JavaScript is disabled in your browser. Please enable JavaScript to view this website.
AB177308

重组Anti-Histone H2A抗体[EPR17470] - ChIP Grade

Anti-Histone H2A antibody [EPR17470] - ChIP Grade

4

(2 Reviews)

|

(15 Publications)

Rabbit Recombinant Monoclonal H2A antibody. Suitable for ChIC/CUT&RUN-seq, ChIP, WB, PepArr, ICC/IF, IHC-P and reacts with Human, Rat, Mouse, Synthetic peptide samples. Cited in 15 publications.

查看别名

H2AFM, HIST1H2AB, H2AC8, H2AFA, HIST1H2AE, H2AC4, Histone H2A type 1-B/E, Histone H2A.2, Histone H2A/a, Histone H2A/m

10 Images
ChIC/CUT&RUN sequencing - Anti-Histone H2A antibody [EPR17470] - ChIP Grade (AB177308)
  • ChIC/CUT&RUN-seq

Supplier Data

ChIC/CUT&RUN sequencing - Anti-Histone H2A antibody [EPR17470] - ChIP Grade (AB177308)

ChIC/CUT&RUN was performed using a pAG-MNAse at a final concentration of 700 ng/mL, 2 x 10^5 HeLa (Human cervix adenocarcinoma epithelial cell line) cells and 2 µg of ab177308 [EPR17470]. The resulting DNA was sequenced on the Illumina NovaSeq 6000 to a depth of 10 million reads. The negative IgG control ab172730 is also shown. Additional screenshots of mapped reads can be found in the Protocol booklet in the Product Protocol section. The University of Geneva owns patents relevant to ChIC (Chromatin Immuno-Cleavage) methods.

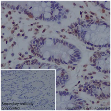
Immunohistochemistry (Formalin/PFA-fixed paraffin-embedded sections) - Anti-Histone H2A antibody [EPR17470] - ChIP Grade (AB177308)
  • IHC-P

Supplier Data

Immunohistochemistry (Formalin/PFA-fixed paraffin-embedded sections) - Anti-Histone H2A antibody [EPR17470] - ChIP Grade (AB177308)

Immunohistochemical analysis of paraffin-embedded Human colon tissue labeling Histone H2A using ab177308 at 1/1000 dilution. A Goat Anti-Rabbit IgG H&L (HRP) (ab97051) was used as secondary at 1/500 dilution. Counterstained with Hematoxylin. Nucleus staining on epithelial cells of Human colon tissue was observed.
Negative control : Used PBS instead of primary antibody, secondary antibody is Goat Anti-Rabbit IgG H&L (HRP) (ab97051) at 1/500 dilution.

Perform heat mediated antigen retrieval with Tris/EDTA buffer pH 9.0 before commencing with IHC staining protocol.

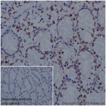
Immunohistochemistry (Formalin/PFA-fixed paraffin-embedded sections) - Anti-Histone H2A antibody [EPR17470] - ChIP Grade (AB177308)
  • IHC-P

Supplier Data

Immunohistochemistry (Formalin/PFA-fixed paraffin-embedded sections) - Anti-Histone H2A antibody [EPR17470] - ChIP Grade (AB177308)

Immunohistochemical analysis of paraffin-embedded rat colon tissue labeling Histone H2A using ab177308 at 1/1000 dilution. A Goat Anti-Rabbit IgG H&L (HRP) (ab97051) was used as secondary at 1/500 dilution. Counterstained with Hematoxylin. Nucleus staining on epithelial cells of rat colon tissue was observed.
Negative control : Used PBS instead of primary antibody, secondary antibody is Goat Anti-Rabbit IgG H&L (HRP) (ab97051) at 1/500 dilution.

Perform heat mediated antigen retrieval with Tris/EDTA buffer pH 9.0 before commencing with IHC staining protocol.

