondary antibody only control : Secondary antibody is ab150081 Goat Anti-Rabbit IgG H&L (Alexa Fluor® 488) preadsorbed at 1/1000 dilution.

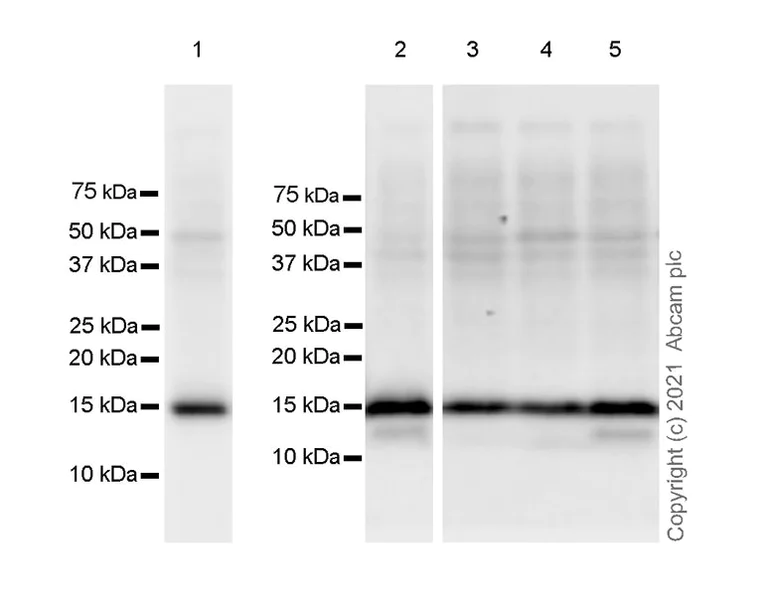
Western blot - Anti-Histone H3 (tri methyl K36) antibody [EPR23525-232] - ChIP Grade (AB282572)
  • WB

Lab

Western blot - Anti-Histone H3 (tri methyl K36) antibody [EPR23525-232] - ChIP Grade (AB282572)

Blocking and diluting buffer and concentration : 5% BSA/TBST

Exposure time : Lanes 1-2 : 15 seconds;Lanes 3-5 : 26 seconds.

All lanes:

Western blot - Anti-Histone H3 (tri methyl K36) antibody [EPR23525-232] - ChIP Grade (ab282572) at 1/1000 dilution

Lane 1:

HeLa (human cervix adenocarcinoma epithelial cell) whole cell lysate at 20 µg

Lane 2:

Saos-2 (human osteosarcoma epithelial) whole cell lysate at 20 µg

Lane 3:

C2C12 (mouse myoblasts myoblast) whole cell lysate at 20 µg

Lane 4:

NIH/3T3 (mouse embryonic fibroblast) whole cell lysate at 20 µg

Lane 5:

C6 (rat glial tumor glial cell) whole cell lysate at 20 µg

Secondary

All lanes:

Western blot - Goat Anti-Rabbit IgG H&L (HRP) (<a href='/products/secondary-antibodies/goat-rabbit-igg-h-l-hrp-ab97051'>ab97051</a>) at 1/50000 dilution

Predicted band size: 15 kDa

Observed band size: 15 kDa

false

Peptide Array - Anti-Histone H3 (tri methyl K36) antibody [EPR23525-232] - ChIP Grade (AB282572)
  • PepArr

Supplier Data

Peptide Array - Anti-Histone H3 (tri methyl K36) antibody [EPR23525-232] - ChIP Grade (AB282572)

Peptide array analysis of ab282572 at (0.05ug/ml) followed by a Goat Anti-Rabbit IgG, (H+L), Fluo 647nm conjugated at 1 : 50,000 dilution.

All batches of ab253206 are tested in Peptide Array against 501 different modified and unmodified histone peptides; each peptide is printed on the array at six concentrations (each in triplicate).
Circle area represents affinity between the antibody and a peptide : all antigen-containing peptides are displayed as red circles, all other peptides as blue circles. The affinity is calculated as the area under the curve when antibody binding values are plotted against the corresponding peptide concentration. Each circle area is normalized to the peptide with the strongest affinity.

