JavaScript is disabled in your browser. Please enable JavaScript to view this website.
AB192985

Anti-Histone H3 (tri methyl K27) 抗体 [EPR18607] - ChIP Grade

Anti-Histone H3 (tri methyl K27) antibody [EPR18607] - ChIP Grade

4

(14 Reviews)

|

(117 Publications)

Anti-Histone H3 (tri methyl K27) antibody [EPR18607] - ChIP Grade (ab192985) is a rabbit monoclonal antibody detecting Histone H3 in Western Blot, IP, IHC-P, ICC/IF, ELISA, ChIP, PepArr. Suitable for Human, Mouse, Rat.

- Biophysical QC for unrivalled batch-batch consistency
- Over 50 publications

查看别名

H3FA, HIST1H3A, H3C2, H3FL, HIST1H3B, H3C3, H3FC HIST1H3C, H3C4, H3FB, HIST1H3D, H3C6, H3FD, HIST1H3E, H3C7, H3FI, HIST1H3F, H3C8, H3FH, HIST1H3G, H3C10, H3FK, HIST1H3H, H3C11, H3FF, HIST1H3I, H3C12, H3FJ, HIST1H3J, H3C1, H3FC, HIST1H3C, Histone H3.1, Histone H3/a, Histone H3/b, Histone H3/c, Histone H3/d, Histone H3/f, Histone H3/h, Histone H3/i, Histone H3/j, Histone H3/k, Histone H3/l, H3K27me3, H3K27me, H3K27

14 Images
ChIP-sequencing - Anti-Histone H3 (tri methyl K27) antibody [EPR18607] - ChIP Grade (AB192985)
  • ChIP-seq

Supplier Data

ChIP-sequencing - Anti-Histone H3 (tri methyl K27) antibody [EPR18607] - ChIP Grade (AB192985)

Chromatin was prepared from HeLa cells. Cells were fixed with 1% formaldehyde for 10 minutes. ChIP was performed with 107 HeLa cells and 4 μg of Anti-Histone H3 (tri methyl K27) antibody [EPR18607] - ChIP Grade (ab192985). ChIP DNA was sequenced on the Illumina NovaSeq 6000 to a depth of 30 million reads.

Additional screenshots of mapped reads can be downloaded here.

Immunocytochemistry/ Immunofluorescence - Anti-Histone H3 (tri methyl K27) antibody [EPR18607] - ChIP Grade (AB192985)
  • ICC/IF

Supplier Data

Immunocytochemistry/ Immunofluorescence - Anti-Histone H3 (tri methyl K27) antibody [EPR18607] - ChIP Grade (AB192985)

Immunofluorescent analysis of 4% paraformaldehyde-fixed, 0.1% Triton X-100 permeabilized HeLa (Human epithelial cells from cervix adenocarcinoma) cells labeling Histone H3 (tri methyl K27) with ab192985 at 1/1000 dilution, followed by Goat Anti-Rabbit IgG (Alexa Fluor® 488) (ab150077) secondary antibody at 1/1000 dilution (green). Confocal image showing nuclear staining on HeLa cell line. The nuclear counterstain is DAPI (blue).

Tubulin is detected with Anti-alpha Tubulin mouse MAb (ab7291) at 1/1000 dilution, followed by Goat Anti-Mouse IgG H&L (Alexa Fluor® 594) (ab150120) secondary antibody at 1/1000 dilution (red).

The negative controls are as follows : -
-ve control 1 : ab192985 at 1/1000 dilution, followed by Goat Anti-Mouse IgG H&L (Alexa Fluor® 594) (ab150120) secondary antibody at 1/1000 dilution.
-ve control 2 : Anti-alpha Tubulin mouse MAb (ab7291) at 1/1000 dilution, followed by Goat Anti-Rabbit IgG H&L (Alexa Fluor® 488) (ab150077) secondary antibody at 1/1000 dilution.

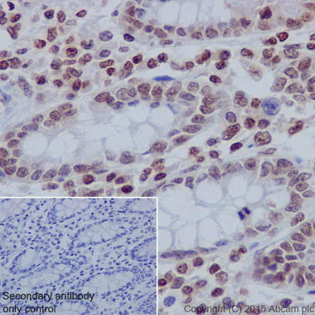
Immunohistochemistry (Formalin/PFA-fixed paraffin-embedded sections) - Anti-Histone H3 (tri methyl K27) antibody [EPR18607] - ChIP Grade (AB192985)
  • IHC-P

Supplier Data

Immunohistochemistry (Formalin/PFA-fixed paraffin-embedded sections) - Anti-Histone H3 (tri methyl K27) antibody [EPR18607] - ChIP Grade (AB192985)

Immunohistochemical analysis of paraffin-embedded human colon tissue labeling Histone H3 (tri methyl K27) with ab192985 at 1/500 dilution, followed by Goat Anti-Rabbit IgG H&L (HRP) (ab97051) at 1/500 dilution. Nuclear staining on human colon tissue is observed. Counter stained with hematoxylin.