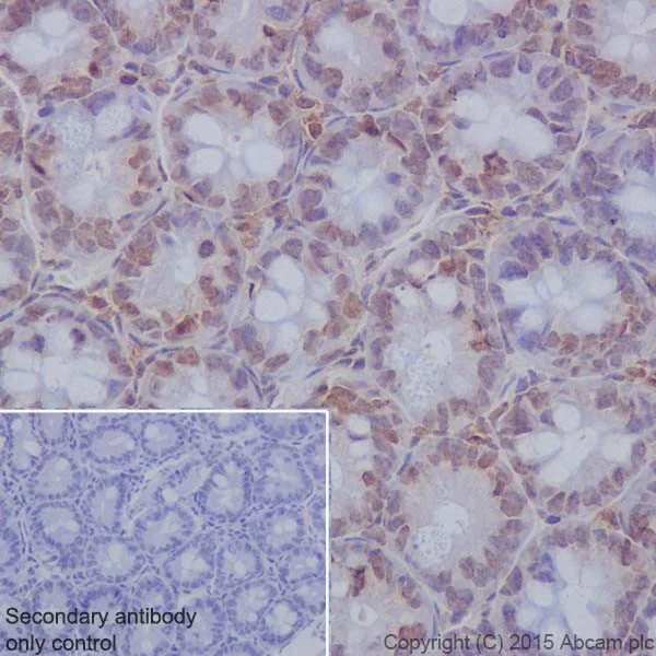
Immunohistochemistry (Formalin/PFA-fixed paraffin-embedded sections) - Anti-Histone H2A antibody [EPR17470] - ChIP Grade (AB177308)
  • IHC-P

Supplier Data

Immunohistochemistry (Formalin/PFA-fixed paraffin-embedded sections) - Anti-Histone H2A antibody [EPR17470] - ChIP Grade (AB177308)

Immunohistochemical analysis of paraffin-embedded mouse colon tissue labeling Histone H2A using ab177308 at 1/1000 dilution. A Goat Anti-Rabbit IgG H&L (HRP) (ab97051) was used as secondary at 1/500 dilution. Counterstained with Hematoxylin. Nucleus staining on epithelial cells of mouse colon tissue was observed.
Negative control : Used PBS instead of primary antibody, secondary antibody is Goat Anti-Rabbit IgG H&L (HRP) (ab97051) at 1/500 dilution..

Perform heat mediated antigen retrieval with Tris/EDTA buffer pH 9.0 before commencing with IHC staining protocol.

Immunocytochemistry/ Immunofluorescence - Anti-Histone H2A antibody [EPR17470] - ChIP Grade (AB177308)
  • ICC/IF

Lab

Immunocytochemistry/ Immunofluorescence - Anti-Histone H2A antibody [EPR17470] - ChIP Grade (AB177308)

Immunofluorescent analysis of 4% paraformaldehyde-fixed, 0.1% Triton X-100 permeabilized HeLa (Human epithelial cells from cervix adenocarcinoma) cells labeling Histone H2A with ab177308 at 1/500 dilution, followed by Goat anti-rabbit IgG (Alexa Fluor® 488) (ab150077) secondary antibody at 1/500 dilution (green).

Confocal image showing nuclear staining on HeLa cell line.

The nuclear counter stain is DAPI (blue).

Tubulin is detected with ab7291 (anti-Tubulin mouse mAb) at 1/1000 dilution and ab150120 (AlexaFluor®594 Goat anti-Mouse secondary) at 1/500 dilution (red).
The negative controls are as follows :
1. ab177308 at 1/500 dilution followed by ab150120 (AlexaFluor®594 Goat anti-Mouse secondary) at 1/500 dilution.
2. ab7291 (anti-Tubulin mouse mAb) at 1/1000 dilution followed by ab150077 (Alexa Fluor®488 Goat Anti-Rabbit IgG H&L) at 1/500 dilution.

