JavaScript is disabled in your browser. Please enable JavaScript to view this website.
AB52946

重组Anti-Histone H3 (acetyl K14)抗体[EP964Y] - ChIP Grade

Anti-Histone H3 (acetyl K14) antibody [EP964Y] - ChIP Grade

  • BOND RX™ Validated
  • RabMAb
  • Recombinant
  • Advanced Validation
  • 了解详情

5

(12 Reviews)

|

(144 Publications)

Anti-Histone H3 (acetyl K14) antibody [EP964Y] - ChIP Grade (ab52946) is a rabbit monoclonal antibody detecting Histone H3 in Western Blot, IP, IHC-P, ICC/IF, ChIP, PepArr. Suitable for Human, Mouse, Rat.

- Biophysical QC for unrivalled batch-batch consistency
- Over 100 publications
- Trusted since 2007

查看别名

H3FA, HIST1H3A, H3C2, H3FL, HIST1H3B, H3C3, H3FC HIST1H3C, H3C4, H3FB, HIST1H3D, H3C6, H3FD, HIST1H3E, H3C7, H3FI, HIST1H3F, H3C8, H3FH, HIST1H3G, H3C10, H3FK, HIST1H3H, H3C11, H3FF, HIST1H3I, H3C12, H3FJ, HIST1H3J, HIST1H3C, H3FC, H3C1, Histone H3.1, Histone H3/a, Histone H3/b, Histone H3/c, Histone H3/d, Histone H3/f, Histone H3/h, Histone H3/i, Histone H3/j, Histone H3/k, Histone H3/l, H3K14ac

10 Images
Immunohistochemistry (Formalin/PFA-fixed paraffin-embedded sections) - Anti-Histone H3 (acetyl K14) antibody [EP964Y] - ChIP Grade (AB52946)
  • IHC-P

Unknown

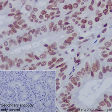
Immunohistochemistry (Formalin/PFA-fixed paraffin-embedded sections) - Anti-Histone H3 (acetyl K14) antibody [EP964Y] - ChIP Grade (AB52946)

ab52946 at 1/100 dilution staining Histone H3 (acetyl K14) in human uterus adenocarcinoma tissue by Immunohistochemistry, Paraffin embedded tissue.

Perform heat mediated antigen retrieval with citrate buffer pH 6 before commencing with IHC staining protocol.

Immunohistochemistry (Formalin/PFA-fixed paraffin-embedded sections) - Anti-Histone H3 (acetyl K14) antibody [EP964Y] - ChIP Grade (AB52946)
  • IHC-P

Supplier Data

Immunohistochemistry (Formalin/PFA-fixed paraffin-embedded sections) - Anti-Histone H3 (acetyl K14) antibody [EP964Y] - ChIP Grade (AB52946)

Immunohistochemical analysis of paraffin-embedded Human endometrium carcinoma tissue labeling Histone H3 with ab52946, followed by a ready to use Goat Anti-Rabbit IgG H&L (HRP). Nuclear staining on human endometrium carcinoma. The section was incubated with ab52946 for 30 mins at room temperature. The immunostaining was performed on a Leica Biosystems BOND® RX instrument. Counterstained with Hematoxylin. Heat mediated antigen retrieval using ab93684 (Tris/EDTA buffer, pH 9.0).

Secondary antibody only control : Used PBS instead of primary antibody, secondary antibody is a ready to use Goat Anti-Rabbit IgG H&L (HRP).