关键信息

宿主种属

Rabbit

克隆

Monoclonal

克隆号

EPR23525-232

亚型

IgG

不含载体蛋白

No

反应种属

Mouse, Rat, Human

应用

WB, ICC/IF, Flow Cyt (Intra), PepArr, ChIP-seq, IHC-P

applications

免疫原

The exact immunogen used to generate this antibody is proprietary information.

反应性数据

{ "title": "Reactivity Data", "filters": { "stats": ["", "Species", "Dilution Info", "Notes"], "tabs": { "all-applications": {"fullname" : "All Applications", "shortname": "All Applications"}, "ChIPseq" : {"fullname" : "ChIP-sequencing", "shortname":"ChIP-seq"}, "PepArr" : {"fullname" : "Peptide Array", "shortname":"PepArr"}, "WB" : {"fullname" : "Western blot", "shortname":"WB"}, "FlowCytIntra" : {"fullname" : "Flow Cytometry (Intracellular)", "shortname":"Flow Cyt (Intra)"}, "ICCIF" : {"fullname" : "Immunocytochemistry/ Immunofluorescence", "shortname":"ICC/IF"}, "IHCP" : {"fullname" : "Immunohistochemistry (Formalin/PFA-fixed paraffin-embedded sections)", "shortname":"IHC-P"}, "IP" : {"fullname" : "Immunoprecipitation", "shortname":"IP"} }, "product-promise": { "all": "all", "testedAndGuaranteed": "tested", "guaranteed": "expected", "predicted": "predicted", "notRecommended": "not-recommended" } }, "values": { "Human": { "ChIPseq-species-checked": "testedAndGuaranteed", "ChIPseq-species-dilution-info": "", "ChIPseq-species-notes": "<p></p>", "PepArr-species-checked": "guaranteed", "PepArr-species-dilution-info": "", "PepArr-species-notes": "", "WB-species-checked": "testedAndGuaranteed", "WB-species-dilution-info": "1/1000", "WB-species-notes": "<p></p>", "FlowCytIntra-species-checked": "testedAndGuaranteed", "FlowCytIntra-species-dilution-info": "1/500", "FlowCytIntra-species-notes": "<p></p>", "ICCIF-species-checked": "testedAndGuaranteed", "ICCIF-species-dilution-info": "1/500", "ICCIF-species-notes": "<p></p>", "IHCP-species-checked": "testedAndGuaranteed", "IHCP-species-dilution-info": "1/500", "IHCP-species-notes": "<p></p>", "IP-species-checked": "notRecommended", "IP-species-dilution-info": "", "IP-species-notes": "<p></p>" }, "Mouse": { "ChIPseq-species-checked": "guaranteed", "ChIPseq-species-dilution-info": "", "ChIPseq-species-notes": "", "PepArr-species-checked": "guaranteed", "PepArr-species-dilution-info": "", "PepArr-species-notes": "", "WB-species-checked": "testedAndGuaranteed", "WB-species-dilution-info": "1/1000", "WB-species-notes": "<p></p>", "FlowCytIntra-species-checked": "testedAndGuaranteed", "FlowCytIntra-species-dilution-info": "1/500", "FlowCytIntra-species-notes": "<p></p>", "ICCIF-species-checked": "testedAndGuaranteed", "ICCIF-species-dilution-info": "1/500", "ICCIF-species-notes": "<p></p>", "IHCP-species-checked": "testedAndGuaranteed", "IHCP-species-dilution-info": "1/500", "IHCP-species-notes": "<p></p>", "IP-species-checked": "notRecommended", "IP-species-dilution-info": "", "IP-species-notes": "<p></p>" }, "Rat": { "ChIPseq-species-checked": "guaranteed", "ChIPseq-species-dilution-info": "", "ChIPseq-species-notes": "", "PepArr-species-checked": "guaranteed", "PepArr-species-dilution-info": "", "PepArr-species-notes": "", "WB-species-checked": "testedAndGuaranteed", "WB-species-dilution-info": "1/1000", "WB-species-notes": "<p></p>", "FlowCytIntra-species-checked": "guaranteed", "FlowCytIntra-species-dilution-info": "", "FlowCytIntra-species-notes": "", "ICCIF-species-checked": "guaranteed", "ICCIF-species-dilution-info": "", "ICCIF-species-notes": "", "IHCP-species-checked": "testedAndGuaranteed", "IHCP-species-dilution-info": "1/500", "IHCP-species-notes": "<p></p>", "IP-species-checked": "notRecommended", "IP-species-dilution-info": "", "IP-species-notes": "" }, "Synthetic peptide - Human": { "ChIPseq-species-checked": "notRecommended", "ChIPseq-species-dilution-info": "", "ChIPseq-species-notes": "", "PepArr-species-checked": "testedAndGuaranteed", "PepArr-species-dilution-info": "0.05 µg/mL", "PepArr-species-notes": "<p></p>", "WB-species-checked": "notRecommended", "WB-species-dilution-info": "", "WB-species-notes": "", "FlowCytIntra-species-checked": "notRecommended", "FlowCytIntra-species-dilution-info": "", "FlowCytIntra-species-notes": "", "ICCIF-species-checked": "notRecommended", "ICCIF-species-dilution-info": "", "ICCIF-species-notes": "", "IHCP-species-checked": "notRecommended", "IHCP-species-dilution-info": "", "IHCP-species-notes": "", "IP-species-checked": "notRecommended", "IP-species-dilution-info": "", "IP-species-notes": "" } } }

