JavaScript is disabled in your browser. Please enable JavaScript to view this website.
AB1220

Anti-Histone H3 (di methyl K9) 抗体 [mAbcam 1220] - ChIP Grade

Anti-Histone H3 (di methyl K9) antibody [mAbcam 1220] - ChIP Grade

5

(72 Reviews)

|

(1089 Publications)

Anti-Histone H3 (di methyl K9) antibody [mAbcam 1220] - ChIP Grade (ab1220) is a mouse monoclonal antibody detecting Histone H3 in Western Blot, IP, IHC-P, ICC/IF, ELISA, ChIP, Dot Blot. Suitable for Arabidopsis, Cow, Drosophila, Human, Rice.

- Over 960 publications
- Trusted since 2005

查看别名

H3FA, HIST1H3A, H3C2, H3FL, HIST1H3B, H3C3, H3FC HIST1H3C, H3C4, H3FB, HIST1H3D, H3C6, H3FD, HIST1H3E, H3C7, H3FI, HIST1H3F, H3C8, H3FH, HIST1H3G, H3C10, H3FK, HIST1H3H, H3C11, H3FF, HIST1H3I, H3C12, H3FJ, HIST1H3J, H3C1, H3FC, HIST1H3C, Histone H3.1, Histone H3/a, Histone H3/b, Histone H3/c, Histone H3/d, Histone H3/f, Histone H3/h, Histone H3/i, Histone H3/j, Histone H3/k, Histone H3/l, H3K9me2, H3K9me, H3K9

12 Images
ChIP - Anti-Histone H3 (di methyl K9) antibody [mAbcam 1220] - ChIP Grade (AB1220)
  • ChIP

Unknown

ChIP - Anti-Histone H3 (di methyl K9) antibody [mAbcam 1220] - ChIP Grade (AB1220)

Chromatin was prepared from U2OS cells according to the Abcam X-ChIP protocol. Cells were fixed with formaldehyde for 10min. The ChIP was performed with 25μg of chromatin, 2μg of ab1220 (blue), and 20μl of Protein A/G sepharose beads. No antibody was added to the beads control (yellow). The immunoprecipitated DNA was quantified by real time PCR (Taqman approach for active and inactive loci, Sybr green approach for heterochromatic loci). Primers and probes are located in the first Kb of the transcribed region.

Immunocytochemistry/ Immunofluorescence - Anti-Histone H3 (di methyl K9) antibody [mAbcam 1220] - ChIP Grade (AB1220)
  • ICC/IF

Lab

Immunocytochemistry/ Immunofluorescence - Anti-Histone H3 (di methyl K9) antibody [mAbcam 1220] - ChIP Grade (AB1220)

ab1220 staining Histone H3 (di methyl K9) in HeLa (Human cervix adenocarcinoma epithelial cell) cells. The cells were fixed with 4% PFA (10 mins), permeabilized with 0.1% Triton X-100 for 5 minutes and then blocked with 1% BSA/10% normal goat serum/0.3M glycine in 0.1% PBS-Tween for 1h. The cells were then incubated overnight at +4°C with ab1220 at 5 µg/ml and ab190573, Rabbit monoclonal to alpha Tubulin (Alexa Fluor® 647), at 2 µg/ml (shown in red). The secondary antibody (shown in green) was ab150117, Alexa Fluor® 488 Goat anti-Mouse IgG (H+L) used at a 1/1000 dilution for 1h at room temperature. Nuclear DNA was labelled with DAPI (shown in blue). Image was acquired with a high-content analyser (Operetta CLS, Perkin Elmer) and a maximum intensity projection of confocal sections is shown. This product also gave a positive outcome under the same testing conditions in HeLa cells fixed with 100% methanol (5 mins).

ChIP - Anti-Histone H3 (di methyl K9) antibody [mAbcam 1220] - ChIP Grade (AB1220)
  • ChIP

PubMed

ChIP - Anti-Histone H3 (di methyl K9) antibody [mAbcam 1220] - ChIP Grade (AB1220)

Chen L et al investigates role of Trim 28 (Tripartite motif containing 28) in the epithelial to mesenchymal transition which is implicated in cancer metastasis. ChIP was performed using ab1220. ChIP assay was performed in Trim 28 knockdown A549 cells and control (A). ChIP assay was performed in control and Trim28 expressed in A549 cells (B).

