JavaScript is disabled in your browser. Please enable JavaScript to view this website.
AB203948

重组Anti-Histone H1.3抗体[EPR12683] - BSA and Azide free

Anti-Histone H1.3 antibody [EPR12683] - BSA and Azide free

5

(2 Reviews)

|

(2 Publications)

Rabbit Recombinant Monoclonal H1.3 antibody. Carrier free. Suitable for ICC/IF, WB, Flow Cyt (Intra), IHC-P, IP and reacts with Human samples. Cited in 2 publications.

查看别名

H1F3, HIST1H1D, H1-3, Histone H1.3, Histone H1c, Histone H1s-2

7 Images
Flow Cytometry (Intracellular) - Anti-Histone H1.3 antibody [EPR12683] - BSA and Azide free (AB203948)
  • Flow Cyt (Intra)

Supplier Data

Flow Cytometry (Intracellular) - Anti-Histone H1.3 antibody [EPR12683] - BSA and Azide free (AB203948)

This data was developed using ab183736, the same antibody clone in a different buffer formulation.

Intracellular Flow Cytometry analysis of HeLa cells using ab183736 at 1/10 dilution. Secondary ab : Goat anti rabbit IgG (FITC) at 1/150 dilution. Fixative : 2% paraformaldehyde. Isotype control : Rabbit monoclonal IgG.

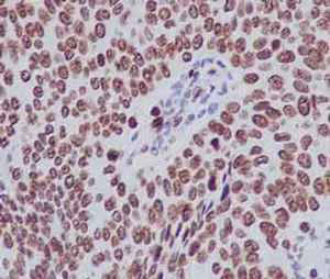
Immunohistochemistry (Formalin/PFA-fixed paraffin-embedded sections) - Anti-Histone H1.3 antibody [EPR12683] - BSA and Azide free (AB203948)
  • IHC-P

Supplier Data

Immunohistochemistry (Formalin/PFA-fixed paraffin-embedded sections) - Anti-Histone H1.3 antibody [EPR12683] - BSA and Azide free (AB203948)

This data was developed using ab183736, the same antibody clone in a different buffer formulation.

Immunohistochemical analysis of paraffin-embedded Human cervix carcinoma tissue labeling Histone H1.3 with ab183736 at 1/1000 dilution. Counter stain : Hematoxylin

Perform heat mediated antigen retrieval with EDTA buffer pH 9 before commencing with IHC staining protocol.

Immunocytochemistry/ Immunofluorescence - Anti-Histone H1.3 antibody [EPR12683] - BSA and Azide free (AB203948)
  • ICC/IF

Supplier Data

Immunocytochemistry/ Immunofluorescence - Anti-Histone H1.3 antibody [EPR12683] - BSA and Azide free (AB203948)

This data was developed using ab183736, the same antibody clone in a different buffer formulation.

Immunofluorescence analysis of HeLa cells labeling Histone H1.3 with ab183736 at 1/500 dilution. Secondary ab : Goat anti rabbit IgG (Alexa Fluor®555) at 1/200 dilution.

Immunocytochemistry/ Immunofluorescence - Anti-Histone H1.3 antibody [EPR12683] - BSA and Azide free (AB203948)
  • ICC/IF

Supplier Data

Immunocytochemistry/ Immunofluorescence - Anti-Histone H1.3 antibody [EPR12683] - BSA and Azide free (AB203948)

This data was developed using ab183736, the same antibody clone in a different buffer formulation.

Immunofluorescence analysis of T47-D cells labeling Histone H1.3 with ab183736 at 1/500 dilution. Secondary ab : Goat anti rabbit IgG (Alexa Fluor®555) at 1/200 dilution. Fixative : 4% paraformaldehyde. Counter stain : Dapi

Immunohistochemistry (Formalin/PFA-fixed paraffin-embedded sections) - Anti-Histone H1.3 antibody [EPR12683] - BSA and Azide free (AB203948)
  • IHC-P

AbReview83609****

Immunohistochemistry (Formalin/PFA-fixed paraffin-embedded sections) - Anti-Histone H1.3 antibody [EPR12683] - BSA and Azide free (AB203948)

Immunocytochemistry/ Immunofluorescence analysis showing positive staining of H1.3 with ab203948 at 1/500 dilution in paraformaldehyde-fixed methanol permeabilized T47D cells, but not MDA-MB-231 breast cancer cells. The sample was incubated with the primary antibody for 16 hours at 4 degrees and blocking was done using 5% BSA for 1 hour at room temperature. Alexa fluor® conjugated 488 goat anti-rabbit secondary antibody was used at 1/1000 dilution.

