JavaScript is disabled in your browser. Please enable JavaScript to view this website.
AB219407

重组Anti-Histone H3 (citrulline R17)抗体[EPR20358-120]

Anti-Histone H3 (citrulline R17) antibody [EPR20358-120]

5

(1 Review)

|

(26 Publications)

Anti-Histone H3 (citrulline R17) antibody [EPR20358-120] (ab219407) is a rabbit monoclonal antibody detecting Histone H3 in Western Blot, Flow Cytometry (Intra), Flow Cytometry, IP, ICC/IF, ELISA. Suitable for Human, Mouse, Rat.

- Biophysical QC for unrivalled batch-batch consistency
- Over 10 publications

查看别名

H3FA, HIST1H3A, H3C2, H3FL, HIST1H3B, H3C3, H3FC HIST1H3C, H3C4, H3FB, HIST1H3D, H3C6, H3FD, HIST1H3E, H3C7, H3FI, HIST1H3F, H3C8, H3FH, HIST1H3G, H3C10, H3FK, HIST1H3H, H3C11, H3FF, HIST1H3I, H3C12, H3FJ, HIST1H3J, H3FC, HIST1H3C, H3C1, Histone H3.1, Histone H3/a, Histone H3/b, Histone H3/c, Histone H3/d, Histone H3/f, Histone H3/h, Histone H3/i, Histone H3/j, Histone H3/k, Histone H3/l, H3R17cit

8 Images
Flow Cytometry (Intracellular) - Anti-Histone H3 (citrulline R17) antibody [EPR20358-120] (AB219407)
  • Flow Cyt (Intra)

Lab

Flow Cytometry (Intracellular) - Anti-Histone H3 (citrulline R17) antibody [EPR20358-120] (AB219407)

Intracellular flow cytometric analysis of 4% paraformaldehyde-fixed HEK-293T (Human epithelial cell line from embryonic kidney) transfected with empty vector (left panel) or PADI4 (WT, right panel), then treated with 10mM CaCl2 and 10μM Ionomycin (ab120116) for 2 hours, labeling Histone H3 (citrulline R17)with ab219407 at 1/500 dilution, followed by Goat anti rabbit IgG (Alexa Fluor® 647) at 1/2000 dilution.

Positive signal is obtained from HEK-293T cells transfected with WT PADI4 treated with 10mM CaCl2 and 10μM Ionomycin (ab120116) for 2 hours.

Immunocytochemistry/ Immunofluorescence - Anti-Histone H3 (citrulline R17) antibody [EPR20358-120] (AB219407)
  • ICC/IF

Supplier Data

Immunocytochemistry/ Immunofluorescence - Anti-Histone H3 (citrulline R17) antibody [EPR20358-120] (AB219407)

Immunofluorescent analysis of 4% paraformaldehyde-fixed, 0.1% Triton X-100 permeabilized HEK-293T (Human epithelial cell line from embryonic kidney) cells transfected with GFP only or a GFP-tagged PADI4 expression construct, then treated with 10mM CaCl2 for 2 hours, labeling Histone H3 (citrulline R17) with ab219407 at 1/100 dilution, followed by Goat anti-rabbit IgG (Alexa Fluor® 488) (ab150077) secondary antibody at 1/1000 dilution (green).

Confocal image showing positive staining on HEK-293T cells transfected with a GFP-tagged PADI4 expression construct, then treated with 10mM CaCl2 for 2 hours.

The nuclear counterstain is DAPI (blue).

Tubulin is detected with ab195889 (Anti-alpha Tubulin antibody [DM1A] - Microtubule Marker (Alexa Fluor® 594)) at 1/200 dilution (red).

Secondary antibody only control : Used PBS instead of primary antibody, secondary antibody is Goat anti-rabbit IgG (Alexa Fluor® 488) (ab150077) at 1/1000 dilution.

Immunoprecipitation - Anti-Histone H3 (citrulline R17) antibody [EPR20358-120] (AB219407)
  • IP

Lab

Immunoprecipitation - Anti-Histone H3 (citrulline R17) antibody [EPR20358-120] (AB219407)

Histone H3 (citrulline R17) was immunoprecipitated from 0.35 mg of HEK-293T (Human epithelial cell line from embryonic kidney) transfected with PADI4 (WT), then treated with 10mM CaCl2 and 10μM Ionomycin (ab120116) for 2 hours, whole cell lysate with ab219407 at 1/30 dilution.

