JavaScript is disabled in your browser. Please enable JavaScript to view this website.
AB179483

Anti-HIF-1 alpha 抗体 [EPR16897]

Anti-HIF-1 alpha antibody [EPR16897]

  • RabMAb
  • Advanced Validation
  • Recombinant
  • KO Validated
  • 了解详情

4

(9 Reviews)

|

(364 Publications)

Anti-HIF-1 alpha antibody [EPR16897] (ab179483) is a rabbit monoclonal antibody detecting HIF-1 alpha in Western Blot, IP, ICC/IF, ChIP. Suitable for Human, Mouse, Rat.

- KO validated for confirmed specificity
- Biophysical QC for unrivalled batch-batch consistency
- Over 190 publications

查看别名

BHLHE78, MOP1, PASD8, HIF1A, Hypoxia-inducible factor 1-alpha, HIF-1-alpha, HIF1-alpha, ARNT-interacting protein, Basic-helix-loop-helix-PAS protein MOP1, Class E basic helix-loop-helix protein 78, Member of PAS protein 1, PAS domain-containing protein 8, bHLHe78

11 Images
Immunocytochemistry/ Immunofluorescence - Anti-HIF-1 alpha antibody [EPR16897] (AB179483)
  • ICC/IF

Lab

Immunocytochemistry/ Immunofluorescence - Anti-HIF-1 alpha antibody [EPR16897] (AB179483)

Immunofluorescent analysis of 4% paraformaldehyde-fixed, 0.1% Triton X-100 permeabilized HeLa (Human epithelial cells from cervix adenocarcinoma) cells labeling HIF-1-alpha with ab179483 at 1/500 dilution, followed by Goat anti-rabbit IgG (Alexa Fluor® 488) (ab150077) secondary antibody at 1/1000 dilution (green). Confocal image showing nuclear staining in HeLa cells treated with DFO (1 mM, 24 h). The nuclear counter stain is DAPI (blue). Tubulin is detected with ab195889 (anti-alpha Tubulin mouse mAb) (Alexa Fluor® 594) at 1/200 dilution (red).

Immunoprecipitation - Anti-HIF-1 alpha antibody [EPR16897] (AB179483)
  • IP

Lab

Immunoprecipitation - Anti-HIF-1 alpha antibody [EPR16897] (AB179483)

ab179483 at 1/30 dilution immunoprecipitating HIF-1 alpha in HeLa (human cervix adenocarcinoma epithelial cell) treated with 500 µM CoCl2 for 24 hours whole cell lysate. Western blot was performed from the immunoprecipitate using ab179483 at 1/1000 dilution. VeriBlot for IP Detection Reagent (HRP) (ab131366), was used for detection at 1/5000 dilution. Lane 1 : HeLa (human cervix adenocarcinoma epithelial cell) treated with 500 µM CoCl2 for 24 hours whole cell lysate 10 µg Lane 2 : ab179483 IP in HeLa (human cervix adenocarcinoma epithelial cell) treated with 500 µM CoCl2 for 24 hours whole cell lysate Lane 3 : Rabbit monoclonal IgG (ab172730) instead of ab179483 in HeLa treated with 500 µM CoCl2 for 24 hours whole cell lysate Blocking/Dilution buffer : 5% NFDM/TBST. Exposure time : 8 seconds.

Lane 2:

Immunoprecipitation - Anti-HIF-1 alpha antibody [EPR16897] (ab179483) at 1/30 dilution

Lane 2:

Immunoprecipitation - Anti-HIF-1 alpha antibody [EPR16897] - BSA and Azide free (<a href='/products/primary-antibodies/hif-1-alpha-antibody-epr16897-bsa-and-azide-free-ab221610'>ab221610</a>)

All lanes:

HeLa (human cervix adenocarcinoma epithelial cell) treated with 500 µM CoCl2 for 24 hours whole cell lysate at 10 µg

Secondary

All lanes:

Immunoprecipitation - VeriBlot for IP Detection Reagent (HRP) (<a href='/products/reagents/veriblot-for-ip-detection-reagent-hrp-ab131366'>ab131366</a>) at 1/5000 dilution

Observed band size: 110 kDa

false

Exposure time: 8s

ChIP-sequencing - Anti-HIF-1 alpha antibody [EPR16897] (AB179483)
  • ChIP-seq

Supplier Data

ChIP-sequencing - Anti-HIF-1 alpha antibody [EPR16897] (AB179483)

Chromatin was prepared from HeLa cells treated with CoCl2 (350μM 20h+4h) add MG-132(10µM 4h). Cells were fixed with 1% formaldehyde for 10 minutes. ChIP was performed with 107 cells and 8 µg of ab308433 [EPR16897-145] or ab179483 [EPR16897]. ChIP DNA was sequenced on the Illumina NovaSeq 6000 to a depth of 30 million reads. The Input control is also shown.

