JavaScript is disabled in your browser. Please enable JavaScript to view this website.
AB108937

重组Anti-Hes1抗体[EPR4226]

Anti-Hes1 antibody [EPR4226]

4

(15 Reviews)

|

(128 Publications)

Anti-Hes1 antibody [EPR4226] (ab108937) is a rabbit monoclonal antibody detecting Hes1 in Western Blot, Flow Cytometry (Intra), Flow Cytometry, IHC-P, ICC/IF. Suitable for Human, Rat.

- Biophysical QC for unrivalled batch-batch consistency
- Over 80 publications

查看别名

BHLHB39, HL, HRY, HES1, Transcription factor HES-1, Class B basic helix-loop-helix protein 39, Hairy and enhancer of split 1, Hairy homolog, Hairy-like protein, bHLHb39, hHL

6 Images
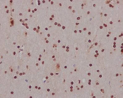
Immunohistochemistry (Formalin/PFA-fixed paraffin-embedded sections) - Anti-Hes1 antibody [EPR4226] (AB108937)
  • IHC-P

Lab

Immunohistochemistry (Formalin/PFA-fixed paraffin-embedded sections) - Anti-Hes1 antibody [EPR4226] (AB108937)

Primary ab concentration dilution : 1 : 200, (0.5ug/ml)

Secondary ab : ImmunoHistoprobe (Ready to use) HRP Polymer for Rabbit IgG

Secondary ab concentration : Prediluted

Tissue : Human brain

Fixative : Paraffin-embedded sections

Counter stain : Hematoxylin

Antigen retrieval : Perform heat mediated antigen retrieval using Tris/EDTA Buffer, PH9

Immunohistochemistry (Formalin/PFA-fixed paraffin-embedded sections) - Anti-Hes1 antibody [EPR4226] (AB108937)
  • IHC-P

Unknown

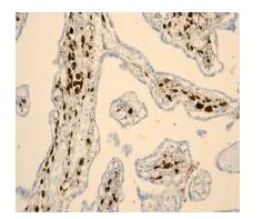
Immunohistochemistry (Formalin/PFA-fixed paraffin-embedded sections) - Anti-Hes1 antibody [EPR4226] (AB108937)

Immunohistochemical staining of Hes1 in paraffin-embedded human placenta tissue with unpurified ab108937 at 1/250 dilution.

Perform heat mediated antigen retrieval before commencing with IHC staining protocol.

Immunohistochemistry (Formalin/PFA-fixed paraffin-embedded sections) - Anti-Hes1 antibody [EPR4226] (AB108937)
  • IHC-P

Lab

Immunohistochemistry (Formalin/PFA-fixed paraffin-embedded sections) - Anti-Hes1 antibody [EPR4226] (AB108937)

Immunohistochemical staining of paraffin embedded human brain with unpurified ab108937 at a working dilution of 1 in 90. The secondary antibody used is a HRP polymer for rabbit IgG. The sample is counter-stained with hematoxylin. Antigen retrieval was perfomed using Tris-EDTA buffer, pH 9.0.

Flow Cytometry (Intracellular) - Anti-Hes1 antibody [EPR4226] (AB108937)
  • Flow Cyt (Intra)

Unknown

Flow Cytometry (Intracellular) - Anti-Hes1 antibody [EPR4226] (AB108937)

Overlay histogram showing SH-SY5Y cells stained with unpurifiedab108937 (red line). The cells were fixed with 80% methanol (5 min) and then permeabilized with 0.1% PBS-Tween for 20 min. The cells were then incubated in 1x PBS / 10% normal goat serum / 0.3M glycine to block non-specific protein-protein interactions. The cells were then incubated with the antibody (ab108937 1/100 dilution) for 30 min at 22°C. The secondary antibody used was DyLight® 488 goat anti-rabbit IgG (H+L) (ab96899) at 1/500 dilution for 30 min at 22°C. Isotype control antibody (black line) was rabbit IgG (monoclonal) (1μg/1x106 cells) used under the same conditions. Acquisition of >5000 events was performed.

Immunocytochemistry/ Immunofluorescence - Anti-Hes1 antibody [EPR4226] (AB108937)
  • ICC/IF

Lab

Immunocytochemistry/ Immunofluorescence - Anti-Hes1 antibody [EPR4226] (AB108937)

Immunofluorescent analysis of 4% Paraformaldehyde fixed 0.1% TritonX-100 permeabilised SH-SY5Y (Human neuroblastoma epithelial cell) labelling Hes1 with ab108937 at 1/1000 dilution, followed by AlexaFluor® 488 Goat anti-Rabbit secondary (ab150077) secondary antibody at 1/1000 dilution (green). Confocal image showing nuclear staining in SH-SY5Y cell line is observed. Anti-alpha Tubulin antibody [DM1A] - Microtubule Marker (Alexa Fluor® 594) (ab195889) was used to counterstain alpha Tubulin at 1/200 dilution (red). The Nuclear counterstain was DAPI (blue).