Western blot was performed from the immunoprecipitate using ab219407 at 1/1000 dilution.

VeriBlot for IP Detection Reagent (HRP) (ab131366), was used for detection at 1/10000 dilution.

Lane 1 : HEK-293T transfected with PADI4 (WT), then treated with 10mM CaCl2 and 10μM Ionomycin (ab120116) for 2 hours, whole cell lysate 10 μg (Input).
Lane 2 : ab219407 IP in HEK-293T transfected with PADI4 (WT), then treated with 10mM CaCl2 and 10μM Ionomycin (ab120116) for 2 hours, whole cell lysate.
Lane 3 : Rabbit monoclonal IgG (ab172730) instead of ab219407 in HEK-293T transfected with PADI4 (WT), then treated with 10mM CaCl2 and 10μM Ionomycin (ab120116) for 2 hours, whole cell lysate.

Blocking/Dilution buffer : 5% NFDM/TBST.

All lanes:

Immunoprecipitation - Anti-Histone H3 (citrulline R17) antibody [EPR20358-120] (ab219407)

Predicted band size: 15 kDa

false

Exposure time: 1s

Indirect ELISA - Anti-Histone H3 (citrulline R17) antibody [EPR20358-120] (AB219407)
  • I-ELISA

Supplier Data

Indirect ELISA - Anti-Histone H3 (citrulline R17) antibody [EPR20358-120] (AB219407)

ELISA analysis of Human Histone H3 (citrulline R17) recombinant protein at 100 ng/ml with ab219407. An Alkaline Phosphatase-conjugated AffiniPure Goat Anti-Rabbit IgG (H+L) at 1/2500 dilution was used as the secondary antibody.

Western blot - Anti-Histone H3 (citrulline R17) antibody [EPR20358-120] (AB219407)
  • WB

Supplier Data

Western blot - Anti-Histone H3 (citrulline R17) antibody [EPR20358-120] (AB219407)

Blocking/Dilution buffer : 5% BSA/TBST.

Exposure time : Lane 1 : 1 second; Lane 2 : 3 minutes.

Lane 1:

Western blot - Anti-Histone H3 (citrulline R17) antibody [EPR20358-120] (ab219407) at 1/1000 dilution

Lane 2:

Western blot - Anti-Histone H3 (citrulline R17) antibody [EPR20358-120] (ab219407) at 1/200 dilution

Lane 1:

E12 mouse embryo lysate at 10 µg

Lane 2:

E12 rat embryo lysate at 10 µg

Secondary

All lanes:

Western blot - Goat Anti-Rabbit IgG H&L (HRP) (<a href='/products/secondary-antibodies/goat-rabbit-igg-h-l-hrp-ab97051'>ab97051</a>) at 1/100000 dilution

Predicted band size: 15 kDa

Observed band size: 15 kDa

false

ELISA - Anti-Histone H3 (citrulline R17) antibody [EPR20358-120] (AB219407)
  • ELISA

Unknown

ELISA - Anti-Histone H3 (citrulline R17) antibody [EPR20358-120] (AB219407)

Direct ELISA using ab219407 at 0-1000 ng/ml, followed by Alkaline Phosphatase-conjugated AffiniPure Goat Anti-Rabbit IgG(H+L) at 1/2500 dilution.

Antigen concentration : 1000 ng/ml.

Western blot - Anti-Histone H3 (citrulline R17) antibody [EPR20358-120] (AB219407)
  • WB

Lab

Western blot - Anti-Histone H3 (citrulline R17) antibody [EPR20358-120] (AB219407)

Blocking/Dilution buffer : 5% BSA/TBST.

Histone H3R17 is citrullinated by PADI4 and CaCl2 is used as a cofactor according to the literature (PMID : 16567635). Ionomycin is used to improve the modification by PADI4 according to the literature (PMID : 26360112).

