JavaScript is disabled in your browser. Please enable JavaScript to view this website.
AB19845

Anti-HDAC1 抗体

Anti-HDAC1 antibody - Nuclear Loading Control

4

(9 Reviews)

|

(87 Publications)

Rabbit Polyclonal HDAC1 antibody. Suitable for IHC-P, IP, WB, ICC/IF, IHC-FrFl and reacts with Human, African green monkey, Mouse, Rat samples. Cited in 87 publications.

查看别名

RPD3L1, HDAC1, Histone deacetylase 1, HD1, Protein deacetylase HDAC1, Protein deacylase HDAC1

11 Images
Immunocytochemistry/ Immunofluorescence - Anti-HDAC1 antibody - Nuclear Loading Control (AB19845)
  • ICC/IF

Unknown

Immunocytochemistry/ Immunofluorescence - Anti-HDAC1 antibody - Nuclear Loading Control (AB19845)

ICC/IF image of ab19845 stained human HeLa cells. The cells were methanol fixed (5 min) and incubated with the antibody (ab19845, 1μg/ml) for 1h at room temperature. The secondary antibody (green) was Alexa Fluor® 488 goat anti-rabbit IgG (H+L) used at a 1/1000 dilution for 1h. Image-iTTM FX Signal Enhancer was used as the primary blocking agent, 5% BSA (in TBS-T) was used for all other blocking steps. DAPI was used to stain the cell nuclei (blue). Alexa Fluor® 594 WGA was used to label plasma membranes (red).

Panel A shows localisation of ab19845 to the nuclei, Panel B has the Alexa Fluor® 488 channel removed for comparison.

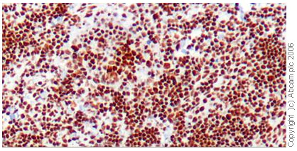
Immunohistochemistry (Formalin/PFA-fixed paraffin-embedded sections) - Anti-HDAC1 antibody - Nuclear Loading Control (AB19845)
  • IHC-P

Supplier Data

Immunohistochemistry (Formalin/PFA-fixed paraffin-embedded sections) - Anti-HDAC1 antibody - Nuclear Loading Control (AB19845)

The image shows staining of human tonsil tissue using ab19845. Staining was nuclear and was equally successful using Tris EDTA pH9 or Citrate pH6 for antigen retrieval. Staining was prevalent in almost all cellular compartments of the tonsil.

Immunohistochemistry (Formalin/PFA-fixed paraffin-embedded sections) - Anti-HDAC1 antibody - Nuclear Loading Control (AB19845)
  • IHC-P

Unknown

Immunohistochemistry (Formalin/PFA-fixed paraffin-embedded sections) - Anti-HDAC1 antibody - Nuclear Loading Control (AB19845)

IHC image of HDAC1 staining in human breast carcinoma formalin fixed paraffin embedded tissue section, performed on a Leica BondTM system using the standard protocol F. The section was pre-treated using heat mediated antigen retrieval with sodium citrate buffer (pH6, epitope retrieval solution 1) for 20 mins. The section was then incubated with ab19845, 1µg/ml, for 15 mins at room temperature and detected using an HRP conjugated compact polymer system. DAB was used as the chromogen. The section was then counterstained with haematoxylin and mounted with DPX

Immunocytochemistry/ Immunofluorescence - Anti-HDAC1 antibody - Nuclear Loading Control (AB19845)
  • ICC/IF

Unknown

Immunocytochemistry/ Immunofluorescence - Anti-HDAC1 antibody - Nuclear Loading Control (AB19845)

ICC/IF image of ab19845 stained HeLa cells. The cells were 4% PFA fixed (10 min) and then incubated in 1%BSA / 10% normal goat serum / 0.3M glycine in 0.1% PBS-Tween for 1h to permeabilise the cells and block non-specific protein-protein interactions. The cells were then incubated with the antibody (ab19845, 1µg/ml) overnight at +4°C. The secondary antibody (green) was Alexa Fluor® 488 goat anti-rabbit IgG (H+L) used at a 1/1000 dilution for 1h. Alexa Fluor® 594 WGA was used to label plasma membranes (red) at a 1/200 dilution for 1h. DAPI was used to stain the cell nuclei (blue) at a concentration of 1.43µM. This antibody also gave a positive result in 4% PFA fixed (10 min) HepG2 cells at 1µg/ml, and in 100% methanol fixed (5 min) MCF7 and HepG2 cells at 1µg/ml

