JavaScript is disabled in your browser. Please enable JavaScript to view this website.
AB8284

Anti-Histone H3 (asymmetric di methyl R17) 抗体

Anti-Histone H3 (asymmetric di methyl R17) antibody

4

(17 Reviews)

|

(68 Publications)

Rabbit Polyclonal H3 asymmetric di methyl R17 antibody. Suitable for Dot, WB, PepArr, IHC-P, ICC/IF and reacts with Synthetic peptide, Human, Synthetic peptide - Human samples. Cited in 68 publications.

查看别名

H3FA, HIST1H3A, H3C2, H3FL, HIST1H3B, H3C3, H3FC HIST1H3C, H3C4, H3FB, HIST1H3D, H3C6, H3FD, HIST1H3E, H3C7, H3FI, HIST1H3F, H3C8, H3FH, HIST1H3G, H3C10, H3FK, HIST1H3H, H3C11, H3FF, HIST1H3I, H3C12, H3FJ, HIST1H3J, H3C1, H3FC, HIST1H3C, Histone H3.1, Histone H3/a, Histone H3/b, Histone H3/c, Histone H3/d, Histone H3/f, Histone H3/h, Histone H3/i, Histone H3/j, Histone H3/k, Histone H3/l, H3R17me2, H3R17me, H3R17

6 Images
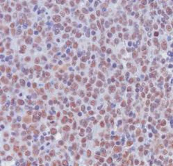
Immunohistochemistry (Formalin/PFA-fixed paraffin-embedded sections) - Anti-Histone H3 (asymmetric di methyl R17) antibody (AB8284)
  • IHC-P

Unknown

Immunohistochemistry (Formalin/PFA-fixed paraffin-embedded sections) - Anti-Histone H3 (asymmetric di methyl R17) antibody (AB8284)

ab8284 was used in immunohistochemistry with paraffin embedded sections of human tonsil, using DAB as a chromogen (brown). Counterstaining of nuclei was performed with haemotoxylin (blue).

Staining is seen confined to the nucleus.

Immunocytochemistry/ Immunofluorescence - Anti-Histone H3 (asymmetric di methyl R17) antibody (AB8284)
  • ICC/IF

Unknown

Immunocytochemistry/ Immunofluorescence - Anti-Histone H3 (asymmetric di methyl R17) antibody (AB8284)

ICC/IF image of ab8284 stained MCF7 cells. The cells were 100% methanol fixed (5 min) and then incubated in 1%BSA / 10% normal goat serum / 0.3M glycine in 0.1% PBS-Tween for 1h to permeabilise the cells and block non-specific protein-protein interactions. The cells were then incubated with the antibody (ab8284, 0.1µg/ml) overnight at +4°C. The secondary antibody (green) was ab96899, DyLight® 488 goat anti-rabbit IgG (H+L) used at a 1/250 dilution for 1h. Alexa Fluor® 594 WGA was used to label plasma membranes (red) at a 1/200 dilution for 1h. DAPI was used to stain the cell nuclei (blue) at a concentration of 1.43µM.

Western blot - Anti-Histone H3 (asymmetric di methyl R17) antibody (AB8284)
  • WB

Unknown

Western blot - Anti-Histone H3 (asymmetric di methyl R17) antibody (AB8284)

All lanes:

Western blot - Anti-Histone H3 (asymmetric di methyl R17) antibody (ab8284) at 1 µg/mL

All lanes:

HeLa Histone Preparation Nuclear Lysate at 2.5 µg/mL

Secondary

All lanes:

Western blot - Goat Anti-Rabbit IgG H&L (HRP) preadsorbed (<a href='/products/secondary-antibodies/goat-rabbit-igg-h-l-hrp-preadsorbed-ab97080'>ab97080</a>) at 1/5000 dilution

Predicted band size: 15 kDa

Observed band size: 17 kDa,55 kDa,60 kDa,90 kDa

true

Exposure time: 2min

Western blot - Anti-Histone H3 (asymmetric di methyl R17) antibody (AB8284)
  • WB

PubMed

Western blot - Anti-Histone H3 (asymmetric di methyl R17) antibody (AB8284)

Total U2OS cell extract was western blotted using the anti-Me-R17H3 antibody. The asterisk indicates methylated histone H3. The left panel shows presence of core histones (indicated on the left) by Coomassie Blue staining. Molecular weights are indicated on the right.

