JavaScript is disabled in your browser. Please enable JavaScript to view this website.
AB109444

Anti-Hemoglobin subunit zeta + Hemoglobin subunit alpha抗体[EP3607]

Anti-Hemoglobin subunit zeta + Hemoglobin subunit alpha antibody [EP3607]

Be the first to review this product! Submit a review

|

(1 Publication)

Rabbit Monoclonal Hemoglobin subunit zeta antibody. Suitable for IHC-P, WB and reacts with Human samples. Cited in 1 publication.

查看别名

HBZ2, HBZ, Hemoglobin subunit zeta, HBAZ, Hemoglobin zeta chain, Zeta-globin

4 Images
Immunohistochemistry (Formalin/PFA-fixed paraffin-embedded sections) - Anti-Hemoglobin subunit zeta + Hemoglobin subunit alpha antibody [EP3607] (AB109444)
  • IHC-P

Unknown

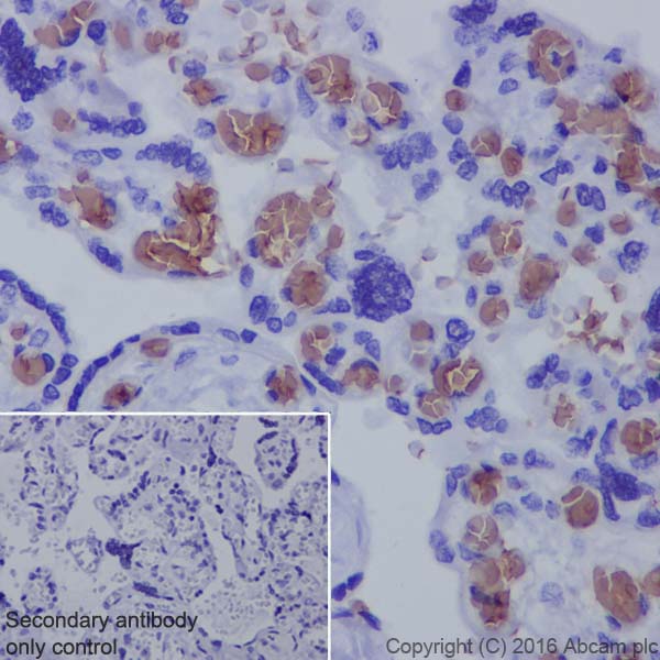
Immunohistochemistry (Formalin/PFA-fixed paraffin-embedded sections) - Anti-Hemoglobin subunit zeta + Hemoglobin subunit alpha antibody [EP3607] (AB109444)

Immunohistochemical analysis of Hemoglobin subunit alpha and Hemoglobin subunit zeta in paraffin embedded human colon tissue, using ab109444 at a 1/250 dilution.

Perform heat mediated antigen retrieval with citrate buffer pH 6 before commencing with IHC staining protocol.

Immunohistochemistry (Formalin/PFA-fixed paraffin-embedded sections) - Anti-Hemoglobin subunit zeta + Hemoglobin subunit alpha antibody [EP3607] (AB109444)
  • IHC-P

Unknown

Immunohistochemistry (Formalin/PFA-fixed paraffin-embedded sections) - Anti-Hemoglobin subunit zeta + Hemoglobin subunit alpha antibody [EP3607] (AB109444)

Immunohistochemical analysis of Hemoglobin subunit alpha and Hemoglobin subunit zeta in paraffin embedded human spleen tissue, using ab109444 at a 1/250 dilution.

Perform heat mediated antigen retrieval with citrate buffer pH 6 before commencing with IHC staining protocol.

Western blot - Anti-Hemoglobin subunit zeta + Hemoglobin subunit alpha antibody [EP3607] (AB109444)
  • WB

Unknown

Western blot - Anti-Hemoglobin subunit zeta + Hemoglobin subunit alpha antibody [EP3607] (AB109444)

All lanes:

Western blot - Anti-Hemoglobin subunit zeta + Hemoglobin subunit alpha antibody [EP3607] (ab109444) at 1/1000 dilution

Lane 1:

K562 lysate at 10 µg

Lane 2:

Fetal liver lysate at 10 µg

Lane 3:

Fetal heart lysates at 10 µg

Secondary

All lanes:

Standard HRP labelled goat anti-rabbit at 1/2000 dilution

Observed band size: 14 kDa

false

Western blot - Anti-Hemoglobin subunit zeta + Hemoglobin subunit alpha antibody [EP3607] (AB109444)
  • WB

