JavaScript is disabled in your browser. Please enable JavaScript to view this website.
AB4729

Anti-Histone H3 (acetyl K27) 抗体 - ChIP Grade

Anti-Histone H3 (acetyl K27) antibody - ChIP Grade

5

(85 Reviews)

|

(2705 Publications)

Anti-Histone H3 (acetyl K27) antibody - ChIP Grade (ab4729) is a rabbit polyclonal antibody detecting Histone H3 in Western Blot, IP, IHC-P, ICC/IF, ChIP, PepArr. Suitable for Cow, Human, Mouse, Rat,.

- Over 2180 publications
- Trusted since 2004

查看别名

H3FA, HIST1H3A, H3C2, H3FL, HIST1H3B, H3C3, H3FC HIST1H3C, H3C4, H3FB, HIST1H3D, H3C6, H3FD, HIST1H3E, H3C7, H3FI, HIST1H3F, H3C8, H3FH, HIST1H3G, H3C10, H3FK, HIST1H3H, H3C11, H3FF, HIST1H3I, H3C12, H3FJ, HIST1H3J, H3FC, HIST1H3C, H3C1, Histone H3.1, Histone H3/a, Histone H3/b, Histone H3/c, Histone H3/d, Histone H3/f, Histone H3/h, Histone H3/i, Histone H3/j, Histone H3/k, Histone H3/l, H3K27ac

11 Images
ChIP - Anti-Histone H3 (acetyl K27) antibody - ChIP Grade (AB4729)
  • ChIP

Lab

ChIP - Anti-Histone H3 (acetyl K27) antibody - ChIP Grade (AB4729)

Chromatin was prepared from HeLa (Human epithelial cell line from cervix adenocarcinoma) cells according to the Abcam X-ChIP protocol. Cells were fixed with formaldehyde for 10 minutes. The ChIP was performed with 25 μg of chromatin, 2 μg of ab4729 (blue), and 20 μl of Protein A/G sepharose beads.

No antibody was added to the beads control (yellow).

The immunoprecipitated DNA was quantified by real time PCR (Taqman approach). Primers and probes are located in the first kb of the transcribed region.

Immunohistochemistry (Formalin/PFA-fixed paraffin-embedded sections) - Anti-Histone H3 (acetyl K27) antibody - ChIP Grade (AB4729)
  • IHC-P

Lab

Immunohistochemistry (Formalin/PFA-fixed paraffin-embedded sections) - Anti-Histone H3 (acetyl K27) antibody - ChIP Grade (AB4729)

IHC image of ab4729 staining Histone H3 (acetyl K27) in human breast cancer formalin fixed paraffin embedded tissue section*.

Performed on a Leica BONDTM system using the standard protocol F. The section was pre-treated using heat mediated antigen retrieval with sodium citrate buffer (pH 6.0, epitope retrieval solution 1) for 20mins. The section was then incubated with ab4729 at 1µg/ml, for 15 mins at room temperature and detected using an HRP conjugated compact polymer system. DAB was used as the chromogen. The section was then counterstained with haematoxylin and mounted with DPX. The inset secondary-only image is taken from an identical assay without primary antibody.

For other IHC staining systems (automated and non-automated) customers should optimize variable parameters such as antigen retrieval conditions, primary antibody concentration and antibody incubation times.

*Tissue obtained from the Human Research Tissue Bank, supported by the NIHR Cambridge Biomedical Research Centre.

Immunocytochemistry/ Immunofluorescence - Anti-Histone H3 (acetyl K27) antibody - ChIP Grade (AB4729)
  • ICC/IF

Lab

Immunocytochemistry/ Immunofluorescence - Anti-Histone H3 (acetyl K27) antibody - ChIP Grade (AB4729)

ab4729 staining Histone H3 (acetyl K27) in HeLa cells. The cells were fixed with 100% methanol (5 min), permeabilized with 0.1% PBS-Triton X-100 for 5 minutes and then blocked with 1% BSA/10% normal goat serum/0.3M glycine in 0.1%PBS-Tween for 1h. The cells were then incubated overnight at 4°C with ab4729 at 1µg/ml and ab7291, Mouse monoclonal [DM1A] to alpha Tubulin - Loading Control. Cells were then incubated with ab150081, Goat polyclonal Secondary Antibody to Rabbit IgG - H&L (Alexa Fluor® 488), pre-adsorbed at 1/1000 dilution (shown in green) and ab150120, Goat polyclonal Secondary Antibody to Mouse IgG - H&L (Alexa Fluor® 594), pre-adsorbed at 1/1000 dilution (shown in pseudocolour magenta). Nuclear DNA was labelled with DAPI (shown in blue). Also suitable in cells fixed with 4% paraformaldehyde (10 min).Image was acquired with a high-content analyser (Operetta CLS, Perkin Elmer) and a maximum intensity projection of confocal sections is shown.

