JavaScript is disabled in your browser. Please enable JavaScript to view this website.
AB9045

Anti-Histone H3 (mono methyl K9)抗体- ChIP Grade

Anti-Histone H3 (mono methyl K9) antibody - ChIP Grade

4

(18 Reviews)

|

(138 Publications)

Rabbit Polyclonal H3 mono methyl K9 antibody. Suitable for IP, ChIP, WB, ICC/IF and reacts with Human, Cow, Arabidopsis thaliana samples. Cited in 138 publications.

查看别名

H3FA, HIST1H3A, H3C2, H3FL, HIST1H3B, H3C3, H3FC HIST1H3C, H3C4, H3FB, HIST1H3D, H3C6, H3FD, HIST1H3E, H3C7, H3FI, HIST1H3F, H3C8, H3FH, HIST1H3G, H3C10, H3FK, HIST1H3H, H3C11, H3FF, HIST1H3I, H3C12, H3FJ, HIST1H3J, H3C1, H3FC, HIST1H3C, Histone H3.1, Histone H3/a, Histone H3/b, Histone H3/c, Histone H3/d, Histone H3/f, Histone H3/h, Histone H3/i, Histone H3/j, Histone H3/k, Histone H3/l, H3K9me, H3K9me1, H3K9

6 Images
Immunocytochemistry/ Immunofluorescence - Anti-Histone H3 (mono methyl K9) antibody - ChIP Grade (AB9045)
  • ICC/IF

Lab

Immunocytochemistry/ Immunofluorescence - Anti-Histone H3 (mono methyl K9) antibody - ChIP Grade (AB9045)

ab9045 staining Histone H3 (mono methyl K9) in HeLa cells. The cells were fixed with 4% paraformaldehyde (10 min), permeabilized with 0.1% Triton X-100 for 5 minutes and then blocked with 1% BSA/10% normal goat serum/0.3M glycine in 0.1% PBS-Triton for 1h. The cells were then incubated with the antibody ab9045 at 0.1μg/ml and ab7291 (Mouse monoclonal to alpha Tubulin - Loading Control) used at a 1/1000 dilution overnight at +4°C. The secondary antibodies were ab150081, Goat Anti-Rabbit IgG H&L (Alexa Fluor® 488) preadsorbed, (pseudo-colored green) and ab150120, Goat polyclonal Secondary Antibody to Mouse IgG - H&L (Alexa Fluor® 594) preadsorbed, (colored red), both used at a 1/1000 dilution for 1 hour at room temperature. DAPI was used to stain the cell nuclei (colored blue) at a concentration of 1.43 μM for 1hour at room temperature.

ChIP - Anti-Histone H3 (mono methyl K9) antibody - ChIP Grade (AB9045)
  • ChIP

Unknown

ChIP - Anti-Histone H3 (mono methyl K9) antibody - ChIP Grade (AB9045)

Chromatin was prepared from U2OS cells according to the Abcam X-ChIP protocol. Cells were fixed with formaldehyde for 10 min. The ChIP was performed with 25 μg of chromatin, 2 μg of ab9045 (blue), and 20 μl of protein A/G sepharose beads. No antibody was added to the beads control (yellow). The immunoprecipitated DNA was quantified by real time PCR (Taqman approach for active and inactive loci, Sybr green approach for heterochromatic loci). Primers and probes are located in the first kb of the transcribed region.

Immunocytochemistry/ Immunofluorescence - Anti-Histone H3 (mono methyl K9) antibody - ChIP Grade (AB9045)
  • ICC/IF

Collaborator

Immunocytochemistry/ Immunofluorescence - Anti-Histone H3 (mono methyl K9) antibody - ChIP Grade (AB9045)

Anti-mono methyl lysine 9 of histone H3 (green) has a distribution often associated with euchromatic probes (small foci). Most of these foci localize to regions that contain obvious enrichments of DNA with DAPI staining (red). The perinucleolar chromatin is typically a site enriched in monomethylated lysine 9.

Top left : Mono-methyl Lys 9 (ab9045); Bottom left : DAPI; Top right : Merge of ab9045 (green) and DAPI (red).