Secondary antibody only control : Secondary antibody is AlexaFluor® 488 Goat anti-Rabbit secondary (ab150077) at 1/1000 dilution.

Western blot - Anti-Hes1 antibody [EPR4226] (AB108937)
  • WB

Lab

Western blot - Anti-Hes1 antibody [EPR4226] (AB108937)

Blocking and diluting buffer and concentration : 5% NFDM /TBST.

All lanes:

Western blot - Anti-Hes1 antibody [EPR4226] (ab108937) at 1/1000 dilution

Lane 1:

SH-SY5Y (Human bone marrow epithelial) whole cell lysate at 20 µg

Lane 2:

MOLT-4 (Human lymphoblastic leukemia T lymphoblast) whole cell lysate at 20 µg

Lane 3:

MDA-MB-231 (Human breast adenocarcinoma epithelial cell) whole cell lysate at 20 µg

Lane 4:

MCF7 (Human breast adenocarcinoma epithelial cell) whole cell lysate at 20 µg

Lane 5:

K-562 (Human chronic myelogenous leukemia lymphoblast) whole cell lysate at 20 µg

Lane 6:

HUVEC (Human umbilical vein endothelial cell) whole cell lysate at 20 µg

Lane 7:

HepG2 (Human hepatocellular carcinoma epithelial cell) whole cell lysate at 20 µg

Lane 8:

Human brain tissue lysate at 20 µg

Lane 9:

Human liver tissue lysate at 20 µg

Secondary

All lanes:

Goat Anti-Rabbit IgG (HRP), specific to the non-reduced form of IgG at 1/20000 dilution

Predicted band size: 30 kDa

Observed band size: 30 kDa

false

Exposure time: 120s

不同偶联物与剂型 (4)

关键信息

宿主种属

Rabbit

克隆

Monoclonal

克隆号

EPR4226

亚型

IgG

不含载体蛋白

No

反应种属

Rat, Human

应用

IHC-P, Flow Cyt (Intra), WB, ICC/IF

applications

免疫原

The exact immunogen used to generate this antibody is proprietary information.

反应性数据

{ "title": "Reactivity Data", "filters": { "stats": ["", "Species", "Dilution Info", "Notes"], "tabs": { "all-applications": {"fullname" : "All Applications", "shortname": "All Applications"}, "IHCP" : {"fullname" : "Immunohistochemistry (Formalin/PFA-fixed paraffin-embedded sections)", "shortname":"IHC-P"}, "IP" : {"fullname" : "Immunoprecipitation", "shortname":"IP"}, "WB" : {"fullname" : "Western blot", "shortname":"WB"}, "ICCIF" : {"fullname" : "Immunocytochemistry/ Immunofluorescence", "shortname":"ICC/IF"}, "FlowCytIntra" : {"fullname" : "Flow Cytometry (Intracellular)", "shortname":"Flow Cyt (Intra)"} }, "product-promise": { "all": "all", "testedAndGuaranteed": "tested", "guaranteed": "expected", "predicted": "predicted", "notRecommended": "not-recommended" } }, "values": { "Human": { "IHCP-species-checked": "testedAndGuaranteed", "IHCP-species-dilution-info": "1/90 - 1/200", "IHCP-species-notes": "<p></p>", "IP-species-checked": "notRecommended", "IP-species-dilution-info": "", "IP-species-notes": "<p></p>", "WB-species-checked": "testedAndGuaranteed", "WB-species-dilution-info": "1/1000", "WB-species-notes": "<p></p>", "ICCIF-species-checked": "testedAndGuaranteed", "ICCIF-species-dilution-info": "1/1000", "ICCIF-species-notes": "<p></p>", "FlowCytIntra-species-checked": "testedAndGuaranteed", "FlowCytIntra-species-dilution-info": "1/20 - 1/50", "FlowCytIntra-species-notes": "<p><a href='/products/primary-antibodies/rabbit-igg-monoclonal-epr25a-isotype-control-ab172730'>ab172730</a> - Rabbit monoclonal IgG, is suitable for use as an isotype control with this antibody.</p>" }, "Mouse": { "IHCP-species-checked": "predicted", "IHCP-species-dilution-info": "", "IHCP-species-notes": "", "IP-species-checked": "notRecommended", "IP-species-dilution-info": "", "IP-species-notes": "", "WB-species-checked": "predicted", "WB-species-dilution-info": "", "WB-species-notes": "", "ICCIF-species-checked": "predicted", "ICCIF-species-dilution-info": "", "ICCIF-species-notes": "", "FlowCytIntra-species-checked": "predicted", "FlowCytIntra-species-dilution-info": "", "FlowCytIntra-species-notes": "" }, "Rat": { "IHCP-species-checked": "guaranteed", "IHCP-species-dilution-info": "", "IHCP-species-notes": "", "IP-species-checked": "notRecommended", "IP-species-dilution-info": "", "IP-species-notes": "<p></p>", "WB-species-checked": "testedAndGuaranteed", "WB-species-dilution-info": "1/1000", "WB-species-notes": "<p></p>", "ICCIF-species-checked": "guaranteed", "ICCIF-species-dilution-info": "", "ICCIF-species-notes": "", "FlowCytIntra-species-checked": "guaranteed", "FlowCytIntra-species-dilution-info": "", "FlowCytIntra-species-notes": "" } } }