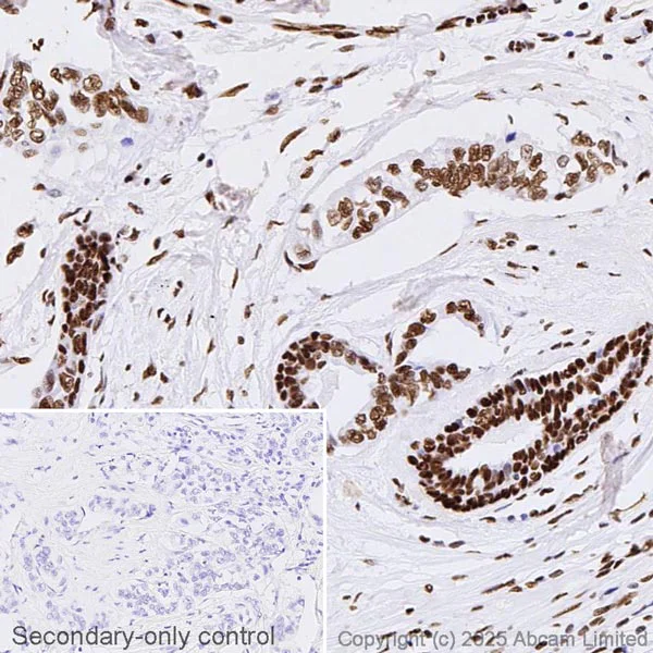
Immunohistochemistry (Formalin/PFA-fixed paraffin-embedded sections) - Anti-Histone H3 (acetyl K27) antibody - ChIP Grade (AB4729)
  • IHC-P

Lab

Immunohistochemistry (Formalin/PFA-fixed paraffin-embedded sections) - Anti-Histone H3 (acetyl K27) antibody - ChIP Grade (AB4729)

IHC image of ab4729 staining Histone H3 (acetyl K27) in human colon formalin-fixed paraffin-embedded tissue sections* performed on a Leica Bond.

The section was pre-treated using heat mediated antigen retrieval with sodium citrate buffer pH 6 for 20 minutes. The section was then incubated with ab4729 5 μg/ml for 15 minutes at room temperature and detected using an HRP conjugated compact polymer system. DAB was used as the chromogen. The section was then counterstained with haematoxylin and mounted with DPX.

No primary antibody was used in the negative control (shown on the inset).

For other IHC staining systems (automated and non-automated) customers should optimize variable parameters such as antigen retrieval conditions primary antibody concentration and antibody incubation times.

*Tissue obtained from the Human Research Tissue Bank supported by the NIHR Cambridge Biomedical Research Centre

Western blot - Anti-Histone H3 (acetyl K27) antibody - ChIP Grade (AB4729)
  • WB

Unknown

Western blot - Anti-Histone H3 (acetyl K27) antibody - ChIP Grade (AB4729)

HeLa (Human epithelial cell line from cervix adenocarcinoma) cells were incubated at 37°C for 6 hours with vehicle control (0 μM) and different concentrations of sodium butyrate (ab120948). Increased expression of histone H3 (acetyl K27)(ab4729) in HeLa cells correlates with an increase in sodium butyrate concentration, as described in literature.

Whole cell lysates were prepared with RIPA buffer (containing protease inhibitors and sodium orthovanadate), 2.5 μg of each were loaded on the gel and the WB was run under reducing conditions. After transfer the membrane was blocked for an hour using 5% BSA before being incubated with ab4927 at 1 μg/ml and ab8227 at 1 μg/ml overnight at 4°C. Antibody binding was detected using an anti-rabbit antibody conjugated to HRP (ab97051) at 1/10,000 dilution and visualised using ECL development solution.

All lanes:

Western blot - Anti-Histone H3 (acetyl K27) antibody - ChIP Grade (ab4729)

Predicted band size: 15 kDa

Observed band size: 17 kDa

true

Exposure time: 10s

ChIP - Anti-Histone H3 (acetyl K27) antibody - ChIP Grade (AB4729)
  • ChIP

AbReview75504****

ChIP - Anti-Histone H3 (acetyl K27) antibody - ChIP Grade (AB4729)

ChIP was performed with human thyroid cancer cell lysate and 1 µg/µg of ab4729. Lysates were incubated with the primary antibody for 16 hours at 4°C. positive control promoter : GAPDH promoter; positive control enhancer : enhancer region of a published target (10.1093/nar/gkx802); negative control : published negative region (10.1093/nar/gkx802).