This image is courtesy of Kirk McManus in the lab of Michael Hendzel, Univeristy of Alberta

Immunoprecipitation - Anti-Histone H3 (mono methyl K9) antibody - ChIP Grade (AB9045)
  • IP

Unknown

Immunoprecipitation - Anti-Histone H3 (mono methyl K9) antibody - ChIP Grade (AB9045)

Histone H3 (mono methyl K9) was immunoprecipitated using 0.5mg Hela whole cell extract, 5μg of Rabbit polyclonal to Histone H3 (mono methyl K9) and 50μl of protein G magnetic beads (+). No antibody was added to the control (-).
The antibody was incubated under agitation with Protein G beads for 10min, Hela whole cell extract lysate diluted in RIPA buffer was added to each sample and incubated for a further 10min under agitation.
Proteins were eluted by addition of 40μl SDS loading buffer and incubated for 10min at 70oC; 10μl of each sample was separated on a SDS PAGE gel, transferred to a nitrocellulose membrane, blocked with 5% BSA and probed with ab9045.
Secondary : Anti-rabbit IgG VeriBlot for IP Detection Reagent (HRP) (ab131366) at 1/1000 dilution.
Band : 17kDa : Histone H3 (mono methyl K9).

All lanes:

Immunoprecipitation - Anti-Histone H3 (mono methyl K9) antibody - ChIP Grade (ab9045)

Predicted band size: 15 kDa

false

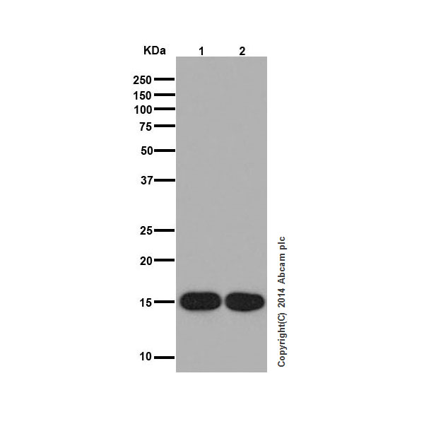
Western blot - Anti-Histone H3 (mono methyl K9) antibody - ChIP Grade (AB9045)
  • WB

Project

Western blot - Anti-Histone H3 (mono methyl K9) antibody - ChIP Grade (AB9045)

All lanes:

Western blot - Anti-Histone H3 (mono methyl K9) antibody - ChIP Grade (ab9045) at 1 µg/mL

All lanes:

Calf Thymus Histone Preparation Nuclear Lysate (<a href='/products/unavailable/calf-thymus-histone-preparation-nuclear-lysate-ab121'>ab121</a>) at 0.5 µg

Secondary

All lanes:

IRDye 680 Conjugated Goat Anti-Rabbit IgG (H+L) at 1/10000 dilution

Predicted band size: 15 kDa

false

Western blot - Anti-Histone H3 (mono methyl K9) antibody - ChIP Grade (AB9045)
  • WB

Unknown

Western blot - Anti-Histone H3 (mono methyl K9) antibody - ChIP Grade (AB9045)

Rabbit polyclonal to Histone H3 K9 Methyl K9 (1/1000)

Peptides at 1 ug/ml

1XTBS, 5%BSA, 0.5% Tween

This antibody shows significantly greater reactivity with mono methyl K9. This can be seen in lane 7, as the addition of ab1771 (mono methyl K9) completely blocks the activity of ab9045. Weaker cross-reactivity is seen against mono methyl K27. This is shown in lane 3, as the addition of ab1780 only partially blocks the activity of ab9045.

All lanes:

Western blot - Anti-Histone H3 (mono methyl K9) antibody - ChIP Grade (ab9045) at 1 µg/mL

Predicted band size: 15 kDa

false

关键信息

宿主种属

Rabbit

克隆

Polyclonal

亚型

IgG

不含载体蛋白

No

反应种属

Arabidopsis thaliana, Cow, Human

应用

ICC/IF, WB, IP, ChIP

applications

免疫原

The exact immunogen used to generate this antibody is proprietary information.

特异性

Weak cross reactivity is observed with mono methyl K27 Histone H3. No cross-reactivity is seen with di or tri methyl K27.