Secondary antibody only control : Used PBS instead of primary antibody, secondary antibody is Goat Anti-Rabbit IgG H&L (HRP) (ab97051) at 1/500 dilution.

Perform heat mediated antigen retrieval with Tris/EDTA buffer pH 9.0 before commencing with IHC staining protocol.

ChIP - Anti-Histone H3 (tri methyl K27) antibody [EPR18607] - ChIP Grade (AB192985)
  • ChIP

Supplier Data

ChIP - Anti-Histone H3 (tri methyl K27) antibody [EPR18607] - ChIP Grade (AB192985)

Chromatin was prepared from HeLa (Human epithelial cell line from cervix adenocarcinoma) cells according to the Abcam X-ChIP protocol.

Cells were fixed with formaldehyde for 10 minutes. The ChIP was performed with 25 μg of chromatin, 2 μg of ab192985 (blue), and 20 μl of Anti rabbit IgG sepharose beads. 2 μg of rabbit normal IgG was added to the beads control (yellow). The immunoprecipitated DNA was quantified by real time PCR (Sybr green approach).

ChIP-sequencing - Anti-Histone H3 (tri methyl K27) antibody [EPR18607] - ChIP Grade (AB192985)
  • ChIP-seq

AbReview81542****

ChIP-sequencing - Anti-Histone H3 (tri methyl K27) antibody [EPR18607] - ChIP Grade (AB192985)

Chromatin was prepared from human Nuclear cell lysate K562 cells. Cells were fixed with 1% formaldehyde for 10 minutes. Cells were incubated with the primary antibody with PBS + 0.1% Tween-20 for 1 hour at 25°C

This image is courtesy of an Abreview submitted by Andrew Perez

Immunohistochemistry (Formalin/PFA-fixed paraffin-embedded sections) - Anti-Histone H3 (tri methyl K27) antibody [EPR18607] - ChIP Grade (AB192985)
  • IHC-P

Supplier Data

Immunohistochemistry (Formalin/PFA-fixed paraffin-embedded sections) - Anti-Histone H3 (tri methyl K27) antibody [EPR18607] - ChIP Grade (AB192985)

Immunohistochemical analysis of paraffin-embedded mouse colon tissue labeling Histone H3 (tri methyl K27) with ab192985 at 1/500 dilution, followed by Goat Anti-Rabbit IgG H&L (HRP) (ab97051) at 1/500 dilution. Nuclear staining on mouse colon tissue is observed. Counterstained with hematoxylin.

Secondary antibody only control : Used PBS instead of primary antibody, secondary antibody is Goat Anti-Rabbit IgG H&L (HRP) (ab97051) at 1/500 dilution.

Perform heat mediated antigen retrieval with Tris/EDTA buffer pH 9.0 before commencing with IHC staining protocol.

Immunohistochemistry (Formalin/PFA-fixed paraffin-embedded sections) - Anti-Histone H3 (tri methyl K27) antibody [EPR18607] - ChIP Grade (AB192985)
  • IHC-P

Supplier Data

Immunohistochemistry (Formalin/PFA-fixed paraffin-embedded sections) - Anti-Histone H3 (tri methyl K27) antibody [EPR18607] - ChIP Grade (AB192985)

Immunohistochemical analysis of paraffin-embedded rat kidney tissue labeling Histone H3 (tri methyl K27) with ab192985 at 1/500 dilution, followed by Goat Anti-Rabbit IgG H&L (HRP) (ab97051) at 1/500 dilution. Nuclear staining on rat kidney tissue is observed. Counterstained with hematoxylin.

Secondary antibody only control : Used PBS instead of primary antibody, secondary antibody is Goat Anti-Rabbit IgG H&L (HRP) (ab97051) at 1/500 dilution.

Perform heat mediated antigen retrieval with Tris/EDTA buffer pH 9.0 before commencing with IHC staining protocol.