This image is courtesy of an anonymous Abreview

Western blot - Anti-Histone H3 (acetyl K27) antibody - ChIP Grade (AB4729)
  • WB

Lab

Western blot - Anti-Histone H3 (acetyl K27) antibody - ChIP Grade (AB4729)

Blocking buffer : 2% BSA block Gel type : MES

All lanes:

Western blot - Anti-Histone H3 (acetyl K27) antibody - ChIP Grade (ab4729) at 1 µg/mL

Lane 1:

HeLa (human cervix adenocarcinoma epithelial cell) cell lysate - Sodium butyrate-treated at 10 µg

Lane 2:

HeLa (human cervix adenocarcinoma epithelial cell) nuclear lysate (triton enriched) at 10 µg

Lane 3:

NIH/3T3 (mouse embryonic fibroblast cell line) nuclear lysate (triton enriched) at 10 µg

Lane 4:

PC-12 (rat adrenal gland pheochromocytoma cell) nuclear lysate (triton enriched) at 10 µg

Secondary

All lanes:

Goat polyclonal to Rabbit IgG - H&L - Pre-Adsorbed (HRP) at 1/50000 dilution

Predicted band size: 15 kDa

Observed band size: 17 kDa

false

Exposure time: 30s

Western blot - Anti-Histone H3 (acetyl K27) antibody - ChIP Grade (AB4729)
  • WB

Unknown

Western blot - Anti-Histone H3 (acetyl K27) antibody - ChIP Grade (AB4729)

ab4729 specifically recognises acetyl K27 histone H3 in calf thymus histone lysate, which is specifically blocked using the immunizing peptide ab24404.

Lanes 1 and 3:

Western blot - Anti-Histone H3 (acetyl K27) antibody - ChIP Grade (ab4729) at 0.2 µg/mL

Lanes 2 and 4:

Western blot - Anti-Histone H3 (acetyl K27) antibody - ChIP Grade (ab4729) at 0.1 µg/mL

All lanes:

Calf thymus histone lysate at 1 µg

Secondary

All lanes:

Goat anti-rabbit (HRP) at 1/2000 dilution

Predicted band size: 15 kDa

false

Western blot - Anti-Histone H3 (acetyl K27) antibody - ChIP Grade (AB4729)
  • WB

Ap1484650****

Western blot - Anti-Histone H3 (acetyl K27) antibody - ChIP Grade (AB4729)

All lanes:

Western blot - Anti-Histone H3 (acetyl K27) antibody - ChIP Grade (ab4729) at 1 µg/mL

All lanes:

HeLa (Human epithelial cell line from cervix adenocarcinoma) histone preparation, nuclear Lysate - Butyrate treated at 2.5 µg

Secondary

All lanes:

Western blot - Goat Anti-Rabbit IgG H&L (HRP) (<a href='/products/secondary-antibodies/goat-rabbit-igg-h-l-hrp-ab97051'>ab97051</a>) at 1/10000 dilution

Predicted band size: 15 kDa

Observed band size: 17 kDa

true

Exposure time: 10s

Western blot - Anti-Histone H3 (acetyl K27) antibody - ChIP Grade (AB4729)
  • WB

AbReview46986****

Western blot - Anti-Histone H3 (acetyl K27) antibody - ChIP Grade (AB4729)

All lanes:

Western blot - Anti-Histone H3 (acetyl K27) antibody - ChIP Grade (ab4729) at 1/2500 dilution

Lane 1:

Untreated Mouse MEF cell lysate at 9 µg

Lane 2:

0.4 µM Trichostatin A treatment for 18 hr Mouse MEF cell lysate at 9 µg

Secondary

All lanes:

Western blot - Donkey Anti-Rabbit IgG H&L (HRP) (<a href='/products/secondary-antibodies/donkey-rabbit-igg-h-l-hrp-ab6802'>ab6802</a>) at 1/20000 dilution

Predicted band size: 15 kDa

false

Peptide Array - Anti-Histone H3 (acetyl K27) antibody - ChIP Grade (AB4729)
  • PepArr

Ap

Peptide Array - Anti-Histone H3 (acetyl K27) antibody - ChIP Grade (AB4729)

All batches of ab4729 are tested in Peptide Array against peptides to different Histone H3 modifications. Six dilutions of each peptide are printed on to the Peptide Array in triplicate and results are averaged before being plotted on to a graph. Results show strong binding to Histone H3 - acetyl K27 peptide (ab24404), indicating that this antibody specifically recognises the Histone H3 - acetyl K27 modification.