Unknown

Western blot - Anti-Hemoglobin subunit zeta + Hemoglobin subunit alpha antibody [EP3607] (AB109444)

All lanes:

Western blot - Anti-Hemoglobin subunit zeta + Hemoglobin subunit alpha antibody [EP3607] (ab109444) at 1/1000 dilution

Lane 1:

His-tagged full length human Hemoglobin subunit alpha recombinant protein(<a href='/products/proteins-peptides/recombinant-human-hemoglobin-subunit-alpha-protein-denatured-ab131697'>ab131697</a>) at 0.01 µg

Lane 2:

His-tagged human Hemoglobin subunit beta/ba1 (aa3-147) recombinant protein at 0.01 µg

Lane 3:

His-tagged human Hemoglobin subunit delta (aa3-147) recombinant protein at 0.01 µg

Lane 4:

His-tagged human Hemoglobin subunit epsilon (aa3-147) recombinant protein at 0.01 µg

Lane 5:

His-tagged human Hemoglobin subunit Gamma-2 (aa2-147) recombinant protein at 0.01 µg

Lane 6:

His-tagged human Hemoglobin subunit Gamma-1 (aa2-147) recombinant protein at 0.01 µg

Lane 7:

His-tagged full length human Hemoglobin subunit Zeta recombinant protein(<a href='/products/proteins-peptides/recombinant-human-hemoglobin-subunit-zeta-protein-ab95347'>ab95347</a>) at 0.01 µg

Secondary

All lanes:

Western blot - Goat Anti-Rabbit IgG H&L (HRP) (<a href='/products/secondary-antibodies/goat-rabbit-igg-h-l-hrp-ab97051'>ab97051</a>) at 1/20000 dilution

Observed band size: 14 kDa,20 kDa

false

关键信息

宿主种属

Rabbit

克隆

Monoclonal

克隆号

EP3607

亚型

IgG

不含载体蛋白

No

反应种属

Human

应用

WB, IHC-P

applications

免疫原

The exact immunogen used to generate this antibody is proprietary information.

特异性

Mouse and rat tissues tested (lung and kidney) gave negative or low sensitivity staining in IHC-P. This antibody may not be suitable for IHC with mouse or rat samples. If you have any questions, please contact our Scientific Support team.

反应性数据

{ "title": "Reactivity Data", "filters": { "stats": ["", "Species", "Dilution Info", "Notes"], "tabs": { "all-applications": {"fullname" : "All Applications", "shortname": "All Applications"}, "IP" : {"fullname" : "Immunoprecipitation", "shortname":"IP"}, "FlowCyt" : {"fullname" : "Flow Cytometry", "shortname":"Flow Cyt"}, "ICCIF" : {"fullname" : "Immunocytochemistry/ Immunofluorescence", "shortname":"ICC/IF"}, "IHCP" : {"fullname" : "Immunohistochemistry (Formalin/PFA-fixed paraffin-embedded sections)", "shortname":"IHC-P"}, "WB" : {"fullname" : "Western blot", "shortname":"WB"} }, "product-promise": { "all": "all", "testedAndGuaranteed": "tested", "guaranteed": "expected", "predicted": "predicted", "notRecommended": "not-recommended" } }, "values": { "Human": { "IP-species-checked": "notRecommended", "IP-species-dilution-info": "", "IP-species-notes": "<p></p>", "FlowCyt-species-checked": "notRecommended", "FlowCyt-species-dilution-info": "", "FlowCyt-species-notes": "<p></p>", "ICCIF-species-checked": "notRecommended", "ICCIF-species-dilution-info": "", "ICCIF-species-notes": "<p></p>", "IHCP-species-checked": "testedAndGuaranteed", "IHCP-species-dilution-info": "1/250 - 1/500", "IHCP-species-notes": "<p>Antigen retrieval is recommended.</p> Perform heat-mediated antigen retrieval with citrate buffer pH 6 before commencing with IHC staining protocol.", "WB-species-checked": "testedAndGuaranteed", "WB-species-dilution-info": "1/1000 - 1/10000", "WB-species-notes": "<p></p>" }, "Mouse": { "IP-species-checked": "notRecommended", "IP-species-dilution-info": "", "IP-species-notes": "", "FlowCyt-species-checked": "notRecommended", "FlowCyt-species-dilution-info": "", "FlowCyt-species-notes": "", "ICCIF-species-checked": "notRecommended", "ICCIF-species-dilution-info": "", "ICCIF-species-notes": "", "IHCP-species-checked": "predicted", "IHCP-species-dilution-info": "", "IHCP-species-notes": "", "WB-species-checked": "predicted", "WB-species-dilution-info": "", "WB-species-notes": "" }, "Rat": { "IP-species-checked": "notRecommended", "IP-species-dilution-info": "", "IP-species-notes": "", "FlowCyt-species-checked": "notRecommended", "FlowCyt-species-dilution-info": "", "FlowCyt-species-notes": "", "ICCIF-species-checked": "notRecommended", "ICCIF-species-dilution-info": "", "ICCIF-species-notes": "", "IHCP-species-checked": "predicted", "IHCP-species-dilution-info": "", "IHCP-species-notes": "", "WB-species-checked": "predicted", "WB-species-dilution-info": "", "WB-species-notes": "" } } }

