JavaScript is disabled in your browser. Please enable JavaScript to view this website.
AB177396

重组Anti-Histone H2B (crotonyl K5)抗体[EPR17483]

Anti-Histone H2B (crotonyl K5) antibody [EPR17483]

Be the first to review this product! Submit a review

|

(1 Publication)

Rabbit Recombinant Monoclonal H2B crotonyl K5 antibody. Suitable for WB, PepArr, ICC/IF, IHC-P and reacts with Mouse, Human, Rat samples. Cited in 1 publication.

查看别名

H2BFQ, HIST2H2BE, H2BC21, Histone H2B type 2-E, H2B-clustered histone 21, Histone H2B-GL105, Histone H2B.q, H2B/q, H2BK5cr

7 Images
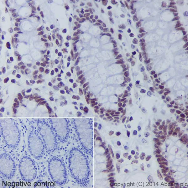
Immunohistochemistry (Formalin/PFA-fixed paraffin-embedded sections) - Anti-Histone H2B (crotonyl K5) antibody [EPR17483] (AB177396)
  • IHC-P

Supplier Data

Immunohistochemistry (Formalin/PFA-fixed paraffin-embedded sections) - Anti-Histone H2B (crotonyl K5) antibody [EPR17483] (AB177396)

Immunohistochemical analysis of paraffin-embedded Human colon tissue labeling Histone H2B (crotonyl K5) using ab177396 at 1/500 dilution. A Goat Anti-Rabbit IgG H&L (HRP) (ab97051) was used as secondary at 1/500 dilution. Counter stained with Hematoxylin.
Inset image : negative control obtained using PBS instead of ab177396.
Note : Nucleus staining on glandular epithelium of Human colon tissue was observed.

Perform heat mediated antigen retrieval with Tris/EDTA buffer pH 9.0 before commencing with IHC staining protocol.

Immunocytochemistry/ Immunofluorescence - Anti-Histone H2B (crotonyl K5) antibody [EPR17483] (AB177396)
  • ICC/IF

Supplier Data

Immunocytochemistry/ Immunofluorescence - Anti-Histone H2B (crotonyl K5) antibody [EPR17483] (AB177396)

Immunofluorescent analysis of 4% paraformaldehyde-fixed 0.1% Triton X-100 permeabilized HeLa (Human epithelial cells from cervix adenocarcinoma) cells labeling Histone H2B (crotonyl K5) with ab177396 at 1/250 dilution followed by Goat anti-rabbit IgG (Alexa Fluor® 488) (ab150077) secondary antibody at 1/500 dilution (green). Confocal image showing nuclear staining on HeLa cell line. The nuclear counter stain is DAPI (blue). Tubulin is detected with ab7291 (anti-Tubulin mouse mAb) at 1/1000 dilution and ab150120 (AlexaFluor®594 Goat anti-Mouse secondary) at 1/500 dilution (red).
The negative controls are as follows :
1. ab177396 at 1/250 dilution followed by ab150120 (AlexaFluor®594 Goat anti-Mouse secondary) at 1/500 dilution.
2. ab7291 (anti-Tubulin mouse mAb) at 1/1000 dilution followed by ab150077 (Alexa Fluor®488 Goat Anti-Rabbit IgG H&L) at 1/500 dilution.

Immunohistochemistry (Formalin/PFA-fixed paraffin-embedded sections) - Anti-Histone H2B (crotonyl K5) antibody [EPR17483] (AB177396)
  • IHC-P

Supplier Data

Immunohistochemistry (Formalin/PFA-fixed paraffin-embedded sections) - Anti-Histone H2B (crotonyl K5) antibody [EPR17483] (AB177396)

Immunohistochemical analysis of paraffin-embedded Mouse colon tissue labeling Histone H2B (crotonyl K5) using ab177396 at 1/500 dilution. A Goat Anti-Rabbit IgG H&L (HRP) (ab97051) was used as secondary at 1/500 dilution. Counter stained with Hematoxylin.
Inset image : negative control obtained using PBS instead of ab177396.
Note : Nucleus staining on glandular epithelium of Mouse colon tissue was observed.

Perform heat mediated antigen retrieval with Tris/EDTA buffer pH 9.0 before commencing with IHC staining protocol.