Immunocytochemistry/ Immunofluorescence - Anti-HDAC1 antibody - Nuclear Loading Control (AB19845)
  • ICC/IF

AbReview4837****

Immunocytochemistry/ Immunofluorescence - Anti-HDAC1 antibody - Nuclear Loading Control (AB19845)

ab19845 at a 1/3000 dilution staining asynchronous HeLa cells by ICC/IF. The cells were paraformaldehyde fixed and immunofluorescently labelled with ab19845 for 30 minutes at room temperature. Bound antibody was detected using a Cy3 conjugated goat anti-rabbit antibody. Nuclei were visuallised using DAPI staining. The antibody was found to be highly enriched in the nucleus.

This image is courtesy of an Abreview submitted by Kirk McManus.

Immunocytochemistry/ Immunofluorescence - Anti-HDAC1 antibody - Nuclear Loading Control (AB19845)
  • ICC/IF

Lab

Immunocytochemistry/ Immunofluorescence - Anti-HDAC1 antibody - Nuclear Loading Control (AB19845)

ab19845 staining HDAC1 in wild-type HAP1 cells (top panel) and HDAC1 knockout HAP1 cells (bottom panel). The cells were fixed with 4% formaldehyde (10min), permeabilized with 0.1% Triton X-100 for 5 minutes and then blocked with 1% BSA/10% normal goat serum/0.3M glycine in 0.1% PBS-Tween for 1h. The cells were then incubated with ab19845 at 0.5μg/ml and ab195889 at 1/250 dilution (shown in pseudocolour red) overnight at +4°C, followed by a further incubation at room temperature for 1h with a goat secondary antibody to Rabbit IgG (Alexa Fluor® 488) (ab150081) at 2 μg/ml (shown in green). Nuclear DNA was labelled in blue with DAPI.

Image was taken with a confocal microscope (Leica-Microsystems, TCS SP8).

Immunoprecipitation - Anti-HDAC1 antibody - Nuclear Loading Control (AB19845)
  • IP

Unknown

Immunoprecipitation - Anti-HDAC1 antibody - Nuclear Loading Control (AB19845)

HDAC1 was immunoprecipitated using 0.5mg Hela whole cell extract, 5µg of Rabbit polyclonal to HDAC1 and 50µl of protein G magnetic beads (+). No antibody was added to the control (-).
The antibody was incubated under agitation with Protein G beads for 10min, Hela whole cell extract lysate diluted in RIPA buffer was added to each sample and incubated for a further 10min under agitation.
Proteins were eluted by addition of 40µl SDS loading buffer and incubated for 10min at 70oC; 10µl of each sample was separated on a SDS PAGE gel, transferred to a nitrocellulose membrane, blocked with 5% BSA and probed with ab19845.
Secondary : Mouse monoclonal [SB62a] Secondary Antibody to Rabbit IgG light chain (HRP) (ab99697).
Band : 60ka : HDAC1.

All lanes:

Immunoprecipitation - Anti-HDAC1 antibody - Nuclear Loading Control (ab19845)

Predicted band size: 55 kDa

false

Western blot - Anti-HDAC1 antibody - Nuclear Loading Control (AB19845)
  • WB

Lab

Western blot - Anti-HDAC1 antibody - Nuclear Loading Control (AB19845)

Lane 1 : Wild-type HAP1 cell lysate (20 μg)
Lane 2 : HDAC1 knockout HAP1 cell lysate (20 μg)
Lane 3 : HeLa cell lysate (20 μg)
Lane 4 : Human breast carcinoma lysate (20 μg) or K562 lysate (20 μg)
Lanes 1 - 4 : Merged signal (red and green). Green - ab19845 observed at 65 kDa. Red - loading control, ab8245, observed at 37 kDa.

This western blot image is a comparison between ab19845 and a competitor's top cited rabbit polyclonal antibody.

