JavaScript is disabled in your browser. Please enable JavaScript to view this website.
AB177391

重组Anti-Histone H2A (phospho T120)抗体[EPR17492]

Anti-Histone H2A (phospho T120) antibody [EPR17492]

0

(1 Review)

|

(2 Publications)

Rabbit Recombinant Monoclonal H2A phospho T120 antibody. Suitable for ELISA, WB, PepArr, IHC-P and reacts with Human samples. Cited in 2 publications.

查看别名

H2AFM, HIST1H2AB, H2AC8, H2AFA, HIST1H2AE, H2AC4, Histone H2A type 1-B/E, Histone H2A.2, Histone H2A/a, Histone H2A/m, H2AT120p

6 Images
Immunohistochemistry (Formalin/PFA-fixed paraffin-embedded sections) - Anti-Histone H2A (phospho T120) antibody [EPR17492] (AB177391)
  • IHC-P

Supplier Data

Immunohistochemistry (Formalin/PFA-fixed paraffin-embedded sections) - Anti-Histone H2A (phospho T120) antibody [EPR17492] (AB177391)

Immunohistochemical analysis of paraffin-embedded human colon tissue labeling Histone H2A (phospho T120) with ab177391 at 1/16000 dilution followed by Goat Anti-Rabbit IgG H&L (HRP) Ready to use. Sporadically nuclear staining on human colon [PMID : 19965387].

Counter stained with Hematoxylin.

Secondary antibody only control : Used PBS instead of primary antibody secondary antibody is Goat Anti-Rabbit IgG H&L (HRP) Ready to use.

Perform heat mediated antigen retrieval with Tris/EDTA buffer pH 9.0 before commencing with IHC staining protocol.

Immunohistochemistry (Formalin/PFA-fixed paraffin-embedded sections) - Anti-Histone H2A (phospho T120) antibody [EPR17492] (AB177391)
  • IHC-P

Supplier Data

Immunohistochemistry (Formalin/PFA-fixed paraffin-embedded sections) - Anti-Histone H2A (phospho T120) antibody [EPR17492] (AB177391)

Immunohistochemical analysis of paraffin-embedded human gastric tumor tissue labeling Histone H2A (phospho T120) with ab177391 at 1/16000 dilution followed by Goat Anti-Rabbit IgG H&L (HRP) Ready to use. Sporadically nuclear staining on tumor cells of human gastric tumor [PMID : 19965387].

Counter stained with Hematoxylin.

Secondary antibody only control : Used PBS instead of primary antibody secondary antibody is Goat Anti-Rabbit IgG H&L (HRP) Ready to use.

Perform heat mediated antigen retrieval with Tris/EDTA buffer pH 9.0 before commencing with IHC staining protocol.

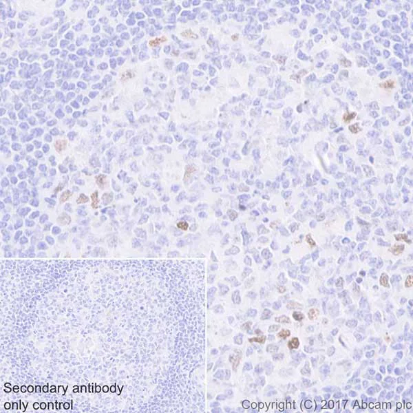
Immunohistochemistry (Formalin/PFA-fixed paraffin-embedded sections) - Anti-Histone H2A (phospho T120) antibody [EPR17492] (AB177391)
  • IHC-P

Supplier Data

Immunohistochemistry (Formalin/PFA-fixed paraffin-embedded sections) - Anti-Histone H2A (phospho T120) antibody [EPR17492] (AB177391)

Immunohistochemical analysis of paraffin-embedded human spleen tissue labeling Histone H2A (phospho T120) with ab177391 at 1/16000 dilution followed by Goat Anti-Rabbit IgG H&L (HRP) Ready to use. Sporadically nuclear staining on germinal center of human spleen [PMID : 19965387].

