JavaScript is disabled in your browser. Please enable JavaScript to view this website.
AB24174

Anti-Histone H1.3 抗体

Anti-Histone H1.3 antibody

4

(1 Review)

|

(14 Publications)

Rabbit Polyclonal H1.3 antibody. Suitable for IHC-P, WB, ICC/IF and reacts with Human, Recombinant fragment - Human samples. Cited in 14 publications. Immunogen corresponding to Synthetic Peptide within Human H1-3 aa 1-50.

查看别名

H1F3, HIST1H1D, H1-3, Histone H1.3, Histone H1c, Histone H1s-2

3 Images
Immunocytochemistry/ Immunofluorescence - Anti-Histone H1.3 antibody (AB24174)
  • ICC/IF

Collaborator

Immunocytochemistry/ Immunofluorescence - Anti-Histone H1.3 antibody (AB24174)

Human 293T cells fixed in 4% paraformaldehyde were immunostained with ab24174 (1/200) for Histone H1.3 and detected using FITC labelled anti-rabbit (Green). Nuclear DNA is stained blue with DAPI.

This image is courtesy of Katia Ancelin

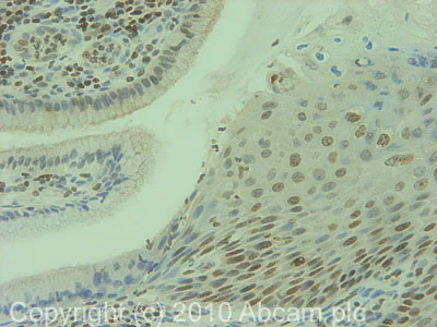
Immunohistochemistry (Formalin/PFA-fixed paraffin-embedded sections) - Anti-Histone H1.3 antibody (AB24174)
  • IHC-P

Unknown

Immunohistochemistry (Formalin/PFA-fixed paraffin-embedded sections) - Anti-Histone H1.3 antibody (AB24174)

IHC image of ab24174 staining in human cervical carcinoma formalin fixed paraffin embedded tissue section, performed on a Leica BondTM system using the standard protocol F. The section was pre-treated using heat mediated antigen retrieval with sodium citrate buffer (pH6, epitope retrieval solution 1) for 20 mins. The section was then incubated with ab24174, 5µg/ml, for 15 mins at room temperature and detected using an HRP conjugated compact polymer system. DAB was used as the chromogen. The section was then counterstained with haematoxylin and mounted with DPX.

For other IHC staining systems (automated and non-automated) customers should optimize variable parameters such as antigen retrieval conditions, primary antibody concentration and antibody incubation times.

Western blot - Anti-Histone H1.3 antibody (AB24174)
  • WB

Collaborator

Western blot - Anti-Histone H1.3 antibody (AB24174)

Rabbit polyclonal to Histone H1.3 against recombinant human H1 isoforms H1.0 to H1.5 as depicted in the figure or a chromatin preparation (ch) from a breast cancer cell line. Notice that extra bands are present/detected in the chromatin preparation.

All lanes:

Western blot - Anti-Histone H1.3 antibody (ab24174)

Predicted band size: 22 kDa

false

This image is courtesy of Dr Albert Jordan, Center for Genomic Regulation (CRG).

关键信息

宿主种属

Rabbit

克隆

Polyclonal

亚型

IgG

不含载体蛋白

No

反应种属

Human

应用

ICC/IF, IHC-P, WB

applications

免疫原

Synthetic Peptide within Human H1-3 aa 1-50. The exact immunogen used to generate this antibody is proprietary information.