Image from Chen L et al., PLoS One 9(7), Fig 6. Doi: 10.1371/journal.pone.0101040 Reproduced under the Creative Commons license http://creativecommons.org/licenses/by/4.0/

ChIP - Anti-Histone H3 (di methyl K9) antibody [mAbcam 1220] - ChIP Grade (AB1220)
  • ChIP

PubMed

ChIP - Anti-Histone H3 (di methyl K9) antibody [mAbcam 1220] - ChIP Grade (AB1220)

Alarcon V et al investigates the effects of pargyline due to inhibition of LSD1. Levels of LSD1 protein were reduced using siRNA (siLSD1). Huh7 (Human hepatocellular carcinoma) cells were treated with and without siLSD1 and incubated for 24 hours before transfection of HBV genome (A). Western blot analysis shows the reduction of LSD1 after treatment. Covalent post-translational modifications on Histone H3 was determined by ChIP using ab1220 as one of the specific antibodies (C-G). HBV cccDNA and cytoplasmic levels were determined by qPCR (H).

Image from Alarcon V et al., Sci Rep 13(6), Fig 4. Doi: 10.1038/srep25901. Reproduced under the Creative Commons license http://creativecommons.org/licenses/by/4.0/

ELISA - Anti-Histone H3 (di methyl K9) antibody [mAbcam 1220] - ChIP Grade (AB1220)
  • ELISA

Unknown

ELISA - Anti-Histone H3 (di methyl K9) antibody [mAbcam 1220] - ChIP Grade (AB1220)

ELISA using ab1220 at varying antibody concentrations.

The purple line indicates binding to the Human Histone H3 (di methyl K9) peptide ab1772. Binding to the following peptides was not seen :
Human Histone H3 (unmodified ) peptide (ab2903),
Human Histone H3 (mono methyl K9) peptide (ab1771),
Human Histone H3 (tri methyl K9) peptide (ab1773),
Human Histone H3 (di methyl K27) peptide (ab1781),
Human Histone H3 (tri methyl K27) peptide (ab1782),
Human Histone H3 (mono methyl K4) peptide (ab1340),
Human Histone H3 (di methyl K4) peptide (ab7768),
Human Histone H3 (tri methyl K4) peptide (ab1342).

This indicates the specificity of ab1220 for di methyl K9 of Histone H3.

ChIP - Anti-Histone H3 (di methyl K9) antibody [mAbcam 1220] - ChIP Grade (AB1220)
  • ChIP

PubMed

ChIP - Anti-Histone H3 (di methyl K9) antibody [mAbcam 1220] - ChIP Grade (AB1220)

ChIP was performed using ab1220. Naïve Mouse ES cells were resuspended in PBS and crosslinked with 1% formaldehyde for 5 minutes at room temperature. Crosslinking was quenched with 125m M glycine. A mouse anti IgG (ab18413) was used as a control. ChIP -seq for H3K9me2 in ES cells treated with and without vitamin C (image a). H3K9me2 signal genome-wide was plotted comparing untreated and vitamin C-treated cells (image b). Fold change for average H3K9me2 signal at gene promoters. Most gene promoters display a reduction in H3K9me2 in vitamin C-treated ES cells (image c). ChIP-qPCR for H3K9me2 in ES cells with or without vitamin C at gene promoters. ChIP for IgG was performed as a negative control (image d). Asterisks represent P < 0.05 by t test

Image from Ebata KT et al., Epigenetics Chromatin 10(36), Fig 2. Doi: 10.1186/s13072-017-0143-3 Reproduced under the Creative Commons license http://creativecommons.org/licenses/by/4.0/.

Western blot - Anti-Histone H3 (di methyl K9) antibody [mAbcam 1220] - ChIP Grade (AB1220)
  • WB

Unknown

Western blot - Anti-Histone H3 (di methyl K9) antibody [mAbcam 1220] - ChIP Grade (AB1220)

Lane 1 : Marker.

All blocking and antibody incubation steps were done with 5% milk in 20mM Tris-HCL, and 0.1% TWEEN-20.

All lanes:

Western blot - Anti-Histone H3 (di methyl K9) antibody [mAbcam 1220] - ChIP Grade (ab1220) at 1 µg/mL

All lanes:

HeLa (Human epitherlial carcinoma cell line) Whole Cell Lysate at 20 µg

Secondary

All lanes:

Goat polyclonal to Mouse IgG-H&L- Pre-Adsorbed (HRP) at 1/10000 dilution

Predicted band size: 15 kDa

Observed band size: 17 kDa

true

Exposure time: 5min

Dot Blot - Anti-Histone H3 (di methyl K9) antibody [mAbcam 1220] - ChIP Grade (AB1220)
  • Dot

Supplier Data

Dot Blot - Anti-Histone H3 (di methyl K9) antibody [mAbcam 1220] - ChIP Grade (AB1220)