Counter stained with Hematoxylin.

Secondary antibody only control : Used PBS instead of primary antibody secondary antibody is Goat Anti-Rabbit IgG H&L (HRP) Ready to use.

Perform heat mediated antigen retrieval with Tris/EDTA buffer pH 9.0 before commencing with IHC staining protocol.

Western blot - Anti-Histone H2A (phospho T120) antibody [EPR17492] (AB177391)
  • WB

Supplier Data

Western blot - Anti-Histone H2A (phospho T120) antibody [EPR17492] (AB177391)

Blocking/Dilution buffer : 2% BSA/TBST.

This target is specifically expressed at M phase according to the literature [PMID : 19965387].

All lanes:

Western blot - Anti-Histone H2A (phospho T120) antibody [EPR17492] (ab177391) at 1/1000 dilution

Lane 1:

Core histones purified by acid extraction precipitation from untreated HeLa (Human epithelial cell line from cervix adenocarcinoma) cells at 10 µg

Lane 2:

Core histones purified by acid extraction precipitation from HeLa (Human epithelial cell line from cervix adenocarcinoma) cells treated with colcemid at 10 µg

Secondary

All lanes:

Western blot - Goat Anti-Rabbit IgG H&L (HRP) (<a href='/products/secondary-antibodies/goat-rabbit-igg-h-l-hrp-ab97051'>ab97051</a>) at 1/20000 dilution

Predicted band size: 14 kDa

Observed band size: 14 kDa

false

Exposure time: 1s

ELISA - Anti-Histone H2A (phospho T120) antibody [EPR17492] (AB177391)
  • ELISA

Unknown

ELISA - Anti-Histone H2A (phospho T120) antibody [EPR17492] (AB177391)

Direct ELISA analysis using ab177391 (0 to 1000 ng/ml) in peptide ELISA with H2A T120 phospho peptide H2A unmodified peptide H2A.XT120 phospho peptide and H2A.X unmodified peptide as antigens (at 1000 ng/ml concentration). An Alkaline Phosphatase-conjugated AffiniPure Goat Anti-Rabbit IgG (H+L) at 1/2500 dilution was used as secondary antibody.

Peptide Array - Anti-Histone H2A (phospho T120) antibody [EPR17492] (AB177391)
  • PepArr

Supplier Data

Peptide Array - Anti-Histone H2A (phospho T120) antibody [EPR17492] (AB177391)

ab177391 was tested in Peptide Array against 501 different modified and unmodified histone peptides; each peptide is printed on the array at six concentrations (each in triplicate).
Circle area represents affinity between the antibody and a peptide : all antigen-containing peptides are displayed as red circles, all other peptides as blue circles. The affinity is calculated as area under curve when antibody binding values are plotted against the corresponding peptide concentration. Each circle area is normalized to the peptide with the strongest affinity.
The complete dataset, including full list of all peptides and information on the position of each peptide in the diagram, is available under the Product Protocol section.

不同偶联物与剂型 (1)

  • Carrier free

    Anti-Histone H2A (phospho T120) antibody [EPR17492] - BSA and Azide free

关键信息

宿主种属

Rabbit

克隆

Monoclonal

克隆号

EPR17492

亚型

IgG

不含载体蛋白

No

反应种属

Human

应用

WB, PepArr, ELISA, IHC-P

applications

免疫原

The exact immunogen used to generate this antibody is proprietary information.