反应性数据

{ "title": "Reactivity Data", "filters": { "stats": ["", "Species", "Dilution Info", "Notes"], "tabs": { "all-applications": {"fullname" : "All Applications", "shortname": "All Applications"}, "IP" : {"fullname" : "Immunoprecipitation", "shortname":"IP"}, "ChIP" : {"fullname" : "ChIP", "shortname":"ChIP"}, "WB" : {"fullname" : "Western blot", "shortname":"WB"}, "ICCIF" : {"fullname" : "Immunocytochemistry/ Immunofluorescence", "shortname":"ICC/IF"} }, "product-promise": { "all": "all", "testedAndGuaranteed": "tested", "guaranteed": "expected", "predicted": "predicted", "notRecommended": "not-recommended" } }, "values": { "Human": { "IP-species-checked": "testedAndGuaranteed", "IP-species-dilution-info": "", "IP-species-notes": "<p></p>", "ChIP-species-checked": "testedAndGuaranteed", "ChIP-species-dilution-info": "4-5 µg/cells for 6 µg/cells", "ChIP-species-notes": "<p></p>", "WB-species-checked": "guaranteed", "WB-species-dilution-info": "", "WB-species-notes": "", "ICCIF-species-checked": "testedAndGuaranteed", "ICCIF-species-dilution-info": "", "ICCIF-species-notes": "<p></p>" }, "Mouse": { "IP-species-checked": "predicted", "IP-species-dilution-info": "", "IP-species-notes": "", "ChIP-species-checked": "predicted", "ChIP-species-dilution-info": "", "ChIP-species-notes": "", "WB-species-checked": "predicted", "WB-species-dilution-info": "", "WB-species-notes": "", "ICCIF-species-checked": "predicted", "ICCIF-species-dilution-info": "", "ICCIF-species-notes": "" }, "Rat": { "IP-species-checked": "predicted", "IP-species-dilution-info": "", "IP-species-notes": "", "ChIP-species-checked": "predicted", "ChIP-species-dilution-info": "", "ChIP-species-notes": "", "WB-species-checked": "predicted", "WB-species-dilution-info": "", "WB-species-notes": "", "ICCIF-species-checked": "predicted", "ICCIF-species-dilution-info": "", "ICCIF-species-notes": "" }, "Arabidopsis thaliana": { "IP-species-checked": "guaranteed", "IP-species-dilution-info": "", "IP-species-notes": "<p></p>", "ChIP-species-checked": "predicted", "ChIP-species-dilution-info": "", "ChIP-species-notes": "", "WB-species-checked": "guaranteed", "WB-species-dilution-info": "1/1000", "WB-species-notes": "<p>Can be blocked with Histone H3 peptide - mono methyl K9 (<a href='/products/proteins-peptides/human-histone-h3-mono-methyl-k9-peptide-ab1771'>ab1771</a>).</p>", "ICCIF-species-checked": "guaranteed", "ICCIF-species-dilution-info": "", "ICCIF-species-notes": "<p></p>" }, "Cow": { "IP-species-checked": "guaranteed", "IP-species-dilution-info": "", "IP-species-notes": "", "ChIP-species-checked": "guaranteed", "ChIP-species-dilution-info": "", "ChIP-species-notes": "", "WB-species-checked": "testedAndGuaranteed", "WB-species-dilution-info": "1/1000", "WB-species-notes": "<p>Can be blocked with Histone H3 peptide - mono methyl K9 (<a href='/products/proteins-peptides/human-histone-h3-mono-methyl-k9-peptide-ab1771'>ab1771</a>).</p>", "ICCIF-species-checked": "guaranteed", "ICCIF-species-dilution-info": "", "ICCIF-species-notes": "" }, "Indian muntjac": { "IP-species-checked": "predicted", "IP-species-dilution-info": "", "IP-species-notes": "", "ChIP-species-checked": "predicted", "ChIP-species-dilution-info": "", "ChIP-species-notes": "", "WB-species-checked": "predicted", "WB-species-dilution-info": "", "WB-species-notes": "", "ICCIF-species-checked": "predicted", "ICCIF-species-dilution-info": "", "ICCIF-species-notes": "" }, "Mammals": { "IP-species-checked": "predicted", "IP-species-dilution-info": "", "IP-species-notes": "", "ChIP-species-checked": "predicted", "ChIP-species-dilution-info": "", "ChIP-species-notes": "", "WB-species-checked": "predicted", "WB-species-dilution-info": "", "WB-species-notes": "", "ICCIF-species-checked": "predicted", "ICCIF-species-dilution-info": "", "ICCIF-species-notes": "" }, "Saccharomyces cerevisiae": { "IP-species-checked": "predicted", "IP-species-dilution-info": "", "IP-species-notes": "", "ChIP-species-checked": "predicted", "ChIP-species-dilution-info": "", "ChIP-species-notes": "", "WB-species-checked": "predicted", "WB-species-dilution-info": "", "WB-species-notes": "", "ICCIF-species-checked": "predicted", "ICCIF-species-dilution-info": "", "ICCIF-species-notes": "" }, "Schizosaccharomyces pombe": { "IP-species-checked": "predicted", "IP-species-dilution-info": "", "IP-species-notes": "", "ChIP-species-checked": "predicted", "ChIP-species-dilution-info": "", "ChIP-species-notes": "", "WB-species-checked": "predicted", "WB-species-dilution-info": "", "WB-species-notes": "", "ICCIF-species-checked": "predicted", "ICCIF-species-dilution-info": "", "ICCIF-species-notes": "" }, "Xenopus laevis": { "IP-species-checked": "predicted", "IP-species-dilution-info": "", "IP-species-notes": "", "ChIP-species-checked": "predicted", "ChIP-species-dilution-info": "", "ChIP-species-notes": "", "WB-species-checked": "predicted", "WB-species-dilution-info": "", "WB-species-notes": "", "ICCIF-species-checked": "predicted", "ICCIF-species-dilution-info": "", "ICCIF-species-notes": "" } } }