Immunohistochemistry (Formalin/PFA-fixed paraffin-embedded sections) - Anti-Histone H2B (crotonyl K5) antibody [EPR17483] (AB177396)
  • IHC-P

Supplier Data

Immunohistochemistry (Formalin/PFA-fixed paraffin-embedded sections) - Anti-Histone H2B (crotonyl K5) antibody [EPR17483] (AB177396)

Immunohistochemical analysis of paraffin-embedded Rat liver tissue labeling Histone H2B (crotonyl K5) using ab177396 at 1/500 dilution. A Goat Anti-Rabbit IgG H&L (HRP) (ab97051) was used as secondary at 1/500 dilution. Counter stained with Hematoxylin.
Inset image : negative control obtained using PBS instead of ab177396.
Note : Nucleus staining on Rat liver tissue was observed.

Perform heat mediated antigen retrieval with Tris/EDTA buffer pH 9.0 before commencing with IHC staining protocol.

Western blot - Anti-Histone H2B (crotonyl K5) antibody [EPR17483] (AB177396)
  • WB

Supplier Data

Western blot - Anti-Histone H2B (crotonyl K5) antibody [EPR17483] (AB177396)

Blocking/Dilution buffer : 5% NFDM/TBST.

All lanes:

Western blot - Anti-Histone H2B (crotonyl K5) antibody [EPR17483] (ab177396) at 1/1000 dilution

All lanes:

HeLa (Human epithelial cells from cervix adenocarcinoma) cell lysate at 20 µg

Secondary

All lanes:

Goat Anti-Rabbit IgG, (H+L), Peroxidase conjugated at 1/1000 dilution

Predicted band size: 14 kDa

Observed band size: 14 kDa

false

Exposure time: 3min

Western blot - Anti-Histone H2B (crotonyl K5) antibody [EPR17483] (AB177396)
  • WB

Supplier Data

Western blot - Anti-Histone H2B (crotonyl K5) antibody [EPR17483] (AB177396)

Blocking/Dilution buffer : 5% NFDM/TBST.

All lanes:

Western blot - Anti-Histone H2B (crotonyl K5) antibody [EPR17483] (ab177396) at 1/500 dilution

All lanes:

NIH/3T3 (Mouse embyro fibroblast cells) cell lysate at 10 µg

Secondary

All lanes:

Goat Anti-Rabbit IgG, (H+L), Peroxidase conjugated at 1/1000 dilution

Predicted band size: 14 kDa

Observed band size: 14 kDa

false

Exposure time: 3min

Peptide Array - Anti-Histone H2B (crotonyl K5) antibody [EPR17483] (AB177396)
  • PepArr

Supplier Data

Peptide Array - Anti-Histone H2B (crotonyl K5) antibody [EPR17483] (AB177396)

ab177396 was tested in Peptide Array against 501 different modified and unmodified histone peptides; each peptide is printed on the array at six concentrations (each in triplicate).
Circle area represents affinity between the antibody and a peptide : all antigen-containing peptides are displayed as red circles, all other peptides as blue circles. The affinity is calculated as area under curve when antibody binding values are plotted against the corresponding peptide concentration. Each circle area is normalized to the peptide with the strongest affinity.
The complete dataset, including full list of all peptides and information on the position of each peptide in the diagram, is available under the Product Protocol section.

不同偶联物与剂型 (1)

  • Carrier free

    Anti-Histone H2B (crotonyl K5) antibody [EPR17483] - BSA and Azide free

关键信息

宿主种属

Rabbit

克隆

Monoclonal

克隆号

EPR17483

亚型

IgG

不含载体蛋白

No

反应种属

Mouse, Rat, Human

应用

ICC/IF, IHC-P, PepArr, WB

applications

免疫原

The exact immunogen used to generate this antibody is proprietary information.

