JavaScript is disabled in your browser. Please enable JavaScript to view this website.
AB283863

重组Anti-Histone H3 (citrulline R2 + R8 + R17)抗体[RM1001] - BSA and Azide free

Anti-Histone H3 (citrulline R2 + R8 + R17) antibody [RM1001] - BSA and Azide free

Be the first to review this product! Submit a review

|

(0 Publication)

Anti-Histone H3 (citrulline R2 + R8 + R17) antibody [RM1001] - BSA and Azide free (ab283863) is a rabbit recombinant recombinant multiclonal antibody for Western Blot, Flow Cytometry (Intra), IP, ICC/IF, Dot Blot, PepArr. Suitable for Human, Mouse, Rat.

- BSA, sodium azide, and glycerol-free for easy conjugation
- Biophysical QC for unrivalled batch-batch consistency

查看别名

H3FA, HIST1H3A, H3C2, H3FL, HIST1H3B, H3C3, H3FC HIST1H3C, H3C4, H3FB, HIST1H3D, H3C6, H3FD, HIST1H3E, H3C7, H3FI, HIST1H3F, H3C8, H3FH, HIST1H3G, H3C10, H3FK, HIST1H3H, H3C11, H3FF, HIST1H3I, H3C12, H3FJ, HIST1H3J, HIST1H3C, H3FC, H3C1, Histone H3.1, Histone H3/a, Histone H3/b, Histone H3/c, Histone H3/d, Histone H3/f, Histone H3/h, Histone H3/i, Histone H3/j, Histone H3/k, Histone H3/l

7 Images
Immunocytochemistry/ Immunofluorescence - Anti-Histone H3 (citrulline R2 + R8 + R17) antibody [RM1001] - BSA and Azide free (AB283863)
  • ICC/IF

Lab

Immunocytochemistry/ Immunofluorescence - Anti-Histone H3 (citrulline R2 + R8 + R17) antibody [RM1001] - BSA and Azide free (AB283863)

Immunofluorescent analysis of 4% paraformaldehyde-fixed, 100% methanol permeabilized 293T (human embryonic kidney epithelial cell) cells labelling Histone H3 (citrulline R2 + R8 + R17) with primary antibody anti-Histone H3 (citrulline R2 + R8 + R17) (ab281584) at 1/2000 dilution, followed by Goat Anti-Rabbit IgG H&L (Alexa Fluor® 594) (ab150080) secondary antibody at 1/1000 dilution. Confocal image showing nuclear staining on 293T cells transfected with a human PADI4 expression vector containing a GFP tag, then treated with 10 mM CaCl2 and 10 μM ionomycin for 2 hours. The nuclear counter stain is DAPI (blue). This data was developed using ab281584, the same antibody clone in a different buffer formulation.

Flow Cytometry (Intracellular) - Anti-Histone H3 (citrulline R2 + R8 + R17) antibody [RM1001] - BSA and Azide free (AB283863)
  • Flow Cyt (Intra)

Lab

Flow Cytometry (Intracellular) - Anti-Histone H3 (citrulline R2 + R8 + R17) antibody [RM1001] - BSA and Azide free (AB283863)

Intracellular Flow Cytometry analysis of 293T (human embryonic kidney epithelial cell) transfected with myc-tagged PADI4 construct, then treated with 10mM CaCl2 and 10uM Ionomycin for 4h labeling Histone H3 (citrulline R2 + R8 + R17) with ab281584 at 1/500 dilution. Cells were fixed with 4% paraformaldehyde and permeabilised with 90% methanol. Goat anti rabbit IgG (Alexa Fluor® 488, ab150077) at 1/2000 dilution was used as a secondary antibody. Isotype control : Rabbit monoclonal IgG (ab172730)/left. This data was developed using ab281584, the same antibody clone in a different buffer formulation.

Immunoprecipitation - Anti-Histone H3 (citrulline R2 + R8 + R17) antibody [RM1001] - BSA and Azide free (AB283863)
  • IP

Supplier Data

Immunoprecipitation - Anti-Histone H3 (citrulline R2 + R8 + R17) antibody [RM1001] - BSA and Azide free (AB283863)

This data was developed using ab281584, the same antibody clone in a different buffer formulation.Histone H3 (citrulline R2 + R8 + R17) was immunoprecipitated from 0.35 mg HEK-293T (human embryonic kidney) transfected with PADI4 expression vector containing a GFP-tag treated with 10 mM calcium chloride and 10 μM lonomycin for 4 hours, whole cell lysate 10 μg with 281584 at 1/30 dilution (2μg in 0.35mg lysates). Western blot was performed on the immunoprecipitate using 281584 at 1/1000 dilution. VeriBlot for IP Detection Reagent (HRP)(ab131366) was used at 1/5000 dilution.