ChIP-sequencing - Anti-HIF-1 alpha antibody [EPR16897] (AB179483)
  • ChIP-seq

Supplier Data

ChIP-sequencing - Anti-HIF-1 alpha antibody [EPR16897] (AB179483)

Chromatin was prepared from HeLa cells treated with CoCl2 (350μM 20h+4h) add MG-132(10µM 4h). Cells were fixed with 1% formaldehyde for 10 minutes. ChIP was performed with 107 cells and 8 µg of ab308433 [EPR16897-145] or ab179483 [EPR16897]. ChIP DNA was sequenced on the Illumina NovaSeq 6000 to a depth of 30 million reads. The Input control is also shown.

ChIP-sequencing - Anti-HIF-1 alpha antibody [EPR16897] (AB179483)
  • ChIP-seq

Supplier Data

ChIP-sequencing - Anti-HIF-1 alpha antibody [EPR16897] (AB179483)

Chromatin was prepared from HeLa cells treated with CoCl2 (350μM 20h+4h) add MG-132(10µM 4h). Cells were fixed with 1% formaldehyde for 10 minutes. ChIP was performed with 107 cells and 8 µg of ab308433 [EPR16897-145] or ab179483 [EPR16897]. ChIP DNA was sequenced on the Illumina NovaSeq 6000 to a depth of 30 million reads. The Input control is also shown.

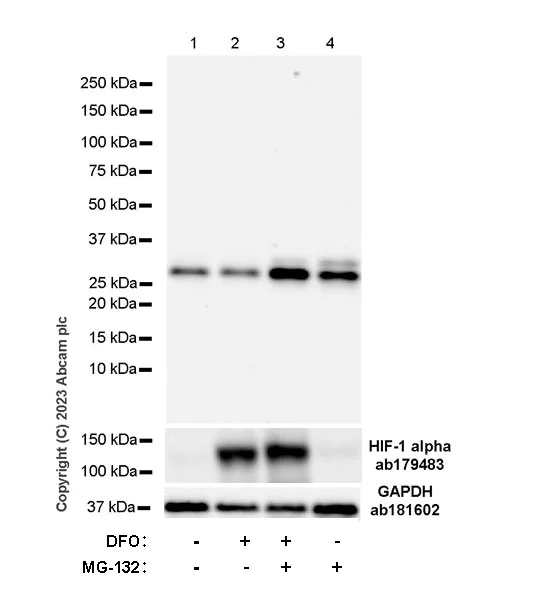
Western blot - Anti-HIF-1 alpha antibody [EPR16897] (AB179483)
  • WB

Supplier Data

Western blot - Anti-HIF-1 alpha antibody [EPR16897] (AB179483)

Blocking and diluting buffer and concentration : 5% NFDM/TBST.

The expression profile observed is consistent with what has been described in the literature (PMID : 17906695).

Lysates were freshly made and used immediately to minimize protein degradation.

In Western Blot, Anti HIF-1 alpha antibody [EPR16897-101] (ab179483) is applied at 1/1000 dilution to prove the DFO induction is successful.

In Western blot, Anti-GAPDH antibody [EPR16891] - Loading Control (ab181602) staining at 1/200000 dilution.

All lanes:

Western blot - Anti-CITED2 antibody [EPR27399-62] (<a href='/products/primary-antibodies/cited2-antibody-epr27399-62-ab314757'>ab314757</a>) at 1/1000 dilution

Lane 1:

Untreated HT-1080 (human fibrosarcoma epithelial cell) whole cell lysate at 20 µg

Lane 2:

HT-1080 treated with 0.5 mM DFO for 24 hours whole cell lysate at 20 µg

Lane 3:

HT-1080 treated with 0.5 mM DFO for 24 hours, then added 10uM MG-132 for 4 hours, whole cell lysate at 20 µg

Lane 4:

HT-1080 treated with 10uM MG-132 for 4 hours, whole cell lysate at 20 µg

Secondary

All lanes:

Western blot - Goat Anti-Rabbit IgG H&L (HRP) (<a href='/products/secondary-antibodies/goat-rabbit-igg-h-l-hrp-ab97051'>ab97051</a>) at 1/100000 dilution

Observed band size: 30 kDa,36 kDa

false

Exposure time: 37s

Western blot - Anti-HIF-1 alpha antibody [EPR16897] (AB179483)
  • WB

Lab

Western blot - Anti-HIF-1 alpha antibody [EPR16897] (AB179483)

Blocking/Diluting buffer and concentration : 5% NFDM/TBST.