This image is courtesy of an Abreview submitted by Albert Jordan

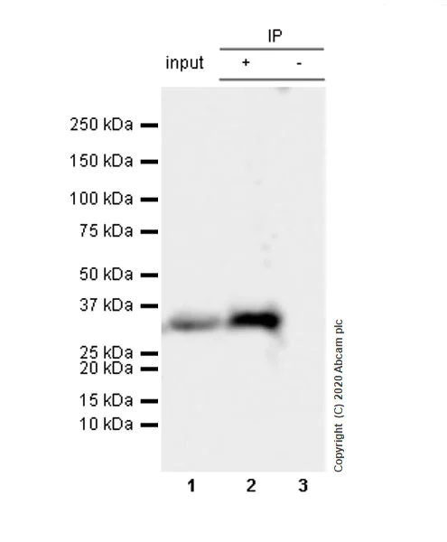
Immunoprecipitation - Anti-Histone H1.3 antibody [EPR12683] - BSA and Azide free (AB203948)
  • IP

Lab

Immunoprecipitation - Anti-Histone H1.3 antibody [EPR12683] - BSA and Azide free (AB203948)

This data was developed using ab183736, the same antibody clone in a different buffer formulation. Anti-Histone H1.3 was immunoprecipitated from 0.35 mg of HeLa (human cervical adenocarcinoma epithelial cell), whole cell lysate with ab183736 at 1/30 dilution. Western blot was performed from the immunoprecipitate using ab183736 at 1/1000 dilution. VeriBlot for IP Detection Reagent (HRP) (ab131366), was used for detection at 1/5000 dilution. Lane 1 : Hela whole cell lysate 10 μg (Input). Lane 2 : ab183736 IP in Hela whole cell lysate. Lane 3 : Rabbit monoclonal IgG (ab172730) instead of ab183736 in Hela whole cell lysate. Blocking and dilution buffer and concentration : 5% NFDM/TBST. Exposure time : 32 seconds.

All lanes:

Immunoprecipitation - Anti-Histone H1.3 antibody [EPR12683] (<a href='/products/primary-antibodies/histone-h13-antibody-epr12683-ab183736'>ab183736</a>)

Lane 1:

Hela whole cell lysate at 10 µg

Lane 2:

Anti-Histone H1.3 antibody IP in Hela whole cell lysate

Secondary

All lanes:

Immunoprecipitation - VeriBlot for IP Detection Reagent (HRP) (<a href='/products/reagents/veriblot-for-ip-detection-reagent-hrp-ab131366'>ab131366</a>) at 1/5000 dilution

Predicted band size: 22 kDa

Observed band size: 30 kDa

false

Exposure time: 32s

Western blot - Anti-Histone H1.3 antibody [EPR12683] - BSA and Azide free (AB203948)
  • WB

Supplier Data

Western blot - Anti-Histone H1.3 antibody [EPR12683] - BSA and Azide free (AB203948)

This data was developed using ab183736, the same antibody clone in a different buffer formulation.

Blocking and dilution buffer : 5% NFDM/TBST.

All lanes:

Western blot - Anti-Histone H1.3 antibody [EPR12683] (<a href='/products/primary-antibodies/histone-h13-antibody-epr12683-ab183736'>ab183736</a>) at 1/5000 dilution

Lane 1:

T-47D cell lysate at 20 µg

Lane 2:

Hela cell lysate at 20 µg

Lane 3:

Jurkat cell lysate at 20 µg

Secondary

All lanes:

Goat Anti-Rabbit IgG, (H+L), Peroxidase conjugated at 1/1000 dilution

Predicted band size: 22 kDa

false

不同偶联物与剂型 (1)

关键信息

宿主种属

Rabbit

克隆

Monoclonal

克隆号

EPR12683

亚型

IgG

不含载体蛋白

Yes

反应种属

Human

应用

WB, IP, ICC/IF, IHC-P, Flow Cyt (Intra)

applications

免疫原

The exact immunogen used to generate this antibody is proprietary information.

特异性

The immunogen used for this product shares 6 continuous identical amino acids with H1.4. Cross-reactivity with this protein has not been confirmed experimentally.