ab24404 - Histone H3 - acetyl K27

ab15591 - Histone H3 - acetyl K14

ab24003 - Histone H3 - acetyl K18

ab17163 - Histone H3 unmodified

ab48359 - Histone H3 - acetyl K23

ab41409 - Histone H3 - acetyl K36

ab15662 - Histone H4 - acetyl K12

ab16635 - Histone H3 acetyl K9

关键信息

宿主种属

Rabbit

克隆

Polyclonal

亚型

IgG

不含载体蛋白

No

反应种属

Mouse, Rat, Cow, Human

应用

PepArr, ICC/IF, WB, IHC-P, ChIP

applications

免疫原

The exact immunogen used to generate this antibody is proprietary information.

特异性

From Jan 2024, QC testing of replenishment batches of this polyclonal changed. All tested and expected application and reactive species combinations are still covered by our Abcam product promise. However, we no longer test all applications. For more information on a specific batch, please contact our Scientific Support who will be happy to help.

反应性数据

{ "title": "Reactivity Data", "filters": { "stats": ["", "Species", "Dilution Info", "Notes"], "tabs": { "all-applications": {"fullname" : "All Applications", "shortname": "All Applications"}, "IHCP" : {"fullname" : "Immunohistochemistry (Formalin/PFA-fixed paraffin-embedded sections)", "shortname":"IHC-P"}, "ChIP" : {"fullname" : "ChIP", "shortname":"ChIP"}, "WB" : {"fullname" : "Western blot", "shortname":"WB"}, "PepArr" : {"fullname" : "Peptide Array", "shortname":"PepArr"}, "ICCIF" : {"fullname" : "Immunocytochemistry/ Immunofluorescence", "shortname":"ICC/IF"} }, "product-promise": { "all": "all", "testedAndGuaranteed": "tested", "guaranteed": "expected", "predicted": "predicted", "notRecommended": "not-recommended" } }, "values": { "Human": { "IHCP-species-checked": "testedAndGuaranteed", "IHCP-species-dilution-info": "1 µg/mL", "IHCP-species-notes": "<p></p> Perform heat-mediated antigen retrieval with citrate buffer pH 6 before commencing with IHC staining protocol.", "ChIP-species-checked": "testedAndGuaranteed", "ChIP-species-dilution-info": "2 µg for 25 µg chromatin", "ChIP-species-notes": "<p>We recommend GAPDH positive control ChIP primer pair <a href='/products/reagents/gapdh-positive-control-chip-primer-pair-ab267832'>ab267832</a> as a positive control.</p>", "WB-species-checked": "testedAndGuaranteed", "WB-species-dilution-info": "1 µg/mL", "WB-species-notes": "<p>We recommend Goat Anti-Rabbit IgG H&amp;L (HRP) (<a href='/products/secondary-antibodies/goat-rabbit-igg-h-l-hrp-ab97051'>ab97051</a>) secondary antibody.</p>", "PepArr-species-checked": "predicted", "PepArr-species-dilution-info": "", "PepArr-species-notes": "", "ICCIF-species-checked": "testedAndGuaranteed", "ICCIF-species-dilution-info": "0.5 µg/mL", "ICCIF-species-notes": "<p>Can be used with paraformaldehyde- or methanol- fixed cells.</p>" }, "Mouse": { "IHCP-species-checked": "guaranteed", "IHCP-species-dilution-info": "1 µg/mL", "IHCP-species-notes": "<p></p> Perform heat-mediated antigen retrieval before commencing with IHC staining protocol.", "ChIP-species-checked": "guaranteed", "ChIP-species-dilution-info": "2 µg for 25 µg chromatin", "ChIP-species-notes": "<p></p>", "WB-species-checked": "testedAndGuaranteed", "WB-species-dilution-info": "1 µg/mL", "WB-species-notes": "<p>We recommend Goat Anti-Rabbit IgG H&amp;L (HRP) (<a href='/products/secondary-antibodies/goat-rabbit-igg-h-l-hrp-ab97051'>ab97051</a>) secondary antibody.</p>", "PepArr-species-checked": "predicted", "PepArr-species-dilution-info": "", "PepArr-species-notes": "", "ICCIF-species-checked": "guaranteed", "ICCIF-species-dilution-info": "0.5 µg/mL", "ICCIF-species-notes": "<p>Can be used with paraformaldehyde- or methanol- fixed cells.</p>" }, "Rat": { "IHCP-species-checked": "guaranteed", "IHCP-species-dilution-info": "", "IHCP-species-notes": "", "ChIP-species-checked": "guaranteed", "ChIP-species-dilution-info": "", "ChIP-species-notes": "", "WB-species-checked": "testedAndGuaranteed", "WB-species-dilution-info": "1 µg/mL", "WB-species-notes": "<p>We recommend Goat Anti-Rabbit IgG H&amp;L (HRP) (<a href='/products/secondary-antibodies/goat-rabbit-igg-h-l-hrp-ab97051'>ab97051</a>) secondary antibody.</p>", "PepArr-species-checked": "predicted", "PepArr-species-dilution-info": "", "PepArr-species-notes": "", "ICCIF-species-checked": "guaranteed", "ICCIF-species-dilution-info": "", "ICCIF-species-notes": "" }, "Arabidopsis thaliana": { "IHCP-species-checked": "predicted", "IHCP-species-dilution-info": "", "IHCP-species-notes": "", "ChIP-species-checked": "predicted", "ChIP-species-dilution-info": "", "ChIP-species-notes": "", "WB-species-checked": "predicted", "WB-species-dilution-info": "", "WB-species-notes": "", "PepArr-species-checked": "predicted", "PepArr-species-dilution-info": "", "PepArr-species-notes": "", "ICCIF-species-checked": "predicted", "ICCIF-species-dilution-info": "", "ICCIF-species-notes": "" }, "Chicken": { "IHCP-species-checked": "predicted", "IHCP-species-dilution-info": "", "IHCP-species-notes": "", "ChIP-species-checked": "predicted", "ChIP-species-dilution-info": "", "ChIP-species-notes": "", "WB-species-checked": "predicted", "WB-species-dilution-info": "", "WB-species-notes": "", "PepArr-species-checked": "predicted", "PepArr-species-dilution-info": "", "PepArr-species-notes": "", "ICCIF-species-checked": "predicted", "ICCIF-species-dilution-info": "", "ICCIF-species-notes": "" }, "Cow": { "IHCP-species-checked": "guaranteed", "IHCP-species-dilution-info": "", "IHCP-species-notes": "", "ChIP-species-checked": "guaranteed", "ChIP-species-dilution-info": "", "ChIP-species-notes": "", "WB-species-checked": "testedAndGuaranteed", "WB-species-dilution-info": "1 µg/mL", "WB-species-notes": "<p>We recommend Goat Anti-Rabbit IgG H&amp;L (HRP) (<a href='/products/secondary-antibodies/goat-rabbit-igg-h-l-hrp-ab97051'>ab97051</a>) secondary antibody.