JavaScript is disabled in your browser. Please enable JavaScript to view this website.
AB177430

重组Anti-Histone H2B (acetyl K20)抗体[EPR859] - ChIP Grade

Anti-Histone H2B (acetyl K20) antibody [EPR859] - ChIP Grade

5

(2 Reviews)

|

(6 Publications)

Rabbit Recombinant Monoclonal H2B acetyl K20 antibody. Suitable for ChIP, WB, PepArr, ICC/IF, ChIP-seq, Flow Cyt (Intra), IHC-P and reacts with Human, Mouse, Rat samples. Cited in 6 publications.

查看别名

H2BFQ, HIST2H2BE, H2BC21, Histone H2B type 2-E, H2B-clustered histone 21, Histone H2B-GL105, Histone H2B.q, H2B/q, H2BK20ac

10 Images
Immunocytochemistry/ Immunofluorescence - Anti-Histone H2B (acetyl K20) antibody [EPR859] - ChIP Grade (AB177430)
  • ICC/IF

Supplier Data

Immunocytochemistry/ Immunofluorescence - Anti-Histone H2B (acetyl K20) antibody [EPR859] - ChIP Grade (AB177430)

Immunofluorescent analysis of 4% paraformaldehyde-fixed, 0.1% Triton X-100 permeabilized HeLa (Human epithelial cells from cervix adenocarcinoma) cells, treated with Trichostatin A (500 ng/ml) for 4 hours or untreated, labeling Histone H2B (acetyl K20) with ab177430 at 1/2000 dilution, followed by Goat anti-rabbit IgG (Alexa Fluor® 488) (ab150077) secondary antibody at 1/500 dilution (green). Confocal image showing nuclear staining on HeLa cell line is observed. Acetylation level increased after treatment with Trichostatin A (500 ng/ml) for 4 hours. The nuclear counter stain is DAPI (blue). Tubulin is detected with ab7291 (anti-Tubulin mouse mAb) at 1/1000 dilution and ab150120 (AlexaFluor®594 Goat anti-Mouse secondary) at 1/500 dilution (red).
The negative controls are as follows;
1. ab177430 at 1/2000 dilution followed by ab150120 (AlexaFluor®594 Goat anti-Mouse secondary) at 1/500 dilution.
2. ab7291 (anti-Tubulin mouse mAb) at 1/1000 dilution followed by ab150077 (Alexa Fluor®488 Goat Anti-Rabbit IgG H&L) at 1/500 dilution.

Immunohistochemistry (Formalin/PFA-fixed paraffin-embedded sections) - Anti-Histone H2B (acetyl K20) antibody [EPR859] - ChIP Grade (AB177430)
  • IHC-P

Supplier Data

Immunohistochemistry (Formalin/PFA-fixed paraffin-embedded sections) - Anti-Histone H2B (acetyl K20) antibody [EPR859] - ChIP Grade (AB177430)

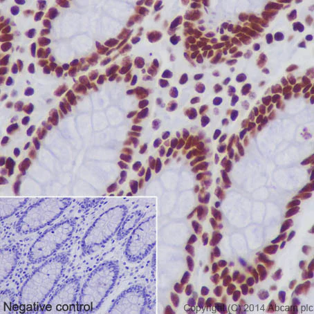
Immunohistochemical analysis of paraffin-embedded Human colon tissue labeling Histone H2B (acetyl K20) with ab177430 at 1/1000 dilution, followed by Goat Anti-Rabbit IgG H&L (HRP) (ab97051) at 1/500 dilution. Nucleus staining on Human colon is observed. Counter stained with Hematoxylin.

Negative control : Using PBS instead of primary antibody.

Perform heat mediated antigen retrieval with Tris/EDTA buffer pH 9.0 before commencing with IHC staining protocol.

Flow Cytometry (Intracellular) - Anti-Histone H2B (acetyl K20) antibody [EPR859] - ChIP Grade (AB177430)
  • Flow Cyt (Intra)

Supplier Data

Flow Cytometry (Intracellular) - Anti-Histone H2B (acetyl K20) antibody [EPR859] - ChIP Grade (AB177430)

Intracellular flow cytometric analysis of 2% paraformaldehyde-fixed HeLa (Human epithelial cells from cervix adenocarcinoma) cells treated with 500ng/ml Trichostatin A for 4 hours, labeling Histone H2B (acetyl K20) with ab177430 at 1/300 dilution (red) compared with a rabbit monoclonal IgG isotype control (black) and a unlabelled control (cells without incubation with primary antibody and secondary antibody; blue). Goat anti rabbit IgG (FITC) at 1/150 dilution was used as the secondary antibody.