All lanes:

Western blot - Anti-HDAC1 antibody - Nuclear Loading Control (ab19845)

Predicted band size: 55 kDa

false

Western blot - Anti-HDAC1 antibody - Nuclear Loading Control (AB19845)
  • WB

Lab

Western blot - Anti-HDAC1 antibody - Nuclear Loading Control (AB19845)

Lane 1 : Wild-type HAP1 cell lysate (20 μg)
Lane 2 : HDAC1 knockout HAP1 cell lysate (20 μg)
Lane 3 : HeLa cell lysate (20 μg)
Lane 4 : Human breast carcinoma lysate (20 μg)
Lanes 1 - 4 : Merged signal (red and green). Green - ab19845 observed at 65 kDa. Red - loading control, ab8245, observed at 37 kDa.

ab19845 was shown to recognize HDAC1 when HDAC1 knockout samples were used, along with additional cross-reactive bands. Wild-type and HDAC1 knockout samples were subjected to SDS-PAGE. ab19845 and ab8245 (loading control to GAPDH) were both diluted 1/1000 and incubated overnight at 4°C. Blots were developed with Goat anti-Rabbit IgG H&L (IRDye® 800CW) preadsorbed (ab216773) and Goat anti-Mouse IgG H&L (IRDye® 680RD) preadsorbed (ab216776) secondary antibodies at 1/10 000 dilution for 1 h at room temperature before imaging.

All lanes:

Western blot - Anti-HDAC1 antibody - Nuclear Loading Control (ab19845)

Predicted band size: 55 kDa

false

Western blot - Anti-HDAC1 antibody - Nuclear Loading Control (AB19845)
  • WB

Unknown

Western blot - Anti-HDAC1 antibody - Nuclear Loading Control (AB19845)

All lanes:

Western blot - Anti-HDAC1 antibody - Nuclear Loading Control (ab19845) at 1 µg/mL

Lane 1:

HeLa whole cell lysate at 20 µg

Lane 2:

HeLa whole cell lysate at 20 µg with Human HDAC1 peptide (<a href='/products/unavailable/human-hdac1-peptide-ab20434'>ab20434</a>)

Secondary

All lanes:

Western blot - Goat Anti-Rabbit IgG H&L (HRP) preadsorbed (<a href='/products/secondary-antibodies/goat-rabbit-igg-h-l-hrp-preadsorbed-ab7090'>ab7090</a>) at 1/5000 dilution

Predicted band size: 55 kDa

Observed band size: 60 kDa

false

Western blot - Anti-HDAC1 antibody - Nuclear Loading Control (AB19845)
  • WB

CiteAb

Western blot - Anti-HDAC1 antibody - Nuclear Loading Control (AB19845)

HDAC1 western blot using anti-HDAC1 antibody ab19845. Publication image and figure legend from Ma, C., Wang, F., et al., 2018, Mol Cancer, PubMed 29625565.

ab19845 was used in this publication in western blot. This may not be the same as the application(s) guaranteed by Abcam. For a full list of applications guaranteed by Abcam for ab19845 please see the product overview.

Involvement of NuRD complex in the regulation of breast cancer cell senescence and suppression mediated by SALL1. a and b Transfection of mutated SALL1 (mSALL1, deleted the NuRD binding peptide motif of conserved 12-amino) in MCF-7 and E0771 cancer cells did not induce SA-β-Gal+ cell populations (in a) and promote cancer cell cycle arrest in S phase (in b). In contrast, transfection of full-length SALL1 into MCF-7 and E0771 breast cancer cells significantly induced tumor cell senescence (around 40%) and promoted cell cycle arrest in S phase. Breast cancer cells were transfected with the indicated constructs and cultured for additional 72 h. Senescent cells were analyzed using the SA-β-Gal activity assay and the cell cycle distribution in tumor cells was analyzed after incubation with propidium iodide. Data shown in (a) are mean ± SD from three independent experiments with similar results. **p < 0.01 compared with the mSALL1 and vector control groups. c and d Transfection of SALL1-S2E into MCF-7 and E0771 breast cancer cells lost the ability to induce tumor cell senescence. However, transfection of SALL1-S2A into breast cancer cells significantly augmented senescence induction in both cell lines compared with that of in wild type SALL1-transfected tumor cells. Cell transfection procedure and SA-β-Gal+ cell determination were identical to (a). SALL1-S2E : substitution of the serine with a glutamic acid in SALL1. SALL1-S2A : mutating the serine to an alanine in SALL1. SA-β-Gal+ tumor cells were identified with dark blue granules as indicated by the arrows (in c). Data shown in (d) are mean ± SD from three independent experiments with similar results. **p < 0.01, compared with the vector control group. #p < 0.01, compared with the wild type SALL1 group. e Transfection of wild type SALL1 and SALL1-S2A into MCF-7 tumor cells recruited NuRD complex components determined with GST pulldown analyses. In contrast, transfection of SALL1-S2E markedly disrupted recruitment of NuRD components. MCF-7 cells were transfected with or without plasmids pEBG-SALL1, pEBG-SALL1-S2A, and pEBG-SALL1-S2E, and cultured for 3 days. Total protein lysates precipitated with Protein G-Sepharose beads. Pulldowns were analyzed by western blot with antibodies against SALL1, HDAC1, MTA2, MBD3 and RbAp46/48