Lane 1 : HEK-293T (human embryonic kidney) transfected with PADI4 expression vector containing a GFP-tag treated with 10 mM calcium chloride and 10 μM lonomycin for 4 hours, whole cell lysate 10 μg.

Lane 2 : ab281584 IP in HEK-293T transfected with PADI4 expression vector containing a GFP-tag treated with 10 mM calcium chloride and 10 μM lonomycin for 4 hours whole cell lysate

Lane 3 : Rabbit monoclonal IgG (ab172730) instead of ab281584 in HEK-293T transfected with PADI4 expression vector containing a GFP-tag treated with 10 mM calcium chloride and 10 μM lonomycin for 4 hours whole cell lysate

Blocking and dilution buffer and concentration : 5% NFDM/TBST.

Exposure time : 10 seconds

All lanes:

Immunoprecipitation - Anti-Histone H3 (citrulline R2 + R8 + R17) antibody [RM1001] - BSA and Azide free (ab283863)

Predicted band size: 15 kDa

false

Western blot - Anti-Histone H3 (citrulline R2 + R8 + R17) antibody [RM1001] - BSA and Azide free (AB283863)
  • WB

Lab

Western blot - Anti-Histone H3 (citrulline R2 + R8 + R17) antibody [RM1001] - BSA and Azide free (AB283863)

This data was developed using ab281584, the same antibody clone in a different buffer formulation.

Blocking and diluting buffer and concentration : 5% NFDM/TBST

Exposure time : 180 seconds

All lanes:

Western blot - Anti-Histone H3 (citrulline R2 + R8 + R17) antibody [RM1001] - BSA and Azide free (ab283863) at 1/1000 dilution

Lane 1:

Untreated C6 (rat glial tumor glial cell) transfected with PADI4 expression vector containing a GFP-tag, whole cell lysate at 20 µg

Lane 2:

C6 transfected with PADI4 expression vector containing a GFP-tag treated with 10 mM calcium chloride and 10 µM lonomycin for 2 hours, whole cell lysate at 20 µg

Secondary

All lanes:

Western blot - Goat Anti-Rabbit IgG H&L (HRP) (<a href='/products/secondary-antibodies/goat-rabbit-igg-h-l-hrp-ab97051'>ab97051</a>) at 1/100000 dilution

Predicted band size: 15 kDa

false

Western blot - Anti-Histone H3 (citrulline R2 + R8 + R17) antibody [RM1001] - BSA and Azide free (AB283863)
  • WB

Lab

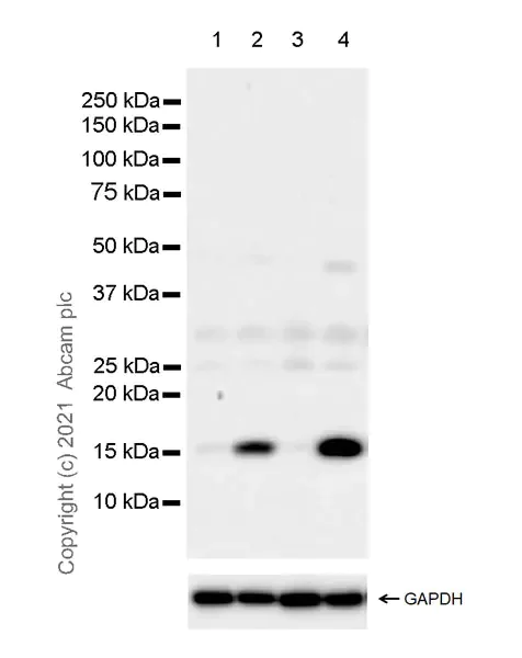
Western blot - Anti-Histone H3 (citrulline R2 + R8 + R17) antibody [RM1001] - BSA and Azide free (AB283863)

This data was developed using ab281584, the same antibody clone in a different buffer formulation.