All lanes:

Western blot - Anti-Histone H3 (citrulline R17) antibody [EPR20358-120] (ab219407) at 1/5000 dilution

Lane 1:

HEK-293T (Human epithelial cell line from embryonic kidney) transfected with empty vector with GFP tag (vector control), then treated with 10mM CaCl2 and 10µM Ionomycin (<a href='/products/biochemicals/ionomycin-ca2-salt-ca2-ionophore-ab120116'>ab120116</a>) for 2 hour at 10 µg

Lane 2:

HEK-293T (Human epithelial cell line from embryonic kidney) transfected with PADI4 (WT), then treated with 10mM CaCl2 and 10µM Ionomycin (<a href='/products/biochemicals/ionomycin-ca2-salt-ca2-ionophore-ab120116'>ab120116</a>) for 2 hours, whole cell lysate at 10 µg

Secondary

All lanes:

Western blot - Goat Anti-Rabbit IgG H&L (HRP) (<a href='/products/secondary-antibodies/goat-rabbit-igg-h-l-hrp-ab97051'>ab97051</a>) at 1/100000 dilution

Predicted band size: 15 kDa

Observed band size: 15 kDa

false

Exposure time: 3s

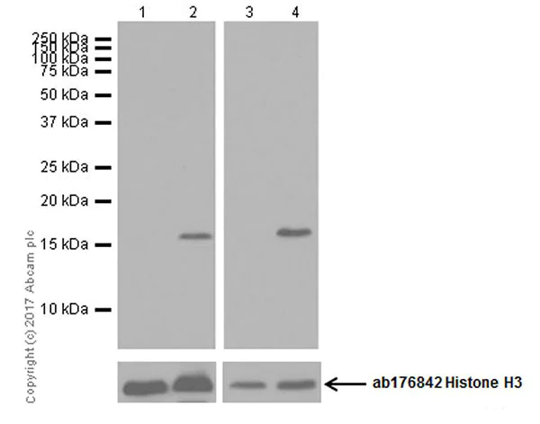
Western blot - Anti-Histone H3 (citrulline R17) antibody [EPR20358-120] (AB219407)
  • WB

Lab

Western blot - Anti-Histone H3 (citrulline R17) antibody [EPR20358-120] (AB219407)

Blocking/Dilution buffer : 5% BSA/TBST.

All lanes:

Western blot - Anti-Histone H3 (citrulline R17) antibody [EPR20358-120] (ab219407) at 1/5000 dilution

Lane 1:

NIH/3T3 (Mouse embryonic fibroblast cell line) transfected with empty vector with GFP tag (vector control), then treated with 10mM CaCl2 for 2 hours, whole cell lysate at 10 µg

Lane 2:

NIH/3T3 (Mouse embryonic fibroblast cell line) transfected with PADI4 (WT) then treated with 10mM CaCl2 for 2 hours, whole cell lysate at 10 µg

Lane 3:

C6 (Rat glial tumor cell line) transfected with empty vector with GFP tag (vector control) then treated with 10mM CaCl2 and 10µM Ionomycin (<a href='/products/biochemicals/ionomycin-ca2-salt-ca2-ionophore-ab120116'>ab120116</a>) for 2 hours, whole cell lysate at 10 µg

Lane 4:

C6 (Rat glial tumor cell line) transfected with PADI4 (WT), then treated with 10mM CaCl2 and 10µM Ionomycin (<a href='/products/biochemicals/ionomycin-ca2-salt-ca2-ionophore-ab120116'>ab120116</a>) for 2 hours, whole cell lysate at 10 µg

Secondary

All lanes:

Western blot - Goat Anti-Rabbit IgG H&L (HRP) (<a href='/products/secondary-antibodies/goat-rabbit-igg-h-l-hrp-ab97051'>ab97051</a>) at 1/100000 dilution

Predicted band size: 15 kDa

Observed band size: 15 kDa

false

Exposure time: 1s

不同偶联物与剂型 (1)

  • Carrier free

    Anti-Histone H3 (citrulline R17) antibody [EPR20358-120] - BSA and Azide free

关键信息

宿主种属

Rabbit

克隆

Monoclonal

克隆号

EPR20358-120

亚型

IgG

不含载体蛋白

No

反应种属

Mouse, Rat, Human

应用

Flow Cyt (Intra), ELISA, ICC/IF, IP, WB

applications

免疫原

The exact immunogen used to generate this antibody is proprietary information.