false

关键信息

宿主种属

Rabbit

克隆

Polyclonal

亚型

IgG

不含载体蛋白

No

反应种属

Human, Mouse, Rat, African green monkey

应用

IP, IHC-FrFl, IHC-P, WB, ICC/IF

applications

免疫原

The exact immunogen used to generate this antibody is proprietary information.

特异性

From Jan 2024, QC testing of replenishment batches of this polyclonal changed. All tested and expected application and reactive species combinations are still covered by our Abcam product promise. However, we no longer test all applications. For more information on a specific batch, please contact our Scientific Support who will be happy to help.

反应性数据

{ "title": "Reactivity Data", "filters": { "stats": ["", "Species", "Dilution Info", "Notes"], "tabs": { "all-applications": {"fullname" : "All Applications", "shortname": "All Applications"}, "IHCP" : {"fullname" : "Immunohistochemistry (Formalin/PFA-fixed paraffin-embedded sections)", "shortname":"IHC-P"}, "IP" : {"fullname" : "Immunoprecipitation", "shortname":"IP"}, "WB" : {"fullname" : "Western blot", "shortname":"WB"}, "ICCIF" : {"fullname" : "Immunocytochemistry/ Immunofluorescence", "shortname":"ICC/IF"}, "IHCFrFl" : {"fullname" : "Immunohistochemistry - Free Floating", "shortname":"IHC-FrFl"} }, "product-promise": { "all": "all", "testedAndGuaranteed": "tested", "guaranteed": "expected", "predicted": "predicted", "notRecommended": "not-recommended" } }, "values": { "Human": { "IHCP-species-checked": "guaranteed", "IHCP-species-dilution-info": "1 µg/mL", "IHCP-species-notes": "<p></p> Perform heat-mediated antigen retrieval before commencing with IHC staining protocol.", "IP-species-checked": "guaranteed", "IP-species-dilution-info": "", "IP-species-notes": "<p></p>", "WB-species-checked": "testedAndGuaranteed", "WB-species-dilution-info": "1 µg/mL", "WB-species-notes": "<p></p>", "ICCIF-species-checked": "guaranteed", "ICCIF-species-dilution-info": "0.5 µg/mL", "ICCIF-species-notes": "<p></p>", "IHCFrFl-species-checked": "guaranteed", "IHCFrFl-species-dilution-info": "", "IHCFrFl-species-notes": "<p></p>" }, "Mouse": { "IHCP-species-checked": "guaranteed", "IHCP-species-dilution-info": "1 µg/mL", "IHCP-species-notes": "<p></p> Perform heat-mediated antigen retrieval before commencing with IHC staining protocol.", "IP-species-checked": "guaranteed", "IP-species-dilution-info": "", "IP-species-notes": "<p></p>", "WB-species-checked": "guaranteed", "WB-species-dilution-info": "1 µg/mL", "WB-species-notes": "<p></p>", "ICCIF-species-checked": "guaranteed", "ICCIF-species-dilution-info": "0.5 µg/mL", "ICCIF-species-notes": "<p></p>", "IHCFrFl-species-checked": "guaranteed", "IHCFrFl-species-dilution-info": "", "IHCFrFl-species-notes": "<p></p>" }, "Rat": { "IHCP-species-checked": "guaranteed", "IHCP-species-dilution-info": "1 µg/mL", "IHCP-species-notes": "<p></p> Perform heat-mediated antigen retrieval before commencing with IHC staining protocol.", "IP-species-checked": "guaranteed", "IP-species-dilution-info": "", "IP-species-notes": "<p></p>", "WB-species-checked": "guaranteed", "WB-species-dilution-info": "1 µg/mL", "WB-species-notes": "<p></p>", "ICCIF-species-checked": "guaranteed", "ICCIF-species-dilution-info": "0.5 µg/mL", "ICCIF-species-notes": "<p></p>", "IHCFrFl-species-checked": "guaranteed", "IHCFrFl-species-dilution-info": "", "IHCFrFl-species-notes": "<p></p>" }, "African green monkey": { "IHCP-species-checked": "guaranteed", "IHCP-species-dilution-info": "1 µg/mL", "IHCP-species-notes": "<p></p> Perform heat-mediated antigen retrieval before commencing with IHC staining protocol.", "IP-species-checked": "guaranteed", "IP-species-dilution-info": "", "IP-species-notes": "<p></p>", "WB-species-checked": "guaranteed", "WB-species-dilution-info": "1 µg/mL", "WB-species-notes": "<p></p>", "ICCIF-species-checked": "guaranteed", "ICCIF-species-dilution-info": "0.5 µg/mL", "ICCIF-species-notes": "<p></p>", "IHCFrFl-species-checked": "guaranteed", "IHCFrFl-species-dilution-info": "", "IHCFrFl-species-notes": "<p></p>" }, "Cow": { "IHCP-species-checked": "predicted", "IHCP-species-dilution-info": "", "IHCP-species-notes": "", "IP-species-checked": "predicted", "IP-species-dilution-info": "", "IP-species-notes": "", "WB-species-checked": "predicted", "WB-species-dilution-info": "", "WB-species-notes": "", "ICCIF-species-checked": "predicted", "ICCIF-species-dilution-info": "", "ICCIF-species-notes": "", "IHCFrFl-species-checked": "predicted", "IHCFrFl-species-dilution-info": "", "IHCFrFl-species-notes": "" } } }