P16402

反应性数据

{ "title": "Reactivity Data", "filters": { "stats": ["", "Species", "Dilution Info", "Notes"], "tabs": { "all-applications": {"fullname" : "All Applications", "shortname": "All Applications"}, "IHCP" : {"fullname" : "Immunohistochemistry (Formalin/PFA-fixed paraffin-embedded sections)", "shortname":"IHC-P"}, "WB" : {"fullname" : "Western blot", "shortname":"WB"}, "ICCIF" : {"fullname" : "Immunocytochemistry/ Immunofluorescence", "shortname":"ICC/IF"} }, "product-promise": { "all": "all", "testedAndGuaranteed": "tested", "guaranteed": "expected", "predicted": "predicted", "notRecommended": "not-recommended" } }, "values": { "Human": { "IHCP-species-checked": "testedAndGuaranteed", "IHCP-species-dilution-info": "5 µg/mL", "IHCP-species-notes": "<p></p> Perform heat-mediated antigen retrieval with citrate buffer pH 6 before commencing with IHC staining protocol.", "WB-species-checked": "guaranteed", "WB-species-dilution-info": "", "WB-species-notes": "", "ICCIF-species-checked": "testedAndGuaranteed", "ICCIF-species-dilution-info": "1/50", "ICCIF-species-notes": "<p></p>" }, "Recombinant fragment - Human": { "IHCP-species-checked": "notRecommended", "IHCP-species-dilution-info": "", "IHCP-species-notes": "", "WB-species-checked": "testedAndGuaranteed", "WB-species-dilution-info": "1/500.00000 - 1/1000.00000", "WB-species-notes": "<p>H1.3 is present in many human cell lines. Cross-reacts with bands of approx. 52kDa and 45kDa in nuclear extracts of T47D cell line.</p>", "ICCIF-species-checked": "notRecommended", "ICCIF-species-dilution-info": "", "ICCIF-species-notes": "" } } }

性能和储存信息

形式
Liquid
纯化工艺
Affinity purification Protein A
存储溶液
Constituents: 20% Glycerol (glycerin, glycerine)
运输条件
Blue Ice
推荐的短期储存条件
+4°C
推荐的长期储存条件
-20°C
分装信息
Upon delivery aliquot
储存信息
Avoid freeze / thaw cycle

产品实验方案

For this product, it's our understanding that no specific protocols are required. You can visit:

靶点信息

Histone H1 protein binds to linker DNA between nucleosomes forming the macromolecular structure known as the chromatin fiber. Histones H1 are necessary for the condensation of nucleosome chains into higher-order structured fibers. Acts also as a regulator of individual gene transcription through chromatin remodeling, nucleosome spacing and DNA methylation (By similarity).
See full target information H1-3

文献 (14)

Recent publications for all applications. Explore the full list and refine your search

Cancer research 82:2887-2903 PubMed35731019

2022

DLGAP1-AS2-Mediated Phosphatidic Acid Synthesis Activates YAP Signaling and Confers Chemoresistance in Squamous Cell Carcinoma.

Applications

Unspecified application

Species

Unspecified reactive species

Yabing Nan,Qingyu Luo,Xiaowei Wu,Shi Liu,Pengfei Zhao,Wan Chang,Aiping Zhou,Zhihua Liu

Nucleic acids research 50:3892-3910 PubMed35380694

2022

Coordinated changes in gene expression, H1 variant distribution and genome 3D conformation in response to H1 depletion.

Applications

Unspecified application

Species

Unspecified reactive species

Núria Serna-Pujol,Mónica Salinas-Pena,Francesca Mugianesi,François Le Dily,Marc A Marti-Renom,Albert Jordan

Clinical epigenetics 11:141 PubMed31606046

2019

Epigenetic down-regulation of the HIST1 locus predicts better prognosis in acute myeloid leukemia with NPM1 mutation.

Applications

Unspecified application

Species

Unspecified reactive species

Sylvain Garciaz,Lia N'guyen Dasi,Pascal Finetti,Christine Chevalier,Julien Vernerey,Mathilde Poplineau,Nadine Platet,Stéphane Audebert,Matthieu Pophillat,Luc Camoin,François Bertucci,Boris Calmels,Christian Récher,Daniel Birnbaum,Christian Chabannon,Norbert Vey,Estelle Duprez

Cell research 28:756-770 PubMed29844578

2018

Destabilization of linker histone H1.2 is essential for ATM activation and DNA damage repair.