ChIP - Anti-Histone H2A antibody [EPR17470] - ChIP Grade (AB177308)
  • ChIP

Lab

ChIP - Anti-Histone H2A antibody [EPR17470] - ChIP Grade (AB177308)

Chromatin was prepared from HeLa cells according to the Abcam X-ChIP protocol. Cells were fixed with formaldehyde for 10 minutes. The ChIP was performed with 25μg of chromatin, 2μg of ab177308 (blue), and 20μl of Protein A/G sepharose beads. No antibody was added to the beads control (yellow). The immunoprecipitated DNA was quantified by real time PCR (Taqman approach for active and inactive loci, Sybr green approach for heterochromatic loci). Primers and probes are located in the first kb of the transcribed region.

Western blot - Anti-Histone H2A antibody [EPR17470] - ChIP Grade (AB177308)
  • WB

Supplier Data

Western blot - Anti-Histone H2A antibody [EPR17470] - ChIP Grade (AB177308)

5% NFDM/TBST : Blocking and diluting buffer.

All lanes:

Western blot - Anti-Histone H2A antibody [EPR17470] - ChIP Grade (ab177308) at 1/5000 dilution

All lanes:

HeLa (Human epithelial cells from cervix adenocarcinoma) cell lysate at 10 µg

Secondary

All lanes:

Goat Anti-Rabbit IgG, (H+L), Peroxidase conjugated at 1/1000 dilution

Predicted band size: 14 kDa

Observed band size: 14 kDa

false

Exposure time: 30s

Western blot - Anti-Histone H2A antibody [EPR17470] - ChIP Grade (AB177308)
  • WB

Supplier Data

Western blot - Anti-Histone H2A antibody [EPR17470] - ChIP Grade (AB177308)

5% NFDM/TBST : Blocking and diluting buffer.

All lanes:

Western blot - Anti-Histone H2A antibody [EPR17470] - ChIP Grade (ab177308) at 1/1000 dilution

Lane 1:

mouse brain lysate at 10 µg

Lane 2:

mouse heart lysate at 10 µg

Lane 3:

mouse kidney lysate at 10 µg

Lane 4:

mouse spleen lysate at 10 µg

Secondary

All lanes:

Western blot - Goat Anti-Rabbit IgG H&L (HRP) (<a href='/products/secondary-antibodies/goat-rabbit-igg-h-l-hrp-ab97051'>ab97051</a>) at 1/50000 dilution

Predicted band size: 14 kDa

Observed band size: 14 kDa

false

Exposure time: 1s

Peptide Array - Anti-Histone H2A antibody [EPR17470] - ChIP Grade (AB177308)
  • PepArr

Supplier Data

Peptide Array - Anti-Histone H2A antibody [EPR17470] - ChIP Grade (AB177308)

ab177308 was tested in Peptide Array against 501 different modified and unmodified histone peptides; each peptide is printed on the array at six concentrations (each in triplicate).
Circle area represents affinity between the antibody and a peptide : all antigen-containing peptides are displayed as red circles, all other peptides as blue circles. The affinity is calculated as area under curve when antibody binding values are plotted against the corresponding peptide concentration. Each circle area is normalized to the peptide with the strongest affinity.
The complete dataset, including full list of all peptides and information on the position of each peptide in the diagram, is available under the Product Protocol section.

ChIC/CUT&RUN sequencing - Anti-Histone H2A antibody [EPR17470] - ChIP Grade (AB177308)
  • ChIC/CUT&RUN-seq

Supplier Data

ChIC/CUT&RUN sequencing - Anti-Histone H2A antibody [EPR17470] - ChIP Grade (AB177308)

CUT&RUN was performed using the ChIC/CUT&RUN pAG-MNAse ab285373, 2.5 x 10^5 HeLa cells and 2μg of ab177308 [EPR17470]. The resulting DNA was sequenced on the Illumina NovaSeq 6000 to a depth of 10 million reads. Additional screenshots of mapped reads can be downloaded here.