性能和储存信息

形式
Liquid
纯化工艺
Affinity purification Immunogen
存储溶液
pH: 7.4 Preservative: 0.02% Sodium azide Constituents: PBS, 1% BSA
运输条件
Blue Ice
推荐的短期储存时间
1-2 weeks
推荐的短期储存条件
+4°C
推荐的长期储存条件
-20°C
分装信息
Upon delivery aliquot
储存信息
Avoid freeze / thaw cycle

补充信息

This supplementary information is collated from multiple sources and compiled automatically.

HDAC1 also known as Histone Deacetylase 1 is a member of the histone deacetylase family with a molecular weight of approximately 55 kDa. Mechanically HDAC1 removes acetyl groups from lysine residues on histone proteins an action known as histone deacetylation. This process causes chromatin structure to become more compact which leads to transcriptional repression. HDAC1 is broadly expressed in various tissues particularly in the brain heart and kidneys and is vital for cellular development and differentiation.
Biological function summary

The enzymatic activity of histone deacetylase effectively controls gene expression. HDAC1 participates as a part of the multiprotein complexes including SIN3 and NuRD which play vital roles in the regulation of transcription. By altering the acetylation state of histones HDAC1 influences chromatin remodeling thereby affecting the accessibility of transcription factors to DNA and controlling genes necessary for cell cycle progression and proliferation.

Pathways

The function of HDAC1 fits into the regulation of the cell cycle and apoptosis pathways. In the cell cycle pathway HDAC1 interacts with other histone deacetylases (HDACs) and plays a role in controlling the progression of the cell division. The interplay between HDAC1 and proteins such as p53 further showcases its regulatory activity in apoptosis ensuring cell survival or programmed cell death when necessary.

HDAC1 shows significant relevance to cancer and neurodegenerative diseases. In cancer the overexpression or abnormal regulation of HDAC1 can lead to uncontrolled cell proliferation often linked to the silencing of tumor suppressor genes. Within neurodegenerative conditions HDAC1-related disturbances in gene expression may result in impaired neuronal function and survival. The involvement of HDAC1 with proteins such as p53 and other HDACs illustrates its impact on complex disease mechanisms making it a critical target for therapeutic interventions.