Dot blot analysis of Histone H3 (di methyl K9) with ab1220 at 1/1000 dilution (0.889 μg/mL) followed by Peroxidase-Conjugated Goat anti-Mouse IgG (H+L) at 1/10000 dilution. Lane 1 : Human Histone H3 peptide Lane 2 : Human Histone H3 (Mono-Methylation R8) peptide Lane 3 : Human Histone H3 (Di-Methylation R8) peptide Lane 4 : Human Histone H3 (Tri-Methylation R8) peptide Lane 5 : Human Histone H3 (Mono-Methylation K9) peptide Lane 6 : Human Histone H3 (Di-Methylation K9) peptide Lane 7 : Human Histone H3 (Tri-Methylation K9) peptide Lane 8 : Human Histone H3 (Mono-Methylation K4) peptide Lane 9 : Human Histone H3 (Di-Methylation K4) peptide Lane 10 : Human Histone H3 (Tri-Methylation K4) peptide ab1220 has some cross-reactivity with H3R8me2 in peptide dot blot. Further optimization is needed to minimize the cross-reactivity in assays similar to peptide dot blot Blocking and dilution buffer : 5% NFDM/TBST. Exposure time : 180 seconds

Western blot - Anti-Histone H3 (di methyl K9) antibody [mAbcam 1220] - ChIP Grade (AB1220)
  • WB

AbReview61704****

Western blot - Anti-Histone H3 (di methyl K9) antibody [mAbcam 1220] - ChIP Grade (AB1220)

Blocking buffer : 5% milk

All lanes:

Western blot - Anti-Histone H3 (di methyl K9) antibody [mAbcam 1220] - ChIP Grade (ab1220) at 1/1000 dilution

All lanes:

HEK293 at 30 µg

Secondary

All lanes:

HRP conjugated polyclonal Sheep anti-Mouse IgG at 1/5000 dilution

Predicted band size: 15 kDa

false

This image is courtesy of an anonymous abreview.

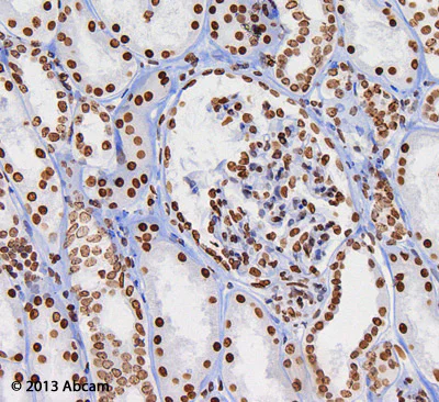
Immunohistochemistry (Formalin/PFA-fixed paraffin-embedded sections) - Anti-Histone H3 (di methyl K9) antibody [mAbcam 1220] - ChIP Grade (AB1220)
  • IHC-P

Unknown

Immunohistochemistry (Formalin/PFA-fixed paraffin-embedded sections) - Anti-Histone H3 (di methyl K9) antibody [mAbcam 1220] - ChIP Grade (AB1220)

ab1220 staining human kidney sections by IHC-P using EXPOSE IHC detection kit (ab80436). Formalin fixed paraffin embedded tissue sections were pre-treated using heat mediated antigen retrieval (using a pressure cooker) with sodium citrate buffer (pH6) for 30 mins. The section was incubated with ab1220, 5μg/ml, for 1 hour at room temperature. DAB was used as the chromogen and the section was counterstained with haematoxylin and mounted with DPX.

Western blot - Anti-Histone H3 (di methyl K9) antibody [mAbcam 1220] - ChIP Grade (AB1220)
  • WB

Project

Western blot - Anti-Histone H3 (di methyl K9) antibody [mAbcam 1220] - ChIP Grade (AB1220)

All lanes : Anti-Histone H3 (di methyl K9) antibody [mAbcam 1220] - ChIP Grade (ab1220)

Lane 1 : Calf thymus histone lysate
Lane 2 : Calf thymus histone lysate with Histone H3 peptide - unmodified at 1 μg/ml
Lane 3 : Calf thymus histone lysate with Human Histone H3 (mono methyl K9) peptide (ab1771) at 1 μg/ml
Lane 4 : Calf thymus histone lysate with Human Histone H3 (di methyl K9) peptide (ab1772) at 1 μg/ml
Lane 5 : Calf thymus histone lysate with Human Histone H3 (tri methyl K9) peptide (ab1773) at 1 μg/ml
Lane 6 : Calf thymus histone lysate with Histone H3 (di methyl K4) peptide (ab7768) at 1 μg/ml
Lane 7 : Calf thymus histone lysate with Human Histone H3 (di methyl K27) peptide (ab1781) at 1 μg/ml

Secondary
Rabbit Anti-Mouse IgG H&L (HRP) (ab6728) at 1/5000 dilution
developed using the ECL technique

Performed under reducing conditions.