不同偶联物与剂型 (8)

  • Carrier free

    Anti-Histone H2A antibody [EPR17470] - ChIP Grade - BSA and Azide free

  • 565 Alexa Fluor® 555

    Alexa Fluor® 555 Anti-Histone H2A antibody [EPR17470] – ChIP Grade

  • 617 Alexa Fluor® 594

    Alexa Fluor® 594 Anti-Histone H2A antibody [EPR17470] – ChIP Grade

  • 665 Alexa Fluor® 647

    Alexa Fluor® 647 Anti-Histone H2A antibody [EPR17470] – ChIP Grade

  • 578 PE

    PE Anti-Histone H2A antibody [EPR17470] – ChIP Grade

  • 660 APC

    APC Anti-Histone H2A antibody [EPR17470] – ChIP Grade

  • 519 Alexa Fluor® 488

    Alexa Fluor® 488 Anti-Histone H2A antibody [EPR17470] – ChIP Grade

  • 775 Alexa Fluor® 750

    Alexa Fluor® 750 Anti-Histone H2A antibody [EPR17470] - ChIP Grade

关键信息

宿主种属

Rabbit

克隆

Monoclonal

克隆号

EPR17470

亚型

IgG

不含载体蛋白

No

反应种属

Mouse, Rat, Human

应用

ChIP, ICC/IF, ChIC/CUT&RUN-seq, WB, PepArr, IHC-P

applications

免疫原

The exact immunogen used to generate this antibody is proprietary information.

反应性数据

{ "title": "Reactivity Data", "filters": { "stats": ["", "Species", "Dilution Info", "Notes"], "tabs": { "all-applications": {"fullname" : "All Applications", "shortname": "All Applications"}, "ChICCUTRUNseq" : {"fullname" : "ChIC/CUT&RUN sequencing", "shortname":"ChIC/CUT&RUN-seq"}, "ChIP" : {"fullname" : "ChIP", "shortname":"ChIP"}, "WB" : {"fullname" : "Western blot", "shortname":"WB"}, "PepArr" : {"fullname" : "Peptide Array", "shortname":"PepArr"}, "ICCIF" : {"fullname" : "Immunocytochemistry/ Immunofluorescence", "shortname":"ICC/IF"}, "IHCP" : {"fullname" : "Immunohistochemistry (Formalin/PFA-fixed paraffin-embedded sections)", "shortname":"IHC-P"} }, "product-promise": { "all": "all", "testedAndGuaranteed": "tested", "guaranteed": "expected", "predicted": "predicted", "notRecommended": "not-recommended" } }, "values": { "Human": { "ChICCUTRUNseq-species-checked": "testedAndGuaranteed", "ChICCUTRUNseq-species-dilution-info": "2 µg", "ChICCUTRUNseq-species-notes": "<p></p>", "ChIP-species-checked": "testedAndGuaranteed", "ChIP-species-dilution-info": "2 µg for 25.00000 µg chromatin", "ChIP-species-notes": "<p></p>", "WB-species-checked": "testedAndGuaranteed", "WB-species-dilution-info": "1/5000", "WB-species-notes": "<p></p>", "PepArr-species-checked": "guaranteed", "PepArr-species-dilution-info": "", "PepArr-species-notes": "", "ICCIF-species-checked": "testedAndGuaranteed", "ICCIF-species-dilution-info": "1/500", "ICCIF-species-notes": "<p></p>", "IHCP-species-checked": "testedAndGuaranteed", "IHCP-species-dilution-info": "1/1000", "IHCP-species-notes": "<p></p> Perform heat-mediated antigen retrieval with Tris/EDTA buffer pH 9.0 before commencing with IHC staining protocol." }, "Mouse": { "ChICCUTRUNseq-species-checked": "guaranteed", "ChICCUTRUNseq-species-dilution-info": "2 µg", "ChICCUTRUNseq-species-notes": "<p></p>", "ChIP-species-checked": "guaranteed", "ChIP-species-dilution-info": "", "ChIP-species-notes": "", "WB-species-checked": "testedAndGuaranteed", "WB-species-dilution-info": "1/5000", "WB-species-notes": "<p></p>", "PepArr-species-checked": "guaranteed", "PepArr-species-dilution-info": "", "PepArr-species-notes": "", "ICCIF-species-checked": "guaranteed", "ICCIF-species-dilution-info": "", "ICCIF-species-notes": "", "IHCP-species-checked": "testedAndGuaranteed", "IHCP-species-dilution-info": "1/1000", "IHCP-species-notes": "<p></p> Perform heat-mediated antigen retrieval with Tris/EDTA buffer pH 9.0 before commencing with IHC staining protocol." }, "Rat": { "ChICCUTRUNseq-species-checked": "guaranteed", "ChICCUTRUNseq-species-dilution-info": "2 µg", "ChICCUTRUNseq-species-notes": "<p></p>", "ChIP-species-checked": "guaranteed", "ChIP-species-dilution-info": "", "ChIP-species-notes": "", "WB-species-checked": "guaranteed", "WB-species-dilution-info": "", "WB-species-notes": "", "PepArr-species-checked": "guaranteed", "PepArr-species-dilution-info": "", "PepArr-species-notes": "", "ICCIF-species-checked": "guaranteed", "ICCIF-species-dilution-info": "", "ICCIF-species-notes": "", "IHCP-species-checked": "testedAndGuaranteed", "IHCP-species-dilution-info": "1/1000", "IHCP-species-notes": "<p></p> Perform heat-mediated antigen retrieval with Tris/EDTA buffer pH 9.0 before commencing with IHC staining protocol." }, "Synthetic peptide": { "ChICCUTRUNseq-species-checked": "notRecommended", "ChICCUTRUNseq-species-dilution-info": "", "ChICCUTRUNseq-species-notes": "", "ChIP-species-checked": "notRecommended", "ChIP-species-dilution-info": "", "ChIP-species-notes": "", "WB-species-checked": "notRecommended", "WB-species-dilution-info": "", "WB-species-notes": "", "PepArr-species-checked": "testedAndGuaranteed", "PepArr-species-dilution-info": "", "PepArr-species-notes": "<p></p>", "ICCIF-species-checked": "notRecommended", "ICCIF-species-dilution-info": "", "ICCIF-species-notes": "", "IHCP-species-checked": "notRecommended", "IHCP-species-dilution-info": "", "IHCP-species-notes": "" } } }

