JavaScript is disabled in your browser. Please enable JavaScript to view this website.
AB231433

Anti-Helicobacter pylori抗体[SPM526]

Anti-Helicobacter pylori antibody [SPM526]

Be the first to review this product! Submit a review

|

(2 Publications)

Mouse Monoclonal Helicobacter pylori antibody. Suitable for IHC-P and reacts with Helicobacter pylori samples. Cited in 2 publications.

查看别名

H. pylori

1 Images
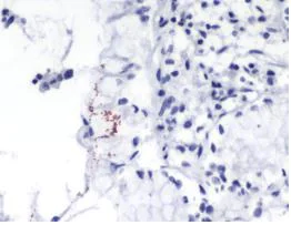
Immunohistochemistry (Formalin/PFA-fixed paraffin-embedded sections) - Anti-Helicobacter pylori antibody [SPM526] (AB231433)
  • IHC-P

Supplier Data

Immunohistochemistry (Formalin/PFA-fixed paraffin-embedded sections) - Anti-Helicobacter pylori antibody [SPM526] (AB231433)

Formalin-fixed, paraffin-embedded human H. pylori-infected stomach tissue stained for Helicobacter pylori using ab231433 at 1/100 dilution in immunohistochemical analysis.

关键信息

宿主种属

Mouse

克隆

Monoclonal

克隆号

SPM526

亚型

IgG1

轻链类型

kappa

不含载体蛋白

No

反应种属

Helicobacter pylori

应用

IHC-P

applications

免疫原

The exact immunogen used to generate this antibody is proprietary information.

反应性数据

{ "title": "Reactivity Data", "filters": { "stats": ["", "Species", "Dilution Info", "Notes"], "tabs": { "all-applications": {"fullname" : "All Applications", "shortname": "All Applications"}, "IHCP" : {"fullname" : "Immunohistochemistry (Formalin/PFA-fixed paraffin-embedded sections)", "shortname":"IHC-P"} }, "product-promise": { "all": "all", "testedAndGuaranteed": "tested", "guaranteed": "expected", "predicted": "predicted", "notRecommended": "not-recommended" } }, "values": { "Helicobacter pylori": { "IHCP-species-checked": "testedAndGuaranteed", "IHCP-species-dilution-info": "1/100", "IHCP-species-notes": "<p>Boil tissue section in Citrate buffer, pH 6.0 for 10-20 minutes followed by cooling at room temperature for 20 minutes.</p><p>Incubate with primary antibody for 30 minutes at room temperature.</p>" } } }

性能和储存信息

形式
Liquid
纯化工艺
Affinity purification Protein A/G
纯化说明
Purified from TCS by Protein A/G.
存储溶液
pH: 7.6 Preservative: 0.1% Sodium azide Constituents: PBS, 1% BSA
运输条件
Blue Ice
推荐的短期储存时间
1-2 weeks
推荐的短期储存条件
+4°C
推荐的长期储存条件
-20°C
分装信息
Upon delivery aliquot
储存信息
Avoid freeze / thaw cycle

补充信息

This supplementary information is collated from multiple sources and compiled automatically.

Helicobacter pylori often called H. pylori is a gram-negative spiral-shaped bacterium with a mass of about 3.39 megadaltons. This organism colonizes the human gastric epithelium where it survives in the acidic environment of the stomach. The bacterium expresses urease which breaks down urea to ammonia and carbon dioxide helping neutralize gastric acid. It attaches to the gastric mucosa using flagella for motility and adheres to host cells via adhesins. Researchers utilize specific staining methods such as the Helicobacter pylori stain and tools like anti-Helicobacter antibodies to detect and study this pathogen.
Biological function summary

Helicobacter pylori plays a significant role in gastric health by disrupting mucosal integrity. It engages in the secretion of virulence factors like CagA and VacA leading to changes in cellular signaling and inflammation. H. pylori does not operate as part of a large complex but its interactions with the gastric mucosa have substantial effects. Detection and diagnosis often employ tools like H. pylori IHC and H. pylori antibody kits which target the bacterium's proteins to confirm infection presence.

Pathways

H. pylori infection activates signaling routes including the NF-κB pathway and the MAPK pathway in gastric epithelial cells. These pathways contribute to inflammatory responses and immune cell activation leading to mucosal damage. Within these pathways proteins like tumor necrosis factor-alpha (TNF-α) and interleukin-8 (IL-8) play roles in mediating inflammation initiated by the bacterial colonization of the gastric lining.

Chronic H. pylori infection has strong associations with gastric ulcers and gastric cancer. The bacterium promotes persistent inflammation and cellular damage that can progress to malignancy. H. pylori-related disorders are linked with proteins such as CagA a known oncogenic factor that interferes with host cell signaling and promotes carcinogenesis. Detection and specific targeting by Helicobacter pylori antibodies play important roles in managing and studying these conditions.

产品实验方案

For this product, it's our understanding that no specific protocols are required. You can visit:

文献 (2)

Recent publications for all applications. Explore the full list and refine your search

Nature communications 15:669 PubMed38253620

2024

LOX-1 acts as an N-methyladenosine-regulated receptor for Helicobacter pylori by binding to the bacterial catalase.

Applications

Unspecified application

Species

Unspecified reactive species

Judeng Zeng,Chuan Xie,Ziheng Huang,Chi H Cho,Hung Chan,Qing Li,Hassan Ashktorab,Duane T Smoot,Sunny H Wong,Jun Yu,Wei Gong,Cong Liang,Hongzhi Xu,Huarong Chen,Xiaodong Liu,Justin C Y Wu,Margaret Ip,Tony Gin,Lin Zhang,Matthew T V Chan,Wei Hu,William K K Wu

Pathology oncology research : POR 28:1610684 PubMed36561231

2022

Negative correlation between the nuclear size and nuclear Lamina component Lamin A in intraductal papillary mucinous neoplasms of the pancreas.

Applications

Unspecified application

Species

Unspecified reactive species

Tamaki Hiroe,Shunichi Moriya,Sayaka Kobayashi,Yoshimi Nishijima,Akira Watanabe,Ken Shirabe,Hayato Ikota,Hideaki Yokoo,Masanao Saio
View all publications

Abcam Product Promise

我们致力于为您的研究提供高质量的试剂,为您科研的每一步提供支持。若我们的产品未能达到预期性能,我们向您提供 Abcam Product Promise 保障。
详情请参阅我们的条款与条件。

Please note: All products are 'FOR RESEARCH USE ONLY. NOT FOR USE IN DIAGNOSTIC OR THERAPEUTIC PROCEDURES'.

For licensing inquiries, please contact partnerships@abcam.com