Predicted band size : 17 kDa

Exposure time : 1 minute

All lanes:

Western blot - Anti-Histone H3 (di methyl K9) antibody [mAbcam 1220] - ChIP Grade (ab1220) at 1 µg/mL

Lanes 1, 3, 4, 5, 6 and 7:

Calf thymus histone lysate

Lane 2:

Calf thymus histone lysate with Histone H3 peptide - unmodified

Secondary

All lanes:

Western blot - Rabbit Anti-Mouse IgG H&L (HRP) (<a href='/products/secondary-antibodies/rabbit-mouse-igg-h-l-hrp-ab6728'>ab6728</a>) at 1/5000 dilution

Predicted band size: 15 kDa

true

Exposure time: 1min

Western blot - Anti-Histone H3 (di methyl K9) antibody [mAbcam 1220] - ChIP Grade (AB1220)
  • WB

AbReview39032****

Western blot - Anti-Histone H3 (di methyl K9) antibody [mAbcam 1220] - ChIP Grade (AB1220)

All lanes:

Western blot - Anti-Histone H3 (di methyl K9) antibody [mAbcam 1220] - ChIP Grade (ab1220) at 2.5 µg/mL

Lane 1:

Fruit fly embryo tissue lysate - nuclear at 4.5 µg

Lane 2:

Fruit fly embryo tissue lysate - nuclear at 1.5 µg

Lane 3:

Fruit fly embryo tissue lysate - nuclear at 0.5 µg

Secondary

All lanes:

HRP-conjugated Goat anti-mouse IgG polyclonal at 1/2000 dilution

Predicted band size: 15 kDa

Observed band size: 15 kDa

true

Exposure time: 1min

This image is courtesy of an anonymous Abreview

不同偶联物与剂型 (3)

  • 519 Alexa Fluor® 488

    Alexa Fluor® 488 Anti-Histone H3 (di methyl K9) antibody [mAbcam 1220]

  • HRP

    HRP Anti-Histone H3 (di methyl K9) antibody [mAbcam 1220]

  • 665 Alexa Fluor® 647

    Alexa Fluor® 647 Anti-Histone H3 (di methyl K9) antibody [mAbcam 1220]

关键信息

宿主种属

Mouse

克隆

Monoclonal

克隆号

mAbcam 1220

亚型

IgG2a

轻链类型

kappa

不含载体蛋白

No

反应种属

Drosophila melanogaster, Rice, Cow, Human, Arabidopsis thaliana

应用

ICC/IF, Dot, WB, ChIP, ELISA, IHC-P

applications

免疫原

The exact immunogen used to generate this antibody is proprietary information.

特异性

By peptide ELISA ab1220 recognizes di methyl K9, but not unmodified K9, mono methyl K9, tri methyl K9, di methyl K27, tri methyl K27, mono methyl K4, di methyl K4 or tri methyl K4. By Western blot ab1220 is blocked by di methyl K9, but not by unmodified K9, mono methyl K9, tri methyl K9, di methyl K27, tri methyl K27, mono methyl K4, di methyl K4 or tri methyl K4. This indicates the specificity of ab1220 for di methyl K9 of Histone H3.