Blocking and diluting buffer and concentration : 5% NFDM/TBST

Exposure time : 48 seconds

All lanes:

Western blot - Anti-Histone H3 (citrulline R2 + R8 + R17) antibody [RM1001] - BSA and Azide free (ab283863) at 1/1000 dilution

Lane 1:

Untreated HEK-293T (human embryonic kidney) transfected with PADI4 expression vector containing a myc-His-tag®, whole cell lysate at 20 µg

Lane 2:

HEK-293T transfected with PADI4 expression vector containing a myc-His-tag® treated with 10 mM calcium chloride and 10 µM lonomycin for 4 hours, whole cell lysate at 20 µg

Lane 3:

Untreated NIH/3T3 mouse embryonic fibroblast transfected with PADI4 expression vector containing a myc-His-tag®, whole cell lysate at 20 µg

Lane 4:

NIH/3T3 transfected with PADI4 expression vector containing a myc-His-tag® treated with 10 mM calcium chloride and 10 µM lonomycin for 4 hours, whole cell lysate at 20 µg

Secondary

All lanes:

Western blot - Goat Anti-Rabbit IgG H&L (HRP) (<a href='/products/secondary-antibodies/goat-rabbit-igg-h-l-hrp-ab97051'>ab97051</a>) at 1/100000 dilution

Predicted band size: 15 kDa

false

Peptide Array - Anti-Histone H3 (citrulline R2 + R8 + R17) antibody [RM1001] - BSA and Azide free (AB283863)
  • PepArr

Supplier Data

Peptide Array - Anti-Histone H3 (citrulline R2 + R8 + R17) antibody [RM1001] - BSA and Azide free (AB283863)

This data was developed using ab281584, the same antibody clone in a different buffer formulation.  Peptide array analysis of ab281584 at (0.1ug/ml) followed by a Goat Anti-Rabbit IgG, (H+L), Fluo 647nm conjugated at 1 : 50,000 dilution. All batches of ab281584 are tested in Peptide Array against 501 different modified and unmodified histone peptides; each peptide is printed on the array at six concentrations (each in triplicate). Circle area represents affinity between the antibody and a peptide : all antigen-containing peptides are displayed as red circles, all other peptides as blue circles. The affinity is calculated as area under curve when antibody binding values are plotted against the corresponding peptide concentration. Each circle area is normalized to the peptide with the strongest affinity. The complete dataset, including full list of all peptides and information on the position of each peptide in the diagram, can be downloaded from the 'documents' section.

Dot Blot - Anti-Histone H3 (citrulline R2 + R8 + R17) antibody [RM1001] - BSA and Azide free (AB283863)
  • Dot

Supplier Data

Dot Blot - Anti-Histone H3 (citrulline R2 + R8 + R17) antibody [RM1001] - BSA and Azide free (AB283863)

This data was developed using ab281584, the same antibody clone in a different buffer formulation.Dot blot analysis of Histone H3 (citrulline R2 + R8 + R17) using 281584 at 1/1000 (0.478 ug/ml) followed by a Goat Anti-Rabbit IgG, (H+L), Peroxidase conjugated (ab97051) at 1/100,000 dilution.

Lane 1 : Histone H3 (citrulline R2) peptide (aa 1-21)

Lane 2 : Histone H3 (citrulline R8) peptide (aa 1-21)

Lane 3 : Histone H3 (citrulline R17) peptide (aa 1-21)

Lane 4 : Histone H3 (citrulline R2/R8/R17) peptide (aa 1-21)

Lane 5 : Unmodified histone H3 peptide (aa 1-21)

Exposure time : 3 minutes

Blocking and diluting buffer and concentration : 5% NFDM/TBST

不同偶联物与剂型 (1)

  • Unconjugated

    Anti-Histone H3 (citrulline R2 + R8 + R17) antibody [RM1001]

关键信息

宿主种属

Rabbit

克隆

Multiclonal

克隆号

RM1001

亚型

IgG

不含载体蛋白

Yes

反应种属

Human, Rat, Mouse

应用

ICC/IF, IP, Dot, WB, Flow Cyt (Intra), PepArr

applications

免疫原

The exact immunogen used to generate this antibody is proprietary information.