Lysates were freshly made and used immediately to minimise protein degradation.

Lanes 1 - 4:

Western blot - Anti-HIF-1 alpha antibody [EPR16897] (ab179483) at 1/1000 dilution

Lanes 1 - 4:

Western blot - Anti-HIF-1 alpha antibody [EPR16897] - BSA and Azide free (<a href='/products/primary-antibodies/hif-1-alpha-antibody-epr16897-bsa-and-azide-free-ab221610'>ab221610</a>)

Lane 1:

Untreated HT-1080 (human fibrosarcoma epithelial cell) whole cell lysate at 20 µg

Lane 2:

HT-1080 treated with 0.5 mM DFO for 24 hours whole cell lysate at 20 µg

Lane 3:

HT-1080 treated with 0.5 mM DFO for 24 hours, then added 10uM MG-132 for 4 hours, whole cell lysate at 20 µg

Lane 4:

HT-1080 treated with 10uM MG-132 for 4 hours, whole cell lysate at 20 µg

Observed band size: 50-110 kDa

false

Exposure time: 10s

Western blot - Anti-HIF-1 alpha antibody [EPR16897] (AB179483)
  • WB

Lab

Western blot - Anti-HIF-1 alpha antibody [EPR16897] (AB179483)

Lanes 1 - 6 : Merged signal (red and green). Green - ab179483 observed at 105 kDa. Red - loading control, ab24834, observed at 50 kDa.

ab179483 was shown to specifically react with HIF-1 alpha in wild-type HAP1 treated DMOG (0.5mM 18hr) cells as signal was lost in HAP1 knockout treated DMOG (0.5 mM 18hr) knockout cells. Wild-type and HAP1 knockout samples were subjected to SDS-PAGE. ab179483 and ab24834 (Mouse anti-Histone H3 loading control) were incubated overnight at 4°C at 1/1000 dilution and 1/10000 dilution respectively. Blots were developed with Goat anti-Rabbit IgG H&L (IRDye® 800CW) preabsorbed ab216773 and Goat anti-Mouse IgG H&L (IRDye® 680RD) preabsorbed ab216776 secondary antibodies at 1/20000 dilution for 1 hour at room temperature before imaging.

All lanes:

Western blot - Anti-HIF-1 alpha antibody [EPR16897] (ab179483) at 1/1000 dilution

Lane 1:

Wild-type HAP1 whole cell lysate at 40 µg

Lane 2:

Wild type HAP1 treated with DMOG (0.5mM 18hr) whole cell lysate at 40 µg

Lane 3:

HIF1A knockout HAP1 whole cell lysate at 40 µg

Lane 4:

HIF1A knockout HAP1 treated with DMOG (0.5mM 18hr) whole cell lysate at 40 µg

Lane 5:

HeLa whole cell lysate at 40 µg

Lane 6:

HeLa treated with DMOG (0.5mM 18hr) whole cell lysate at 40 µg

Predicted band size: 92 kDa

Observed band size: 105 kDa

false

Western blot - Anti-HIF-1 alpha antibody [EPR16897] (AB179483)
  • WB

Lab

Western blot - Anti-HIF-1 alpha antibody [EPR16897] (AB179483)

HIF-1-alpha is constantly synthesized but rapidly degraded under normoxic conditions, whereas reduced oxygen concentration results in stabilization of HIF-1-alpha. (PMID : 15104534)

Exposure time : Lanes 1-4 : 10 seconds, Lanes 5-6 : 20 seconds

All lanes:

Western blot - Anti-HIF-1 alpha antibody [EPR16897] (ab179483) at 1/1000 dilution

Lanes 1 and 3:

Untreated HeLa (human cervix adenocarcinoma epithelial cell) whole cell lysate at 20 µg

Lane 2:

HeLa treated with 0.5mM CoCl2 for 6h whole cell lysate at 20 µg

Lane 4:

HeLa treated with 0.5mM DFO for 24h whole cell lysate at 20 µg

Lane 5:

Untreated NIH/3T3 (Mouse embryonic fibroblast) whole cell lysate at 20 µg

Lane 6:

NIH/3T3 (Mouse embryonic fibroblast) treated with 0.1mM CoCl2 for 48h whole cell lysate at 20 µg

Secondary

All lanes:

Western blot - Goat Anti-Rabbit IgG H&L (HRP) (<a href='/products/secondary-antibodies/goat-rabbit-igg-h-l-hrp-ab97051'>ab97051</a>) at 1/20000 dilution

Observed band size: 50-110 kDa

false

ChIC/CUT&RUN sequencing - Anti-HIF-1 alpha antibody [EPR16897] (AB179483)
  • ChIC/CUT&RUN-seq

Supplier Data

ChIC/CUT&RUN sequencing - Anti-HIF-1 alpha antibody [EPR16897] (AB179483)

ChIC/CUT&RUN was performed using a pAG-MNAse at a final concentration of 700 ng/mL, 2.5 x 10^5 HaCaT (Human keratinocyte cell line) cells (treated with 7ng/ml TGF-β for 1h) and 5 µg of ab40855 [EP784Y]. The resulting DNA was sequenced on the Illumina NovaSeq 6000 to a depth of 10 million reads. The negative IgG control ab172730 is also shown. Additional screenshots of mapped reads can be found in the Protocol booklet in the Product Protocol section. The University of Geneva owns patents relevant to ChIC (Chromatin Immuno-Cleavage) methods.

Western blot - Anti-HIF-1 alpha antibody [EPR16897] (AB179483)
  • WB

Lab

Western blot - Anti-HIF-1 alpha antibody [EPR16897] (AB179483)

Blocking and diluting buffer : 5% NFDM/TBST.

The expression of HIF-1 alpha is induced by CoCl2 and maintained by MG-132 (PMID : 15836611).

All lanes:

Western blot - Anti-HIF-1 alpha antibody [EPR16897] (ab179483) at 0.163 µg/mL

Lane 1:

Untreated C6 (rat glial tumor glial cell), whole cell lysate at 10 µg

Lane 2:

C6 treated with 400 &mu;M CoCl2 and 20 &mu;M MG-132 (<a href='/products/biochemicals/mg-132-proteasome-inhibitor-ab141003'>ab141003</a>) for 4 hours at 10 µg

Secondary

All lanes:

Western blot - Goat Anti-Rabbit IgG H&L (HRP) (<a href='/products/secondary-antibodies/goat-rabbit-igg-h-l-hrp-ab97051'>ab97051</a>) at 1/20000 dilution

Predicted band size: 92 kDa

Observed band size: 110 kDa

false

Exposure time: 26s

不同偶联物与剂型 (3)

关键信息

宿主种属

Rabbit

克隆

Monoclonal

克隆号

EPR16897

亚型

IgG

不含载体蛋白

No

反应种属

Mouse, Rat, Human

应用

WB, ChIP-seq, IP, ChIC/CUT&RUN-seq, ICC/IF

applications

免疫原

The exact immunogen used to generate this antibody is proprietary information.

特异性

HIF-1 alpha expression is absent in most normal tissues (PMID: 12128120, 24835245, 11689469, 20217131). The antibody only works in hypoxic cell and tissue lysates.

FURTHER INFORMATION ON SPECIFICITY (Chinese Version) available under the product protocols section. This file includes key technical notes of experience when using this product.