反应性数据

{ "title": "Reactivity Data", "filters": { "stats": ["", "Species", "Dilution Info", "Notes"], "tabs": { "all-applications": {"fullname" : "All Applications", "shortname": "All Applications"}, "Dot" : {"fullname" : "Dot Blot", "shortname":"Dot"}, "ICCIF" : {"fullname" : "Immunocytochemistry/ Immunofluorescence", "shortname":"ICC/IF"}, "ChIP" : {"fullname" : "ChIP", "shortname":"ChIP"}, "ELISA" : {"fullname" : "ELISA", "shortname":"ELISA"}, "WB" : {"fullname" : "Western blot", "shortname":"WB"}, "IHCP" : {"fullname" : "Immunohistochemistry (Formalin/PFA-fixed paraffin-embedded sections)", "shortname":"IHC-P"} }, "product-promise": { "all": "all", "testedAndGuaranteed": "tested", "guaranteed": "expected", "predicted": "predicted", "notRecommended": "not-recommended" } }, "values": { "Human": { "Dot-species-checked": "testedAndGuaranteed", "Dot-species-dilution-info": "1/1000", "Dot-species-notes": "<p>ab1220 has some cross-reactivity with H3R8me2 in peptide dot blot. Further optimization is needed to minimize the cross-reactivity in assays similar to peptide dot blot.</p>", "ICCIF-species-checked": "testedAndGuaranteed", "ICCIF-species-dilution-info": "5 µg/mL", "ICCIF-species-notes": "<p></p>", "ChIP-species-checked": "testedAndGuaranteed", "ChIP-species-dilution-info": "2-4 µg for 25 µg chromatin", "ChIP-species-notes": "<p>Use AFM ChIP primer pair <a href='/products/reagents/afm-positive-control-chip-primer-pair-ab269259'>ab269259</a> as positive control.</p>", "ELISA-species-checked": "testedAndGuaranteed", "ELISA-species-dilution-info": "0.00025-1 µg/mL", "ELISA-species-notes": "<p>when testing with immunogen peptide.</p>", "WB-species-checked": "testedAndGuaranteed", "WB-species-dilution-info": "1-5 µg/mL", "WB-species-notes": "<p></p>", "IHCP-species-checked": "testedAndGuaranteed", "IHCP-species-dilution-info": "", "IHCP-species-notes": "<p></p>" }, "Mouse": { "Dot-species-checked": "predicted", "Dot-species-dilution-info": "", "Dot-species-notes": "", "ICCIF-species-checked": "predicted", "ICCIF-species-dilution-info": "", "ICCIF-species-notes": "", "ChIP-species-checked": "predicted", "ChIP-species-dilution-info": "", "ChIP-species-notes": "", "ELISA-species-checked": "predicted", "ELISA-species-dilution-info": "", "ELISA-species-notes": "", "WB-species-checked": "predicted", "WB-species-dilution-info": "", "WB-species-notes": "", "IHCP-species-checked": "predicted", "IHCP-species-dilution-info": "", "IHCP-species-notes": "" }, "Rat": { "Dot-species-checked": "predicted", "Dot-species-dilution-info": "", "Dot-species-notes": "", "ICCIF-species-checked": "predicted", "ICCIF-species-dilution-info": "", "ICCIF-species-notes": "", "ChIP-species-checked": "predicted", "ChIP-species-dilution-info": "", "ChIP-species-notes": "", "ELISA-species-checked": "predicted", "ELISA-species-dilution-info": "", "ELISA-species-notes": "", "WB-species-checked": "predicted", "WB-species-dilution-info": "", "WB-species-notes": "", "IHCP-species-checked": "predicted", "IHCP-species-dilution-info": "", "IHCP-species-notes": "" }, "Arabidopsis thaliana": { "Dot-species-checked": "predicted", "Dot-species-dilution-info": "", "Dot-species-notes": "", "ICCIF-species-checked": "predicted", "ICCIF-species-dilution-info": "", "ICCIF-species-notes": "", "ChIP-species-checked": "guaranteed", "ChIP-species-dilution-info": "2-4 µg for 25 µg chromatin", "ChIP-species-notes": "<p>Use AFM ChIP primer pair <a href='/products/reagents/afm-positive-control-chip-primer-pair-ab269259'>ab269259</a> as positive control.</p>", "ELISA-species-checked": "predicted", "ELISA-species-dilution-info": "", "ELISA-species-notes": "", "WB-species-checked": "predicted", "WB-species-dilution-info": "", "WB-species-notes": "", "IHCP-species-checked": "predicted", "IHCP-species-dilution-info": "", "IHCP-species-notes": "" }, "Caenorhabditis elegans": { "Dot-species-checked": "predicted", "Dot-species-dilution-info": "", "Dot-species-notes": "", "ICCIF-species-checked": "predicted", "ICCIF-species-dilution-info": "", "ICCIF-species-notes": "", "ChIP-species-checked": "predicted", "ChIP-species-dilution-info": "", "ChIP-species-notes": "", "ELISA-species-checked": "predicted", "ELISA-species-dilution-info": "", "ELISA-species-notes": "", "WB-species-checked": "predicted", "WB-species-dilution-info": "", "WB-species-notes": "", "IHCP-species-checked": "predicted", "IHCP-species-dilution-info": "", "IHCP-species-notes": "" }, "Chicken": { "Dot-species-checked": "predicted", "Dot-species-dilution-info": "", "Dot-species-notes": "", "ICCIF-species-checked": "predicted", "ICCIF-species-dilution-info": "", "ICCIF-species-notes": "", "ChIP-species-checked": "predicted", "ChIP-species-dilution-info": "", "ChIP-species-notes": "", "ELISA-species-checked": "predicted", "ELISA-species-dilution-info": "", "ELISA-species-notes": "", "WB-species-checked": "predicted", "WB-species-dilution-info": "", "WB-species-notes": "", "IHCP-species-checked": "predicted", "IHCP-species-dilution-info": "", "IHCP-species-notes": "" }, "Common