All lanes:

Western blot - Anti-Histone H3 (asymmetric di methyl R17) antibody (ab8284)

All lanes:

Total U2OS cell extract

Predicted band size: 15 kDa

false

Taken from Bauer et al, (2001).

Peptide Array - Anti-Histone H3 (asymmetric di methyl R17) antibody (AB8284)
  • PepArr

Unknown

Peptide Array - Anti-Histone H3 (asymmetric di methyl R17) antibody (AB8284)

All batches of ab8284 are tested in Peptide Array against peptides to different Histone H3 modifications. Six dilutions of each peptide are printed on to the Peptide Array in triplicate and results are averaged before being plotted on to a graph. Results show strong binding to Histone H3 - asymmetric di methyl R17 peptide (ab16935), indicating that this antibody specifically recognises the Histone H3 - asymmetric di methyl R17 modification.

  1. ab16935 - Histone H3 - asymmetric di methyl R17
  2. ab32948 - Histone H3 - symmetric di methyl R17
  3. ab14663 - Histone H3 - unmodified
Dot Blot - Anti-Histone H3 (asymmetric di methyl R17) antibody (AB8284)
  • Dot

Unknown

Dot Blot - Anti-Histone H3 (asymmetric di methyl R17) antibody (AB8284)

A dot blot was performed using unmodified peptide (lane 1), Histone H3 mono methyl R17 peptide (lane 2), Histone H3 asymmetric di methyl R17 peptide (lane 3) and Histone H3 symmetric di methyl R17 peptide (lane 4). The dot blot indicates that ab8284 is specific to Histone H3 asymmetric di methyl R17.

关键信息

宿主种属

Rabbit

克隆

Polyclonal

亚型

IgG

不含载体蛋白

No

反应种属

Human

应用

IHC-P, PepArr, Dot, WB, ICC/IF

applications

免疫原

The exact immunogen used to generate this antibody is proprietary information.

特异性

Peptide competition experiments confirmed that the antibody recognises specifically methylated R17 in H3 and not unmethylated H3 or methylated R3 in H4 (see figure 1). In whole cell extract the antibody recognises specifically only the methylated histone H3 protein band (see figure 2) Further, the antibody doesn't crossreact with the C-terminal methylation sites of CARM1 in histone H3. In IHC on paraffin-embedded sections of human tonsil, the antibody shows nuclear staining across most nuclei. Slight batch to batch variation is observed, but no more than 50% cross reactivity with symmetric di methyl R17 peptide is allowed.