Applications

Unspecified application

Species

Unspecified reactive species

Zhiming Li,Yinglu Li,Ming Tang,Bin Peng,Xiaopeng Lu,Qiaoyan Yang,Qian Zhu,Tianyun Hou,Meiting Li,Chaohua Liu,Lina Wang,Xingzhi Xu,Ying Zhao,Haiying Wang,Yang Yang,Wei-Guo Zhu

Nucleic acids research 45:11622-11642 PubMed28977426

2017

Histone H1 depletion triggers an interferon response in cancer cells via activation of heterochromatic repeats.

Applications

Unspecified application

Species

Unspecified reactive species

Andrea Izquierdo-Bouldstridge,Alberto Bustillos,Carles Bonet-Costa,Patricia Aribau-Miralbés,Daniel García-Gomis,Marc Dabad,Anna Esteve-Codina,Laura Pascual-Reguant,Sandra Peiró,Manel Esteller,Matthew Murtha,Lluís Millán-Ariño,Albert Jordan

The Journal of biological chemistry 290:7474-91 PubMed25645921

2015

Genome distribution of replication-independent histone H1 variants shows H1.0 associated with nucleolar domains and H1X associated with RNA polymerase II-enriched regions.

Applications

WB

Species

Human

Regina Mayor,Andrea Izquierdo-Bouldstridge,Lluís Millán-Ariño,Alberto Bustillos,Cristina Sampaio,Neus Luque,Albert Jordan

Cancer research 74:6463-73 PubMed25205099

2014

Histone h1.3 suppresses h19 noncoding RNA expression and cell growth of ovarian cancer cells.

Applications

Unspecified application

Species

Unspecified reactive species

Magdalena Medrzycki,Yunzhe Zhang,Weijia Zhang,Kaixiang Cao,Chenyi Pan,Nathalie Lailler,John F McDonald,Eric E Bouhassira,Yuhong Fan

FEBS letters 588:2353-62 PubMed24873882

2014

Dynamics and dispensability of variant-specific histone H1 Lys-26/Ser-27 and Thr-165 post-translational modifications.

Applications

Unspecified application

Species

Unspecified reactive species

Jean-Michel Terme,Lluís Millán-Ariño,Regina Mayor,Neus Luque,Andrea Izquierdo-Bouldstridge,Alberto Bustillos,Cristina Sampaio,Jordi Canes,Isaura Font,Núria Sima,Mónica Sancho,Laura Torrente,Sonia Forcales,Alicia Roque,Pere Suau,Albert Jordan

PLoS genetics 8:e1002879 PubMed22956909

2012

Dynamic distribution of linker histone H1.5 in cellular differentiation.

Applications

ChIP

Species

Human

Jing-Yu Li,Michaela Patterson,Hanna K A Mikkola,William E Lowry,Siavash K Kurdistani

The Journal of biological chemistry 286:35347-57 PubMed21852237

2011

Histone H1 variants are differentially expressed and incorporated into chromatin during differentiation and reprogramming to pluripotency.

Applications

WB

Species

Human

Jean-Michel Terme,Borja Sesé,Lluis Millán-Ariño,Regina Mayor,Juan Carlos Izpisúa Belmonte,María José Barrero,Albert Jordan
View all publications

Abcam Product Promise

我们致力于为您的研究提供高质量的试剂,为您科研的每一步提供支持。若我们的产品未能达到预期性能,我们向您提供 Abcam Product Promise 保障。
详情请参阅我们的条款与条件。

关联产品

Select an associated product type
Alternative Product
Primary Antibodies

AB183736

Anti-Histone H1.3 antibody [EPR12683]

primary-antibodies

histone-h13-antibody-epr12683-ab183736

0

(0 reviews)

Please note: All products are 'FOR RESEARCH USE ONLY. NOT FOR USE IN DIAGNOSTIC OR THERAPEUTIC PROCEDURES'.

For licensing inquiries, please contact partnerships@abcam.com