Western blot - Anti-Histone H3 (tri methyl K27) antibody [EPR18607] - ChIP Grade (AB192985)
  • WB

Lab

Western blot - Anti-Histone H3 (tri methyl K27) antibody [EPR18607] - ChIP Grade (AB192985)

Blocking/Diluting buffer : 5% NFDM/TBST

For this product, we recommend 1% SDS hot lysis method.

For Lysate preparation protocol, please refer to the protocol section of the website and/or here.

All lanes:

Western blot - Anti-Histone H3 (tri methyl K27) antibody [EPR18607] - ChIP Grade (ab192985) at 1/1000 dilution

Lane 1:

HeLa (Human cervix adenocarcinoma epithelial cell) whole cell lysate prepared using 1% SDS hot lysis method at 20 µg

Lane 2:

HeLa (Human cervix adenocarcinoma epithelial cell) whole cell lysate prepared using RIPA lysis method at 20 µg

Secondary

All lanes:

Goat Anti-Rabbit IgG (HRP), specific to the non-reduced form of IgG at 1/5000 dilution

Predicted band size: 15 kDa

Observed band size: 15 kDa

false

Exposure time: 3min

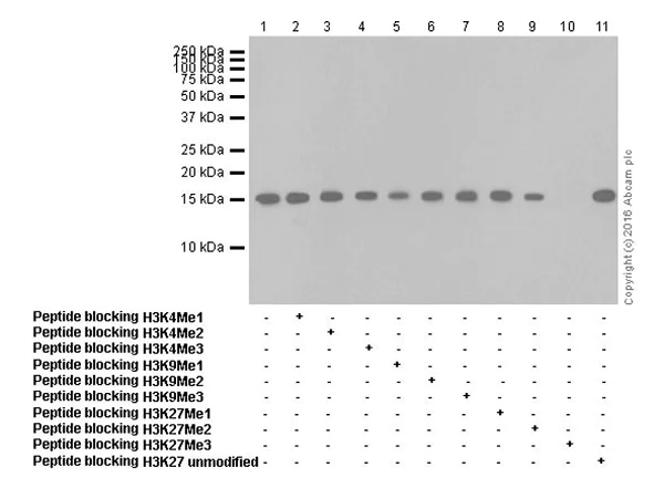
Western blot - Anti-Histone H3 (tri methyl K27) antibody [EPR18607] - ChIP Grade (AB192985)
  • WB

Supplier Data

Western blot - Anti-Histone H3 (tri methyl K27) antibody [EPR18607] - ChIP Grade (AB192985)

The antibody is blocked by tri methyl K27 peptide (lane 10) and slightly by di methyl K27 peptide (lane 9, there is 14% cross reactivity with di methyl K27 as determined by ELISA).

All lanes:

Western blot - Anti-Histone H3 (tri methyl K27) antibody [EPR18607] - ChIP Grade (ab192985) at 1/1000 dilution

Lane 1:

HeLa (Human epithelial cell line from cervix adenocarcinoma) whole cell lysate at 10 µg

Lane 2:

HeLa (Human epithelial cell line from cervix adenocarcinoma) whole cell lysate at 10 µg with H3K4Me1 peptide

Lane 3:

HeLa (Human epithelial cell line from cervix adenocarcinoma) whole cell lysate at 10 µg with H3K4Me2 peptide

Lane 4:

HeLa (Human epithelial cell line from cervix adenocarcinoma) whole cell lysate at 10 µg with H3K4Me3 peptide

Lane 5:

HeLa (Human epithelial cell line from cervix adenocarcinoma) whole cell lysate at 10 µg with H3K9Me1 peptide

Lane 6:

HeLa (Human epithelial cell line from cervix adenocarcinoma) whole cell lysate at 10 µg with H3K9Me2 peptide

Lane 7:

HeLa (Human epithelial cell line from cervix adenocarcinoma) whole cell lysate at 10 µg with H3K9Me3 peptide

Lane 8:

HeLa (Human epithelial cell line from cervix adenocarcinoma) whole cell lysate at 10 µg with H3K27Me1 peptide

Lane 9:

HeLa (Human epithelial cell line from cervix adenocarcinoma) whole cell lysate at 10 µg with H3K27Me2 peptide

Lane 10:

HeLa (Human epithelial cell line from cervix adenocarcinoma) whole cell lysate at 10 µg with H3K27Me3 peptide

Lane 11:

HeLa (Human epithelial cell line from cervix adenocarcinoma) whole cell lysate at 10 µg with H3K27 unmodified peptide

Secondary

All lanes:

Western blot - Goat Anti-Rabbit IgG H&L (HRP) (<a href='/products/secondary-antibodies/goat-rabbit-igg-h-l-hrp-ab97051'>ab97051</a>) at 1/100000 dilution

Observed band size: 15 kDa

true

Exposure time: 5s

Western blot - Anti-Histone H3 (tri methyl K27) antibody [EPR18607] - ChIP Grade (AB192985)
  • WB

Lab

Western blot - Anti-Histone H3 (tri methyl K27) antibody [EPR18607] - ChIP Grade (AB192985)

We recommend to use 2% BSA as blocking and antibody dilution buffer.