产品详情

What is this antibody validated in?
Anti-Histone H3 (tri methyl K36) antibody [EPR23525-232] - ChIP Grade (ab282572) is a rabbit recombinant monoclonal antibody and is validated for use in Western Blot (WB), Flow Cytometry (Intra), Flow Cytometry (Flow Cyt), Immunoprecipitation (IP), Immunohistochemistry (IHC-P), Immunocytochemistry/immunofluorescence (ICC/IF), ChIP, Peptide Array in Human, Mouse, Rat samples.

What is the molecular weight of Histone H3?
Anti-Histone H3 (tri methyl K36) [EPR23525-232] - ChIP Grade (ab282572) specifically detects a band for Histone H3 (UniProt: P68431) at a molecular weight of 15kDa.

Trial sizes available!
Test your antibody or perform pre-screening before committing to a larger quantity. Sold in 10µl. Discover our selection of trial-size antibodies.

Other related products
We have a range of other formats of antibody clone [EPR23525-232] also available for your convenience: ab282572, Carrier free - ab282596, PE - ab305516, APC - ab305517, HRP - ab305518, Alkaline Phosphatase - ab309074, Alexa Fluor® 488 - ab309913, Alexa Fluor® 647 - ab310280, Alexa Fluor® 594 - ab310735, Alexa Fluor® 555 - ab312265, Alexa Fluor® 568 - ab312754, Alexa Fluor® 750 - ab321543

Patented technology
Our RabMAb® technology is a patented hybridoma-based technology for making rabbit monoclonal antibodies. For details on our patents, please refer to RabMAb® patents.

What are the advantages of a recombinant monoclonal antibody?
This product is a recombinant monoclonal antibody, which offers several advantages including:

  • - High batch-to-batch consistency and reproducibility
  • - Improved sensitivity and specificity
  • - Long-term security of supply
  • - Animal-free batch production

For more information, read more on recombinant antibodies.