反应性数据

{ "title": "Reactivity Data", "filters": { "stats": ["", "Species", "Dilution Info", "Notes"], "tabs": { "all-applications": {"fullname" : "All Applications", "shortname": "All Applications"}, "IP" : {"fullname" : "Immunoprecipitation", "shortname":"IP"}, "ELISA" : {"fullname" : "ELISA", "shortname":"ELISA"}, "WB" : {"fullname" : "Western blot", "shortname":"WB"}, "ICCIF" : {"fullname" : "Immunocytochemistry/ Immunofluorescence", "shortname":"ICC/IF"}, "FlowCytIntra" : {"fullname" : "Flow Cytometry (Intracellular)", "shortname":"Flow Cyt (Intra)"} }, "product-promise": { "all": "all", "testedAndGuaranteed": "tested", "guaranteed": "expected", "predicted": "predicted", "notRecommended": "not-recommended" } }, "values": { "Human": { "IP-species-checked": "testedAndGuaranteed", "IP-species-dilution-info": "1/30", "IP-species-notes": "<p></p>", "ELISA-species-checked": "guaranteed", "ELISA-species-dilution-info": "", "ELISA-species-notes": "", "WB-species-checked": "testedAndGuaranteed", "WB-species-dilution-info": "1/1000", "WB-species-notes": "<p></p>", "ICCIF-species-checked": "testedAndGuaranteed", "ICCIF-species-dilution-info": "1/100", "ICCIF-species-notes": "<p></p>", "FlowCytIntra-species-checked": "testedAndGuaranteed", "FlowCytIntra-species-dilution-info": "1/500", "FlowCytIntra-species-notes": "<p><a href='/products/primary-antibodies/rabbit-igg-monoclonal-epr25a-isotype-control-ab172730'>ab172730</a> - Rabbit monoclonal IgG, is suitable for use as an isotype control with this antibody.</p>" }, "Mouse": { "IP-species-checked": "guaranteed", "IP-species-dilution-info": "", "IP-species-notes": "", "ELISA-species-checked": "guaranteed", "ELISA-species-dilution-info": "", "ELISA-species-notes": "", "WB-species-checked": "testedAndGuaranteed", "WB-species-dilution-info": "1/1000", "WB-species-notes": "<p></p>", "ICCIF-species-checked": "guaranteed", "ICCIF-species-dilution-info": "", "ICCIF-species-notes": "", "FlowCytIntra-species-checked": "guaranteed", "FlowCytIntra-species-dilution-info": "", "FlowCytIntra-species-notes": "" }, "Rat": { "IP-species-checked": "guaranteed", "IP-species-dilution-info": "", "IP-species-notes": "", "ELISA-species-checked": "guaranteed", "ELISA-species-dilution-info": "", "ELISA-species-notes": "", "WB-species-checked": "testedAndGuaranteed", "WB-species-dilution-info": "1/1000", "WB-species-notes": "<p></p>", "ICCIF-species-checked": "guaranteed", "ICCIF-species-dilution-info": "", "ICCIF-species-notes": "", "FlowCytIntra-species-checked": "guaranteed", "FlowCytIntra-species-dilution-info": "", "FlowCytIntra-species-notes": "" }, "Recombinant fragment - Human": { "IP-species-checked": "notRecommended", "IP-species-dilution-info": "", "IP-species-notes": "", "ELISA-species-checked": "testedAndGuaranteed", "ELISA-species-dilution-info": "", "ELISA-species-notes": "<p></p>", "WB-species-checked": "notRecommended", "WB-species-dilution-info": "", "WB-species-notes": "", "ICCIF-species-checked": "notRecommended", "ICCIF-species-dilution-info": "", "ICCIF-species-notes": "", "FlowCytIntra-species-checked": "notRecommended", "FlowCytIntra-species-dilution-info": "", "FlowCytIntra-species-notes": "" } } }

产品详情

What is this antibody validated in?
Anti-Histone H3 (citrulline R17) antibody [EPR20358-120] (ab219407) is a rabbit recombinant monoclonal antibody and is validated for use in Western Blot (WB), Flow Cytometry (Intra), Flow Cytometry (Flow Cyt), Immunoprecipitation (IP), Immunocytochemistry/immunofluorescence (ICC/IF), ELISA in Human, Mouse, Rat samples.