Immunocytochemistry/ Immunofluorescence - Anti-Histone H3 (acetyl K14) antibody [EP964Y] - ChIP Grade (AB52946)
  • ICC/IF

Unknown

Immunocytochemistry/ Immunofluorescence - Anti-Histone H3 (acetyl K14) antibody [EP964Y] - ChIP Grade (AB52946)

Immunocytochemistry/Immunofluorescence analysis of untreated HeLa (Human epithelial cell line from cervix adenocarcinoma) cells and TSA (Trichostatin A) (500ng/ml, 4h) treated HeLa cells labeling Histone H3 (acetyl K14) with purified ab52946 at 1/500. Cells were fixed with 4% PFA and permeabilized with 0.1% Triton X-100, counterstained with ab150120 AlexaFluor®594 Goat anti-Mouse secondary 1 : 1000 (2ug/ml). An Alexa Fluor® 488-conjugated goat anti-rabbit IgG (1/1000) was used as the secondary antibody (ab150077). Nuclei counterstained with DAPI (blue).

Negative Control 1 : Rabbit primary antibody and anti-mouse secondary antibody(ab150120)

Negative Control 2 : Mouse primary antibody(ab7291) and anti-rabbit secondary antibody(ab150077)

ChIP - Anti-Histone H3 (acetyl K14) antibody [EP964Y] - ChIP Grade (AB52946)
  • ChIP

Unknown

ChIP - Anti-Histone H3 (acetyl K14) antibody [EP964Y] - ChIP Grade (AB52946)

Chromatin was prepared from HeLa cells (treated with 50 ng/ml nocodazole for 14 hours) according to the Abcam X-ChIP protocol. Cells were fixed with EGS (1.5 mM) for 30 minutes then formaldehyde (1%) for 10 minutes. The ChIP was performed with 25μg of chromatin, 5μg of ab52946 (red), and 20μl of Protein A/G sepharose beads. No antibody was added to the beads control (grey). The immunoprecipitated DNA was quantified by real time PCR (TaqMan approach).

Immunohistochemistry (Formalin/PFA-fixed paraffin-embedded sections) - Anti-Histone H3 (acetyl K14) antibody [EP964Y] - ChIP Grade (AB52946)
  • IHC-P

Supplier Data

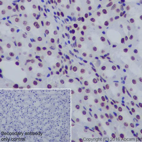
Immunohistochemistry (Formalin/PFA-fixed paraffin-embedded sections) - Anti-Histone H3 (acetyl K14) antibody [EP964Y] - ChIP Grade (AB52946)

Immunohistochemical analysis of paraffin-embedded Rat liver tissue labeling Histone H3 with ab52946, followed by a ready to use Goat Anti-Rabbit IgG H&L (HRP). Nuclear staining on rat liver. The section was incubated with ab52946, for 30 mins at room temperature. The immunostaining was performed on a Leica Biosystems BOND® RX instrument. Counterstained with Hematoxylin. Heat mediated antigen retrieval using ab93684 (Tris/EDTA buffer, pH 9.0).

Secondary antibody only control : Used PBS instead of primary antibody, secondary antibody is a ready to use Goat Anti-Rabbit IgG H&L (HRP).

Immunohistochemistry (Formalin/PFA-fixed paraffin-embedded sections) - Anti-Histone H3 (acetyl K14) antibody [EP964Y] - ChIP Grade (AB52946)
  • IHC-P

Supplier Data

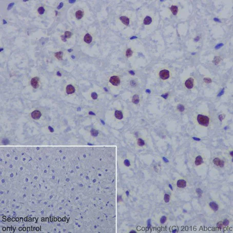
Immunohistochemistry (Formalin/PFA-fixed paraffin-embedded sections) - Anti-Histone H3 (acetyl K14) antibody [EP964Y] - ChIP Grade (AB52946)

Immunohistochemical analysis of paraffin-embedded Mouse kidney tissue labeling Histone H3 with ab52946, followed by a ready to use Goat Anti-Rabbit IgG H&L (HRP). Nuclear staining on mouse kidney. The section was incubated with ab52946 for 30 mins at room temperature. The immunostaining was performed on a Leica Biosystems BOND® RX instrument. Counterstained with Hematoxylin. Heat mediated antigen retrieval using ab93684 (Tris/EDTA buffer, pH 9.0).