产品实验方案

For this product, it's our understanding that no specific protocols are required. You can visit:

靶点信息

Histone deacetylase that catalyzes the deacetylation of lysine residues on the N-terminal part of the core histones (H2A, H2B, H3 and H4) (PubMed : 16762839, PubMed : 17704056, PubMed : 28497810). Histone deacetylation gives a tag for epigenetic repression and plays an important role in transcriptional regulation, cell cycle progression and developmental events (PubMed : 16762839, PubMed : 17704056). Histone deacetylases act via the formation of large multiprotein complexes (PubMed : 16762839, PubMed : 17704056). Acts as a component of the histone deacetylase NuRD complex which participates in the remodeling of chromatin (PubMed : 16428440, PubMed : 28977666). As part of the SIN3B complex is recruited downstream of the constitutively active genes transcriptional start sites through interaction with histones and mitigates histone acetylation and RNA polymerase II progression within transcribed regions contributing to the regulation of transcription (PubMed : 21041482). Also functions as a deacetylase for non-histone targets, such as NR1D2, RELA, SP1, SP3, STAT3, ZNF76 and TSHZ3 (PubMed : 12837748, PubMed : 16285960, PubMed : 16337145, PubMed : 16478997, PubMed : 17996965, PubMed : 19343227). Deacetylates SP proteins, SP1 and SP3, and regulates their function (PubMed : 12837748, PubMed : 16478997). Component of the BRG1-RB1-HDAC1 complex, which negatively regulates the CREST-mediated transcription in resting neurons (PubMed : 19081374). Upon calcium stimulation, HDAC1 is released from the complex and CREBBP is recruited, which facilitates transcriptional activation (PubMed : 19081374). Deacetylates TSHZ3 and regulates its transcriptional repressor activity (PubMed : 19343227). Deacetylates 'Lys-310' in RELA and thereby inhibits the transcriptional activity of NF-kappa-B (PubMed : 17000776). Deacetylates NR1D2 and abrogates the effect of KAT5-mediated relieving of NR1D2 transcription repression activity (PubMed : 17996965). Component of a RCOR/GFI/KDM1A/HDAC complex that suppresses, via histone deacetylase (HDAC) recruitment, a number of genes implicated in multilineage blood cell development (By similarity). Involved in CIART-mediated transcriptional repression of the circadian transcriptional activator : CLOCK-BMAL1 heterodimer (By similarity). Required for the transcriptional repression of circadian target genes, such as PER1, mediated by the large PER complex or CRY1 through histone deacetylation (By similarity). In addition to protein deacetylase activity, also has protein-lysine deacylase activity : acts as a protein decrotonylase and delactylase by mediating decrotonylation ((2E)-butenoyl) and delactylation (lactoyl) of histones, respectively (PubMed : 28497810, PubMed : 35044827).
See full target information HDAC1

文献 (87)

Recent publications for all applications. Explore the full list and refine your search

Science advances 11:eadq6663 PubMed39823338

2025

Control of striatal circuit development by the chromatin regulator .

Applications

Unspecified application

Species

Unspecified reactive species

Kyuhyun Choi,Nathan T Henderson,Emily R Feierman,Sean Louzon,Jamie Galanaugh,Felicia Davatolhagh,Isha Bhandaru,David J Tischfield,Stewart A Anderson,Erica Korb,Marc V Fuccillo

Nature communications 15:7758 PubMed39237615

2024

The scaffolding function of LSD1 controls DNA methylation in mouse ESCs.

Applications

Unspecified application

Species

Unspecified reactive species

Sandhya Malla,Kanchan Kumari,Carlos A García-Prieto,Jonatan Caroli,Anna Nordin,Trinh T T Phan,Devi Prasad Bhattarai,Carlos Martinez-Gamero,Eshagh Dorafshan,Stephanie Stransky,Damiana Álvarez-Errico,Paulina Avovome Saiki,Weiyi Lai,Cong Lyu,Ludvig Lizana,Jonathan D Gilthorpe,Hailin Wang,Simone Sidoli,Andre Mateus,Dung-Fang Lee,Claudio Cantù,Manel Esteller,Andrea Mattevi,Angel-Carlos Roman,Francesca Aguilo

Nature communications 15:3330 PubMed38684656

2024

Atypical heat shock transcription factor HSF5 is critical for male meiotic prophase under non-stress conditions.