产品详情

性能和储存信息

形式
Liquid
纯化工艺
Affinity purification Protein A
存储溶液
Preservative: 0.01% Sodium azide Constituents: 59% PBS, 40% Glycerol (glycerin, glycerine), 0.05% BSA
运输条件
Blue Ice
推荐的短期储存时间
1-2 weeks
推荐的短期储存条件
+4°C
推荐的长期储存条件
-20°C
分装信息
Upon delivery aliquot
储存信息
Avoid freeze / thaw cycle

产品实验方案

For this product, it's our understanding that no specific protocols are required. You can visit:

靶点信息

Core component of nucleosome. Nucleosomes wrap and compact DNA into chromatin, limiting DNA accessibility to the cellular machineries which require DNA as a template. Histones thereby play a central role in transcription regulation, DNA repair, DNA replication and chromosomal stability. DNA accessibility is regulated via a complex set of post-translational modifications of histones, also called histone code, and nucleosome remodeling.
See full target information H2AC4

文献 (15)

Recent publications for all applications. Explore the full list and refine your search

Nature communications 14:4978 PubMed37591871

2023

ATF3 induction prevents precocious activation of skeletal muscle stem cell by regulating H2B expression.

Applications

Unspecified application

Species

Unspecified reactive species

Suyang Zhang,Feng Yang,Yile Huang,Liangqiang He,Yuying Li,Yi Ching Esther Wan,Yingzhe Ding,Kui Ming Chan,Ting Xie,Hao Sun,Huating Wang

Molecular medicine reports 27: PubMed36799163

2023

Maltol inhibits oxygen glucose deprivation‑induced chromatinolysis in SH‑SY5Y cells by maintaining pyruvate level.

Applications

Unspecified application

Species

Unspecified reactive species

Shuyan Zhang,Xinyue Zhang,Xuanzhong Wang,Chen Li,Chuan He,Tianfei Luo,Pengfei Ge

iScience 25:105236 PubMed36274941

2022

Adiponectin ameliorates hypertrophic scar by inhibiting Yes-associated protein transcription through SIRT1-mediated deacetylation of C/EBPβ and histone H3.