</p>", "PepArr-species-checked": "predicted", "PepArr-species-dilution-info": "", "PepArr-species-notes": "", "ICCIF-species-checked": "guaranteed", "ICCIF-species-dilution-info": "", "ICCIF-species-notes": "" }, "Cyanidioschyzon merolae": { "IHCP-species-checked": "predicted", "IHCP-species-dilution-info": "", "IHCP-species-notes": "", "ChIP-species-checked": "predicted", "ChIP-species-dilution-info": "", "ChIP-species-notes": "", "WB-species-checked": "predicted", "WB-species-dilution-info": "", "WB-species-notes": "", "PepArr-species-checked": "predicted", "PepArr-species-dilution-info": "", "PepArr-species-notes": "", "ICCIF-species-checked": "predicted", "ICCIF-species-dilution-info": "", "ICCIF-species-notes": "" }, "Drosophila melanogaster": { "IHCP-species-checked": "predicted", "IHCP-species-dilution-info": "", "IHCP-species-notes": "", "ChIP-species-checked": "predicted", "ChIP-species-dilution-info": "", "ChIP-species-notes": "", "WB-species-checked": "predicted", "WB-species-dilution-info": "", "WB-species-notes": "", "PepArr-species-checked": "predicted", "PepArr-species-dilution-info": "", "PepArr-species-notes": "", "ICCIF-species-checked": "predicted", "ICCIF-species-dilution-info": "", "ICCIF-species-notes": "" }, "Monkey": { "IHCP-species-checked": "predicted", "IHCP-species-dilution-info": "", "IHCP-species-notes": "", "ChIP-species-checked": "predicted", "ChIP-species-dilution-info": "", "ChIP-species-notes": "", "WB-species-checked": "predicted", "WB-species-dilution-info": "", "WB-species-notes": "", "PepArr-species-checked": "predicted", "PepArr-species-dilution-info": "", "PepArr-species-notes": "", "ICCIF-species-checked": "predicted", "ICCIF-species-dilution-info": "", "ICCIF-species-notes": "" }, "Plasmodium falciparum": { "IHCP-species-checked": "predicted", "IHCP-species-dilution-info": "", "IHCP-species-notes": "", "ChIP-species-checked": "predicted", "ChIP-species-dilution-info": "", "ChIP-species-notes": "", "WB-species-checked": "predicted", "WB-species-dilution-info": "", "WB-species-notes": "", "PepArr-species-checked": "predicted", "PepArr-species-dilution-info": "", "PepArr-species-notes": "", "ICCIF-species-checked": "predicted", "ICCIF-species-dilution-info": "", "ICCIF-species-notes": "" }, "Rice": { "IHCP-species-checked": "predicted", "IHCP-species-dilution-info": "", "IHCP-species-notes": "", "ChIP-species-checked": "predicted", "ChIP-species-dilution-info": "", "ChIP-species-notes": "", "WB-species-checked": "predicted", "WB-species-dilution-info": "", "WB-species-notes": "", "PepArr-species-checked": "predicted", "PepArr-species-dilution-info": "", "PepArr-species-notes": "", "ICCIF-species-checked": "predicted", "ICCIF-species-dilution-info": "", "ICCIF-species-notes": "" }, "Synthetic peptide - Human": { "IHCP-species-checked": "notRecommended", "IHCP-species-dilution-info": "", "IHCP-species-notes": "", "ChIP-species-checked": "notRecommended", "ChIP-species-dilution-info": "", "ChIP-species-notes": "", "WB-species-checked": "notRecommended", "WB-species-dilution-info": "", "WB-species-notes": "", "PepArr-species-checked": "guaranteed", "PepArr-species-dilution-info": "0.02-0.2 µg/mL", "PepArr-species-notes": "<p></p>", "ICCIF-species-checked": "notRecommended", "ICCIF-species-dilution-info": "", "ICCIF-species-notes": "" }, "Xenopus laevis": { "IHCP-species-checked": "predicted", "IHCP-species-dilution-info": "", "IHCP-species-notes": "", "ChIP-species-checked": "predicted", "ChIP-species-dilution-info": "", "ChIP-species-notes": "", "WB-species-checked": "predicted", "WB-species-dilution-info": "", "WB-species-notes": "", "PepArr-species-checked": "predicted", "PepArr-species-dilution-info": "", "PepArr-species-notes": "", "ICCIF-species-checked": "predicted", "ICCIF-species-dilution-info": "", "ICCIF-species-notes": "" }, "Zebrafish": { "IHCP-species-checked": "predicted", "IHCP-species-dilution-info": "", "IHCP-species-notes": "", "ChIP-species-checked": "predicted", "ChIP-species-dilution-info": "", "ChIP-species-notes": "", "WB-species-checked": "predicted", "WB-species-dilution-info": "", "WB-species-notes": "", "PepArr-species-checked": "predicted", "PepArr-species-dilution-info": "", "PepArr-species-notes": "", "ICCIF-species-checked": "predicted", "ICCIF-species-dilution-info": "", "ICCIF-species-notes": "" } } }