ChIP - Anti-Histone H2B (acetyl K20) antibody [EPR859] - ChIP Grade (AB177430)
  • ChIP

Supplier Data

ChIP - Anti-Histone H2B (acetyl K20) antibody [EPR859] - ChIP Grade (AB177430)

Chromatin was prepared from HeLa (Human epithelial cells from cervix adenocarcinoma) cells according to the Abcam X-ChIP protocol. Cells were fixed with formaldehyde for 10 minutes. The ChIP was performed with 25μg of chromatin, 2μg of ab177430 (blue), and 20μl of Anti rabbit IgG sepharose beads. 2μg of rabbit normal IgG was added to the beads control (yellow). The immunoprecipitated DNA was quantified by real time PCR (Sybr green approach). Primers and probes are located in the first kb of the transcribed region.

ChIP-sequencing - Anti-Histone H2B (acetyl K20) antibody [EPR859] - ChIP Grade (AB177430)
  • ChIP-seq

Unknown

ChIP-sequencing - Anti-Histone H2B (acetyl K20) antibody [EPR859] - ChIP Grade (AB177430)

Chromatin was prepared from HeLa cells. Cells were fixed with 1% formaldehyde for 10 minutes. ChIP was performed with 107 HeLa cells and 4 μg of ab177430. ChIP DNA was sequenced on the Illumina NovaSeq 6000 to a depth of 30 million reads. Additional screenshots of mapped reads can be downloaded here.

Immunohistochemistry (Formalin/PFA-fixed paraffin-embedded sections) - Anti-Histone H2B (acetyl K20) antibody [EPR859] - ChIP Grade (AB177430)
  • IHC-P

Supplier Data

Immunohistochemistry (Formalin/PFA-fixed paraffin-embedded sections) - Anti-Histone H2B (acetyl K20) antibody [EPR859] - ChIP Grade (AB177430)

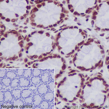
Immunohistochemical analysis of paraffin-embedded Rat colon tissue labeling Histone H2B (acetyl K20) with ab177430 at 1/1000 dilution, followed by Goat Anti-Rabbit IgG H&L (HRP) (ab97051) at 1/500 dilution. Nucleus staining on Rat colon is observed. Counter stained with Hematoxylin.

Negative control : Using PBS instead of primary antibody.

Perform heat mediated antigen retrieval with Tris/EDTA buffer pH 9.0 before commencing with IHC staining protocol.

Immunohistochemistry (Formalin/PFA-fixed paraffin-embedded sections) - Anti-Histone H2B (acetyl K20) antibody [EPR859] - ChIP Grade (AB177430)
  • IHC-P

Supplier Data

Immunohistochemistry (Formalin/PFA-fixed paraffin-embedded sections) - Anti-Histone H2B (acetyl K20) antibody [EPR859] - ChIP Grade (AB177430)

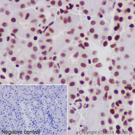
Immunohistochemical analysis of paraffin-embedded Mouse kidney tissue labeling Histone H2B (acetyl K20) with ab177430 at 1/1000 dilution, followed by Goat Anti-Rabbit IgG H&L (HRP) (ab97051) at 1/500 dilution. Nucleus staining on mouse kidney is observed. Counter stained with Hematoxylin.

Negative control : Using PBS instead of primary antibody.

Perform heat mediated antigen retrieval with Tris/EDTA buffer pH 9.0 before commencing with IHC staining protocol.

Western blot - Anti-Histone H2B (acetyl K20) antibody [EPR859] - ChIP Grade (AB177430)
  • WB

Supplier Data

Western blot - Anti-Histone H2B (acetyl K20) antibody [EPR859] - ChIP Grade (AB177430)

Blocking/Dilution buffer : 5% NFDM/TBST.