反应性数据

{ "title": "Reactivity Data", "filters": { "stats": ["", "Species", "Dilution Info", "Notes"], "tabs": { "all-applications": {"fullname" : "All Applications", "shortname": "All Applications"}, "Dot" : {"fullname" : "Dot Blot", "shortname":"Dot"}, "IHCP" : {"fullname" : "Immunohistochemistry (Formalin/PFA-fixed paraffin-embedded sections)", "shortname":"IHC-P"}, "WB" : {"fullname" : "Western blot", "shortname":"WB"}, "ChIP" : {"fullname" : "ChIP", "shortname":"ChIP"}, "PepArr" : {"fullname" : "Peptide Array", "shortname":"PepArr"}, "IP" : {"fullname" : "Immunoprecipitation", "shortname":"IP"}, "FlowCytIntra" : {"fullname" : "Flow Cytometry (Intracellular)", "shortname":"Flow Cyt (Intra)"}, "ICCIF" : {"fullname" : "Immunocytochemistry/ Immunofluorescence", "shortname":"ICC/IF"} }, "product-promise": { "all": "all", "testedAndGuaranteed": "tested", "guaranteed": "expected", "predicted": "predicted", "notRecommended": "not-recommended" } }, "values": { "Human": { "Dot-species-checked": "guaranteed", "Dot-species-dilution-info": "", "Dot-species-notes": "", "IHCP-species-checked": "notRecommended", "IHCP-species-dilution-info": "", "IHCP-species-notes": "<p></p>", "WB-species-checked": "testedAndGuaranteed", "WB-species-dilution-info": "", "WB-species-notes": "<p>The up-regulation of PADI4 expression can induce the citrullination modification of Histone H3. Therefore, we suggest choosing cells overexpressing the PADI4 protein as the positive control.</p>", "ChIP-species-checked": "notRecommended", "ChIP-species-dilution-info": "", "ChIP-species-notes": "<p></p>", "PepArr-species-checked": "guaranteed", "PepArr-species-dilution-info": "", "PepArr-species-notes": "", "IP-species-checked": "testedAndGuaranteed", "IP-species-dilution-info": "", "IP-species-notes": "<p></p>", "FlowCytIntra-species-checked": "testedAndGuaranteed", "FlowCytIntra-species-dilution-info": "", "FlowCytIntra-species-notes": "<p></p>", "ICCIF-species-checked": "testedAndGuaranteed", "ICCIF-species-dilution-info": "", "ICCIF-species-notes": "<p></p>" }, "Mouse": { "Dot-species-checked": "guaranteed", "Dot-species-dilution-info": "", "Dot-species-notes": "", "IHCP-species-checked": "notRecommended", "IHCP-species-dilution-info": "", "IHCP-species-notes": "<p></p>", "WB-species-checked": "testedAndGuaranteed", "WB-species-dilution-info": "", "WB-species-notes": "<p>The up-regulation of PADI4 expression can induce the citrullination modification of Histone H3. Therefore, we suggest choosing cells overexpressing the PADI4 protein as the positive control.</p>", "ChIP-species-checked": "notRecommended", "ChIP-species-dilution-info": "", "ChIP-species-notes": "", "PepArr-species-checked": "guaranteed", "PepArr-species-dilution-info": "", "PepArr-species-notes": "", "IP-species-checked": "guaranteed", "IP-species-dilution-info": "", "IP-species-notes": "", "FlowCytIntra-species-checked": "guaranteed", "FlowCytIntra-species-dilution-info": "", "FlowCytIntra-species-notes": "", "ICCIF-species-checked": "guaranteed", "ICCIF-species-dilution-info": "", "ICCIF-species-notes": "" }, "Rat": { "Dot-species-checked": "guaranteed", "Dot-species-dilution-info": "", "Dot-species-notes": "", "IHCP-species-checked": "notRecommended", "IHCP-species-dilution-info": "", "IHCP-species-notes": "<p></p>", "WB-species-checked": "testedAndGuaranteed", "WB-species-dilution-info": "", "WB-species-notes": "<p>The up-regulation of PADI4 expression can induce the citrullination modification of Histone H3. Therefore, we suggest choosing cells overexpressing the PADI4 protein as the positive control.</p>", "ChIP-species-checked": "notRecommended", "ChIP-species-dilution-info": "", "ChIP-species-notes": "", "PepArr-species-checked": "guaranteed", "PepArr-species-dilution-info": "", "PepArr-species-notes": "", "IP-species-checked": "guaranteed", "IP-species-dilution-info": "", "IP-species-notes": "", "FlowCytIntra-species-checked": "guaranteed", "FlowCytIntra-species-dilution-info": "", "FlowCytIntra-species-notes": "", "ICCIF-species-checked": "guaranteed", "ICCIF-species-dilution-info": "", "ICCIF-species-notes": "" }, "Synthetic peptide - Human": { "Dot-species-checked": "testedAndGuaranteed", "Dot-species-dilution-info": "", "Dot-species-notes": "<p></p>", "IHCP-species-checked": "notRecommended", "IHCP-species-dilution-info": "", "IHCP-species-notes": "", "WB-species-checked": "notRecommended", "WB-species-dilution-info": "", "WB-species-notes": "", "ChIP-species-checked": "notRecommended", "ChIP-species-dilution-info": "", "ChIP-species-notes": "", "PepArr-species-checked": "testedAndGuaranteed", "PepArr-species-dilution-info": "", "PepArr-species-notes": "<p></p>", "IP-species-checked": "notRecommended", "IP-species-dilution-info": "", "IP-species-notes": "", "FlowCytIntra-species-checked": "notRecommended", "FlowCytIntra-species-dilution-info": "", "FlowCytIntra-species-notes": "", "ICCIF-species-checked": "notRecommended", "ICCIF-species-dilution-info": "", "ICCIF-species-notes": "" } } }