产品详情

Anti-Histone H3 (acetyl K27) antibody - ChIP Grade (ab4729) is a rabbit polyclonal antibody and is validated for use in ChIP, ICC/IF, IHC-P, PepArr and WB.

Anti-Histone H3 (acetyl K27) antibody - ChIP Grade (ab4729) was first used in a scientific publication in 1975 and has been cited over 2188 times in peer reviewed journals. It's performance in ChIP and Western Blot in human and mouse samples is trusted by the scientific community.

Abcam's high quality validation processes ensure Anti-Histone H3 (acetyl K27) antibody - ChIP Grade (ab4729) has high sensitivity and specificity.

Anti-Histone H3 (acetyl K27) antibody - ChIP Grade (ab4729) has 85 independent reviews from customers.

Anti-Histone H3 (acetyl K27) antibody - ChIP Grade (ab4729) specifically detects Histone H3 Acetyl-K27 (UniProt ID: P68431; Molecular weight: 16kDa) and is sold in 100 µg selling sizes.

Top cited antibody for this target with >2500 citations and 70 five star abreviews. This antibody is useful in understanding H3K27ac's role in transcriptional activation and enhancer elements and is widely used as a marker in studies of post-translational modifications, embryonic genome activation and developmental biology. This antibody is crucial in cancer research and is widely used in studies of histone modifications involving histone acetyltransferases (HATs) and histone deacetylases (HDACs).