All lanes:

Western blot - Anti-Histone H2B (acetyl K20) antibody [EPR859] - ChIP Grade (ab177430) at 1/10000 dilution

Lane 1:

HeLa (Human epithelial cells from cervix adenocarcinoma) treated with 500 ng/ml Trichostatin A for 4 hours whole cell lysates at 10 µg

Lane 2:

HeLa (Human epithelial cells from cervix adenocarcinoma) untreated whole cell lysates at 10 µg

Secondary

All lanes:

Goat Anti-Rabbit IgG, (H+L), Peroxidase conjugated

Predicted band size: 14 kDa

Observed band size: 14 kDa

false

Exposure time: 3min

Western blot - Anti-Histone H2B (acetyl K20) antibody [EPR859] - ChIP Grade (AB177430)
  • WB

Supplier Data

Western blot - Anti-Histone H2B (acetyl K20) antibody [EPR859] - ChIP Grade (AB177430)

Blocking/Dilution buffer : 5% NFDM/TBST.

All lanes:

Western blot - Anti-Histone H2B (acetyl K20) antibody [EPR859] - ChIP Grade (ab177430) at 1/1000 dilution

Lane 1:

NIH/3T3 (Mouse embyro fibroblast cells) treated with 500 ng/ml Trichostatin A for 4 hours whole cell lysates 10ug

Lane 2:

NIH/3T3 (Mouse embyro fibroblast cells) untreated whole cell lysates 10ug

Secondary

All lanes:

Goat Anti-Rabbit IgG, (H+L), Peroxidase conjugated at 1/1000 dilution

Predicted band size: 14 kDa

Observed band size: 14 kDa

false

Exposure time: 10s

Peptide Array - Anti-Histone H2B (acetyl K20) antibody [EPR859] - ChIP Grade (AB177430)
  • PepArr

Unknown

Peptide Array - Anti-Histone H2B (acetyl K20) antibody [EPR859] - ChIP Grade (AB177430)

ab177430 was tested in Peptide array against 501 different modified and unmodified histone peptides; each peptide is printed on the array at six concentrations (each in triplicate).
Circle area represents affinity between the antibody and a peptide : all antigen-containing peptides are displayed as red circles, all other peptides as blue circles. The affinity is calculated as area under curve when antibody binding values are plotted against the corresponding peptide concentration. Each circle area is normalized to the peptide with the strongest affinity.
The complete dataset, including full list of all peptides and information on the position of each peptide in the diagram, is available under the Product Protocol section.

不同偶联物与剂型 (1)

  • Carrier free

    Anti-Histone H2B (acetyl K20) antibody [EPR859] - BSA and Azide free

关键信息

宿主种属

Rabbit

克隆

Monoclonal

克隆号

EPR859

亚型

IgG

不含载体蛋白

No

反应种属

Mouse, Rat, Human

应用

Flow Cyt (Intra), ChIP, PepArr, IHC-P, ChIP-seq, ICC/IF, WB

applications

免疫原

The exact immunogen used to generate this antibody is proprietary information.