What is the molecular weight of Histone H3?
Anti-Histone H3 (citrulline R17) [EPR20358-120] (ab219407) specifically detects a band for Histone H3 (UniProt: P68431) at a molecular weight of 15kDa.

Trusted by the scientific community
Anti-Histone H3 (citrulline R17) [EPR20358-120] (ab219407) was first used in a scientific publication in 2017 and has been cited over 10 times in peer-reviewed journals.

Trial sizes available!
Test your antibody or perform pre-screening before committing to a larger quantity. Sold in 10µl. Discover our selection of trial-size antibodies.

Other related products
We have a range of other formats of antibody clone [EPR20358-120] also available for your convenience: ab219407, Carrier free - ab232938, Alexa Fluor® 647 - ab300305

Patented technology
Our RabMAb® technology is a patented hybridoma-based technology for making rabbit monoclonal antibodies. For details on our patents, please refer to RabMAb® patents.

What are the advantages of a recombinant monoclonal antibody?
This product is a recombinant monoclonal antibody, which offers several advantages including:

  • - High batch-to-batch consistency and reproducibility
  • - Improved sensitivity and specificity
  • - Long-term security of supply
  • - Animal-free batch production

For more information, read more on recombinant antibodies.

性能和储存信息

形式
Liquid
纯化工艺
Affinity purification Protein A
存储溶液
pH: 7.2 - 7.4 Preservative: 0.01% Sodium azide Constituents: PBS, 40% Glycerol (glycerin, glycerine), 0.05% BSA
运输条件
Blue Ice
推荐的短期储存时间
1-2 weeks
推荐的短期储存条件
+4°C
推荐的长期储存条件
-20°C
分装信息
Upon delivery aliquot
储存信息
Avoid freeze / thaw cycle

产品实验方案

For this product, it's our understanding that no specific protocols are required. You can visit:

靶点信息

The protein expressed by gene H3C1 is a core component of the nucleosome, which is essential for wrapping and compacting DNA into chromatin. This process restricts DNA accessibility to cellular machineries that use DNA as a template. Consequently, histones are central to transcription regulation, DNA repair, DNA replication, and chromosomal stability. DNA accessibility is regulated through a complex set of post-translational modifications of histones, known as the histone code, and through nucleosome remodeling. This supplementary information is collated from multiple sources and compiled automatically.
See full target information H3C1 citrulline R17

文献 (26)

Recent publications for all applications. Explore the full list and refine your search

Molecular and cellular biochemistry 480:6225-6238 PubMed40859095

2025

NETs accelerate aortic valve calcification by promoting M1 macrophage polarization through the TLR9 signaling pathway.

Applications

Unspecified application

Species

Unspecified reactive species

Luyao Liu,Zhenzhen Lan,Xincan Liu,Yun Chen,Zhihao Chen,Li Cheng,Ting Hu

Nature 646:462-473 PubMed40836096

2025

Cancer-induced nerve injury promotes resistance to anti-PD-1 therapy.

Applications

Unspecified application

Species

Unspecified reactive species

Erez N Baruch,Frederico O Gleber-Netto,Priyadharsini Nagarajan,Xiayu Rao,Shamima Akhter,Tuany Eichwald,Tongxin Xie,Mohammad Balood,Adebayo Adewale,Shorook Naara,Hinduja N Sathishkumar,Shajedul Islam,William McCarthy,Brandi J Mattson,Renata Ferrarotto,Michael K Wong,Michael A Davies,Sonali Jindal,Sreyashi Basu,Karine Roversi,Amin Reza Nikpoor,Maryam Ahmadi,Ali Ahmadi,Catherine Harwood,Irene Leigh,Dennis Gong,Paulino Tallón de Lara,Derrick L Tao,Tara M Davidson,Nadim J Ajami,Andrew Futreal,Kunal Rai,Veena Kochat,Micah Castillo,Preethi Gunaratne,Ryan P Goepfert,Sharia D Hernandez,Nikhil I Khushalani,Jing Wang,Stephanie S Watowich,George A Calin,Michael R Migden,Mona Yuan,Naijiang Liu,Yi Ye,William L Hwang,Paola D Vermeer,Nisha J D'Silva,Yuri L Bunimovich,Dan Yaniv,Jared K Burks,Javier Gomez,Patrick M Dougherty,Kenneth Y Tsai,James P Allison,Padmanee Sharma,Jennifer A Wargo,Jeffrey N Myers,Sebastien Talbot,Neil D Gross,Moran Amit

Renal failure 47:2545983 PubMed40796802

2025

Suppression of nF-κB by ro 106-9920 alleviates ischemia/reperfusion-induced renal dysfunction and inflammation via modulation of neutrophil extracellular trap formation in acute kidney injury mice.