性能和储存信息

形式
Liquid
纯化工艺
Affinity purification Immunogen
存储溶液
pH: 7.4 Preservative: 0.02% Sodium azide Constituents: 98.98% PBS, 1% BSA
运输条件
Blue Ice
推荐的短期储存时间
1-2 weeks
推荐的短期储存条件
+4°C
推荐的长期储存条件
-20°C
分装信息
Upon delivery aliquot
储存信息
Avoid freeze / thaw cycle

补充信息

This supplementary information is collated from multiple sources and compiled automatically.

Histone H3 is a core component of the nucleosome playing an important role in DNA packaging within eukaryotic cells. Often referred to as H3 it has a molecular weight of around 15 kDa. Histone H3 is expressed in the nucleus of nearly all eukaryotic cells where it interacts with DNA and other histone proteins to form chromatin structure. Scientists frequently study histone H3 using techniques like Western blotting and immunohistochemistry utilizing antibodies such as anti-histone or phospho-histone H3 to distinguish post-translational modifications.
Biological function summary

Histone H3 participates in chromatin remodeling and gene transcription regulation. As part of the nucleosome complex it influences DNA accessibility and subsequently gene expression. Through post-translational modifications including methylation and phosphorylation H3 modulates chromatin structure. Common modifications include mono- di- and tri-methylation at various lysine residues like K56 which affect transcriptional activation or repression. These modifications form a part of the histone code a framework for regulating chromatin dynamics and genetic information.

Pathways

Histone H3 modifications are integral to several signaling pathways that modulate gene expression and cellular responses. The histone code interpreted by other proteins such as transcription factors and chromatin remodelers contributes significantly to the regulation of the cell cycle and signal transduction pathways like the MAPK/ERK pathway. H3 interacts closely with regulatory proteins including other histones and transcription machinery to facilitate these complex processes.

Histone H3 modifications are associated with various health conditions including cancer and neurological disorders. Aberrations in histone H3 methylation are linked to oncogenic transformations with disruptions often found in cancer types like glioblastoma and breast cancer. The alterations in H3 also connect to Alzheimer's disease through interactions with other histone modifications and their impact on gene expression patterns critical for neural function. Understanding these modifications helps provide insights into disease mechanisms and potential therapeutic targets.

产品实验方案

For this product, it's our understanding that no specific protocols are required. You can visit:

靶点信息

The protein expressed by gene H3C1 is a core component of the nucleosome, which is essential for wrapping and compacting DNA into chromatin. This process restricts DNA accessibility to cellular machineries that use DNA as a template. Consequently, histones are central to transcription regulation, DNA repair, DNA replication, and chromosomal stability. DNA accessibility is regulated through a complex set of post-translational modifications of histones, known as the histone code, and through nucleosome remodeling. This supplementary information is collated from multiple sources and compiled automatically.
See full target information H3C1 acetyl K27

文献 (2705)

Recent publications for all applications. Explore the full list and refine your search

Nature communications 16:9024 PubMed41073403

2025

HAND2 invades nucleolar condensates to pioneer lineage-specific cardiac pacemaker gene programs.

Applications

Unspecified application

Species

Unspecified reactive species

Kartik Kulkarni,Gabriella Quinn,Jared Dela Rosa,Sean Goetsch,Vrushali Pandit,Lin Wang,Akane Sakaguchi,Sushama Sivakumar,Nikhil V Munshi

Nature communications 16:8955 PubMed41062456

2025

Fosl2 facilitates chromatin accessibility to determine developmental events during follicular maturation.

Applications

Unspecified application

Species

Unspecified reactive species

Hongyong Zhang,Zechen Li,Yanmei Zhu,Wencong Lyu,Wenlu Wei,Haochen Wang,Shuangjie Tian,Wei Yue,Jiajing Zhong,Qing-Yuan Sun,Yiting Guan

iScience 28:113426 PubMed41054521

2025

Ablation of histone H1.4 reveals the focal regulation of AP-1 directed enhancers.

Applications

Unspecified application

Species

Unspecified reactive species

Nolan G Gokey,James M Ward,Eric J Milliman,Leesa J Deterding,Kevin W Trotter,Trevor K Archer

Epigenetics & chromatin 18:63 PubMed41044756

2025

Disruption of histone acetylation homeostasis reveals multilayered chromatin regulation for transcriptional resiliency.

