JavaScript is disabled in your browser. Please enable JavaScript to view this website.
AB203955

重组Anti-Histone H3 (mono methyl K9)抗体[EPR16989] - BSA and Azide free

Anti-Histone H3 (mono methyl K9) antibody [EPR16989] - BSA and Azide free

Be the first to review this product! Submit a review

|

(1 Publication)

Rabbit Recombinant Monoclonal H3 mono methyl K9 antibody. Carrier free. Suitable for ChIP, WB, PepArr, IHC-P, ICC/IF and reacts with Human, Mouse, Rat samples. Cited in 1 publication.

查看别名

H3FA, HIST1H3A, H3C2, H3FL, HIST1H3B, H3C3, H3FC HIST1H3C, H3C4, H3FB, HIST1H3D, H3C6, H3FD, HIST1H3E, H3C7, H3FI, HIST1H3F, H3C8, H3FH, HIST1H3G, H3C10, H3FK, HIST1H3H, H3C11, H3FF, HIST1H3I, H3C12, H3FJ, HIST1H3J, H3C1, H3FC, HIST1H3C, Histone H3.1, Histone H3/a, Histone H3/b, Histone H3/c, Histone H3/d, Histone H3/f, Histone H3/h, Histone H3/i, Histone H3/j, Histone H3/k, Histone H3/l, H3K9me, H3K9me1, H3K9

6 Images
Immunocytochemistry/ Immunofluorescence - Anti-Histone H3 (mono methyl K9) antibody [EPR16989] - BSA and Azide free (AB203955)
  • ICC/IF

Supplier Data

Immunocytochemistry/ Immunofluorescence - Anti-Histone H3 (mono methyl K9) antibody [EPR16989] - BSA and Azide free (AB203955)

Immunofluorescent analysis of 4% paraformaldehyde-fixed, 0.1% Triton X-100 permeabilized HeLa cells labeling Histone H3 (mono methyl K9) with ab176880 at 1/2000 dilution, followed by Goat anti-rabbit IgG (Alexa Fluor® 488) (ab150077) secondary antibody at 1/400 dilution (green). Nuclear staining on HeLa cell line is observed. The nuclear counter stain is DAPI (blue). Tubulin is detected with ab7291 (anti-Tubulin mouse mAb) at 1/500 dilution and ab150120 (AlexaFluor®594 Goat anti-Mouse secondary) at 1/500 dilution (red).
The negative controls are as follows;
1. ab176880 at 1/2000 dilution followed by ab150120 (AlexaFluor®594 Goat anti-Mouse secondary) at 1/500 dilution.
2. ab7291 (anti-Tubulin mouse mAb) at 1/500 dilution followed by ab150077 (Alexa Fluor®488 Goat Anti-Rabbit IgG H&L) at 1/400 dilution.

This data was developed using the same antibody clone in a different buffer formulation containing PBS, BSA, glycerol, and sodium azide (ab176880).

Immunohistochemistry (Formalin/PFA-fixed paraffin-embedded sections) - Anti-Histone H3 (mono methyl K9) antibody [EPR16989] - BSA and Azide free (AB203955)
  • IHC-P

Supplier Data

Immunohistochemistry (Formalin/PFA-fixed paraffin-embedded sections) - Anti-Histone H3 (mono methyl K9) antibody [EPR16989] - BSA and Azide free (AB203955)

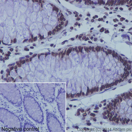
Immunohistochemical analysis of paraffin-embedded Human colon tissue labeling Histone H3 (mono methyl K9) with ab176880 at 1/2000 dilution, followed by prediluted Goat Anti-Rabbit IgG H&L (HRP). Nucleus staining on glandular epithelium of colon tissue is observed. Counter stained with Hematoxylin.

Negative control : PBS instead of primary ab, secondary ab is prediluted Goat Anti-Rabbit IgG H&L (HRP).

This data was developed using the same antibody clone in a different buffer formulation containing PBS, BSA, glycerol, and sodium azide (ab176880).