Secondary antibody only control : Used PBS instead of primary antibody, secondary antibody is a ready to use Goat Anti-Rabbit IgG H&L (HRP).

Western blot - Anti-Histone H3 (acetyl K14) antibody [EP964Y] - ChIP Grade (AB52946)
  • WB

Supplier Data

Western blot - Anti-Histone H3 (acetyl K14) antibody [EP964Y] - ChIP Grade (AB52946)

Blocking/Diluting buffer and concentration : 5% NFDM/TBST

All lanes:

Western blot - Anti-Histone H3 (acetyl K14) antibody [EP964Y] - ChIP Grade (ab52946) at 1/1000 dilution

Lane 1:

C6 (Rat glial tumor glial cell) treated with Trichostatin A whole cell lysates at 15 µg

Lane 2:

293T (Human embryonic kidney epithelial cell) whole cell lysates at 15 µg

Lane 3:

HEL (Human Erythroleukemia erythroblast) whole cell lysates at 15 µg

Secondary

All lanes:

Western blot - Goat Anti-Rabbit IgG H&L (HRP) (<a href='/products/secondary-antibodies/goat-rabbit-igg-h-l-hrp-ab97051'>ab97051</a>) at 1/20000 dilution

Predicted band size: 15 kDa

Observed band size: 15 kDa

false

Exposure time: 60s

Western blot - Anti-Histone H3 (acetyl K14) antibody [EP964Y] - ChIP Grade (AB52946)
  • WB

Lab

Western blot - Anti-Histone H3 (acetyl K14) antibody [EP964Y] - ChIP Grade (AB52946)

Different batches of ab52946 were tested on C6 (Rat glial tumor glial cell) treated with Trichostatin A lysate at 1.2 µg/ml. 15 µg of lysate was loaded in each lane. Bands observed at 15 kDa.

All lanes:

Western blot - Anti-Histone H3 (acetyl K14) antibody [EP964Y] - ChIP Grade (ab52946)

Predicted band size: 15 kDa

false

Western blot - Anti-Histone H3 (acetyl K14) antibody [EP964Y] - ChIP Grade (AB52946)
  • WB

Unknown

Western blot - Anti-Histone H3 (acetyl K14) antibody [EP964Y] - ChIP Grade (AB52946)

All lanes:

Western blot - Anti-Histone H3 (acetyl K14) antibody [EP964Y] - ChIP Grade (ab52946) at 1/2000 dilution

Lane 1:

C6 (Rat glial tumor cell line) cell lysates untreated at 10 µg

Lane 2:

C6 cell lysates treated with Trichostatin A at 10 µg

Secondary

All lanes:

goat anti-rabbit HRP at 1/2000 dilution

Predicted band size: 15 kDa

Observed band size: 11 kDa

false

Peptide Array - Anti-Histone H3 (acetyl K14) antibody [EP964Y] - ChIP Grade (AB52946)
  • PepArr

Lab

Peptide Array - Anti-Histone H3 (acetyl K14) antibody [EP964Y] - ChIP Grade (AB52946)

ab52946 at 0.01 μg/mL was tested in Peptide Array against 501 different modified and unmodified histone peptides; each peptide is printed on the array at six concentrations (each in triplicate). A Goat Anti-Rabbit IgG, (H+L), Fluo 647nm conjugated at 1/50000 dilution was used as the secondary antibody. Washing buffer and time was protein Array Washing Buffer, 2*10mins and 2*5mins and blocking buffer was 5% BSA in TBST. Circle area represents affinity between the antibody and a peptide : all antigen-containing peptides are displayed as red circles, all other peptides as blue circles. The affinity is calculated as the area under the curve when antibody binding values are plotted against the corresponding peptide concentration. Each circle area is normalized to the peptide with the strongest affinity. Scanner details : Innoscan 710

不同偶联物与剂型 (9)