性能和储存信息

形式
Liquid
纯化工艺
Affinity purification Immunogen
存储溶液
pH: 7.4 Preservative: 0.02% Sodium azide Constituents: 98.98% PBS, 1% BSA
运输条件
Blue Ice
推荐的短期储存时间
1-2 weeks
推荐的短期储存条件
+4°C
推荐的长期储存条件
-20°C
分装信息
Upon delivery aliquot
储存信息
Avoid freeze / thaw cycle

产品实验方案

For this product, it's our understanding that no specific protocols are required. You can visit:

靶点信息

The protein expressed by gene H3C1 is a core component of the nucleosome, which is essential for wrapping and compacting DNA into chromatin. This process restricts DNA accessibility to cellular machineries that use DNA as a template. Consequently, histones are central to transcription regulation, DNA repair, DNA replication, and chromosomal stability. DNA accessibility is regulated through a complex set of post-translational modifications of histones, known as the histone code, and through nucleosome remodeling. This supplementary information is collated from multiple sources and compiled automatically.
See full target information H3C1 mono methyl K9

文献 (138)

Recent publications for all applications. Explore the full list and refine your search

Tumour virus research 20:200326 PubMed40752831

2025

Dysregulation of histone methylation in SV40 chromosomes during replication results in aberrant transcription and chromatin structure.

Applications

Unspecified application

Species

Unspecified reactive species

Barry Milavetz,Ranna Dawlaty,Jacob Haugen

Cell death & disease 16:553 PubMed40701963

2025

H3K14 lactylation exacerbates neuronal ferroptosis by inhibiting calcium efflux following intracerebral hemorrhagic stroke.

Applications

Unspecified application

Species

Unspecified reactive species

Tingting Sun,Jian-Nan Zhang,Ting Lan,Lei Shi,Liye Hu,Liyan Yan,Chao Wei,Lisha Hei,Weihua Wu,Zhaoli Luo,Meng Liu,Xingmei Ren,Yamei Wang,Yabin Lu,Peipei Wang,Chenguang Zhang,Liheng Bian,Xingquan Zhao,Fei Yang,Qian Li

Cardiovascular toxicology 25:34-47 PubMed39521734

2024

Isoprenaline Inhibits Histone Demethylase LSD1 to Induce Cardiac Hypertrophy.