Applications

Unspecified application

Species

Unspecified reactive species

Jian Zhang,Yan Li,Jiaqi Liu,Fu Han,Jihong Shi,Gaofeng Wu,Kejia Wang,Kuo Shen,Ming Zhao,Xiaowen Gao,Chenyang Tian,Yunchuan Wang,Ke Tao,Dahai Hu

The EMBO journal 41:e109720 PubMed35938192

2022

SHP-1 dephosphorylates histone H2B to facilitate its ubiquitination during transcription.

Applications

Unspecified application

Species

Unspecified reactive species

Prajakta Tathe,K V S Rammohan Chowdary,Krushna Chandra Murmu,Punit Prasad,Subbareddy Maddika

Clinical and translational medicine 12:e691 PubMed35474446

2022

Role of lncSLCO1C1 in gastric cancer progression and resistance to oxaliplatin therapy.

Applications

Unspecified application

Species

Unspecified reactive species

Yu-Feng Xiao,Bo-Sheng Li,Jing-Jing Liu,Su-Min Wang,Jiao Liu,Huan Yang,Yi-Yang Hu,Chun-Li Gong,Ji-Liang Li,Shi-Ming Yang

Oxidative medicine and cellular longevity 2022:9911167 PubMed35281462

2022

Postconditioning with Irisin Attenuates Lung Ischemia/Reperfusion Injury by Suppressing Ferroptosis via Induction of the Nrf2/HO-1 Signal Axis.

Applications

Unspecified application

Species

Unspecified reactive species

Yun Wang,Zhe Dong,Zongze Zhang,Yanlin Wang,Kun Yang,Xinyi Li

Frontiers in immunology 12:804408 PubMed34925389

2021

Tryptase Regulates the Epigenetic Modification of Core Histones in Mast Cell Leukemia Cells.

Applications

Unspecified application

Species

Unspecified reactive species

Sultan Alanazi,Fabio Rabelo Melo,Gunnar Pejler

NPJ aging and mechanisms of disease 7:7 PubMed33795696

2021

Human skin aging is associated with increased expression of the histone variant H2A.J in the epidermis.

Applications

Unspecified application

Species

Unspecified reactive species

Claudia E Rübe,Caroline Bäumert,Nadine Schuler,Anna Isermann,Zoé Schmal,Matthias Glanemann,Carl Mann,Harry Scherthan

Frontiers in immunology 12:654649 PubMed33868297

2021

Antibodies Against Alkaline Protease Directly Enhance Disruption of Neutrophil Extracellular Traps Mediated by This Enzyme.

Applications

Unspecified application

Species

Unspecified reactive species

Chendi Jing,Chenghua Liu,Yu Liu,Ruli Feng,Run Cao,Zhangchun Guan,Bo Xuan,Yaping Gao,Qi Wang,Nana Yang,Yuanfang Ma,Lefu Lan,Jiannan Feng,Beifen Shen,Hui Wang,Yanyan Yu,Guang Yang

Cell research 31:664-683 PubMed33432115

2021

Mutual dependency between lncRNA LETN and protein NPM1 in controlling the nucleolar structure and functions sustaining cell proliferation.

Applications

Unspecified application

Species

Unspecified reactive species

Xianteng Wang,Xiaolin Hu,Wanlu Song,Hui Xu,Zhengtao Xiao,Rongyao Huang,Qingran Bai,Fan Zhang,Yongzhen Chen,Yu Liu,Jianhuo Fang,Xin Li,Qin Shen,Haitao Zhao,Xuerui Yang
View all publications

Abcam Product Promise

我们致力于为您的研究提供高质量的试剂,为您科研的每一步提供支持。若我们的产品未能达到预期性能,我们向您提供 Abcam Product Promise 保障。
详情请参阅我们的条款与条件。
chicCutRunSequencingBooklet
en
peptideArrayWebsite
en