All lanes:

Western blot - Anti-Histone H3 (tri methyl K27) antibody [EPR18607] - ChIP Grade (ab192985) at 1/1000 dilution

All lanes:

HeLa (Human cervix adenocarcinoma epithelial cell) whole cell lysates at 15 µg

Secondary

All lanes:

Western blot - Goat Anti-Rabbit IgG H&L (HRP) (<a href='/products/secondary-antibodies/goat-rabbit-igg-h-l-hrp-ab97051'>ab97051</a>) at 1/20000 dilution

Predicted band size: 15 kDa

Observed band size: 15 kDa

false

Exposure time: 40s

Western blot - Anti-Histone H3 (tri methyl K27) antibody [EPR18607] - ChIP Grade (AB192985)
  • WB

Supplier Data

Western blot - Anti-Histone H3 (tri methyl K27) antibody [EPR18607] - ChIP Grade (AB192985)

Blocking/Dilution buffer : 5% BSA/TBST

All lanes:

Western blot - Anti-Histone H3 (tri methyl K27) antibody [EPR18607] - ChIP Grade (ab192985) at 1/1000 dilution

All lanes:

NIH/3T3 (Mouse embryonic fibroblast cell line) whole cell lysate at 10 µg

Secondary

All lanes:

Western blot - Goat Anti-Rabbit IgG H&L (HRP) (<a href='/products/secondary-antibodies/goat-rabbit-igg-h-l-hrp-ab97051'>ab97051</a>) at 1/50000 dilution

Predicted band size: 15 kDa,45 kDa

Observed band size: 15 kDa,30 kDa

false

Exposure time: 1s

ELISA - Anti-Histone H3 (tri methyl K27) antibody [EPR18607] - ChIP Grade (AB192985)
  • ELISA

Supplier Data

ELISA - Anti-Histone H3 (tri methyl K27) antibody [EPR18607] - ChIP Grade (AB192985)

ELISA analysis was performed on 1 μg/ml of antigen using ab192985 at a concentration range of 0-0.25 μg/ml, followed by Alkaline Phosphatase-conjugates AffiniPure Goat anti-rabbit IgG (H&L) secondary antibody at a 1/2,500 dilution.

All batches of ab192985 are tested in ELISA against peptides to different Histone H3 modifications. Results show strong binding to Histone H3 - tri methyl K27 immunizing peptide, indicating that this antibody specifically recognizes the Histone H3 - tri methyl K27 modification. Weak binding (14%) was also detected against H3 - di methyl K27 modification.

Western blot - Anti-Histone H3 (tri methyl K27) antibody [EPR18607] - ChIP Grade (AB192985)
  • WB

Supplier Data

Western blot - Anti-Histone H3 (tri methyl K27) antibody [EPR18607] - ChIP Grade (AB192985)

All lanes:

Western blot - Anti-Histone H3 (tri methyl K27) antibody [EPR18607] - ChIP Grade (ab192985) at 1/1000 dilution

Lane 1:

HeLa (Human epithelial cell line from cervix adenocarcinoma) at 10 µg

Lane 2:

EED-/- mouse whole cell lysate at 10 µg

Lane 3:

Wild type mouse ES whole cell lysate at 10 µg

Secondary

All lanes:

Western blot - Goat Anti-Rabbit IgG H&L (HRP) (<a href='/products/secondary-antibodies/goat-rabbit-igg-h-l-hrp-ab97051'>ab97051</a>) at 1/50000 dilution

Predicted band size: 15 kDa

true

Exposure time: 8min

Peptide Array - Anti-Histone H3 (tri methyl K27) antibody [EPR18607] - ChIP Grade (AB192985)
  • PepArr

Supplier Data

Peptide Array - Anti-Histone H3 (tri methyl K27) antibody [EPR18607] - ChIP Grade (AB192985)

Peptide array analysis was performed using ab192985 at a concentration of 0.1 µg/ml, followed by Goat Anti-Rabbit IgG, (H+L), Fluo 647nm conjugated secondary antibody at a 1/50,000 dilution.

ab192985 was tested in Peptide Array against 501 different modified and unmodified histone peptides; each peptide is printed on the array at six concentrations (each in triplicate).