反应性数据

{ "title": "Reactivity Data", "filters": { "stats": ["", "Species", "Dilution Info", "Notes"], "tabs": { "all-applications": {"fullname" : "All Applications", "shortname": "All Applications"}, "Dot" : {"fullname" : "Dot Blot", "shortname":"Dot"}, "WB" : {"fullname" : "Western blot", "shortname":"WB"}, "PepArr" : {"fullname" : "Peptide Array", "shortname":"PepArr"}, "IHCP" : {"fullname" : "Immunohistochemistry (Formalin/PFA-fixed paraffin-embedded sections)", "shortname":"IHC-P"}, "ICCIF" : {"fullname" : "Immunocytochemistry/ Immunofluorescence", "shortname":"ICC/IF"} }, "product-promise": { "all": "all", "testedAndGuaranteed": "tested", "guaranteed": "expected", "predicted": "predicted", "notRecommended": "not-recommended" } }, "values": { "Human": { "Dot-species-checked": "guaranteed", "Dot-species-dilution-info": "", "Dot-species-notes": "", "WB-species-checked": "testedAndGuaranteed", "WB-species-dilution-info": "1/1000 - 1/2000", "WB-species-notes": "<p></p>", "PepArr-species-checked": "guaranteed", "PepArr-species-dilution-info": "", "PepArr-species-notes": "", "IHCP-species-checked": "testedAndGuaranteed", "IHCP-species-dilution-info": "", "IHCP-species-notes": "<p></p>", "ICCIF-species-checked": "testedAndGuaranteed", "ICCIF-species-dilution-info": "0.1 µg/mL", "ICCIF-species-notes": "<p></p>" }, "Mouse": { "Dot-species-checked": "predicted", "Dot-species-dilution-info": "", "Dot-species-notes": "", "WB-species-checked": "predicted", "WB-species-dilution-info": "", "WB-species-notes": "", "PepArr-species-checked": "predicted", "PepArr-species-dilution-info": "", "PepArr-species-notes": "", "IHCP-species-checked": "predicted", "IHCP-species-dilution-info": "", "IHCP-species-notes": "", "ICCIF-species-checked": "predicted", "ICCIF-species-dilution-info": "", "ICCIF-species-notes": "" }, "Rat": { "Dot-species-checked": "predicted", "Dot-species-dilution-info": "", "Dot-species-notes": "", "WB-species-checked": "predicted", "WB-species-dilution-info": "", "WB-species-notes": "", "PepArr-species-checked": "predicted", "PepArr-species-dilution-info": "", "PepArr-species-notes": "", "IHCP-species-checked": "predicted", "IHCP-species-dilution-info": "", "IHCP-species-notes": "", "ICCIF-species-checked": "predicted", "ICCIF-species-dilution-info": "", "ICCIF-species-notes": "" }, "Caenorhabditis elegans": { "Dot-species-checked": "predicted", "Dot-species-dilution-info": "", "Dot-species-notes": "", "WB-species-checked": "predicted", "WB-species-dilution-info": "", "WB-species-notes": "", "PepArr-species-checked": "predicted", "PepArr-species-dilution-info": "", "PepArr-species-notes": "", "IHCP-species-checked": "predicted", "IHCP-species-dilution-info": "", "IHCP-species-notes": "", "ICCIF-species-checked": "predicted", "ICCIF-species-dilution-info": "", "ICCIF-species-notes": "" }, "Chicken": { "Dot-species-checked": "predicted", "Dot-species-dilution-info": "", "Dot-species-notes": "", "WB-species-checked": "predicted", "WB-species-dilution-info": "", "WB-species-notes": "", "PepArr-species-checked": "predicted", "PepArr-species-dilution-info": "", "PepArr-species-notes": "", "IHCP-species-checked": "predicted", "IHCP-species-dilution-info": "", "IHCP-species-notes": "", "ICCIF-species-checked": "predicted", "ICCIF-species-dilution-info": "", "ICCIF-species-notes": "" }, "Cow": { "Dot-species-checked": "predicted", "Dot-species-dilution-info": "", "Dot-species-notes": "", "WB-species-checked": "predicted", "WB-species-dilution-info": "", "WB-species-notes": "", "PepArr-species-checked": "predicted", "PepArr-species-dilution-info": "", "PepArr-species-notes": "", "IHCP-species-checked": "predicted", "IHCP-species-dilution-info": "", "IHCP-species-notes": "", "ICCIF-species-checked": "predicted", "ICCIF-species-dilution-info": "", "ICCIF-species-notes": "" }, "Drosophila melanogaster": { "Dot-species-checked": "predicted", "Dot-species-dilution-info": "", "Dot-species-notes": "", "WB-species-checked": "predicted", "WB-species-dilution-info": "", "WB-species-notes": "", "PepArr-species-checked": "predicted", "PepArr-species-dilution-info": "", "PepArr-species-notes": "", "IHCP-species-checked": "predicted", "IHCP-species-dilution-info": "", "IHCP-species-notes": "", "ICCIF-species-checked": "predicted", "ICCIF-species-dilution-info": "", "ICCIF-species-notes": "" }, "Mammals": { "Dot-species-checked": "predicted", "Dot-species-dilution-info": "", "Dot-species-notes": "", "WB-species-checked": "predicted", "WB-species-dilution-info": "", "WB-species-notes": "", "PepArr-species-checked": "predicted", "PepArr-species-dilution-info": "", "PepArr-species-notes": "", "IHCP-species-checked": "predicted", "IHCP-species-dilution-info": "", "IHCP-species-notes": "", "ICCIF-species-checked": "predicted", "ICCIF-species-dilution-info": "", "ICCIF-species-notes": "" }, "Synthetic peptide": { "Dot-species-checked": "testedAndGuaranteed", "Dot-species-dilution-info": "", "Dot-species-notes": "<p></p>", "WB-species-checked": "notRecommended", "WB-species-dilution-info": "", "WB-species-notes": "", "PepArr-species-checked": "notRecommended", "PepArr-species-dilution-info": "", "PepArr-species-notes": "", "IHCP-species-checked": "notRecommended", "IHCP-species-dilution-info": "", "IHCP-species-notes": "", "ICCIF-species-checked": "notRecommended", "ICCIF-species-dilution-info": "", "ICCIF-species-notes": "" }, "Synthetic peptide - Human": { "Dot-species-checked": "notRecommended", "Dot-species-dilution-info": "", "Dot-species-notes": "", "WB-species-checked": "notRecommended", "WB-species-dilution-info": "", "WB-species-notes": "", "PepArr-species-checked": "testedAndGuaranteed", "PepArr-species-dilution-info": "", "PepArr-species-notes": "<p></p>", "IHCP-species-checked": "notRecommended", "IHCP-species-dilution-info": "", "IHCP-species-notes": "", "ICCIF-species-checked": "notRecommended", "ICCIF-species-dilution-info": "", "ICCIF-species-notes": "" }, "Toxoplasma gondii": { "Dot-species-checked": "predicted", "Dot-species-dilution-info": "", "Dot-species-notes": "", "WB-species-checked": "predicted", "WB-species-dilution-info": "", "WB-species-notes": "", "PepArr-species-checked": "predicted", "PepArr-species-dilution-info": "", "PepArr-species-notes": "", "IHCP-species-checked": "predicted", "IHCP-species-dilution-info": "", "IHCP-species-notes": "", "ICCIF-species-checked": "predicted", "ICCIF-species-dilution-info": "", "ICCIF-species-notes": "" } } }