关联产品

Select an associated product type
Alternative Product
Primary Antibodies

AB242365

Anti-Histone H2A antibody [CL5039]

primary-antibodies

histone-h2a-antibody-cl5039-ab242365

0

(0 reviews)

Alternative Product
Primary Antibodies

AB15083

Anti-Histone H2A (phospho S129) antibody

primary-antibodies

histone-h2a-phospho-s129-antibody-ab15083

5

(2 reviews)

Alternative Product
Primary Antibodies

AB88770

Anti-Histone H2A antibody - ChIP Grade

primary-antibodies

histone-h2a-antibody-chip-grade-ab88770

4

(2 reviews)

Alternative Product
Primary Antibodies

AB18975

Anti-Histone H2A antibody

primary-antibodies

histone-h2a-antibody-ab18975

0

(0 reviews)

Alternative Product
Primary Antibodies

AB207348

Alexa Fluor® 647 Anti-Histone H2A (acetyl K5) antibody [EP856Y]

primary-antibodies

alexa-fluor-647-histone-h2a-acetyl-k5-antibody-ep856y-ab207348

0

(0 reviews)

Alternative Product
Primary Antibodies

AB177391

Anti-Histone H2A (phospho T120) antibody [EPR17492]

primary-antibodies

histone-h2a-phospho-t120-antibody-epr17492-ab177391

0

(1 reviews)

Alternative Product
Primary Antibodies

AB181447

Anti-Histone H2A (phospho S129) antibody [EPR17588] - ChIP Grade

primary-antibodies

histone-h2a-phospho-s129-antibody-epr17588-chip-grade-ab181447

0

(0 reviews)

Alternative Product
Primary Antibodies

AB177377

Anti-Histone H2A (hydroxyl Y39) antibody [EPR17683]

primary-antibodies

histone-h2a-hydroxyl-y39-antibody-epr17683-ab177377

0

(0 reviews)

Alternative Product
Primary Antibodies

AB195464

Anti-Histone H2A (symmetric di methyl R11) antibody [E18766]

primary-antibodies

histone-h2a-symmetric-di-methyl-r11-antibody-e18766-ab195464

0

(0 reviews)

Alternative Product
Primary Antibodies

AB195467

Anti-Histone H2A (crotonyl K119) antibody [EPR18769]

primary-antibodies

histone-h2a-crotonyl-k119-antibody-epr18769-ab195467

0

(0 reviews)

Alternative Product
Primary Antibodies

AB177312

Anti-Histone H2A (acetyl K9) antibody [EPR17471] - ChIP Grade

primary-antibodies

histone-h2a-acetyl-k9-antibody-epr17471-chip-grade-ab177312

0

(0 reviews)

Alternative Product
Primary Antibodies

AB177316

Anti-Histone H2A (acetyl K13) antibody [EPR17476(2)]

primary-antibodies

histone-h2a-acetyl-k13-antibody-epr174762-ab177316

0

(0 reviews)

Alternative Product
Primary Antibodies

AB177387

Anti-Histone H2A (mono methyl K118) antibody [EPR17488]

primary-antibodies

histone-h2a-mono-methyl-k118-antibody-epr17488-ab177387

0

(0 reviews)

Alternative Product
Primary Antibodies

AB240993

Anti-Histone H2A (ubiquityl K119) antibody [EPR19800] - BSA and Azide free

primary-antibodies

histone-h2a-ubiquityl-k119-antibody-epr19800-bsa-and-azide-free-ab240993

0

(0 reviews)

Alternative Product
Primary Antibodies

AB241390

Anti-Histone H2A (phospho S129) antibody [EPR17588] - BSA and Azide free

primary-antibodies

histone-h2a-phospho-s129-antibody-epr17588-bsa-and-azide-free-ab241390

0

(0 reviews)

Please note: All products are 'FOR RESEARCH USE ONLY. NOT FOR USE IN DIAGNOSTIC OR THERAPEUTIC PROCEDURES'.

For licensing inquiries, please contact partnerships@abcam.com