  • Biotin

    Biotin Anti-Histone H3 (acetyl K14) antibody [EP964Y]

  • 519 Alexa Fluor® 488

    Alexa Fluor® 488 Anti-Histone H3 (acetyl K14) antibody [EP964Y]

  • 665 Alexa Fluor® 647

    Alexa Fluor® 647 Anti-Histone H3 (acetyl K14) antibody [EP964Y]

  • Carrier free

    Anti-Histone H3 (acetyl K14) antibody [EP964Y] - BSA and Azide free

  • 617 Alexa Fluor® 594

    Alexa Fluor® 594 Anti-Histone H3 (acetyl K14) antibody [EP964Y] – ChIP Grade

  • 660 APC

    APC Anti-Histone H3 (acetyl K14) antibody [EP964Y] – ChIP Grade

  • 578 PE

    PE Anti-Histone H3 (acetyl K14) antibody [EP964Y] – ChIP Grade

  • 565 Alexa Fluor® 555

    Alexa Fluor® 555 Anti-Histone H3 (acetyl K14) antibody [EP964Y] – ChIP Grade

  • 775 Alexa Fluor® 750

    Alexa Fluor® 750 Anti-Histone H3 (acetyl K14) antibody [EP964Y] - ChIP Grade

关键信息

宿主种属

Rabbit

克隆

Monoclonal

克隆号

EP964Y

亚型

IgG

不含载体蛋白

No

反应种属

Mouse, Rat, Human

应用

WB, ICC/IF, IHC-P, ChIP, PepArr

applications

免疫原

The exact immunogen used to generate this antibody is proprietary information.

特异性

There was no cross-reactivity observed with recombinant H3 or the following modifications Acetyl-K9/pS10, -K18, -K23, and -K27 in dot plot.