marmoset": { "Dot-species-checked": "predicted", "Dot-species-dilution-info": "", "Dot-species-notes": "", "ICCIF-species-checked": "predicted", "ICCIF-species-dilution-info": "", "ICCIF-species-notes": "", "ChIP-species-checked": "predicted", "ChIP-species-dilution-info": "", "ChIP-species-notes": "", "ELISA-species-checked": "predicted", "ELISA-species-dilution-info": "", "ELISA-species-notes": "", "WB-species-checked": "predicted", "WB-species-dilution-info": "", "WB-species-notes": "", "IHCP-species-checked": "predicted", "IHCP-species-dilution-info": "", "IHCP-species-notes": "" }, "Corn": { "Dot-species-checked": "predicted", "Dot-species-dilution-info": "", "Dot-species-notes": "", "ICCIF-species-checked": "predicted", "ICCIF-species-dilution-info": "", "ICCIF-species-notes": "", "ChIP-species-checked": "predicted", "ChIP-species-dilution-info": "", "ChIP-species-notes": "", "ELISA-species-checked": "predicted", "ELISA-species-dilution-info": "", "ELISA-species-notes": "", "WB-species-checked": "predicted", "WB-species-dilution-info": "", "WB-species-notes": "", "IHCP-species-checked": "predicted", "IHCP-species-dilution-info": "", "IHCP-species-notes": "" }, "Cow": { "Dot-species-checked": "guaranteed", "Dot-species-dilution-info": "", "Dot-species-notes": "", "ICCIF-species-checked": "guaranteed", "ICCIF-species-dilution-info": "", "ICCIF-species-notes": "", "ChIP-species-checked": "guaranteed", "ChIP-species-dilution-info": "", "ChIP-species-notes": "", "ELISA-species-checked": "guaranteed", "ELISA-species-dilution-info": "", "ELISA-species-notes": "", "WB-species-checked": "testedAndGuaranteed", "WB-species-dilution-info": "1-5 µg/mL", "WB-species-notes": "<p></p>", "IHCP-species-checked": "guaranteed", "IHCP-species-dilution-info": "", "IHCP-species-notes": "" }, "Drosophila melanogaster": { "Dot-species-checked": "guaranteed", "Dot-species-dilution-info": "", "Dot-species-notes": "", "ICCIF-species-checked": "guaranteed", "ICCIF-species-dilution-info": "", "ICCIF-species-notes": "", "ChIP-species-checked": "guaranteed", "ChIP-species-dilution-info": "", "ChIP-species-notes": "", "ELISA-species-checked": "guaranteed", "ELISA-species-dilution-info": "", "ELISA-species-notes": "", "WB-species-checked": "testedAndGuaranteed", "WB-species-dilution-info": "1-5 µg/mL", "WB-species-notes": "<p></p>", "IHCP-species-checked": "guaranteed", "IHCP-species-dilution-info": "", "IHCP-species-notes": "" }, "Rice": { "Dot-species-checked": "predicted", "Dot-species-dilution-info": "", "Dot-species-notes": "", "ICCIF-species-checked": "predicted", "ICCIF-species-dilution-info": "", "ICCIF-species-notes": "", "ChIP-species-checked": "guaranteed", "ChIP-species-dilution-info": "2-4 µg for 25 µg chromatin", "ChIP-species-notes": "<p>Use AFM ChIP primer pair <a href='/products/reagents/afm-positive-control-chip-primer-pair-ab269259'>ab269259</a> as positive control.</p>", "ELISA-species-checked": "predicted", "ELISA-species-dilution-info": "", "ELISA-species-notes": "", "WB-species-checked": "predicted", "WB-species-dilution-info": "", "WB-species-notes": "", "IHCP-species-checked": "predicted", "IHCP-species-dilution-info": "", "IHCP-species-notes": "" }, "Saccharomyces cerevisiae": { "Dot-species-checked": "predicted", "Dot-species-dilution-info": "", "Dot-species-notes": "", "ICCIF-species-checked": "predicted", "ICCIF-species-dilution-info": "", "ICCIF-species-notes": "", "ChIP-species-checked": "predicted", "ChIP-species-dilution-info": "", "ChIP-species-notes": "", "ELISA-species-checked": "predicted", "ELISA-species-dilution-info": "", "ELISA-species-notes": "", "WB-species-checked": "predicted", "WB-species-dilution-info": "", "WB-species-notes": "", "IHCP-species-checked": "predicted", "IHCP-species-dilution-info": "", "IHCP-species-notes": "" }, "Schizosaccharomyces pombe": { "Dot-species-checked": "predicted", "Dot-species-dilution-info": "", "Dot-species-notes": "", "ICCIF-species-checked": "predicted", "ICCIF-species-dilution-info": "", "ICCIF-species-notes": "", "ChIP-species-checked": "predicted", "ChIP-species-dilution-info": "", "ChIP-species-notes": "", "ELISA-species-checked": "predicted", "ELISA-species-dilution-info": "", "ELISA-species-notes": "", "WB-species-checked": "predicted", "WB-species-dilution-info": "", "WB-species-notes": "", "IHCP-species-checked": "predicted", "IHCP-species-dilution-info": "", "IHCP-species-notes": "" }, "Sheep": { "Dot-species-checked": "predicted", "Dot-species-dilution-info": "", "Dot-species-notes": "", "ICCIF-species-checked": "predicted", "ICCIF-species-dilution-info": "", "ICCIF-species-notes": "", "ChIP-species-checked": "predicted", "ChIP-species-dilution-info": "", "ChIP-species-notes": "", "ELISA-species-checked": "predicted", "ELISA-species-dilution-info": "", "ELISA-species-notes": "", "WB-species-checked": "predicted", "WB-species-dilution-info": "", "WB-species-notes": "", "IHCP-species-checked": "predicted", "IHCP-species-dilution-info": "", "IHCP-species-notes": "" }, "Xenopus laevis": { "Dot-species-checked": "predicted", "Dot-species-dilution-info": "", "Dot-species-notes": "", "ICCIF-species-checked": "predicted", "ICCIF-species-dilution-info": "", "ICCIF-species-notes": "", "ChIP-species-checked": "predicted", "ChIP-species-dilution-info": "", "ChIP-species-notes": "", "ELISA-species-checked": "predicted", "ELISA-species-dilution-info": "", "ELISA-species-notes": "", "WB-species-checked": "predicted", "WB-species-dilution-info": "", "WB-species-notes": "", "IHCP-species-checked": "predicted", "IHCP-species-dilution-info": "", "IHCP-species-notes": "" } } }