Applications

Unspecified application

Species

Unspecified reactive species

Lili Wu,Bo Yang,Yingze Sun,Guanwei Fan,Lina Ma,Ying Ma,Xianjia Xiong,Hui Zhou,Huiping Wang,Ling Zhang,Bing Yang

Plant cell reports 43:232 PubMed39283352

2024

Connecting high-resolution 3D chromatin maps with cell division and cell differentiation at the root apical meristem.

Applications

Unspecified application

Species

Unspecified reactive species

Lara Caballero,Taras Pasternak,Riyazuddin Riyazuddin,José Manuel Pérez-Pérez

iScience 27:110380 PubMed39165843

2024

Reorganization of H3K9me heterochromatin leads to neuronal impairment via the cascading destruction of the KDM3B-centered epigenomic network.

Applications

Unspecified application

Species

Unspecified reactive species

Mi-Jin An,Ji-Young Kim,Jinho Kim,Dae-Hyun Kim,Geun-Seup Shin,Hyun-Min Lee,Ah-Ra Jo,Yuna Park,Yujeong Hwangbo,Chul-Hong Kim,Mi Jin Kim,Youn-Sang Jung,Jeongkyu Kim,Sangmyung Rhee,Sang-Beom Seo,Jung-Woong Kim

Stem cell reports 19:906-921 PubMed38729154

2024

Reduction of H3K9 methylation by G9a inhibitors improves the development of mouse SCNT embryos.

Applications

Unspecified application

Species

Unspecified reactive species

Shogo Matoba,Daiki Shikata,Fumiyuki Shirai,Takaki Tatebe,Michiko Hirose,Akiko Nakata,Naomi Watanabe,Ayumi Hasegawa,Akihiro Ito,Minoru Yoshida,Atsuo Ogura

Acta pharmaceutica Sinica. B 14:712-728 PubMed38322347

2024

The lysine methyltransferase SMYD2 facilitates neointimal hyperplasia by regulating the HDAC3-SRF axis.

Applications

Unspecified application

Species

Unspecified reactive species

Xiaoxuan Zhong,Xiang Wei,Yan Xu,Xuehai Zhu,Bo Huo,Xian Guo,Gaoke Feng,Zihao Zhang,Xin Feng,Zemin Fang,Yuxuan Luo,Xin Yi,Ding-Sheng Jiang

Scientific reports 13:19885 PubMed37963940

2023

SETD5 regulates the OGT-catalyzed O-GlcNAcylation of RNA polymerase II, which is involved in the stemness of colorectal cancer cells.

Applications

Unspecified application

Species

Unspecified reactive species

Hye In Cho,Sora Jo,Min Seong Kim,Han Byeol Kim,Xingzhe Liu,Yanhua Xuan,Jin Won Cho,Yeun Kyu Jang

Journal of translational medicine 21:716 PubMed37828515

2023

Dissecting transcription of the 8q24-MYC locus in prostate cancer recognizes the equilibration between androgen receptor direct and indirect dual-functions.

Applications

Unspecified application

Species

Unspecified reactive species

Ju Guo,Zhao Wei,Tianwei Jia,Liyang Wang,Nuosu Nama,Jiaqian Liang,Xinghua Liao,Xiaming Liu,Yanfei Gao,Xiaoqiang Liu,Keshan Wang,Bin Fu,Shaoyong Shawn Chen

International journal of molecular sciences 24: PubMed37629184

2023

SET Domain Group 703 Regulates Planthopper Resistance by Suppressing the Expression of Defense-Related Genes.

Applications

Unspecified application

Species

Unspecified reactive species

Peizheng Wen,Jun He,Qiong Zhang,Hongzhi Qi,Aoran Zhang,Daoming Liu,Quanguang Sun,Yongsheng Wang,Qi Li,Wenhui Wang,Zhanghao Chen,Yunlong Wang,Yuqiang Liu,Jianmin Wan
View all publications

Abcam Product Promise

我们致力于为您的研究提供高质量的试剂,为您科研的每一步提供支持。若我们的产品未能达到预期性能,我们向您提供 Abcam Product Promise 保障。
详情请参阅我们的条款与条件。

Please note: All products are 'FOR RESEARCH USE ONLY. NOT FOR USE IN DIAGNOSTIC OR THERAPEUTIC PROCEDURES'.

For licensing inquiries, please contact partnerships@abcam.com