Applications

Unspecified application

Species

Unspecified reactive species

Ming Wang,Feng Gao

World journal of gastroenterology 31:106166 PubMed40741100

2025

Myeloperoxidase, extracellular DNA and neutrophil extracellular trap formation in the animal models of metabolic dysfunction-associated steatotic liver disease.

Applications

Unspecified application

Species

Unspecified reactive species

Andrej Feješ,Paulína Belvončíková,Emil Bečka,Tomáš Strečanský,Michal Pastorek,Jakub Janko,Barbora Filová,Pavel Babál,Katarína Šebeková,Veronika Borbélyová,Roman Gardlík

Nature communications 16:5393 PubMed40562767

2025

PADI4-mediated citrullination of histone H3 stimulates HIV-1 transcription.

Applications

Unspecified application

Species

Unspecified reactive species

Luca Love,Bianca B Jütte,Birgitta Lindqvist,Hannah Rohdjess,Oscar Kieri,Piotr Nowak,J Peter Svensson

American journal of translational research 17:3898-3907 PubMed40535640

2025

Dectin-1 participates in β-glucan- or PMA-induced neutrophil extracellular trap formation during antifungal defense.

Applications

Unspecified application

Species

Unspecified reactive species

Shoude Zhang,Ying Lu,Yuan Zhao,Zhanwei Dong,Mao Jin,Mina Xu,Hong Pan,Mang Xiao

Biomolecules 15: PubMed40305335

2025

Metabolic Implications of Elevated Neutrophil Extracellular Traps in Polycystic Ovary Syndrome: A Focus on Hepatic Glycolysis.

Applications

Unspecified application

Species

Unspecified reactive species

Siyu Lin,Yushan Li,Wei Liu,Yanzhi Du,Tao Tao

International journal of molecular sciences 26: PubMed40076519

2025

Therapeutic Effects of DNase I on Peripheral and Local Markers of Liver Injury and Neutrophil Extracellular Traps in a Model of Alcohol-Related Liver Disease.

Applications

Unspecified application

Species

Unspecified reactive species

Paulína Belvončíková,Andrej Feješ,Barbora Gromová,Ľubica Janovičová,Anna Farkašová,Pavel Babál,Roman Gardlík

Journal of translational medicine 23:180 PubMed39953550

2025

Integrative multi-omics analysis of radionuclide-induced intestinal injury reveals the radioprotective role of L-citrulline through histone H3-mediated Cxcl3.

Applications

Unspecified application

Species

Unspecified reactive species

Ping Yang,Hao Bai,Tao Yan,Xiaopeng Xu,Xiaoyou Tang,Bin Song,Yulan Liu,Yunyun Lu,Pengfei Liu,Wenling Tu,Yuhong Shi,Shuyu Zhang

Precision clinical medicine 7:pbae028 PubMed39540022

2024

Targeted nuclear degranulation of neutrophils promotes the progression of pneumonia in ulcerative colitis.

Applications

Unspecified application

Species

Unspecified reactive species

Yiming Shao,Qibing Zheng,Xiaobei Zhang,Ping Li,Xingxin Gao,Liming Zhang,Jiahong Xu,Lingchao Meng,Yanyun Tian,Qinqin Zhang,Guangxi Zhou
View all publications

Abcam Product Promise

我们致力于为您的研究提供高质量的试剂,为您科研的每一步提供支持。若我们的产品未能达到预期性能,我们向您提供 Abcam Product Promise 保障。
详情请参阅我们的条款与条件。

Please note: All products are 'FOR RESEARCH USE ONLY. NOT FOR USE IN DIAGNOSTIC OR THERAPEUTIC PROCEDURES'.

For licensing inquiries, please contact partnerships@abcam.com