反应性数据

{ "title": "Reactivity Data", "filters": { "stats": ["", "Species", "Dilution Info", "Notes"], "tabs": { "all-applications": {"fullname" : "All Applications", "shortname": "All Applications"}, "IP" : {"fullname" : "Immunoprecipitation", "shortname":"IP"}, "ChICCUTRUNseq" : {"fullname" : "ChIC/CUT&RUN sequencing", "shortname":"ChIC/CUT&RUN-seq"}, "ChIPseq" : {"fullname" : "ChIP-sequencing", "shortname":"ChIP-seq"}, "WB" : {"fullname" : "Western blot", "shortname":"WB"}, "ICCIF" : {"fullname" : "Immunocytochemistry/ Immunofluorescence", "shortname":"ICC/IF"} }, "product-promise": { "all": "all", "testedAndGuaranteed": "tested", "guaranteed": "expected", "predicted": "predicted", "notRecommended": "not-recommended" } }, "values": { "Human": { "IP-species-checked": "testedAndGuaranteed", "IP-species-dilution-info": "1/30", "IP-species-notes": "<p></p>", "ChICCUTRUNseq-species-checked": "testedAndGuaranteed", "ChICCUTRUNseq-species-dilution-info": "5 µg", "ChICCUTRUNseq-species-notes": "<p></p>", "ChIPseq-species-checked": "testedAndGuaranteed", "ChIPseq-species-dilution-info": "8 µg for 10^7 Cells", "ChIPseq-species-notes": "<p></p>", "WB-species-checked": "testedAndGuaranteed", "WB-species-dilution-info": "1/1000", "WB-species-notes": "<p>HIF-1 alpha expression is absent in most normal tissues (PMID: 12128120, 24835245, 11689469, 20217131). The antibody only works in hypoxic cell and tissue lysates.</p>", "ICCIF-species-checked": "testedAndGuaranteed", "ICCIF-species-dilution-info": "1/500", "ICCIF-species-notes": "<p></p>" }, "Mouse": { "IP-species-checked": "guaranteed", "IP-species-dilution-info": "", "IP-species-notes": "", "ChICCUTRUNseq-species-checked": "guaranteed", "ChICCUTRUNseq-species-dilution-info": "", "ChICCUTRUNseq-species-notes": "", "ChIPseq-species-checked": "guaranteed", "ChIPseq-species-dilution-info": "", "ChIPseq-species-notes": "", "WB-species-checked": "testedAndGuaranteed", "WB-species-dilution-info": "1/1000", "WB-species-notes": "<p>HIF-1 alpha expression is absent in most normal tissues (PMID: 12128120, 24835245, 11689469, 20217131). The antibody only works in hypoxic cell and tissue lysates.</p>", "ICCIF-species-checked": "guaranteed", "ICCIF-species-dilution-info": "", "ICCIF-species-notes": "" }, "Rat": { "IP-species-checked": "guaranteed", "IP-species-dilution-info": "", "IP-species-notes": "", "ChICCUTRUNseq-species-checked": "guaranteed", "ChICCUTRUNseq-species-dilution-info": "", "ChICCUTRUNseq-species-notes": "", "ChIPseq-species-checked": "guaranteed", "ChIPseq-species-dilution-info": "", "ChIPseq-species-notes": "", "WB-species-checked": "testedAndGuaranteed", "WB-species-dilution-info": "1/1000", "WB-species-notes": "<p>HIF-1 alpha expression is absent in most normal tissues (PMID: 12128120, 24835245, 11689469, 20217131). The antibody only works in hypoxic cell and tissue lysates.</p>", "ICCIF-species-checked": "guaranteed", "ICCIF-species-dilution-info": "", "ICCIF-species-notes": "" }, "Cow": { "IP-species-checked": "predicted", "IP-species-dilution-info": "", "IP-species-notes": "", "ChICCUTRUNseq-species-checked": "predicted", "ChICCUTRUNseq-species-dilution-info": "", "ChICCUTRUNseq-species-notes": "", "ChIPseq-species-checked": "predicted", "ChIPseq-species-dilution-info": "", "ChIPseq-species-notes": "", "WB-species-checked": "predicted", "WB-species-dilution-info": "", "WB-species-notes": "", "ICCIF-species-checked": "predicted", "ICCIF-species-dilution-info": "", "ICCIF-species-notes": "" }, "Ferret": { "IP-species-checked": "predicted", "IP-species-dilution-info": "", "IP-species-notes": "", "ChICCUTRUNseq-species-checked": "predicted", "ChICCUTRUNseq-species-dilution-info": "", "ChICCUTRUNseq-species-notes": "", "ChIPseq-species-checked": "predicted", "ChIPseq-species-dilution-info": "", "ChIPseq-species-notes": "", "WB-species-checked": "predicted", "WB-species-dilution-info": "", "WB-species-notes": "", "ICCIF-species-checked": "predicted", "ICCIF-species-dilution-info": "", "ICCIF-species-notes": "" }, "Primates": { "IP-species-checked": "predicted", "IP-species-dilution-info": "", "IP-species-notes": "", "ChICCUTRUNseq-species-checked": "predicted", "ChICCUTRUNseq-species-dilution-info": "", "ChICCUTRUNseq-species-notes": "", "ChIPseq-species-checked": "predicted", "ChIPseq-species-dilution-info": "", "ChIPseq-species-notes": "", "WB-species-checked": "predicted", "WB-species-dilution-info": "", "WB-species-notes": "", "ICCIF-species-checked": "predicted", "ICCIF-species-dilution-info": "", "ICCIF-species-notes": "" }, "Rabbit": { "IP-species-checked": "predicted", "IP-species-dilution-info": "", "IP-species-notes": "", "ChICCUTRUNseq-species-checked": "predicted", "ChICCUTRUNseq-species-dilution-info": "", "ChICCUTRUNseq-species-notes": "", "ChIPseq-species-checked": "predicted", "ChIPseq-species-dilution-info": "", "ChIPseq-species-notes": "", "WB-species-checked": "predicted", "WB-species-dilution-info": "", "WB-species-notes": "", "ICCIF-species-checked": "predicted", "ICCIF-species-dilution-info": "", "ICCIF-species-notes": "" }, "Sheep": { "IP-species-checked": "predicted", "IP-species-dilution-info": "", "IP-species-notes": "", "ChICCUTRUNseq-species-checked": "predicted", "ChICCUTRUNseq-species-dilution-info": "", "ChICCUTRUNseq-species-notes": "", "ChIPseq-species-checked": "predicted", "ChIPseq-species-dilution-info": "", "ChIPseq-species-notes": "", "WB-species-checked": "predicted", "WB-species-dilution-info": "", "WB-species-notes": "", "ICCIF-species-checked": "predicted", "ICCIF-species-dilution-info": "", "ICCIF-species-notes": "" } } }