Applications

Unspecified application

Species

Unspecified reactive species

Vrinda Venu,Eric M Small,Cullen Roth,Samantha H Adikari,Anna Hendrika Cornelia Vlot,Kyle A Sullivan,Chanaka Roshan Abeyratne,Daniel Jacobson,Shawn R Starkenburg,Karissa Y Sanbonmatsu,Christina R Steadman

Nature communications 16:8696 PubMed41027940

2025

Engineered exosomes with Kras specific siRNA in pancreatic cancer: a phase I study with immunological correlates.

Applications

Unspecified application

Species

Unspecified reactive species

Valerie S Kalluri,Brandon G Smaglo,Krishnan K Mahadevan,Michelle L Kirtley,Kathleen M McAndrews,Mayela Mendt,Sujuan Yang,Ana S Maldonado,Hikaru Sugimoto,Maria E Salvatierra,Luisa M Solis Soto,Cara Haymaker,Rick Finch,Mihai Gagea,Adam C Fluty,Steven J Ludtke,J Jack Lee,Abhinav K Jain,Gauri Varadhachary,Rachna T Shroff,Anirban Maitra,Elizabeth Shpall,Shubham Pant,Raghu Kalluri

Nature cell biology 27:1757-1770 PubMed41023488

2025

Mechano-osmotic signals control chromatin state and fate transitions in pluripotent stem cells.

Applications

Unspecified application

Species

Unspecified reactive species

Kaitlin P McCreery,Aki Stubb,Rebecca Stephens,Nadezda A Fursova,Andrew Cook,Kai Kruse,Anja Michelbach,Leah C Biggs,Adib Keikhosravi,Sonja Nykänen,Roosa Pulkkanen,Christel Hydén-Granskog,Jizhong Zou,Jan-Wilm Lackmann,Carien M Niessen,Sanna Vuoristo,Yekaterina A Miroshnikova,Sara A Wickström

BMC genomics 26:836 PubMed41013184

2025

Prenatal nicotine exposure induces epigenetic alterations in the Notch signaling genes in the proximal colon in rats.

Applications

Unspecified application

Species

Unspecified reactive species

Ouzna Dali,Celine Heitz-Marchaland,Pierre-Yves Kernanec,Javier Carrion-Padilla,Baptiste Godin,Sergei Tevosian,Jasenka Zubcevic,Linda F Hayward,Fatima Smagulova

Nature communications 16:8287 PubMed40962798

2025

RBM39 degrader invigorates innate immunity to eradicate neuroblastoma despite cancer cell plasticity.

Applications

Unspecified application

Species

Unspecified reactive species

Shivendra Singh,Jie Fang,Hongjian Jin,Lee-Ann Van De Velde,Andrew Cortes,Jiani Chen,Sivaraman Natarajan,Evon Poon,Qiong Wu,Christopher L Morton,Mary A Woolard,Waise Quarni,Jacob A Steele,Jon P Connelly,Liusheng He,Rebecca Thorne,Gregory Turner,Thomas Confer,Melissa Johnson,William V Caufield,Burgess B Freeman,Timothy Lockey,Andrew J Murphy,Peter J Murray,Takashi Owa,Shondra M Pruett-Miller,Ruoning Wang,Louis Chesler,Julie R Park,Andrew M Davidoff,John Easton,Xiang Chen,Paul G Thomas,Jun Yang

Nucleic acids research 53: PubMed40966497

2025

SMRT anchors the HDAC3 corepressor complex to chromatin to regulate inflammatory and metabolic pathways in macrophages.

Applications

Unspecified application

Species

Unspecified reactive species

Astradeni Efthymiadou,Chaode Gu,Cheng Wang,Hongwei Wang,Ziyi Li,Oihane Garcia-Irigoyen,Rongrong Fan,Eckardt Treuter,Zhiqiang Huang

Nature : PubMed40963014

2025

Co-option of an ancestral cloacal regulatory landscape during digit evolution.

Applications

Unspecified application

Species

Unspecified reactive species

Aurélie Hintermann,Christopher C Bolt,M Brent Hawkins,Guillaume Valentin,Lucille Lopez-Delisle,Madeline M Ryan,Sandra Gitto,Paula Barrera Gómez,Bénédicte Mascrez,Thomas A Mansour,Tetsuya Nakamura,Matthew P Harris,Neil H Shubin,Denis Duboule
View all publications

Abcam Product Promise

我们致力于为您的研究提供高质量的试剂,为您科研的每一步提供支持。若我们的产品未能达到预期性能,我们向您提供 Abcam Product Promise 保障。
详情请参阅我们的条款与条件。

Please note: All products are 'FOR RESEARCH USE ONLY. NOT FOR USE IN DIAGNOSTIC OR THERAPEUTIC PROCEDURES'.

For licensing inquiries, please contact partnerships@abcam.com