Circle area represents affinity between the antibody and a peptide : all antigen-containing peptides are displayed as red circles, all other peptides as blue circles. The affinity is calculated as area under curve when antibody binding values are plotted against the corresponding peptide concentration. Each circle area is normalized to the peptide with the strongest affinity.

The complete dataset, including full list of all peptides and information on the position of each peptide in the diagram, is available under the Product Protocol section.

不同偶联物与剂型 (4)

  • 519 Alexa Fluor® 488

    Alexa Fluor® 488 Anti-Histone H3 (tri methyl K27) antibody [EPR18607]

  • Carrier free

    Anti-Histone H3 (tri methyl K27) antibody [EPR18607] - BSA and Azide free

  • 665 Alexa Fluor® 647

    Alexa Fluor® 647 Anti-Histone H3 (tri methyl K27) antibody [EPR18607]

  • 775 Alexa Fluor® 750

    Alexa Fluor® 750 Anti-Histone H3 (tri methyl K27) antibody [EPR18607] - ChIP Grade

关键信息

宿主种属

Rabbit

克隆

Monoclonal

克隆号

EPR18607

亚型

IgG

不含载体蛋白

No

反应种属

Mouse, Rat, Human

应用

ICC/IF, PepArr, IHC-P, ELISA, ChIP, ChIP-seq, WB

applications

免疫原

The exact immunogen used to generate this antibody is proprietary information.