产品详情

The nuclear hormone receptor co-activator CARM1 has the potential to methylate histone H3 at arginine residues in vitro. The methyltransferase activity of CARM1 is necessary for its co-activator functions in transient transfection assays. However, the role of this methyltransferase in vivo is unclear, given that methylation of arginines is not easily detectable on purified histones. This antibody recognizes methylated arginine 17 (R17) of histone H3, the major site of methylation by CARM1. Bauer et al (2001) have shown by using this antibody that methylated R17 exists in vivo. Chromatin immunoprecipitation analysis shows that R17 methylation on histone H3 is dramatically upregulated when the estrogen receptor-regulated pS2 gene is stimulated by estradiol and TPA. Coincident with the appearance of methylated R17, the CARM1 methyltransferase is found associated with the histones on the pS2 gene. Together these results demonstrate that the CARM1 methyltransferase is recruited to an active promoter and that CARM1-mediated methylation of histone H3 at R17 takes place in vivo during this active state.

性能和储存信息

形式
Liquid
纯化工艺
Affinity purification Immunogen
存储溶液
pH: 7.4 Preservative: 0.02% Sodium azide Constituents: PBS, 1% BSA
运输条件
Blue Ice
推荐的短期储存时间
1-2 weeks
推荐的短期储存条件
+4°C
推荐的长期储存条件
-20°C
分装信息
Upon delivery aliquot
储存信息
Avoid freeze / thaw cycle

产品实验方案

For this product, it's our understanding that no specific protocols are required. You can visit:

靶点信息

The protein expressed by gene H3C1 is a core component of the nucleosome, which is essential for wrapping and compacting DNA into chromatin. This process restricts DNA accessibility to cellular machineries that use DNA as a template. Consequently, histones are central to transcription regulation, DNA repair, DNA replication, and chromosomal stability. DNA accessibility is regulated through a complex set of post-translational modifications of histones, known as the histone code, and through nucleosome remodeling. This supplementary information is collated from multiple sources and compiled automatically.
See full target information H3C1 asymmetric di methyl R17

文献 (68)

Recent publications for all applications. Explore the full list and refine your search

The Journal of biological chemistry 301:108271 PubMed39922487

2025

Metformin inhibits the histone methyltransferase CARM1 and attenuates H3 histone methylation during gluconeogenesis.

Applications

Unspecified application

Species

Unspecified reactive species

Sinjini Dhang,Atanu Mondal,Chandrima Das,Siddhartha Roy

Cell death & disease 15:670 PubMed39266534

2024

The NRF2-CARM1 axis links glucose sensing to transcriptional and epigenetic regulation of the pentose phosphate pathway in gastric cancer.