产品详情

Anti-HIF-1 alpha antibody [EPR16897] (ab179483) was developed by Abcam using patented rabbit monoclonal antibody technology and is validated for use in ChIC/CUT&RUN-seq, ChIP,-seq ICC/IF, IP and WB.

First used in a scientific publication in 2016, it is highly cited in over 190 times in peer reviewed journals.

Abcam's high quality manufacturing and validation processes ensure Anti-HIF-1 alpha antibody [EPR16897] (ab179483) has high sensitivity and specificity alongside high lot-to-lot consistency and reproducibility. Validated for both CUT&RUN and ChIP-seq, which are key applications to map protein-DNA interactions on a genome-wide scale using NGS.

The specificity of Anti-HIF-1 alpha antibody [EPR16897] (ab179483) has been confirmed by Western Blot testing in HIF-1 alpha knockout HAP1 cells making its performance in human, mouse and rat samples trusted by the scientific community.

Anti-HIF-1 alpha antibody [EPR16897] (ab179483) has 5 independent reviews from customers.

Anti-HIF-1 alpha antibody [EPR16897] (ab179483) specifically detects HIF-1 alpha (UniProt ID: Q16665; Molecular weight: 93kDa) and is sold in 100 µL and 1 mL selling sizes.

Conjugation-ready, carrier free format available for antibody clone EPR16897 - Anti-HIF-1 alpha antibody [EPR16897] - BSA and Azide freeab221610.

Antibody clone EPR16897 is also available pre-conjugated to a variety of labels for your convenience - Alexa Fluor® 488, Alexa Fluor® 647 (ab208419, ab208420).

HIF-1 or hypoxia inducible factor 1, is a transcription factor commonly referred to as a ""master regulator of the hypoxic response"" for its central role in the regulation of cellular adaptations to hypoxia. Hypoxia contributes to the pathophysiology of human disease, including myocardial and cerebral ischemia, cancer, pulmonary hypertension, congenital heart disease and chronic obstructive pulmonary disease. A highly specific HIF-1 alpha antibody, essential for studying hypoxia-inducible factors and oxygen homeostasis. This antibody is crucial in tumor hypoxia research, particularly in understanding cancer progression and angiogenesis. It is widely used in studies of metastasis and HIF-1 alpha inhibitors.

Our RabMAb® technology is a patented hybridoma-based technology for making rabbit monoclonal antibodies. For details on our patents, please refer to RabMAb® patents.

This product is a recombinant monoclonal antibody, which offers several advantages including:

  • - High batch-to-batch consistency and reproducibility
  • - Improved sensitivity and specificity
  • - Long-term security of supply
  • - Animal-free batch production

For more information, read more on recombinant antibodies.

Patented technology
Our RabMAb® technology is a patented hybridoma-based technology for making rabbit monoclonal antibodies. For details on our patents, please refer to RabMAb® patents.

What are the advantages of a recombinant monoclonal antibody?
This product is a recombinant monoclonal antibody, which offers several advantages including:

  • - High batch-to-batch consistency and reproducibility
  • - Improved sensitivity and specificity
  • - Long-term security of supply
  • - Animal-free batch production

For more information, read more on recombinant antibodies.