反应性数据

{ "title": "Reactivity Data", "filters": { "stats": ["", "Species", "Dilution Info", "Notes"], "tabs": { "all-applications": {"fullname" : "All Applications", "shortname": "All Applications"}, "ChIP" : {"fullname" : "ChIP", "shortname":"ChIP"}, "ELISA" : {"fullname" : "ELISA", "shortname":"ELISA"}, "WB" : {"fullname" : "Western blot", "shortname":"WB"}, "PepArr" : {"fullname" : "Peptide Array", "shortname":"PepArr"}, "ICCIF" : {"fullname" : "Immunocytochemistry/ Immunofluorescence", "shortname":"ICC/IF"}, "ChIPseq" : {"fullname" : "ChIP-sequencing", "shortname":"ChIP-seq"}, "IHCP" : {"fullname" : "Immunohistochemistry (Formalin/PFA-fixed paraffin-embedded sections)", "shortname":"IHC-P"} }, "product-promise": { "all": "all", "testedAndGuaranteed": "tested", "guaranteed": "expected", "predicted": "predicted", "notRecommended": "not-recommended" } }, "values": { "Human": { "ChIP-species-checked": "testedAndGuaranteed", "ChIP-species-dilution-info": "2 µg for 25 µg chromatin", "ChIP-species-notes": "<p>Use Myo-D ChIP primer pair <a href='/products/reagents/myo-d-positive-control-chip-primer-pair-ab269261'>ab269261</a> as positive control.</p>", "ELISA-species-checked": "guaranteed", "ELISA-species-dilution-info": "", "ELISA-species-notes": "", "WB-species-checked": "testedAndGuaranteed", "WB-species-dilution-info": "1/1000", "WB-species-notes": "<p>We suggest to use 2% BSA as blocking and antibody dilution buffer. To get stronger band, 1%SDS Hot lysis method is also recommended.</p>", "PepArr-species-checked": "guaranteed", "PepArr-species-dilution-info": "", "PepArr-species-notes": "", "ICCIF-species-checked": "testedAndGuaranteed", "ICCIF-species-dilution-info": "1/1000", "ICCIF-species-notes": "<p></p>", "ChIPseq-species-checked": "testedAndGuaranteed", "ChIPseq-species-dilution-info": "4 µg for 10^7 Cells", "ChIPseq-species-notes": "<p></p>", "IHCP-species-checked": "testedAndGuaranteed", "IHCP-species-dilution-info": "1/500", "IHCP-species-notes": "<p></p> Perform heat-mediated antigen retrieval with Tris/EDTA buffer pH 9.0 before commencing with IHC staining protocol." }, "Mouse": { "ChIP-species-checked": "guaranteed", "ChIP-species-dilution-info": "", "ChIP-species-notes": "", "ELISA-species-checked": "guaranteed", "ELISA-species-dilution-info": "", "ELISA-species-notes": "", "WB-species-checked": "testedAndGuaranteed", "WB-species-dilution-info": "1/1000", "WB-species-notes": "<p>We suggest to use 2% BSA as blocking and antibody dilution buffer. To get stronger band, 1%SDS Hot lysis method is also recommended.</p>", "PepArr-species-checked": "guaranteed", "PepArr-species-dilution-info": "", "PepArr-species-notes": "", "ICCIF-species-checked": "guaranteed", "ICCIF-species-dilution-info": "", "ICCIF-species-notes": "", "ChIPseq-species-checked": "guaranteed", "ChIPseq-species-dilution-info": "", "ChIPseq-species-notes": "", "IHCP-species-checked": "testedAndGuaranteed", "IHCP-species-dilution-info": "1/500", "IHCP-species-notes": "<p></p> Perform heat-mediated antigen retrieval with Tris/EDTA buffer pH 9.0 before commencing with IHC staining protocol." }, "Rat": { "ChIP-species-checked": "guaranteed", "ChIP-species-dilution-info": "", "ChIP-species-notes": "", "ELISA-species-checked": "guaranteed", "ELISA-species-dilution-info": "", "ELISA-species-notes": "", "WB-species-checked": "guaranteed", "WB-species-dilution-info": "", "WB-species-notes": "", "PepArr-species-checked": "guaranteed", "PepArr-species-dilution-info": "", "PepArr-species-notes": "", "ICCIF-species-checked": "guaranteed", "ICCIF-species-dilution-info": "", "ICCIF-species-notes": "", "ChIPseq-species-checked": "guaranteed", "ChIPseq-species-dilution-info": "", "ChIPseq-species-notes": "", "IHCP-species-checked": "testedAndGuaranteed", "IHCP-species-dilution-info": "1/500", "IHCP-species-notes": "<p></p> Perform heat-mediated antigen retrieval with Tris/EDTA buffer pH 9.0 before commencing with IHC staining protocol." }, "Synthetic peptide": { "ChIP-species-checked": "notRecommended", "ChIP-species-dilution-info": "", "ChIP-species-notes": "", "ELISA-species-checked": "notRecommended", "ELISA-species-dilution-info": "", "ELISA-species-notes": "", "WB-species-checked": "notRecommended", "WB-species-dilution-info": "", "WB-species-notes": "", "PepArr-species-checked": "testedAndGuaranteed", "PepArr-species-dilution-info": "0.1 µg/mL", "PepArr-species-notes": "<p></p>", "ICCIF-species-checked": "notRecommended", "ICCIF-species-dilution-info": "", "ICCIF-species-notes": "", "ChIPseq-species-checked": "notRecommended", "ChIPseq-species-dilution-info": "", "ChIPseq-species-notes": "", "IHCP-species-checked": "notRecommended", "IHCP-species-dilution-info": "", "IHCP-species-notes": "" }, "Synthetic peptide - Human": { "ChIP-species-checked": "notRecommended", "ChIP-species-dilution-info": "", "ChIP-species-notes": "", "ELISA-species-checked": "testedAndGuaranteed", "ELISA-species-dilution-info": "0.25 µg/mL", "ELISA-species-notes": "<p></p>", "WB-species-checked": "notRecommended", "WB-species-dilution-info": "", "WB-species-notes": "", "PepArr-species-checked": "notRecommended", "PepArr-species-dilution-info": "", "PepArr-species-notes": "", "ICCIF-species-checked": "notRecommended", "ICCIF-species-dilution-info": "", "ICCIF-species-notes": "", "ChIPseq-species-checked": "notRecommended", "ChIPseq-species-dilution-info": "", "ChIPseq-species-notes": "", "IHCP-species-checked": "notRecommended", "IHCP-species-dilution-info": "", "IHCP-species-notes": "" } } }

产品详情

Anti-Histone H3 (tri methyl K27) antibody [EPR18607] - ChIP Grade (ab192985) was developed by Abcam using patented rabbit monoclonal antibody technology and is validated for use in ChIP, ChIP-seq, ELISA, ICC/IF, IHC-P, PepArr, WB in human, mouse, rat samples.

Anti-Histone H3 (tri methyl K27) antibody [EPR18607] - ChIP Grade (ab192985) has been cited over 57 times in peer reviewed journals and is trusted by the scientific community.