产品详情

Anti-Histone H3 (di methyl K9) antibody [mAbcam 1220] - ChIP Grade (ab1220) is a House Mouse Monoclonal antibody and is validated for use in ChIP, Dot, ELISA, ICC/IF, IHC-P, WB in human samples.

Anti-Histone H3 (di methyl K9) antibody [mAbcam 1220] - ChIP Grade (ab1220) has been cited over 961 times in peer reviewed journals and is trusted by the scientific community.

Abcams high quality validation processes ensure Anti-Histone H3 (di methyl K9) antibody [mAbcam 1220] - ChIP Grade (ab1220) has high sensitivity and specificity.

Anti-Histone H3 (di methyl K9) antibody [mAbcam 1220] - ChIP Grade (ab1220) has 71 independent reviews from customers.

Anti-Histone H3 (di methyl K9) antibody [mAbcam 1220] - ChIP Grade (ab1220) specifically detects Histone H3 Di Methyl-K9 (UniProt ID: P68431; Molecular weight: 15kDa) and is sold in 100 ug selling sizes.

Antibody clone mAbcam 1220 is also available pre-conjugated to a variety of labels for your convenience - HRP, Alexa Fluor® 488, Alexa Fluor® 647 (ab62168, ab2385, ab23851).

Histone H3 (di methyl K9), also known as H3K9me2, is an important epigenetic modification associated with gene silencing and heterochromatin formation. This anti histone H3 antibody detecting H3K9me2 is an essential tool for studying this modification's role in transcriptional repression and chromatin structure. Abnormal H3K9me2 levels are linked to various diseases, including cancer and neurological disorders. Monitoring di methyl K9 modifications can provide valuable insights into disease mechanisms and potential therapeutic targets.

Learn about ChIP assay kits, other ChIP antibodies, and more in the ChIP assay guide.

ChIP protocols:
ChIP protocol for cross-linking ChIP (X-ChIP)
Native ChIP protocol
Chromatin preparation from tissues for ChIP
ChIP troubleshooting
ChIP tips and tricks guide

This antibody clone [mAbcam 1220] is manufactured by Abcam.

If you require this antibody in a particular buffer formulation or a particular conjugate for your experiments, please contact orders@abcam.com or you can find further information here.

性能和储存信息

形式
Liquid
纯化工艺
Affinity purification
存储溶液
pH: 7.4 Preservative: 0.02% Sodium azide Constituents: PBS, 6.97% L-Arginine
运输条件
Blue Ice
推荐的短期储存时间
1-2 weeks
推荐的短期储存条件
+4°C
推荐的长期储存条件
-20°C
分装信息
Upon delivery aliquot
储存信息
Avoid freeze / thaw cycle

产品实验方案

For this product, it's our understanding that no specific protocols are required. You can visit:

靶点信息

The protein expressed by gene H3C1 is a core component of the nucleosome, which is essential for wrapping and compacting DNA into chromatin. This process restricts DNA accessibility to cellular machineries that use DNA as a template. Consequently, histones are central to transcription regulation, DNA repair, DNA replication, and chromosomal stability. DNA accessibility is regulated through a complex set of post-translational modifications of histones, known as the histone code, and through nucleosome remodeling. This supplementary information is collated from multiple sources and compiled automatically.
See full target information H3C1 di methyl K9

文献 (1089)

Recent publications for all applications. Explore the full list and refine your search

Nature communications 16:7293 PubMed40775213

2025

RNAi epimutations conferring antifungal drug resistance are inheritable.

Applications

Unspecified application

Species

Unspecified reactive species

Carlos Pérez-Arques,María Isabel Navarro-Mendoza,Ziyan Xu,Grit Walther,Joseph Heitman

Nature communications 16:7071 PubMed40750602

2025

USP17L promotes the 2-cell-like program through deubiquitination of H2AK119ub1 and ZSCAN4.