反应性数据

{ "title": "Reactivity Data", "filters": { "stats": ["", "Species", "Dilution Info", "Notes"], "tabs": { "all-applications": {"fullname" : "All Applications", "shortname": "All Applications"}, "ICCIF" : {"fullname" : "Immunocytochemistry/ Immunofluorescence", "shortname":"ICC/IF"}, "WB" : {"fullname" : "Western blot", "shortname":"WB"}, "FlowCytIntra" : {"fullname" : "Flow Cytometry (Intracellular)", "shortname":"Flow Cyt (Intra)"}, "IHCP" : {"fullname" : "Immunohistochemistry (Formalin/PFA-fixed paraffin-embedded sections)", "shortname":"IHC-P"}, "IP" : {"fullname" : "Immunoprecipitation", "shortname":"IP"} }, "product-promise": { "all": "all", "testedAndGuaranteed": "tested", "guaranteed": "expected", "predicted": "predicted", "notRecommended": "not-recommended" } }, "values": { "Human": { "ICCIF-species-checked": "testedAndGuaranteed", "ICCIF-species-dilution-info": "", "ICCIF-species-notes": "<p></p>", "WB-species-checked": "testedAndGuaranteed", "WB-species-dilution-info": "", "WB-species-notes": "<p></p>", "FlowCytIntra-species-checked": "testedAndGuaranteed", "FlowCytIntra-species-dilution-info": "", "FlowCytIntra-species-notes": "<p></p>", "IHCP-species-checked": "testedAndGuaranteed", "IHCP-species-dilution-info": "", "IHCP-species-notes": "<p></p>", "IP-species-checked": "testedAndGuaranteed", "IP-species-dilution-info": "1/30", "IP-species-notes": "<p></p>" } } }

产品详情

ab203948 is the carrier-free version of ab183736.

Patented technology
Our RabMAb® technology is a patented hybridoma-based technology for making rabbit monoclonal antibodies. For details on our patents, please refer to RabMAb® patents.

What are the advantages of a recombinant monoclonal antibody?
This product is a recombinant monoclonal antibody, which offers several advantages including:

  • - High batch-to-batch consistency and reproducibility
  • - Improved sensitivity and specificity
  • - Long-term security of supply
  • - Animal-free batch production

For more information, read more on recombinant antibodies.

Conjugation ready
Our carrier-free antibodies are typically supplied in a PBS-only formulation, purified and free of BSA, sodium azide and glycerol. This conjugation-ready format is designed for use with fluorochromes, metal isotopes, oligonucleotides, and enzymes, which makes them ideal for antibody labelling, functional and cell-based assays, flow-based assays (e.g. mass cytometry) and Multiplex Imaging applications.

Use our conjugation kits for antibody conjugates that are ready-to-use in as little as 20 minutes with 1 minute hands-on-time and 100% antibody recovery: available for fluorescent dyes, HRP, biotin and gold.

Compatibility
This product is compatible with the Maxpar® Antibody Labeling Kit from Fluidigm, without the need for antibody preparation. Maxpar® is a trademark of Fluidigm Canada Inc.

性能和储存信息

形式
Liquid
纯化工艺
Affinity purification Protein A
存储溶液
pH: 7.2 - 7.4 Constituents: PBS
运输条件
Blue Ice
推荐的短期储存条件
+4°C
推荐的长期储存条件
+4°C
储存信息
Do Not Freeze

产品实验方案

For this product, it's our understanding that no specific protocols are required. You can visit:

靶点信息

Histone H1 protein binds to linker DNA between nucleosomes forming the macromolecular structure known as the chromatin fiber. Histones H1 are necessary for the condensation of nucleosome chains into higher-order structured fibers. Acts also as a regulator of individual gene transcription through chromatin remodeling, nucleosome spacing and DNA methylation (By similarity).
See full target information H1-3

文献 (2)

Recent publications for all applications. Explore the full list and refine your search

eLife 12: PubMed38530350

2024

Imaging analysis of six human histone H1 variants reveals universal enrichment of H1.2, H1.3, and H1.5 at the nuclear periphery and nucleolar H1X presence.

Applications

Unspecified application

Species

Unspecified reactive species

Monica Salinas-Pena,Elena Rebollo,Albert Jordan

Nucleic acids research 52:1793-1813 PubMed38261975

2024

Genomic profiling of six human somatic histone H1 variants denotes that H1X accumulates at recently incorporated transposable elements.

Applications

Unspecified application

Species

Unspecified reactive species

Mónica Salinas-Pena,Núria Serna-Pujol,Albert Jordan
View all publications

Abcam Product Promise

我们致力于为您的研究提供高质量的试剂,为您科研的每一步提供支持。若我们的产品未能达到预期性能,我们向您提供 Abcam Product Promise 保障。
详情请参阅我们的条款与条件。

Please note: All products are 'FOR RESEARCH USE ONLY. NOT FOR USE IN DIAGNOSTIC OR THERAPEUTIC PROCEDURES'.

For licensing inquiries, please contact partnerships@abcam.com