产品详情

What is this antibody validated in?
Anti-Hes1 antibody [EPR4226] (ab108937) is a rabbit recombinant monoclonal antibody and is validated for use in Western Blot (WB), Flow Cytometry (Intra), Flow Cytometry (Flow Cyt), Immunohistochemistry (IHC-P), Immunocytochemistry/immunofluorescence (ICC/IF) in Human, Rat samples.

What is the molecular weight of Hes1?
Anti-Hes1 [EPR4226] (ab108937) specifically detects a band for Hes1 (UniProt: Q14469) at a molecular weight of 30kDa.

Trusted by the scientific community
Anti-Hes1 [EPR4226] (ab108937) was first used in a scientific publication in 2011 and has been cited over 80 times in peer-reviewed journals.

Reviewed by scientists
Anti-Hes1 [EPR4226] (ab108937) has over 10 independent reviews from customers.

Trial sizes available!
Test your antibody or perform pre-screening before committing to a larger quantity. Sold in 10µl. Discover our selection of trial-size antibodies.

Other related products
We have a range of other formats of antibody clone [EPR4226] also available for your convenience: ab108937, Alexa Fluor® 488 - ab196328, Alexa Fluor® 647 - ab196577, Alexa Fluor® 594 - ab207048, Carrier free - ab221788, PE - ab225087

Patented technology
Our RabMAb® technology is a patented hybridoma-based technology for making rabbit monoclonal antibodies. For details on our patents, please refer to RabMAb® patents.

What are the advantages of a recombinant monoclonal antibody?
This product is a recombinant monoclonal antibody, which offers several advantages including:

  • - High batch-to-batch consistency and reproducibility
  • - Improved sensitivity and specificity
  • - Long-term security of supply
  • - Animal-free batch production

For more information, read more on recombinant antibodies.

性能和储存信息

形式
Liquid
纯化工艺
Affinity purification Protein A
存储溶液
pH: 7.2 - 7.4 Preservative: 0.01% Sodium azide Constituents: PBS, 40% Glycerol (glycerin, glycerine), 0.05% BSA
运输条件
Blue Ice
推荐的短期储存时间
1-2 weeks
推荐的短期储存条件
+4°C
推荐的长期储存条件
-20°C
分装信息
Upon delivery aliquot
储存信息
Stable for 12 months at -20°C

产品实验方案

For this product, it's our understanding that no specific protocols are required. You can visit:

靶点信息

Transcriptional repressor of genes that require a bHLH protein for their transcription. May act as a negative regulator of myogenesis by inhibiting the functions of MYOD1 and ASH1. Binds DNA on N-box motifs : 5'-CACNAG-3' with high affinity and on E-box motifs : 5'-CANNTG-3' with low affinity (By similarity). May play a role in a functional FA core complex response to DNA cross-link damage, being required for the stability and nuclear localization of FA core complex proteins, as well as for FANCD2 monoubiquitination in response to DNA damage.
See full target information HES1

文献 (128)

Recent publications for all applications. Explore the full list and refine your search

Translational lung cancer research 14:2771-2787 PubMed40799432

2025

Overexpression of promotes cell metabolism and activates the NOTCH signaling pathway in lung adenocarcinoma.