Applications

Unspecified application

Species

Unspecified reactive species

Miaomiao Ping,Guangyao Li,Qijiao Li,Yang Fang,Taotao Fan,Jing Wu,Ruiyi Zhang,Lesha Zhang,Bing Shen,Jizheng Guo

Genes 15: PubMed38927636

2024

Trans-Activation of the () Gene by the Oncogene Product Tax of Human T-Cell Leukemia Virus Type 1.

Applications

Unspecified application

Species

Unspecified reactive species

Rahma F Hayati,Rinka Nakajima,Yaxuan Zhou,Mashiro Shirasawa,Lin Zhao,Mariana Fikriyanti,Ritsuko Iwanaga,Andrew P Bradford,Kenta Kurayoshi,Keigo Araki,Kiyoshi Ohtani

Nature communications 15:3336 PubMed38637528

2024

LKRSDH-dependent histone modifications of insulin-like peptide sites contribute to age-related circadian rhythm changes.

Applications

Unspecified application

Species

Unspecified reactive species

Pengfei Lv,Xingzhuo Yang,Juan Du

Cell reports 42:113468 PubMed37995178

2023

BACH1 regulates the differentiation of vascular smooth muscle cells from human embryonic stem cells via CARM1-mediated methylation of H3R17.

Applications

Unspecified application

Species

Unspecified reactive species

Yunquan He,Jieyu Guo,Yueyang Yu,Jiayu Jin,Qingjun Jiang,Qinhan Li,Siyu Ma,Qi Pan,Jiayi Lin,Nan Jiang,Jinghua Ma,Yongbo Li,Yannan Hou,Xiuling Zhi,Lindi Jiang,Lefeng Qu,Elena Osto,Xinhong Wang,Xiangxiang Wei,Dan Meng

Cancer research communications 3:1067-1077 PubMed37377614

2023

Targeting Fatty Acid Reprogramming Suppresses CARM1-expressing Ovarian Cancer.

Applications

Unspecified application

Species

Unspecified reactive species

Simona Lombardi,Aaron R Goldman,Hsin-Yao Tang,Andrew V Kossenkov,Heng Liu,Wei Zhou,Meenhard Herlyn,Jianhuang Lin,Rugang Zhang

Cells 12: PubMed37408241

2023

Role of Coactivator Associated Arginine Methyltransferase 1 (CARM1) in the Regulation of the Biological Function of 1,25-Dihydroxyvitamin D.

Applications

Unspecified application

Species

Unspecified reactive species

Leila J Mady,Yan Zhong,Puneet Dhawan,Sylvia Christakos

Frontiers in molecular biosciences 8:688973 PubMed34557518

2021

Systematic Analysis of the Impact of R-Methylation on RBPs-RNA Interactions: A Proteomic Approach.

Applications

Unspecified application

Species

Unspecified reactive species

Marianna Maniaci,Francesca Ludovica Boffo,Enrico Massignani,Tiziana Bonaldi

Nature communications 12:5321 PubMed34493732

2021

Targeting the IRE1α/XBP1s pathway suppresses CARM1-expressing ovarian cancer.

Applications

Unspecified application

Species

Unspecified reactive species

Jianhuang Lin,Heng Liu,Takeshi Fukumoto,Joseph Zundell,Qingqing Yan,Chih-Hang Anthony Tang,Shuai Wu,Wei Zhou,Dajiang Guo,Sergey Karakashev,Chih-Chi Andrew Hu,Kavitha Sarma,Andrew V Kossenkov,Rugang Zhang

International journal of molecular sciences 22: PubMed34360791

2021

Protein Arginine Methyltransferase (PRMT) Inhibitors-AMI-1 and SAH Are Effective in Attenuating Rhabdomyosarcoma Growth and Proliferation in Cell Cultures.

Applications

Unspecified application

Species

Unspecified reactive species

Joanna Janisiak,Patrycja Kopytko,Marta Tkacz,Dorota Rogińska,Magdalena Perużyńska,Bogusław Machaliński,Andrzej Pawlik,Maciej Tarnowski
View all publications

Abcam Product Promise

我们致力于为您的研究提供高质量的试剂,为您科研的每一步提供支持。若我们的产品未能达到预期性能,我们向您提供 Abcam Product Promise 保障。
详情请参阅我们的条款与条件。

Please note: All products are 'FOR RESEARCH USE ONLY. NOT FOR USE IN DIAGNOSTIC OR THERAPEUTIC PROCEDURES'.

For licensing inquiries, please contact partnerships@abcam.com