反应性数据

{ "title": "Reactivity Data", "filters": { "stats": ["", "Species", "Dilution Info", "Notes"], "tabs": { "all-applications": {"fullname" : "All Applications", "shortname": "All Applications"}, "PepArr" : {"fullname" : "Peptide Array", "shortname":"PepArr"}, "IHCP" : {"fullname" : "Immunohistochemistry (Formalin/PFA-fixed paraffin-embedded sections)", "shortname":"IHC-P"}, "ChIP" : {"fullname" : "ChIP", "shortname":"ChIP"}, "FlowCyt" : {"fullname" : "Flow Cytometry", "shortname":"Flow Cyt"}, "WB" : {"fullname" : "Western blot", "shortname":"WB"}, "ICCIF" : {"fullname" : "Immunocytochemistry/ Immunofluorescence", "shortname":"ICC/IF"} }, "product-promise": { "all": "all", "testedAndGuaranteed": "tested", "guaranteed": "expected", "predicted": "predicted", "notRecommended": "not-recommended" } }, "values": { "Human": { "PepArr-species-checked": "guaranteed", "PepArr-species-dilution-info": "", "PepArr-species-notes": "", "IHCP-species-checked": "testedAndGuaranteed", "IHCP-species-dilution-info": "1/100 - 1/250", "IHCP-species-notes": "<p></p> Perform heat-mediated antigen retrieval with citrate buffer pH 6 before commencing with IHC staining protocol.", "ChIP-species-checked": "testedAndGuaranteed", "ChIP-species-dilution-info": "5 µg for 25 µg chromatin", "ChIP-species-notes": "<p></p>", "FlowCyt-species-checked": "notRecommended", "FlowCyt-species-dilution-info": "", "FlowCyt-species-notes": "", "WB-species-checked": "testedAndGuaranteed", "WB-species-dilution-info": "1/2000", "WB-species-notes": "<p></p>", "ICCIF-species-checked": "testedAndGuaranteed", "ICCIF-species-dilution-info": "1/250 - 1/500", "ICCIF-species-notes": "<p></p>" }, "Mouse": { "PepArr-species-checked": "guaranteed", "PepArr-species-dilution-info": "", "PepArr-species-notes": "", "IHCP-species-checked": "testedAndGuaranteed", "IHCP-species-dilution-info": "1/100 - 1/250", "IHCP-species-notes": "<p></p> Perform heat-mediated antigen retrieval with citrate buffer pH 6 before commencing with IHC staining protocol.", "ChIP-species-checked": "guaranteed", "ChIP-species-dilution-info": "", "ChIP-species-notes": "", "FlowCyt-species-checked": "notRecommended", "FlowCyt-species-dilution-info": "", "FlowCyt-species-notes": "", "WB-species-checked": "guaranteed", "WB-species-dilution-info": "", "WB-species-notes": "", "ICCIF-species-checked": "guaranteed", "ICCIF-species-dilution-info": "", "ICCIF-species-notes": "" }, "Rat": { "PepArr-species-checked": "guaranteed", "PepArr-species-dilution-info": "", "PepArr-species-notes": "", "IHCP-species-checked": "testedAndGuaranteed", "IHCP-species-dilution-info": "1/100 - 1/250", "IHCP-species-notes": "<p></p> Perform heat-mediated antigen retrieval with citrate buffer pH 6 before commencing with IHC staining protocol.", "ChIP-species-checked": "guaranteed", "ChIP-species-dilution-info": "", "ChIP-species-notes": "", "FlowCyt-species-checked": "notRecommended", "FlowCyt-species-dilution-info": "", "FlowCyt-species-notes": "<p></p>", "WB-species-checked": "testedAndGuaranteed", "WB-species-dilution-info": "1/2000", "WB-species-notes": "<p></p>", "ICCIF-species-checked": "guaranteed", "ICCIF-species-dilution-info": "", "ICCIF-species-notes": "" }, "Caenorhabditis elegans": { "PepArr-species-checked": "predicted", "PepArr-species-dilution-info": "", "PepArr-species-notes": "", "IHCP-species-checked": "predicted", "IHCP-species-dilution-info": "", "IHCP-species-notes": "", "ChIP-species-checked": "predicted", "ChIP-species-dilution-info": "", "ChIP-species-notes": "", "FlowCyt-species-checked": "notRecommended", "FlowCyt-species-dilution-info": "", "FlowCyt-species-notes": "", "WB-species-checked": "predicted", "WB-species-dilution-info": "", "WB-species-notes": "", "ICCIF-species-checked": "predicted", "ICCIF-species-dilution-info": "", "ICCIF-species-notes": "" }, "Drosophila melanogaster": { "PepArr-species-checked": "predicted", "PepArr-species-dilution-info": "", "PepArr-species-notes": "", "IHCP-species-checked": "predicted", "IHCP-species-dilution-info": "", "IHCP-species-notes": "", "ChIP-species-checked": "predicted", "ChIP-species-dilution-info": "", "ChIP-species-notes": "", "FlowCyt-species-checked": "notRecommended", "FlowCyt-species-dilution-info": "", "FlowCyt-species-notes": "", "WB-species-checked": "predicted", "WB-species-dilution-info": "", "WB-species-notes": "", "ICCIF-species-checked": "predicted", "ICCIF-species-dilution-info": "", "ICCIF-species-notes": "" }, "Saccharomyces cerevisiae": { "PepArr-species-checked": "predicted", "PepArr-species-dilution-info": "", "PepArr-species-notes": "", "IHCP-species-checked": "predicted", "IHCP-species-dilution-info": "", "IHCP-species-notes": "", "ChIP-species-checked": "predicted", "ChIP-species-dilution-info": "", "ChIP-species-notes": "", "FlowCyt-species-checked": "notRecommended", "FlowCyt-species-dilution-info": "", "FlowCyt-species-notes": "", "WB-species-checked": "predicted", "WB-species-dilution-info": "", "WB-species-notes": "", "ICCIF-species-checked": "predicted", "ICCIF-species-dilution-info": "", "ICCIF-species-notes": "" }, "Schizosaccharomyces pombe": { "PepArr-species-checked": "predicted", "PepArr-species-dilution-info": "", "PepArr-species-notes": "", "IHCP-species-checked": "predicted", "IHCP-species-dilution-info": "", "IHCP-species-notes": "", "ChIP-species-checked": "predicted", "ChIP-species-dilution-info": "", "ChIP-species-notes": "", "FlowCyt-species-checked": "notRecommended", "FlowCyt-species-dilution-info": "", "FlowCyt-species-notes": "", "WB-species-checked": "predicted", "WB-species-dilution-info": "", "WB-species-notes": "", "ICCIF-species-checked": "predicted", "ICCIF-species-dilution-info": "", "ICCIF-species-notes": "" }, "Synthetic peptide": { "PepArr-species-checked": "testedAndGuaranteed", "PepArr-species-dilution-info": "0.01 µg/mL", "PepArr-species-notes": "<p></p>", "IHCP-species-checked": "notRecommended", "IHCP-species-dilution-info": "", "IHCP-species-notes": "", "ChIP-species-checked": "notRecommended", "ChIP-species-dilution-info": "", "ChIP-species-notes": "", "FlowCyt-species-checked": "notRecommended", "FlowCyt-species-dilution-info": "", "FlowCyt-species-notes": "", "WB-species-checked": "notRecommended", "WB-species-dilution-info": "", "WB-species-notes": "", "ICCIF-species-checked": "notRecommended", "ICCIF-species-dilution-info": "", "ICCIF-species-notes": "" } } }