ChIP - Anti-Histone H3 (mono methyl K9) antibody [EPR16989] - BSA and Azide free (AB203955)
  • ChIP

Unknown

ChIP - Anti-Histone H3 (mono methyl K9) antibody [EPR16989] - BSA and Azide free (AB203955)

Chromatin was prepared from HeLa cells according to the Abcam X-ChIP protocol. Cells were fixed with formaldehyde for 10 minutes. The ChIP was performed with 25µg of chromatin, 2µg of ab (blue), and 20µl of Protein A/G sepharose beads. No antibody was added to the beads control (yellow). The immunoprecipitated DNA was quantified by real time PCR (Taqman approach for active and inactive loci, Sybr green approach for heterochromatic loci). Primers and probes are located in the first kb of the transcribed region.

This data was developed using the same antibody clone in a different buffer formulation containing PBS, BSA, glycerol, and sodium azide (ab176880).

Immunohistochemistry (Formalin/PFA-fixed paraffin-embedded sections) - Anti-Histone H3 (mono methyl K9) antibody [EPR16989] - BSA and Azide free (AB203955)
  • IHC-P

Supplier Data

Immunohistochemistry (Formalin/PFA-fixed paraffin-embedded sections) - Anti-Histone H3 (mono methyl K9) antibody [EPR16989] - BSA and Azide free (AB203955)

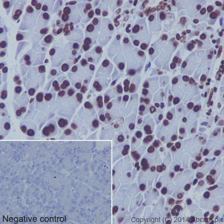
Immunohistochemical analysis of paraffin-embedded rat pancreas tissue labeling Histone H3 (mono methyl K9) with ab176880 at 1/2000 dilution, followed by prediluted Goat Anti-Rabbit IgG H&L (HRP). Nucleus staining on glandular epithelium of pncreas tissue is observed. Counter stained with Hematoxylin.

Negative control : PBS instead of primary ab, secondary ab is prediluted Goat Anti-Rabbit IgG H&L (HRP).

This data was developed using the same antibody clone in a different buffer formulation containing PBS, BSA, glycerol, and sodium azide (ab176880).

Immunohistochemistry (Formalin/PFA-fixed paraffin-embedded sections) - Anti-Histone H3 (mono methyl K9) antibody [EPR16989] - BSA and Azide free (AB203955)
  • IHC-P

Supplier Data

Immunohistochemistry (Formalin/PFA-fixed paraffin-embedded sections) - Anti-Histone H3 (mono methyl K9) antibody [EPR16989] - BSA and Azide free (AB203955)

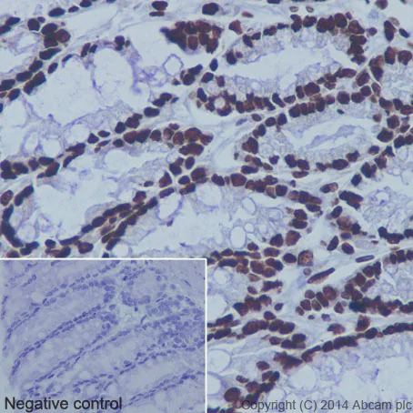
Immunohistochemical analysis of paraffin-embedded Mouse colon tissue labeling Histone H3 (mono methyl K9) with ab176880 at 1/2000 dilution, followed by prediluted Goat Anti-Rabbit IgG H&L (HRP). Nucleus staining on glandular epithelium of colon tissue is observed. Counter stained with Hematoxylin.

Negative control : PBS instead of primary ab, secondary ab is prediluted Goat Anti-Rabbit IgG H&L (HRP).

This data was developed using the same antibody clone in a different buffer formulation containing PBS, BSA, glycerol, and sodium azide (ab176880).