性能和储存信息

形式
Liquid
纯化工艺
Affinity purification Protein A
存储溶液
Preservative: 0.01% Sodium azide Constituents: PBS, 40% Glycerol (glycerin, glycerine), 0.05% BSA
运输条件
Blue Ice
推荐的短期储存时间
1-2 weeks
推荐的短期储存条件
+4°C
推荐的长期储存条件
-20°C
分装信息
Upon delivery aliquot
储存信息
Avoid freeze / thaw cycle

补充信息

This supplementary information is collated from multiple sources and compiled automatically.

HIF-1 alpha also known as hypoxia-inducible factor 1-alpha is a transcription factor critical in cellular response to low oxygen levels. Its molecular weight usually ranges from 93 to 120 kDa. You can find HIF-1 alpha expressed in tissues throughout the body but its expression significantly increases under hypoxic conditions. Researchers often use the HIF-1a ELISA to measure its expression levels. HIF-1 alpha forms a complex with other proteins to perform its functions effectively.
Biological function summary

HIF-1 alpha regulates gene expression in response to hypoxic conditions in cells. It forms a complex with HIF-1 beta to activate transcription of various genes involved in energy metabolism angiogenesis and erythropoiesis. HIF-1 alpha enables cells to adapt to reduced oxygen availability allowing for cellular survival and function under stress. It plays an important role in promoting the expression of genes like VEGF and EPO which are important for vascular and red blood cell development respectively.

Pathways

HIF-1 alpha plays an integral role in the hypoxia signaling pathway and the glycolytic pathway. In the hypoxia signaling pathway HIF-1 alpha partners with VHL (Von Hippel-Lindau) protein that regulates its degradation under normal oxygen conditions. When oxygen levels drop HIF-1 alpha avoids degradation stabilizes and translocates into the nucleus to initiate transcription of hypoxia-responsive genes. The glycolytic pathway involvement highlights its function in adapting energy production under hypoxic conditions through collaboration with enzymes and transporters associated with glycolysis.

HIF-1 alpha has been implicated in cancer and ischemic diseases. Its role in promoting angiogenesis and metabolic adaptation makes it a contributor to tumor growth and survival collaborating with oncogenes such as c-Myc. In ischemic diseases like stroke or myocardial infarction HIF-1 alpha's ability to induce protective responses can mitigate tissue damage through regulation of survival pathways. Understanding these interactions helps in the development of therapeutic strategies targeting HIF-1 alpha in disease contexts.

产品实验方案

For this product, it's our understanding that no specific protocols are required. You can visit:

靶点信息

The protein expressed by the gene HIF1A functions as a master transcriptional regulator of the adaptive response to hypoxia, activating the transcription of over 40 genes under hypoxic conditions, including erythropoietin, glucose transporters, glycolytic enzymes, vascular endothelial growth factor, HILPDA, and others. These genes' protein products enhance oxygen delivery or facilitate metabolic adaptation to hypoxia. HIF1A is crucial for embryonic vascularization, tumor angiogenesis, and ischemic disease pathophysiology. Its activation requires transcriptional coactivators like CREBBP and EP300, with activity enhanced by interactions with NCOA1 and/or NCOA2. Interaction with redox regulatory protein APEX1 activates CTAD and enhances activation by NCOA1 and CREBBP. Additionally, HIF1A is involved in axonal distribution and mitochondrial transport in neurons during hypoxia. In the context of microbial infection, specifically human coronavirus SARS-CoV-2, HIF1A is necessary for glycolysis induction in monocytes, leading to a proinflammatory state, inducing expression of ACE2, cytokines, and promoting virus replication and monocyte inflammatory response. This supplementary information is collated from multiple sources and compiled automatically.
See full target information HIF1A

文献 (364)

Recent publications for all applications. Explore the full list and refine your search

Scientific reports 15:35547 PubMed41073566

2025

Total flavonoids of rhizoma drynariae improved the osteogenic and pro-angiogenic capacities of BMSCs to accelerate long bone regeneration.

Applications

Unspecified application

Species

Unspecified reactive species

Hengjun Huang,Silu Li,Huang Zhan,Fenfang Gong,Jian Liu,Zhenya Liu,Hui Li,Chengyu Yang

Bioactive materials 54:492-508 PubMed40955375

2025

Inherently bioactive iron-chelating Poly (N-acryloyl 2-glycine)/chitosan hydrogel scaffolds orchestrating dual hypoxic-immune microenvironment for functional meniscus regeneration.