产品详情

What is this antibody validated in?
Anti-Histone H3 (acetyl K14) antibody [EP964Y] - ChIP Grade (ab52946) is a rabbit recombinant monoclonal antibody and is validated for use in Western Blot (WB), Immunoprecipitation (IP), Immunohistochemistry (IHC-P), Immunocytochemistry/immunofluorescence (ICC/IF), ChIP, Peptide Array in Human, Mouse, Rat samples.

What is the molecular weight of Histone H3?
Anti-Histone H3 (acetyl K14) [EP964Y] - ChIP Grade (ab52946) specifically detects a band for Histone H3 (UniProt: P68431) at a molecular weight of 11kDa.

Trusted by the scientific community
Anti-Histone H3 (acetyl K14) [EP964Y] - ChIP Grade (ab52946) was first used in a scientific publication in 2007 and has been cited over 100 times in peer-reviewed journals.

Reviewed by scientists
Anti-Histone H3 (acetyl K14) [EP964Y] - ChIP Grade (ab52946) has over 5 independent reviews from customers.

Trial sizes available!
Test your antibody or perform pre-screening before committing to a larger quantity. Sold in 10µl. Discover our selection of trial-size antibodies.

Other related products
We have a range of other formats of antibody clone [EP964Y] also available for your convenience: ab52946, Biotin - ab200031, Carrier free - ab203952, Alexa Fluor® 488 - ab277918, Alexa Fluor® 647 - ab277919, APC - ab319293, PE - ab319440, Alexa Fluor® 594 - ab319786, Alexa Fluor® 555 - ab319927, Alexa Fluor® 750 - ab321674

Patented technology
Our RabMAb® technology is a patented hybridoma-based technology for making rabbit monoclonal antibodies. For details on our patents, please refer to RabMAb® patents.

What are the advantages of a recombinant monoclonal antibody?
This product is a recombinant monoclonal antibody, which offers several advantages including:

  • - High batch-to-batch consistency and reproducibility
  • - Improved sensitivity and specificity
  • - Long-term security of supply
  • - Animal-free batch production

For more information, read more on recombinant antibodies.