反应性数据

{ "title": "Reactivity Data", "filters": { "stats": ["", "Species", "Dilution Info", "Notes"], "tabs": { "all-applications": {"fullname" : "All Applications", "shortname": "All Applications"}, "ELISA" : {"fullname" : "ELISA", "shortname":"ELISA"}, "WB" : {"fullname" : "Western blot", "shortname":"WB"}, "PepArr" : {"fullname" : "Peptide Array", "shortname":"PepArr"}, "IHCP" : {"fullname" : "Immunohistochemistry (Formalin/PFA-fixed paraffin-embedded sections)", "shortname":"IHC-P"} }, "product-promise": { "all": "all", "testedAndGuaranteed": "tested", "guaranteed": "expected", "predicted": "predicted", "notRecommended": "not-recommended" } }, "values": { "Human": { "ELISA-species-checked": "testedAndGuaranteed", "ELISA-species-dilution-info": "", "ELISA-species-notes": "<p></p>", "WB-species-checked": "testedAndGuaranteed", "WB-species-dilution-info": "1/1000", "WB-species-notes": "<p></p>", "PepArr-species-checked": "testedAndGuaranteed", "PepArr-species-dilution-info": "", "PepArr-species-notes": "<p></p>", "IHCP-species-checked": "testedAndGuaranteed", "IHCP-species-dilution-info": "1/16000", "IHCP-species-notes": "<p>Due to high affinity of this antibody, we recommend 1/16000 dilution in IHC application.</p>" } } }

产品详情

Patented technology
Our RabMAb® technology is a patented hybridoma-based technology for making rabbit monoclonal antibodies. For details on our patents, please refer to RabMAb® patents.

What are the advantages of a recombinant monoclonal antibody?
This product is a recombinant monoclonal antibody, which offers several advantages including:

  • - High batch-to-batch consistency and reproducibility
  • - Improved sensitivity and specificity
  • - Long-term security of supply
  • - Animal-free batch production

For more information, read more on recombinant antibodies.

性能和储存信息

形式
Liquid
纯化工艺
Affinity purification Protein A
存储溶液
Preservative: 0.01% Sodium azide Constituents: PBS, 40% Glycerol (glycerin, glycerine), 0.05% BSA
运输条件
Blue Ice
推荐的短期储存时间
1-2 weeks
推荐的短期储存条件
+4°C
推荐的长期储存条件
-20°C
分装信息
Upon delivery aliquot
储存信息
Avoid freeze / thaw cycle

产品实验方案

For this product, it's our understanding that no specific protocols are required. You can visit:

靶点信息

Core component of nucleosome. Nucleosomes wrap and compact DNA into chromatin, limiting DNA accessibility to the cellular machineries which require DNA as a template. Histones thereby play a central role in transcription regulation, DNA repair, DNA replication and chromosomal stability. DNA accessibility is regulated via a complex set of post-translational modifications of histones, also called histone code, and nucleosome remodeling.
See full target information H2AC4 phospho T120

文献 (2)

Recent publications for all applications. Explore the full list and refine your search

Journal of experimental & clinical cancer research : CR 41:194 PubMed35659274

2022

Circ_0004087 interaction with SND1 promotes docetaxel resistance in prostate cancer by boosting the mitosis error correction mechanism.

Applications

Unspecified application

Species

Unspecified reactive species

Liang Chen,Yarong Song,Teng Hou,Xuexiang Li,Lulin Cheng,Yunxue Li,Yifei Xing

PloS one 14:e0213463 PubMed30893332

2019

TNF-α-induced miR-450a mediates TMEM182 expression to promote oral squamous cell carcinoma motility.

Applications

Unspecified application

Species

Unspecified reactive species

En-Wei Hsing,Shine-Gwo Shiah,Hsuan-Yu Peng,Ya-Wen Chen,Chih-Pin Chuu,Jenn-Ren Hsiao,Ping-Chiang Lyu,Jang-Yang Chang
View all publications
peptideArrayWebsite
en

Abcam Product Promise

我们致力于为您的研究提供高质量的试剂,为您科研的每一步提供支持。若我们的产品未能达到预期性能,我们向您提供 Abcam Product Promise 保障。
详情请参阅我们的条款与条件。

Please note: All products are 'FOR RESEARCH USE ONLY. NOT FOR USE IN DIAGNOSTIC OR THERAPEUTIC PROCEDURES'.

For licensing inquiries, please contact partnerships@abcam.com