反应性数据

{ "title": "Reactivity Data", "filters": { "stats": ["", "Species", "Dilution Info", "Notes"], "tabs": { "all-applications": {"fullname" : "All Applications", "shortname": "All Applications"}, "ChIP" : {"fullname" : "ChIP", "shortname":"ChIP"}, "WB" : {"fullname" : "Western blot", "shortname":"WB"}, "PepArr" : {"fullname" : "Peptide Array", "shortname":"PepArr"}, "ICCIF" : {"fullname" : "Immunocytochemistry/ Immunofluorescence", "shortname":"ICC/IF"}, "ChIPseq" : {"fullname" : "ChIP-sequencing", "shortname":"ChIP-seq"}, "FlowCytIntra" : {"fullname" : "Flow Cytometry (Intracellular)", "shortname":"Flow Cyt (Intra)"}, "IHCP" : {"fullname" : "Immunohistochemistry (Formalin/PFA-fixed paraffin-embedded sections)", "shortname":"IHC-P"} }, "product-promise": { "all": "all", "testedAndGuaranteed": "tested", "guaranteed": "expected", "predicted": "predicted", "notRecommended": "not-recommended" } }, "values": { "Human": { "ChIP-species-checked": "testedAndGuaranteed", "ChIP-species-dilution-info": "2 µg for 25 µg chromatin", "ChIP-species-notes": "<p></p>", "WB-species-checked": "testedAndGuaranteed", "WB-species-dilution-info": "1/1000", "WB-species-notes": "<p></p>", "PepArr-species-checked": "testedAndGuaranteed", "PepArr-species-dilution-info": "", "PepArr-species-notes": "<p></p>", "ICCIF-species-checked": "testedAndGuaranteed", "ICCIF-species-dilution-info": "1/2000", "ICCIF-species-notes": "<p></p>", "ChIPseq-species-checked": "testedAndGuaranteed", "ChIPseq-species-dilution-info": "", "ChIPseq-species-notes": "<p></p>", "FlowCytIntra-species-checked": "testedAndGuaranteed", "FlowCytIntra-species-dilution-info": "1/300", "FlowCytIntra-species-notes": "<p><a href='/products/primary-antibodies/rabbit-igg-monoclonal-epr25a-isotype-control-ab172730'>ab172730</a> - Rabbit monoclonal IgG, is suitable for use as an isotype control with this antibody.</p>", "IHCP-species-checked": "testedAndGuaranteed", "IHCP-species-dilution-info": "1/1000", "IHCP-species-notes": "<p></p>" }, "Mouse": { "ChIP-species-checked": "guaranteed", "ChIP-species-dilution-info": "", "ChIP-species-notes": "", "WB-species-checked": "testedAndGuaranteed", "WB-species-dilution-info": "1/1000", "WB-species-notes": "<p></p>", "PepArr-species-checked": "guaranteed", "PepArr-species-dilution-info": "", "PepArr-species-notes": "", "ICCIF-species-checked": "guaranteed", "ICCIF-species-dilution-info": "", "ICCIF-species-notes": "", "ChIPseq-species-checked": "guaranteed", "ChIPseq-species-dilution-info": "", "ChIPseq-species-notes": "", "FlowCytIntra-species-checked": "guaranteed", "FlowCytIntra-species-dilution-info": "", "FlowCytIntra-species-notes": "", "IHCP-species-checked": "testedAndGuaranteed", "IHCP-species-dilution-info": "1/1000", "IHCP-species-notes": "<p></p>" }, "Rat": { "ChIP-species-checked": "guaranteed", "ChIP-species-dilution-info": "", "ChIP-species-notes": "", "WB-species-checked": "guaranteed", "WB-species-dilution-info": "", "WB-species-notes": "", "PepArr-species-checked": "guaranteed", "PepArr-species-dilution-info": "", "PepArr-species-notes": "", "ICCIF-species-checked": "guaranteed", "ICCIF-species-dilution-info": "", "ICCIF-species-notes": "", "ChIPseq-species-checked": "guaranteed", "ChIPseq-species-dilution-info": "", "ChIPseq-species-notes": "", "FlowCytIntra-species-checked": "guaranteed", "FlowCytIntra-species-dilution-info": "", "FlowCytIntra-species-notes": "", "IHCP-species-checked": "testedAndGuaranteed", "IHCP-species-dilution-info": "1/1000", "IHCP-species-notes": "<p></p>" } } }

产品详情

Patented technology
Our RabMAb® technology is a patented hybridoma-based technology for making rabbit monoclonal antibodies. For details on our patents, please refer to RabMAb® patents.

What are the advantages of a recombinant monoclonal antibody?
This product is a recombinant monoclonal antibody, which offers several advantages including:

  • - High batch-to-batch consistency and reproducibility
  • - Improved sensitivity and specificity
  • - Long-term security of supply
  • - Animal-free batch production

For more information, read more on recombinant antibodies.

性能和储存信息

形式
Liquid
纯化工艺
Affinity purification Protein A
存储溶液
Preservative: 0.01% Sodium azide Constituents: PBS, 40% Glycerol (glycerin, glycerine), 0.05% BSA
运输条件
Blue Ice
推荐的短期储存时间
1-2 weeks
推荐的短期储存条件
+4°C
推荐的长期储存条件
-20°C
分装信息
Upon delivery aliquot
储存信息
Avoid freeze / thaw cycle

产品实验方案

For this product, it's our understanding that no specific protocols are required. You can visit:

靶点信息

Core component of nucleosome. Nucleosomes wrap and compact DNA into chromatin, limiting DNA accessibility to the cellular machineries which require DNA as a template. Histones thereby play a central role in transcription regulation, DNA repair, DNA replication and chromosomal stability. DNA accessibility is regulated via a complex set of post-translational modifications of histones, also called histone code, and nucleosome remodeling.. Has broad antibacterial activity. May contribute to the formation of the functional antimicrobial barrier of the colonic epithelium, and to the bactericidal activity of amniotic fluid.
See full target information H2BC21 acetyl K20

文献 (6)

Recent publications for all applications. Explore the full list and refine your search

Nature genetics 57:2468-2481 PubMed41044247

2025

Targeting histone H2B acetylated enhanceosomes via p300/CBP degradation in prostate cancer.

Applications

Unspecified application

Species

Unspecified reactive species

Jie Luo,Zhixiang Chen,Yuanyuan Qiao,Jean Ching-Yi Tien,Eleanor Young,Rahul Mannan,Somnath Mahapatra,Rupam Bhattacharyya,Lanbo Xiao,Tongchen He,Sanjana Eyunni,Yuping Zhang,Yang Zheng,Fengyun Su,Xuhong Cao,Rui Wang,Yunhui Cheng,Rithvik Seri,James George,Miriam Shahine,Stephanie J Miner,Matthew G Rees,Melissa M Ronan,Jennifer A Roth,Ulka Vaishampayan,Mi Wang,Shaomeng Wang,Abhijit Parolia,Arul M Chinnaiyan

Reproduction (Cambridge, England) 166:285-297 PubMed37490350

2023

A long non-coding RNA essential for early embryonic development improves somatic cell nuclear transfer somatic cell nuclear transfer efficiency in goats.

Applications

Unspecified application

Species

Unspecified reactive species

Miaomiao Jin,Lu Zhao,Hanwen Yang,Jianglin Zhao,Hongwei Ma,Yanzhi Chen,Jingcheng Zhang,Yan Luo,Yong Zhang,Jun Liu

Nature communications 14:4103 PubMed37460559

2023

Epigenetic mechanisms to propagate histone acetylation by p300/CBP.

Applications

Unspecified application

Species

Unspecified reactive species

Masaki Kikuchi,Satoshi Morita,Masatoshi Wakamori,Shin Sato,Tomomi Uchikubo-Kamo,Takehiro Suzuki,Naoshi Dohmae,Mikako Shirouzu,Takashi Umehara

eLife 11: PubMed35638262

2022

High-intensity interval training remodels the proteome and acetylome of human skeletal muscle.

Applications

Unspecified application

Species

Unspecified reactive species

Morten Hostrup,Anders Krogh Lemminger,Ben Stocks,Alba Gonzalez-Franquesa,Jeppe Kjærgaard Larsen,Julia Prats Quesada,Martin Thomassen,Brian Tate Weinert,Jens Bangsbo,Atul Shahaji Deshmukh

Oxidative medicine and cellular longevity 2017:4745252 PubMed28757909

2017

Metabolic Reprogramming, Autophagy, and Reactive Oxygen Species Are Necessary for Primordial Germ Cell Reprogramming into Pluripotency.

Applications

ICC/IF

Species

Mouse

D Sainz de la Maza,A Moratilla,V Aparicio,C Lorca,Y Alcaina,D Martín,M P De Miguel

Molecular cell 59:502-11 PubMed26212453

2015

An Interactive Database for the Assessment of Histone Antibody Specificity.

Applications

Unspecified application

Species

Unspecified reactive species

Scott B Rothbart,Bradley M Dickson,Jesse R Raab,Adrian T Grzybowski,Krzysztof Krajewski,Angela H Guo,Erin K Shanle,Steven Z Josefowicz,Stephen M Fuchs,C David Allis,Terry R Magnuson,Alexander J Ruthenburg,Brian D Strahl
View all publications
peptideArrayWebsite
en

Abcam Product Promise

我们致力于为您的研究提供高质量的试剂,为您科研的每一步提供支持。若我们的产品未能达到预期性能,我们向您提供 Abcam Product Promise 保障。
详情请参阅我们的条款与条件。

Please note: All products are 'FOR RESEARCH USE ONLY. NOT FOR USE IN DIAGNOSTIC OR THERAPEUTIC PROCEDURES'.

For licensing inquiries, please contact partnerships@abcam.com