性能和储存信息

形式
Liquid
纯化工艺
Affinity purification Protein A
存储溶液
pH: 7.2 - 7.4 Preservative: 0.01% Sodium azide Constituents: PBS, 40% Glycerol (glycerin, glycerine), 0.05% BSA
运输条件
Blue Ice
推荐的短期储存时间
1-2 weeks
推荐的短期储存条件
+4°C
推荐的长期储存条件
-20°C
分装信息
Upon delivery aliquot
储存信息
Stable for 12 months at -20°C

产品实验方案

For this product, it's our understanding that no specific protocols are required. You can visit:

靶点信息

The protein expressed by gene H3C1 is a core component of the nucleosome, which is essential for wrapping and compacting DNA into chromatin. This process restricts DNA accessibility to cellular machineries that use DNA as a template. Consequently, histones are central to transcription regulation, DNA repair, DNA replication, and chromosomal stability. DNA accessibility is regulated through a complex set of post-translational modifications of histones, known as the histone code, and through nucleosome remodeling. This supplementary information is collated from multiple sources and compiled automatically.
See full target information H3C1 acetyl K14

文献 (144)

Recent publications for all applications. Explore the full list and refine your search

Nature communications 16:8800 PubMed41038843

2025

Crotonate enhances intestinal regeneration after injury via HBO1-mediated H3K14 crotonylation.

Applications

Unspecified application

Species

Unspecified reactive species

Yanhui Xiao,Shicheng Yu,Mengxian Zhang,Nanshan Zhong,Shan Hua,Zhi Fang,Zhe Zhang,Huidong Liu,Ronghui Tan,Yuan Liu,Ye-Guang Chen

Cancer discovery : PubMed40997327

2025

Functional mapping of epigenomic regulators uncovers coordinated tumor suppression by the HBO1 and MLL1 complexes.

Applications

Unspecified application

Species

Unspecified reactive species

Yuning J Tang,Haiqing Xu,Nicholas W Hughes,Paloma Ruiz,Samuel H Kim,Emily G Shuldiner,Steven S Lopez,Jess D Hebert,Saswati Karmakar,Laura Andrejka,Deniz Nesli Dolcen,Gabor Boross,Pauline Chu,Christian A Kunder,Colin Detrick,Sarah E Pierce,Emily L Ashkin,William J Greenleaf,Anne K Voss,Tim Thomas,Matt van de Rijn,Dmitri A Petrov,Monte M Winslow

Nature cell biology 27:1482-1495 PubMed40921734

2025

Hbo1 and Msl complexes preserve differential compaction and H3K27me3 marking of active and inactive X chromosomes during mitosis.

Applications

Unspecified application

Species

Unspecified reactive species

Dounia Djeghloul,Sherry Cheriyamkunnel,Bhavik Patel,Holger Kramer,Alex Montoya,Karen E Brown,Chad Whilding,Tatyana B Nesterova,Guifeng Wei,Neil Brockdorff,Iga Grządzielewska,Remzi Karayol,Asifa Akhtar,Matthias Merkenschlager,Amanda G Fisher

Nature genetics 57:2264-2275 PubMed40890361

2025

Chromatin dynamics of a large-sized genome provides insights into polyphenism and X0 dosage compensation of locusts.

Applications

Unspecified application

Species

Unspecified reactive species

Qing Liu,Feng Jiang,Ran Li,Shanlin Liu,Wenjing Fang,Xiao Li,Ting Hu,Lianyun Feng,Jie Zhang,Zhikang Liu,Jing He,Wei Guo,Xianhui Wang,Zongyi Sun,Jingjing Li,Yunan Gao,Jiacheng Yi,Qiye Li,Xiaoxiao Wang,Liya Wei,Le Kang

iScience 28:113083 PubMed40734674

2025

RACK7 senses and fine-tunes enhancer activity.