Applications

Unspecified application

Species

Unspecified reactive species

Panpan Shi,Xukun Lu,Kairang Jin,Linlin Liu,Guoxing Yin,Wenying Wang,Jiao Yang,Lijuan Wang,Lijun Dong,Wei Xie,Lin Liu

iScience 28:113059 PubMed40727931

2025

MGA directly recruits SETDB1/ATF7IP for histone H3K9me3 mark on meiosis-related genes in mouse embryonic stem cells.

Applications

Unspecified application

Species

Unspecified reactive species

Kousuke Uranishi,Masataka Hirasaki,Masazumi Nishimoto,Robert J Klose,Akihiko Okuda,Ayumu Suzuki

Cell death & disease 16:553 PubMed40701963

2025

H3K14 lactylation exacerbates neuronal ferroptosis by inhibiting calcium efflux following intracerebral hemorrhagic stroke.

Applications

Unspecified application

Species

Unspecified reactive species

Tingting Sun,Jian-Nan Zhang,Ting Lan,Lei Shi,Liye Hu,Liyan Yan,Chao Wei,Lisha Hei,Weihua Wu,Zhaoli Luo,Meng Liu,Xingmei Ren,Yamei Wang,Yabin Lu,Peipei Wang,Chenguang Zhang,Liheng Bian,Xingquan Zhao,Fei Yang,Qian Li

Nature communications 16:6803 PubMed40701999

2025

The histone H3 lysine 36 demethylase KDM2A/FBXL11 controls Polycomb-mediated gene repression and germ cell development in male mice.

Applications

Unspecified application

Species

Unspecified reactive species

Michael T Bocker,Grigorios Fanourgakis,Kristie Wetzel,Pavel A Komarov,Hélène Royo,Alexia Rohmer,Sunwoo Chun,Ching-Yeu Liang,Hubertus Kohler,Taiping Chen,Xiaohong Mao,Mark A Labow,Reginald A Valdez,Michael B Stadler,Dirk G de Rooij,Paola Capodieci,John Tallarico,Antoine H F M Peters,Thomas B Nicholson

Nature cell biology 27:1311-1326 PubMed40696106

2025

The nuclear periphery confers repression on H3K9me2-marked genes and transposons to shape cell fate.

Applications

Unspecified application

Species

Unspecified reactive species

Harold C Marin,Charlie Allen,Eric Simental,Eric W Martin,Barbara Panning,Bassem Al-Sady,Abigail Buchwalter

FASEB bioAdvances 7:e70035 PubMed40661662

2025

Matrix Stiffness Regulates TGFβ1-Induced αSMA Expression via a G9a-LATS-YAP Signaling Cascade.

Applications

Unspecified application

Species

Unspecified reactive species

Chinmay S Sankhe,Jessica L Sacco,Victoria L Crunkleton,Malcom Díaz García,Matthew J Bierowski,David Vidotto Rezende Soares,Jacob A Karnick,Rachel L Cecco,Arefeh Abbasi,Joy Kirigo,Thomas K Wood,Esther W Gomez

Nature communications 16:5687 PubMed40593778

2025

Natural variation in histone demethylase GmLDL2 confers flowering time divergence for geographical expansion in soybean.

Applications

Unspecified application

Species

Unspecified reactive species

Mengshi Liu,Yuan Fang,Jiacan Jiang,Huaizhen Chen,Bing Yang,Xiaomin Xu,Guoqiang Liu,Chen Ling,Zhicheng Dong,Cunyi Yang,Yingxiang Wang

iScience 28:112612 PubMed40510131

2025

KDM3A and KDM3B regulate alternative splicing in mouse pluripotent stem cells.

Applications

Unspecified application

Species

Unspecified reactive species

Caleb M Dillingham,Harshini Cormaty,Ellen C Morgan,Andrew I Tak,Dakarai E Esgdaille,Paul L Boutz,Rupa Sridharan

Science advances 11:eadu1864 PubMed40446033

2025

Mechanistic insights into the stimulation of the histone H3K9 methyltransferase Clr4 by proximal H3K14 ubiquitination.

Applications

Unspecified application

Species

Unspecified reactive species

Yunxiang Du,Maoshen Sun,Zhengqing Li,Xiangwei Wu,Qian Qu,Huasong Ai,Lei Liu
View all publications

Abcam Product Promise

我们致力于为您的研究提供高质量的试剂,为您科研的每一步提供支持。若我们的产品未能达到预期性能,我们向您提供 Abcam Product Promise 保障。
详情请参阅我们的条款与条件。

Please note: All products are 'FOR RESEARCH USE ONLY. NOT FOR USE IN DIAGNOSTIC OR THERAPEUTIC PROCEDURES'.

For licensing inquiries, please contact partnerships@abcam.com