反应性数据

{ "title": "Reactivity Data", "filters": { "stats": ["", "Species", "Dilution Info", "Notes"], "tabs": { "all-applications": {"fullname" : "All Applications", "shortname": "All Applications"}, "WB" : {"fullname" : "Western blot", "shortname":"WB"}, "PepArr" : {"fullname" : "Peptide Array", "shortname":"PepArr"}, "ICCIF" : {"fullname" : "Immunocytochemistry/ Immunofluorescence", "shortname":"ICC/IF"}, "IHCP" : {"fullname" : "Immunohistochemistry (Formalin/PFA-fixed paraffin-embedded sections)", "shortname":"IHC-P"} }, "product-promise": { "all": "all", "testedAndGuaranteed": "tested", "guaranteed": "expected", "predicted": "predicted", "notRecommended": "not-recommended" } }, "values": { "Human": { "WB-species-checked": "testedAndGuaranteed", "WB-species-dilution-info": "1/500", "WB-species-notes": "<p></p>", "PepArr-species-checked": "testedAndGuaranteed", "PepArr-species-dilution-info": "", "PepArr-species-notes": "<p></p>", "ICCIF-species-checked": "testedAndGuaranteed", "ICCIF-species-dilution-info": "1/250", "ICCIF-species-notes": "<p></p>", "IHCP-species-checked": "testedAndGuaranteed", "IHCP-species-dilution-info": "1/500", "IHCP-species-notes": "<p></p>" }, "Mouse": { "WB-species-checked": "testedAndGuaranteed", "WB-species-dilution-info": "1/500", "WB-species-notes": "<p></p>", "PepArr-species-checked": "guaranteed", "PepArr-species-dilution-info": "", "PepArr-species-notes": "", "ICCIF-species-checked": "guaranteed", "ICCIF-species-dilution-info": "", "ICCIF-species-notes": "", "IHCP-species-checked": "testedAndGuaranteed", "IHCP-species-dilution-info": "1/500", "IHCP-species-notes": "<p></p>" }, "Rat": { "WB-species-checked": "guaranteed", "WB-species-dilution-info": "", "WB-species-notes": "", "PepArr-species-checked": "guaranteed", "PepArr-species-dilution-info": "", "PepArr-species-notes": "", "ICCIF-species-checked": "guaranteed", "ICCIF-species-dilution-info": "", "ICCIF-species-notes": "", "IHCP-species-checked": "testedAndGuaranteed", "IHCP-species-dilution-info": "1/500", "IHCP-species-notes": "<p></p>" } } }

产品详情

Patented technology
Our RabMAb® technology is a patented hybridoma-based technology for making rabbit monoclonal antibodies. For details on our patents, please refer to RabMAb® patents.

What are the advantages of a recombinant monoclonal antibody?
This product is a recombinant monoclonal antibody, which offers several advantages including:

  • - High batch-to-batch consistency and reproducibility
  • - Improved sensitivity and specificity
  • - Long-term security of supply
  • - Animal-free batch production

For more information, read more on recombinant antibodies.

性能和储存信息

形式
Liquid
纯化工艺
Affinity purification Protein A
存储溶液
Preservative: 0.01% Sodium azide Constituents: PBS, 40% Glycerol (glycerin, glycerine), 0.05% BSA
运输条件
Blue Ice
推荐的短期储存时间
1-2 weeks
推荐的短期储存条件
+4°C
推荐的长期储存条件
-20°C
分装信息
Upon delivery aliquot
储存信息
Avoid freeze / thaw cycle

产品实验方案

For this product, it's our understanding that no specific protocols are required. You can visit:

靶点信息

Core component of nucleosome. Nucleosomes wrap and compact DNA into chromatin, limiting DNA accessibility to the cellular machineries which require DNA as a template. Histones thereby play a central role in transcription regulation, DNA repair, DNA replication and chromosomal stability. DNA accessibility is regulated via a complex set of post-translational modifications of histones, also called histone code, and nucleosome remodeling.. Has broad antibacterial activity. May contribute to the formation of the functional antimicrobial barrier of the colonic epithelium, and to the bactericidal activity of amniotic fluid.
See full target information H2BC21 crotonyl K5

文献 (1)

Recent publications for all applications. Explore the full list and refine your search

Journal of experimental & clinical cancer research : CR 41:194 PubMed35659274

2022

Circ_0004087 interaction with SND1 promotes docetaxel resistance in prostate cancer by boosting the mitosis error correction mechanism.

Applications

Unspecified application

Species

Unspecified reactive species

Liang Chen,Yarong Song,Teng Hou,Xuexiang Li,Lulin Cheng,Yunxue Li,Yifei Xing
View all publications
peptideArrayWebsite
en

Abcam Product Promise

我们致力于为您的研究提供高质量的试剂,为您科研的每一步提供支持。若我们的产品未能达到预期性能,我们向您提供 Abcam Product Promise 保障。
详情请参阅我们的条款与条件。

Please note: All products are 'FOR RESEARCH USE ONLY. NOT FOR USE IN DIAGNOSTIC OR THERAPEUTIC PROCEDURES'.

For licensing inquiries, please contact partnerships@abcam.com