产品详情

What is this antibody validated in?
Anti-Histone H3 (citrulline R2 + R8 + R17) antibody [RM1001] - BSA and Azide free (ab283863) is a rabbit recombinant recombinant multiclonal antibody and is validated for use in Western Blot (WB), Flow Cytometry (Intra), Flow Cytometry (Flow Cyt), Immunoprecipitation (IP), Immunocytochemistry/immunofluorescence (ICC/IF), Dot Blot, Peptide Array in Human, Mouse, Rat samples.

What is the molecular weight of Histone H3?
Anti-Histone H3 (citrulline R2 + R8 + R17) [RM1001] - BSA and Azide free (ab283863) specifically detects a band for Histone H3 (UniProt: P68431) at a molecular weight of 15kDa.

Other related products
We have a range of other formats of antibody clone [RM1001] also available for your convenience: ab281584, Carrier free - ab283863

What are recombinant multiclonals?
Recombinant multiclonals are a mixture of recombinant antibodies co-expressed from a library of heavy and light chains. They offer several advantages including:

  • - The sensitivity of polyclonal antibodies by recognising multiple epitopes
  • - High batch-to-batch consistency and reproducibility
  • - Improved sensitivity and specificity
  • - Long-term security of supply
  • - Animal-free batch production

View our range of recombinant multiclonal antibodies.

Patented technology
Our RabMAb® technology is a patented hybridoma-based technology for making rabbit monoclonal antibodies. For details on our patents, please refer to RabMAb® patents.

Conjugation ready
Our carrier-free antibodies are typically supplied in a PBS-only formulation, purified and free of BSA, sodium azide and glycerol. This conjugation-ready format is designed for use with fluorochromes, metal isotopes, oligonucleotides, and enzymes, which makes them ideal for antibody labelling, functional and cell-based assays, flow-based assays (e.g. mass cytometry) and Multiplex Imaging applications.

Use our conjugation kits for antibody conjugates that are ready-to-use in as little as 20 minutes with 1 minute hands-on-time and 100% antibody recovery: available for fluorescent dyes, HRP, biotin and gold.

Compatibility
This product is compatible with the Maxpar® Antibody Labeling Kit from Fluidigm, without the need for antibody preparation. Maxpar® is a trademark of Fluidigm Canada Inc.

性能和储存信息

形式
Liquid
纯化工艺
Affinity purification Protein A
存储溶液
pH: 7.2 - 7.4 Constituents: PBS
运输条件
Blue Ice
推荐的短期储存条件
+4°C
推荐的长期储存条件
+4°C
储存信息
Do Not Freeze

产品实验方案

For this product, it's our understanding that no specific protocols are required. You can visit:

靶点信息

Core component of nucleosome. Nucleosomes wrap and compact DNA into chromatin, limiting DNA accessibility to the cellular machineries which require DNA as a template. Histones thereby play a central role in transcription regulation, DNA repair, DNA replication and chromosomal stability. DNA accessibility is regulated via a complex set of post-translational modifications of histones, also called histone code, and nucleosome remodeling.
See full target information H3C1 citrulline R2 + R8 + R17
peptideArrayWebsite
en

Abcam Product Promise

我们致力于为您的研究提供高质量的试剂,为您科研的每一步提供支持。若我们的产品未能达到预期性能,我们向您提供 Abcam Product Promise 保障。
详情请参阅我们的条款与条件。

Please note: All products are 'FOR RESEARCH USE ONLY. NOT FOR USE IN DIAGNOSTIC OR THERAPEUTIC PROCEDURES'.

For licensing inquiries, please contact partnerships@abcam.com