Applications

Unspecified application

Species

Unspecified reactive species

Bingbing Xu,Jing Ye,Shitang Song,Xueyu Dou,Chao Li,Xing Wang,Jia-Kuo Yu

CNS neuroscience & therapeutics 31:e70569 PubMed40927974

2025

Deer Antler S-Adenosylmethionine Ameliorates Depression-Like Behaviors and Neuroinflammation in CUMS Mice.

Applications

Unspecified application

Species

Unspecified reactive species

Yongjian Liu,Chenyang Han,Li Guo,Wenyan Li,Shasha Wu,Jian Sheng,Liping Zhai,Heping Shen,Genghuan Wang

Diabetology & metabolic syndrome 17:362 PubMed40883798

2025

Activation of M1 macrophages promotes diabetic kidney disease by modulating glycolysis via HIF-1α-HK2 signaling pathway.

Applications

Unspecified application

Species

Unspecified reactive species

Xiaoyan Pei,Lijuan Lu,Ziqiong Huang,Yu Wei,Yu Li,Qiong Wang,Yanli Yang,Langen Zhuang,Guoxi Jin

Pharmaceuticals (Basel, Switzerland) 18: PubMed40872544

2025

Pharmacological Investigation of Tongqiao Jiuxin Oil Against High-Altitude Hypoxia: Integrating Chemical Profiling, Network Pharmacology, and Experimental Validation.

Applications

Unspecified application

Species

Unspecified reactive species

Jiamei Xie,Yang Yang,Yuhang Du,Xiaohua Su,Yige Zhao,Yongcheng An,Xin Mao,Menglu Wang,Ziyi Shan,Zhiyun Huang,Shuchang Liu,Baosheng Zhao

Journal of translational medicine 23:950 PubMed40841904

2025

Osteopontin derived from hypoxia-induced M2 macrophages promotes osteosarcoma progression through modulation of EGR3/ISG15 signaling and RIG-I expression.

Applications

Unspecified application

Species

Unspecified reactive species

Chunyang Xing,Wei Hu,Liyuan Zhao

Nature communications 16:7640 PubMed40819134

2025

Bioinspired ruthenium-manganese-oxygen complex for biocatalytic and radiosensitization therapies to eradicate primary and metastatic tumors.

Applications

Unspecified application

Species

Unspecified reactive species

Ruidan Li,Ting Wang,Shengdong Mu,Zhenyu Xing,Zhiying Ding,Qinlong Wen,Zhigong Wei,Xiaolin Wang,Mohsen Adeli,Shuang Li,Chong Cheng,Xingchen Peng

Human cell 38:139 PubMed40775462

2025

Leucyl-tRNA synthetase promotes malignant progression in diffuse large B-cell lymphoma by regulating glycolysis via the LRPPRC/HIF-1α/HK2 axis.

Applications

Unspecified application

Species

Unspecified reactive species

Weiming Zhang,Nasha Yu,Xiangxiang Song,Xing Zhong

Scientific reports 15:28627 PubMed40764760

2025

Molecular mechanisms of cryoablation-mediated lung cancer suppression unveiled by non-coding RNA regulatory network profiling.

Applications

Unspecified application

Species

Unspecified reactive species

Xiaofan Wang,Mohan Zhang,Dianna Liu,Shicheng Lin,Yuxin Zhang,Quanwang Li

Current issues in molecular biology 47: PubMed40728968

2025

Leech Extract Enhances the Pro-Angiogenic Effects of Endothelial Cell-Derived Exosomes in a Mouse Model of Ischemic Stroke.

Applications

Unspecified application

Species

Unspecified reactive species

Yushuang Cao,Jin Sun,Lichen Guo,Meng Wang,Linlin Su,Tong Zhang,Shaoxia Wang,Lijuan Chai,Qing Yuan,Limin Hu
View all publications
websiteProtocolBooklet
zh

Abcam Product Promise

我们致力于为您的研究提供高质量的试剂,为您科研的每一步提供支持。若我们的产品未能达到预期性能,我们向您提供 Abcam Product Promise 保障。
详情请参阅我们的条款与条件。

Please note: All products are 'FOR RESEARCH USE ONLY. NOT FOR USE IN DIAGNOSTIC OR THERAPEUTIC PROCEDURES'.

For licensing inquiries, please contact partnerships@abcam.com