Applications

Unspecified application

Species

Unspecified reactive species

Guangmin Xi,Caibo Zhang,Cong Yu,Yiya Wang,Jinfeng Fu,Haining Qi,Kenichi Suda,Guoying Wu

Molecular medicine reports 32: PubMed40641129

2025

AZD1080, a specific inhibitor of GSK‑3β, inhibits stemness and malignancies in osteosarcoma cancer stem‑like cells.

Applications

Unspecified application

Species

Unspecified reactive species

Peiyu Guo,Zhenkai Lou,Hongda Gong,Xiaodong Hou,Chunqiang Zhang,Bing Wang,Kaili Du

Regenerative therapy 30:136-143 PubMed40535723

2025

Tangeretin suppresses RANKL-induced osteoclastogenesis and alleviates postmenopausal osteoporosis by inhibiting Notch signaling.

Applications

Unspecified application

Species

Unspecified reactive species

Tengfei Wu,Fang Wang,Changqing Ai,Li Li,Fan Wu

Oncology research 33:1473-1484 PubMed40486873

2025

Gallic acid suppresses esophageal squamous cell carcinoma progression and enhances cisplatin chemosensitivity through IL-6/STAT3/Notch pathway.

Applications

Unspecified application

Species

Unspecified reactive species

Nuran Bedolla,Hao Wu,Linyu Liu,Xueting Liu,Yanli Ren

Investigative ophthalmology & visual science 66:39 PubMed40105819

2025

Targeted siRNA Delivery Against RUNX1 Via tFNA: Inhibiting Retinal Neovascularization and Restoring Vessels Through Dll4/Notch1 Signaling.

Applications

Unspecified application

Species

Unspecified reactive species

Xiaodi Zhou,Xiaoxiao Xu,Qiong Wang,Yanting Lai,Linyan Zhang,Yunfeng Lin,Xiaoyan Ding,Limei Sun

International journal of molecular medicine 55: PubMed40084686

2025

Hesperetin induces apoptosis in lung squamous carcinoma cells via G/M cycle arrest, inhibition of the Notch1 pathway and activation of endoplasmic reticulum stress.

Applications

Unspecified application

Species

Unspecified reactive species

Qianlong Xie,Ziming He,Lingfang Tan,Min Li,Min Zhuang,Chen Liu,Sunhui Chen,Long Jin,Yuxia Sui

BMC musculoskeletal disorders 26:238 PubMed40069682

2025

mpECs with high Piezo2 expression promote fracture healing by driving angiogenesis through the Notch signaling pathway.

Applications

Unspecified application

Species

Unspecified reactive species

Lingfeng He,Fanyong Gong,Jiangyong Wang,Yi Huang,Haifeng Wang

Cells, tissues, organs 214:315-328 PubMed39799938

2025

Histone Demethylase KDM6B Promotes Chondrogenic Differentiation Potential of Stem Cells from the Apical Papilla via HES1.

Applications

Unspecified application

Species

Unspecified reactive species

Chen Zhang,Xiaomeng Lian,Mengyuan Zhu,Meijun Hu,Dengsheng Xia,Luyuan Jin,Riyue Yu,Jun Li

The Kaohsiung journal of medical sciences 41:e12930 PubMed39789998

2025

FOXA1 activates NOLC1 transcription through NOTCH pathway to promote cell stemness in lung adenocarcinoma.

Applications

Unspecified application

Species

Unspecified reactive species

Ji-Fa Li,Xiao-Qiong Bao,Wen-Wen Yu,Xiang-Xiang Chen,Yang-Yang Ni,Yu-Bo Shi,Jin-Cong Wang,Yang-Jie Sun,Ai-Li Chen,Wei-Long Zhou,Hua Ye

Cancer medicine 13:e70412 PubMed39629744

2024

FAM3C Regulates Glioma Cell Proliferation, Invasion, Apoptosis, and Epithelial Mesenchymal Transition via the Notch Pathway.

Applications

Unspecified application

Species

Unspecified reactive species

Xiaochao Xia,Zihao Wang,Lvmeng Song,Yinchuan Cheng,Ping Xiong,Shun Li
View all publications

Abcam Product Promise

我们致力于为您的研究提供高质量的试剂,为您科研的每一步提供支持。若我们的产品未能达到预期性能,我们向您提供 Abcam Product Promise 保障。
详情请参阅我们的条款与条件。

Please note: All products are 'FOR RESEARCH USE ONLY. NOT FOR USE IN DIAGNOSTIC OR THERAPEUTIC PROCEDURES'.

For licensing inquiries, please contact partnerships@abcam.com