Applications

Unspecified application

Species

Unspecified reactive species

Saori Yoshimura,Ryuki Shimada,Koji Kikuchi,Soichiro Kawagoe,Hironori Abe,Sakie Iisaka,Sayoko Fujimura,Kei-Ichiro Yasunaga,Shingo Usuki,Naoki Tani,Takashi Ohba,Eiji Kondoh,Tomohide Saio,Kimi Araki,Kei-Ichiro Ishiguro

Protein science : a publication of the Protein Society 33:e4859 PubMed38145972

2023

Dynamic proximity interaction profiling suggests that YPEL2 is involved in cellular stress surveillance.

Applications

Unspecified application

Species

Unspecified reactive species

Gizem Turan,Çağla Ece Olgun,Hazal Ayten,Pelin Toker,Annageldi Ashyralyyev,Büşra Savaş,Ezgi Karaca,Mesut Muyan

International journal of oncology 64: PubMed38063204

2023

The dual HDAC and PI3K inhibitor, CUDC‑907, inhibits tumor growth and stem‑like properties by suppressing PTX3 in neuroblastoma.

Applications

Unspecified application

Species

Unspecified reactive species

Mengzhen Li,Yang Hu,Juan Wang,Yanjie Xu,Ye Hong,Li Zhang,Qiuyun Luo,Zijun Zhen,Suying Lu,Junting Huang,Jia Zhu,Yizhuo Zhang,Yi Que,Feifei Sun

Nature communications 14:4820 PubMed37563109

2023

Hdac1 and Hdac2 regulate the quiescent state and survival of hair-follicle mesenchymal niche.

Applications

Unspecified application

Species

Unspecified reactive species

Hadas Sibony-Benyamini,Emil Aamar,David Enshell-Seijffers

Nature cell biology : PubMed37414849

2023

Dynamic de novo heterochromatin assembly and disassembly at replication forks ensures fork stability.

Applications

Unspecified application

Species

Unspecified reactive species

Vincent Gaggioli,Calvin S Y Lo,Nazaret Reverón-Gómez,Zuzana Jasencakova,Heura Domenech,Hong Nguyen,Simone Sidoli,Andrey Tvardovskiy,Sidrit Uruci,Johan A Slotman,Yi Chai,João G S C Souto Gonçalves,Eleni Maria Manolika,Ole N Jensen,David Wheeler,Sriram Sridharan,Sanjiban Chakrabarty,Jeroen Demmers,Roland Kanaar,Anja Groth,Nitika Taneja

Nature communications 14:3795 PubMed37365156

2023

The long non-coding RNA NEAT1 is a ΔNp63 target gene modulating epidermal differentiation.

Applications

Unspecified application

Species

Unspecified reactive species

Claudia Fierro,Veronica Gatti,Veronica La Banca,Sara De Domenico,Stefano Scalera,Giacomo Corleone,Maurizio Fanciulli,Francesca De Nicola,Alessandro Mauriello,Manuela Montanaro,George A Calin,Gerry Melino,Angelo Peschiaroli

Journal of cell communication and signaling 17:925-937 PubMed37043098

2023

The growth hormone receptor interacts with transcriptional regulator HMGN1 upon GH-induced nuclear translocation.

Applications

Unspecified application

Species

Unspecified reactive species

Lekha Jain,Mark H Vickers,Bincy Jacob,Martin J Middleditch,Daria A Chudakova,Austen R D Ganley,Justin M O'Sullivan,Jo K Perry

Annals of translational medicine 11:197 PubMed37007562

2023

Inhibition of NF-κB ameliorates aberrant retinal glia activation and inflammatory responses in streptozotocin-induced diabetic rats.

Applications

Unspecified application

Species

Unspecified reactive species

Xinyi Ding,Zhongcui Sun,Yue Guo,Wenyi Tang,Qinmeng Shu,Gezhi Xu
View all publications

Abcam Product Promise

我们致力于为您的研究提供高质量的试剂,为您科研的每一步提供支持。若我们的产品未能达到预期性能,我们向您提供 Abcam Product Promise 保障。
详情请参阅我们的条款与条件。

Please note: All products are 'FOR RESEARCH USE ONLY. NOT FOR USE IN DIAGNOSTIC OR THERAPEUTIC PROCEDURES'.

For licensing inquiries, please contact partnerships@abcam.com