Applications

Unspecified application

Species

Unspecified reactive species

Li Dong,Daixuan Zhang,Ying Cai,Min Zeng,Mandi Mu,Peng Zhao,Jin Wang,Siyi Cheng,Qingqing Cai,Jian Zhang,Yajun Hu,Lei Zhang,Li Tan,Feizhen Wu,Yujiang Geno Shi,Wenqi Xu,Hongjie Shen

British journal of cancer 133:956-969 PubMed40715695

2025

Impact of gut microbiome on radiotherapy and immunotherapy efficacy in microsatellite-stable colorectal cancer: role of propionic acid and B. fragilis.

Applications

Unspecified application

Species

Unspecified reactive species

Lu Yu,Qiqing Guo,Xinyi Gu,Zihuan Wang,Jiaying Li,Xusheng Wang,Zi Xu,Yafang Wang,Yuqin Zhang,Yaowei Zhang,Yanqing Ding,Zhenhui Chen,Keli Chen,Yi Ding

Nature communications 16:5165 PubMed40461482

2025

Efficient generation of germline chimeras in a non-rodent species using rabbit induced pluripotent stem cells.

Applications

Unspecified application

Species

Unspecified reactive species

Hong-Thu Pham,Florence Perold,Yannicke Pijoff,Nathalie Doerflinger,Sylvie Rival-Gervier,Maëlle Givelet,Anaïs Moulin,Manon Ressaire,Emilie Da Silva Fernandes,Valeska Bidault,Luc Jouneau,Véronique Duranthon,Florence Wianny,Bertrand Pain,Ingrid Plotton,Thierry Joly,Marielle Afanassieff,Pierre Savatier,Nathalie Beaujean

Nature communications 16:4668 PubMed40394068

2025

Targeting epigenetic regulators to overcome drug resistance in the emerging human fungal pathogen Candida auris.

Applications

Unspecified application

Species

Unspecified reactive species

Yuping Zhang,Lingbing Zeng,Xinhua Huang,Yuanyuan Wang,Guangsheng Chen,Munika Moses,Yun Zou,Sichu Xiong,Wenwen Xue,Yanmei Dong,Yueru Tian,Ming Guan,Lingfei Hu,Zhe Yin,Dongsheng Zhou,Xiaotian Huang,Changbin Chen

iScience 28:111953 PubMed40083716

2025

KAT6B overexpression in mice causes aggression, anxiety, and epilepsy.

Applications

Unspecified application

Species

Unspecified reactive species

Maria I Bergamasco,Ezgi Ozturk,Pablo M Casillas-Espinosa,Alexandra L Garnham,Waruni Abeysekera,Verena C Wimmer,Pradeep Rajasekhar,Hannah K Vanyai,Lachlan Whitehead,Marnie E Blewitt,Kelly Rogers,Adam P Vogel,Anthony J Hannan,Gordon K Smyth,Nigel C Jones,Tim Thomas,Anne K Voss

Acta biochimica et biophysica Sinica 57:1660-1669 PubMed40065721

2025

HDAC11 in ovarian granulosa cells coordinates LH in the maturation of oocytes in Tan sheep.

Applications

Unspecified application

Species

Unspecified reactive species

Jiaqi Shi,Donghuan Lv,Yaxiu Xu,Xiangyan Wang,Zhipeng Qi,Yujie Yan,Jinghua Wang,Hongyuan Song,Hui Yang,Luguo Jin,Zhengyi Yang,Xiaoning Yang,Xiumei Kang,Xinfeng Liu,Zhuming Zhang,Chao Wang
View all publications

Abcam Product Promise

我们致力于为您的研究提供高质量的试剂,为您科研的每一步提供支持。若我们的产品未能达到预期性能,我们向您提供 Abcam Product Promise 保障。
详情请参阅我们的条款与条件。

Please note: All products are 'FOR RESEARCH USE ONLY. NOT FOR USE IN DIAGNOSTIC OR THERAPEUTIC PROCEDURES'.

For licensing inquiries, please contact partnerships@abcam.com