Peptide Array - Anti-Histone H3 (mono methyl K9) antibody [EPR16989] - BSA and Azide free (AB203955)
  • PepArr

Supplier Data

Peptide Array - Anti-Histone H3 (mono methyl K9) antibody [EPR16989] - BSA and Azide free (AB203955)

ab176880 was tested in Peptide Array against 501 different modified and unmodified histone peptides; each peptide is printed on the array at six concentrations (each in triplicate).
Circle area represents affinity between the antibody and a peptide : all antigen-containing peptides are displayed as red circles, all other peptides as blue circles. The affinity is calculated as area under curve when antibody binding values are plotted against the corresponding peptide concentration. Each circle area is normalized to the peptide with the strongest affinity.
The complete dataset, including full list of all peptides and information on the position of each peptide in the diagram, is available under the Product Protocol section.

This data was developed using the same antibody clone in a different buffer formulation containing PBS, BSA, glycerol, and sodium azide (ab176880).

不同偶联物与剂型 (8)

  • Unconjugated

    Anti-Histone H3 (mono methyl K9) antibody [EPR16989] - ChIP Grade

  • 519 Alexa Fluor® 488

    Alexa Fluor® 488 Anti-Histone H3 (mono methyl K9) antibody [EPR16989] - ChIP Grade

  • 665 Alexa Fluor® 647

    Alexa Fluor® 647 Anti-Histone H3 (mono methyl K9) antibody [EPR16989] - ChIP Grade

  • 565 Alexa Fluor® 555

    Alexa Fluor® 555 Anti-Histone H3 (mono methyl K9) antibody [EPR16989] - ChIP Grade

  • 617 Alexa Fluor® 594

    Alexa Fluor® 594 Anti-Histone H3 (mono methyl K9) antibody [EPR16989] - ChIP Grade

  • 578 PE

    PE Anti-Histone H3 (mono methyl K9) antibody [EPR16989] - ChIP Grade

  • 660 APC

    APC Anti-Histone H3 (mono methyl K9) antibody [EPR16989] - ChIP Grade

  • 775 Alexa Fluor® 750

    Alexa Fluor® 750 Anti-Histone H3 (mono methyl K9) antibody [EPR16989] - ChIP Grade

关键信息

宿主种属

Rabbit

克隆

Monoclonal

克隆号

EPR16989

亚型

IgG

不含载体蛋白

Yes

反应种属

Mouse, Rat, Human

应用

PepArr, WB, IHC-P, ChIP, ICC/IF

applications

免疫原

The exact immunogen used to generate this antibody is proprietary information.

反应性数据

{ "title": "Reactivity Data", "filters": { "stats": ["", "Species", "Dilution Info", "Notes"], "tabs": { "all-applications": {"fullname" : "All Applications", "shortname": "All Applications"}, "ChIP" : {"fullname" : "ChIP", "shortname":"ChIP"}, "WB" : {"fullname" : "Western blot", "shortname":"WB"}, "PepArr" : {"fullname" : "Peptide Array", "shortname":"PepArr"}, "IHCP" : {"fullname" : "Immunohistochemistry (Formalin/PFA-fixed paraffin-embedded sections)", "shortname":"IHC-P"}, "ICCIF" : {"fullname" : "Immunocytochemistry/ Immunofluorescence", "shortname":"ICC/IF"} }, "product-promise": { "all": "all", "testedAndGuaranteed": "tested", "guaranteed": "expected", "predicted": "predicted", "notRecommended": "not-recommended" } }, "values": { "Human": { "ChIP-species-checked": "testedAndGuaranteed", "ChIP-species-dilution-info": "", "ChIP-species-notes": "<p></p>", "WB-species-checked": "guaranteed", "WB-species-dilution-info": "", "WB-species-notes": "<p></p>", "PepArr-species-checked": "testedAndGuaranteed", "PepArr-species-dilution-info": "", "PepArr-species-notes": "<p></p>", "IHCP-species-checked": "testedAndGuaranteed", "IHCP-species-dilution-info": "", "IHCP-species-notes": "<p></p>", "ICCIF-species-checked": "testedAndGuaranteed", "ICCIF-species-dilution-info": "", "ICCIF-species-notes": "<p></p>" }, "Mouse": { "ChIP-species-checked": "predicted", "ChIP-species-dilution-info": "", "ChIP-species-notes": "", "WB-species-checked": "guaranteed", "WB-species-dilution-info": "", "WB-species-notes": "<p></p>", "PepArr-species-checked": "predicted", "PepArr-species-dilution-info": "", "PepArr-species-notes": "", "IHCP-species-checked": "predicted", "IHCP-species-dilution-info": "", "IHCP-species-notes": "", "ICCIF-species-checked": "predicted", "ICCIF-species-dilution-info": "", "ICCIF-species-notes": "" }, "Rat": { "ChIP-species-checked": "predicted", "ChIP-species-dilution-info": "", "ChIP-species-notes": "", "WB-species-checked": "guaranteed", "WB-species-dilution-info": "", "WB-species-notes": "<p></p>", "PepArr-species-checked": "predicted", "PepArr-species-dilution-info": "", "PepArr-species-notes": "", "IHCP-species-checked": "predicted", "IHCP-species-dilution-info": "", "IHCP-species-notes": "", "ICCIF-species-checked": "predicted", "ICCIF-species-dilution-info": "", "ICCIF-species-notes": "" } } }