产品详情

Patented technology
Our RabMAb® technology is a patented hybridoma-based technology for making rabbit monoclonal antibodies. For details on our patents, please refer to RabMAb® patents.

性能和储存信息

形式
Liquid
纯化工艺
Affinity purification Protein A
存储溶液
pH: 7.2 - 7.4 Preservative: 0.05% Sodium azide Constituents: 50% Tissue culture supernatant, 40% Glycerol (glycerin, glycerine), 9.85% Tris glycine, 0.1% BSA
运输条件
Blue Ice
推荐的短期储存条件
+4°C
推荐的长期储存条件
-20°C
储存信息
Stable for 12 months at -20°C

补充信息

This supplementary information is collated from multiple sources and compiled automatically.

Hemoglobin subunit zeta (HBZ) and hemoglobin subunit alpha (HBA) are components of the hemoglobin complex primarily known for their role in oxygen transport. HBZ often referred to as embryonic hemoglobin typically predominates in early human development. HBA on the other hand persists throughout life as part of the adult hemoglobin complex. HBA has a molecular mass of approximately 15.1 kDa. Both subunits are highly expressed in erythroid cells within the bone marrow.
Biological function summary

Hemoglobin subunits partake in forming the tetrameric hemoglobin complex essential for efficient oxygen loading and unloading at the tissues. HBZ and HBA interact with other globin chains like beta globin (HBB) to make different forms of hemoglobin. For embryos the functional presence of HBZ is important in facilitating oxygen transport in low-oxygen environments of the fetal placenta. HBA's expression continues postnatally and partners with HBB to achieve the classical hemoglobin A in red blood cells providing important oxygen delivery throughout life.

Pathways

These subunits are integral to the erythropoiesis pathway and the oxygen transport pathway. Hemoglobin biosynthesis is tightly regulated within erythropoiesis controlled by proteins such as erythropoietin and GATA1. The interaction and regulation of globin genes ensure the proper assembly of functional hemoglobin complexes. Additionally these pathways ensure balanced production of globin chains preventing disorders like thalassemia.

Abnormalities in HBZ and HBA expression or mutations often link to conditions like thalassemia and sickle cell disease. Thalassemia arises from inadequate production of HBA or HBB causing imbalanced hemoglobin tetramer formation and anemia. In sickle cell disease abnormalities in the HBB chain alter hemoglobin structure affecting how HBA interacts with it. Both disorders highlight the importance of these protein interactions and their maintenance for proper erythrocyte functionality.

产品实验方案

For this product, it's our understanding that no specific protocols are required. You can visit:

靶点信息

The zeta chain is an alpha-type chain of mammalian embryonic hemoglobin.
See full target information HBZ

其他靶点

HBA1

文献 (1)

Recent publications for all applications. Explore the full list and refine your search

Science advances 11:eadv6697 PubMed40880461

2025

Radiotranscriptomics in papillary thyroid carcinoma complement current noninvasive risk stratification system.

Applications

Unspecified application

Species

Unspecified reactive species

Dong Hyun Seo,Eunjung Lee,Jung Hyun Yoon,Eun Gyeong Park,Sunmi Park,Hwa Young Lee,Joon Ho,Cho Rok Lee,Kyunghwa Han,Jandee Lee,Jin Young Kwak,Young Suk Jo
View all publications

Abcam Product Promise

我们致力于为您的研究提供高质量的试剂,为您科研的每一步提供支持。若我们的产品未能达到预期性能,我们向您提供 Abcam Product Promise 保障。
详情请参阅我们的条款与条件。

Please note: All products are 'FOR RESEARCH USE ONLY. NOT FOR USE IN DIAGNOSTIC OR THERAPEUTIC PROCEDURES'.

For licensing inquiries, please contact partnerships@abcam.com