性能和储存信息

形式
Liquid
纯化工艺
Affinity purification Protein A
存储溶液
pH: 7.2 - 7.4 Preservative: 0.01% Sodium azide Constituents: PBS, 40% Glycerol (glycerin, glycerine), 0.05% BSA
运输条件
Blue Ice
推荐的短期储存时间
1-2 weeks
推荐的短期储存条件
+4°C
推荐的长期储存条件
-20°C
分装信息
Upon delivery aliquot
储存信息
Avoid freeze / thaw cycle

产品实验方案

For this product, it's our understanding that no specific protocols are required. You can visit:

靶点信息

The protein expressed by gene H3C1 is a core component of the nucleosome, which is essential for wrapping and compacting DNA into chromatin. This process restricts DNA accessibility to cellular machineries that use DNA as a template. Consequently, histones are central to transcription regulation, DNA repair, DNA replication, and chromosomal stability. DNA accessibility is regulated through a complex set of post-translational modifications of histones, known as the histone code, and through nucleosome remodeling. This supplementary information is collated from multiple sources and compiled automatically.
See full target information H3C1 tri methyl K36

文献 (6)

Recent publications for all applications. Explore the full list and refine your search

ACS omega 10:28210-28219 PubMed40657109

2025

Natural Product Bruceine A from as a Potential LDLR Inhibitor That Facilitates Antiviral Effect.

Applications

Unspecified application

Species

Unspecified reactive species

Kaiyue Zuo,Naiyu Liu,Peng Zhou,Yingrui Wei,Jian Lin,Xinjie Zhu

Cancer cell international 25:225 PubMed40544264

2025

Comprehensive analysis of single-cell and bulk RNA sequencing data unveils antigen-presenting and processing fibroblasts and establishes a predictive model in gastric cancer.

Applications

Unspecified application

Species

Unspecified reactive species

Chenggang Zhang,Fangqi Chen,Jie Li,Yixuan He,Juan Sun,Zicheng Zheng,Guanmo Liu,Yihua Wang,Weiming Kang,Xin Ye

PLoS genetics 21:e1011664 PubMed40305565

2025

Heat inducible nuclear translocation of Kdm6bb drives temperature dependent sex reversal in Nile tilapia.

Applications

Unspecified application

Species

Unspecified reactive species

Jigang Lu,Siqi Huang,Shicen Wei,Jiangbo Cheng,Wei Li,Yueyue Fei,Jihui Yang,Ruiqin Hu,Songqian Huang,Wanying Zhai,Zhichao Wu,Mingli Liu,Qianghua Xu,Peng Hu,Liangbiao Chen

Environmental toxicology 39:4207-4220 PubMed38727079

2024

Functional mechanism of hypoxia-like conditions mediating resistance to ferroptosis in cervical cancer cells by regulating KDM4A SUMOylation and the SLC7A11/GPX4 pathway.

Applications

Unspecified application

Species

Unspecified reactive species

Jing Xiong,Puxiang Chen,Ling He,Xiaoshan Chai,Yongjing Zhang,Shujuan Sun

Current issues in molecular biology 46:2856-2870 PubMed38666909

2024

Serine Metabolism Regulates the Replicative Senescence of Human Dental Pulp Cells through Histone Methylation.

Applications

Unspecified application

Species

Unspecified reactive species

Shuhan Zhou,Jingyao Cui,Yu Shi

Journal of experimental & clinical cancer research : CR 41:38 PubMed35081978

2022

A novel FBW7/NFAT1 axis regulates cancer immunity in sunitinib-resistant renal cancer by inducing PD-L1 expression.

Applications

Unspecified application

Species

Unspecified reactive species

Wentao Liu,Dianyun Ren,Wei Xiong,Xin Jin,Liang Zhu
View all publications

Abcam Product Promise

我们致力于为您的研究提供高质量的试剂,为您科研的每一步提供支持。若我们的产品未能达到预期性能,我们向您提供 Abcam Product Promise 保障。
详情请参阅我们的条款与条件。

Please note: All products are 'FOR RESEARCH USE ONLY. NOT FOR USE IN DIAGNOSTIC OR THERAPEUTIC PROCEDURES'.

For licensing inquiries, please contact partnerships@abcam.com