产品详情

ab203955 is the carrier-free version of ab176880.

Patented technology
Our RabMAb® technology is a patented hybridoma-based technology for making rabbit monoclonal antibodies. For details on our patents, please refer to RabMAb® patents.

Conjugation ready
Our carrier-free antibodies are typically supplied in a PBS-only formulation, purified and free of BSA, sodium azide and glycerol. This conjugation-ready format is designed for use with fluorochromes, metal isotopes, oligonucleotides, and enzymes, which makes them ideal for antibody labelling, functional and cell-based assays, flow-based assays (e.g. mass cytometry) and Multiplex Imaging applications.

Use our conjugation kits for antibody conjugates that are ready-to-use in as little as 20 minutes with 1 minute hands-on-time and 100% antibody recovery: available for fluorescent dyes, HRP, biotin and gold.

Compatibility
This product is compatible with the Maxpar® Antibody Labeling Kit from Fluidigm, without the need for antibody preparation. Maxpar® is a trademark of Fluidigm Canada Inc.

性能和储存信息

形式
Liquid
纯化工艺
Affinity purification Protein A
存储溶液
pH: 7.2 - 7.4 Constituents: PBS
运输条件
Blue Ice
推荐的短期储存条件
+4°C
推荐的长期储存条件
+4°C
储存信息
Do Not Freeze

产品实验方案

For this product, it's our understanding that no specific protocols are required. You can visit:

靶点信息

The protein expressed by gene H3C1 is a core component of the nucleosome, which is essential for wrapping and compacting DNA into chromatin. This process restricts DNA accessibility to cellular machineries that use DNA as a template. Consequently, histones are central to transcription regulation, DNA repair, DNA replication, and chromosomal stability. DNA accessibility is regulated through a complex set of post-translational modifications of histones, known as the histone code, and through nucleosome remodeling. This supplementary information is collated from multiple sources and compiled automatically.
See full target information H3C1 mono methyl K9

文献 (1)

Recent publications for all applications. Explore the full list and refine your search

Scientific reports 11:13236 PubMed34168220

2021

Fms-like tyrosine kinase 3-internal tandem duplications epigenetically activates checkpoint kinase 1 in acute myeloid leukemia cells.

Applications

Unspecified application

Species

Unspecified reactive species

Yudong Zhang,Lingli Yuan
View all publications
peptideArrayWebsite
en

Abcam Product Promise

我们致力于为您的研究提供高质量的试剂,为您科研的每一步提供支持。若我们的产品未能达到预期性能,我们向您提供 Abcam Product Promise 保障。
详情请参阅我们的条款与条件。

Please note: All products are 'FOR RESEARCH USE ONLY. NOT FOR USE IN DIAGNOSTIC OR THERAPEUTIC PROCEDURES'.

For licensing inquiries, please contact partnerships@abcam.com