Abcams high quality manufacturing and validation processes ensure Anti-Histone H3 (tri methyl K27) antibody [EPR18607] - ChIP Grade (ab192985) has high sensitivity and specificity alongside high lot-to-lot consistency and reproducibility.

Anti-Histone H3 (tri methyl K27) antibody [EPR18607] - ChIP Grade (ab192985) has 12 independent reviews from customers.

Anti-Histone H3 (tri methyl K27) antibody [EPR18607] - ChIP Grade (ab192985) specifically detects Histone H3 Tri Methyl-K27 (UniProt ID: P68431; Molecular weight: 15kDa) and is sold in a convenient trial size to enable initial testing (10 uL) and larger sizes for subsequent scaling up experiments (100 uL and 1 mL).

Conjugation-ready, carrier free format available for antibody clone EPR18607 - ab222481.

Antibody clone EPR18607 is also available pre-conjugated to a variety of labels for your convenience - Alexa Fluor® 488, Alexa Fluor® 647, Alexa Fluor® 75 (ab27162, ab27163, ab32133).

H3K27me3 is a crucial epigenetic modification that involves the tri-methylation of lysine 27 on histone H3, leading to gene repression. This modification is significant in various cancers, where it helps regulate gene expression and maintain chromatin structure. Utilizing our anti tri methyl K27 antibody can enhance the detection and study of H3K27me3, providing insights into its role in cancer development and potential therapeutic targets This antibody is crucial in chromatin remodeling research, particularly in understanding the role of H3K27me3 in transcription regulation. It is widely used in studies of Polycomb repressive complexes and histone methylation.Histone H3 lysine 27 methylation (H3K27) is a key marker associated with heterochromatin formation and widely used as a marker for transcriptional repression. This antibody is also validated for ChIP-seq, which is a key application to map protein-DNA interactions on a genome-wide scale using NGS.

Patented technology
Our RabMAb® technology is a patented hybridoma-based technology for making rabbit monoclonal antibodies. For details on our patents, please refer to RabMAb® patents.

What are the advantages of a recombinant monoclonal antibody?
This product is a recombinant monoclonal antibody, which offers several advantages including:

  • - High batch-to-batch consistency and reproducibility
  • - Improved sensitivity and specificity
  • - Long-term security of supply
  • - Animal-free batch production

For more information, read more on recombinant antibodies.

性能和储存信息

形式
Liquid
纯化工艺
Affinity purification Protein A
存储溶液
pH: 7.2 - 7.4 Preservative: 0.01% Sodium azide Constituents: PBS, 40% Glycerol (glycerin, glycerine), 0.05% BSA
运输条件
Blue Ice
推荐的短期储存时间
1-2 weeks
推荐的短期储存条件
+4°C
推荐的长期储存条件
-20°C
分装信息
Upon delivery aliquot
储存信息
Avoid freeze / thaw cycle

产品实验方案

For this product, it's our understanding that no specific protocols are required. You can visit:

靶点信息

The protein expressed by gene H3C1 is a core component of the nucleosome, which is essential for wrapping and compacting DNA into chromatin. This process restricts DNA accessibility to cellular machineries that use DNA as a template. Consequently, histones are central to transcription regulation, DNA repair, DNA replication, and chromosomal stability. DNA accessibility is regulated through a complex set of post-translational modifications of histones, known as the histone code, and through nucleosome remodeling. This supplementary information is collated from multiple sources and compiled automatically.
See full target information H3C1 tri methyl K27

文献 (117)

Recent publications for all applications. Explore the full list and refine your search

Cellular & molecular biology letters 30:115 PubMed41053540

2025

LncRNA-like MMP14 RNA facilitates colorectal cancer metastasis by suppressing H3K27cr at the STARD13 promoter region.

Applications

Unspecified application

Species

Unspecified reactive species

Mengting Li,Ying Gao,Xiaolin Sun,Wendan Zheng,Mengzhen Zhang,Chenlong Wang,Weiwei Chu,Xuemei Yang,Lin Wang,Maojin Zheng,Wenzhi Xue,Fuxing Dong,Dongsheng Pei,Meijian Liao

Nucleus (Austin, Tex.) 16:2534242 PubMed40745906

2025

Oncogenic lncRNA transgene transcription modulates epigenetic memory at a naïve chromosomal locus.

Applications

Unspecified application

Species

Unspecified reactive species

Sweta Sikder,Songjoon Baek,Yamini Dalal,Ganesan Arunkumar

Nature communications 16:6983 PubMed40739098

2025

Metabolomics and proteomics reveal blocking argininosuccinate synthetase 1 alleviates colitis in mice.

Applications

Unspecified application

Species

Unspecified reactive species

Shijia Liu,Haijian Sun,Zijing Du,Shuai Lu,Chenwen Wang,Ye Zhang,Zichen Luo,Lu Wang,Zhimin Fan,Peng Wei,Yujiao Yan,Junzhi Zhang,Shusheng Yin,Tongtong Liu,Qiongzi He,Xi Guo,Kang Ding,Jingjie Zhou,Haibing Hua,Chengli Yu,Weichen Xu,Jinjun Shan,Yongming Li,Yi Xu,Xiaotao Shen,Gang Cao,Wei Zhou

Experimental hematology & oncology 14:100 PubMed40708008

2025

Targeted degradation of sICOSL reverses cytotoxic T cells dysfunction.

Applications

Unspecified application

Species

Unspecified reactive species

Zhenghao Wu,Peng Zheng,Ruobing Qi,Yunxiao Xiao,Zihan Xi,Lei Dai,Tao Chen,Qianheng Wang,Furong Zhang,Rong Wang,Zimei Tang,Xiangwang Zhao,Jie Tan,Jie Ming,Ping Lei,Chunping Liu,Tao Huang

Cell death & disease 16:553 PubMed40701963

2025

H3K14 lactylation exacerbates neuronal ferroptosis by inhibiting calcium efflux following intracerebral hemorrhagic stroke.

Applications

Unspecified application

Species

Unspecified reactive species

Tingting Sun,Jian-Nan Zhang,Ting Lan,Lei Shi,Liye Hu,Liyan Yan,Chao Wei,Lisha Hei,Weihua Wu,Zhaoli Luo,Meng Liu,Xingmei Ren,Yamei Wang,Yabin Lu,Peipei Wang,Chenguang Zhang,Liheng Bian,Xingquan Zhao,Fei Yang,Qian Li

Scientific reports 15:26263 PubMed40683967

2025

Genome-wide CRISPR/Cas9 screening identifies PTGR2 as a potential therapeutic target for sunitinib resistance in clear cell renal cell carcinoma.

Applications

Unspecified application

Species

Unspecified reactive species

Wei Chang,Biao Zhang,Shujun Yang,Xingxing Zhang,Lili Zhang,Su Zhang,Jianzhong Lu,Wei Wang,Panfeng Shang,Zhongjin Yue

ACS omega 10:28210-28219 PubMed40657109

2025

Natural Product Bruceine A from as a Potential LDLR Inhibitor That Facilitates Antiviral Effect.

Applications

Unspecified application

Species

Unspecified reactive species

Kaiyue Zuo,Naiyu Liu,Peng Zhou,Yingrui Wei,Jian Lin,Xinjie Zhu

Scientific reports 15:24858 PubMed40640307

2025

KIAA1429 promotes non-small-cell lung cancer cell proliferation through the TRERNA1/HOXA6 axis.

Applications

Unspecified application

Species

Unspecified reactive species

Yunxia Li,Shiyao Tian,Biao Yang

Communications biology 8:951 PubMed40550933

2025

Super-enhancers orchestrate transcriptional dysregulation and metabolic reprogramming in uveal melanoma.

Applications

Unspecified application

Species

Unspecified reactive species

Hui Pan,Weihuan Shao,Huixue Wang,Shengfang Ge,Lingyu Zhang,Xiaofang Xu,Yefei Wang,Ai Zhuang

Nature communications 16:5313 PubMed40537528

2025

Herpes simplex virus type 1 reshapes host chromatin architecture via transcription machinery hijacking.

Applications

Unspecified application

Species

Unspecified reactive species

Esther González-Almela,Alvaro Castells-Garcia,François Le Dily,Manuel Fernández Merino,Davide Carnevali,Pol Cusco,Luciano Di Croce,Maria Pia Cosma
View all publications
websiteProtocolBooklet
en
peptideArrayWebsite
en

Abcam Product Promise

我们致力于为您的研究提供高质量的试剂,为您科研的每一步提供支持。若我们的产品未能达到预期性能,我们向您提供 Abcam Product Promise 保障。
详情请参阅我们的条款与条件。

Please note: All products are 'FOR RESEARCH USE ONLY. NOT FOR USE IN DIAGNOSTIC OR THERAPEUTIC PROCEDURES'.

For licensing inquiries, please contact partnerships@abcam.com